About the textbook

Welcome to Plants in Action. This online text book, produced by the Australian and New Zealand societies of plant sciences, makes high-quality, cutting-edge, peer-reviewed research freely available to users across the world.

Edition 2, Plants in Action. You are now on the home page of Edition 2. Ten of the original twenty chapters have been fully revised, as shown on the navigation panel.

Edition 1, Plants in Action is also available free and on-line on the Internet Archive's Wayback Machine. Twenty chapters provide over a thousand illustrations designed for teaching that are easily downloaded.

If you wish to contact the editorial team with queries or suggestions, please email the Australian Society of Plant Scientists: [email protected]. To use figures or text for non-commercial purposes, please acknowledge the source as: "Reproduced from Plants in Action, http://plantsinaction.science.uq.edu.au, published by the Australian Society of Plant Scientists." Reproduction of this material in another language or for commercial purposes requires permission.

You can find a PDF version of each chapter on the ASPS website.

Editorial committee

RanaMunnsC-115px.jpg

Professor Rana Munns is an honorary fellow at CSIRO Agriculture in Canberra, and professor in the School of Plant Biology, and the ARC Centre of Excellence in Plant Energy Biology, at the University of Western Australia. She uses physiological insights and molecular genetics to improve growth and yield of crop plants in dry or saline soils. Rana is a Fellow of the Australian Academy of Science, and an editor of PrometheusWiki, the plant methods wiki.

Susanne Schmidt2lt-115px.jpg

Professor Susanne Schmidt is a researcher and educator at The University of Queensland and Alexander von Humboldt fellow. Susanne has a passion for ecophysiology and plant nutrition and leads a vibrant group researching plant-microbe-soil interactions. Fundamental to applied research addresses environmental problems at the interface of ecology and agriculture.

beveridgeC.jpg

Professor Christine Beveridge is a researcher and educator at The University of Queensland and current Future Fellow of the Australian Research Council. Christine’s research team uses advanced molecular, physiology and computer modelling technologies to understand how mobile plant signals and resources interact to control shoot and root architecture and development.

UlrikeMathesius_cropped.jpg

Professor Ulrike Mathesius is a researcher and educator at The Australian National University. Ulrike is interested in extending the use of beneficial microbes in agriculture. Her group is using molecular and biochemical tools to understand the signals that control the interactions of roots with symbiotic and parasitic microbes.

Contents Page

Chapter 1 - Light use and leaf gas exchange

1.0-Ch-Fig-1.0-NoNum.jpg

Leaves come in a variety of shapes and sizes. Soybean (Glycine max) has a trifoliate leaf with broad laminae designed for capturing the maximum amount of light in a dense canopy.

John R Evans and Susanne von Caemmerer, Research School of Biology, Australian National University

Leaves come in a great variety of shapes and sizes. The photosynthetic processes that occur within leaves also show considerable variation. All of these variations represent different adaptive responses to different environmental conditions leading to altered gene expression.  

Despite such variation, leaves fulfil a common purpose: to capture energy from sunlight and convert that energy currency into chemically useful forms to drive CO2 assimilation and subsequent growth. CO2 assimilation broadly refers to the first steps in the production of sugars from CO2 and water, that is the initial incorporation of inorganic CO2 into biological molecules. Light absorption and energy utilisation is considered at progressively finer levels of organisation from leaves (Section 1.1) to chloroplasts (Section 1.2).

Section 1.1 encompasses anatomy, light interception and leaf gas exchange and includes a case study on development of a process-based model for photosynthetic CO2 assimilation using A:Ci curves.

1.1 - Leaf anatomy, light interception and gas exchange

Leaves experience a mix of demands under frequently adverse conditions. They must intercept sunlight and facilitate the uptake of CO2, which exists at levels around 390 ppm (µL L-1) in the atmosphere, while restricting water loss. The wide variety of shapes, sizes and internal structures of leaves imply that many solutions exist to meet these mixed demands.

In nature, photon irradiance (photon flux density) can fluctuate over three orders of magnitude and these changes can be rapid. However, plants have evolved with photosynthetic systems that operate most efficiently at low light. Such efficiency confers an obvious selective advantage under light limitation, but predisposes leaves to photodamage under strong light. How then can leaves cope? First, some tolerance is achieved by distributing light over a large population of chloroplasts held in architectural arrays within mesophyll tissues. Second, each chloroplast can operate as a seemingly independent entity with respect to photochemistry and biochemistry and can vary allocation of resources between photon capture and capacity for CO2 assimilation in response to light climate. Such features confer great flexibility across a wide range of light environments where plants occur and are discussed in Chapter 12.

Photon absorption is astonishingly fast (single events lasting 10–15 s). Subsequent energy transduction into NADPH and ATP is relatively ‘slow’ (10–4 s), and is followed by CO2 fixation via Rubisco at a sedate pace of 3.5 events per second per active site. Distributing light absorption between many chloroplasts equalises effort over a huge population of these organelles, but also reduces diffusion limitations by spreading chloroplasts over a large mesophyll cell surface area within a given leaf area. The internal structure of leaves (shown in the follwing section) reflects this need to maximise CO2 exchange between intercellular airspace and chloroplasts and to distribute light more uniformly with depth than would occur in a homogeneous solution of chlorophyll.

1.1.1 - Leaf Structure

1.0-Ch-Fig-1.1-v2.jpeg

Figure 1.1 A scanning electron micrograph of an uncoated and rapidly frozen piece of tobacco leaf showing a hairy lower leaf surface and cross-sectional anatomy at low magnification. Notional values for resistances to CO2 diffusion are given in units of m2 s mol-1. Corresponding values for CO2 concentration are shown in µL L-1. Ci is routinely inferred from gas exchange measurements and used to construct A:Ci curves for leaf photosynthesis. Scale bar = 100 µm. (Image courtesy J-W. Yu and J. Evans)

In a typical herbaceous dicotyledon (Figure 1.1) lower leaf surfaces are covered with epidermal outgrowths, known to impede movement of small insects, but also contributing to formation of a boundary layer. This unstirred zone of air immediately adjacent to upper and lower epidermes varies in thickness according to surface relief, area and wind speed. Boundary layers are significant in leaf heat budgets and feature in the calculation of stomatal and mesophyll conductances from measurements of leaf gas exchange.  

The diffusion of CO2 into leaves can be modelled using an analogue with electrical resistance (R) and conductance (the reverse of resistance), as in Figure 1.1, right hand side. This shows a series of resistances (r) that would be experienced by CO2 molecules diffusing from outside (ambient) air, through the boundary layer (b), the stomata (s), the intercellular airspaces (i), the cell walls and liquid phase (w) to fixed sites inside chloroplasts. These values emphasise the prominence of stomatal resistance within the series.

Corresponding values for CO2 concentration in ambient air (a), the leaf surface (s), the substomatal cavity (i), the mesophyll cell wall surface (w) to the sites of carboxylation with the chloroplasts (c) reflect photosynthetic assimilation within leaves generating a gradient for inward diffusion.

In transverse fracture as shown below in Figure 1.2(A) the bifacial nature of leaf mesophyll is apparent with columnar cells in the palisade layer beneath the upper surface and irregular shaped cells forming the spongy mesophyll below. Large intercellular airspaces, particularly in the spongy mesophyll, facilitate gaseous diffusion. The lower surface of this leaf is shown in Figure 1.2(B). On the left-hand side, the epidermis is present with its irregular array of stomata. Diagonally through the centre is a vein with broken-off hair cells and on the right the epidermis has been fractured off revealing spongy mesophyll cells beneath. Light micrographs of sections cut parallel to the leaf surface (paradermal) through palisade (C) and spongy (D) tissue reveal chloroplasts lying in a single layer and covering most of the internal cell wall surface adjacent to airspaces. Significantly, chloroplasts are rarely present on walls that adjoin another cell. Despite the appearance of close packing, mesophyll cell surfaces within the palisade layer are generally exposed to intercellular airspace. Inward diffusion of CO2 to chloroplasts is thereby facilitated. 

Leaves that develop in sunny environments and have high photosynthetic capacities are generally thicker than leaves from shaded environments. This is achieved with more elongate cells within the palisade layer and/or several layers of cells forming the palisade tissue. Thicker leaves in a sunny environment enable more Rubisco to be deployed which confers a higher photosynthetic capacity. Fitting more Rubisco into a unit of leaf area with good access to intercellular airspace requires an increase in mesophyll cell surface which is possible by increasing the thickness of the mesophyll tissue and hence leaf thickness. A thicker leaf in sunny environments is energy effective because enough photons reach chloroplasts in lower cell layers to keep their Rubisco gainfully employed. By contrast, in a shaded habitat, less Rubisco is required for a leaf with lower photosynthetic capacity and this can be fitted into thinner leaves.

1.0-Ch-Fig-1.2.jpeg

Figure 1.2 A scanning electron micrograph of an uncoated and rapidly frozen piece of tobacco leaf fractured in (A) to reveal columnar mesophyll cells of the palisade layer beneath the upper leaf surface and spongy mesophyll in the lower half. Chloroplasts can be clearly seen covering the inner faces of cell walls. Looking onto the lower surface (B), the epidermis and stomata are present on the left side of the vein, whereas the epidermis was fractured away on the right side, revealing spongy mesophyll tissue. Light micrographs (C, D) of sections cut parallel to the leaf surface are shown for palisade (C) and spongy mesophyll (D) with solid lines showing where the paradermal sections align with (A). Chloroplasts form a dense single layer covering the cell surfaces exposed to intercellular airspace, but are rarely present lining walls where two cells meet. Scale bar in (A) = 50 µm and (B) = 200 µm.  (C) and (D) have same magnification as (A). (Images courtesy J. Evans and S. von Caemmerer)

 

1.1.2 - Light absorption

Figp1.03.png

Figure 1.3 Light absorption by pigments in solution and by leaves. Absorbance (A) refers to attenuation of light transmitted through a leaf or a solution of leaf pigments, as measured in a spectrophotometer, and is derived from the expression A = log I0/I where I0 is incident light, and I is transmitted light. The solid curve (scale on right ordinate) shows absorbance of a solution of pigment—protein complexes equivalent to that of a leaf with 0.5 mmol Chl m-2. The dotted curve shows absorptance (scale on left ordinate), and represents the fraction of light entering the solution that is absorbed. Virtually all light between 400 and 500 nm and around 675 nm is absorbed, compared with only 40% of light around 550 nm (green). The dashed curve with squares represents leaf absorptance, which does not reach 1 because the leaf surface reflects part of the incident light. Leaves absorb more light around 550 nm than a solution with the same amount of pigment (75 versus 38%, respectively) because leaves scatter light internally. This increases the pathlength and thereby increases the probability of absorption above that observed for the same pigment concentration in solution. (Based on K.J. McCree, Agric Meteorol 9: 191-216, 1972; J.R. Evans and J.M. Anderson, BBA 892: 75-82, 1987)

Pigments in thylakoid membranes of individual chloroplasts (Figure 1.7) are ultimately responsible for strong absorption of wavelengths corresponding to blue and red regions of the visible spectrum (Figure 1.3). Irradiated with red or blue light, leaves appear dark due to this strong absorption, but in white light leaves appear green due to weak absorption around 550 nm, which corresponds to green light. Ultraviolet (UV) light (wavelengths below 400 nm) can be damaging to macromolecules, and sensitive photosynthetic membranes also suffer. Consequently, plants adapt by developing an effective sunscreen in their cuticular and epidermal layers. 

Overall, absorption of visible light by mesophyll tissue is complex due to sieve-effects and scattering. Sieve-effect is an outcome from packaging pigments into discrete units, in this case chloroplasts, while remaining leaf tissue is transparent. This increases the probability that light can bypass some pigment and penetrate more deeply. A regular, parallel arrangement of columnar cells in the palisade tissue with chloroplasts all vertically aligned means that about 80% of light entering a leaf initially bypasses the chloroplasts, and measurements of absorption in a light integrating sphere confirm this. Scattering occurs by reflection and refraction of light at cell walls due to the different refractive indices of air and water. Irregular-shaped cells in spongy tissues enhance scattering, increasing the path length of light travelling through a leaf and thus increasing the probability of absorption. Path lengthening is particularly important for those wavelengths more weakly absorbed and results in nearly 80% absorption, even at 550 nm (Figure 1.3). Consequently, leaves typically absorb about 85% of incident light between 400 and 700 nm; only about 10% is reflected and the remaining 5% is transmitted. These percentages do of course vary according to genotype × environment factors, and especially adaptation to aridity and light climate.

Sunlight entering leaves is attenuated with depth in much the same way as light entering a canopy of leaves shows a logarithmic attenuation with depth that follows Beer’s Law (Section 12.4). Within individual leaves, the pattern of light absorption is a function of both cell anatomy and distribution of pigments. An example of several spatial profiles for a spinach leaf is shown in Figure 1.4. Chlorophyll density peaks in the lower palisade layer and decreases towards each surface. The amount of light declines roughly exponentially with increasing depth through the leaf. Light absorption is then given by the product of the chlorophyll and light profiles. Light absorption initially increases from the upper surface, peaking near the base of the first palisade layer, then declines steadily towards the lower surface. Because light is the pre-eminent driving variable for photosynthesis, CO2 fixation tends to follow the light absorption profile (see 14C fixation pattern in Figure 1.4). However, the profile is skewed towards the lower surface because of a non-uniform distribution of photosynthetic capacity. Chloroplasts near the upper surface have ‘sun’-type characteristics which include a higher ratio of Rubisco to chlorophyll and higher rate of electron transport per unit chlorophyll. Chloroplasts near the lower surface show the converse features of ‘shade’ chloroplasts. Similar differences between ‘sun’ and ‘shade’ leaves are also apparent. Chloroplast properties do not change as much as the rate of absorption of light. Consequently, the amount of CO2 fixed per quanta absorbed increases with increasing depth beneath the upper leaf surface. The lower half of a leaf absorbs about 25% of incoming light, but is responsible for about 31% of a leaf’s total CO2 assimilation.

Figp1.04.png

Figure 1.4 Profiles of chlorophyll, light absorption and photosynthetic activity through a spinach leaf. Cell outlines are shown in transverse section (left side). Triangles represent the fraction of total leaf chlorophyll in each layer. The light profile (dotted curve) can then be calculated from the Beer—Lambert law. The profile of absorbed light is thus the product of the chlorophyll and light profiles (solid curve). CO2 fixation, revealed by 14C labelling, follows the absorbed light profile, being skewed towards slightly greater depths. (Based on J.N. Nishio et al., Plant Cell 5: 953-961, 1993; J.R. Evans, Aust J Plant Physiol 22: 865-873, 1995)

1.1.3 - CO<sub>2</sub> diffusion to chloroplasts

Leaves are covered with a barrier or ‘cuticle’ on the outer walls of epidermal cells that is impermeable to both water and CO2. To enable CO2 entry into the leaf for photosynthesis, the epidermis is perforated by pores called stomata (Figure 1.5). As CO2 molecules diffuse inwards they encounter an opposite flux of H2O molecules rushing outwards that is three to four orders of magnitude stronger. This problem of transpirational water loss is a particular problem for plants in hot, dry climates, such as in most of Australia. Leaves control this gas exchange by adjusting the aperture of stomata which can vary within minutes in response to changes in several environmental variables including light, humidity and CO2 concentration (see Chapter 15 for more details). Air-spaces inside leaves are effectively saturated with water vapour (equivalent to 100% relative humidity at that leaf temperature) and because air surrounding illuminated leaves is almost universally drier, water molecules diffuse outwards down this concentration gradient from leaf to air. 

Figp1.05.png

Figure 1.5 Diagram of a transverse section through an isolateral Eucalyptus pauciflora leaf which is normally pendulant. Palisade tissue occurs beneath both surfaces with spongy tissue and oil glands (not shown) in the middle. Putative pathways for diffusion of H2O out of substomatal cavities are shown by the solid curved arrows. CO2 diffuses inwards and H2O diffuses outwards in response to concentration differences between the leaf and air. Such gas exchange is restricted by a boundary layer (the unstirred layer of air at the leaf surface) and by stomata. One stoma is shown on each surface. CO2 diffusion continues inside the leaf mesophyll through airspaces between cells (curved dashed arrows) to reach cell walls adjacent to each chloroplast where CO2 dissolves and then diffuses into the chloroplast to reach the carboxylating enzyme Rubisco. Bundle sheath extensions (bottom of diagram) reach both epidermis and create an internal barrier to lateral diffusion. (Based on J.R. Evans et al., Planta 189: 191-200, 1993)

The diffusion pathway for H2O out of a leaf is usually divided into two parts, namely the boundary layer of still air at the leaf surface and stomatal pores (Figure 1.5). Boundary layer thickness depends on windspeed, leaf dimensions and the presence of surface structures (e.g. hairs in Figure 1.1). Positioning of stomata also varies between species. Leaves of terrestrial plants always have stomata on their lower (abaxial) surface but many species have stomata on both surfaces, especially if they have high photosynthetic rates and are in sunny locations such as pendulant leaves of eucalypts. Adaptations for arid environments include having surface structures like hairs and waxes, which increase the thickness of the boundary layer, and leaf rolling and encryption of stomata by placing them in crevices in the leaf surface. While these features restrict water loss, they also impose an increased resistance (decreased conductance) to CO2 uptake. 

The flux of water escaping from a leaf, called transpiration rate, can be understood from Fick’s law. It depends on the product between conductance and the gradient in water vapour from the inside of the leaf to the surrounding air. The vapour pressure gradient depends on both the humidity of the surrounding air and leaf temperature. Dry air (low humidity), or hotter leaf temperatures will result in greater transpiration rates for a given conductance. Maximum leaf conductance depends on the number and size of stomata per unit leaf area which is a leaf property that becomes fixed during development. However, the aperture of stomata can be varied, so stomatal conductance can vary over the timescale of minutes. Stomatal conductance responds to light, CO2 and humidity. The sensitivity of a leaf to these variables is not fixed but can change over time in response to, for example, drought. Transpiration rate can be measured by a variety of means. With the availability of portable instruments, it is now most commonly obtained by measuring the increase in water vapour content of air from a leaf enclosed in a chamber. Stomatal conductance can then be calculated from Fick’s law by dividing the transpiration rate by the vapour pressure gradient between the leaf and the air.

CO2 molecules diffusing inwards from ambient air to chloroplasts encounter restrictions additional to boundary layer and stomata (Figure 1.5). CO2 must also diffuse from substomatal cavities throughout the mesophyll, dissolve in wet cell walls, cross the plasma membrane to enter the cytosol, diffuse into chloroplasts across a double membrane (outer envelope in Figure 1.7) and finally reach fixation sites within the stroma of those chloroplasts. The combination of these restrictions from intercellular airspace to the sites of fixation within chloroplasts has been termed mesophyll conductance.

There is considerable variation in leaf anatomy and hence potential restriction to CO2 diffusion, but in general leaves with high rates of photosynthesis tend to have more permeable leaves (e.g. tobacco in Figure 1.2) and this complex anatomy ensures a greatly enlarged surface area for diffusion across interfaces. Indeed the total mesophyll cell wall area can be 20 times that of the projected leaf surface.

Chloroplasts tend to be appressed against cell walls adjacent to intercellular spaces (Figure 1.2 C, D) which improves access to CO2, and they contain carbonic anhydrase which speeds up diffusion of CO2 by catalysing interconversion of CO2 and bicarbonate within the stroma of chloroplasts. Although CO2 rather than HCO3 is the substrate species for Rubisco, the presence of carbonic anhydrase enables bicarbonate ions, which are more abundant under the alkaline conditions (pH 8.0) that prevail inside chloroplasts, to diffuse to Rubisco in concert with diffusion of CO2. By sustaining a very rapid equilibration between CO2 and HCO3 immediately adjacent to active sites on Rubisco, carbonic anhydrase enhances inward diffusion of inorganic carbon.

1.1.4 - Light and CO<sub>2</sub> effects on leaf photosynthesis

Figp1.06.png

Figure 1.6 Photosynthetic response to photon irradiance for a Eucalyptus maculata leaf measured at three ambient CO2 concentrations, 140, 350 and 1000 µmol mol-1. Irradiance is expressed as µmol quanta of photosynthetically active radiation absorbed per unit leaf area per second, and net CO2 assimilation is inferred from a drop in CO2 concentration of gas passing over a leaf held in a temperature-controlled cuvette. CO2 evolution in darkness is shown on the ordinate as an extrapolation below zero. The irradiance at which net CO2 exchange is zero is termed the light compensation point (commonly 15-50 µmol quanta m-2 s-1, shade to sun species respectively). The initial slope of light-response curves for CO2 assimilation per absorbed quanta represents maximum quantum yield for a leaf. (Based on E. Ögren and J.R. Evans, Planta 189: 182-190, 1993)

Light impinging on plants arrives as discrete particles we term photons, so that a flux of photosynthetically active photons can be referred to as ‘photon irradiance’. Each photon carries a quantum of electromagnetic (light) energy. In biology the terms photon and quantum (plural quanta) tend to be used interchangeably.

CO2 assimilation varies according to both light and CO2 partial pressure. At low light (low photon irradiance in Figure 1.6) assimilation rate increases linearly with increasing irradiance, and the slope of this initial response represents maximum quantum yield (mol CO2 fixed per mol quanta absorbed). Reference to absorbed quanta in this expression is important. Leaves vary widely in surface characteristics (hence reflectance) as well as internal anatomy and chlorophyll content per unit leaf area. Therefore, since absorption of photosynthetically active quanta will vary, quantum yield expressed in terms of incident irradiance does not necessarily reflect the photosynthetic efficiency of the mesophyll. In the case of comparisons between sun and shade leaves, it has led to a widely held but mistaken belief that shade leaves (thinner and with higher chlorophyll content) are more efficient. Expressed in terms of absorbed quanta, sun and shade leaves have virtually identical quantum efficiencies for CO2 assimilation. 

Assimilation rate increases more slowly at higher irradiances until eventually a plateau is reached where further increases in irradiance do not increase the rate of CO2 assimilation (Figure 1.6). Chloroplasts are then light saturated. Absolute values for both quantum yield and light-saturated plateaux depend on CO2 concentration. Quantum yield increases as CO2 concentration increases as it competes more successfully with other species such as oxygen, at the binding site on Rubisco. Leaf absorptance has a hyperbolic dependence on chlorophyll content. For most leaves, 80–85% of 400–700 nm light is absorbed and it is only in leaves produced under severe nitrogen deficiency where there is less than 0.25 mmol Chl m–2 that absorptance falls below 75%. 

The plateau in Figure 1.6 at high irradiance is set by maximum Rubisco activity. With increasing CO2 partial pressure, the rate of carboxylation increases. The transition from light-limited to Rubisco-limited CO2 assimilation as irradiance increases becomes progressively more gradual at higher CO2 partial pressures. In part, this gentle transition reflects the fact that a leaf is a population of chloroplasts which have different photosynthetic properties depending on their position within that leaf. As discussed above, the profile of photosynthetic capacity per chloroplast changes less than the profile of light absorption per chloroplast (Figure 1.4). This results in an increase in CO2 fixed per quanta absorbed with increasing depth. A transition from a light to a Rubisco limitation therefore occurs at progressively higher incident irradiances for each subsequent layer and results in a more gradual transition in the irradiance response curve of a leaf compared to that of a chloroplast. 

Photosynthetic capacity of leaves varies widely according to light, water and nutrient availability and these differences in capacity usually reflect Rubisco content. Leaves in high light environments (‘sun’ leaves) have greater CO2 assimilation capacities than those in shaded environments and this is reflected in the larger allocation of nitrogen-based resources to photosynthetic carbon reduction (PCR cycle; Section 2.1). Sun leaves have a high stomatal density, are thicker and have a higher ratio of Rubisco to chlorophyll in order to utilise the larger availability of photons (and hence ATP and NADPH). Shade leaves are larger and thinner, but have more chlorophyll per unit leaf dry weight than sun leaves. They can have a greater quantum yield per unit of carbon invested in leaves, but with a relatively greater allocation of nitrogen-based resources to photon capture, shade leaves achieve a lower maximum rate of assimilation.

Despite such differences in leaf anatomy and chloroplast composition, leaves sustain energy transduction and CO2 fixation in an efficient and closely coordinated fashion. Processes responsible are discussed below (Section 1.2).

Case Study 1.1 - Development of <em>A:C<sub>i</sub></em> curves

Susanne von Caemmerer, Research School of Biology, Australian National University

CO2 assimilation rate at a whole-leaf level can be analysed in terms of the underlying biochemistry. Traditionally, photosynthesis has been divided into light and dark reactions. The light reactions describe photosynthetic electron flow which generates reducing power (NADPH) and the formation of ATP. The dark reactions consist of the photosynthetic carbon reduction and oxidation cycles which start with Rubisco as the primary catalyst.

In this essay A:Ci refers to CO2 assimilation rate (A) as a function of intercellular CO2 (Ci) which can either be expressed in terms of concentration (µL of CO2 per litre of gas, µL L–1, or ppm) or partial pressure (µbar, or Pa). Multiplying concentration by atmospheric pressure converts it to partial pressure (e.g. 400 µL L–1 x 0.95 bar = 380 µbar). Partial pressures are preferred as this is the form that relates best to Rubisco performance and takes into account the altitude where the measurement was made. At sea level where atmospheric pressure averages one bar, the values for concentration and partial pressure are the same. A:Ci curves are created by measuring A in various atmospheric CO2 concentrations.

Physical concepts of leaf gas exchange

Penman and Schofield (1951) put diffusion of CO2 and water vapour through stomata on a firm physical basis. Their ideas were taken up at Wageningen by Pieter Gaastra in the 1950s and modern analytical gas exchange is often attributed to this seminal work (Gaastra 1959) where he even constructed his own infrared gas analyser and other equipment necessary to make measurements of CO2 and water vapour exchange. His work was a landmark because it examined CO2 assimilation and water vapour exchange rates of individual leaves under different environmental conditions, and he distinguished between stomatal and internal resistances. Gaastra calculated resistances to water vapour and CO2 diffusion from two equations (here in our simplified notation) which are based on Fick’s Law for the diffusion of gases.

\[ E=\frac{w_i-w_a}{r_{sw}} \text{ and } A=\frac{C_a-C_i}{r_{sc}} \tag{1} \]

where E and A are the fluxes of water vapour and CO2 and \(w_i\) and \(c_i\) and \(w_a\) and \(c_a\) are the mole fractions of water vapour and CO2 in intercellular air spaces and ambient air respectively. The denominator terms, \(r_{sw}\) and \(r_{sc}\), represent stomatal resistances to H2O and CO2 diffusion respectively. Gaastra assumed that \(w_i\) was equivalent to the saturated vapour pressure at the measured leaf temperature. By rearranging equation 1, \(r_{sw}\) could be calculated:

\[ r_sw=\frac{w_i-w_a}{E} \tag{2} \]

Knowing that resistances to CO2 and water vapour are related by the ratio of their diffusivities, he calculated stomatal resistance to CO2 diffusion, \(r_{sc}\). Gaastra realised that the diffusion path for CO2 is longer than that of water vapour, as CO2 had to diffuse from the intercellular airspaces through the cell wall across membranes to the chloroplast stroma where CO2 fixation by Rubisco takes place. He therefore extended the equation for CO2 assimilation to:

\[ A=\frac{C_a-C_c}{r_{sc}+r_m} \tag{3} \]

where Cc represented CO2 concentration in the chloroplasts.

Gaastra analysed the dependence of CO2 assimilation rate on light, CO2 and temperature, and observed that at low CO2 concentrations the rate of CO2 assimilation was independent of temperature whereas it was strongly influenced by temperature at higher CO2 concentrations. This led him to conclude that the rate of CO2 uptake was completely limited by CO2 diffusion processes at low CO2 and that biochemical processes became limiting only at high CO2. The belief that CO2 diffusion was limiting gave rise to the assumption that chloroplastic CO2 concentration was close to zero. This led to the erroneous simplification of the above equation such that the total resistance to CO2 diffusion could be calculated from CO2 assimilation rate and the ambient CO2 concentration alone. Since stomatal resistances could be calculated from measurements of water vapour diffusion, it was also possible to calculate mesophyll resistance to CO2 diffusion. In Australia particularly, there was great interest in determining the relative importance of stomatal versus mesophyll resistance in limiting CO2 assimilation rates under adverse conditions of high temperature and water stresses. In global terms, much of the pioneering work was undertaken in this country (see, for example, Bierhuizen and Slatyer 1964).

Calculation of intercellular CO2, Ci and the first A versus Ci curves

Fig1-long.png

Figure 1.  An early A:Ci curve showing the CO2 assimilation rate of cotton at a range of cell wall CO2 concentrations (redrawn from Troughton and Slayter (1969) and retaining original units for CO2 flux). For comparative purposes, 10 × 10-8 g cm-2 s-1 would be equivalent to 22.27 µmol CO2 m-2 s-1, and 1 µg L-1 would be equivalent to 0.54 µL L-1 (assuming a gram molecular weight of 44 for CO2, and measurements at normal temperature and pressure). (a) Leaf temperature influences the overall shape of CO2 response curves (measured in O2-free air) but has no effect on the initial slope where response to CO2 is limited by Rubisco activity. This family of curves comes from repeated measurements of gas exchange by the same leaf at five different temperatures (values shown) and indicated in the figure by five different symbols. (b) CO2 response curves for two leaves of cotton measured in O2-free air at 25°C and three levels of relative water content. Legend: ● leaf 1, 92% water content; O leaf 1, 56%; ▲ leaf 2, 92%; Δ leaf 2, 69%. Identical slopes regardless of treatment mean that variation in relative water content over this range is without effect on CO2 assimilation within mesophyll tissues. By implication, reduction in CO2 uptake as commonly observed on whole leaves under moisture stress would be attributable to stomatal factors.

Although CO2 concentration in intercellular airspaces, Ci, was explicit in Gaastra’s equations, this term was first specifically calculated by Moss and Rawlings in 1963, and the first extensive use of the parameter was made by Whiteman and Koller in 1967, who examined stomatal responses to CO2 and irradiance, concluding that stomata were more likely to respond to Ci rather than Ca. The first bona fide response curves of CO2 assimilation rate to Ci rather than Ca were those of Troughton and Slatyer (1969) (Figure 1). In Figure 1(a), Ci was derived from measurements of CO2 uptake in an assimilation chamber where air passed through a leaf, rather than over both surfaces concurrently (as became commonplace in subsequent designs), and such estimates would differ slightly. More importantly, those measurements were made at different temperatures and confirmed that CO2 assimilation was not greatly affected by temperature at low Ci. Later, this lack of temperature dependence was explained by the kinetics of Rubisco (von Caemmerer and Farquhar 1981). Figure 1(b) shows the initial slope of CO2 response curves measured at different stages of water stress. In this case, water stress has affected stomatal resistance (as the Ci obtained at air levels of CO2 occur at progressively lower Ci) but not the relationship between CO2 assimilation rate and Ci. A versus Ci response curves thus provided an unambiguous distinction between stomatal and non-stomatal effects on CO2 assimilation and, provided stomata respond uniformly across both leaf surfaces, that distinction can be made quantitative.

Before we head further into a discussion of our understanding and interpretation of more comprehensive CO2 response curves, we must take an important digression into development of mathematical models of C3 photosynthesis.

Biochemistry of photosynthesis and leaf models

Gas exchange studies focused initially on physical limitations to diffusion, but it was not long before persuasive arguments were being brought forward to show that leaf biochemistry must influence the rate of CO2 fixation even at low CO2 concentrations. Björkman and Holmgren (1963) made careful gas exchange measurements of sun and shade ecotypes of Solidago growing in Sweden, and noted strong correlations between photosynthetic rate measured at high irradiance and ambient CO2 and the nitrogen content of leaves, and later also related it to different concentrations of Rubisco (then called carboxydismutase). Anatomical studies implied that thin shade leaves would have less internal diffusion resistance to CO2 than thicker sun leaves where cells were more densely packed, but the opposite was observed. Furthermore, following earlier discoveries that CO2 assimilation rate was enhanced under low-O2, Gauhl and Björkman (1969), then at Stanford, showed very elegantly that O2 concentration affected CO2 assimilation rate but not water vapour exchange (i.e. stomata did not respond to a change in O2). Clearly, the increase in CO2 assimilation rates seen with a decrease in O2 concentration could not be explained via a limitation on CO2 diffusion.

CS1.1_Fig2new-p.png

Figure 2. Comparison of measured and modelled CO2 response curves. (a) CO2 assimilation rate (A) v. intercellular CO2 partial pressure (Ci) in Phaseolus vulgaris measured at two irradiances and a leaf temperature of 28°C. Arrows indicate points obtained at an external CO2 partial pressure of 330 µbar, which was the ambient CO2 partial pressure in Canberra around 1980. (b) Modelled CO2 response curves. The solid curve extending from the x axis represents the Rubisco-limited rate of CO2 assimilation.

\[ A=\frac{\left(C_i - \Gamma_{*} \right) V_{cmax}}{C_i + K_c \left( 1 + O / K_o \right)} -R \]

The dashed lines and their extensions represent the electron-transport-limited rates of CO2 assimilation at the two irradiances.

\[ A=\frac{J \left( C_i - \Gamma_{*} \right)}{4.5C_i + 10.5 \Gamma} - R \]

For further details, see von Caemmerer and Farquhar (1981). (c) CO2 assimilation rate v. intercellular CO2 partial pressure in Phaseolus vulgaris measured at two O2 partial pressures at a leaf temperature of 28°C. Arrows indicate points obtained at an external CO2 partial pressure of 330 µbar. (d) Modelled CO2 response curves for conditions applied in (c) using the equations given in (b).

Central importance of Rubisco

Early mathematical models of leaf photosynthesis were extensions of Gaastra’s resistance equation, and could not accommodate the O2 sensitivity of CO2 assimilation. They were quickly followed by development of more biochemical models in the early 1970s and the discoveries by Bowes et al. (1971) that Rubisco was responsible for both carboxylation and oxygenation of RuBP (a five-carbon phosphorylated sugar, regenerated by the photosynthetic carbon reduction (PCR) cycle of chloroplasts). This crucial observation of dual function put Rubisco at centre stage. Laing et al. (1974) were first to compare the gas exchange of soybean leaves with the in vitro kinetics of Rubisco and suggested the following equation for the net CO2 assimilation rate:

\[ A=V_c \left(1-0.5\frac{V_o}{V_c} \right) \tag{4} \]

where \(V_c\) and \(V_o\) are the rates of Rubisco carboxylation and oxygenation (later on a term for mitochondrial respiration was added to most models). Laing et al. related a ratio of the rates of carboxylation to oxygenation of RuBP to the concentration of its substrates, CO2, \(C\), and O2, \(O\), and showed that:

\[ \frac{V_o}{V_c} = \frac{V_{omax} K_c}{V_{cmax} K_o} \frac{O}{C} = \frac{2 \Gamma_{*}}{C} \tag{5} \]

where \(K_c\), \(K_o\), \(V_{cmax}\), \(V_{omax}\) are the corresponding Michaelis Menten constants and maximal activities of carboxylase and oxygenase functions respectively and \(\Gamma_{*}\)is the CO2 compensation point in the absence of mitochondrial respiration.

A note on \(\Gamma\): illuminated leaves held in a closed circuit of recirculating air will reduce CO2 to a ‘compensation point’ where uptake and generation of CO2 are balanced; this is commonly 50–100 ppm for C3 plants and referred to as \(\Gamma\). A CO2 response curve for leaf photosynthesis will show a similar value as an intercept on the abscissa. \(\Gamma\) can thus be measured empirically, and will be an outcome of interactions between photosynthesis, photorespiration and dark (mitochondrial) respiration (R). If allowance is made for R, the CO2 compensation point would then be slightly lower, and is termed \(\Gamma_{*}\). As with measured \(\Gamma\), this inferred CO2 compensation point, \(\Gamma_{*}\) , is linearly related to O2, an observation that intrigued earlier observers but was easily reconciled with the dual function of Rubisco. Laing et al. (1974) used Equations 4 and 5 to predict this linear dependence of \(\Gamma_{*}\) on O2, and with subsequent confirmation Rubisco became a key player in photosynthetic models. (Equation 4 assumes that for each oxygenation, 0.5 CO2 are evolved in the subsequent photorespiratory cycle, although there has been some debate over this stoichiometry.) If the enzyme reaction is ordered with RuBP binding first, the rate of carboxylation in the presence of the competitive inhibition by O2 at saturating RuBP concentration can be given by

\[ V_c=\frac{CV_{cmax}}{C+K_c \left( 1+O⁄K_o \right)} \tag{6} \]

When combined with Equation 4 this gave a simple expression of net CO2 fixation rate:

\[ A = \frac{\left(C_i - \Gamma_{*} \right) V_{cmax}}{C_i + K_c \left( 1 + O / K_o \right)} \tag{7} \]

which depends on the maximal Rubisco activity and provided the quantitative framework for comparing rates of CO2 assimilations with the amount of Rubisco present in leaves (von Caemmerer and Farquhar 1981). Difference in CO2 assimilation rates observed under different growth conditions could then be explained according to variations in the amount of Rubisco present in leaves. In Figure 2 the dotted line shows a CO2 response curve modelled by Equation 7. Chloroplast CO2 partial pressure was then assumed to be similar to that in the intercellular airspaces. Using on-line discrimination between 13CO2 and 12CO2, and deriving an estimate of CO2 partial pressure at fixation sites within chloroplasts, we subsequently learned that a further draw down can occur, but the general applicability of Equation 7 was not compromised. As an aside, these equations became basic to most photosynthetic models long before the order of the reaction mechanism of Rubisco had been unequivocally established. Had CO2 and O2 bound to Rubisco before RuBP, or the reaction not been ordered, our equations would have been much more complex with both Km(CO2) and Km(O2) dependent upon RuBP concentration.

CS1.1_Fig3New-p.png

Figure 3. Transgenic tobacco with reduced amount of Rubisco shows no limitation by the rate of RuBP regeneration. CO2 assimilation response curves in wild-type tobacco ■ and in transgenic tobacco with reduced amount of Rubisco □, were measured at a photon irradiance of 1000 µmol quanta m-2 s-1 and a leaf temperature of 25°C. Lines show Rubisco-limited rates of CO2 assimilation (see legend to Figure 2). The reduction in Rubisco in transgenic tobacco was achieved with an antisense gene directed against the mRNA of the Rubisco small subunit (Hudson et al. 1992). Arrows indicate the points obtained at an external CO2 partial pressure of 350 µbar.

Regeneration of RuBP and electron transport rate

Equation 7 could mimic CO2 assimilation rate at low Ci , as well as O2 effects on CO2 uptake, but measured rates of CO2 assimilation saturated much more abruptly at high CO2 concentrations than could be predicted from Rubisco kinetics (Figure 2). Using a novel approach in Estonia, Laisk and Oja (1974) proposed that CO2 assimilation was limited by RuBP regeneration rate at high Ci. They had fed brief pulses of CO2 to leaves that had been previously exposed to low CO2 (conditions under which RuBP concentrations were presumably high), and obtained rates up to 10 times higher than the steady-state rates of CO2 assimilation! Lilley and Walker (1975) at Sheffield reached a similar conclusion after comparing the CO2 responses of illuminated isolated chloroplasts with those obtained upon lysing chloroplasts in a medium containing saturating RuBP.

In our model of C3 photosynthesis (Farquhar et al. 1980), the way we handled rate limitation by RuBP regeneration was probably the most important decision made in that context. Both ATP and NADPH were required for RuBP regeneration, and this fundamental need formed a connection with light in our model. From a mathematical perspective there were two options: (1) RuBP and CO2 could always colimit the rate of carboxylation, and this we would express in a double Michaelis Menten equation, or (2) carboxylation rate could be limited by either RuBP or else be saturated and thus independent of RuBP. The in vivo kinetics of Rubisco suggest the second option.

Peisker (1974) and Farquhar (1979) pointed out that Rubisco was unusual in that it was present in the chloroplast at very high concentrations. Given such a low Km(RuBP), this meant that the in vivo kinetics with respect to chloroplastic RuBP were those of a tight binding substrate. That is, the rate of Rubisco would depend linearly on RuBP concentration when chloroplastic RuBP concentration was below Rubisco catalytic site concentration, and once RuBP exceeded Rubisco site concentration carboxylase would be RuBP saturated. We also knew that irradiance affected CO2 assimilation rate mainly at high intercellular CO2. This supported option 2 (see Figure 2a, b). Given these insights, the more complex link between chloroplastic electron transport rate and RuBP pools used by Farquhar et al. (1980) was quickly simplified to a description of CO2 assimilation that was limited by RuBP regeneration, and utilisation of ATP and NADPH for photosynthetic carbon reduction or oxygenation. RuBP regeneration was in turn driven by the electron transport rate, J (dependent on irradiance and its own maximal capacity), and stoichiometry of ATP or NADPH use by the photosynthetic carbon reduction and oxygenation cycle. For example, when electron transport rate, \(J\), was limiting (in view of ATP use) carboxylation rate could proceed at:

\[ V_c = \frac{J}{4.5 + 10.5 \Gamma_{*} / C} \tag{8} \]

Dashed lines in Figure 2 give modelled electron-transport-limited rates of CO2 fixation according to:

\[ A = \frac{J \left( C_i - \Gamma_{*} \right)}{4.5C_i + 10.5 \Gamma} \tag{9} \]

This simplified formulation of C3 photosynthesis (Equations 7 and 9) now provides a meaningful framework for analysis of leaf photosynthesis, and has focused our interpretation of CO2 response curves on leaf biochemistry. For example, von Caemmerer and Farquhar (1981) related the initial slopes of CO2 response curves to in vitro Rubisco activity, and the CO2-saturated rates of A:Ci curves to in vitro measurements of electron transport rates. Such studies validate Equations 7 and 9, demonstrating that CO2 response curves could be used as a meaningful and non-invasive tool to quantify these biochemical components under a wide variety of conditions. Subsequent comparisons between wild-type tobacco and transgenic tobacco with a reduced amount of Rubisco have confirmed our concepts. When Rubisco alone is reduced in transgenic plants, RuBP regeneration capacity remains unchanged and no longer limits the rate of CO2 assimilation at high CO2. Rubisco then constitutes the sole limitation (Figure 3).

Colimitation

Both Rubisco and electron transport components are expensive in terms of leaf nitrogen. For example, Rubisco represents up to 25% of a leaf’s protein nitrogen, with energy transduction components a further 25%. At a Ci where the transition from a Rubisco limitation to RuBP regeneration limitation occurs, both capacities are used efficiently and colimit net CO2 assimilation. That is, assimilation can only be increased if both sets of component processes are increased. Where then should the balance lie if a plant is to use nitrogen-based resources to best effect? The transition obviously varies with irradiance and temperature so that an optimal balance will vary with habitat. However, surprisingly little variation has been observed and plants appear unable to shift this point of balance. As an example, important in the context of rising atmospheric CO2 concentrations, plants grown in a high CO2 environment should manage with less Rubisco and thus put more nitrogen into the capacity of RuBP regeneration. Surprisingly, such adjustments have not been observed experimentally, but given prospects of global change, our need for understanding gains urgency.

References

Bierhuizen JF, Slatyer RO (1964) Photosynthesis of cotton leaves under a range of environmental conditions in relation to internal and external diffusive resistances. Aust J Biol Sci 17: 348–359

Björkman O, Holmgren P (1963) Adaptability of the photosynthetic apparatus to light intensity in ecotypes from exposed and shaded habitats. Physiol Plant 16: 889–914

Bowes G, Ogren WL, Hageman RH (1971) Phosphoglycolate production catalysed by ribulose diphosphate carboxylase. Biochem Biophys Res Com 45 716–722

Evans JR, von Caemmerer S (1996) CO2 diffusion inside leaves. Plant Physiol 110: 339–346

Farquhar GD (1979) Models describing the kinetics of ribulose bisphoshate carboxylase–oxygenase. Archiv Biochem Biophys 193: 456–468

Farquhar GD, von Caemmerer S, Berry JA (1980) A biochemical model of photosynthetic CO2 assimilation in leaves of C3 species. Planta 149: 78–90

Gaastra P (1959) Photosynthesis of crop plants as influenced by light, carbon dioxide, temperature and stomatal diffusion resistance. Mededel Landbouwhogeschool Wageningen 59: 1–68

Gauhl E, Björkman O (1969) Simultaneous measurements on the effect of oxygen concentration on water vapor and carbon dioxide exchange. Planta 88: 187–191

Hudson GS, Evans JR, von Caemmerer S, Arvidsson YBC, Andrews TJ (1992) Reduction of ribulose-1,5-bisphosphate carboxylase/oxygenase content by antisense RNA reduced photosynthesis in tobacco plants. Plant Physiol 98: 294–302

Laing WA, Ogren W, Hageman R (1974) Regulation of soybean net photosynthetic CO2 fixation by the interaction of CO2, O2 and ribulose-1,5-diphosphate carboxylase. Plant Physiol 54: 678–685

Laisk A, Oja VM (1974) Photosynthesis of leaves subjected to brief impulses of CO2. Soviet J Plant Physiol 21: 928–935

Lilley RM, Walker DA (1975) Carbon dioxide assimilation by leaves, isolated chloroplasts and ribulose bisphosphate carboxylase from spinach. Plant Physiol 55: 1087–1092

Moss DN, Rawlings SL (1963) Concentration of carbon dioxide inside leaves. Nature 197: 1320–1321

Peisker M (1974) A model describing the influence of oxygen on photosynthetic carboxylation. Photosynthetica 8: 47–50

Penman HJ, Schofield RK (1951) Some physical aspects of assimilation and transpiration. Symp Soc Exp Biol 5: 115–129

Sharkey TD, Bernacchi CJ, Farquhar GD, Singsaas EL (2007) Fitting photosynthetic carbon dioxide response curves for C3 leaves. Plant Cell Environ 30: 1035-1040

Troughton JH, Slatyer RO (1969) Plant water status, leaf temperature and the calculated mesophyll resistance to carbon dioxide of cotton. Aust J Biol Sci 22: 815–827

von Caemmerer S (2000) Biochemical models of photosynthesis. Techniques in Plant Sciences No.2. CSIRO Publishing, Australia. http://biology.anu.edu.au/CMS/FileUploads/file/vonCaemmerer/von%20Caemme...

Whiteman PC, Koller D (1967) Interactions of carbon dioxide concentration, light intensity and temperature on plant resistance to water vapour and carbon dioxide diffusion. New Phytol 66: 463–473

1.2 - Chloroplasts and energy capture

1.0-Ch-Fig-1.0-NoNum1-v2.jpeg

Chloroplasts dividing (dumbbell figures) within an enlarging cell of a young spinach leaf, resulting in about 200 chloroplasts per cell at leaf maturity. (Micrograph courtesy John Possingham: Nomarski optics)

In thermodynamic terms, O2-generating photosynthesis in vascular plants is an improbable process! Improbable, because a weak oxidant (CO2) must oxidise a weak reductant (H2O), thereby producing a strong oxidant (O2) and a strong reductant (carbohydrate). To achieve this ‘uphill’ reaction, a massive and continuous input of chemical energy is required. However, in nature, only radiant energy is available on that scale. How then can green plants achieve this conversion? Chloroplasts are responsible, and in the most significant process in our biosphere, photosynthetically active quanta are trapped and converted into chemically usable forms. This captured energy sustains plant growth and provides a renewable resource base for life on earth.

Thanks to the pioneering work of Calvin and Benson at Berkeley on 14CO2 fixation products by Chlorella which began in the 1950s, biochemical aspects of photosynthetic carbon reduction (Calvin cycle) are now comprehensively understood. The transduction of light energy into chemical potential energy is not so well understood, while events surrounding photosynthetic electron flow are defined in some detail and are described here, biophysical processes within the water-splitting apparatus of chloroplasts, and indeed the manner in which photons are captured and their quantum energy harnessed for photolysis, remain something of an enigma and fall outside the scope of our present account.

1.2.1 - Chloroplast structure and composition

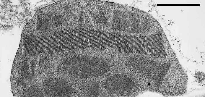
1.0-Ch-Fig-1.7.jpg

Figure 1.7 A mature and functional chloroplast in an immature leaf of bean (Phaseolus vulgaris) with an extensive network of photosynthetic membranes (thylakoids), parts of which are appressed into moderate granal stacks, and suspended in a gel-like matrix (stroma).The chloroplast containing a pair of starch grains (S) is encapsulated in a double membrane (envelope) and suspended within a granular cytoplasmic matrix adjacent to a mitochondrion (M) and in close proximity to the cell wall (CW). Scale bar = 1 µm. (Micrograph courtesy S. Craig and C. Miller)

Chloroplasts are easily recognised under a light microscope in leaf sections as distinctive green organelles suspended in the cytoplasm and usually appressed against cell walls. Chloroplasts are abundant in mesophyll tissue (commonly 200–300 in each palisade cell) and functional organelles can be isolated from homogenates of leaf tissue. 

Chloroplasts are surrounded by a double membrane, or envelope, just visible in transmission electron micrographs (Figure 1.7). This envelope encapsulates a soluble (gel-like) stroma which contains all the enzymes necessary for carbon fixation, many enzymes of nitrogen and sulphur metabolism and the chloroplast’s own genetic machinery. 

The inner membrane of a chloroplast envelope is an effective barrier between stroma and cytoplasm, and houses transporters for phosphate and metabolites (Section 2.1.8) as well as some of the enzymes for lipid synthesis. By comparison, the outer membrane of the chloroplast envelope is less complex and more permeable to both ions and metabolites. 

Suspended within the stroma, and entirely separate from envelope membranes, is an elaborately folded system of photosynthetic membranes or ‘thylakoids’ (literally ‘little sacs’). Embedded within these membranes are the complexes that enable light harvesting and electron flow from H2O molecules to NADP+, thereby converting light energy into chemically usable forms. There are four basic complexes comprising two types of photosystem (with interlinked protein and pigment molecules), cytochrome b/f complexes (pivotal for photosynthetic electron transport) and ATP synthase complexes (responsible for proton egress from thylakoid lumen to stroma, and consequent ATP generation). These complexes are densely packed within the thylakoids. This remarkable transduction of energy, with such profound implications for life as we know it, starts with selective absorption of incoming light by chlorophylls and accessory pigments (certain carotenoids) that operate within both photosystems.

1.2.2 - Chlorophyll absorption and photosynthetic action spectra

Figp1.08-p.png

Figure 1.8 Upper curves: Diethylether solutions of chlorophyll a (Chl a, solid line) and chlorophyll b (Chl b, dotted line) show distinct absorption peaks in
 blue and in red regions of the visible spectrum (redrawn from Zscheile and Comar’s (1941) original data). Fluorescence emission spectra (inset, redrawn from Lichtenthaler 1986) show peaks only in red, and at wavelengths characteristically longer than corresponding absorption peaks, namely 648 cf. 642 nm for Chl b, and 668 cf. 662 nm for Chl a. Lower curves: In situ absorption spectra (eluted from gel slices) for pigment-protein complexes corresponding to photosystem II reaction centre (PSII RC) and light-harvesting chlorophyll (a,b)-protein complexes (LHC). A secondary peak at 472 nm and a shoulder at 653 nm indicate contributions from Chl b to these broadened absorption spectra which have been normalised to 10 µM Chl solutions in a 1 cm path length cuvette. (Based on J.R. Evans and J.M. Anderson, BBA 892: 75-82, 1987)

Chlorophylls are readily extracted from (soft) leaves into organic solvent and separated chromatographically into constituent types, most notably chlorophyll a (Chl a) and chlorophyll b (Chl b). These two chemical variants of chlorophyll are universal constituents of wild vascular plants and express highly characteristic absorption spectra (Figure 1.8, upper curves). Both chlorophylls show absorption maxima at wavelengths corresponding to blue and red, but chlorophyll assay in crude extracts, which inevitably contain carotenoids as well, is routinely based on absorption maxima in red light to avoid overlap with these accessory pigments that show strong absorption below 500 nm. Absorption maxima at 659 and 642 for Chl a and Chl b respectively would thus serve for assay in diethylether, but these peaks will shift slightly according to solvent system, and such shifts must be taken into account for precise measurement (see Porra et al. 1989 for details). Additional chlorophylls have been discovered that exist in cyanobacteria which extends their absorption spectrum into the infrared (Figure 1.9).

Chl a and Chl b differ with respect to both role and relative abundance in higher plants. Chl a/b ratios commonly range from 3.3 to 4.2 in well-nourished sun-adapted species, but can be as low as 2.2 or thereabouts in shade-adapted species grown at low light. Such variation is easily reconciled with contrasting functional roles for both Chl a and Chl b. Both forms of chlorophyll are involved in light harvesting, whereas special forms of only Chl a are linked into energy-processing centres of photosystems. In weak light, optimisation of leaf function calls for greater investment of leaf resources in light harvesting rather than energy processing. As a result the relative abundance of Chl b will increase and the Chl a/b ratio will be lower compared with that in strong light. Conversely, in strong light, photons are abundant and require greater capacity for energy processing by leaves (hence the higher Chl a/b ratio).  As a further subtlety, the two photosystems of higher plant chloroplasts (discussed later) also differ in their Chl a/b ratio, and this provided Boardman and Anderson (1964) with the first clue that they had achieved a historic first in the physical separation of those two entities. 

Carotenoids also participate in photosynthetic energy transduction. Photosystems have an absolute requirement for catalytic amounts of these accessory pigments, but their more substantive involvement is via dissipation of potentially harmful energy that would otherwise impact on delicate reaction centres when leaves experience excess photon irradiance (further details in Chapter 12). Carotenoids are thus regarded as ‘accessory’ to primary pigments (chlorophylls) and in molar terms are present in mature leaves at about one-third the abundance of Chl (a + b). 

Chlorophyll in leaves is not free in solution but is held in pigment-protein complexes, each with a different absorption spectrum (see Evans and Anderson 1987). In particular, light-harvesting Chl a, b–protein complexes (LHC in Figure 1.8, lower curves) develop a secondary absorption peak at 472 nm with a shoulder at 653 nm, while the Chl a of photosystem II reaction centres shows absorption peaks at 437 and 672 nm (compared with 429 and 659 nm for purified Chl a in ether; Figure 1.8, upper curves).

Subtle alterations in the molecular architecture of chlorophyll molecules according to the particular protein to which they bind in either light-harvesting or energy-processing centres are responsible for these shifts in absorption peaks, and for a general broadening of absorption spectra (compare lower and upper curves in Figure 1.8). Such effects are further accentuated within intact leaves by accessory pigments and greatly lengthened absorption pathways resulting in about 85% of visible wavelengths being absorbed (Figure 1.10). Any absorbed quanta at wavelengths below 680 nm can drive one electron through either reaction centre. Maximum quantum yield (Figure 1.10) occurs when both reaction centres absorb equal numbers of such quanta. When one photosystem population (PSII) absorbs more quanta than the other (PSI), excess quanta cannot be used to drive whole-chain (linear) electron flow. Quantum yield is reduced as a consequence, and leads to a slight discrepancy between in vivo absorption maxima (Figure 1.8) and quantum yield (Figure 1.10).

Although UV wavelengths are absorbed by leaves and would be capable of driving photosynthesis, such short wavelengths are damaging to biological systems and plants have adapted by developing a chemical sunscreen. Consequently, the quantum yield from these wavelengths drops off markedly below about 425 nm. Beyond 700 nm (infrared band) absorption drops to near zero, and forestalls leaf heating from this source of energy. However, quantum yield falls away even faster, and this ‘red drop’, though puzzling at first, led subsequently to a comprehensive model for photosynthetic energy transduction, outlined below.

1.0-Ch-Fig-1.9.png

Figure 1.9 Absorption spectra for the four types of chlorophyll found in photosynthetic organisms with respect to the visible spectrum. Chlorophyll d and f are found in a cyanobacteria which allows it to utilise infrared light between 700-750 nm, beyond the range normally absorbed by photosynthetic organisms. The chlorophylls are dissolved in methanol which alters their spectra compared to in vivo. The extinction coefficients for the long wavelength peak of each chlorophyll are: Chl a 665.5 nm 71.4 L mmol-1 cm-1, Chl b 652 nm 38.6 L mmol-1 cm-1, Chl d 697 nm 63.7 L mmol-1 cm-1, Chl f 707 nm 71.1 L mmol-1 cm-1. (Based on Chen and Blankenship, Trends Plant Sci 16: 427-431, 2011; Li et al., BBA Bioenergetics, 2012; Porra et al., BBA Bioenergetics 975: 384-394, 1989).

Figp1.09-p.png

Figure 1.10 Leaves absorb visible light very effectively (85% for the waveband between 400 and 700 nm; solid curve).Wavelengths corresponding to green light are  absorbed less effectively (absorptance drops to c. 0.75). Beyond 700 nm  (infrared band) absorptance drops to near zero, and forestalls leaf heating  from this source of energy. Quantum yield is referenced to values obtained  in red light (600-625 nm), which is most effective in driving photosynthesis, requiring about 10 quanta per CO2 assimilated (based on high-precision leaf  gas exchange) compared with about 12 quanta at the blue peak (450 nm). Quantum yield shows a bimodal response to wavelength. Absorptance drops  beyond 700 nm but quantum yield drops off even faster because PSII (responsible for O2 generation) absorbs around 680 nm and cannot use quanta at longer wavelengths in this measuring system. UV wavelengths (below 400 nm) are capable of driving photosynthesis, but as a protective adaptation  vascular plants accumulate a chemical ‘sunscreen’ in response to UV exposure. Field-grown plants are especially rich in these substances so that  absorbed UV is dissipated harmlessly, lowering quantum yield compared  with growth-chamber plants. (Based on K.J. McCree, Agric Meteorol 9: 191-216, 1972)

1.2.3 - Cooperative photosystems and a ‘Z’ scheme for electron flow

Plants and many algae contain two distinct protein complexes for trapping and processing photons of light; photosystems I and II (PSI and PSII). These two systems can be separated and identified using a combination of biochemical and chemical techniques. Within the chloroplast, however, these two systems must work cooperatively and sequentially to absorb photons and convert their quantum energy into a flow of electrons. Interestingly, although PSI was discovered first, in cyanobacteria, photosynthetic electron flow is initiated in PSII and then proceeds to PSI. In PSII electrons are provided through the splitting of water molecules. PSI is responsible for finally delivering these electrons to NADH+.

This section presents a historical account of the discovery of the two photosystems and how they work together to split water and produce NADH+.

Prior to the advent of high-precision leaf gas exchange methods (as employed for Figure 1.10), O2 evolution was taken as a measure of photosynthetic activity. Action spectra were measured on a number of plants and algae over the range of visible radiation. A crucial and consistent observation was that O2 evolution dropped off much faster in the long-wavelength red region (>690 nm) than did absorption. Put another way, more quanta were being absorbed at longer wavelengths than could be used for photosynthesis. It seemed at these longer wavelengths as though a light absorber was being robbed of energy-processing capacity.

Anticipating that bimodal absorption implied a two-step process, and knowing that chlorophyll also absorbed photons at shorter wavelengths, Robert Emerson (working at Urbana in the mid-1950s) supplemented far-red light with shorter wavelength red irradiance and demonstrated that the relatively low photosynthetic rate in far-red light could be significantly increased. In fact the photosynthetic rate achieved with the two light qualities combined could be 30–40% higher than the sum of the rates in far-red or shorter red when measured separately (Emerson et al. 1957). This phenomenon became known as the ‘Emerson Enhancement Effect’ and contributed to a working hypothesis for photosynthetic energy conversion based upon two photochemical acts (proposed by Duysens et al. 1961), but additional lines of evidence were impacting on this outcome.

At about the same time as Emerson was establishing his enhancement effect, Myers and French observed ‘sequential enhancement’; that is, a disproportionate increase in photosynthetic rate or efficiency when the two light qualities were separated in time. The upper limits of dark intervals between two flashes of different light quality were 6 s for far-red after green and 1 min for green after far-red. Clearly, the ‘product’ of photochemical act 1 was stable for 1 min, that of act 2 for only 6 s. This discovery implied that chemical intermediates, rather than an altered physical state, were involved in a two-step cooperation (see Clayton 1980).

According to physical laws of photochemical equivalence, there should be a 1:1 yield in converting light energy to chemical energy by a perfect system. Quantum requirement for such events would be 1. However in photosynthesis the absolute quantum requirement for O2 is much greater than I. In the 1950s, Robert Emerson (at Urbana) and co-workers determined that 8-10 quanta were required. Hill and Bendell (1960) suggested a 'Z' scheme that was consistent with a requirment of 8-10 quanta, the cooperation of 2 quanta in the separation of one strong reducing and one strong oxidising equivalent, and the operation of two sequential photochemical acts. Figure 1.11 is a greatly developed version of their original model.

Figp1.10-p.png

Figure 1.11. A highly diagrammatic zig-zag or ‘Z’ scheme of photosynthetic electron transport from water to NADP+ showing the sequence of electron/proton carriers and their association with either PSII or PSI. Linear electron flow is shown as solid lines; cyclic electron flow is indicated by dashed lines. All of these electron transport chains operate within thylakoid membranes with electron flow following a sequence dictated by redox potential (shown in volts on the ordinate). Cyclic electron flow in PSII diverts electrons from pheophytin to cytochrome b559 (and possibly back to P680+). Cyclic electron transport around PSI moves electrons from ferredoxin through cytochrome b565 and plastoquinone (PQ), while pseudocyclic electron transport takes electrons from ferredoxin to O2. (Original drawing courtesy C. Critchley).

In linear flow, water molecules are split in PSII, liberating O2 and providing a source of electrons. M is the manganese—containing cluster which oxidises water, Z is tyrosine-161 of the D1 protein which in turn represents the primary electron donor to P680+ (a special pair of Chl a molecules with an absorption peak at 680 nm). Pheo is the primary electron acceptor pheophytin a, a chlorophyll molecule lacking magnesium; QA is the first stable and permanently bound plastoquinone electron acceptor; QB is the second, temporarily bound, plastoquinone electron acceptor which actually leaves PSII in a reduced form (PQH2). Further along, FeS = Rieske iron—sulphur centre; Cyt f = cytochrome f; PC = plastocyanin; P700 = reaction centre chlorophyll a of PSI; A0, A1, FX, FB and FA are electron acceptors of PSI; Fd = ferredoxin; Cyt b559 = cytochrome b559; Cyt b563 = cytochrome b563. Also shown as tapered arrows is H+ accumulation in the lumen associated with water and plastoquinol oxidations.

The original version of this ‘Z’ scheme was further validated by unequivocal evidence from Australia that the two (inferred) photosystems were indeed separate physical entities. Using sophisticated biochemical chloroplast purification and subfractionation methods, coupled with detergent solubilisation of membranes, Boardman and Anderson (1964) achieved the first physical separation of photosystem II (PSII) and photosystem I (PSI), thus confirming the separate identities of those complexes. 

A source of electrons had long been recognised as basic to the operation of this ‘Z’ scheme, with H2O molecules an obvious source, but were photosynthetic membranes capable of photolysis? Early experiments by Robin Hill and colleagues at Cambridge had established this capability. They used isolated thylakoid membrane preparations and showed that O2 could be evolved in the absence of CO2 as long as external electron acceptors were present (Hill reaction). Intact leaves or whole chloroplasts have no need for an artificial acceptor because electron flow is directed to NADP+ and subsequent reduction of CO2 (first demonstrated with intact chloroplasts; see Arnon 1984). The O2-evolving function of photosynthesis was found to be associated with PSII in experiments with isolated thylakoids using external (artificial) electron donors and acceptors and specific electron transport inhibitors. As one outcome of those early Cambridge experiments, O2 evolution is now measured routinely in vitro (and in vivo on leaves) with O2 electrodes (Walker 1987). 

Chloroplast structure and function is by now sufficiently well defined to consider photosynthetic electron flow in detail. Figure 1.11 applies equally well to vascular plants or to algae with oxygenic photosynthesis, where in either case two photosystems work cooperatively and sequentially in absorbing photons and converting their quantum energy into a flow of electrons. Paradoxically, convention has it that photosynthetic electron flow initiates in PSII and proceeds to PSI. PSII was so named because PSI had already been described in single-celled (prokaryotic) organisms and, owing to the rules of nomenclature, was accorded priority. 

Both photosystems are large multi-subunit complexes, quite different structurally and functionally, and operating in series. In PSII, electrons are provided from a water-splitting apparatus via a manganese complex which undergoes oxidation from a valency state of +2 to +4. These oxidation states are made possible by P680+ (a special form of Chl a with an absorption peak at 680 nm). P680+ is a powerful oxidant generated by absorption of energy from a photon. P680 is referred to as a ‘special pair’ because it is a pair of Chl a molecules. Electrons from P680 pass to pheophytin (Pheo in Figure 1.11) and on to a bound quinone molecule, QA. From there a second transiently bound quinone, QB, receives two electrons in succession and requires protonation. The entire, fully reduced, quinone molecule leaves PSII and enters a plastoquinone pool (2PQ).

In PSI, absorption of quantum energy from a photon causes oxidation of P700, the PSI reaction centre equivalent of P680. In contrast to PSII, where electrons are drawn from a water-splitting apparatus, P700 accepts electrons from PC (reduced form PC in Figure 1.12). Electrons then pass through three iron–sulphur (FeS) centres and out of PSI to ferredoxin (Fd). The reaction centre of PSI contains several proteins, but most of the electron transfer cofactors are bound to large heterodimeric proteins which in turn bind the inner Chl a antenna. The LHCI complex consists of possibly eight polypeptides of between 24 and 27 kDa which carry Chl a and Chl b plus carotenoids.

Figp1.11-p.png

Figure 1.12. Light harvesting, photosynthetic electron transport from H2O to NADP+ and generation of ATP are achieved via four types of complexes which show a lateral heterogeneity within thylakoid membranes. A small part of a continuous network of interconnected thylakoids is shown here diagrammatically where PSI complexes and ATP synthase are restricted to non—appressed regions. Most PSII complexes and the light-harvesting assemblages associated with PSII (LHCII) are held within appressed regions of this network. Cytochrome b/f complexes (Cyt b/f) are more generally located. (Based on J.M. Anderson and B. Andersson, Trends Biochem Sci 13: 351-355, 1988)

A chemiosmotic coupling mechanism is responsible for ATP synthesis. Protons are ‘pumped’ across the thylakoid membrane from outside (stroma) to inside (lumen) by a complex arrangement of electron carriers embedded within the membrane. A prodigious concentration of protons builds up within the lumen, partly from photolysis of water molecules (water-splitting apparatus on PSII) and partly from oxidation of plastoquinone (PQ) on the inner face of the membrane. Hence, energy originally carried by incident photons is transduced into energy stored within an electrochemical gradient acrosss the thylakoid membrane. The protonmotive force from inside (lumen) to outside (stroma) is used to generate ATP within the stroma via an ATP synthase complex (CF0 and CF1) that straddles the thylakoid membrane. OEC = oxygen-evolving complex; Pheo = pheophytin a.These two photosystems are juxtaposed across thylakoid membranes in such a way that linear electron transport is harnessed for charge separation, leading to a massive accumulation of H+ ions within the lumen of illuminated thylakoids, which is then employed in ATP generation.

Combining concepts of photolysis and photosynthetic electron flow outlined earlier (Figure 1.11) and putting that conceptual framework into a thylakoid membrane system (Figure 1.12), a picture emerges where electrons generated from splitting H2O molecules on the inner surface of PSII are transferred from plastoquinol (PQH2) to the Rieske iron– sulphur centre (Rieske FeS) of the cytochrome b6/f complex (Cyt b6/f) and further to cytochrome f (Cyt f). The pivotal importance of Cyt f in facilitating electron transport from PSII to PSI was demonstrated by Duysens and colleagues (see Levine 1969), who showed that preferential energisation of PSII (light at <670 nm) caused reduction, whereas preferential energisation of PSI (light at >695 nm) caused oxidation. This elegant ‘push–pull’ experiment confirmed the cooperative and sequential nature of PSII and PSI, as well as indicating overall direction of photosynthetic electron flow. 

Proteins which bind the Rieske FeS centre and Cyt f together with cytochrome b563 (Cyt b6) form a large electron transfer complex. This complex (Figure 1.12) spans the membrane and is located between the two photosystems. Electrons are transferred to PC (forming PC), a copper-containing soluble protein extrinsic to the thylakoid membrane and located in the lumen. On the other side of the membrane, attached to the stromal side, is ferredoxin (Fd) which accepts electrons from PSI and passes them on to ferredoxin–NADP reductase, an enzyme, also extrinsic to thylakoids, and attached on the stromal side of the thylakoid membrane. This enzyme accomplishes the final electron transfer in an overall linear chain and reduced NADP is then protonated.

While linear electron transport from water to NADP+ is the main and most important path, electrons can also be transferred to O2 in a so-called pseudocyclic or Mehler reaction (Figure 1.11). This pathway probably operates in vivo as a sink for electrons when synthetic events call for more ATP than NADPH. Electrons can also be cycled around both PSII and PSI. Electrons cycling around PSI will produce ATP but with no accompanying NADPH. Cyclic electron flow around PSII may have a completely different role and may be related to the downregulation of this photosystem during photoinhibition (Chapter 12).

According to this multistage scheme, electrons are transferred from donor (reductant) to acceptor (oxidant). The direction of that transfer depends upon a difference in oxidation–reduction potential between a given donor and a given acceptor (as indicated on the ordinate in Figure 1.11). A more positive potential implies stronger oxidative power (i.e. capacity to accept electrons); a more negative potential implies stronger reducing power (i.e. capacity to donate electrons). P680* thus has a strong capacity to donate electrons (a strong reductant); P700* has an even stronger capacity to donate electrons (an even stronger reductant). 

Molecules which accept electrons are immediately protonated. In aqueous systems, such as chloroplasts in vivo, hydrogen ions (H+) are ubiquitous, and these ions combine with electron acceptors to generate hydrogen atoms (i.e. H+ ion + electron  H atom). In Figure 1.11, some events involve electron transfer, while others include transfer of hydrogen atoms. As a simplifying convention, all such events are referred to as electron transfers. Ironically, the end result of all these reactions is a net transfer of hydrogen atoms!

1.2.4 - ATP synthesis

During photosynthetic electron transfer from water to NADP+, energy captured in two photoacts is stored as an electrochemical potential gradient of protons. First, such reduction of QB requires protonation with protons drawn from the stromal side of the membrane. Reoxidation (and deprotonation) occurs towards the thylakoid lumen. In addition, protons are lost from the stromal side via protonation of reduced NADP and they are also generated in the lumen during photolysis. A massive ΔpH, of approximately 3–4 pH units, equivalent to an H+ ion concentration difference of three to four orders of magnitude, develops across the thylakoid membrane. This immense gradient drives ATP synthesis (catalysed by ATP synthase) within a large energy-transducing complex embedded in the thylakoid membrane (Figure 1.12). 

ATP synthesis in chloroplasts (photophosphorylation) proceeds according to a mechanism that is basically similar to that in mitochondria. Chemiosmotic coupling (Mitchell 1961) which links the movement of protons down an electro-chemical potential gradient to ATP synthesis via an ATP synthase applies in both organelles. However, the orientation of ATP synthase is opposite. In chloroplasts protons accumulate in thylakoid lumen and pass outwards through the ATP synthase into the stroma. In mitochondria, protons accumulate within the intermembrane space and move inwards, generating ATP and oxidising NADH within the matrix of these organelles (Figure 2.24).

In chloroplasts, ATP synthase is called the CF0CF1 complex. The CF0 unit is a hydrophobic transmembrane multiprotein complex which contains a water-filled proton conducting channel. The CF1 unit is a hydrophilic peripheral membrane protein complex that protrudes into the stroma. It contains a reversible ATPase and a gate which controls proton movement between CF0 and CF1. Entire CF0CF1 complexes are restricted to non-appressed portions of thylakoid membranes due to their bulky CF1 unit. 

Direct evidence for ATP synthesis due to a transthylakoid pH gradient can be adduced as follows. When chloroplasts are stored in darkness in a pH 4.0 succinic acid buffer (i.e. a proton-rich medium), thylakoid lumen equilibrate to this pH. If the chloroplasts, still in the dark, are rapidly transferred to a pH 8.0 buffer containing ADP and Pi, ATP synthesis then occurs. This outcome confirms a central role for the proton concentration difference between thylakoid lumen and stroma for ATP synthesis in vitro; but does such a process operate on that scale in vivo

Mordhay Avron, based in Israel, answered this question in part during the early 1970s via a most elegant approach (Rottenberg et al. 1972). Working with thylakoid preparations, Avron and colleagues established that neutral amines were free to exchange between bathing medium and thylakoid lumen, but once protonated in illuminated preparations they became trapped inside. By titrating the loss of such amines from the external medium when preparations where shifted from dark to light, they were able to infer the amount retained inside. Knowing that the accumulation of amine depended upon H+ ion concentration in that lumen space, the difference in H+ ion concentration and hence ΔpH across the membrane were established. 

At saturating light, chloroplasts generate a proton gradient of approximately 3.5 pH units across their thylakoid membranes. Protons for this gradient are derived from the oxidation of water molecules occurring towards the inner surface of PSII and from transport of four electrons through the Cyt b/f complex, combined with cotranslocation of eight protons from the stroma into the thylakoid space for each pair of water molecules oxidised. Electrical neutrality is maintained by the passage of Mg2+ and Cl across the membrane, and as a consequence there is only a very small electrical gradient across the thylakoid membrane. The electrochemical potential gradient that yields energy is thus due almost entirely to the concentration of intrathylakoid H+ ions. 

For every three protons translocated via ATP synthase, one ATP is synthesised. Linear electron transport therefore generates about four molecules of ATP per O2 evolved. Thus eight photons are absorbed for every four ATP molecules generated or for each O2 generated. Cyclic electron transport is slightly more efficient at producing ATP and generates about four ATP per six photons absorbed. However, linear electron transport also generates NADPH, which is equivalent, in energy terms, to six ATP per O2 released.

As implied in Figure 1.12, the four thylakoid complexes, PSII, PSI, Cyt b/f and ATP synthase, are not evenly distributed in plant thylakoid membranes but show a lateral heterogeneity. This distribution is responsible for the highly characteristic structural organisation of the continuous thylakoid membrane into two regions, one consisting of closely appressed membranes or granal stacks, the other of non-appressed stroma lamellae where outside surfaces of thylakoid membranes are in direct contact with the stroma. This structural organisation is shown on a modest scale in Figure 1.7, but extreme examples are evident in chloroplasts of shade-adapted species grown in low light (Chapter 12). Under such conditions, membrane regions with clusters of PSII complexes and Cyt b/f complexes become appressed into classical granal stacks. Cyt b/f complexes are present inside these granal stacks as well as in stroma lamellae, but PSI and ATP synthase are absent from granal stacks. Linear electron transport occurs in granal stacks from PSII in appressed domains to PSI in granal margins. Nevertheless, shade plants have only a low rate of linear electron transport because they have fewer Cyt b/f and to a lesser extent fewer PSII complexes compared to PSI, a consequence of investing more chlorophyll in each PSII to enhance light harvesting (see Anderson (1986) and Chapter 12 for more detail).

1.2.5 - Chlorophyll fluorescence

1.0-Ch-Fig-1.13.jpeg

Figure 1.13 Catching the Light is a demonstration of photosynthesis in action. Photosynthesis begins when light is absorbed by chlorophyll. The flask contains chlorophyll extracted from spinach leaves. When a beam of light passes through the extract, the chlorophyll absorbs this energy. But because the chlorophyll in the flask has been isolated from the plant, energy cannot be converted and stored as sugar. Instead it is released as heat and red fluorescence. Note the green ring below the flask which is transmitted light, the colour we normally perceive for chlorophyll. The colour of a leaf is green because it reflects and transmits green light but absorbs the blue and red components of white light. (Image courtesy R. Hangarter)

A dilute solution of leaf chlorophyll in organic solvent appears green when viewed in white light. Wavelengths corresponding to bands of blue and red have been strongly absorbed (Figure 1.8), whereas mid-range wavelengths corresponding to green light are only weakly absorbed, hence the predominance of those wavelengths in transmitted and reflected light. However, when viewed at right angles to the light source, the solution will appear deep red due to energy re-emitted as fluorescence (Figure 1.13). The red colour is evident regardless of the colour of the source light.

Chlorophyll within the two photosystems can absorb energy from incident photons. This absorbed energy can be dissipated by driving the processes of photosynthesis, as heat, or re-emitted as fluorescence radiation. These are all complementary processes so that fluorescence provides an important tool in the study of photosynthesis. The normal processes of photochemistry and electron transport within intact leaves typically reduce the amount of fluorescence, a process referred to as quenching. In the demonstration shown in Figure 1.13 the chlorophyll has been isolated from the plant these processes are disrupted, minimizing the quenching effects.

Fluorescence spectra are invariate, and the same spectrum will be obtained (e.g. Figure 1.8 inset) regardless of which wavelengths are used for excitation. This characteristic emission is especially valuable in identifying source pigments responsible for given emission spectra, and for studying changes in their photochemical status during energy transduction. 

Fluorescence emission spectra (Figure 1.8 inset) are always displaced towards longer wavelengths compared with corresponding absorption spectra (Stoke’s shift). As quantum physics explains, photons intercepted by the chromophore of a chlorophyll molecule cause an instantaneous rearrangement of certain electrons, lifting that pigment molecule from a ground state to an excited state which has a lifetime of c. 10–9 s. Some of this excitation energy is subsequently converted to vibrational energy which is acquired much more ‘slowly’ by much heavier nuclei. A non-equilibrium state is induced, and molecules so affected begin to vibrate rather like a spring with characteristic periodicity, leading in turn to energy dissipation as heat plus remission of less energetic photons of longer wavelength.

Apart from their role in photon capture and transfer of excitation energy, photosystems function as energy converters because they are able to seize photon energy rather than lose as much as 30% of it through fluorescence as do chlorophylls in solution. Moreover, they can use the trapped energy to lift an electron to a higher energy level from where it can commence a ‘downhill’ flow via a series of electron carriers as summarised in Figure 1.11.

Protein structure confers very strict order on bound chlorophylls. X-ray crystallographic resolution of the bacterial reaction centre has given us a picture of the beautiful asymmetry of pigment and cofactor arrangements in these reaction centres, and electron diffraction has shown us how chlorophylls are arranged with proteins that form the main light-harvesting complexes of PSII. This structural constraint confers precise distance and orientation relationships between the various chlorophylls, as well as between chlorophylls and carotenoids, and between chlorophylls and cofactors enabling the photosystems to become such effective photochemical devices. It also means that only 2–5% of all the energy that is absorbed by a photosystem is lost as fluorescence. 

Fig 1.14.png

Figure 1.14 Fluorescence emission spectra from a leaf measured at room temperature or in liquid nitrogen. Spectra have been normalised to the peak at 748 nm.

If leaf tissue is held at liquid nitrogen temperature (77 K), photosynthetic electron flow ceases and chlorophyll fluorescence increases, including some emission from PSI (Figure 1.14). Induction kinetics of chlorophyll fluorescence at 77 K have been used to probe primary events in energy transduction, and especially the functional state of photosystems. Present discussion is restricted to room temperature fluorescence where even the small amount of fluorescence from PSII is diagnostic of changes in functional state. This is because chlorophyll fluorescence is not emitted simply as a burst of red light following excitation, but in an ordered fashion that varies widely in flux during continuous illumination. These transient events (Figure 1.15) are referred to collectively as fluorescence induction kinetics, fluorescence transients, or simply as a Kautsky curve in honour of its discoverer Hans Kautsky (Kautsky and Franck 1943). 

At room temperature and under steady-state conditions, in vivo Chl a fluorescence from leaves show a characteristic emission spectrum with two distinct peaks around 680–690 nm and 750 nm, both of which mainly originate from photosystem II (Figure 1.14). Because  other chlorophyll molecules can reabsorb fluorescence emitted at 680–690 nm within a leaf, the spatial origin of fluorescence can differ between the 680 and 750nm fluorescence that is detected. The fluorescence waveband measured by room temperature fluorometers differs between instruments. 

(a) Fluorescence induction kinetics

Figp1.12.png

Figure 1.15 A representative chart recorder trace of induction kinetics for Chl a fluorescence at room temperature from a mature bean leaf (Phaseolus vulgaris). The leaf was held in darkness for 17 min prior to excitation (zig-zag arrow) at a photon irradiance of 85 µmol quanta m-2 s-1. The overall Kautsky curve is given in (b), and an expanded version of the first 400 ms is shown in (a). See text for explanation of symbols and interpretation of variation in strength for these ‘rich but ambiguous signals’! (Based on R. Norrish et al., Photosyn Res 4: 213-227, 1983)

Strength of emission under steady-state conditions varies according to the fate of photon energy captured by LHCII, and the degree to which energy derived from photosynthetic electron flow is gainfully employed. However, strength of emission fluctuates widely during induction (Figure 1.15) and these rather perplexing dynamics are an outcome of some initial seesawing between photon capture and subsequent electron flow. Taking Figure 1.11 for reference, complexities of a fluorescence transient (Figure 1.15) can be explained as follows. At the instant of excitation (zig-zag arrow), signal strength jumps to a point called \(F_0\) which represents energy derived largely from chlorophyll molecules in the distal antennae of the LHCII complex which fail to transfer their excitation energy to another chlorophyll molecule, but lose it immediately as fluorescence. \(F_0\) thus varies according to the effectiveness of coupling between antennae chlorophyll and reaction centre chlorophyll, and will increase due to high-temperature stress or photodamage. Manganese-deficient leaves show a dramatic increase in \(F_0\) due to loss of functional continuity between photon-harvesting and energy-processing centres of PSII (discussed further in Chapter 16). 

Returning to Figure 1.15, the slower rise subsequent to \(F_0\) is called \(I\), and is followed by a further rise to \(F_m\). These stages reflect a surge of electrons which fill successive pools of various electron acceptors of PSII. Significantly, Fm is best expressed in leaves that have been held in darkness for at least 10–15 min. During this dark pretreatment, electrons are drawn from QA, leaving this pool in an oxidised state and ready to accept electrons from PSII. An alternative strategy is to irradiate leaves with far-red light to energise PSI preferentially, and so draw electrons from PSII via the Rieske FeS centre. The sharp peak (\(F_m\)) is due to a temporary restriction on electron flow downstream from PSII. This constraint results in maximum fluorescence out of PSII at about 500 ms after excitation in Figure 1.15(a). That peak will occur earlier where leaves contain more PSII relative to electron carriers, or in DCMU-treated leaves. 

Photochemistry and electron transport activity always quench fluorescence to a major extent unless electron flow out of PSII is blocked. Such blockage can be achieved with the herbicide 3-(3,4-dichlorophenyl)-1,1-dimethyl urea (DCMU) which binds specifically to the D1 protein of PSII and blocks electron flow to QB. DCMU is a very effective herbicide because it inhibits photosynthesis completely. As a consequence, signal rise to \(F_m\) is virtually instantaneous, and fluorescence emission stays high. 

Variation in strength of a fluorescence signal from \(F_0\) to \(F_m\) is also called variable fluorescence (\(F_v\)) because scale and kinetics of this rise are significantly influenced by all manner of environmental conditions. \(F_0\) plus \(F_v\) constitute the maximal fluorescence (\(F_m\)) a leaf can express within a given measuring system. The \(F_v/F_m\) ratio, measured after dark treatment, therefore reflects the proportion of efficiently working PSII units among the total PSII population. Hence it is a measure of the photochemical efficiency of a leaf, and correlates well with other measures of photosynthetic effectiveness (discussed further in Chapter 12).

(b) Fluorescence relaxation kinetics

Both the patterns of initial induction of fluorescence, and its subsequent decay once the light has ceased, are important indicators of the underlying structure and function of photosynthetic systems. The latter is referred to as the relaxation kinetics of a fluorescence event. In a typical experiment the chlorophyll is exposed to repeated pulses of light and the relaxation kinetics measured (Figure 1.16).

Figp1.13.png

Figure 1.16 Induction and relaxation kinetics of in vivo Chl a fluorescence from a well-nourished radish leaf (Raphanus sativus) supplied with a photon irradiance of actinic light at 500 µmol quanta m-2 s-1 and subjected to a saturating pulse of 9000 µmol quanta m-2 s-1 for 0.8 s every 10 s. Output signal was normalised to 1.0 around the value for \(F_m\) following 30 min dark pretreatment. Modulated light photon irradiance was <1 µmol quanta m-2 s-1. See text for definition of symbols and interpretation of kinetics. (Original data from J. Evans generated on a PAM fluorometer - Heinz Walz GmbH, Germany)

Excellent fluorometers for use in laboratory and field such as the Plant Efficiency Analyser (Hansatech, King’s Lynn, UK) make accurate measurements of all the indices of the Kautsky curve and yield rapid information about photochemical capacity and response to environmental stress. Conventional fluorometers (e.g. Figure 1.15) use a given source of weak light (commonly a red light-emitting diode producing only 50–100 µmol quanta m–2 s–1) for both chlorophyll excitation and as a source of light for photosynthetic reactions.

Even more sophisticated is the Pulse Amplitude Modulated (PAM) fluorometer (Walz, Effeltrich, Germany) which employs a number of fluorescence- and/or photosynthesis-activating light beams and probes fluorescence status and quenching properties. These fluorimeters measure fluorescence excited by a weak source of light that is modulated: that is a beam that applies short, square pulses of saturating light for chlorophyll excitation on top of a constant beam of light that sustains photosynthesis (actinic light). A combination of optical filters plus sophisticated electronics is used to tune the detector to detect only fluorescence excited by the modulated light beam.

In this way, most of the continuous background fluorescence and reflected long-wavelength light is disregarded. Most significantly, relative fluorescence can be measured in full sunlight in the field. The functional condition of PSII in actively photosynthesising leaf tissue is thus amenable to analysis. This instrument also reveals the relative contributions to total fluorescence quenching by photochemical and non-photochemical processes and will help assess any sustained loss of quantum efficiency in PSII. Photosynthetic electron transport rates can be calculated concurrently. These techniques have revolutionised the application of chlorophyll fluorescence to the study of photosynthesis.

Photochemical quenching (\(q_p\)) varies according to the oxidation state of electron acceptors on the donor side of PSII. When QA is oxidised (e.g. subsequent to dark pretreatment), quenching is maximised. Equally, \(q_p\) can be totally eliminated by a saturating pulse of excitation light that reduces QA, so that fluorescence yield will be maximised, as in a PAM fluorometer. Concurrently, a strong beam of actinic light drives photosynthesis (maintaining linear electron flow) and sustaining a pH gradient across thylakoid membranes for ATP synthesis. Those events are a prelude to energy utilisation and contribute to non-photochemical quenching (\(q_n\)). This \(q_n\) component can be inferred from a combination of induction plus relaxation kinetics.

In Figure 1.16, a previously darkened radish leaf (QA oxidised and ready to receive an electron from P680; 'traps open') initially receives weak modulated light (<1 µmol quanta m–2 s–1) that is insufficient to close traps but sufficient to establish a base line for constant yield fluorescence (\(F_0\)). This value will be used in subsequent calculations of fluorescence indices. The leaf is then pulsed with a brief (0.8 s) saturating flash (9000 µmol quanta m–2 s–1) to measure \(F_m\). Pulses follow at 10 s intervals to measure \(F_m^\prime\). Actinic light (500 µmol quanta m–2 s–1) starts with the second pulse and pH starts to build up in response to photosynthetic electron flow. Photosynthetic energy transduction comes to equilibrium with these conditions after a minute or so, and fluorescence indices \(q_n\) and \(q_p\) can then be calculated as follows:

\[ q_n=\frac{F_m - F_m^\prime}{F_m - F_0} \text{, and } q_p=\frac{F_m^\prime-F}{F_m^\prime - F_0} \tag{1.1} \]
Under these steady-state conditions, saturating pulses of excitation energy are being used to probe the functional state of PSII, and by eliminating \(q_p\) the quantum efficiency of light-energy conversion by PSII (\(\Phi_{PSII}\)) can be inferred:

\[ \Phi_{PSII} = \frac{F_m^\prime - F}{F_m^\prime} \tag{1.2} \]
If overall quantum efficiency for O2 evolution is taken as 10 (discussed earlier), then the rate of O2 evolution by this radish leaf will be: 

\[ \Phi_{PSII} \times \text{photon irradiance}/10 \;(\mu\text{mol O}_2 m^{-2}s^{-1}) \tag{1.3} \]

In summary, chlorophyll fluorescence at ambient temperature comes mainly from PSII. This photosystem helps to control overall quantum efficiency of electron flow and its functionality changes according to environmental and internal controls. In response to establishment of a ΔpH across thylakoid membranes, and particularly when irradiance exceeds saturation levels, some PSII units become down-regulated, that is, they change from very efficient photochemical energy converters into very effective energy wasters or dissipators (Chapter 12). Large amounts of the carotenoid pigment zeaxanthin in LHCII ensure harmless dissipation of this energy as heat (other mechanisms may also contribute). PSII also responds to feedback from carbon metabolism and other energy-consuming reactions in chloroplasts, and while variation in pool size of phosphorylated intermediates has been implicated, these mechanisms are not yet understood.

Case Study 1.2 - Five chlorophylls and photosynthesis

Min Chen

School of Biological Sciences, University of Sydney, Australia

Fig_1.1.png

Figure 1. Absorption spectra of photosynthetic organisms containing different chlorophylls and the quantum yield of photosynthesis using chlorophylls a and b (grey line). Green line, in vivo absorption spectrum of Synechocystis PCC 6803 in BG11 medium; Black line, isolated Prochloron cell suspension in seawater; Red line, in vivo absorption spectrum of Acaryochloris marine MBIC11017 in seawater medium; and Blue line, in vivo absorption spectrum of Halomicronema hongdechloris in seawater medium.

Solar radiation is a black body at a temperature of ~5800oK, covering all spectral regions. However, all known eukaryotic photosynthetic organisms (including plants and algae) are only able to use the same region of the solar spectrum that our eyes are sensitive to, covering the wavelength of 400 – 700 nm region, which is approximately 43% of the total solar radiation. This region is called photosynthetic active radiation (PAR) with estimated photon flux of 1.05 x 1021 photons m-2 s-1. Longer wavelengths up to 1000 nm can drive anoxygenic photosynthesis but not oxygenic (oxygen evolving) photosynthesis. The reason for the high threshold energy for oxygenic photosynthesis is the higher energy requirement for catalysing water oxidation and oxygen evolution in photosynthesis. The PAR input limit depends on the absorption of the photopigments. Chlorophylls a and b, the main chlorophylls in eukaryotic photosynthetic organisms, show their maximal absorption bands in the blue region of 430 - 455 nm and the red region of 645 -670 nm, thus leaving a “green window” and photons outside of “visible region” (Figure 1). The photons collected by chlorophylls a and b provide a strong enough redox potential for the oxidisation of water, while at the same time they also provide an negative enough excited state redox potentials for the reduction of the primary electron acceptor. 

There are five different chlorophylls that have been identified, chlorophylls a, b, c, d and f. Here, we focus on chlorophylls containing five rings (macrocycle) and an esterified 17-propionic acid side chain, the chlorin type chlorophylls, including chlorophylls a, b, d and f. The chemical difference among the different chlorophylls is either formyl substitution at the side chain of the macrocycle (chlorophyll b, d, and f) or the degree of unsaturation of the macrocycle (8-vinyl chlorophyll a and 8-vinly chlorophyll b).  Those chemical structural differences are also the spectral determinants and responsible for the different absorption spectral features (Figure 2).

Fig_1.2.png

Figure 2. Chemical structure of chlorophylls and their absorption spectra in 100% methanol. (A) Chemical structure of chlorophyll a and the structural differences of other chlorophylls from chlorophyll a. The carbon atoms are numbered using IUPAC system. (B) Absorption spectra of red-shifted chlorophylls, chlorophylls d and f, compared with chlorophyll a. (C) Absorption spectra of chlorophyll b and 8-vinyl chlorophyll a compared with chlorophyll a. (modified from reference 3)

Chlorophyll b is distinguished from chlorophyll a by a formyl instead of a methyl group on ring B at C7 position, which results in a blue-shift of the longest red absorbance band (Qy) from 665 nm to 652 nm. Chlorophyll d and chlorophyll f are distinguished from chlorophyll a by replacement of a peripheral substituent on ring A by a formyl group at C3 position and C2 position, respectively (Figure 2). The consequences of those formyl group substitutions at ring A result into a red-shifted Qy absorption wavelength, from 665 nm to 696 nm (chlorophyll d) and even further to 706 nm for chlorophyll f. Both chlorophylls d and f are named as red-shifted chlorophylls. Those red-shifted chlorophylls allow the organisms to use the light beyond 700 nm efficiently compared with the organisms containing chlorophylls a and b only.

Plants using chlorophyll a and b demonstrate the decreased quantum yield of photosynthesis using wavelength >700 nm, which is known as the “red drop” (Figure 1). The reason for the red-drop at ~700 nm is that the chlorophylls that absorb longer wavelength light beyond 700 nm will not do photosynthesis as efficiently as the chlorophylls that absorb shorter wavelength light. The 700 nm photons were considered as the red-edge of oxygenic photosynthesis. However, the newly discovered chlorophyll d-containing Acaryochloris marina and chlorophyll f-containing Halomicronema hongdechloris have forced a re-evaluation of what is the minimum threshold energy for oxygenic photosynthesis. Both red-shifted chlorophyll-containing cyanobacteria are found in the environment where visible lights are depleted by above layers of oxygenic photosynthetic organisms. The red-shifted chlorophylls allow them to absorb the longer wavelength light beyond 700 nm and do oxygenic photosynthesis as efficiently as above layers of chlorophyll a-containing organisms.  Accordingly, the minimum threshold energy for oxygenic photosynthesis has been at extended to at least 750 nm in those red-shifted chlorophyll-containing organisms. The PAR increment in the region of the solar spectrum of 700 – 750 nm increases the number of available light energy by 19%.  The potential additional photon flux in the infrared region (700-750 nm) could improve the light-harvesting efficiency by extending the PAR coverage to 400-750 nm if those red-shifted chlorophylls could be introduced into plants and algae.

In addition for the potential enhancement for efficient light collection and transfer to the reaction centres under weak irradiation, the second functional demands for the light-harvesting process is their protecting function at exposure to strong light, which will be covered in a following case study.

Further Reading

Chen M, Blankenship RB (2011) Expanding the solar spectrum used by photosynthesis. Trends Plant Sci 16: 427-431

Chen M, Schliep M, Willows R, Cai Z-L, Neilan BA, Scheer H (2010) A red-shifted chlorophyll. Science 329: 1318-1319

Chen M, Scheer H (2013) Extending the limit of natural photosynthesis and implications of technical light harvesting, J Porphyrins Phthalocyanines 17: 1-15

1.3 - Concluding remarks

 

Chloroplasts are sites of solar energy absorption and subsequent transduction into chemically usable forms. Splitting water molecules and developing a proton motive force of sufficient magnitude to drive ATP synthesis are energy-intensive processes. Consequently, photosynthetic organisms evolved with dual photosystems that work cooperatively and sequentially to extract sufficient quantum energy from parcels of absorbed photons to generate a sufficiently strong electrochemical potential gradient to synthesise the relatively stable, high-energy compounds ATP and NADPH. Such metabolic energy sustains cycles of photosynthetic carbon reduction (PCR) where CO2 is initially assimilated by one of three photosynthetic pathways, namely C3, C4 or CAM, but eventually fixed via a PCR cycle within the stromal compartment of chloroplasts. These photosynthetic pathways are described in the following chapter.  Section 2.1 describes C3 photosynthesis, Section 2.2 presents C4 photosynthesis and other photosynthetic modes, and Section 2.3 covers photorespiration.

Thermodynamically, the net outcome of photosynthetic energy transduction must be viewed as long-term storage of energy in the form of a product pair, namely free oxygen and reduced carbon (organic matter), rather than as separate molecules. Plants themselves or indeed any heterotrophic organisms subsequently retrieve such energy via metabolic ‘combustion’ of the organic matter where enzyme-catalysed reactions bring this pair of products together again in the process known as mitochondrial respiration. This is described in Section 2.4.

1.4 Further reading

Evans JR, von Caemmerer S (1996) Carbon dioxide diffusion inside leaves. Plant Physiol 110: 339-346

Evans JR, Kaldenhoff R, Genty B, Terashima I (2009) Resistances along the CO2 diffusion pathway inside leaves. J Exp Bot 60: 2235-2248

Kramer DM, Evans JR (2011) The importance of energy balance in improving photosynthetic productivity. Plant Physiol 155: 70-78

Sharkey TD (1985) Photosynthesis in intact leaves of C3 plants: physics, physiology and rate limitations. Bot Rev 51: 53-105

Syvertsen JP, Lloyd J, McConchie C, Kriedemann PE, Farquhar GD (1995) On the relationship between leaf anatomy and CO2 diffusion through the mesophyll of hypostomatous leaves. Plant Cell Environ 18: 149-157

Terashima I (1989). Productive structure of a leaf'. In Photosynthesis, ed. WR Briggs, 207-226. Alan R Liss: New York.

Terashima I, Fujita T, Inoue T, Chow WS, Oguchi R (2009) Green light drives leaf photosynthesis more efficiently than red light in strong white light: Revisiting the enigmatic question of why leaves are green. Plant Cell Physiol 50: 684-697

von Caemmerer S (2000) Biochemical models of photosynthesis. Techniques in Plant Sciences, No.2 CSIRO Publishing, Australia http://biology.anu.edu.au/CMS/FileUploads/file/vonCaemmerer/von%20Caemme...

Roger Hangarter and Dennis DeHart http://plantsinmotion.bio.indiana.edu/usbg/photosyn.htm

Chapter 2 - Carbon dioxide assimilation and respiration

Figp2.00-p.png

Tobacco plants (a) transformed with an antisense construct against Rubisco (anti-Rubisco) grow more slowly than wild types due to a 60% reduction in photosynthetic rate. Immunodetection of the large subunit polypeptide of Rubisco with an anti-Rubisco antiserum (b) shows that the anti—Rubisco transgenic plants contain less than 50% of the Rubisco detected in wild-type tobacco plants. Scale bar in (a) = 10 cm (Photograph courtesy Susanne von Caemmerer; original immunoblot courtesy Martha Ludwig)

Oula Ghannoum1, Susanne von Caemmerer2, Nicolas Taylor3 and A. Harvey Millar3
1Hawkesbury Institute of the Environment, University of Western Sydney
2Research School of Biology, Australian National University
3ARC Centre of Excellence inPlant Energy Biology, University of Western Australia

Rubisco (ribulose-1,5-bisphosphate carboxylase/oxygenase) is the most abundant single protein on earth and is pivotal for CO2 assimilation by all plants. In higher plants, the holoenzyme consists of eight large subunits, each with a molecular mass of 50-55 kD and eight small subunits of molecular mass 12-18 kD. Large subunits are encoded by a single gene in the chloroplast genome while a family of nuclear genes encode the small subunits. Any loss of catalytic effectiveness or reduction in amount translates to slower photosynthesis and reduced growth.

Life on earth is sustained by photosynthetic use of sunlight energy to convert atmospheric CO2 into carbohydrates. Billions of years ago, photosynthetic cyanobacterium-like prokaryotes were engulfed by early heterotrophic eukaryotes to produce aquatic photosynthetic organisms harbouring chloroplasts with double membranes. These gave rise to vascular plants which in turn adapted to changing terrestrial environments via distinctive modes of photosynthesis.

Most terrestrial plants fix atmospheric CO2 into carbohydrates via the C3 photosynthetic pathway and its initial three-carbon fixation product (Section 2.1). Millions of years of evolution under conditions of water limitation, temperature variations and glacial CO2 concentrations have produced higher plants with significant biochemical variants for fixation of atmospheric CO2 into carbohydrate, namely C4 (initial four-carbon fixation product), CAM (crassulacean acid metabolism) and SAM (submerged aquatic macrophytes) (Section 2.2).

Photosynthesis in C3 plants is inhibited by oxygen, initiating a series of metabolic reactions termed photorespiration (Section 2.3). Mitochondrial respiration converts the carbon gained for generation of energy to sustain growth and nutrient upake, as well as providing carbon skeletons for a multitude of synthetic events (Section 2.4).

2.1 - C<sub>3</sub> photosynthesis

Oula Ghannoum, University of Western Sydney, Australia

Despite much diversity in life form and biochemical process, all of the photosynthetic pathways focus upon a single enzyme which is by far the most abundant protein on earth, namely ribulose-1,5-bisphosphate carboxylase/oxygenase, or Rubisco (Figure 2.1a). Localised in the stroma of chloroplasts, this enzyme enables the primary catalytic step in photosynthetic carbon reduction (or PCR cycle) in all green plants and algae. Although Rubisco has been highly conserved throughout evolutionary history, this enzyme is surprisingly inefficient with a slow catalytic turnover (Vcmax), a poor specificity for CO2 as opposed to O2 (Sc/o), and a propensity for catalytic misfiring resulting in the production of catalytic inhibitors. This combination severely restricts photosynthetic performance of C3 plants under current ambient conditions of 20% O2 and 0.039% CO2 (390 μL L-1). Furthermore, Rubisco has a requirement for its own activating enzyme, Rubisco activase, which removes inhibitors from the catalytic sites to allow further catalysis. Accordingly, and in response to CO2 limitation, C4, C3-C4 intermediate, CAM and SAM variants have evolved with metabolic concentrating devices which enhance Rubisco performance (Section 2.2).

2.1.1 - Photosynthetic carbon reduction

Figp2.01.png

Figure 2.1 Photosynthetic carbon reduction (PCR cycle, also termed the Calvin-Benson cycle) utilises ATP and NADPH produced by thylakoid electron transport to drive CO2 fixation by Rubisco (a). CO2 is incorporated into a 5-carbon sugar phosphate to produce two 3-carbon sugar phosphates which can either be exported from the chloroplast for sucrose synthesis, be recycled to make more 5-carbon acceptors, or be used to make starch. The appearance of radioactive carbon in 3-carbon sugar phosphates and then in starch and sucrose following photosynthesis in 14CO2 was evidence for the pathway of photosynthesis. (b) (Original drawing courtesy Robert Furbank).

The biochemical pathway of CO2 fixation was discovered by feeding radioactively labelled CO2 in the light to algae and then extracting the cells and examining which compounds accumulated radioactivity. Figure 2.1(b) shows a typical labelling ‘pattern’ for a C3 plant. Here, a short burst of labelled CO2 was given to the plants, then the label was ‘chased’ through the photosynthetic pathway by flushing with unlabelled air. Atmospheric CO2 is initially incorporated into a five-carbon sugar phosphate (ribulose-1,5-bisphosphate or RuBP) to produce two molecules of the phosphorylated three-carbon compound 3-phosphoglycerate, often referred to as the acidic form 3-phosphoglyceric acid (3-PGA). Hence, plants which use Rubisco as their primary enzyme of CO2 fixation from the air are called C3 plants. Consequently, in C3 plants, 3-PGA is the first labelled sugar phosphate detected after a pulse of 14CO2 has been supplied (Figure 2.1b). In the PCR cycle, 3-PGA is phosphorylated by the ATP produced from thylakoid electron transport (see Chapter 1) and then reduced by NADPH to produce triose phosphate. Triose phosphates are the carbon backbones, produced by the PCR cycle, for the synthesis of critical carbohydrate for the maintenance of plant growth and the productive yield of stored carbohydrate in seed.

Newly synthesised triose phosphate faces three options. It can be (1) exported to the cytosol for sucrose synthesis and subsequent translocation to the rest of the plant, (2) recycled within the chloroplast to produce more RuBP or (3) diverted to produce starch (Figure 2.1a). This is shown by the time-course of the appearance of radioactivity in starch and sucrose after it has passed through 3-PGA (Figure 2.1b). The energy requirements of the PCR cycle are three ATP and two NADPH per CO2 fixed, in the absence of any other energy-consuming processes.

Sucrose and starch synthesis

Most of the triose phosphate synthesised in chloroplasts is converted to either sucrose or starch. Starch accumulates in chloroplasts, but sucrose is synthesised in the surrounding cytosol, starting with the export of dihydroxyacetone phosphate and glyceraldehyde phosphate from the chloroplast. A condensation reaction, catalysed by aldolase, generates fructose-1,6-bisphosphate, and this is converted to fructose-6-phosphate after an hydrolysis reaction catalysed by fructose-1,6-phosphatase. Sucrose-6-phosphate synthase then generates sucrose-6-phosphate from the reaction of fructose-6-phosphate and UDP-glucose. The phosphate group is removed by the action of sucrose-6-phosphatase. This Pi is transported back into the chloroplast where it is available for ATP synthesis. For each molecule of triose phosphate exported from a chloroplast, one Pi is translocated inwards.

Sucrose synthesised within the cytosol of photosynthesising cells is then available for general distribution and is commonly translocated to other carbon-demanding centres via the phloem (see Chapter 5).

By contrast, starch synthesis occurs within chloroplasts. The first step is a condensation of glucose-1-phosphate with ATP. Starch synthase then transfers glucose residues from this molecule to the non-reducing end of a pre-existing molecule of starch. Starch consists of two types of glucose polymer, namely amylose and amylopectin. Amylose is a long, unbranched chain of D-glucose units connected via (α1–4) linkages. Amylopectin is a branched form, with (α1–6) linkages forming branches approximately every 24–30 glucose residues.

2.1.2 - RuBP regeneration

Picture2.png

Figure 2.2. A simplified (above) and detailed (below) description of the photosynthetic carbon reduction (PCR) cycle. The fixation of CO2 by Rubisco to the acceptor molecule RuBP initiates the cycle with the production of two molecules of PGA. The subsequent, enzyme catalysed, generation of cycle intermediates are cycled to either regenerate RuBP or produce triose phosphates which are precursors for carbohydrate synthesis. The cycle is powered by the co-factors NADPH and ATP that are synthesised from the chloroplast electron transport chain. Enzymes include: PGK, phosphoglycerate kinase; GAPDH, glycraldehyde-3- phosphate dehydrogenase; TIM, triose phoshphate isomerase; ALD, aldolase; FBPase, fructose-1,6-bisphosphatase; TKL, transketolase, SBPase, seduheptulose-1,7-bisphosphatase; RPI, ribose-5-phosphate isomerase; RPE, ribose-5-phosphate epimerase and PRK, phosphoribulose kinase. (Courtesy Robert Sharwood).

Picture3.png

Figure 2.2b

Ribulose bisphosphate (RuBP) is consumed in the carboxylating step of carbon fixation. If such fixation is to continue, RuBP must be regenerated, and in this case via the PCR cycle. The PCR cycle operates within the stroma of chloroplasts, and consists of a sequence of 11 steps where a three-carbon compound (3-phosphoglycerate) is phosphorylated, reduced to glyceraldehyde 3-phosphate and isomerised to dihydroxyacetone phosphate. Condensation of this three-carbon compound with glyceraldehyde 3-phosphate yields a six- carbon compound (fructose bisphosphate). Following a series of carbon shunts, involving four-, five- and seven-carbon compounds, RuBP is regenerated.

Important features of the PCR cycle include: (1) for every step of the cycle to occur once, three carboxylations must occur via ribulose bisphosphate carboxylase thus generating six moles of phosphoglycerate (18 carbons); (2) for one turn of the cycle, three molecules of RuBP participate (15 carbons) and thus a net gain of three carbons has occurred for the plant; (3) in regenerating three molecules of RuBP, nine ATP and six NADPH are consumed.

2.1.3 - Properties of Rubisco

Photosynthetic carbon fixation in air is constrained by the kinetic properties of Rubisco. Form I Rubisco in higher plants is a large protein (approximately 550 kDa) comprised of eight large (approx. 50-55 kDa) and eight small subunits (approx. 13-18 kDa) to form an L8S8 hexadecamer. Rubisco synthesis and assembly in higher plants is a complex process whereby the large subunit gene (rbcL) is encoded in the chloroplast genome, while the small subunit genes (rbcS) are encoded as a multi-gene family in the nucleus. The Rubisco small subunits are translated as precursors in thc cytosol and are equipped with a transit-peptide to target them to the chloroplast. Upon import in the chloroplast the transit-peptide is cleaved by a stromal peptidase and the N-terminus modified by methylation of the n-terminal methionine. The large subunits  are synthesised within the chloroplast and also post-translationally modified through the removal of the the N-terminal methionine and serine amino acids and the subsequent acetylation of proline at the N-terminus and the methylation of lysine at position 14. The assembly of large and small subunits into functional hexadecameric Rubisco is reliant on the coordination of chloroplast-localised chaperones.

Despite selection pressure over evolutionary history, Rubisco remains an inefficient catalyst (Spreitzer and Salvucci 2002). Therefore, to achieve a productive maximum CO2 assimilation rate (Amax), plants must compensate for catalytic inefficiency by investing large amounts of nitrogen in Rubisco. Consequently, Rubisco comprises more than 50% of leaf soluble protein in C3 plants. On a global scale, this investment equates to around 10 kg of nitrogen per person!

More than 1000 million years of evolution has still not resulted in a ‘better’ Rubisco adapted for the current and future concentrations of CO2. Such a highly conserved catalytic protein is an outcome of thermodynamic and mechanistic difficulties inherent to this reaction. Rubisco requires carbamylation of the absolutely-conserved residue K201 that is then stabilised by the binding of Mg2+. Without this activation step Rubisco is unable to function. The fixation of CO2 to RuBP to form two molecules of 3-PGA is a five step catalytic process that produces highly reactive transition state intermediates that bind CO2. The highly reactive transition states make Rubisco prone to generating misfiring products, which generate inhibitors within the active site. Therefore, Rubisco requires its own catalytic protection enzyme Rubisco activase. Plants devoid of this enzyme fail to grow properly in air as the activation and subsequent activity of Rubisco is impeded (Portis and Salvucci 2002). Rubisco activase is an ATP-dependent process that removes inhibitors from the active site of Rubisco allowing for activation and catalysis to proceed. Recently, the crystal structure of Rubisco activase has been solved, which will provide key insight into the molecular interaction between Rubisco and Rubisco activase (reviewed by Portis et al. 2008).

Rubisco first evolved when the earth’s atmosphere was rich in CO2, but virtually devoid of O2. With the advent of oxygen-producing photosynthesis by land plants, and the resulting increases in atmospheric O2, one key deficiency of this enzyme became apparent. Rubisco would not only catalyse fixation of CO2 but would also permit incorporation of O2 into RuBP to produce, instead of two molecules of 3-PGA, just one molecule of 3-PGA with one molecule of a two-carbon compound, 2-phosphoglycolate (Section 2.3). Indeed, CO2 and O2 compete directly for access to the active sites of Rubisco. So feeble is Rubisco’s ability to distinguish between these two substrates that in air (20% O2) approximately one molecule of O2 is fixed for every three molecules of CO2.

Fixation of O2 and subsequent photorespiration (Section 2.3) is an energy-consuming process, due to competition between O2 and CO2 for RuBP, plus the energy cost of converting the phosphoglycolate product to a form which can be recycled in the PCR cycle. This energy cost is increased at higher temperatures because O2 competes more effectively with CO2 at the active site of Rubisco. Such sensitivity to temperature × O2 explains why CO2 enrichment, which reduces photorespiration, has a proportionally larger effect upon net carbon gain at higher temperatures than at lower temperatures (Section 13.3).

Figp2.02.png

Figure 2.3. Mechanisms underlying CO2 fixation by Rubisco have changed very little during evolution but Rubisco efficiency has improved. The enzyme in more 'highly evolved' species such as C3 angiosperms is able to fix more CO2 and less O2 in air, reducing photorespiratory energy costs. A measure of this is the relative specificity of Rubisco for CO2, shown here for a range of photosynthetic organisms. (Based on Andrews and Lorimer 1987).

Notwithstanding a meagre catalytic effectiveness in present day Rubisco, more efficient variants would still have had a selective advantage, and especially during those times in the earth’s geological history when atmospheric CO2 concentration was decreasing. Indeed there has been some improvement (Figure 2.3) such that specificity towards CO2 as opposed to O2 has improved significantly. Recently evolved angiosperms show a relative specificity almost twice that of 'older' organisms such as photosynthetic bacteria.

Despite such improvement, Rubisco remains seemingly maladapted to its cardinal role in global carbon uptake, and in response to selection pressure for more efficient variants of CO2 assimilation, vascular plants have evolved with photosynthetic mechanisms that alleviate an inefficient Rubisco. One key feature of such devices is a mechanism to increase CO2 concentration at active sites within photosynthetic tissues. Some of these photosynthetic pathways are dealt with below.

Feature essay 2.1 - The discovery of C<sub>4</sub> photosynthesis

By M.D. (Hal) Hatch

Discovering C4 photosynthesis is an instructive story because it says a lot about progress in science, about serendipity, as well as mindsets and our natural resistance to accept results that conflict with the dogma of the day.

2.1-FE-Fig-1.jpg

Figure 1. Dr M.D (Hal) Hatch, FAA, FRS, primary discoverer of C4 photosynthesis.

As a rule, the major chemical transformations that occur in plants proceed by exactly the same series of steps in all species. For instance, take the process of respiration where sugars and starch are broken down to CO2 and H2O, yielding energy for living cells. It is almost certain that this proceeds by exactly the same 20 or so steps in species right across the Plant Kingdom. In fact, the same process also operates in yeast, mice and man.

During the 1950s Melvin Calvin and his colleagues at Berkeley resolved the mechanism of photosynthetic CO2 assimilation in the alga Chlorella. Later, they showed that similar steps, with similar enzymes, occurred in a few higher plants. So, by the end of the 1950s it was reasonably assumed that this process, termed the Calvin cycle or photosynthetic carbon reduction (PCR) cycle, accounted for CO2 assimilation in all photosynthetic organisms.

In retrospect, a very observant reader of the plant biological literature of the early 1960s should have noticed that a small group of grass species, including plants like maize, had a set of very unusual but correlated properties, related in one way or another to the process of photosynthesis, that contrasted with the vast majority of other vascular plants. These included an unusual leaf anatomy, substantially higher rates of photosynthesis and growth, higher temperature and light optima for photosynthesis, a much higher water use efficiency, and a very low CO2 compensation point. From this, one might have reasonably concluded that these particular species could be using a different biochemical process for photosynthesis.

We now know that these unusual species fix CO2 by the C4 photosynthetic mechanism. However, the process was not discovered by following up these observations, and only later was the significance of these unusual, correlated features fully appreciated.

During the early 1960s, my colleague Roger Slack and I were working on aspects of carbohydrate biochemistry and sugar accumulation in sugar cane in the research laboratory of the Colonial Sugar Refining Company in Brisbane. Because of these particular interests, we were in regular contact with a laboratory in Hawaii that also worked on sugar cane. We learned from our Hawaiian colleagues, Hart, Kortschak and Burr, that they had seen some unusual results when they allowed sugar cane leaves to fix radioactive carbon dioxide (14CO2), that is, doing the same experiment that Calvin and his colleagues had done earlier with Chlorella. With this procedure radioactivity should be initially incorporated into the first products formed when CO2 is assimilated; in the case of the PCR cycle the radioactivity should appear in the three-carbon compound 3-phosphoglyceric acid (3-PGA) and then in sugar phosphates. However, when these Hawaiian workers first did this experiment as early as 1957 they saw only minor radiolabelling in 3-PGA after brief exposure to 14CO2 and later they showed that most of the radioactivity was located in the four-carbon dicarboxylic acids, malate and aspartate.

We were really intrigued by this result and had often discussed possible interpretations and significance. So when the Hawaiian group published their results a few years later in 1965 we set about repeating and extending these observations to see if we could find out what it all meant.

Before coming to that work it is worth recounting one other interesting twist to the story. In the late 1960s, and several years after we had begun studying C4 photosynthesis, we became aware of a report published some 10 years earlier in a somewhat obscure annual report of a Russian agricultural research institute. This report from a young Russian scientist, Yuri Karpilov, clearly showed that when maize leaves are exposed to radioactive CO2 most of the radioactivity incorporated after 15 s was not in 3-PGA but was in the same dicarboxylic acids, malate and aspartate, that the Hawaiians had found in labelled sugar cane leaves. In a publication about three years later, Karpilov and a more senior Russian scientist speculated that these results may have been due to faulty killing and extraction procedures. It seems doubtful that they appreciated the full significance of this earlier study.

Our initial experiments were designed to trace the exact fate of carbon assimilated by photosynthesis using 14CO2. Sugar cane leaves were exposed to 14CO2 for various periods under steady-state conditions for photosynthesis, then killed and extracted, and the radioactive products were separated by chromatography, identified and degraded to find out which carbons contained radioactivity. We confirmed the results of the Hawaiian group that most of the radioactivity incorporated after short periods in radioactive CO2 was located in the four-carbon acids malate and aspartate. Substantial radioactive labelling of the PCR cycle intermediates occurred only after longer periods (minutes, rather than seconds).

Critical information was subsequently provided by our so-called ‘pulse–chase’ experiments where a leaf was dosed briefly with 14CO2, and then returned to unlabelled air. The biochemical fate of previously fixed 14C can be followed in sequential samples of tissue. These experiments clearly showed a rapid movement of radioactivity from the four-carbon acid malate into 3-PGA and then later to sugar phosphates and finally into sucrose and starch. There were additional critical results from these initial studies: (1) a chemically unstable dicarboxylic acid, oxaloacetic acid, was rapidly labelled as well as malate and aspartate and was almost certainly the true first product formed; (2) fixed CO2 gave rise to the 4-C carboxyl of these four-carbon acids; and (3) this 4-C carboxyl carbon gave rise to the 1-C carboxyl of 3-PGA. Identification of oxaloacetic acid as an early labelled fixation product was an especially demanding task, and involved generation of a stable derivative that would remain intact during extraction and analysis of 14C fixation products.

Spurred on by this success, we then surveyed a large number of species and found radioactive labelling patterns similar to sugar cane in a number of other grass species, including maize, as well as species from two other plant families. This was an exciting result for us at the time since it clearly showed that this mode of photosynthesis was reasonably widespread taxonomically. The next step in determining the exact nature of this process was to discover the enzymes involved. In species such as sugar cane and maize, there proved to be seven enzyme-catalysed reactions involved in the steps unique to C4 photosynthesis, and these included two steps catalysed by enzymes that had never been described before!

Soon after, we named this process the C4 dicarboxylic acid pathway of photosynthesis — after the first product formed. This was later abbreviated to C4 pathway or C4 photosynthesis and the plants employing this process were termed C4 plants.

By 1970 we had a reasonably good understanding of how C4 photosynthesis worked in species like maize and sugar cane (see Section 2.2 for details), and suggested that the reactions unique to C4 photosynthesis might function to concentrate CO2 in the bundle sheath cells of C4 leaves, acting essentially as a CO2 pump. Later, we obtained direct experimental evidence that CO2 was indeed concentrated about 10- to 20-fold in these cells in the light.

As I mentioned earlier, a major departure from Calvin cycle photosynthesis was never expected. Imagine our surprise, therefore, when it was revealed during the early 1970s that there existed not one, but three different biochemical variants for C4 photosynthesis. On this basis C4 species were divided into three groups, and some connections between process and taxonomic background then emerged.

What advantages did all this offer plants over plants that fix CO2 directly by the PCR cycle — that is, using CO2 diffusing directly from air (and distinguished as C3 plants by virtue of their initial three-carbon fixation product phosphoglycerate). As Section 2.2 explains, concentrating CO2 in bundle sheath cells eliminates photorespiration. This, in turn, gives C4 plants distinct advantages in terms of growth and survival, especially at higher temperatures and under strong light. This can be seen most graphically in the distribution of grass species in Australia. In Tasmania, as well as the cooler and wetter southern-most tips of the continent, C4 species are in the minority. However, going north there is a rapid transition and for most of the continent most or all of the grass species are C4.

C4 photosynthesis also offers a potential for growth rates almost twice those seen in C3 plants, but this potential will only be seen at higher temperatures and higher light and this will not be evident in all C4 species. With this kind of growth potential, it is not surprising that C4 species also number among the world’s worst weeds!

As a parting note I should add that about 100 million years ago C3 plants were in their ‘prime’ with atmospheric CO2 concentrations between five and ten times present day levels. However, a new selection pressure then developed. Atmospheric CO2 declined over the next 50–60 million years to something close to our twentieth century levels of about 350 µL–1. This decline almost certainly provided the driving force for evolution of C4 photosynthesis. In other words, C4 photosynthesis was originally ‘discovered’ by nature in the course of overcoming the adverse effects of lower atmospheric CO2 concentration on C3 plants. In effect, C4 processes increase the CO2 concentration in bundle sheath cells to somewhere near the atmospheric CO2 concentration of 100 million years ago.

Further reading

Hatch MD (1987) C4 photosynthesis: a unique blend of modified biochemistry, anatomy and ultrastructure. Biochim Biophys Acta 895: 81–106

Hatch MD (1992) C4 photosynthesis: an unlikely process full of surprises Plant Cell Physiol 33: 333–342

2.2 - C<sub>4</sub> and CAM photosynthesis

Oula Ghannoum, University of Western Sydney, Australia

Approximately 85% of all terrestrial plant species perform C3 photosynthesis, while about 3% fix atmospheric CO2 via the C4 photosynthetic pathway. About 10% of plants carry out crassulation acid metabolism (CAM) and are usually found in highly xeric sites (deserts, epiphytic habitats). C4 plants predominate in open and arid habitats, and also include several important food crops such as maize and sugarcane. This section also covers other, less common photosynthetic modes, such as single-cell C4, C3-C4 intermediate and SAM photosynthesis.

A decline in atmospheric CO2 concentration during past millennia has likely provided the initial impetus for the evolution of C4 photosynthesis. High temperature and low water availability may have constituted additional evolutionary pressures. The key feature of C4 photosynthesis is the operation of a CO2 concentrating mechanism which elevates CO2 concentration around Rubisco sites. Hence, C4 plants have a competitive advantage over C3 plants at high temperature and under strong light because of a reduction in photorespiration and an increase in absolute rates of CO2 fixation at current ambient CO2. Such increase in photosynthetic efficiency results in faster carbon gain and commonly higher growth rates, particularly in subtropical and tropical environments. Consequently, and in response to the looming food security crisis, a global research effort led by IRRI (International Rice Research Institute) is underway to bioengineer C4 photosynthetic traits into major C3 crops, such as rice, in order to boost their photosynthesis, and thus, improve yield and resource use efficiency.

In response to CO2 limitation, not only C3-C4 intermediate, but also CAM and SAM variants have evolved with metabolic concentrating devices which enhance Rubisco performance (Sections 2.2.8 and 2.2.9).

2.2.1 - Evolution of C<sub>4</sub> photosynthesis

Figp2.03.png

Figure 2.3. C4 photosynthesis is an evolutionary development where specialised mesophyll cells initially fix CO2 from the air into 4-carbon acids which are transported to the site of the PCR cycle in the bundle sheath. The bundle sheath cells are relatively impermeable to CO2, so that when the CO2 is released here from the 4-carbon acids, it builds up to high levels. The C4 photosynthetic mechanism is a biochemical CO2 pump. The pathway shown here is overlayed on a micrograph of a C4 leaf, showing bundle sheath and mesophyll cells. Rubisco and the other PCR enzymes are in the bundle sheath cells while phosphoenolpyruvate (PEP) carboxylase is part of the CO2 pump in the mesophyll cells. In C4 plants, after radioactive labelling, 14C appears first in a 4-carbon acid, rather than in 3-PGA. Scale bar = 10 µm. (Original drawings courtesy M.D. Hatch).

One hundred million years ago (Mid-Cretaceous), atmospheric CO2 was between 1500 and 3000 µL L–1, or four to ten times post-industrial levels. Atmospheric CO2 declined during the Oligocene (20-30 million years ago) from the high Tertiary levels (>1000 µL L-1), and oscillated between 180 and 300 µL L-1 for the last 1-3 million years. The Oligocene was also a time when the Earth was dry and the tropics were relatively hot. The earliest origins of C4 photosynthesis date back to this period. Curiously, C4 plants remained in low abundance for a long period of time. According to stable carbon isotopic data, a worldwide expansion of C4 grasslands and savannas occurred during the Late Miocene and Pliocene (3 to 8 million years ago), most probably through the displacement of C3 vegetation (Edwards et al. 2010).

Under the early high concentration of CO2, photorespiration of C3 plants was inhibited (Section 2.3) so that photosynthetic efficiency was higher than it is now. In addition, maximum photosynthetic rates were double twentieth century values, and the energy cost of photosynthesis would have been around three ATP and two NADPH per molecule of CO2 fixed. As atmospheric CO2 concentrations declined to approximately 250–300 µL L–1, photosynthetic rates were halved, photorespiration increased substantially, photosynthetic efficiency declined and the energetic costs of photosynthesis increased to approximately five ATP and 3.2 NADPH per CO2 molecule fixed. Such events would have generated a strong selection pressure for genetic variants with increased carboxylation efficiency and increased photosynthetic rates.

Angiosperms have a higher relative specificity of Rubisco for CO2 than ferns and mosses (see examples of other less evolutionarily advanced species in Figure 2.3). Such differences imply minor evolution in this highly conserved molecule of Rubisco and there is little variation between species of vascular plants. Consequently, alteration of Rubisco in response to a changing atmospheric CO2 concentration has not been an option.

By contrast, evolution of a new photosynthetic pathway (C4) has occurred independently and on many occasions in diverse taxa over 25 to 30 million years as CO2 levels declined. Despite its complexity, C4 photosynthesis evolved more than 60 independent times in 19 distantly related flowering families. About 50% of C4 species are grasses (Poaceae) with ~18 distinct origins distributed over 370 genera and ~4600 species (Sage et al. 2011). The oldest identifiable fossils with pronounced bundle sheath layers are seven million years old, although necessary metabolic pathways could have evolved earlier, prior to this adaptation in anatomy. C4 plants are known to differ from C3 plants in their discrimination against atmospheric 13CO2, and shifts in the stable carbon isotope signature of soil carbonate layers that reflect emergence of C4 plants have been dated at 7.5 million years bp. Modern evidence from molecular phylogeny places the origin of the main C4 taxa at 25-30 million years ago (Christin et al. 2009). By inference, C4 photosynthesis evolved in response to a significant decline in atmospheric CO2 concentration, from 1500–3000 µL L–1 to about 300 µL L–1. By evolving a CO2-concentrating mechanism, C4 plants presented their Rubisco with an elevated partial pressure of CO2 despite lower atmospheric CO2. As a consequence, photorespiration was inhibited, maximum photosynthetic rates increased and energetic costs reduced.

2.2.2 - The CO<sub>2</sub> concentrating mechanism in C<sub>4</sub> photosynthesis

The C4 pathway (Figure 2.3) is ‘a unique blend of modified biochemistry, anatomy and ultra-structure’ (Hatch 1987). The classical C4 syndrome in most terrestrial plants consists of two photosynthetic cycles (C3 (or PCR) and C4) operating across two photosynthetic cell types (mesophyll and bundle sheath), which are arranged in concentric layers around the vascular bundle, also known as the kranz anatomy.

Figp2.04.png

Figure 2.5. CO2 photosynthesis response curves show that C4plants have a higher affinity for CO2. At common ambient levels of CO2, photosynthesis in a C4 leaf is almost fully CO2-saturated, whereas a C3 plant is operating at only one-half to two-thirds maximum rate. This contrast is due to the CO2-concentrating function of C4 photosynthesis. More sophisticated measurement of leaf assimilation as a function of intercellular CO2 (Figures 1-3 in Case study 1.1) can be used to reveal component processes. (Original drawings courtesy M.D. Hatch)

Initial and rapid fixation of CO2 within mesophyll cells results in the formation of a four-carbon compound which is then pumped to bundle sheath cells for decarboxylation and subsequent incorporation into the PCR cycle in that tissue. This neat division of labour hinges on specialised anatomy and has even resulted in evolution of distinct classes of chloroplasts in mesophyll compared with bundle sheath cells. Three biochemical variants of C4 photosynthesis (termed subtypes) are known to have evolved from C3 progenitor and in all cases with a recurring theme where the C4 cycle of mesophyll cells is complemented by a PCR cycle in bundle sheath cells, where Rubisco is exclusively localised. In effect, a biochemical ‘pump’ concentrates CO2 at Rubisco sites in bundle sheath cells thereby sustaining faster net rates of CO2 incorporation and virtually eliminating photorespiration. For this overall mechanism to have evolved, a complex combination of cell specialisation and differential gene expression was necessary. Figure 2.3a shows a low-magnification electron micrograph of a C4 leaf related to a generalised scheme for the C4 pathway.

plate02(ab).jpg

Figure 2.6. Rubisco can be localised in transverse sections of leaves by indirect immunofluorescent labelling where treated sections are viewed in conjunction with autofluorescence controls. Tissues such as bundle sheath extensions and epidermes fluoresce naturally, and such emission has to be ‘subtracted’ from present images. Considering (a), all chloroplasts in this C3 grass leaf (Microlaena stipoides) show a strong yellow fluorescence, indicating general distribution of Rubisco, and hence operation of the PCR cycle. By contrast, in (b), the C4 grass (Digitaria brownii) has restricted Rubisco to bundle sheath cells. In that case, mesophyll cells are devoid of Rubisco, fixing CO2 via the action of phosphoenolpyruvate carboxylase into a four-carbon acid which moves to bundle sheath cells, there providing CO2 for subsequent relaxation via Rubisco and the PCR cycle. Scale bar = 100 µm. (Original light micrographs courtesy Paul Hattersley).

By analogy with Calvin’s biochemical definition of the C3 pathway at Berkeley in the 1950s, the C4 pathway was also delineated with radioactively labelled CO2 (see Feature Essay 2.1). Significantly, and unlike C3 plants, 3-PGA is not the first compound to be labelled after a 14C pulse (Figure 2.3b). Specialised mesophyll cells carry out the initial steps of CO2 fixation utilising the enzyme phosphoenolpyruvate (PEP) carboxylase. The product of CO2 fixation, oxaloacetate, is a four-carbon organic acid, hence the designation ‘C4’ photosynthesis (or colloquially, C4 plant). A form of this four-carbon acid, either malate or aspartate depending on the C4 subtype, migrates to the bundle sheath cells which contain Rubisco and the PCR cycle. In the bundle sheath cells, CO2 is removed from the four-carbon acid by a specific decarboxylase and a three-carbon product returns to the mesophyll to be recycled to PEP for the carboxylation reaction. Thus, label first appears in the four-carbon acid after 14C feeding, followed by 3-PGA and, finally, in sucrose and starch (Figure 2.1b).

A physical barrier to CO2 diffusion exists in the thickened walls of the bundle sheath cells (lined with suberised in some C4 species), preventing CO2 diffusion back to the mesophyll and allowing CO2 build up to levels at least 10 times those of ambient air. Build up of CO2 in the bundle sheath is also facilitated by the higher activity ratio (2-4 times) of PEP carboxylase relative to Rubisco in C4 plants. Rubisco is thus exposed to a saturating concentration of CO2 which both enhances carboxylation due to increased substrate supply, and forestalls oxygenation of RuBP (hence photorespiration) by outcompeting O2 for CO2 binding sites on Rubisco (Figure 2.5).

In leaves of C3 plants, the PCR cycle operates in all mesophyll chloroplasts, but in C4 plants the PCR cycle is restricted to bundle sheath cells (Figure 2.3). Rubisco is pivotal in this cycle, and can be used as a marker for sites of photosynthetic carbon reduction. Rubisco was visualised by localising this photosynthetic enzyme with antibodies via indirect immunofluorescent labelling (Hattersley et al. 1977; Figure 2.6). In this pioneering method, ‘primary’ rabbit anti-Rubisco serum (from rabbits injected with purified Rubisco) is first applied to fixed transverse sections of leaves. Rabbit antibodies to Rubisco bind to the enzyme in situ. Then ‘secondary’ sheep anti-rabbit immunoglobulin tagged with a fluorochrome (fluorescein isothiocyanate) is applied to the preparation. This fluorochrome binds specifically to the rabbit antibodies and fluoresces bright yellow wherever Rubisco is located (blue light excitation using an epifluorescence light microscope).

In the C3 grass Microlaena stipoides (Figure 2.6a), all chloroplasts are fluorescing bright yellow and this indicates wide distribution of Rubisco throughout mesophyll tissue. By contrast, only bundle sheath cells are equipped with Rubisco in the C4 grass Digitaria brownii (Figure 2.6b). These two native Australian grasses co-occur in the ACT but contrast in relative abundance. M. stipoides (weeping grass) is common in dry sclerophyll woodlands throughout southeast temperate Australia, whereas D. brownii (cotton panic grass) in the ACT is at the southern end of its distribution, being far more abundant in subtropical Australia and, in keeping with its C4 physiology, especially prevalent in semi-arid regions.

2.2.3 - Energetics of C<sub>4</sub> photosynthesis

Figp2.06.png

Figure 2.7. Generalised light response curves for leaf photosynthesis show that C4 plants assimilate comparatively faster at high temperature (35°C), but that C3 plants are advantaged at low temperature (10°C). Photorespiration increases with temperature, and is largely responsible for this contrast. C4 plants are equipped with a CO2-concentrating device in their bundle sheath tissue which both enhances Rubisco’s performance at that location, and forestalls photorespiratory loss. (Original drawings coustesy M.D. Hatch).

One disadvantage of the C4 pathway is that an energy cost is incurred by C4 plants to run the CO2 ‘pump’. This is due to the ATP required for recycling PEP from pyruvate by the chloroplastic enzyme pyruvate, Pi dikinase in the mesophyll cells (Figure 2.4 and Hatch 1987). Under ideal conditions, five ATP and two NADPH are required for every CO2 fixed in C4 photosynthesis (two ATP are required to run the CO2 pump, i.e., regenerate PEP). In addition, a proportion (20-30%) of CO2 fixed by PEP carboxylase in the mesophyll is not fixed by Rubisco in the bundle sheath, and subsequently leaks back to the mesophyll. This leaked (or overcycled) CO2 represents an additional, inherent energetic cost of the C4 pathway.

From the previous section, the C4 pathway is obviously energetically more expensive than the C3 pathway in the absence of photorespiration. However, at higher temperatures the ratio of RuBP oxygenation to carboxylation is increased and the energy requirements of C3 photosynthesis can rise to more than five ATP and three NADPH per CO2 fixed in air (for these calculations see Hatch 1987).

Representative light response curves for photosynthesis in C3 cf. C4 plants (Figure 2.7) can be used to demonstrate some of these inherent differences in photosynthetic attributes. At low temperature (10°C in Figure 2.7) a C3 leaf shows a steeper initial slope as well as a higher value for light-saturated photosynthesis. By implication, quantum yield is higher and photosynthetic capacity is greater under cool conditions. In terms of carbon gain and hence competitive ability, C3 plants will thus have an advantage over C4 plants at low temperature and especially under low light.

By contrast, under warm conditions (35°C, upper curves in Figure 2.7) C4 photosynthesis in full sun greatly exceeds that of C3, while quantum yield (inferred from initial slopes) remains unaffected by temperature. Significantly, C3 plants show a reduction in quantum yield under warm conditions (compare 10°C and 35°C curves; right side of Figure 2.7). At 35°C C3 plants also show lower rates of light-saturated assimilation compared with C4 plants. Increased photorespiratory losses from C3 leaves at high temperature are responsible (Section 2.3). C4 plants will thus have a competitive advantage over C3 plants under warm conditions at both high and low irradiance.

2.2.4 - The biochemical subtypes of C<sub>4</sub> photosynthesis

C4 photosynthesis calls for metabolic compartmentation which is in turn linked to specialised anatomy (Figure 2.4). Three biochemical subtypes of C4 photosynthesis have evolved which probably derive from subtle differences in the original physiology and leaf anatomy of their C3 progenitors.

CO2 assimilation by all three C4 subtypes (Figure 2.8) involves five stages:

  1. carboxylation of PEP in mesophyll cells, thereby generating four-carbon acids (malate and/or aspartate);
  2. transport of four-carbon acids to bundle sheath cells;
  3. decarboxylation of four-carbon acids to liberate CO2;
  4. re-fixation of this CO2 via Rubisco within the bundle sheath, using the C3 pathway;
  5. transport of three-carbon acid products following decarboxylation back to mesophyll cells to enable synthesis of more PEP.

Figp2.13.png

Figure 2.8. C4 plants belong to one of three subtypes represented here (left to right) as NADP-ME, NAD-ME and PCK. Each subtype has a distinctive complement and location of decarboxylating enzymes, and each differs with respect to metabolites transferred between mesophyll and bundle sheath. The path of carbon assimilation and intracellular location of key reactions are shown for each of these biochemically distinct subtypes. Heavy arrows indicate the main path of carbon flow and associated transport of metabolites. Enzymes involved (numbers shown in parentheses) are as follows: (1) PEP carboxylase, (2) NADP-malate dehydrogenase, (3) NADP malic enzyme, (4) pyruvate Pi dikinase, (5) 3-PGA kinase and GAP dehydrogenase, (6) aspartate aminotransferase, (7) NAD-malate dehydrogenase, (8) NAD-malic enzyme, (9) alanine aminotransferase, (10) PEP carboxykinase, (11) mitochondrial NADH oxidation systems. In PCK-type C4 plants, the PGA/DHAP shuttle would also operate between cells as indicated for NADP-ME and NAD-ME. Cycling of anaino groups between mesophyll and bundle sheath cells involves alanine and alanine aminotransferase. (Original diagram courtesy M.D. Hatch).

Recognising some systematic distinctions in whether malate or aspartate was transported to bundle sheath cells, C4 plants were further subdivided into three subtypes according to their four-carbon acid decarboxylating systems and ultrastructural features (Hatch et al. 1975). Members of each subtype contain high levels of either NADP-malic enzyme (NADP-ME), phosphoenolpyruvate carboxykinase (PCK) or NAD-malic enzyme (NAD-ME) (so designated in Figure 2.8). High NADP-malic enzyme activity is always associated with higher NADP-malate dehydrogenase activity, while those species featuring high activities of either of the other two decarboxylases always contain high levels of aminotransferase and alanine aminotransferase activities. As a further distinction, each of the decarboxylating enzymes is located in bundle sheath cells; NAD-malic enzyme is located in mitochondria but PEP carboxykinase is not.

In all three subtypes, the primary carboxylation event occurs in mesophyll cytoplasm with PEP carboxylase acting on HCO3 to form oxaloacetate. However, the fate of this oxaloacetate varies according to subtype (Table 2.1; Figure 2.8). In NADP-ME species, oxaloacetate is quickly reduced to malate in mesophyll chloroplasts using NADPH. By contrast, in NAD-ME and PCK species, oxaloacetate is transaminated in the cytoplasm, with glutamate donating the amino group, to generate aspartate. Thus, malate is transferred to bundle sheath cells in NADP-ME species and aspartate is transferred in NAD-ME and PCK species. The chemical identity of three-carbon acids returned to mesophyll cells varies accordingly.

In NADP-ME species, only chloroplasts are involved in decarboxylation and subsequent carboxylation via the PCR cycle (Figure 2.8). By contrast, in NAD-ME and PCK species, chloroplasts, cytoplasm and mitochondria are all involved in moving carbon to the PCR cycle of bundle sheath chloroplasts. In NAD-ME and PCK species, aspartate arriving in bundle sheath cells is reconverted to oxaloacetate in either mitochondria (NAD-ME) or cytoplasm (PCK) (Table 2.2). Reduction and decarboxylation of oxaloacetate occurs in mitochondria of NAD-ME species and CO2 is thereby released for fixation by chloroplasts of bundle sheath cells. In PCK species, oxaloacetate in the cytoplasm is decarboxylated by PCK, thereby releasing CO2 for fixation in bundle sheath chloroplasts (Figure 2.8).

Transport of metabolites to bundle sheath cells

A rapid transfer of malate and aspartate to bundle sheath cells from mesophyll cells is required if the CO2 concentration in bundle sheath cells is to stay high. A very high density of plasmodesmata linking bundle sheath cells to mesophyll cells facilitates this traffic. Consequently, the permeability coefficient of C4 bundle sheath cells to small metabolites such as four-carbon acids is about 10 times larger than that of C3 mesophyll cells (Table 2.2). However, coupled with this need for a high permeability to metabolites moving into bundle sheath cells is a low permeability to CO2 molecules so that CO2 released through decarboxylation in the bundle sheath does not diffuse rapidly into mesophyll air spaces. For some species, a layer of suberin in the cell wall of bundle sheath–mesophyll junctions (suberin lamella) significantly reduces CO2 efflux (Table 2.2).

Centrifugal versus centripetal chloroplasts

Not all species contain a suberin layer, but all C4 plants have a need to prevent CO2 from diffusing quickly out of bundle sheath cells, so that the location of chloroplasts of bundle sheath cells becomes critical in those species lacking a suberin layer (Figure 2.9). Where species have a suberin layer, chloroplasts are located in a centrifugal position, that is, on the wall furtherest away from the centre of the vascular bundle lying in the middle of the bundle sheath (Figure 2.9E, F). In those C4 species lacking a suberin layer, chloroplasts are located centripetally, that is, on the wall closest to the centre of the vascular bundle lying within the bundle sheath (Figure 2.9A, B). Such a location would help restrict CO2 diffusion from bundle sheath to mesophyll cells.

Fig 2.14.jpg

Figure 2.9. C4 plants belong to one of three subtypes shown here in cross-section as light micrographs (left side) and electron micrographs (right side). Top to bottom, these subtypes are designated NAD-ME (A, B) PCK (C, D) and NADP-ME (E, F). Features common to all subtypes include a vascular bundle (V), bundle sheath (B), mesophyll tissue (M) and chloroplasts (C).

Subtype NAD-ME (A, B) is represented by Amaranthus edulis and shows bundle sheath cells with centripetally located chloroplasts containing small starch grains and surrounded by mesophyll cells. The accompanying electron micrograph of a cytoplasmic region of a bundle sheath cell shows chloroplasts and numerous large mitochondria. Scale bar in A = 50 µm; in B = 2 µm.

Subtype PCK (C, D) is represented by Chloris gayana with chloroplasts arranged around the periphery of bundle sheath cells and adopting a centrifugal position. Mitochondria show well-developed internal membrane structures. Scale bar in C = 25 µm; in D = 3 µm.

Subtype NADP-ME is represented by Zea mays where the bundle sheath contains centrifugally located chloroplasts with numerous starch grains, but lacking grana. Chloroplasts in adjacent mesophyll cells are strongly granal. Bundle sheath cells contain few mitochondria and these show only moderate development of internal membrane structures. Scale bar in E = 25 µm; in F scale bar = 2 µm (Micrographs courtesy Stuart Craig and Celia Miller).

Regulation of C4 photosynthesis

Fixation of CO2 by C4 plants involves the coordinated activity of two cycles in separate anatomical compartments (Figure 2.8). The first cycle is C4 (carboxylation by PEP carboxylase), the second is C3 (carboxylation by Rubisco). Given this biochemical and anatomical complexity, close regulation of enzyme activities is a prerequisite for efficient coordination.

PEP carboxylase, NADP-malate dehydrogenase and pyruvate orthophosphate dikinase are all light-regulated and their activities vary according to irradiance. NADP-malate dehydrogenase is regulated indirectly by light via the thioredoxin system.

PEP carboxylase in C4 plants exists in the same homo-tetramer in light- and dark-acclimated leaves. This is in marked contrast to CAM species where different forms exist in light- and dark-acclimated leaves. In C4 plants, PEP carboxylase has extremely low activity at night, thus preventing uncontrolled consumption of PEP. Such complete loss of activity in darkness is mediated via divalent metal ions, pH plus allosteric activators and inhibitors. As a consequence, and over a period of days, C4 plants can increase or decrease PEP carboxylase in response to light regime.

2.2.5 - Environmental physiology of C<sub>3</sub> versus C<sub>4</sub> photosynthesis

Rubisco is characterised by its low affinity for its productive substrate, CO2 and slow catalytic turnover rate (i.e., 1-3 cycles per sec). Importantly, Rubisco reacts with O2 (photorespiration), and this culminates in loss of CO2 and energy. In C3 plants, photorespiration can drain more than 25% of fixed CO2 under non-stressful conditions. The ratio of photorespiration to photosynthesis increases with increasing temperature and decreasing intercellular CO2 such as occurs when stomatal conductance is reduced under water stress. C3 plants compensate for Rubisco’s inefficiencies by (i) opening their stomata to increase CO2 diffusion into chloroplasts, which increases water loss and lowers leaf-level water use efficiency, WUE; and (ii) investing up to 50% of leaf nitrogen in Rubisco, which lowers their leaf-level nitrogen use efficiency, NUE.

The C4 pathway supercharges photosynthesis and suppresses photorespiration by operating a CO2 concentrating mechanism which elevates CO2 around Rubisco. Although C4 photosynthesis incurs additional energy, the energy cost of photorespiration exceeds that of the CO2 concentrating mechanism above 25oC. Hence, higher radiation use efficiencies (i.e., efficiency of converting absorbed radiation into biomass) have been recorded for C4 than C3 crops. High bundle sheath CO2 concentration saturates C4 photosynthesis at relatively low intercellular CO2, allowing C4 plants to operate with lower stomatal conductance. Thus, leaf-level WUE is usually higher in C4 than C3 plants. Relative to C3 plants, Rubisco of C4 plants is faster (higher turnover rate) and operates under saturating CO2. Thus, C4 plants typically achieve higher photosynthetic rates with about 50% less Rubisco and less leaf nitrogen. Hence, photosynthetic NUE is higher in C4 than C3 plants. Accordingly, C4 plants are advantaged relative to C3 plants in hot and nitrogen-poor environments with short growing seasons, hence their great abundance in wet/dry tropics such as Northern Territory savannas.

As mentioned earlier, more than 50% of C4 plants are grasses. C4 grasses are confined to low latitudes and altitudes, whereas C3 species dominate at higher latitudes and altitudes. Generally, C4 species frequently occur in regions of strong irradiance. Ehleringer and colleagues (Ehleringer et al. 1997) proposed that these distribution patterns are best explained by the different responses of photosynthetic quantum yields to temperature between C3 and C4 plants.

C4 photosynthesis suppresses photorespiration by operating a CO2 concentrating mechanism that comes at additional energetic cost. This cost is independent of ambient CO2 and temperatures. In contrast, photorespiration (and its associated energy cost) increases steeply with temperature in C3 plants and is highly dependent on CO2 concentrations. Under saturating irradiance and current ambient atmospheric CO2 concentration, the threshold temperature where the cost of photorespiration in C3 plants exceeds that of the CO2 concentrating mechanism in C4 plants is estimated around 25oC. This model provides a physiological basis for understanding today’s contrasting geographic distribution between C3 and C4 grasses.

As an example, the C4 grasses of the northern Australian savannas are relatively un-shaded because of the low tree density and sparse canopy. Light is abundant and since the CO2 concentration inside C4 leaves is high, a potentially high rate of light-saturated assimilation can be exploited. Most C3 species reach light saturation in the range of one-eight to one-half full sunlight (Figure 2.7). In C4 species, canopy assimilation might not become light saturated even in full sunlight. Cplants thus maintain a competitive advantage over C3 plants in tropical locations, where average daily light receipt is much larger than in temperate zones, and associated with warmer conditions that also favour C4 photosynthesis (Figure 2.6). Given strong sunlight, warmth and seasonally abundant water, biomass production by C4 plants is commonly double the rate for C3 plants. Typically, C3 plants produce 15–25 t ha–1 but C4 plants easily produce 35–45 t ha–1.

Physiological characteristics of the C4 subtypes

As outlined in previous sections, characteristic biochemical, anatomical and physiological traits are associated with each of the three “classical” C4 subtypes (Table 2.3). However, it should be noted that many C4 plants have leaf structures that fall outside the “classical” subtype division (eg, NADP-ME tribes, Arundinelleae and Neurachneae). As many as 11 anatomical-biochemical suites have been identified in C4 grasses. A curious aspect about the subtypes of C4 grasses is their biogeography. In Australia and elsewhere, NADP-ME grasses are more frequent at higher rainfall, NAD-ME grasses predominate at lower rainfall, while the distribution of PCK grasses is even across rainfall gradients (Hattersley 1992).

2.2.6 - Single-cell C<sub>4</sub> photosynthesis

The fundamental paradigm underpinning the efficiency of C4 photosynthesis in terrestrial plants is the ‘division of labour’ between the initial fixation of CO2 into C4 acids, and their subsequent utilisation to generate high concentrations of CO2 for ultimate fixation by Rubisco. The basic model for C4 plants with classical kranz anatomy consists of two photosynthetic cycles (C3 and C4) operating across two photosynthetic cell types (mesophyll and bundle sheath), with strict cell- and organelle-specific localisation of key enzymes and with sufficient resistance to CO2 back-diffusion. Indeed, the discovery of the kranz anatomy by Haberlandt preceded that of C4 biochemistry by a century. The prevailing consensus has been that efficient C4 photosynthesis necessitates the collaboration of two cell types.

Recently, this notion has been challenged by the discovery of non-kranz or single-cell C4 photosynthesis in shrubs (Borszczowia aralocaspica and Bienertia cycloptera; Chenopodiaceae family) found in the salt deserts of Central Asia (Voznesenskaya et al. 2002, 2003). These plants show CO2 and O2 responses typical of C4 photosynthesis but lack the kranz anatomy. They perform C4 photosynthesis through the spatial localisation of dimorphic chloroplasts (as well as other organelles and photosynthetic enzymes) in distinct positions within a single chlorenchyma cell. Yet, the details of the partitioning differ between the two species (Edwards et al. 2004).

In Bienertia, the central cytoplasmic compartment of the chlorenchyma cell plays the role of bundle sheath cells in kranz-type C4 (NAD-ME) plants; it is filled with mitochondria surrounded by chloroplasts. The peripheral cytoplasm lacks mitochondria and plays the role of the mesophyll cell in kranz-type C4 plants. Accordingly, chloroplastic Rubisco and mitochondrial NAD-ME and glycine decarboxylase are restricted to the central compartment; chloroplastic pyruvate, Pi dikinase is restricted to the peripheral compartment, which is highly enriched with cytosolic PEP carboxylase. In Borszczowia, the compartmentation occurs at the distal (mesophyll equivalent) and proximal (bundle sheath equivalent) ends of the elongated, cylindrical chlorenchyma cell. The inter-connecting cytoplasm between the two intra-cellular compartments provides a liquid diffusion path, thus replacing the role of the bundle sheath cell wall in kranz-type C4 plants (Edwards et al. 2004).

A low conductance for CO2 diffusion out of the bundle sheath cells (or its equivalent cellular compartment) is critical for the efficient operation of C4 photosynthesis. The total diffusive resistance to CO2 has multiple components with different levels of contribution. These components include bundle sheath walls, membranes, bundle sheath chloroplast position, the site of C4 acid decarboxylation, and the liquid-phase diffusion path. For kranz-type C4 plants, calculated total bundle sheath resistance on a leaf area basis can range from 50 to 150 m2 s-1 mol-1 (von Caemmerer and Furbank 2003). Evidently, single-cell C4 plants have sufficient resistance to CO2 back-diffusion which is essentially made of the cytoplasmic liquid phase and the special localisation of the (Rubisco-containing) chloroplasts surrounding the mitochondria (site of C4 acid decarboxylation).

Thus, single-cell C4 plants have efficient photosynthesis which is not inhibited by O2, and their carbon isotope values are similar to kranz-type C4 plants. Although, single-cell C4 photosynthesis breaks away from the classical kranz anatomy, it remains within the general ‘division of labour’ paradigm.

2.2.7 - C<sub>3</sub>-C<sub>4</sub> photosynthesis

More than 40 eudicot and monocot species distributed over 21 lineages have been reported to possess intermediate C3 and C4 photosynthetic characteristics and CO2 compensation points. These intermediate species are likely remnants of the complex processes that led to the evolution of C4 plants from C3 ancestors, although reversions from the C4 condition have also been suggested. Moreover, a number of identified C3-C4 species occur in taxa that are not closely related to any C4 lineage, raising the possibility that the C3-C4 photosynthetic pathway may be a distinct adaptation. This, in addition to the small number of intermediate species found so far cast doubts over their physiological and ecological fitness, and whether they represent living fossils of evolutionary paths or evolutionary dead-ends (Rawsthorne 1992; Sage et al. 2011).

Leaves of all C3-C4 intermediates have partial or full kranz anatomy, with prominent bundle sheath cells containing chloroplasts and other organelles, and intermediate interveinal distances. Bundle sheath chloroplasts contain Rubisco and functional PCR cycle in both mesophyll and bundle sheath cells. Intermediate leaves also have CO2 compensation points that are lower than what is observed for C3 leaves and can be indistinguishable from C4 leaves, due to reduced photorespiration. Biochemically, C3-C4 intermediates differ in the level of activity of the C4 cycle and the extent to which CO2 is concentrated in bundle sheath cells.

Picture4-1.png

Figure 2.10. Schematic representation of the ‘photorepiratory pump’ operating in C3-C4 photosynthesis. The intermediate photosynthetic pathway reduces photorespiration by refixing photorespired CO2 released locally in the bundle sheath cell. Mesophyll mitochondria lack glycine decarboxylase activity. Mesophyll and bundle sheath cells contain chloroplasts with functional Calvin cycle. Abbreviations: cp: chloroplast; GDC: glycine decarboxylase; PCO: photosynthetic oxidative cycle; PCR: photosynthetic reductive cycle; mt: mitochondrion.

C3-C4 intermediate plants reduce photorespiration (and hence, CO2 compensation point) using a ‘photorespiratory pump’ based on modified localisation of the mitochondrial photorespiratory enzyme, glycine decarboxylase (Figure 2.10). In these plants, glycine decarboxylase activity is restricted to bundle sheath cells and excluded from mesophyll cells. Consequently, photorespired CO2 is released in the bundle sheath where it is largely refixed by Rubisco and the bundle sheath PCR before it diffuses back to the mesophyll. Such a system may weakly elevate CO2 in bundle sheath cells. Intermediate species that rely on the ‘photorespiratory pump’ are termed C3-like or Type I intermediates (e.g., Panicum milioides, Flaveria pubescens) and have intermediate CO2 compensation points and negligible C4 cycle activity.

In Type II and C4-like intermediates (e.g., Flaveria brownii), up to 70% of atmospheric CO2 may be first fixed into C4 acids. These plants have C4-like CO2 compensation points but are not classified as C4 plants because they lack the strict localisation of photosynthetic enzymes (e.g., Rubisco is present in mesophyll cells) and their bundle sheath cell walls have high CO2 permeability, resulting in only a partial CO2 concentrating mechanism (Brown 1980; Ku et al. 1991; Rawthorne 1992; Vogan and Sage 2011).

The physiological advantages of the intermediate photosynthetic pathway in all its naturally occurring forms remain unclear. It may be hypothesised that lowered photorespiration may lead to reduced CO2 limitation of photosynthesis, and thus allow C3-C4 plants to operate with lower stomatal conductance, thus conferring higher water use efficiency relative to C3 counterparts. Moreover, increased nitrogen cost associated with ‘building’ another set of photosynthetic cells (bundle sheath) may reduce nitrogen use efficiency if the gains in CO2 uptake are not substantial.

Work conducted with C3-C4 species yielded inconclusive evidence on the likely advantages of C3-C4 photosynthesis relative to the ancestral C3 mode. Generally, these studies demonstrated that, short of substantial C4 cycle activity and advanced cell-specific localisation of C3 and C4 cycle enzymes between the mesophyll and bundle sheath cells, C3-C4 photosynthesis does not improve photosynthetic efficiency (Bolton and Brown 1980; Pinto et al. 2011, Vogan and Sage 2011). Therefore, partial recycling of photorespired CO2 or a partial CO2 concentrating mechanism reduce photorespiratory loss normally associated with C3 photosynthesis, without leading to significant gains in plant fitness or productivity.

2.2.8 - Crassulacean acid metabolism (CAM)

Joseph Holtum1, Klaus Winter2 and Barry Osmond3

1Centre for Tropical Biodiversity and Climate Change, James Cook University, Australia; 2Smithsonian Tropical Research Institute, Balboa, Ancón, Republic of Panama; 3School of Biological Sciences, University of Wollongong, and Research School of Biology, Australian National University, Australia

Crassulacean acid metabolism (CAM) is a water-conserving mode of photosynthesis that, like C4 photosynthesis, is a modification of the C3 photosynthetic pathway fitted with a CO2 concentrating mechanism (CCM) that can increase the [CO2] around ribulose bisphosphate carboxylase/oxygenase (Rubisco) by more than 10-fold and suppress photorespiration. The overall energy demand of the CAM pathway is only about 10% more than that of C3 photosynthesis, as costs of the CCM machinery are partially offset by reducing photorespiration.

In C4 plants, as explained earlier in Section 2.2.2, this CCM is most commonly achieved by an “in-line turbocharger” based on initial CO2 fixation by phosphoenolpyruvate carboxylase (PEPC) into C4 acids in the cytoplasm of outer mesophyll cells. These acids diffuse rapidly to adjacent relatively CO2-tight bundle-sheath cells (Figure 2.31 right) where CO2 is released again. High [CO2] builds up in this spatially separated compartment where it is refixed by Rubisco.

2.0-Ch-Fig-2.31.png

Figure 2.31 Leaf transverse sections of CAM versus C3 and C4 plants. Left: succulent CAM plant Kalanchoë daigremontiana. Centre: C3Atriplex hastata. Right: C4Atriplex spongiosa. Scanning electron  micrographs at similar magnification. (K. daigremontiana  image courtesy R.A. Balsamo and E.G. Uribe; Atriplex spp. images courtesy J. H. Troughton)

In CAM plants enzyme systems analogous to those in C4 plants achieve the same result through a “battery-like” dark accumulation of CO2 into the 2nd carboxyl group of malic acid (acidification phase) in the vacuole of large mesophyll cells (Figure 2.31 left). Malic acid can accumulate to very high concentrations, attaining concentrations of greater than 1 mole acid per litre in mesophyll cells of tropical tree-CAM plants (Clusia spp.). Indeed one can sometimes taste the acid, with acid taste-testing for the presence of CAM being possibly first recorded in Aloe sp. by Nehemiah Grew in 1682 and in field reports from India by Benjamin Heyne in 1815.

In the light, malic acid returns to the cytoplasm where it is rapidly decarboxylated (deacidification phase). The CO2 released, which accumulates to high internal [CO2] as stomata close, is refixed by Rubisco in chloroplasts of the same mesophyll cell where it is further assimilated by the photosynthetic carbon reduction (PCR) cycle (Figure 2.32).  

2.0-Ch-Fig-2.32.png

Figure 2.32  Schematic of the principal components of CAM, highlighting storage of malic acid in the vacuole (V) and the carbohydrate conundrum discussed later. (Diagram courtesy B. Osmond)

Ultimately three of the four carbons recovered from the malic acid must be stored as starch and/or sugars in order to provide to PEPC the C3 substrate required for CO2 uptake during the following night. The fourth carbon, effectively that obtained from the atmosphere, is available for growth. Deacidification may generate high [CO2] behind closed stomata but photorespiration is not completely abolished (Lüttge 2002) since photosynthesis also generates high internal [O2]. While exploring Lake Valencia in Venezuela in 1800, Alexander von Humboldt measured elevated [O2] in bubbles streaming from the cut base of presumably CAM Clusia leaves standing in water in the light.

Of course by closing stomata in the light CAM plants minimize water loss when evaporative demand is highest (von Caemmerer and Griffiths 2009). The biomass production per unit water utilized in CAM was 6 times higher than for C3 plants and 2 times higher than for C4 plants when plants exhibiting all three photosynthetic pathways were grown together in a garden outdoors (Winter et al. 2005). The attribute of water-use efficiency undoubtedly contributes significantly to the success of CAM photosynthesis in nature, with CAM species outnumbering C4 species by about two to one. The paradoxes of CAM, a mode of photosynthesis that involves stomatal opening and CO2 uptake during the dark, continue to inform many aspects of plant biochemistry, physiology, ecology and evolution. This article draws heavily on two recent reviews (Borland et al. 2011; Winter et al. 2015).

2.2.8.1 - Biochemical attributes distinctive to CAM

Although CAM and C4 photosynthesis share common enzyme machineries, the physiological bases of spatially-separated and time-separated CCMs are very different and involve complex suites of distinctive regulatory processes ranging from allosteric modulation of enzyme activities, through cell and organelle membrane metabolite transport systems, to long-term responses to stress. The resulting metabolism is rarely at steady state. It is thus helpful to reference the principal biochemical interacting components of CAM to the CO2 exchange patterns and the pool sizes of acidity and carbohydrates in the archetypical Kalanchoë daigremontiana as outlined in Figure 2.33.

2.0-Ch-Fig-2.33.png

Figure 2.33 Schematic outline of the phases of CAM, showing net CO2 exchange and malic acid and carbohydrate (glucan) metabolism in Kalanchoë daigremontiana leaves. (Diagram courtesy B. Osmond)

The four phases of CAM metabolism are:

  • Phase I - acidification in the dark (PEPC active and stomata open)
  • Phase II - a transitional phase with  stomata open and both carboxylases active
  • Phase III - deacidification (PEPC inhibited, Rubisco active and stomata closed)
  • Phase IV - C3 photosynthesis (stomata open, Rubisco active and PEPC inhibited)

Within these four phases, the distinctive underlying biochemistry of CAM involves the up-regulation of cytoplasmic PEPC activity during phase I in the dark. Up-regulation is catalysed by PEPC kinase which phosphorylates PEPC making it less sensitive to inhibition by malic acid as it accumulates in the vacuole. Towards night’s end, CO2 fixation by PEPC declines as its carbohydrate substrates are exhausted (Figure 2.33). PEPC kinase is degraded during phase II and PEPC becomes increasingly sensitive to malic acid (declining Ki malate; Figure 2.34). It remains inhibited throughout phases III and IV.

CAM also involves the up-regulation of Rubisco in the light by ATP-dependent Rubisco activase as photosynthetic electron transport (ETR) increases in phase II and is maintained throughout phases III and IV (Figure 2.34).

2.0-Ch-Fig-2.34.png

Figure 2.34 Regulation of enzyme activities in deacidification phases of CAM as photosynthetic ETR increases in the light. (Diagram based on K. Maxwell et al. Plant Physiol 121: 849-856, 1999)

Partitioning of carbohydrate metabolism occurs in the light to retain chloroplast starch or vacuolar sugars as substrates for the next nocturnal acidification phase (phase I) while diverting sugars for phloem transport and growth. In pineapple, for example, degradation of starch in the chloroplast may provide the substrate for PEPC despite the large diel turnover of soluble sugars. The complexity of this “conflict of interest” (Borland and Dodd 2002) in carbohydrate metabolism varies between CAM plants with different deacidification pathways.

Sophisticated interactions occur between metabolite transporters in membrane systems of the vacuole, mitochondria and chloroplasts. Many of these are unique to CAM but of 48 such transporters required to support known variations of CAM (including Clusia spp. that also accumulate citric acid) up until 2005, only 8 had been demonstrated in at least one species (Holtum et al. 2005).

When studied under constant conditions, many of the above distinctive biochemical processes in CAM exhibit circadian rhythms. The extent to which endogenous oscillators orchestrate the clearly interacting biochemical, physiological and environmental controls seems likely to remain a challenging area of research.

2.2.8.2 - Physiological attributes distinctive to CAM

2.0-Ch-Fig-2.35.png

Figure 2.35 Diel expansion growth of Opuntia oricola cladodes during drought in the desert biome of the Biosphere 2 Laboratory in Oracle Arizona USA measured by time-lapse photography. Heterogeneity of growth rate throughout the day is colour coded as red = 2.0% to blue = 0.5% per hour (Diagram by B. Osmond based on Gouws et al. Funct Plant Biol 32: 421-428, 2005)

Compared to the photosynthetic biochemistry and physiology in leaves of C3 and C4 plants, the 6% of taxa estimated to exhibit CAM (in at least 35 families and >400 genera) express it with staggering variety (Winter et al. 2015). That is, the distinctive biochemical attributes of CAM outlined above, derived from a handful of research-compliant leafy model species, are but the tip of an iceberg of what really qualifies as a CAM plant (Borland et al. 2011).

The following summary of some distinctive physiological attributes of CAM underscores this conundrum:

Biochemical and physiological determinants of stable isotopic composition of plants with CAM. Fixation of CO2 by PEPC and Rubisco in vitro show clearly different discriminations against the heavier, naturally occurring, non-radioactive (stable) 13C isotope of carbon when expressed as a \(\delta\)13C value. Thus total carbon in C4 plants reflects a small discrimination against 13C resulting in \(\delta\)13C values of about –12.5 ‰, with more negative values in C3 plants (about –27 ‰). It is therefore not surprising that CAM plants tend to fall between these values depending on the balance between total carbon assimilated by PEPC in phase I and that added by Rubisco in phase IV. Partial closure of stomata adds a diffusional discrimination to the biochemical discrimination associated with Rubisco, so \(\delta\)13C values in C3 plants (and CAM plants) become less negative under water stress (Griffiths et al. 2007). Recently it has been suggested that unequivocal identification of CAM can be assigned on the basis of net nocturnal CO2 assimilation, acidification and \(\delta\)13C values less negative than -20 ‰. If some dark CO2 uptake and net acidification is detectable, but \(\delta\)13C is more negative than -20 ‰, these plants would be designated as C3-CAM species, indicating that CAM is present but the contribution of the CAM pathway to net 24h carbon gain is small in comparison to the contribution of daytime CO2 uptake (Winter et al. 2015).

  1. Stomatal opening in the dark is a fundamental physiological feature of CAM. Dark CO2 fixation lowers internal [CO2] and promotes stomatal opening. Stomata retain their responsiveness to external CO2 in phases I and IV, opening further when external CO2 is reduced. They do not respond to low external CO2 during phase III, when closure occurs in response to high internal [CO2] from deacidification of malic acid but do seem to sense the completion of deacidification itself.
  2. CAM is essentially a single cell phenomenon and succulence (low surface to volume ratio) is a feature of many but not all CAM plants. Succulence makes at least two important contributions to the physiology of CAM: large vacuoles for malic acid storage in mesophyll cells and tight packing of cells with small intercellular spaces. The latter means that CO2 diffusion internally is largely confined to wet cell walls and is thus 3 to 4 orders of magnitude slower than in the gas phase, potentially mitigating CO2 fixation by Rubisco in phase IV.  It remains to be seen whether Clusia rosea may have resolved this trade-off by anatomical/physiological differentiation. Enlarged, tightly-packed PEPC-enriched upper palisade cells have a potential for nocturnal CO2 fixation and acidification whereas lower spongy mesophyll cells exhibit predominantly C3 metabolism (Zambrano et al. 2014).  
  3. Whereas leaf expansion growth of C3 plants in the hot dry desert usually occurs at night, leaves and cladodes of some CAM plants grow in the light during phase III (Figure 2.35). This is not surprising because this phase coincides with reliable availability of CHO, maximum temperature and highest cytoplasmic acidity required for growth (Gouws et al. 2005). On the other hand Mesembryanthemum crystallinum (a facultative CAM plant) shows maximum growth in the dark.

2.2.8.3 - Ecological attributes distinctive to CAM

Appreciation of the remarkable plasticity in expression of CAM in response to development and environment has greatly advanced the understanding of the ecological attributes of this photosynthetic pathway. One attempt to bring order to the complexity of CAM expression was the designation of constitutive and facultative categories of CAM. Assignation of these terms requires close monitoring of CAM attributes throughout the life-cycle in response to stochastic environmental events such as water availability.

Constitutive CAM seems securely associated with many massive succulents such as the emblematic columnar cacti in the desert South Western USA but current research also shows it to be prevalent in tropical orchids and bromeliads. Young photosynthetic tissues of constitutive CAM plants are often C3 but CAM is always present at maturity, when the magnitude of the phases of CAM nevertheless remains responsive to stress, light and temperature.

Facultative CAM describes the reversible up-regulation of CAM in response to drought or salinity stress in plants that are otherwise C3 or display low-level CAM. In these, the up-regulated CAM activity is reversible, being reduced (or lost) on removal of stress (Winter et al. 2008; Winter and Holtum 2014). Facultative CAM has been demonstrated in annual plants of seasonally arid environments (e.g. Australia’s desert Calandrinia; Winter and Holtum 2011) as well as in tropical trees of the genus Clusia. The diel patterns of growth in facultative CAM Clusia minor shift from night when in C3 mode to phase III when in CAM mode (Walter et al. 2008).

Slow incremental increase in biomass through vegetative reproduction is a feature of CAM-dominated ecosystems. In CAM plants such as Agave and Opuntia, essentially all of the aboveground tissues are photosynthetic, and this partially compensates for lower rates of CO2 fixation on an area basis. With the noted exception of pineapple and Agave, few CAM species are domesticated, but others have been proposed as potential low-input biofuel crops on land not arable for C3 and C4 crops (Borland et al. 2011; Yang et al. 2015). There is no doubt that communities dominated by CAM plants can attain high biomass (Figure 2.36) and nowhere was this more obvious than during the invasion of 25 million hectares of central eastern Australia during 1846-1926 by prickly pear (Opuntia stricta).

2.0-Ch-Fig-2.36.png

Figure 2.36 High biomass of invasive Opuntia stricta (left) at the Chinchilla, Queensland site C27 before and after release of Cactoblastis cactorum larvae (photos courtesy Queensland Department of Lands 1980) and (right) heritage listed Cactoblastis memorial hall at nearby Boonarga, perhaps the only memorial building to commemorate the achievements of an insect. (Photograph courtesy B. Osmond)

After 2 decades of heroic chemical warfare (hand to hand stabbing or spraying with 10-15% arsenic pentoxide in sulphuric acid at close quarters) failed to restrain the “incubus”, an estimated 1.5 billion tonnes of prickly pear succumbed to trillions of larvae of the diminutive moth Cactoblastis cactorum in about 3 years. Eighty years later, this biological control system remains functionally intact thanks to the remarkably sensitive CO2 detectors in the mouth parts of the female moth that identifies the CAM plant as a target for oviposition by its distinctive nocturnal, inwardly directed CO2 flux in Australian ecosystems (Osmond et al. 2008). The hunger of emerging larvae does the rest. Nevertheless, around 27 species of opuntioid cacti remain naturalised across a range of soil types and climatic zones in the mainland states of Australia. It is not known why Cactoblastis cactorum does not attack a broad range of other feral opuntioid cacti.  In South Australia, with an estimated 1,000,000 ha affected (Chinnock 2015), a control management plan has been enacted (Harvey 2009).

Until the 1980s it was thought that the Australian native flora possessed few CAM plants and that prickly pear had occupied an “empty niche”. Field and laboratory studies by Klaus Winter using acid titration and \(\delta\)13C values demonstrated CAM in the desert succulent Sarcostemma australe as well as drought and salinity induced facultative CAM in Dysphyma clavellatum and Carpobrotus aequilaterus. He also found CAM in rainforest epiphytes and in a diminutive succulent Calandrinia polyandra from sandy and rocky desert habitats. The latter was recently shown to display one of the most overt transitions from C3 photosynthesis when well watered to classic CAM when drought stressed (Figure 2.37).  The impression persists that the warm, dry continent of Australia is either CAM-depauperate or ripe for CAM exploration. On the basis of the size of the Australian flora one might predict around 1,300 Australian CAM species, only about 80 have been documented.

2.0-Ch-Fig-2.37.jpg

Figure 2.37 Small is beautiful. Diminutive Calandrinia polyandra seems set to become the Arabidopsis analog for CAM research. The diel CO2 exchange patterns on the right were obtained from the same plant well watered for 33 days (top) and 46 days after water had been withheld (bottom). (Photograph courtesy K. Winter; data from K. Winter and J.A.M. Holtum, Funct Plant Biol 38: 576-582, 2011)

2.2.8.4 - Speculations on the origins of CAM

2.0-Ch-Fig-2.38-v2.jpg

Figure 2.38 A clump of Isoetes andicola symbolizes the extraordinary functional biodiversity of CAM. (Photograph courtesy J. E. Keeley)

From the above it will be clear that tracking the origins of CAM autotrophy in plants will involve no mean feat (“a laudable triumph of great difficulty”). From a holistic perspective, CAM tests the extremities of most aspects of the physiology and ecology of terrestrial plants, as testified in a comprehensive recent collection of reviews and research papers over-viewed by Sage (2014).  With all the emphasis on water-use efficiency in arid environments as a dominant selective pressure for CAM it is often overlooked (and perhaps ironic) that this pathway today is found in aquatic plants, including the fern-ally Isoetes. The origins of Isoetes, though not the present-day taxa themselves, are Triassic, some 100 x106 years before the commonly imagined emergence of CAM in terrestrial plants (Keeley 2014).

The selective pressure for nocturnal storage of CO2 in malic acid by CAM in terrestrial plants may well be closure of stomata to conserve water loss in a dry atmosphere in daylight. In aquatic plants the selective pressure may be the slow diffusion of CO2 in water and its depletion from solution by photosynthesis. In between we have Isoetes andicola from the high Andes of Peru, in which non-functional stoma-like epidermal structures seem literally stitched up (Figure 2.38).  

Clumps of I. andicola are embedded in mounds of peat, with the tips of leaf-like structures forming small rosettes (~5 cm diam.) on the surface. These contain chloroplast-containing cells surrounding large air spaces that evidently maintain gas-phase connections through their large “drinking straw-like” roots to high [CO2] in the peat (~ 4%). The green tips can’t fix CO2 from the air, but when 14CO2 is supplied to the peat it is fixed within leaves into malic acid in the dark and metabolized to photosynthetic products in the light. Understanding how the habit of I. andicola manages to “CAMpeat” in these high elevation ecosytems remains a challenge.          

Any comment on the ecological and evolutionary attributes of CAM must acknowledge the often remarkable features of sexual reproduction, especially in orchids so highly prized in horticultural and gardening contexts. It is also fair to observe that this popular zoocentric fascination pays little or no heed to the distinctive autotrophic metabolism that supports such ecological exotica. One must concede that nocturnal pollination of saguaro by bats is not very amenable to experiment, so plant ecophysiologists might be excused their preference to focus on the resilience of these organisms in the face of environmental stress. 

However, few would deny that the cameo performances of night-blooming cacti are an astonishingly beautiful reward for the nightshift efforts that have unraveled our current understanding of CAM (Figure 2.39).

2.0-Ch-Fig-2.39.png

Figure 2.39 A standing ovation for several centuries of CAM research? The spectacular night blooming cactus Epiphyllum oxypetalum. (Photograph courtesy B. Osmond)

The chapter is dedicated to the memory of Thomas Neales (1929-2010) who pioneered Australian research on CAM with Opuntia stricta in the Botany Department, University of Melbourne.

2.2.8.5 - References for CAM

Balsamo RA, Uribe EG (1988) Plasmalemma- and tonoplast-ATPase activity in mesophyll protoplasts, vacuoles and microsomes of the Crassulacean-acid-metabolism plant Kalanchoe daigremontiana. Planta 173: 190-196

Borland AM, Dodd AN (2002) Carbohydrate partitioning in crassulacean acid metabolism plants. Funct Plant Biol 29: 707-716

Borland AM, Zambrano VAB, Ceusters J et al. (2011) The photosynthetic plasticity of crassulacean acid metabolism: an evolutionary innovation for sustainable productivity in a changing world. New Phytol 191: 619-633

Chinnock RJ (2015) Feral opuntioid cacti in Australia. The State Herbarium of South Australia, Adelaide.

Gouws LM, Osmond CB, Schurr U et al. (2005) Distinctive diel growth cycles in leaves and cladodes of CAM plants: differences from C3 plants and putative interactions with substrate availability, turgor and cytoplasmic pH. Funct Plant Biol 32: 421-428

Griffiths H, Cousins AB, Badger MR et al. (2007) Discrimination in the dark: resolving the interplay between metabolic and physical constraints to phosphoenolpyruvate carboxylase during the crassulacean acid metabolism cycle. Plant Physiol 143: 1055-1067

Harvey A (2009) Draft state opuntioid cacti management plan. Government of South Australia, Adelaide.

Holtum JAM, Smith JAC, Neuhaus HE (2005) Intracellular transport and pathways of carbon flow in plants with crassulacean acid metabolism. Funct Plant Biol 32: 429-439

Keeley JE (2014) Aquatic CAM photosynthesis: a brief history of its discovery. Aquatic Bot 118: 38-44

Lüttge U (2002) CO2 concentrating: consequences in crassulacean acid metabolism. J Exp Bot 53: 2131-2142

Osmond CB, Neales T, Stange G (2008) Curiosity and context revisited: crassulacean acid metabolism in the Anthropocene. J Exp Bot 59: 1489-1502

Sage R (2014) Photosynthetic efficiency and carbon concentration in terrestrial plants: the C4 and CAM solutions. J Exp Bot 65: 3323-3325

von Caemmerer S, Griffiths H (2009) Stomatal responses to CO2 during a diel crassulacean acid metabolism cycle in Kalanchoe daigremontiana and Kalanchoe pinnata. Plant Cell Environ 32: 567-576

Walter A, Christ MM, Rascher U et al. (2008) Diel leaf growth cycles in Clusia spp. are related to changes between C3 photosynthesis and crassulacean acid metabolism during development and water stress. Plant Cell Environ 31: 484-491

Winter K, Holtum JAM (2011) Induction and reversal of crassulacean acid metabolism in Calandrinia polyandra: effects of soil moisture and nutrients. Funct Plant Biol 38: 576-582

Winter K, Holtum JAM (2014) Facultative crassulacean metabolism (CAM) plants: powerful tools for unravelling the functional elements of CAM photosynthesis. J Exp Bot 65: 3425-3441

Winter K, Aranda J, Holtum JAM (2005) Carbon isotope composition and water-use efficiency in plants with crassulacean acid metabolism. Funct Plant Biol 32: 381-388

Winter K, Garcia M, Holtum JAM (2008) On the nature of facultative and constitutive CAM: environmental and developmental control of CAM expression during early growth of Clusia, Kalanchoë and Opuntia. J Exp Bot 59: 1829-1840

Winter K, Holtum JAM, Smith JAC (2015) Crassulacean acid metabolism: a continuous or discrete trait? New Phytol 208:  73-78

Yang X, Cushman JC, Borland AM et al. (2015) A roadmap for research on crassulacean acid metabolism (CAM) to enhance sustainable food and bioenergy production in a hotter, drier world. New Phytol 207: 491-504

 Zambrano VAB, Lawson T, Olomos E et al. (2014) Leaf anatomical traits which accommodate the facultative engagement of crassulacean metabolism in tropical trees of the genus Clusia. J Exp Bot 65: 3513-3523

2.2.9 - Submerged aquatic macrophytes (SAM)

Vascular plants often inhabit regions subject to tidal submergence while others carry out their entire life cycle under water. Examples of common submerged aquatic macrophytes are pond weeds and seagrasses. Once again, an evolutionary selective pressure for these plants has been the availability of CO2. Low levels of dissolved CO2 are common in both inland and marine waters, particularly at more alkaline pH. In more productive inland lakes, CO2 content can vary enormously, requiring considerable flexibility in the actual mode of carbon acquisition. At high pH, HCO3 becomes the more abundant form of inorganic carbon, whereas dissolved CO2 will predominate at low pH (Section 18.2). Consequently, when SAM plants evolved from their C3 progenitors on land, there was some adaptive advantage in devices for CO2 accumulation because CO2 rather than HCO3 is substrate for Rubisco. The nature of this ‘CO2 pump’ and the energetics of carbon assimilation are not fully characterised in SAM plants but considerable CO2 concentrations do build up within leaves, enhancing assimilation and suppressing photorespiration.

In summary:

Regardless of photosynthetic mode, and despite catalytic limitations, Rubisco is ubiquitous and remains pivotal to carbon gain in our biosphere. As a corollary, carbon loss via photorespiration is an equally universal feature of C3 leaves, and the evolution of devices that overcome such losses have conferred significant adaptive advantages to C4, CAM and SAM plants.

 

2.10 References for photosynthesis

Bolton JK, Brown RH (1980) Photosynthesis of grass species differing in carbon dioxide fixation pathways. V. Response of Panicum maximum, Panicum milioides, and tall fescue (Festuca arundinacea) to nitrogen nutrition. Plant Physiol 66: 97-100

Brown DA (1980). Photosynthesis of grass species differing in carbon dioxide fixation pathways. IV. Analysis of reduced oxygen response in Panicum milioides and Panicum schenckii. Plant Physiol 65: 346-349

Christin PA, Samaritani E, Petitpierre B et al. (2009) Evolutionary insights on C4 photosynthetic subtypes in grasses from genomics and phylogenetics. Genom Biol Evol 1: 221–230

Edwards GE, Franceschi VR, Voznesenskaya EV (2004) Single-cell C4 photosynthesis versus the dual-cell (Kranz) paradigm. Annu Rev Plant Biol 55: 173–196

Ehleringer JR, Cerling TE, Helliker BR (1997) C4 photosynthesis, atmospheric CO2, and climate. Oecologia 112: 285-299

Ghannoum O, von Caemmerer S, Conroy JP (2002) The effect of drought on plant water use efficiency of nine NAD–ME and nine NADP–ME Australian C4 grasses. Funct Plant Biol 29: 1337-1348

Ghannoum O, Evans JR, Chow WS et al. (2005) Faster rubisco is the key to superior nitrogen-use efficiency in NADP-malic enzyme relative to NAD-malic enzyme C4 grasses. Plant Physiology 137: 638-650

Hatch MD (1987) C4 photosynthesis: a unique blend of modified biochemistry, anatomy and ultrastructure. Biochim Biophys Acta 895: 81–106

Hatch MD, Kagawa T, Craig S (1975) Subdivision of C4-pathway species based on differing C4 acid decarboxylating systems and ultrastructural features. Aust J Plant Physiol 2: 111-128.

Hattersley PW, Watson L, Osmond CB (1977) In situ immunofluorescent labelling of ribulose-1,5-bisphosphate carboxylase in leaves of C3 and C4 plants. Aust J Plant Physiol 4: 523-539

Hattersley PW (1992) In ‘Desertified Grasslands: their Biology and Management’ (ed. Chapman GP) pp 181-212. Academic Press: London

Ku MSB, Wu JR, Dai ZY et al. (1991) Photosynthetic and photorespiratory characteristics of Flaveria species. Plant Physiol 96: 518-528

Pinto H, Tissue DT, Ghannoum O (2011) Panicum milioides (C3-C4) does not have improved water or nitrogen economies relative to C3 and C4 congeners exposed to industrial-age climate change. J Exp Bot 62: 3223-3234

Portis AR Jr, Salvucci ME (2002). The discovery of Rubisco activase – yet another story of serendipity. Photosyn Res 73: 257–264

Portis AR Jr, Li C, Wang D, Salvucci ME (2008) Regulation of Rubisco activase and its interaction with Rubisco. J Exp Bot 59: 1597-1604

Rawsthorne S (1992) C3-C4 intermediate photosynthesis - Linking physiology to gene expression. Plant J 2: 267-274

Sage RF (2004). The evolution of C4 photosynthesis. New Phytol 161: 341-370

Sage RF, Christin PA, Edwards EJ (2011) The C4 plant lineages of planet Earth. J Exp Bot 62, 3155-3169

Spreitzer RJ, Salvucci ME (2002) Rubisco: structure, regulatory interactions, and possibilities for a better enzyme. Annu Rev Plant Biol 53: 449-475

Vogan PJ, Sage RF (2011) Water-use efficiency and nitrogen-use efficiency of C3-C4 intermediate species of Flaveria. Plant Cell Environ 34: 1415–1430.

von Caemmerer S, Furbank RT (2003) The C4 pathway: an efficient CO2 pump. Photosyn Res 77: 191–207

Voznesenskaya EV, Franceschi VR, Kiirats O et al. (2002) Proof of C4 photosynthesis without Kranz anatomy in Bienertia cycloptera. Plant J 31: 649–662

Voznesenskaya EV, Edwards GE, Kiirats O et al. (2003) Development of biochemical specialization and organelle partitioning in the single celled C4 system in leaves of Borszczowia aralocaspica. Amer J Bot 90: 1669-1680

2.3 - Photorespiration

Figp2.01a.png

Figure 2.1a (also shown in the first section of this chapter). Diagram of the chloroplast showing Rubisco’s carboxylation reaction of RuBP with CO2 to produce two 3-PGA molecules, and the oxygenation reaction to produce one 3-PGA and one P-glycolate molecule.

Rubisco is a bifunctional enzyme capable of reacting either CO2 or O2 to RuBP in the active sites. Although Rubisco’s affinity for CO2 is an order of magnitude higher than that for O2, the high O2 concentration (20%) relative to CO2 (0.004%) in the Earth’s atmosphere leads to a ratio of 3:1 of carboxylation:oxygenation in C3 plants exposed to air. The carboxylation reaction yields two molecules of 3-PGA while the oxygenation of RuBP yields one molecule of 3-PGA and one molecule of phosphoglycolate (P-glycolate), as shown in this figure.

The 3-carbon compound 3-PGA enters the Calvin cycle, but the 2-carbon compound 2-phosphoglycolate is a dead-end metabolite. Consequently, plants have evolved a series of metabolic reactions, termed photorespiration, aimed at salvaging some of the carbon stored in 2-phosphogylcolate and evolving the rest as CO2. This process of CO2 evolution is different from mitochondrial respiration which is described in Section 2.4. The historical evidence for photorespiration is presented below.

2.3.1 - History of photorespiration research

(a) Historical evidence for photorespiration

The first line of evidence for photorespiration came from the different compensation points of C3 and C4 plants. When air is recirculated over an illuminated leaf in a closed system, photosynthesis will reduce CO2 concentration to a low level where fixation of CO2 by photosynthesis is just offset by release from respiration. For many C3 plants this compensation point is around 50 µL L–1 but is markedly affected by oxygen, photon irradiance and leaf temperature (Tregunna et al. 1966; Zelitch 1966). In low concentrations (1–2% O2) the CO2 compensation point of C3 plants is near zero. Significantly, early researchers in this area had already noted that some tropical grass species appeared to have a compensation point at or close to zero CO2, even in normal air (20% O2). This was first reported for corn (Zea mays) (Meidner 1962) and raised a very perplexing question as to whether these species even respired in light. However, we now know that C4 photosynthesis is responsible for the low evolution of CO2 (Section 2.2) and that C4 plants have a CO2 concentrating mechanism that forestalls photorespiration, resulting in a CO2 compensation point close to zero.

Figp2.16-new-p.png

Figure 2.12. Photosynthesising leaves show a post-illumination burst of CO2 which varies in strength according to surrounding O2 concentration. This positive response to O2 was found at 105 µmol quanta m-2 s-1 and is functionally linked to O2 effects on the CO2 compensation point as measured under steady-state conditions. (Based on Krotkov 1963)

A second line of evidence for leaf respiration in light was provided by a transient increase in release of CO2 when leaves are transferred from light to dark. This ‘post-illumination CO2 burst’ was studied extensively during the early 1960s by Gleb Krotkov and colleagues at Queens University (Kingston, Ontario). The intensity of this burst increased with the photon irradiance during the preceding period of photosynthesis. Understandably, the Queens group regarded this post-illumination burst as a ‘remnant’ of respiratory processes in light, and coined the term ‘photorespiration’. A functional link with the CO2 compensation point was inferred, because the burst was abolished in low O2 (Figure 2.12). A competitive inhibition by O2 on CO2 assimilation was suspected and was subsequently proved to be particularly relevant in defining Rubisco’s properties. Nevertheless, for many years a biochemical explanation for interaction between these two gases remained elusive.

(b) Biochemistry

Significant progress came when Ludwig and Krotkov designed an open gas exchange system in which 14CO2 was used to separate the fixing (photosynthetic) and evolving (respiratory) fluxes of CO2 for an illuminated leaf (Ludwig and Canvin 1971). Results using this steady-rate labelling technique were particularly revealing and provided the first direct evidence that respiratory processes in light were qualitatively different from those in darkness. They were able to show that CO2 evolved during normal high rates of photosynthesis by an attached sunflower leaf was derived from currently fixed carbon. The specific activity of evolved CO2 (ratio of 14C to 12C) was essentially the same as that of the CO2 being fixed, indicating that photorespiratory substrates were closely related to the initial products of fixation. Ludwig and Krotkov concluded that 14CO2 supplied to a photosynthesising leaf was being re-evolved within 28–45 s! Furthermore the rate of CO2 evolution in light was as much as three times the rate in darkness, and while early fixed products of photosynthesis (intermediates of the PCR cycle) were respired in light, this was not the case in darkness.

The radiolabelling method of Ludwig and Krotkov had, for the first time, provided measurements of what could be regarded as a true estimate of light-driven respiration which was not complicated by transient effects (as the post-illumination burst had been), or by changes in CO2 concentration (as was the case for measurements in closed gas exchange systems or in CO2-free air) or by difficulties associated with detached organs. Ludwig and Canvin (1971) subsequently concluded that processes underlying photorespiration re-evolved 25% of the CO2 which was being fixed concurrently by photosynthesis. Such a rate of CO2 loss was not a trivial process so a biochemical basis for its operation had to be established, and particularly when photorespiration seemed to be quite different from known mechanisms of dark (mitochondrial) respiration.

The search for the substrates of ‘photorespiration’ occupied many laboratories worldwide for many years. Much work centred on synthesis and oxidation of the two-carbon acid glycolate because as early as 1920 Warburg had reported that CO2 fixation by illuminated Chlorella was inhibited by O2, and under these conditions the alga excreted massive amounts of glycolic acid (Warburg and Krippahl 1960). Numerous reports on the nature of the 14C-labelled products of photosynthesis showed that glycolate was a prominent early-labelled product. A very wide variety of research with algae and leaves of many higher plants established two significant features of glycolate synthesis: formation was enhanced in either low CO2 or high O2. Both of these features had been predicted from Ludwig’s physiological gas exchange work and eventually proved a key to understanding the biochemistry of photorespiration.

(c) Source of glycolate production

The photosynthetic carbon reduction (PCR) cycle for CO2 fixation (Section 2.1) involves an initial carboxylation of ribulose-1,5-bisphosphate (RuBP) to form 3-PGA, but makes no provision for glycolate synthesis. However, Wang and Waygood (1962) had described the ‘glycolate pathway’, namely a series of reactions in which glycolate is oxidised to glyoxylate and aminated, first to form glycine and subsequently the three-carbon amino acid serine. The intracellular location of this pathway in leaves was established in a series of elegant studies by Tolbert and his colleagues who also established that leaf microbodies (peroxisomes) were responsible for glycolate oxidation and the synthesis of glycine. Kisaki and Tolbert (1969) suggested that the yield of CO2 from the condensation of two molecules of glycine to form serine could account for the CO2 evolved in photorespiration. This idea was incorporated in later formulations of the pathway.

What remained elusive was the source of photosynthetically produced glycolate. Many studies had suggested that the sugar bisphosphates of the PCR cycle could yield a two-carbon fragment which, on the basis of short-term 14CO2 fixation, would have its two carbon atoms uniformly labelled (if the two carbons were to be derived directly from 3-PGA this would not be the case as PGA was asymmetrically labelled in the carboxyl group). The mechanism was likened to the release of the active ‘glycolaldehyde’ transferred in the thiamine pyrophosphate (TPP)-linked transketolase-catalysed reactions of the PCR cycle. In some cases significant glycolate synthesis from the sugar bisphosphate intermediates of the cycle were demonstrated in vitro; however, the rates were typically too low to constitute a viable mechanism for glycolate synthesis in vivo.

A more dynamic approach to carbon fixation was needed to resolve this impasse. In particular, the biochemical fate of early products would have to be traced, and using a development of the open gas exchange system at Queens, Atkins et al. (1971) supplied 14CO2 in pulse–chase experiments to sunflower leaf tissue under conditions in which photorespiration was operating at high rates (21% O2) or in which it was absent (1% O2). A series of kinetic experiments showed that synthesis of 14C-glycine and 14C-serine was inhibited in low O2 and that the 14C precursor for their synthesis was derived from sugar bisphosphates of the PCR cycle, especially RuBP. Indeed RuBP was the obvious source of glycine carbon atoms and the kinetics of glycine turnover closely matched those of RuBP. As these authors concluded, ‘we can no longer view this (glycolate) pathway as an adjunct to the Calvin cycle but must incorporate it completely into the carbon fixation scheme for photosynthesis’ (Atkins et al. 1971).

The question was finally and most elegantly resolved by Ogren and Bowes (1971) who demonstrated that the carboxylating enzyme of the PCR cycle, RuBP carboxylase, was both an oxygenase and a carboxylase! During normal photosynthesis in air, this enzyme thus catalysed formation of both P-glycolate (the precursor of glycolate) and 3-PGA from the oxygenation of RuBP as well as two molecules of PGA from carboxylation of RuBP. In effect, CO2 and O2 compete with each other for the same active sites for this oxygenation/carboxylation of RuBP, at last providing a biochemical mechanism which had confused and perplexed photosynthesis researchers since the 1920s. This primary carboxylating enzyme of the PCR cycle, which had hitherto rejoiced in a variety of names (carboxydismutase, fraction 1 protein, RuDP carboxylase and RuBP carboxylase), was renamed Rubisco (ribulose-1,5-bisphosphate carboxylase/oxygenase) to reflect its dual activity.

A scheme for the PCR cycle and photosynthetic carbon oxidation (PCO) pathways then represents the synthesis of almost 70 years of research effort, and integrates the metabolism of P-glycolate with the PCR cycle. This is shown in the following section. 

 

2.3.2 - Photorespiration needs three organelles

Figp2.10.png

Figure 2.13. The photorespiratory carbon oxidation (PCO) cycle involves movement of metabolites between chloroplasts, peroxisomes and mitochondria. (Original drawing courtesy lan Woodrow)

A scheme for photorespiration involving the photosynthetic carbon reduction (PCR) cycle and the photosynthetic carbon oxidation (PCO) pathways represents the synthesis of almost 70 years of research. It integrates the metabolism of P-glycolate with the PCR cycle. This scheme is shown in Figure 2.13.

Specialised reactions within three classes of organelles in leaf cells are required, namely chloroplasts, peroxisomes (originally called microbodies) and mitochondria. Their close proximity in leaf cells (Figure 2.14 below) plus specific membrane transporters facilitate the exchange of metabolites.

Within choroplasts, oxygenase activity by Rubisco results in formation of phosphoglycolate which then enters a PCO cycle, and is responsible for loss of some of the CO2 just fixed in photosynthesis.

Within peroxisomes, O2 is consumed in converting glycolate to glyoxylate, and aminated to form glycine.

Within mitochondria, CO2 is released during conversion of glycine to serine. Subsequently, serine is recovered by peroxisomes where it is further metabolised, re-entering the PCR cycle of chloroplasts as glycerate. About 75% of carbon skeletons channelled into photorespiration are eventually recovered as carbohydrate.

Transport of glycerate and glycolate across the inner membrane of chloroplasts may involve separate translocators as shown in Figure 2.13, or it may involve a single translocator that exchanges two glycolate molecules for one molecule of glycerate. Transport of metabolites across the peroxisomal membrane most likely occurs through unspecific channel proteins, similar to those in the outer membranes of mitochondria and chloroplasts. These outer membranes are not included in this diagram. Mitochondria take up two molecules of glycine and release one molecule of serine. A specific translocator most probably mediates the exchange of these amino acids.

Not only does the photosynthetic oxidation pathway consume O2 and release CO2 but ammonia is also produced by mitochondria during synthesis of serine from glycine (Figure 2.13). This ammonia would be extremely toxic if it were not metabolised by either cytosolic or chloroplastic glutamine synthetase. A very effective herbicide that blocks glutamine synthetase has been developed (phosphinothricin, also known as glufosinate or Basta), and when it is applied to (or expressed in) actively growing plants they are killed by their photorespiratory ammonia release.

Fig 2.11.jpg

Figure 2.14. A transmission electron micrograph showing close juxtaposition of chloroplast (C), mitochondrion (M) and peroxisome (P) in a mesophyll cell of an immature leaf of bean (Phaseolus vulgaris). This group of organelles is held within a granular cytoplasmic matrix adjacent to a cell wall (CW) and includes a partial view of a small vacuole (V). Scale bar = 1 µm (Electron micrograph courtesy Stuart Craig and Celia Miller)

In summary, participation of photorespiration in leaf gas exchange, and thus dry matter accumulation by plants, reflects kinetic properties of Rubisco, and in particular a relatively high affinity for CO2 (Km = 12 µM) compared with a much lower affinity for O2 (Km = 250 µM). That contrast in affinity is, however, somewhat offset by the relative abundance of the two gases at catalytic sites of the enzyme where the ratio of O2:CO2 partial pressures approaches 1000:1! Thus, CO2 assimilation always prevails over CO2 loss in photorespiration. 

2.3.3 - C<sub>4</sub> plants and unicellular algae avoid photorespiration

At around the same time as the nature of photorespiration was becoming clearer Hatch and Slack (1966) demonstrated that in tropical grasses (initially sugar cane) the first-formed products of photosynthetic CO2 fixation were the four-carbon acids oxalacetate, malate and aspartate, rather than the 3-PGA formed in the PCR cycle. Furthermore, the carboxylation reaction involved PEP carboxylase and carbon was subsequently transferred to PCR cycle intermediates. As noted earlier (Section 2.2) C4 plants show no apparent CO2 release in light. The explanation lies in their anatomy and multiple carboxylation reactions rather than in the absence of the pathway of photorespiration. Bundle sheath cells are equipped with a CO2-concentrating mechanism that favours carboxylation over oxygenation reactions due to increased partial pressure of CO2, while photorespiratory release of CO2 is further prevented through the activity of PEP carboxylase which refixes any respired CO2 formed from the oxygenase function of Rubisco.

Unicellular green algae also posed a problem for the simple extrapolation of early models for photorespiratory metabolism in C3 leaves. Although organisms such as Chlorella had been used to establish the PCR cycle, and indeed provided much early evidence for effects of O2 on photosynthesis and formation of glycolate in light, they also appeared to lack CO2 evolution in light (Lloyd et al. 1977). In this case the explanation lies in a CO2-concentrating mechanism which effectively increases the internal pool of inorganic carbon (CO2 and HCO3) thereby favouring the carboxylase function of Rubisco over its oxygenase function.

2.3.4 - Does photorespiration represent lost productivity?

Such a substantial loss of carbon concurrent with CO2 fixation raises the question of whether eliminating or minimising photorespiration in C3 plants could enhance their yield, and specifically that of major crop plants such as rice, wheat, grain legumes, oil seeds and trees, none of which are C4 species. Faced with an expanding world human population and an increasing demand for food and animal feed, enhanced agricultural productivity is a global necessity. In its most obvious form a scenario which alters or removes the oxygenase function of Rubisco could achieve such a goal. In an early review of the process of photorespiration in plants, Ogren (1984) noted that ‘the sequence of reactions constituting the photorespiratory pathway in C3 plants appears to be firmly established’ and he went on to suggest that, although reducing the loss of fixed carbon as CO2 in the process may be a valid goal to improve the yield of crop plants, it is not clear whether or not this can be achieved by specific changes to the kinetic and catalytic properties of Rubisco alone.

Photorespiration may be loosely considered as a wasteful process because previously fixed carbon is lost and energy is dissipated. Ideal destinations for photoassimilates include synthetic pathways leading to fixed biomass and respiratory pathways for re-release of fixed energy in a controlled sequence of reactions leading to ATP and NAD(P)H for use in other synthetic events.

However, situations do exist where energy dissipation via photorespiration can be beneficial. For example, photo-oxidative damage can be alleviated in shade-adapted plants that experience strong irradiance if photorespiratory processes are allowed to proceed. Depriving such plants of an external oxygen supply, and hence preventing photosynthetic carbon oxidation, will exacerbate chloroplast lesions due to strong irradiance. Photosynthetic variants which obviate photo-respiratory loss, and most notably C4 plants, integrate structure and function in a way that forestalls photo-oxidative damage and leads to their outstanding performance under warm conditions. Environmental factors that constitute selection pressure for such photosynthetic adaptation are reviewed by Sage et al (2012). 

2.3.5 - References for photorespiration

Atkins CA, Canvin DT, Foch H (1971) Intermediary metabolism of photosynthesis in relation to carbon dioxide evolution in sunflower. In MD Hatch, CB Osmond, RO Slatyer, eds, Photosynthesis and Photorespiration. John Wiley, New York, pp 497-505

Hatch MD, Slack CR (1966) Photosynthesis by sugarcane leaves. A new carboxylation reaction and the pathway of sugar formation. Biochem J 101: 103-111

Kisaki T, Tolbert NE (1969) Glycolate and glyoxylate metabolism by isolated peroxisomes and chloroplasts. Plant Physiol 44: 242-250

Lloyd ND, Canvin DT, Culver DA (1977) Photosynthesis and photorespiration in algae. Plant Physiol 70: 1637-1640

Ludwig LJ, Canvin DT (1971) The rate of photorespiration during photosynthesis and the relationship of the substrate of light respiration to the products of photosynthesis in sunflower leaves. Plant Physiol 48: 712-719

Meidner HA (1962) The minimum intercellular-space CO2 concentration of maize leaves and its influence on stomatal movements. J Exp Bot 13: 284-293

Ogren WL (1984) Photorespiration: pathways, regulation and modification. Annu Rev Plant Physiol 35: 415-442

Ogren WL, Bowes G (1971) Ribulose diphosphate carboxylase regulates soybean photosynthesis. Nature New Biol 230: 159-160

Sage RF, Sage TL, Kocacinar F (2012) Photorespiration and the evolution of C4 photosynthesis. Annu Rev Plant Biol 63: 19-47.

Tregunna EB, Krotkov G, Nelson CD (1966) Effect of oxygen on the rate of photorespiration in detached tobacco leaves. Physiol Plant 19: 723-733

Warburg O, Krippahl G (1960) Glykolsaurebildung in Chlorella. Z Naturforsch 15b: 197-199

Wang D, Waygood ER (1962) Carbon metabolism of 14CO2 labelled amino acids in wheat leaves. I. A pathway of glyoxylate-serine metabolism. Plant Physiol 37: 826-832

Zelitch I (1966) Increased rate of net photosynthetic carbon dioxide uptake caused by the inhibition of glycolate oxidase. Plant Physiol 41: 1623-1631

2.4 - Respiration and energy generation

Nicolas L. Taylor1,2 and A. Harvey Millar1
1ARC Centre of Excellence in Plant Energy Biology and 2School of Chemistry and Biochemisty, The University of Western Australia.

During photosynthesis the carbon assimilated is either retained in the chloroplast as starch or converted to sucrose and directed for export to sites of growth. Starch is degraded by a series of enzymes in the chloroplast, with sucrose degradation mainly occurring in the cytosol and both leading to glycolysis and the oxidative pentose pathway which produce respiratory substrates. These carbon rich compounds are prime sources of respiratory substrates in plants, although other carbohydrates such as fructans and sugar alcohols are also used.

During respiration, metabolites are oxidised and the electrons released are transferred through a series of electron carriers to O2. Water and CO2 are formed and energy is captured as ATP which is harnessed to drive a vast array of cellular reactions.

In comparison to sucrose and starch, the contribution of proteins and lipids as sources of respiratory substrates in most plant tissues is minor; exceptions to this generalisation are the storage tissues of seeds such as castor bean and soybean, in which amino acids and lipids may provide respiratory substrates, and during the processes of senescence in plant tissues where protein and lipid degradation increases.

2.4.1 - Starch and sucrose degradation

Starch is the principal storage carbohydrate in plants and this carbon reserve plays a number of important roles in plants. It is composed of two polymers of glucose, amylose and amylopectin and is stored in the plastid (chloroplast in leaves, amyloplasts in non-photosynthetic tissues) as insoluble, semi-crystalline granules. Starch is accumulated during rapid growth in the day and is almost completely degraded at night to mostly glucose and maltose, which is exported from the chloroplast and metabolised in the cytosol (Figure 2.19). Starch degradation is initiated by the addition of phosphate groups at the C6-position and C3-position of individual glucosyl residues that act to disrupt the packing of the glucans at the granule surface. These phosphate additions are catalysed by two enzymes, glucan water dikinase (GWD) and phosphoglucan water dikinase (PWD) respectively. The hydrolysis of the resulting glucan and phosphoglucan chains is carried out by a suite of enzymes including the phosphoglucan phosphatases (SEX4/LSF2), β-amylases (BAM1/BAM3), debranching enzymes (DBE; ISA3/LDA), α-amylase (AMY3), α-glucan phosphorylase and the disproportionating enzyme 1 (D-enzyme 1; an α-1,4-glucanotransferase).). The resulting maltose and glucose are exported to the cytosol by the glucose transporter (pGlcT) and maltose transporter (MEX1) and glucose-1-phosphate is thought to be exported by a similar but yet unknown mechanism. Once in the cytosol the maltose and glucose are converted to substrates for either sucrose synthesis, glycolysis or the oxidative pentose phosphate pathway by a number of enzymes including the disproportionating enzyme 2 (D-enzyme 2; an α-1,4-glucanotransferase), α-glucan phosphorylase, hexokinase and phosphoglucomutase.

Fig.2.19.png

Figure 2.19. Pathways of starch degradation. ATP, adenosine triphosphate; AMP, adenosine monophosphate; Pi, inorganic phosphate; GWN, glucan water dikinase; PWD, phosphoglucan water dikinase; SEX4/LSF2, phosphoglucan phosphatases; ISA3/LDA debranching enzymes (DBEs); BAM1/BAM3, β-amylases; D-Enyzme 1/2, disproportionating enzyme (α-1,4-glucanotransferase); pGlcT, glucose transporter; MEX1, maltose transporter, HK, hexokinase; PGM, phosphoglucomutase; Glu-1-P, Glucose-1-phosphate; Glu-6-P, Glucose-6-phosphate; OPP, Oxidative pentose phosphate pathway. (Original drawing courtesy Nicolas Taylor & Harvey Millar)

Sucrose is the world’s most abundant disaccharide, it is only produced by photosynthetic organisms and serves a role as a transportable carbohydrate and sometimes as a storage compound. The reactions in plant tissues leading to degradation of sucrose to hexose monophosphates are outlined in Figure 2.20.

Fig.2.20.png

Figure 2.20. The pathways of sucrose breakdown. SPP, sucrose phosphate phosphatase; S-6-P, sucrose-6-phosphate; SPS, sucrose phosphate synthase; UDP, uridine diphosphate; HK, hexokinase, ATP, adenosine triphosphate; ADP, adenosine diphosphate; Pi, inorganic phosphate; HPI, hexose phosphate isomerase; OPP, Oxidative pentose phosphate pathway. (Original drawing courtesy Nicolas Taylor & Harvey Millar)

The first step is cleavage of the glycosidic bond by either invertase (Equation 2.1) or sucrose synthase (Equation 2.2).

\[\text{Sucrose + H}_2\text{O} \rightarrow \text{D-Glucose + D-Fructose}\tag{2.1}\]

\[\text{Sucrose + UDP} \rightarrow \text{UDP-Glucose + D-Fructose}\tag{2.2}\]

Plant tissues contain distinct invertases located in the vacuole, cell wall (acid invertases) cytosol, mitochondria, nucleus, and cholorplast (neutral/alkaline invertases) which hydrolyse sucrose to glucose and fructose in an irreversible reaction. The invertases are differentially regulated by a number of mechanisms including pH to allow them to function in cell expansion, supply of carbon skeletons and energy metabolism. Multiple isoforms of sucrose synthase are located in the cytosol or cytosolic membranes that catalyse a thermodynamically reversible reaction, but this reaction probably acts only to breakdown sucrose in vivo. Their activity is developmentally regulated and they have functions in the supply of activated glucose for starch and cellulose biosynthesis. While both invertase and sucrose synthase can both breakdown sucrose, research using knockouts of multiple isoforms of both enzymes has shown that sucrose synthase is not required for normal growth in Arabidopsis, whereas invertase is indispensable. However this does not rule out the requirement of sucrose synthase in certain tissues of crop plant tubers, seeds and fruits where it has been shown to be crucial. Glucose and fructose are metabolised further by phosphorylation to the corresponding hexose-6-P by hexokinase. Hexokinase in plant tissues is associated with the outer surface of mitochondria.

2.4.2 - The glycolytic pathway

The glycolytic pathway involves the oxidation of the hexoses and hexose phosphates molecules produced from the breakdown of starch or sucrose to generate ATP, reductants and pyruvate (Figure 2.21).

Fig.2.21.png

Figure 2.21 The glycolytic pathway. OPP, Oxidative pentose phosphate pathway; PPi, pyrophosphate, Pi, inorganic phosphate; TPI, triose phosphate isomerase; NAD+, nicotinamide adenine dinucleotide (oxidised); NADH, nicotinamide adenine dinucleotide (reduced); NADP+, nicotinamide adenine dinucleotide phosphate (oxidised); NADPH; nicotinamide adenine dinucleotide phosphate (reduced); ATP, adenosine triphosphate; ADP, adenosine diphosphate;  MDH, malate dehydrogenase; PEPC, phosphoenolpyruvate carboxylase; PK, pyruvate kinase. (Original drawing courtesy Nicolas Taylor & Harvey Millar)

The process of glycolysis occurs within both the cytosol and plastid, with reactions in the different compartments catalysed by separate enzyme isoforms. The first step in the pathway is the phosphorylation of glucose by hexokinase to form glucose-6-phosphate in an ATP consuming reaction. This glucose-6-phosphate is converted to fructose-6-phosphate by glucose phosphate isomerase to form fructose-6-phosphate, which is also the entry point for fructose that can be phosphorylated by hexokinase also forming fructose-6-phosphate. The fructose-6-phosphate is then further phosphorylated to fructose-1,6-bisphosphate by one of two enzymes capable of catalysing this step: an ATP-dependent phosphofructokinase (PFK), which catalyses an irreversible reaction and occurs in the cytosol and plastids, and a pyrophosphate-dependent phosphofructokinase, (PPi-PFK), which occurs only in the cytosol and utilises pyrophosphate (PPi) as the phosphate donor in a reaction that is readily reversible.

Regulation of PFK and PPi-PFK is achieved by a combination of mechanisms, including pH, the concentration of substrates and effector metabolites and changes in subunit association. Phosphoenolpyruvate (PEP) is a potent inhibitor of both of PFK and PPi-PFK, inhibiting at µM concentrations and Pi can activate the cytoplasmic PFK, whereas the plastidic form is slightly inhibited by Pi. A number of other effectors of PFK have been identified including ADP, 3-phosphoglycerate and phosphoglycolate as well as it ability to accept ribonucleoside triphosphates other than ATP as the phosphate donor. PPi-PFK, has a catalytic potential higher than that of PFK and is strongly activated by Fructose-2,6-bisphosphate, but has no effect on PFK.

Fructose-1,6-bisphosphate is cleaved by fructose bisphosphate aldolase to form glyceraldehyde-3-phosphate and dihydroxyacetone phosphate, and these triose phosphates can be interconverted in a reaction catalysed by triose phosphate isomerase. Glyceraldehyde-3-phosphate is oxidised to 1,3-bisphosphoglycerate by a nicotinamide adenine dinucleotide (NAD+)-dependent glyceraldehyde 3-P dehydrogenase. Glyceraldehyde 3-P dehydrogenase is sensitive to inhibition by the reduced pyridine nucleotide cofactor (NADH), which must be reoxidised to maintain the flux through the glycolytic pathway. A phosphate group is then transferred from 1,3-bisphosphoglycerate to ADP forming ATP and 3-phosphogylcerate by phosphoglycerate kinase. In the cytosol a bypass is present that can convert glyceraldehyde-3-phosphate directly to 3-phosphoglycerate without phosphorylation by a non-phosphorylating NADP dependent glyceraldehyde 3-phosphate dehydrogenase. The resulting 3-phosphoglycerate is then converted to phosphenolpyruvate (PEP) by the action of phosphoglycerate mutase and then enolase.  

The end-products of glycolytic reactions in the cytosol are determined by the relative activities of the two enzymes that can utilise PEP as a substrate: pyruvate kinase, which forms pyruvate and a molecule of ATP, and PEP carboxylase, which forms oxaloacetate (Figure 2.21). Both of these reactions are essentially irreversible and there are fine controls that regulate the partitioning of PEP between these reactions. Pyruvate kinase is controlled post translationally by a partial C-terminal truncation which may yield altered regulatory properties and a phosphorylation and ubiquitin conjugation that targets the protein to the 26S proteasome for complete degradation, it is also inhibited by ATP. Whereas PEP carboxylase is inhibited by malate and thus its regulation is independent of cell energy status. The sensitivity of PEP carboxylase to malate is regulated by phosphorylation of a N-terminal serine of the enzyme, with the phosphorylated form less sensitive to malate inhibition. Oxaloacetate is then reduced by malate dehydrogenase to malate which, along with pyruvate, can be taken up into mitochondria and metabolised further in the TCA cycle (see below). The reduction of oxaloacetate in the cytosol could provide a cytosolic mechanism for oxidising NADH formed by glyceraldehyde 3-P dehydrogenase (Figure 2.21).

Another level of regulation of components of glycolysis is their physical location within the plant cell. Under conditions of high respiratory activity, a greater proportion of the cytosolic enzymes of glycolysis are present on the surface of mitochondria. In contrast when respiration is experimentally inhibited, a decrease in the association of glycolytic enzymes with the mitochondria is observed. It is likely that the glycolytic enzymes associate dynamically with mitochondria to support respiration and that this association restricts the use of glycolytic intermediates by competing metabolic pathways.

2.4.3 - The oxidative pentose phosphate pathway

An alternative route for the breakdown of glucose-6-phosphate is provided by the oxidative pentose phosphate pathway (OPP) (Figure 2.22). This pathway functions mainly to generate reductant (i.e. NADPH) for biosynthetic processes including the assimilation of inorganic nitrogen and fatty acid biosynthesis and to maintain redox potential to protect against oxidative stress. In addition, the reversible oxidative section of the pathway is the source of carbon skeletons for the synthesis of a number of compounds. For example ribose-5-phosphate provides the ribosyl moiety of nucleotides and is a precursor for the biosynthesis of purine skeletons and erythrose-4-phosphate, which is the precursor for the biosynthesis of aromatic amino acids by the shikimic acid pathway.

 

Fig.2.22.png

Figure 2.22. The oxidative pentose phosphate pathway. NADPH, nicotinamide adenine dinucleotide phosphate (reduced); R-5-p I, ribose-5-phosphate isomerase; R-5-p Epimerase, ribulose-5-phosphate epimerase. (Original drawing courtesy Nicolas Taylor & Harvey Millar)

The pathway begins with the dehydrogenation of glucose-6-phosphate catalyzed by glucose-6-phosphate dehydrogenase to produce 6-phosphoglucolactone and is the first step of the oxidative phase of the pathway. The 6-phosphoglucolactone is then hydrolysed to 6-phosphogluconate by 6-phosphogluconolactonase and then undergoes oxidative decarboxylation by 6-phosphogluconate dehydrogenase to produce ribulose-5-phosphate in the final step of the oxidative phase. Overall this phase of the pathway produces two molecules of NADPH from the conversion of glucose-6-phosphate to ribulose-5-phosphate. The non-oxidative phase begins with the reaction of ribulose-5-phosphate with either ribulose-5-phosphate isomerase or ribulose-5-phosphate epimerase followed by a series of reactions catalyzed by transaldolase and transketolase. These reactions result in the production of two molecules of fructose-6-phosphate and one glyceraldehyde 3-phosphate. The glyceraldehyde 3-phosphate and fructose-6-phosphate in the oxidative pentose phosphate pathway may be exchanged with enzymes of glycolysis.

As with glycolysis, reactions of the pentose phosphate pathway are catalysed by different isoforms of the enzymes that occur either in the cytosol or in plastids. Although transketolase and transaldolase may be absent from the cytosol of some species, the activity is maintained by phosphate translocator proteins on the plastid inner-envelope membrane that have the capacity to translocate sugar phosphates.

2.4.4 - Mitochondria and organic acid oxidation (the TCA cycle)

Organic acids such as pyruvate and malate produced in the cytosol by processes described above are further oxidised in mitochondria by the tricarboxylic acid (TCA) cycle and subsequent respiratory chain. Energy released by this oxidation is used to synthesise ATP which is then exported to the cytosol for use in biosynthesis and growth.

(a)  Mitochondrial structure

Fig.2.23.jpg

Figure 2.23. Transmission electron micrograph of a parenchyma cell in a floral nectary of broad bean (Vicia faba) showing an abundance of mitochondria, generally circular in profile and varying between about 0.75 and 1.5 µm in diameter. Each mitochondrion is encapsulated by an outer and inner membrane which is in turn infolded to form cristae. Scale bar = 0.5 µm. (Original electron micrograph courtesy Brian Gunning)

Plant mitochondria (Figure 2.23) are typically double-membrane organelles where the inner membrane is invaginated to form folds known as cristae to increase the surface area of the membrane. The outer membrane contains relatively few proteins (<100) and is permeable to most small compounds (< Mr=5 kDa) due to the presence of the pore-forming protein VDAC (voltage dependent anion channel) which is a member of the porin family of ion channels. The inner membrane is the main permeability barrier of the organelle and controls the movement of molecules by means of a series of carrier proteins many of which are members of mitochondrial substrate carrier family (MSCF). The inner membrane also houses the large complexes that carry out oxidative phosphorylation and encloses the soluble matrix which contains the enzymes of the TCA cycle and many other soluble proteins involved in a myriad of mitochondrial functions.

Mitochondria are semi-autonomous organelles with their own DNA and protein synthesis machinery. However, the mitochondrial genome encodes only a small portion of the proteins which make up the mitochondrion; the rest are encoded on nuclear genes and synthesised in the cytosol. These proteins are the transported into the mitochondrion by the protein import machinery and assembled with the mitochondrially synthesised subunits to form the large respiratory complexes. The number of mitochondria per cell varies with tissue type (from a few hundred in mature differentiated tissue to some thousands in specialised cells). Understandably, more active cells, with high energy demands, such as those in growing meristems are generally equipped with larger numbers of mitochondria per unit cell volume, and consequently show faster respiration rates.

(b)  Mitochondrial substrates

Two substrates are produced from glycolytic PEP for oxidation in mitochondria: malate and pyruvate (Figure 2.21). These compounds are thought to be the most abundant mitochondrial substrates in vivo. However, amino acids may also serve as substrates for mitochondrial respiration in some tissues, particularly in seeds rich in stored protein or under conditions of sugar depletion such as extended darkness, shading and senescence. β-oxidation of fatty acids typically does not occur in plant mitochondria, this oxidation is principally carried out in peroxisomes in plants.

(c) Carbon metabolism in mitochondria

Malate and pyruvate enter the mitochondrial matrix across the inner membrane via separate carriers. Malate is then oxidised by either malate dehydrogenase (a separate enzyme isoform from that in the cytosol), which yields oxaloacetate (OAA) and reduced nicotinamide adenine dinucleotide (NADH), or NAD+-linked malic enzyme, which yields pyruvate and NADH and releases CO2 (Figure 2.24). Cytosolic pyruvate carboxylase is an alternative means of providing substrate to mitochondria by combining pyruvate with HCO3 to yield OAA that can then be imported into mitochondria.

Fig.2.24.png

Figure 2.24. The tricarboxylic acid cycle. NAD+, nicotinamide adenine dinucleotide (oxidised); NADH, nicotinamide adenine dinucleotide (reduced); ATP, adenosine triphosphate; ADP, adenosine diphosphate; Pi, inorganic phosphate; GTP, guanosine triphosphate; GDP, guanosine diphosphate; Q, qunione; QH2, dihydroquinone. (Original drawing courtesy Nicolas Taylor & Harvey Millar)

 

Pyruvate formed either from malate and malic enzyme or transported directly from the cytosol is oxidised inside mitochondria by the pyruvate dehydrogenase complex (PDC) to form CO2, acetyl-CoA and NADH. This enzyme, which requires coenzyme A, thiamine pyrophosphate and lipoic acid as cofactors, effectively links the TCA cycle to glycolysis. PDC comprises three enzymes E1 (2-oxo acid dehydrogenase), E2 (acyltransferase) and E3 (lipoamide dehydrogenase). This complex is regulated by phosphorylation of the E1 subunit, lowering PDC activity in the day and increasing PDC activity at night. Pyruvate dehydrogenase is also subject to feedback inhibition from acetyl-CoA and NADH.

(d) Tricarboxylic acid (TCA) cycle

The TCA cycle begins with the condensation of acetyl-CoA and OAA, to form the six-carbon molecule citrate and the release coenzyme A (CoA) (Figure 2.24) in a reaction catalysed by citrate synthase. Aconitase catalyses the next step, converting citrate to isocitrate in a two-step reaction (dehydration/hydration) with cis-aconitate as an intermediate.

NAD-linked isocitrate dehydrogenase then oxidatively decarboxylates isocitrate to form CO2 and 2-oxoglutarate, and reduce NAD+ to NADH. The 2-oxoglutarate formed is also oxidatively decarboxylated to succinyl-CoA in a reaction catalysed by the enzyme 2-oxoglutarate dehydrogenase. This enzyme complex has similarities to pyruvate dehydrogenase and its reaction is analogous to the formation of acetyl-CoA from pyruvate by pyruvate dehydrogenase. The reaction mechanisms are also very similar, with 3 subunit enzymes, but 2-oxoglutarate dehydrogenase is not subject to the phosphorylation control that regulates pyruvate dehydrogenase. Succinyl-CoA synthase then catalyses the conversion of succinyl-CoA to succinate, with the concomitant phosphorylation of ADP to ATP, the only substrate-level phosphorylation step in the mitochondrion. This enzyme in plants differs from its mammalian counterpart in that it is specific for ADP rather than GDP.

Succinate dehydrogenase (SDH, Complex II), which catalyses the oxidation of succinate to fumarate, is the only membrane-bound enzyme of the TCA cycle and is part of the respiratory electron transfer chain (Figure 2.25). SDH is a large complex consisting of four core subunits, as well as number other associated subunits.

Fumarase catalyses the hydration of fumarate to malate followed by malate dehydrogenase that catalyses the final step of the TCA cycle, oxidising malate to OAA and producing NADH. The reaction is freely reversible, although the equilibrium constant strongly favours the reduction of OAA, necessitating rapid turnover of OAA and NADH to maintain this reaction in a forward direction.

Overall, during one turn of the cycle, three carbons of pyruvate are released as CO2, one molecule of ATP is formed directly, and four NADH and one FADH2 are produced. The strong reductants are oxidised in the respiratory chain to reduce O2 and produce ATP. Although most of the TCA cycle enzymes in plant mitochondria are NAD linked, NADP-dependent isoforms of isocitrate and malate dehydrogenases also exist, and these may play a role in a protective reductive cycle in the matrix.

Regulation of carbon flux through the TCA cycle probably occurs via phosphorylation/dephosphorylation of pyruvate dehydrogenase, which will depend in turn on mitochondrial energy status and feedback inhibition of various enzymes by NADH and acetyl-CoA. The rate of cycle turnover thus depends on the rate of electron flow through the respiratory chain (to reoxidise NADH) and the utilisation of ATP in the cell to provide ADP for substrate level and oxidative phoshorylation. TCA cycle turnover will also depend on the rate of substrate provision by reactions in chloroplasts and cytosol. A number of studies of TCA cycle mutants have demonstrated the wide impact these enzymes have not simply on TCA cycle function but as steps for the delivery of organic acids for other processes in plant cells such a photosynthetic performance, plant biomass, root growth, photorespiration, nitrogen assimilation, amino acid metabolism, and stomatal function.

2.4.5 - Electron transport chain

The respiratory electron transfer chain (ETC) of mitochondria consists of a series of large membrane-bound protein complexes (Complexes I, II, III, IV) which together with a small lipid ubiquinone (UQ) and the small protein cytochrome c catalyse the transfer of electrons from NADH and succinate to O2, forming H2O (Figure 2.25). Electron flow from NADH and succinate to oxygen is coupled to proton translocation out of the matrix to the intermembrane space which establishes a proton electrochemical gradient (DµH+) across the inner membrane that is used to drive phosphorylation of ADP to form ATP by the F1FO ATP synthase (Complex V, Figure 2.25).

Fig.2.25_edit_1.png

Figure 2.25. The electron transport chain of plant mitochondria. Numbers (I-V) identify the large respiratory complexes located on the inner mitochondrial membrane. Complex I, NADH:ubiquinone oxidoreductase; complex II, succinate dehydrogenase; complex III, ubiquinone-cytochrome c oxidoreductase; complex IV, cytochrome c oxidase; complex V, ATP synthase. Letters identify alternative pathway enzymes, eN, external NAD(P)H dehydrogenase; iN, internal NAD(P)H dehydrogenase; A, alternative oxidase and UQ, ubiquinone/ubiquinole pool; c, cytochrome c; U, uncoupling protein. NADH, nicotinamide adenine dinucleotide (reduced); NAD+ nicotinamide adenine dinucleotide (oxidised); ATP, adenosine triphosphate; ADP, adenosine diphosphate; Pi, inorganic phosphate.  Unbroken arrows indicate pathways of electron flow; broken arrows indicate proton translocation sites. (Original drawing courtesy Nicolas Taylor & Harvey Millar)

(a) Complex I (CI)

 

NADH-UQ oxidoreductase, is responsible for the oxidation of matrix NADH and reduction of ubiquinone (UQ) in the inner mitochondrial membrane (Figure 2.25). In plants it is a large multi-subunit complex composed of 49 subunits, up to ten of which are synthesised in the mitochondrion whilst the others are imported from the cytosol. One of the subunits, a 50 kDa protein, contains flavin mononucleotide as a cofactor and is the dehydrogenase which oxidises NADH and passes electrons to iron-sulphur containing subunits of the complex, and eventually to ubiquinone. The passage of electrons through the complex is accompanied by H+ translocation across the membrane. Complex I is inhibited specifically by the flavonoid rotenone and its analogues. The NADH-binding site is exposed to the matrix and the complex oxidises NADH produced by the TCA cycle and other NAD-linked enzymes (Figure 2.25). Studies of mutations of CI subunits have shown that plants can survive without CI due to the activity of alternative NAD(P)H dehydrogenases (see below). Such mutants have a variety of interesting phenotypes including viral infection tolerance, prolonged hydration under water-deficient conditions and altered organic and amino acid concentrations. Using a series of Arabidopsis CI subunit knockout mutants, a number membrane arm subcomplexes (of 200, 400, 450 and 650 kDa) have been identified using BN-PAGE and antibodies. It is proposed that at least some of these subcomplexes may be assembly intermediates during CI formation, and these are seen to accumulate when specific subunits are absent.

(b) Complex II (CII)

Succinate dehydrogenase, is an enzyme of both the respiratory ETC and the TCA cycle (see above) (Figure 2.25). It is composed of four core subunits: a flavoprotein (SDHI), an iron-sulphur subunit (SDH2) and two membrane anchor subunits (SDH3 and SDH4) in most organisms. In plants, the purification of the complex has revealed the common core subunits, but also additional proteins of unknown function that co-migrate with the complex. All SDH subunits are encoded in the nuclear genome in Arabidopsis. SDH contains FeS and flavin centres which participate in electron transfer from succinate to ubiquinone. Unlike complex I, complex II does not pump H+ and succinate oxidation is therefore linked to the synthesis of less ATP per O2 reduced (see below). Malonate, an analogue of succinate, is a strong competitive inhibitor of succinate dehydrogenase. Knockout mutants of the SDH1 gene have been shown to be embryo lethal, but knockdown of SDH1 and SDH2 leads a array of phenotypes including altered stomatal aperture, mitochondrial ROS production and nitrogen use efficiency. SDHAF1 and SDHAF2 assist in CII assembly in plants and knockdown of the SDHAF2 homolog lowers SDH assembly and reduces root growth.

(c) Complex III (CIII)

Ubiquinone-cytochrome c oxidoreductase or the cytochrome b/c1 complex as it is sometimes known, contains 10 subunits including a number of bifunctional core proteins. These proteins act both in CIII function and as a matrix processing peptidase, removing targeting presequences from imported matrix synthesized proteins (Figure 2.25). A single subunit of this complex, cytochrome b, is encoded by the plant mitochondrial genome, whilst the others are encoded by the nuclear genome. It contains two b-type cytochromes, b566 and b562, cytochrome c1, an iron-sulpher protein named the Rieske iron–sulphur protein and several other polypeptides. Electron flow from ubiquinol to cytochrome c is accompanied by the translocation H+ across the membrane, via the so-called Q cycle. Various inhibitors of complex III have been discovered, with antimycin A and myxothiazol most widely used in research. The assembly of CIII is modular and includes an early core subcomplex, a late core subcomplex and the final dimeric CIII. Approximately 13 assembly factors implicated in aiding one or more of the different stages of CIII assembly in yeast, however little is known about CIII assembly or functional assembly factors in plants.

(d) Complex IV (CIV)

Cytochrome c oxidase is the final step of electron transfer of the classical ETC. As the name implies, cytochrome c oxidase accepts electrons from cytochrome c and transfers them to O2 which is reduced to form H2O. Purification of CIV in plants has identified a complex containing 14 protein subunits (Figure 2.25). Eight of these proteins are homologous to known CIV subunits from other organisms, together with a further six proteins that are probably plant specific. Two cytochrome haem centres, a and a3, and two copper atoms make up its redox active components and like complex I, cytochrome oxidase is a proton pump. Cytochrome c oxidase is sensitive to a number of inhibitors, the best known of which are carbon monoxide and cyanide. Plants, however, show resistance to both carbon monoxide and cyanide because they are equipped with an alternative oxidase (see below). Studies of human and yeast CIV has shown an assembly pathway that involves the sequential incorporation of CIV subunits, initiated by subunit 1 and assisted by over 40 assembly factors. Research investigating the plant homolog of the yeast assembly factor COX19 has found it is capable of complementing the yeast cox19 null mutant. This suggests it might play a role in the biogenesis of plant cytochrome c oxidase or in the replacement of damaged forms of the enzyme. However, our knowledge of the assembly of CIV in plants is still incomplete.

(e) Ubiquinone and Cytochrome c

These large multi-subunit complexes (I, II, III, IV) of the respiratory ETC chain are embedded in the inner mitochondrial membrane by virtue of their hydrophobic subunits, and interact with one another via two smaller molecules: ubiquinone and cytochrome c. The lipid-soluble ubiquinone also known as coenzyme Q10 is a small mobile electron carrier which moves rapidly along and across the membrane, and participates in H+ transport across the membrane via the Q-cycle as well as shuttling electrons from complexes I and II to complex III. Cytochrome c is a small haem-containing protein located on the outer surface of the inner membrane, which shuttles electrons between complexes III and IV. In this respect, the respiratory chain is similar in layout to the photosynthetic electron transport chain: three large complexes which communicate by a quinone and a small mobile protein (Cyt c or plastocyanin). However, orientation of components in the membrane is inverted and the net reaction catalysed is opposite to that in chloroplasts (Figure 1.12).

2.4.6 - ATP synthesis (oxidative phosphorylation)

When electrons are transferred from NADH to O2, a large release of redox energy enables ATP formation in complex V of the respiratory chain (Figure 2.24). Energy release associated with electron transport is conserved by H+ translocation across the membrane to form a proton electrochemical gradient (ΔµH+) that has both an electrical membrane potential (Δψ) and a pH component (ΔµH+ = Δψ + ΔpH). This is known as the chemiosmotic theory and was originally proposed by Peter Mitchell in 1960s. In plant mitochondria, ΔµH+ exists mainly as a Δψ of ~150–200 mV, with a pH gradient (ΔpH) of ~0.2–0.5 units. ATP synthesis occurs as H+ move from a compartment of high potential (the intermembrane space) to one of low potential (the mitochondrial matrix) through the ATP synthase complex. Oxidation of NADH via the cytochrome pathway has three associated H+ translocation sites and is linked to synthesis of up to three ATP molecules for each molecule of NADH oxidized. By contrast, both succinate and alternative NADH oxidation by the rotenone-insensitive NADH dehydrogenases (see below) are linked to the synthesis of only two ATP molecules per NADH or succinate, as these events are associated with only two H+ pumping sites.

Fig.2.26.png

Figure 2.26. Stylised O2 electrode recording of respiring plant mitochondria illustrating respiratory control. Oxygen consumption is measured as a function of time. The isolated mitochondria are depleted of substrates and are therefore dependent on added substrates and effectors. Addition of ADP (Pi is in the reaction medium) allows oxidative phosphorylation to proceed, dissipating some of the electrochemical gradient (ΔµH+) and thereby stimulating electron transport; the enhanced rate of O2 uptake is called State 3. When all the ADP is phosphorylated, electron transport slows to what is known as State 4. Addition of more ADP stimulates O2 uptake further, but addition of oligomycin, which blocks the ATP synthase, lowers O2 uptake to the State 4 rate. The addition of an uncoupler (protonophore) fully dissipates the electrochemical gradient (ΔµH+) and stimulates O2 uptake; no ATP synthesis occurs in the presence of the uncoupler. When the O2 concentration falls to zero, respiration ceases (Original drawing courtesy David Day)

 

(a) Complex V (CV)

ATP synthase is a membrane-bound F1F0 type H+-ATP synthase that harnesses the ΔµH+ generated by the ETC to produce ATP. It is composed of a hydrophobic F0 component which channels protons through the inner mitochondrial membrane and also anchors the complex to the membrane and a hydrophilic F1 component which catalyses ATP formation and protrudes into the matrix. The core subunits of the enzyme are highly conserved in both prokaryotic and eukaryotic organisms. In plants, the majority of mitochondrial F1 subunits are encoded in the nucleus and translated in the cytosol before being imported into the mitochondria (including  α, β, γ and ε subunits), while most of the F0 subunits are encoded in the plant mitochondrial genome and translated in the mitochondrial matrix (including a, b, c and A6L subunits).  The reaction mechanism of the ATP synthase is known as the three-site alternating binding site mechanism. According to this model, F1 has three nucleotide-binding sites which can exist in three configurations: one with loosely bound nucleotides, one with tightly bound nucleotides and the third in a nucleotide-free state. H+ movement through F0 results in rotation of F1, causing a conformational change during which the site with loosely bound ADP and Pi is converted to one which binds them tightly in a hydrophobic pocket in which ATP synthesis occurs. Further H+ movement then causes another rotation of F1 and the ATP binding site is exposed and releases the nucleotide. In the meantime, the other nucleotide-binding sites are undergoing similar changes, with ADP and Pi being bound and converted to ATP. Thus H+ translocation drives the three sites through three different configurations and the main expenditure of energy is in the induction of a conformational change that releases tightly bound ATP, rather than in ATP synthesis itself. The F0 complex also contains a protein known as the oligomycin-sensitivity-conferring protein (OSCP) because it binds the antibiotic oligomycin that prevents H+ translocation through F0 and inhibits ATP synthesis. Therefore, adding oligomycin to mitochondria oxidising a substrate in the presence of ADP restricts O2 uptake. Generally knockouts of ATP synthase core subunits are lethal in plants, however inducible knockdowns have enabled investigations into the tissue-specific phenotypes incurred by slowing the rates of mitochondrial ADP:ATP cycling at a number of different developmental stages. It has been proposed that the assembly of plant CV comprises of three steps, the first being the formation of a rapidly turned over F1 subcomplex in the matrix, followed by an intermediate stage where F1 associates with the inner membrane and still turns over at a fast rate, and then finally a union of F1 with FO to form functional CV. A number of assembly factors (Atp10, Atp11, Atp12, Atp22, Atp23 and Fmc1) have been discovered for yeast ATP synthase, however, a detailed study of the presence and conservation of CV assembly factors in plants has not been undertaken.

(b) Respiratory control

Electron transport through the respiratory chain, and therefore rate of O2 uptake, is controlled by availability of ADP and Pi, a phenomenon described as ‘respiratory control’. In the absence of ADP or Pi, the proton pore of ATP synthase is blocked and a ΔµH+ builds up to a point where it restricts further H+ translocation across the inner membrane. Since electron transport is functionally linked to H+ translocation, this elevated ΔµH+ will also restrict O2 consumption. That outcome is easily seen with isolated mitochondria (Figure 2.26) where O2 uptake is stimulated by adding ADP (‘State 3’ respiration). When all of the added ADP has been consumed, O2 uptake decreases again (‘State 4’). In steady state, the rate of electron flow is determined by the rate of flow of H+ back across the membrane: when ADP and Pi are available the backflow is rapid and occurs via ATP synthase; in the absence of these compounds, backflow is by slow diffusion through the membrane.

The ratio of State 3 to State 4 (the respiratory control ratio) is thus an indication of coupling between ADP phosphorylation and electron transport. Larger values represent tighter coupling. The proton leak can be dramatically stimulated by some compounds which act as protonophores or proton channels; these compounds collapse the ΔµH+ and increase O2 uptake up to the State 3 rate (Figure 2.26). However, no ATP is formed and these compounds are called uncouplers because they uncouple the linked processes of electron transport and phosphorylation.

2.4.7 - Alternative electron transport pathways

Plant mitochondria have a respiratory chain which is more complicated than that of animals and contains alternative NADH dehydrogenases, alternative oxidases which catalyse cyanide-insensitive O2 consumption and uncoupling proteins that acts to dissipate the ΔµH+. The alternative NADH dehydrogenases and alternative oxidase do not translocate protons and therefore are not linked to ATP synthesis; they are often referred to as the non-phosphorylating bypasses of the plant respiratory chain. These pathways were initially identified in plant mitochondria as they are able to continue to respire in the presence of the CIV inhibitor, cyanide and the CI inhibitor, rotenone and by their ability to exhibit natively uncoupled respiration in the absence of an ADP source.

(a) Alternative oxidase

Cyanide-insensitive respiration is catalysed by the alternative oxidase (AOX). This alternative terminal oxidase is a diiron quinol oxidase that branches from the classical respiratory chain at UQ and reduces oxygen to water without an associated proton translocation. The oxidase exists in mitochondria as a dimer which can be inactivated by covalent linkage via disulphide bonds. The reduced enzyme is stimulated allosterically by pyruvate and some other 2-oxo acids (such as glyoxylate), which interact directly with the oxidase. The exact role of AOX continues to be debated but it appears to play an antioxidant role in plant mitochondria. Research has shown it is actively induced by oxidative stress and the different genes for the oxidase have been shown to be both development- and tissue-specific. Knockout of AOX leads to reactive oxygen species and anthocyanin accumulation in the leaves exposed to a combination of high light and drought stress. AOX can be inhibited by hydroxamic acids such as n-propylgallate (nPG) and salicyl hydroxamic acid (SHAM).

(b) Alternative NAD(P)H dehydrogenases

Alternative NAD(P)H dehydrogenases have been shown to be present on both sides of the inner mitochondrial membrane. These type II NAD(P)H dehydrogenases oxidise external or cytosolic and matrix NADH and NADPH and are insensitive to the classical CI inhibitor rotenone. As with AOX, these enzymes do not translocate protons and therefore are not linked to ATP synthesis. The Arabidopsis genome contains seven genes encoding NAD(P)H dehydrogenases, although it appears that some of these isoforms are present in multiple subcellular compartments in addition to mitochondria.

(c) Uncoupling proteins

Uncoupling proteins (UCPs) are members of the mitochondrial carrier family of proteins. They act to dissipate the ΔµH+ built up the ETC by transporting H+ back across the inner membrane uncoupling proton and electron transport. The reactive oxygen species superoxide activates UCPs and this suggests a possible mechanism for the engagement of this enzyme in vivo. Analysis of knockouts of UCP (AtUCP1) showed that its absence led to localized oxidative stress but did not impair the ability of the plant to withstand a wide range of abiotic stresses. However, knockout of UCP1 did limit the photorespiration rate of plants and led to a reduction in photosynthetic carbon assimilation. This suggests that the main role of UCP1 in leaves is to maintain the redox poise of the mitochondrial ETC to facilitate photosynthesis.

2.4.8 - Energetics of respiration

(a)  Efficiency

Respiration represents a substantial loss of carbon from a plant, and under adverse conditions can be as high as two-thirds of the carbon fixed daily in photosynthesis. Both the rate and the efficiency of respiration will therefore affect plant growth significantly. The overall process of respiration results in the release of a substantial amount of energy which may be harnessed for metabolic work. In theory, the energy released from the complete oxidation of one molecule of glucose to CO2 and H2O in respiratory reactions leads to the synthesis of 36 molecules of ATP. However, in plants, because there are alternative routes for respiration, this yield can be greatly reduced. Mechanisms for regulating respiration rates in whole plants remain unclear. Convention has it that the rate of respiration is matched to the energy demands of the cell through feed-back regulation of glycolysis and electron transport by cytosolic ATP/ADP. However, since plants have non-phosphorylating bypasses in their respiratory chain that are insensitive to ATP levels, and since PEP carboxylase and PFP might be involved in sucrose degradation, the situation in vivo is not so simple. For example, the rotenone-insensitive alternative NADH dehydrogenases requires high concentrations of NADH in the matrix before it can operate and seems to be active only when substrate is plentiful and electron flow through complex I is restricted by lack of ADP. Alternative oxidase activity also depends on carbon and ADP availability and its flux is very dependent on the degree of environmental stress of the plant. In other words, non-phosphorylating pathways act as carbon or reductant ‘overflows’ of the main respiratory pathway and will only be active in vivo when sugar levels are high and the glycolytic flux rapid, when the cytochrome chain is inhibited, or when the bypasses have been induced significantly during stress. In glycolysis, the interaction between environmental signals and key regulatory enzymes, as well as the role of PFP and its activator fructose-2,6-P2, will be important.

(b)  Allocation of respiratory energy to process physiology

One way of viewing respiratory cost for plant growth and survival is by subdividing measured respiration into two components associated with (1) growth and (2) maintenance. This distinction is somewhat arbitrary, and these categories of process physiology must not be regarded as discrete sets of biochemical events. Such energy-dependent processes are all interconnected because ATP represents a universal energy currency for both, while a common pool of substrates is drawn upon in sustaining production of that ATP. Nevertheless, cells do vary in their respiratory efficiency, while genotype × environment interactions are also evident in both generation and utilisation of products from oxidative metabolism. The benefit of a high respiration rate is that more ATP is produced, which provides vital energy for growth of new tissue and defence processes, such as antioxidant activation, metabolite transport or production of resistant protein isoforms. However, the cost of high respiration rates is that carbon is expended on respiration instead of being allocated to synthesis of new tissue, therefore limiting growth capacity. Variation in respiration rate has implications for growth and resource use efficiency in plants during drought, temperature and salinity responses of plants.

2.4.9 - Further Reading

Araujo WL, Nunes-Nesi A, Nikoloski Z, Sweetlove LJ, Fernie AR (2012) Metabolic control and regulation of the tricarboxylic acid cycle in photosynthetic and heterotrophic plant tissues. Plant Cell Environ 35: 1-21

Atkin OK, Macherel D (2009) The crucial role of plant mitochondria in orchestrating drought tolerance. Ann Bot 103: 581-597

Atkin OK, Tjoelker MG (2003) Thermal acclimation and the dynamic response of plant respiration to temperature. Trends Plant Sci 8: 343-351

Jacoby RP, Li L, Huang S, Pong Lee C, Millar AH, Taylor NL (2012) Mitochondrial composition, function and stress response in plants. Journal of Integrative Plant Biology 54: 887-906

Jacoby RP, Taylor NL, Millar AH (2011) The role of mitochondrial respiration in salinity tolerance. Trends Plant Sci 16: 614-623

Kruger NJ, von Schaewen A (2003) The oxidative pentose phosphate pathway: structure and organisation. Curr Opin Plant Biol 6: 236-246

Mannella CA (2008) Structural diversity of mitochondria functional implications. Mitochondria and Oxidative Stress in Neurodegenerative Disorders 1147: 171-179

Millar AH, Whelan J, Soole KL, Day DA (2011) Organization and regulation of mitochondrial respiration in plants. Annual Review of Plant Biology 62: 79-104

Moller IM (2001) Plant mitochondria and oxidative stress: electron transport, NADPH turnover, and metabolism of reactive oxygen species. Annu Rev Plant Physiol Plant Mol Biol 52: 561-591

Patrick JW, Botha FC, Birch RG (2013) Metabolic engineering of sugars and simple sugar derivatives in plants. Plant Biotechnol J 11: 142-156

Plaxton WC (1996) The organization and regulation of plant glycolysis. Annu Rev Plant Physiol Plant Mol Biol 47: 185-214

Stitt M (2013) Progress in understanding and engineering primary plant metabolism. Curr Opin Biotechnol 24: 229-238

Stitt M, Zeeman SC (2012) Starch turnover: pathways, regulation and role in growth. Curr Opin Plant Biol 15: 282-292

Streb S, Zeeman SC (2012) Starch metabolism in Arabidopsis. Arabidopsis Book 10: e0160

Sweetlove LJ, Beard KF, Nunes-Nesi A, Fernie AR, Ratcliffe RG (2010) Not just a circle: flux modes in the plant TCA cycle. Trends Plant Sci 15: 462-470

Sweetlove LJ, Fernie AR (2013) The spatial organization of metabolism within the plant cell. Annu Rev Plant Biol 64: 723-746

Taylor NL, Day DA, Millar AH (2004) Targets of stress-induced oxidative damage in plant mitochondria and their impact on cell carbon/nitrogen metabolism. Journal of Experimental Botany 55: 1-10

Tcherkez G, Mahe A, Hodges M (2011) (12)C/(13)C fractionations in plant primary metabolism. Trends Plant Sci 16: 499-506

Zeeman SC, Kossmann J, Smith AM (2010) Starch: its metabolism, evolution, and biotechnological modification in plants. Annu Rev Plant Biol 61: 209-234

Chapter 3 - Water movement in plants

3.0-Ch-Fig-3.0-NoNum.jpeg

Karri (Eucalyptus diversicolor) forest in Pemberton, Western Australia. Karri may reach the height of 80 m, and is the second highest hardwood tree in the world (Photograph courtesy A. Munns)

Chapter editors: Brendan Choat and Rana Munns

Contributing Authors: B Choat1, R Munns2,3,4, M McCully2, JB Passioura2, SD Tyerman4,5, H Bramley6 and M Canny*

1Hawkesbury Institute of the Environment, University of Western Sydney; 2CSIRO Agriculture, Canberra; 3School of Plant Biology, University of Western Australia; 4ARC Centre of Excellence in Plant Energy Biology;  5School of Agriculture, Food and Wine, University of Adelaide; 6Facutly of Agriculture and Environment, University of Sydney; *Martin Canny passed away in 2013

Evolutionary changes were necessary for plants to inhabit land. Aquatic plants obtain all their resources from the surrounding water, whereas terrestrial plants are nourished from the soil and the atmosphere. Roots growing into soil absorb water and nutrients, while leaves, supported by a stem superstructure in the aerial environment, intercept sunlight and CO2 for photosynthesis. This division of labour results in assimilatory organs of land plants being nutritionally inter-dependent; roots depend on a supply of photoassimilates from leaves, while shoots (leaves, stems, flowers and fruits) depend on roots to supply water and mineral nutrients. Long-distance transport is therefore a special property of land plants. In extreme cases, sap must move up to 100 m vertically and overcome gravity to rise to tree tops.

This chapter explains the mechanism by which water can rise to the top of a tall tree, and the cellular processes essential for plant cells to maintain turgor.

 

3.1 - Plant water relations

3.0-Ch-Fig-3.1.jpeg

Figure 3.1 Surface view of cleared whole mount of a wheat leaf showing large and small parallel veins (mauve) with transverse veins connecting them. Lines of stomates (shown by the orange colour of the guard cells) lie along the flanks of these veins. Water evaporates from the wet walls of mesophyll cells below the stomates, drawing water from the veins. Distance between veins is 0.15 mm; scale bar is 100 µm. (Photograph courtesy M. McCully)

Water is often the most limiting resource determining the growth and survival of plants. This can be seen in both the yield of crop species and the productivity of natural ecosystems with respect to water availability.

The natural distribution of plants over the earth’s land surface is determined chiefly by water: by rainfall (\( R \)) and by evaporative demand (potential evapotranspiration, \( PE \)) which depends on temperature and humidity. This leads to such diverse vegetation groups as the lush vegetation of tropical rainforests, the shrubby vegetation of Mediterranean climates, or stands of tall trees in temperate forests. Climates can be classified according to the Thornthwaite Index: \( (R-PE)/PE \).

Agriculture also depends on rainfall. Crop yield is water-limited in most regions in the world, and agriculture must be supplemented with irrigation if the rainfall is too low. Horticultural crops are usually irrigated.

Plants require large amounts of water just to satisfy the requirements of transpiration: a large tree may transpire hundreds of litres of water in a day. Water evaporates from leaves through stomates, which are pores whose aperture is controlled by two guard cells. Plants must keep their stomates open in order to take up CO2 as the substrate for photosynthesis (Chapter 2). In the process, water is lost from the moist internal surfaces of the leaf through the stomatal pores (Figure 3.1). Water loss also has a benefit in maintaining the leaf temperature through evaporative cooling.

The ratio of water lost to CO2 taken up is around 300:1 in most land plants, meaning that plants must transpire large quantities of water on a daily basis in order to take up sufficient CO2 for normal development.

In this section we will examine plant water relations and the variables that plant physiologists use to describe the status and movement of water in plants, soil and the atmosphere.

One of the challenging aspects of understanding plant water relations is the range of pressures from positive to negative that occur within different tissues and cells. Positive pressures (turgor) occur in all living cells and depend on the semipermeable nature of the plasma membrane and the elastic nature of the cell walls. Negative pressures (tensions) occur in dead cells and depend on the cohesive strength of water coupled with the strength of heavily lignified cell walls to resist deformation. These play an important role in water transport through the xylem.

3.1.1 - The power of turgor pressure

3.0-Ch-Fig-3.3.jpeg

Figure 3.3 Wilted squash plants demonstrating loss of cell turgor. (Photograph courtesy of Home and Garden Information Center, University of Maryland Extension).

Well-watered plants are turgid, and their leaves and stems are upright and firm, even without woody tissue to support them. If water is lost from leaves through the stomates at a faster rate than it is resupplied by roots, then plants wilt (Figure 3.3)

Well-watered plants are turgid because their cells are distended by large internal hydrostatic pressures (Figure 3.4a). This internal hydrostatic pressure (also called turgor pressure) is typically 0.5 MPa or more. Lack of water causes cells to shrink until the pressure inside equals that of the atmosphere (zero), and the cells thus have zero turgor (Figure 3.4b). The initial shrinkage while turgor drops from 0.5 to zero MPa is determined by the properties of the cell wall: cell walls are slightly elastic, and the relation between volume change and turgor pressure depends on the “elastic modulus” of the wall. This involves little change in whole cell volume for a drop in turgor pressure to zero. However, further water loss causes the wall to shrink and deform inwards, and the whole cell volume decreases markedly.

3.0-Ch-Fig-3.4.jpeg

Figure 3.4 Turgid leaf cell and flaccid cell (zero turgor). (a) In the turgid cell in a well-watered plant, the cell is distended by a large internal hydrostatic pressure, usually 0.5 MPa - 1 MPa. (b) In the flaccid cell of a wilted plant, the cell wall is rather dry, and water has been lost to the atmosphere until the pressure inside is that of the atmosphere, zero.

The turgor pressure of a fully turgid cell may even exceed 1 MPa, about five times the pressure in a car tyre, and ten times the pressure in the atmosphere. In a physically unconstrained cell, the turgor pressure is borne by the cell wall, which develops a large tension within it. But in cells that are physically constrained, such as those of a tree root whose growth becomes hampered by the presence of a slab of concrete, the tension in the cell walls is relieved and the pressure is applied directly to the constraint (Figure 3.5).

3.0-Ch-Fig-3.5.png

Figure 3.5 Roots lifting slab of concrete. (Photograph courtesy L. Atmore, Daily Bruin, UC Davis)

It is easy to see how a constrained tree root could eventually lift a slab of concrete: 1 MPa applied over 100 cm2 is equivalent to a weight of one tonne. Pressure is force/area, and 1 MPa is approximately equal to 10 kg weight per cm2.

A definition of all these terms is summarised at the end of this section (Section 3.1.7).

3.1.2 - Osmotic pressure and water potential

How is it that plant cells can have such large turgor pressures? The essential reason is that the cells contain large concentrations of solutes. These solutes attract water into the cells through a process known as osmosis, which involves water flowing in through semipermeable membranes that prevent the passage of solutes but not of water. The inflow of water swells the cells until a hydrostatic pressure is reached at which no more water will flow in. In cells bathed in fresh water, such as algal cells in a pond, this equilibrium hydrostatic pressure is known as the osmotic pressure (\( \pi \)) of the cell contents, and is commonly about 500 kPa or 0.5 MPa.

This osmotic pressure can be measured directly with an osmometer, or it can be calculated from the solute concentration in the cell (\( C \)) from the van‘t Hoff relation:

\[ \pi = RTC \tag{1} \]

where \( R \) is the gas constant, \( T \) is the absolute temperature (in degrees Kelvin) and \( C \) is the solute concentration in Osmoles L-1. At 25 ºC, \( RT \) equals 2.5 litre-MPa per mole, and \( \pi \) is in units of MPa. Hence a concentration of 200 mOsmoles L-1 has an osmotic pressure of 0.5 MPa.

However, land plants are different from algae in a pond. Their leaves are in air, and the water in their cell walls, unlike the water in a pond, is not free. It has a negative hydrostatic pressure (discussed further in the next section). Thus, for a given osmotic pressure (\( \pi \)) within a cell, the hydrostatic pressure, \( P \), will be lower than if the cell were bathed in free water. This difference is known as the water potential (\( \psi \)) of the cell. It is zero in an algal cell in fresh water, but it is always negative in land plants. Its value is the difference between \( P \) and \( \pi \), that is:

\[ \psi=P-\pi \tag{2} \]

An alternative notation for equation (2) used commonly by plant physiologists is:

\[ \psi_w = \psi_p + \psi_s \tag{3} \]

In this case, \( \psi_w \) is the total water potential, \( \psi_s \) is the solute potential and \( \psi_p \) is the pressure potential. Thus \( \psi_s \) is equal, but opposite in sign, to \( \pi \).

The notion of water potential can be applied to any sample of water, whether inside a cell, in the cell wall, in xylem vessels, or in the soil. Water will flow from a sample with a high water potential to one with a low water potential provided the samples are at the same temperature and provided that no solutes move with the water. Water potential thus defined is always zero or negative, for by convention it is zero in pure water at atmospheric pressure.

3.1.3 - Positive and negative hydrostatic pressures

Positive values of hydrostatic pressure occur in the living cells of plants, in the symplast, and as explained above are induced by high solute concentrations and the resultant osmotic pressure. However, large negative values are common in the apoplast of plants and the soil they are growing in. These negative values arise because of capillary effects - the attraction between water and hydrophilic surfaces at an air/water interface, the effects of which can be seen in the way that water wicks into a dry dishcloth. This attraction reduces the pressure in the water, and does so more intensely the narrower are the water-filled pores. It accounts for how cell walls, which have very narrow pores, can remain hydrated despite very low water potentials in the tissue they are part of. For a geometrically simple cylindrical pore, the relation between the induced pressure and the radius of the pore can be derived as follows:

Take a glass capillary tube with a radius \( r \) (m) and place it vertically with one end immersed in water. Water will rise in the tube against the gravitational force until an equilibrium is reached at which the weight of the water in the tube is balanced by the force of attraction between the water and the glass. A full, hemispherical, meniscus will have now developed, i.e. one with a radius of curvature equal to that of the tube (Figure 3.6).

3.0-Ch-Fig-3.6.png

Figure 3.6 A fully-developed meniscus in a cylindrical tube showing the equality between the upward pull of surface tension and the downward pull of the suction in the water from which the relation \( \Delta P = 2\gamma/r \) can be derived.

The meniscus is curved because it is supporting the weight of the water - much as a trampoline sags when several people are sitting on it. There is a difference in pressure, \( \Delta P \) (Pa), across the meniscus, with the pressure in the water being less than that of the air. The downward acting force (N) on the meniscus is the difference in pressure multiplied by the cross-sectional area of the tube, i.e \(\pi r^2 \Delta P\). The upward acting force is equal to the perimeter of contact between water and glass (\( 2 \pi r \)) multiplied by the surface tension, \( \gamma \) (N m-1), of water, namely \( 2 \pi r \gamma \) (provided the glass is perfectly hydrophilic, when the contact angle between the glass and the water is zero, otherwise this expression has to be multiplied by the cosine of the angle of contact). Thus, because these forces are equal at equilibrium, we have \(\pi r^2 \Delta P = 2 \pi r \gamma \), whence

\[ \Delta P = 2\gamma/r \tag{4}\]

The surface tension of water is 0.075 N m-1 at about 20°C, so \( \Delta P \) (Pa) equals 0.15 divided by the radius \( r \) (m):

\[ \Delta P = 0.15/r \tag{5}\]

Thus a fully-developed meniscus in a cylindrical pore of radius 0.15 mm would have a pressure drop across it of 1.0 MPa. The pressure, \( P \), in the water would therefore be -1.0 MPa if referenced to normal atmospheric pressure, or -0.9 MPa absolute pressure (given that standard atmospheric is approximately 100 kPa).  

This argument applies not only to cylindrical pores. It is the curvature of the meniscus that determines the pressure drop, and this curvature is uniform over a meniscus occupying a pore of any arbitrary shape. It is such capillary action that generates the low pressures (large suctions) in the cell walls of leaves that induce the long-distance transport of water from the soil through a plant to the sites of evaporation. The pores in cell walls are especially small (diameters of the order of 15 nm), and are therefore able to develop very large suctions, as they do in severely water-stressed plants. Such pores can hold water against a suction of 10 MPa. (Table 3.1)

In plants, other water-filled pores vary in size from large xylem vessels with diameters of 100 mm or more down to a few mm, so for them to remain water-filled requires that they have no air/water interfaces.

3.1.4 - Turgor loss, cytorrhysis, and plasmolysis

When a cell in an intact plant growing in soil loses water, turgor declines and solute concentrations increase. As explained before (3.1.1), at turgor loss point, when turgor becomes zero, the hydrostatic pressure in the cell sap is equal to the atmospheric pressure, meaning that no net force is exerted on the cell wall, and the plant is wilting. If water continues to be lost from the cell, the pressure within the cytoplasm drops below atmospheric pressure, resulting in a force imbalance that collapses the cell wall. The deformation of living cells upon desiccation is called cytorrhysis. Note that the plasma membrane remains in close contact with the cell wall throughout desiccation ie plasmolysis does not occur, because the hydrostatic pressure in the cytoplasm remains greater than the hydrostatic pressure in the apoplast.

Plasmolysis only occurs in cells that are completely immersed in solution and have no air spaces around them, as in epidermal strips floating on water. Plasmolysis starts when the osmotic pressure of the solution is increased above that of the cells, causing the protoplast to shrink, and the plasma membrane separates from the wall (Fig. 3.7). Large gaps created between the plasma membrane and the wall fill with the bathing solution. This cannot occur in normal tissues as the cells have air spaces between them that are not filled with water. This includes root cells of intact plants growing in hydroponic solution or in waterlogged soil, as they still have air spaces.

Air cannot enter the cell through the cell walls as the small pore size, about 15 nm, would need a suction of 20 MPa to drain the pores (Table 3.1, in previous section) which is impossible.        

3.0-Ch-Fig-3.7.jpeg

Figure 3.7. Turgid leaf cell (turgor about 0.5 MPa) and flaccid cell (zero turgor) that has lost some water. With further water loss, the cell collapses. The collapse of the wall is called cytorrhysis. Plasmolysis occurs when a cell is placed in a solution of osmotic strength greater than that of the cell. Water is withdrawn from the cell until its concentration of solutes equals that of the bathing solution. If the bathing solution is sucrose or NaCl or any small molecule (smaller than the pores in the cell wall), solution enters the cell through pores in the cell wall which prevents cytorrhysis.

During plasmolysis, the plasma membrane is stretched into strands that remain tethered to the wall at particular sites (Figure 3.8). Plasmolysis has been used by microscopists to demonstrate the tethering of the plasma membrane to specific sites on cell walls, by floating tissue such as epidermal peels of onion bulbs on high concentration of solution of sucrose (Figure 3.8). When the protoplast shrinks away from the cell wall, and solution with small molecular weight solutes pentrates the cell wall and floods into the space between the wall and the proplasts, some parts of the plasma membrane stay tethered and the rest become pulled into very fine strands.

3.0-Ch-Fig-3.8-v2.jpeg

Figure 3.8. Cells in onion bulb scale leaf epidermis before and after plasmolysis, viewed by confocal microscopy and stained with fluorescent dye DIOC(6). (A) Cytoplasm is seen as pale strands at the cell surface, traversing the large vacuole. Cell boundaries are bright because the surface cytoplasm is intensely fluorescent. (B) Precisely the same field of view after plasmolysis in 0.6 M sucrose. The cell walls are now visible as dark lines between the shrunken protoplasts, which still show brightly fluorescent surfaces. (C) A reconstruction of many planes of focus at higher magnification to show some of the hundreds of stretched strands of plasma membrane that remain tethered to the wall during plasmolysis. (Micrographs courtesy B.E.S. Gunning)

The difference between cytorrhysis versus plasmolysis is most easily seen in leaves with single cell layers like mosses. Figure 3.9 shows that in the hydrated leaflet of Physcomytrella, when the central vacuole is distended, the chloroplasts line the cell wall. Rapid water loss causes a general shrinkage and eventually a collapse at the central parts of the cells. In cytorrhysis, the plasma membrane always remains in close contact with the cell wall. In contrast, when cells are bathed in a solution of small molecules like sucrose, glycerol, or low molecular weight polyethylene glycol, PEG, the solutes pass through the cell wall but not the plasma membrane, causing shrinkage of the protoplast and detachment of the plasma membrane from the cell wall. In plasmolysis, the gaps between the cell wall and the plasma membrane are filled with plasmolytic solution (Figure 3.9).

3.0-Ch-Fig-3.9-v2.jpg

Figure 3.9. Cytorrhysis versus plasmolysis in Physcomitrella patens. Left: The single cell layer of a hydrated moss leaflet. Centre: Cytorrhysis, where water loss causes a general shrinkage and eventually a collapse at the central parts of the cells. White areas appear where the upper and lower cell walls meet; the chloroplasts are pushed towards the side walls. Right: Plasmolysis in 10% glycerol, which passes through the cell wall but not the plasma membrane. Water loss causes shrinkage of the living protoplast and the detachment of the plasma membrane from the cell wall. (Photographs courtesy I. Lang)

Cytorrhysis also occurs during freezing, when water is withdrawn from cells (Buchner and Neuner 2010).

Plasmolysis is a laboratory phenomenon and does not occur in nature. It is an experimental artifact.

3.1.5 - What drives water flow?

Water flows throughout the plant in three different ways: (a) in bulk, (b) by diffusion in a liquid, and (c) by diffusion as a vapour. Different mechanisms are involved in these three types of flow.

Bulk flow is driven by gradients in hydrostatic pressure. It is much faster than diffusive flow because the molecules are all travelling in the same direction and hence their movement is cooperative. This is the flow that occurs in xylem vessels, in the interstices of cell walls, and in water-filled pores in soil. The resistance to such flow depends very strongly on the size of the flow channels.

Tall trees and fast-growing cereal crops like maize have large xylem vessels, of 100 µm in diameter or more. Flow rates are fast because the rate of volume flow increases in proportion to the fourth power of the radius for a given pressure gradient. Volume flow rate (m3s-1) in a cylindrical tube of radius \( r \) is proportional to \( r^4 \) and to the gradient in pressure along the tube, and inversely proportional to the viscosity \( η \) (Pa s) (Poiseuille’s Law)

\[ \text{Volume flow rate} = \left(\frac{\pi r^4}{8\eta}\right) * \left(\frac{\Delta P}{\Delta x}\right) \tag{6}\]

Where \( η \) is the solution viscosity and \( ΔP/Δx \) (Pa m-1)is the gradient in hydrostatic pressure. From equation (5) we understand that wide tubes are enormously more effective than narrow tubes. The importance of the relationship between tube radius and conductive efficiency becomes apparent when we examine long distance transport of water through the xylem (Section 3.2).

Diffusive flow in the liquid phase is driven by gradients in osmotic pressure. It is much slower than bulk flow because the net flows of solute and water molecules are in opposite directions and therefore impede each other. Where two liquid phases are separated by a semi-permeable membrane the flow of water across the membrane to the phase with the higher osmotic pressure is essentially diffusive, and the flow is driven by the difference in water potential across the membrane.

Vapour flow, for example through the stomata, is driven by gradients in vapour concentration, which are usually expressed in terms of partial pressure, but are nevertheless mechanistically concentrations.

As water in the transpiration stream moves from the soil to the roots, through the plant, and out through the stomata, all three types of flow are involved at various stages.

3.1.6 - The influence of gravity

The potential energy of water is affected by gravity: unconstrained water runs down hill. In most plants the effect of gravity is small relative to common values of the water potential, but in tall trees it can dominate. Where the effect is important it is convenient to introduce the notion of a total water potential, \( Φ \), which is the sum of the water potential, \( ψ \), and a gravitational term, thus

\[\Phi = \psi + \rho gh = P - \pi + \rho gh  \tag{7}\]

where \( ρ \) (kg m-3) is the density of water, \( g \) (m s-2) is the acceleration due to gravity, and \( h \) (m) is the height (relative to some reference) in the gravitational field. \( Φ \) is constant in a system at equilibrium with respect to water even when height varies. The value of \( g \) is approximately 10 m s-2, so the gravitational term, \( ρgh \), increases by 10 kPa for each metre increase in height. Hence, at equilibrium, when \( Φ \) and \( π \) are uniform (at least, in a system without semipermeable membranes) the hydrostatic pressure falls by 10 kPa for each metre increase in height.

In the tallest trees, for example a Eucalyptus regnans 100 m tall, equation (6) predicts that, even when the tree is not transpiring, the water potential at the top is about 1.0 MPa lower than at the base.

3.1.7 - Definitions and further reading

Definition of Terms

Pressure is force per unit area, Newtons per square meter, or N m-2. Its unit is the Pascal (Pa). 1 MPa is approximately equal to 10 kg weight per cm2.

Hydrostatic pressure is the pressure in a stationary fluid. (Note that hydrostatic pressure is usually quoted as the difference from atmospheric pressure, and is therefore taken to be zero when it equals atmospheric pressure).

Turgor pressure is the term used for the hydrostatic pressure in the cells’ contents.

Osmotic pressure (\( π \)) is the hydrostatic pressure in a compartment containing an aqueous solution that will just prevent pure water at atmospheric pressure flowing into that compartment through its membrane that is permeable to the water but not to the solutes within.

Water potential is the difference between \( P \) and \( π \).

Further Reading

Kramer PF, Boyer JS (1995) Water relations of plants and soils.   http://udspace.udel.edu/handle/19716/2830

Nobel PS (2005) Physicochemical and environmental plant physiology (3rd edition). Elsevier Academic Press, Burlington, MA

Passioura JB (1980) The meaning of matric potential. J Exp Bot 31:1161-1169

Passioura JB (2010) Plant–Water Relations. In: Encyclopedia of Life Sciences. Wiley, Chichester. DOI: 10.1002/9780470015902.a0001288.pub2

3.2 - Long distance xylem transport

3.0-Ch-Fig-3.10.jpg

Figure 3.10 Cross section from a seminal wheat root stained with toluidine blue, showing the cortex, endodermis (black arrow), late metaxylem (LMX) central vessel, and peripheral xylem (red arrow). Many root hairs can be seen. Scale bar, 100 µm. (Image courtesy H. Bramley)

In vascular plants, water absorbed by roots is transported up the plant in the mature (dead) tracheary elements (xylem vessels and tracheids) of roots and stems (Figure 3.10).

Plants are capable of rapidly transporting water to heights in excess of 100 m, even from extremely dry soils and highly saline substrates. They can transport water from soils to leaves at velocities of up to 16 m per hour (4 mm per second) if they have wide xylem vessels in the range of 100 µm. With the more common xylem vessel size of 25-75 µm, peak velocities are 1-6 m per hour. What biophysical mechanism allows plants to achieve this? We know that plants do not possess a pump to move water to the canopy under positive pressure. Instead, plants suck!

Plants have evolved a transport system that relies on water sustaining a tensile force while under suction. The xylem sap in transpiring plants is under negative pressure. This elegant, but counter intuitive mechanism, described by the Cohesion-Tension theory, allows plants to move large quantities of water from the soil to the transpiring leaf surface with little input of metabolic energy. The following section describes the experimental history of how the Cohesion Theory came to be accepted.

3.2.1 - Cohesion Theory for the Ascent of Sap

3.0-Ch-Fig-3.11.jpg

Figure 3.11 (a) Mercury (black) sucked into tracheids of pine (Pinus radiata) by transpirational pull generated in the shoots. The water—mercury interface is powerful enough to hold this vertical column of mercury in stems. The height to which the dark column of mercury rises is used to calculate suctions created in xylem vessels. Note the generally small heights, reflecting the high specific gravity of mercury. About 2 MPa suction is produced in these xylem vessels. (b) Mercury enters bordered pits but remains connected to the vertical column of mercury in xylem vessels. While mercury can pass through the pit apertures, it cannot pass the finely porous ‘pit membranes’ because it is much more cohesive than water. Seen laterally, the bordered pits appear as discs.

Around 1905, great plans were made to resolve the mystery of the ascent of sap in trees by Professor E.J. Ewart in Melbourne, using eucalypts as a model plant. At that time, Australian mountain ashes (Eucalyptus regnans) vied with American coast redwoods (Sequoia sempervirens) as the tallest trees in the world, being well over 100 m tall. Using special scaffolding, Ewart climbed eucalypt trees, removed lengths of branch and measured the pressures required to push water through these stems. These investigations led him to conclude ‘The ascent of water is, therefore, a vital problem in so far as it depends upon conditions which hitherto can only be maintained in living wood’. If water transport required living cells, it could not be supported by discovery of a pump akin to that in animals. Even roots, which sometimes could pump water by root pressure, lacked the necessary positive pressures to push water so far aloft, especially around midday when water was most needed.

Suction from the shoots was an alternative explanation, but manmade suction pumps cannot do this without inducing formation of air bubbles (embolisms) in the xylem and blocking flow. One clue to the solution came from Dixon and Joly (1894) who claimed that very pure water molecules would be held together by powerful cohesive forces provided the water was especially clean (much cleaner than in manmade pumps).

Ewart did not agree with the unorthodox proposal that the suction of pure water through xylem vessels underpinned transpiration. However, Dixon (1914) ultimately postulated the Cohesion Theory, based on those properties of water which distinguish it as an ideal biological solvent. Cohesion (due to hydrogen bonding between molecules of water), adhesion to walls of the vessels, and surface tension, are central features. In short, in the absence of microscopic gas bubbles water could withstand quite enormous tensions.

Evaporation from wet cell walls of substomatal cavities in leaves creates a large tension (also called negative pressure or suction), which is transmitted via xylem conduits, pulling more sap from roots to leaves. Fine pores in cell walls provide sufficient suction to draw water to the crown of even a lofty tree: a curved interface in a 10 nm pore can store a pressure of -30 MPa. This value can be derived from equation (5) in the previous section: DP = 0.15/r where P is in Pa and r in this case is 5 x 10-9 m.

Through the evaporative power of the atmosphere, a continuous ‘chain’ or ‘catena’ of water, well below atmospheric pressure, could be drawn up to a leaf canopy. The tensions created in this way could even suck water from the surrounding soil. We now recognise that the evaporative energy is supplied as the latent heat of vaporisation ultimately derived from solar radiation. This cohesive property of water gave rise to the ‘Cohesion Theory for the Ascent of Sap’.

Two other properties of water are also essential for long-distance water transport: surface tension, and the adhesion of water to solid surfaces such as the xylem vessels within trees. Dixon claimed that if water could ‘hang together’, the enormous evaporative energy of the air (the same power which dries the washing hanging on a line) could be harnessed to lift sap, which is mainly water, vertically. This would entail no metabolic energy on the part of the plant. This theory of sap flow accorded with earlier experiments by Professor E. Strasburger in 1893 showing that a tall oak tree trunk, severed at the base, could draw poisons and dyes up to the leaves by some wick-like action. If metabolism energised sap flow, poison should have inhibited it. This was well illustrated in later experiments (Figure 3.11a) in which mercury was drawn through fine tracheids of pine stems purely through the suction created by transpirational water loss from the shoot above. The tension required to achieve this is about 2 MPa.

However, the physical properties of plants had to be more complex than those of simple pipes conducting water. As mentioned, manmade pumps failed through embolisms if used to suck water higher than 10 m, whereas hundreds of litres of water reaches the canopies of tall trees daily. Even overlapping sawcuts in tree trunks, which should allow a massive quantity of air to flow into xylem vessels when under suction and cause trees to die from embolisms, did not stop all water flow to leaves. If water was under such suction, how could trees keep air bubbles out of the sap when the trunk was cut? This additional problem was not resolved until the very complex anatomical structures of trunks were much better understood. The highly compartmentalized, extensively redundant structure of the xylem network performs the critical role of isolating gas voids while water transport continues in adjacent conduits. In reality, the complex structure of the xylem network is what makes reliable water transport under tension possible. 

Xylem is not composed merely of pipes: it is made up of partially sealed units (technically vessels, tracheids and fibres, called collectively conduits), which most effectively limit the spread of introduced gases and thus, maintain water flow in some conduits despite very severe disruption from embolisms in others.

3.2.2 - Xylem as an effective conduit for sap

3.0-Ch-Fig-3.12.jpg

Figure 3.12 Cross section from barley root grown in soil; coleoptile node axile root, bar 100 µm. C is cortex, arrow points to peripheral xylem and arrowhead points to inner xylem. Extensions from the epidermis (red) are root hairs. Section was stained with rhodamine B and viewed with UV fluorescence optics. Micrograph, M. Watt. (Reproduced from New Phytol 178: 135-146, 2008)

The diameter of xylem vessels can be as small as 10 µm as in Arabidopsis, 60-100 µm in the roots of wheat and rapid growing annuals like maize, to over 100 µm in trees. Remembering that trees can be over 100 m in height, the conductive efficiency of xylem conduits is essentials for plants to move water to the canopy at rates that satisfy the transpirational water loss at the leaf surface. These dimensions are for the vessels with maximum diameter, the late metaxylem in the central part of the stele (e.g. Figure 3.12).

The diameter of xylem vessels in a given species varies greatly with root type (Watt et al. 2008). For example, in wheat and barley, the diameter varies from 10 to 60 µm depending on position within the stele (central or peripheral), and the type of root (seminal or nodal). Figure 3.12 shows a section of a nodal root from barley.

A wider xylem diameter translates to an increase in conductive efficiency that can be appreciated by revisiting equation (6). From the Hagen-Poiseuille Law, which shows that flow increases with the fourth power of the radius, we can see that a four-fold increase in the radius of a tube leads to a 256 fold increase in the volumetric flow rate.

In addition to allowing for high rates of water flow, the xylem must also protect the plant against formation and spread of gas bubbles. For xylem sap to sustain tensions required in tall trees, there must be no gas bubbles in the system. Cohesion breaks down if there is a single ‘nucleation site’ on which bubbles can form and enlarge. On the other hand, sap normally contains dissolved gases which, surprisingly, do not disrupt the system provided there are no nucleation sites available. Even the rigid walls of xylem vessels are compatible with high xylem tensions, attracting water by adhesion, which is essential for transport.

Surface tension acts as an interfacial water–air stopper, preventing air from being sucked into the many millions of tiny pores present in all plant cell walls. For example, water delivered to leaf cells by xylem vessels passes through these tiny menisci, which act effectively as non-return valves, so preventing air from being sucked into the xylem (Section 3.3). Surface tension also explains how water in leaves remains under strain within an essentially porous system through which water flows.

3.0-Ch-Fig-3.13.jpg

Figure 3.13 (a) Scanning electron micrograph (SEM) shows a transverse section of xylem tissue in Brachychiton australis. Large xylem vessels are surrounded by fibres and parenchyma; scale bar, 500 μm. Xylem vessels are dead at maturity and form long hollow tubes that minimise the resistance to water flow through the plant. Connecting intervessel walls contain bordered pits, cavities in the lignified secondary cell walls that allow for transfer of water between vessels. (b) Longitudinal section showing vessels in the xylem tissue of Fraxinus americana. Vessels are made up of repeated individual units (vessel elements) that are joined end to end by perforation plates; scale bar, 400 μm  (c) SEM of the finely sculptured scalariform perforation plates in Betula ermanii xylem. Water passes easily from one xylem vessel to another by this route; scale bar, 20 μm (d) SEM showing surface view of the pit membrane with secondary wall removed by sectioning; scale bar, 2 μm. Tiny pores allow the movement of water between vessels but limit the movement of gas and pathogens. Bordered pits act as the safety valves of the plant hydraulic system. (Images courtesy B. Choat and S. Jansen).

Vascular transport systems have evolved to become amazingly reliable despite the metastable condition of the sap (existing as a liquid below its vapour pressure). From primitive, thickened, hollow cells, increasing specialisation has produced greater elongation and thickening of the tubes (Figure 3.13a,b). Xylem walls contain pits, in which zones of the primary wall known as ‘pit membranes’ allow water to be transmitted between vessels efficiently, while preventing a gas phase spreading through the interconnected system of vessels and blocking transport through embolisation (the blockage of a fluid channel with a bubble of gas) (Figure 3.13d). No living membrane is present in these wall structures. The efficiency with which pit membranes isolate adjacent vessels is shown in Figure 3.11b (in the previous section) where mercury, a highly cohesive liquid, is drawn into specialised bordered pits of pine tracheids without being able to exit into neighbouring tracheids.

Vascular systems have evolved from plant species possessing only fibres and tracheids, for example the more primitive Tasmannia, to more advanced plants possessing vessels which resemble the unicellular tracheids in structure but are much wider and longer and originate from a number of cell initials fused together. Lignin thickening patterns have also evolved. Some thickening designs, such as annular and spiral, allow the tubes to extend longitudinally while supplying growing organs.

When elongation growth has ceased, an organ can be provided with more efficient pipes of larger bore and with stronger thickenings, in reticulate and scalariform patterns (Figure 3.13c). Pit fields which allow water transport across vessel walls can also be simple, unreinforced structures (simple pits) or more elaborate bordered pits in which secondary cell walls mechanically support the pit membrane. All these forms of pits can prevent air in an air-filled conduit from spreading to adjacent conduits which are conducting water under strong suction. Reinforcement of the walls around pits allows pit membranes to be as large as possible and thereby maximise water exchange between vessels.

3.2.3 - Axial flow in the xylem - where does it start?

The late metaxylem carries the bulk of the water to the shoot because of its greater diameter - four-fold increase in the radius of a tube lead to a 256-fold increase in the volumetric flow rate (3.1.5). However, it does not mature until well back from the root tip, and so the younger part of the root is not functional in providing water to the rest of the plant.

Root tips take up enough water for their own cell expansion but they cannot pass this onto the rest of the plant as their xylem vessels are still alive and not able to function as a conduit. Only when they die, mature, and lose the integrity of their plasma membranes, and the cell walls in the transverse plane disintegrate, can they function as conduits.

Xylem conduits (vessels and tracheids) are dead at maturity. They do not mature until sometime after they are fully elongated, and so they remain alive long after they leave the growing zone of the root. The last-formed xylem vessels in angiosperms, the late metaxylem, may be found alive for some distance from the root tip. In Arabidopsis they remain alive until the root hair zone, but in most species they can only be seen further than 5 or even 10 cm from the root tip.

3.0-Ch-Fig-3.15.jpg

Figure 3.15 A longitudinal face 15 cm from the tip of a main root of a 21 day-old soybean. Portions of 4 developing elements of what will become a late metaxylem vessel (LMX) are shown. The face grazes a mature LMX element (upper left) with very thick wall. The base of the root is toward the left. Diameter of immature xylem is about 50 µm. SEM image, M. McCully. (Reproduced from Protoplasma 183: 116-125, 1994)

3.0-Ch-Fig-3.16.jpg

Figure 3.16 Cytoplasmic strands in differentiating LMX elements 50 mm from the root tip of barley. Scale bar, 10 µm. Hand cut section of fresh material, Nomarski optics, C.X. Huang and R.F.M. van Steveninck. (Reproduced from Physiol Plant 73: 525-533, 1988)

In soybeans, immature vessels were found as far as 150 mm from the root tip (McCully 1994). In barley the late metaxylem vessel (LMX) was still differentiating 100-150 mm from the tip (Huang and van Steveninck, 1988). Light microscopy of hand-cut sections showed the presence of cytoplasmic strands and intact cross walls in LMX up to 100 mm from the tip (Figure 3.16).

Living/immature xylem vessels can be recognised by their high K+ concentrations, 100 mM or more.  In contrast, xylem sap that flows through the roots has  K+ concentrations of only 5-10 mM, as shown in Table 3.2 in the following section.

When the vessels mature, and their end walls disintegrate, their cellular contents are carried away by the transpiration stream. This leaves hollow tubes that greatly increase the conductance of water flow through the xylem.

Figure 3.17 shows the effect of xylem differentiation and maturity on axial conductance in roots of two crop species, wheat and lupin. Xylem are continually differentiating in lupin within a short region of a young root, which results in dramatic increase in axial conductance. In contrast, once the central metaxylem of wheat has matured there is little change in the root’s axial conductance.

3.0-Ch-Fig-3.17.jpg

Figure 3.17 Cross sections of wheat (A) and lupin (B) roots stained with berberine-aniline blue and viewed under UV optics. Scale bars, 50 µm. Mature xylem vessels fluoresce due to lignification of their cell walls, which increases with root development (compare upper panels taken 2 cm from the root tip with lower panels taken 18 cm from root tip). (C) shows change in axial conductance as vessels mature in young roots. Images and graph, H. Bramley. (Modified from Plant Physiol 150: 348-364, 2009)

3.2.4 - Solutes in xylem sap

Xylem sap contains all the inorganic nutrients needed for plant growth, in the proportions in which they are needed. The concentrations of some nutrients are dilute when compared to phloem sap, in particular potassium and nitrogen-containing solutes (Table 3.2). The concentrations also vary at different times of day, being lowest in the middle of the day when transpiration is highest, and quite high at night when stomates are closed so there is very little flow of sap to the shoots. The osmotic pressure of xylem sap therefore ranges from less than 0.05 MPa during the day to about 0.15 MPa (60 mOsmol L–1) during the night. The flux of solutes (the concentration multiplied by the flow rate of the sap) is maintained at a steady rate over the whole 24 hours.

Most solutes in xylem sap are inorganic ions (e.g. nitrate, potassium, magnesium and calcium), but organic solutes are also present (Table 3.2). Organic acids and amino acids in xylem sap can be present in substantial concentrations, and sugars (but not sucrose) reaching 5 mM in some perennial species. Many trees including eucalypts are host to boring insects at particular times of the year, when sugar and nitrogen content of the sap is nutritionally valuable. Even though sugar concentrations in xylem sap are much lower than in phloem sap, the high nitrogen to sugar ratios and low osmotic pressures make it a good substrate for many herbivores. More extreme examples of the carbohydrate content of xylem sap are temperate deciduous trees such as maple, which have traditionally been tapped to yield a sugary solution in the period prior to budburst. This indicates that xylem can be a conduit for carbon remobilisation in addition to its central role as a pathway for water and nutrient transport. Xylem parenchyma cells load ions into xylem vessels in roots (Section 3.6) and also contribute to modification of ion levels along the xylem pathway. In secondary tissues, rapid transfer of solutes into and out of the xylem is partly achieved through close association of living ray cells and xylem vessels.

Other organic molecules act to transport inorganic nutrients to the shoots. Nitrate and ammonium are assimilated into organic forms, such as amino acids, in the roots of many plants. In legumes, nodules deliver an even wider selection of nitrogenous compounds to the xylem, including ureides and amides. These often constitute the dominant form of nitrogen reaching shoots and are therefore, a major component of the sap. Other examples of complexed forms of inorganic nutrients in xylem sap are metal ions such as zinc, copper and iron, which are almost exclusively chelated to organic acids.

Phytohormones such as abscisic acid and cytokinins are present in xylem sap and serve as signals from roots to shoots affecting growth and development, and other physiological responses.

3.3 - Leaf vein architecture and anatomy

A rapidly transpiring leaf can evaporate its own fresh weight of water in 10 to 20 min, though many plants such as cacti, mangroves and plants in deep shade have much smaller rates of water turnover. Leaf veins must carry this water to all parts of a leaf to replace evaporated water, and maintain cell hydration and turgor. When water supply fails to meet this demand, shoots wilt.

3.0-Ch-Fig-3.20.jpg

Figure 3.20 Typical leaf vein pattern of broad-leaf species versus grasses. Left: Leaf of Eucalyptus crenulata showing the arrangement of supply and distribution veins. Large veins with large vessels, in which water is moved rapidly across the lamina, surround islets of small veins with small vessels in which water is slowly distributed locally. Scale bar, 1 mm. Right: Leaf of wheat (Triticum aestivum) showing one large and three small longitudinal veins, with transverse veins connecting them. Scale bar, 0.1 mm. Distance between small veins is about 0.15 mm in both species. (Photographs courtesy of M. McCully and M. Canny)

Vein distribution patterns differ markedly between broad-leaf species and grasses. Broad-leaf species generally have a highly branched network while grass species have parallel veins (Figure 3.20).

Veins consist typically of tightly packed xylem and phloem tissues surrounded by a parenchymatous or fibrous sheath. Both xylem and the phloem contain living parenchyma cells as well as their characteristic transporting conduits: vessels and/or tracheids in the xylem tissue, plus sieve tubes in the phloem tissue. There are no intercellular air-spaces, or only very small ones.

3.0-Ch-Fig-3.21.jpeg

Figure 3.21 Transverse section of small intermediate vein of wheat leaf, after being fed the fluorochrome sulphorodamine, which acts as a tracer for water movement. Water passes out of the xylem through paths in the walls of the mestome sheath cells (M) and enters the parenchymatous sheath cells (P) leaving red crystals in the intercellular spaces. Scale bar, 15 µm. Image, M. Canny. (Reproduced from New Phytologist, Tansley Review No 22, 1990)

The ring of cells forming the sheath around the xylem and phloem tissue acts both as a mechanical barrier that may confine pressure within the vein, and a permeability barrier that can control rates and places of entry and exit of materials (Figure 3.21).

3.3.1 - Vein architecture of conifers and angiosperms

The simplest vein architecture is found in conifer needles where a single unbranched strand of xylem and phloem is surrounded by mesophyll (Figure 3.22).

3.0-Ch-Fig-3.22.jpeg

Figure 3.22 Transverse section of a pine needle. A single central vein has two strands of phloem (p) and xylem (x), embedded in transfusion tissue (t). These vascular tissues are separated from the chlorophyll-containing mesophyll (red) by an endodermis (e) with Casparian strips and suberised lamellae. Stomata in the epidermis appear bluish. Rhodamine B stain, fluorescence optics. Scale bar, 0.1 mm.  (Photograph courtesy M. McCully)

3.0-Ch-Fig-3.23.jpeg

Figure 3.23 Wheat leaf showing one large supply vein and three small distribution veins, connected by transverse veins. Small veins could carry two thirds of the evaporated water. Dark-field optics, blue filter. Scale bar, 0.1 mm. (Photograph courtesy M. McCully)

Vascular strands are enclosed by an endodermis that separates them from the mesophyll, and are embedded in a mixture of parenchyma cells and tracheids called transfusion tissue. Water from the xylem permeates radially outward through transfusion tissue, endodermis and mesophyll to evaporate below lines of stomata in the epidermis.

Leaves of angiosperms have much more complicated venation than conifer needles. If you look at a grass leaf with your hand lens, parallel veins run the length of the leaf, but they are not all the same size. A few large veins have several small veins lying between them. On closer inspection with a light microscope, all these parallel veins are connected at intervals by very small transverse veins (Figure 3.23).

There are in fact two vein systems with different functions: large veins supply water rapidly to the whole length of a leaf blade while small veins and their transverse connections distribute water locally, drawing it from the large veins. Water in large veins flows only towards the tip, but in small veins it can flow either forwards or backwards along the leaf blade or transversely between adjacent parallel veins. The distinction of flow patterns in large and small veins arises as a result of different vessel sizes. Large veins have wide vessels (about 30 µm diameter), while small veins have narrow vessels (about 10 µm diameter). As the volume of water flowing along pipes is proportional to the fourth power of the radius (Equation 6; Poiseuille’s Law), volume flow in the larger vessels will be 3 to the fourth power (= 81) times greater than the flow in the smaller vessels. Put another way, pressure gradients along the leaf in large vessels will be very slight, but steep pressure gradients can develop locally in narrow vessels that will direct local flows into the mesophyll. Large veins supply water rapidly over the whole lamina while small veins distribute it locally and slowly. The slower flux along minor veins is compensated by their far greater number, which results in them having a greater length per unit leaf area than major veins.

With a hand lens, you do not see the vessels, instead you see the sheaths that surround xylem and phloem, much as an endodermis surrounds vascular strands of a conifer needle. Grass leaf veins have two sheaths of cells surrounding the parallel veins and containing the xylem and phloem tissues. In the leaf anatomical development typical of C3 species (e.g. wheat), both sheaths are parenchymatous and lack chloroplasts (Figure 3.24).

3.0-Ch-Fig-3.24.jpeg

Figure 3.24 Wheat leaf showing a single large (supply) vein comprising three large vessels (V). The vein is surrounded by two sheaths of living cells, the inner mestome sheath (arrowheads), and outer parenchyma sheath (stars). The mestome sheath of these veins is impermeable to water. Water enters the symplasm at the inner boundary of the parenchyma sheath (Canny 1990). Phloem (P). Transverse hand-section, Toluidine blue stain, bright-field optics. Scale bar, 0.1 mm. (Photograph courtesy M. McCully and M. Canny)

3.0-Ch-Fig-3.25.jpeg

Figure 3.25 Minor vein of maize, consisting of one xylem vessel (v), five vascular parenchyma cells (vp), bundle sheath (bs), companion cell (cc), and sieve tube (st) with intercellular space (is). Scale bar, 4.2 µm. Transmission electron micrograph, R.F. Evert. (Reproduced from Planta 138: 279-294, 1978)

The large veins of a C3 species is surrounded by two sheaths of living cells, the inner mestome sheath and outer parenchyma sheath (Figure 3.24). The mestome sheath of these large veins is impermeable to water. There is no apoplastic path for water through the mestome sheath of large veins, except through a connecting transverse vein. In small veins, by contrast, two or three mestome sheath cells next to the xylem permit flow of water and solutes through the cell wall apoplasm.

In C4 species (e.g. maize), only the inner (mestome) sheath is without chloroplasts. The outer ring of sheath cells contains large chloroplasts and is known as the bundle sheath (Figure 3.25). This is the cell layer in which CO2 fixation in the Calvin cycle takes place in C4 plants. This is an essential part of the carbon concentrating mechanism, and the special anatomy of C4 photosynthesis, as detailed in Chapter 2, Section 2.2.2

A dicotyledonous leaf contains the same two vein systems as a grass leaf, but these are differently arranged. Large supply veins are prominent, comprising a midrib and two orders of branches off it, often standing out from the surface of the lamina. These contain wide vessels and carry water rapidly to the leaf margins. Between them lie distribution veins, another two branch orders of small veins dividing the mesophyll up into islets about 1–2 mm across (Figure 3.26), and within these islets a fifth and final order of branches of the finest veins. The fourth- and fifth-order branches have only narrow vessels (Figure 3.26).

In dicotyledenous leaves, as in grass leaves, these vascular tissues are enclosed by bundle sheath cells through which water and solutes must pass when leaving the xylem.

3.0-Ch-Fig-3.26.jpeg

Figure 3.26 Whole mount of a cleared leaf of Eucalyptus crenulata showing the complicated arrangement of supply and distribution veins characteristic of a dicotyledonous leaf. Islands marked out by large veins with large vessels, in which water is moved rapidly all over the lamina, surround islets of small veins with small vessels in which water is slowly distributed locally to the mesophyll. Partial phase-contrast optics. Scale bar, 1 mm. (Photograph courtesy M. McCully and M. Canny)

Any distribution network such as the branching vessels of decreasing size in leaves is found to obey Murray’s Law. This states that the cube of the radius of a parent vessel is equal to the sum of cubes of the radii of the daughter vessels (e.g. a 50 µm vessel would branch into five 30 µm vessels). Such a pattern of branching produces optimal flow in several senses: minimum energy cost of driving that flow, minimum energy cost of maintaining the pipeline, constant shear stress at the walls of pipes, and rapid flow in supply pipes with slow flow in distributing pipes to permit exchange through the pipe walls (LaBarbera 1990).

3.0-Ch-Fig-3.27.jpeg

Figure 3.27 Soybean leaf showing two of the smallest veins surrounded by bundle sheath cells. Veins of this size are the end of the branching network shown in Figure 3.26, and supply most water that is evaporated. This leaf was transpiring in a solution of fluorescent dye for 40 min. The small vessels in each vein contain dye solution which has become concentrated by water loss to the symplasm and out through the bundle sheath. Dye has started to diffuse away from small vessels in the cell wall apoplasm of bundle sheath cells. Anhydrous freeze-substitution and sectioning, fluorescence optics. Scale bar, 50 µm. (Photograph courtesy M. McCully and M. Canny)

The ring of cells forming the sheath around the xylem and phloem tissue (Figure 3.27) acts both as a mechanical barrier that may confine pressure within the vein, and a permeability barrier that can control rates and places of entry and exit of materials. Exceptions are to be found at the ultimate ends of some dicotyledonous fine veins where tracheids or sieve elements may be unaccompanied by other cells, in the transverse veins of grasses which have no sheath, and in some special veins at leaf margins where the sheath is absent on the xylem side. There is evidence of a suberised layer in walls of these sheaths cells in some species, but not in others. It is uncertain whether xylem sap must traverse the cell membranes, as in the suberised endodermis of roots, or if it can travel along the cell walls.

3.3.2 - Damage control

Transpiration operates by suction, but leaves are especially liable to damage by grazing, mechanical forces, and extreme negative pressures in the xylem water column due to high rates of transpiration. Leaf vessels therefore need special protection against air embolisms spreading in the vessel network that would block liquid flow. This is achieved at all points in the leaf distal to the node (i.e. petiole, large veins, small veins) by the vessels being very short. That is, files of vessel elements joined to make a single pipe with a terminal end-wall are much shorter in the leaf than in the rest of the plant. Water flows through vessel end-walls with little extra resistance, but an air–water interface cannot be pulled through an end-wall or pit membrane because the pores are so small. The force needed to curve the interface into a meniscus small enough to pass through the end-wall is similar to that generated by evaporation from wet cell walls (Section 3.1.3). From equation (4), (DP = 0.15/r) we see that a pressure of roughly 0.3/d (MPa) is required to pull the interface through a hole of diameter d (µm). While 0.1 MPa can pull an interface through a 3 µm hole, 6 MPa is required to pull air through a 0.05 µm hole. Suctions of 6 MPa are not known to occur in transpiring plants, and cell walls have pores much smaller than 0.05 µm - in the order of 0.003 µm. So an embolism formed from cavitating water fills one vessel but does not spread beyond it.

The length of xylem vessels is demonstrated by allowing a leaf to transpire in a fine colloidal suspension that cannot pass end-walls. Latex paint, diluted 100 times with water and allowed to settle for a week or two, provides such a suspension. Leaves that have drawn up this suspension for an hour or so during transpiration can be cleared by dissolving out the chlorophyll and soaking in lactic acid. Progress of the paint is then readily seen (Figure 3.28). Very few vessels exceed 1 cm in length.

3.0-Ch-Fig-3.28.jpeg

Figure 3.28 Cleared whole mount of a wheat leaf demonstrating the frequent occurrence of end-walls in leaf vessels. The leaf was fed an emulsion of green latex paint in the transpiration fluid from a cut surface 6.5 mm to the right of the picture. At the right side of the picture, two vessels in the central large vein are carrying paint. Halfway across the picture (at arrowhead) the upper vessel is blocked by an end-wall through which the paint particles could not pass, although water continued to flow. The paint in the lower vessel continued for another 3 mm beyond the left of the picture, where an end-wall in that vessel limited its further progress. Note that paint has not passed out of the large vein into transverse veins where water flowed because pit membranes (Section 3.2) filtered out paint particles. Bright-field optics. Scale bar, 100 µm. (Photograph courtesy M. McCully and M. Canny)

3.3.3 - Water extraction from the xylem

3.0-Ch-Fig-3.11d.jpg

Figure 3.11d SEM showing surface view of the pit membrane with secondary wall removed from most pits by sectioning. Tiny pores allow the movement of water between vessels but limit the movement of gas and pathogens. Bordered pits act as the safety valves of the plant hydraulic system. (Photograph courtesy B Choat and S Jansen)

Xylem vessels (and tracheids) are not just pipes to carry water, they are pipes with holes in them (pits) through which water can leak out, fulfilling a principal leaf function of water distribution through the transpiration stream to places where it will evaporate. The branching network of vessels is beautifully adapted to achieve this.

Think about flow in a leaky vessel. As explained earlier, the rate of volume flow varies as the fourth power of the radius (Poiseuille’s Law). The frequency of leaks through vessel walls varies with surface area of the walls, that is, as the first power of the radius (2πr). So if the vessel is wide, forward flow is much larger than leakage. The wide vessels in large veins supply water all over the leaf without losing much on the way. As the width of a vessel becomes smaller, the forward flow (a function of r4) is reduced much more strongly than the leaks (a function of r). The proportion of water lost to leakage therefore increases as vessels become smaller. Indeed, for a fixed pressure gradient there is a critical radius at which all water entering the vessels supplies leaks, and there is no forward flow at all. The finest veins of dicotyledenous leaves have vessels of a radius that is close to this critical value. As sap disperses into the fine ramifications of the network, it moves more and more slowly forward, and leaks increasingly outwards through the sheath to the mesophyll. This is the rationale of the distributing networks of the small branched veins of both dicotyledons and grasses.

3.0-Ch-Fig-3.29.jpeg

Figure 3.29 Fresh paradermal hand-section of a leaf of Eucalyptus crenulata which had been transpiring for 80 min in a solution of sulphorhodamine G. The dye solution is present at low concentration in the vessels of the larger veins, but is not visible at that concentration. In the smallest veins the dye has become so concentrated by loss of water to the symplasm that dye crystals have formed inside vessels. Sectioned in oil, bright-field optics. Scale bar, 100 µm. (Photograph courtesy M. McCully and M. Canny)

Extraction of water from fine veins can be readily demonstrated. Stand a cut leaf in an aqueous solution of dye, such as 0.1% sulphorhodamine G, and allow it to transpire for an hour. The solution moves rapidly through large veins all over the leaf in a few minutes. Then it moves increasingly slowly into the network of distributing small veins. By the end of an hour it has reached the ends of the finest veins and, as water is extracted from them, the dye becomes more and more concentrated (Figure 3.29). Movement of dyes from the finest veins to leaf surfaces 100 µm away takes about 30 min, suggesting that diffusion rather than mass flow is responsible for solute distribution to cells.

3.3.4 - Solute extraction from the xylem

3.0-Ch-Fig-3.33.jpg

Figure 3.33 Leaf of horse chestnut, Aesculus hippocastanum, showing as with all strongly-toothed leaves, conspicuous veins running to each tooth. (Photograph courtesy M. Waters)

(a) Phloem export

Potassium is known to be extracted from the xylem and re-exported via the phloem (Section 5.1). In leaves, the concentrated sap flowing through the narrow xylem vessels of fine veins is separated from sieve tubes of the phloem by only two or three parenchyma cells, frequently enhanced by transfer cells. Exchange from xylem to phloem is probably made by this direct path. Solutes travel in the phloem back to stems, either distally to younger developing leaves and the stem apex or proximally towards roots.

(b)  Scavenging cells  

Recycling of solutes out of leaves can also be fed by a variety of special structures adapted for processing rather larger volumes of sap, and so suited for collecting solutes present in the stream at quite low concentrations. The transfusion tissue of conifer needles is one of these structures. As sap leaves the xylem of a vascular strand it moves through a bed of tracheids mixed intimately with transfusion parenchyma cells (Figure 3.22 shown earlier). The endodermis acts as the ultrafiltration barrier, allowing water to pass through while leaving dilute solutes to accumulate in transfusion tracheids. Transfusion parenchyma cells have very active H+-ATPases in their cell membranes which accumulate selected solutes (certainly some amino acids) back into the symplasm for return to the phloem and re-export. Such actively accumulating cells are called scavenging cells.

A tissue that acts in the same way is a special layer of cells in the central plane of many legume leaves (extended bundle sheath system or paraveinal mesophyll). It consists of scavenging cells with active H+-ATPases and accumulates amino acids, stores them and forwards them to developing seeds via the phloem.

Jagged ‘teeth’ on the margins of many leaves also contain scavenging cells (Figure 3.33). Veins carry large volumes of the xylem sap to these points, where evaporation is especially rapid. Within a ‘tooth’, xylem strands end in a spray of small vessels among a bed of scavenging cells. Scavenging cells can thereby collect amino acids and load them into the phloem.

(c) Solute excretion

Not all the solutes of the transpiration stream are welcome back in the plant body. Some, such as calcium, are immobilised in insoluble compounds (calcium oxalate crystals) and shed when leaves fall. Others are excreted through the surface of living leaves. A striking excretion system is found along the margin of maize leaves. Here the outermost vein has a single very wide vessel. Rapid evaporation from the exposed leaf edge cooperates with this low-resistance vessel to draw to the leaf margin all residual solutes that have not been taken out of the stream by other veins. Thus foreign material (like dyes) accumulates in this outermost vessel. The vein sheath is missing from the outer part of this vein so that vessels abut directly the airspace at leaf margins (Canny 1990). Solutes are excreted from this marginal vein, dissolved out by rain and dew, and, more actively, at night time by guttation fluid when there is positive pressure in the xylem. A similar accumulation of dye from the transpiration stream is shown along the margin of a eucalyptus leaf in Figure 3.34.

3.0-Ch-Fig-3.34.jpeg

Figure 3.34 Whole mount of the living margin of the eucalypt leaf sectioned in Figure 3.11 prepared after dye had been fed to the cut petiole for 90 min. Dye has spread to the leaf margin in large veins where it accumulates at high concentrations. By analogy with maize leaves (Canny 1990) this is likely to be a system for excreting unwanted solutes. Bright-field optics. Scale bar, 1 mm. (Photograph courtesy M. McCully and M. Canny)

 

3.4 - Water movement from soil to roots

Plants lose water by evaporation through their leaves to the atmosphere. The loss is made good by water flowing from the soil into the roots, and thence within the xylem to the leaves. The factors that provide resistances to the flow of water from soil to root are set by the nature of the soil, the proliferation of roots within it, and the contact between the soil and the root. Root system architecture and the proliferation of lateral roots are covered in the following chapter, section 4.1.

Water removed by transpiration results in drier soil around roots compared with bulk soil. This provides the gradient in suction necessary for water flow towards roots to continue.  As soil dries near the root surface, water flows radially from bulk soil to replenish it. When the bulk soil becomes drier, greater suctions are necessary to sustain the flow. The next section describes the capacity of different types of soils to hold water when wet, and release it to plants as they dry. It explains the terms field capacity and permanent wilting point. Following sections quantify the uptake of water by roots, and describe a major barrier to water uptake – the soil:root interface.

3.4.1 - Water in soils

Water drains through soil due to gravity, leaving medium-sized pores still filled with water, and with thin films around soil particles. Soil is porous and holds water in its pores by capillary forces. As a soil dries, the larger pores drain and the remaining pores hold water ever more tenaciously. Water in these pores is under suction (negative hydrostatic pressure, P) and this suction typically ranges from about 10 kPa to about 1.5 MPa in soils supplying water to plants. At suctions of less than 10 kPa, water is held in such large pores that it is likely to drain quickly away; at suctions greater than 1.5 MPa, most plants are at their limit for exerting sufficient suction to extract the water.

Field capacity

When substantial rain falls on a freely draining soil, it may fill all the pores, even to the point of run-off. Thereafter, water quickly drains out of the largest pores under the influence of gravity into the drier soil below. This process of redistribution continues for days, even weeks, but it does so ever more slowly as the remaining largest pores continue to drain. During this time the hydraulic conductivity of the soil falls by several orders of magnitude because the resistance to viscous flow through water-filled pores depends inversely on the 4th power of their diameter.

After about 2 days of redistribution, the rate of drainage typically drops to only a few mm per day, which in the field is similar to other forms of water loss from the soil: uptake by roots, or evaporation from the soil surface. At this point there will be a suction (negative pressure) in the soil water of somewhere between 10 and 30 kPa, and the water content then is known as “field capacity” or “drained upper limit”.

Soil types

Soil scientists classify soils according to particle size as:

Gravel: > 2 mm
Sand: 0.05 – 2 mm
Silt: 0.002 – 0.05 mm
Clay: < 0.002 mm (2 µm)

The structure and texture of the soil determines how much water can be held in it. Sand particles are large (50 mm - 2 mm) and hold onto little water, but a sandy soil provides good aeration. Sand holds little water because the pores between the grains are large. Therefore, its field capacity, the amount of water in the soil remaining a day or two after irrigation, can be as low as 10% (weight per volume; or 10 mL water per 100 mL soil volume).

Clay particles are much smaller (less than 2 mm) and easily compacted. That makes clay a good material for building bricks, but not so good for allowing water, air, and plant roots through. Clay particles have stacked platelets which provide large amounts of surface area. Clay soils store large amounts of water and have a field capacity above 40%, though much of that may be in pores too small for plants to extract water, as shown in the table below.

Silt is the medium size particle (2-50 mm), with better water retention than sand, but less nutrients than clay. Loam is a soil comprised of roughly equal amounts of sand and silt and a little less clay.

Different types of soil are comprised of various proportions of these particle sizes, as illustrated in Figure 3.37.

3.0-Ch-Fig-3.37.png

Figure 3.37 Textural classification of soils. Loam is a soil comprised of roughly equal amounts of sand and silt and a little less clay. http://imgkid.com/soil-texture-triangle.shtml

The diameter of pores in soil is roughly equal to one fifth of the diameter of the soil particles. Thus, at the boundaries between these classes, the approximate diameters of the pores would be as shown in Table 3.3 with the suction needed to drain them.

This table shows that many pores in a gravelly soil would drain at a suction of only about 1 kPa, but that a clay soil would need ten times this suction, close to 1 MPa, to drain many pores. Transpirational pull by plants can provide suctions above this, but there is a limit at which plants can maintain suction without the risk of embolism.

Wilting point

This term is used by crop physiologists, and often called the “lower limit of water extraction” by agronomists and crop modellers. When the water content of a soil is below the wilting point, plants have difficulty accessing it, as they cannot generate a sufficiently low water potential. In practice, this critical water potential has been found to be about -1.5 MPa, which effectively marks the lower limit of the available soil water. 

Soil at wilting point is not dry. Different soil types hold very different amounts of moisture at their wilting points. As plant remove water and the soil starts to dry, the small pores make it difficult for roots to extract all the water, so clay soils hang onto their water more strongly than sandy or loamy soils, and results in the plant available water being less for clay soils than for loamy soils which have a lower clay content (Table 3.4).  Silt contains pore sizes intermediate to clay and sand, and makes up about 50% of the composition of loamy soils (Figure 3.37) and give it the favourable property of retaining more water than sand as the soil but releasing it more easily than clay.

3.0-Ch-Fig-3.38.png

Figure 3.38 Clay soils are fine textured and have a greater water-holding capacity than do sandy soils that are composed of larger particles. Clay soils hold a greater amount of plant-available water between field capacity (Ψsoil about -0.02 MPa) and wilting point (Ψsoil about -1.5 MPa) than do sandy soils. In both situations, water is held with progressively stronger forces as the soil mass dries out. (R O. Slatyer and I.C McIlroy, 1961).

The relationship between soil water content and soil water potential (Ψsoil) is shown in Figure 3.38 for the three different soil types. Water is held with progressively stronger suctions as the soil dries, and at the permanent wilting point of -1.5 MPa clay soils retain much more water than sands or sandy loams that is not available to plants.

Another feature of clay soils that makes them less desirable for agriculture or horticulture is that root length density (length of roots per unit volume of soil) tends to be lower than in the lighter textured loamy and sandy soils. Despite their substantial moisture reserves, fine-textured clay soils are generally less hospitable to plant roots than loamy or sandy soils. As a result, plant-extractable moisture in clay soils is somewhat less than the soil’s physical properties alone would imply.

3.4.2 - Water in pots

Field capacity is not a term relevant to pot experiments, unless they are very tall. After irrigation, a drained pot will contain much more water than soil in the field.

The soil at the bottom of a freshly watered and drained pot is inevitably saturated with water; if the pot is short the whole of the medium may have such little air-filled porosity that it becomes hypoxic. This is a special problem with field soils used in pots, for these typically do not contain many pores large enough to be drained at the small water suctions that prevail. Such suctions are zero at the bottom of a freshly drained pot and rise by 1 kPa for every 100 mm increment in height, leading to suctions at the top of a typical pot that are much less than the 10–30 kPa that occurs in soils in the field that have drained to ‘field capacity’ (Passioura 2006).

3.0-Ch-Fig-3.39-v2.jpeg

Figure 3.39 The relationships, at equilibrium, between soil water suction (a), effective diameter of largest water-filled pores (b), and height above a free water surface, such as a water table within the soil or the bottom of a recently drained pot. The dotted lines exemplify conditions at a height of 100 mm. (J.B. Passioura, Funct Plant Biol 33: 1075–1079, 2006)

When a pot has finished draining, the soil at the bottom is saturated: it has zero water suction. The suction varies linearly with height, as illustrated in Fig. 3.39, from zero at the bottom of the pot, to 10 H Pa, where H is the height of the pot in mm. Thus, a freshly watered and drained pot that is 100 mm high has a water suction at its top of 1 kPa, very much less than the 10–30 kPa that occurs in a freshly watered and drained soil in the field. Similarly, a pot that is 200 mm high has a suction of 2 kPa at the top. Thus the average suction and thence average soil water content of a freshly watered and drained pot depends on its height.

It is worth noting that the size and number of drainage holes in the bottom of the pot have no bearing on the distribution of suction with height at equilibrium. The rate at which equilibrium is attained will also depend little on the number and size of the drainage holes — just one hole of a few mm diameter is adequate.

The implication of these small suctions is that much larger pores contain water than in a drained soil in the field. For example, at the top of a pot that is 100mmhigh, and where the suction is 1 kPa, all pores less than 0.3 mm wide will contain water. This contrasts greatly with the field soil, in which the suction will be at least 10 kPa and the diameter of the largest water-filled pore will be 0.03 mm or even less.

This has considerable implications for doing pot experiments on the availability of soil water to plants using field soils. Standard watering techniques, which result in adding excess water that then drains from pots, lead to initial soil water contents that are much more than they would be in the freshly drained soil in the field. To match what happens in the field, it would be necessary to water the pots by weight to reproduce a water content consistent with a suction somewhere between 10 and 30 kPa. Further, the large initial water content can produce problems with aeration.

The plant nursery industry is well aware of the difficulties in adequately aerating pots. That is why their potting mixes contain peat or vermiculite or other bulky materials that create large pores of 1mm or more in diameter, which contain air at heights greater than 30mm above the bottom of a freshly drained pot. These large pores protect the roots from hypoxia in a material that might otherwise have a dangerously small air-filled porosity. Nevertheless, despite these large air-filled pores giving the roots growing in them access to oxygen, the interior of aggregates in the soil or potting mix will still be essentially saturated and possibly hypoxic.

Data for three different types of potting mix are shown in Figure 3.29: horticultural topsoil, commercial potting mix is designed for growing plants for sale in garden nurseries, and fine potting mix designed for growing Arabidopsis thaliana in small pots. The topsoil is the worst aerated, with the bottom 150mm of a freshly drained pot in danger of becoming hypoxic. It is notable that in the small pots (70 mm tall) often used for growing Arabidopsis, all of the medium is in danger of becoming hypoxic, for the porosity ranges from 0 to only 7%within the pot (Figure 3.40). With a frequent watering regime, say twice daily, the medium could be permanently hypoxic. Commercial potting mixes overcome this problem by using coarse materials in the mix, which create many large pores (>1 mm diameter) that drain at small suctions.

3.0-Ch-Fig-3.40-v2.jpeg

Figure 3.40 Air-filled porosity of three examples of potting media as functions of height above a free water surface such as the bottom of a freshly drained pot. There is danger of hypoxia at air-filled porosities less than 10%. (J.B. Passioura, Funct Plant Biol 33: 1075–1079, 2006)

Field capacity should therefore not be confused with the water content of a drained pot, which should be called “pot capacity”.

3.4.3 - Uptake of water by roots

Flow of water through soil is induced by gradients in hydrostatic pressure, P. The rate of flow, F (m s–1), depends on both the gradient in P and on hydraulic conductivity, K  (m2 MPa–1 s–1), of the soil:

\[F=K \frac{dP}{dx} \tag{8}\]

where x (m) is distance. This equation is Darcy’s Law. Conductivity, K, varies enormously, by about a thousand-fold, over the range of available water content. The reason for this large range is that water flows much more easily in a large pore than in a small one. As explained earlier (Section 3.1), the flow rate varies according to Poiseuille’s Law — the flow in capillary tubes depends on the fourth power of the diameter. As the soil dries, the large pores are empty and water is drawn from smaller and smaller pores.

Water removed by transpiration results in drier soil around roots compared with bulk soil. As soil dries near the root surface, water flows radially from bulk soil to replenish it. Calculated distributions of water content and pore water pressure with radial distance from an absorbing root predict a pronounced increase in suction adjacent to the root.

(a) Theory of water uptake

Roots are cylindrical, so the flow of water to them is radial. This has considerable consequences: the flow lines converge as they approach the root, which requires increasing gradients of pressure in the soil water to keep the water flowing (Figure 3.41).

3.0-Ch-Fig-3.41.png

Figure 3.41 Calculated distributions of volumetric soil water content (left) and pressure in water-filled pores (right) as functions of distance from a model root. Pressures become more negative over time, indicating increasing suction. Horizontal lines denote water status on each of six successive days (day 1 is uppermost). The steepening of curves at later times reflects how transport of water from bulk soil to the root surface becomes increasingly difficult as the soil dries. r = distance from central axis of root.

A radial flow of water from the bulk soil towards roots of transpiring plants is generated by suction at the root surface. However, because K decreases with falling water content, there is a limit to how fast roots can extract water from soil. Once this limit has been reached, increasing suction by roots simply steepens the gradient in P to match the fall in K close to root surfaces so that the product of the two (Equation 3.1) remains the same.

Although soil water is driven by gradients of pressure, it is necessary when water content is changing to describe this flow in terms of gradients in volumetric water content, θ (m3 m–3). The coefficient relating flow rate to the gradient in water content is known as diffusivity, D (m2 s–1), and the appropriate equation is formally analogous to Fick’s First Law of diffusion:

\[F=D \frac{d\theta}{dx} \tag{9}\]

This equation can be elaborated to allow for the cylindrical flow, and then solved to derive an approximate relationship for the uptake of water by a population of roots:

\[Q \approx 2D*\Delta \theta * L \tag{10}\]

where Q is the flow rate of water through the soil, (m3 m–3 s–1), now expressed as the overall rate of change of θ in the sample soil, and L is the rooting density, average length of absorbing root per unit volume of soil (m m–3).

Like K, D varies with the soil water content, although not so widely.  Laboratory measurements of  D, which are so far the only ones that have been made with some accuracy, show that D is about 10-7 m2s-1 when the soil is fairly wet, and falls to about 10-9 m2s-1 once the soil has dried far enough for the soil water suction to exceed about 300 kPa.  Where D is of the order of 10-9 m2 s-1 one can calculate from eqn 3.3 that wherever the density of roots exceeds about 1 cm per cm3 of soil (104 m m-3) the flow of water through the soil is not likely to limit uptake until there is almost no available water left in the soil. But where there is less than about 1 mm of root per cm3 (103 m m-3) of soil, uptake is likely to be sufficiently limited by flow through the soil that it would take several days for the roots to extract most of the available water.

 (b) The uptake of water by roots - in practice

3.0-Ch-Fig-3.42-v2.jpeg

Figure 3.42 Sample of dense subsoil containing a biopore occupied by a root. Such biopores are passages for roots through otherwise almost impenetrably dense soil.

Many experiments have been done to explore this theory, with mixed results.  Most have involved growing plants in repacked soil in controlled laboratory conditions. Some have confirmed the theory, many have not. The most likely reasons for the discrepancies is that interfacial effects - at the junction between the surface of the root and the soil - come into play.  These are discussed in the next section.

In field soil, the concentration of roots in the topsoil is usually so high that the local rate of uptake of water is unlikely to be ever limited by the properties of the soil.  It is in the subsoil that the rooting density drops to a level at which flow through the soil may limit the rate of uptake. Further, the rate of uptake is often much lower than what the simple theory would predict, even when the often sparse rooting density is taking into account.

In subsoil, there are other possible reason for the discrepancy between theory and observation.  One is that, in contrast to disturbed soil, either in ploughed topsoil or repacked in lab experiments, roots in the subsoil do not ramify more or less randomly through the soil. Subsoils are usually dense and difficult to penetrate.  Roots grow predominantly in pre-existing fissures or in continuous large pores, biopores, made by previous roots or soil fauna (Figure 3.42). 

A second reason is that it may be wrong to extrapolate laboratory measurements of D in repacked soil to undisturbed soil in the field. The undisturbed structure of the soil may inhibit the flow of water.  For example, the formation of aggregates of particles in the soil often results in particles of clay (which are usually in the form of small plates) becoming oriented parallel to the surface. Such orientation is likely to increase greatly the flow path for the water, but so far no reliable measurements of D have been yet made on undisturbed subsoil.

In summary, the dense root systems common in topsoils extract water effectively from surface soil layers. Extracting water from subsoil layers is more difficult. Australian subsoils are typically inhospitable to roots. They are dense, have a large resistance to penetration. They are often sodic, that is, sodium dominates the exchange complexes on soil particles, altering the soil structure so that it sets like concrete when dry, and becomes impermeable to water when wet. Moreover, subsoils can be acutely deficient in some nutrients that are required locally by roots. Native vegetation overcomes these difficulties by forming deep biopores in the subsoil. For example, roots of jarrah trees can create and maintain a path to water deep in the subsoil, possibly even as far as a water table 20 m below the surface.

3.4.4 - Soil:root interface

The junction between root and soil is more than just two surfaces touching.  It is often marked by a mucilaginous layer, rich in bacteria and fungi, that may be a few hundred micrometres thick, and in which adjacent soil particles are half or even wholly embedded. This is called the rhizosphere (Chapter 4). The hydraulic conductivity of this layer is not known, but there are two properties of this interfacial zone that may influence the flow of water across it.  The first is that extensive gaps may occur within it, which strongly impede the flow.  The second is that any exclusion of ions from the soil solution may result in large increases in the concentrations of these ions at the surface of the roots and this, because of the osmotic effects, would also impede the flow of water.

Water usually flows from soil to root as liquid, carrying with it dissolved nutrients.  But there may be times when the hydraulic continuity between root and soil is so poor that a substantial proportion of the flow of water is as vapour.  So far, nobody has managed to measure such flows, or even the relative importance of liquid and vapour flow, but their possible importance can be appreciated with the help of a few calculations.

The flow of vapour through soil is by diffusion, in contrast to that of liquid water, which moves in bulk.  The consequence of this, and the fact that the vapour pressure of water is close to saturated in moist soil so that gradients in it are slight, is that water flows as vapour many times more slowly, in response to a given difference in water potential, than it does as liquid.

There are two main reasons why a root may be in poor hydraulic contact with the soil.  The first is that it may be growing in a pre-existing pore larger than itself, so that it makes only glancing contact with the wall of the pore (see Figure 3.42 above).  The second is that it has shrunk within a pore that it had itself made and which it had previously fitted snugly.  What would induce a root to shrink?  A fall in the water potential of the cortex would do so, for the cells there are thin-walled and separated in part by intercellular gas spaces, so they are likely to buckle.  Observations made in rhizotrons (glass-walled tunnels for observing the behaviour of roots in the field) clearly show a diurnal shrinkage in cotton roots of up to 40% where the roots are growing in large pores, but we still do not know, because they are so difficult to observe, whether roots growing in intimate contact with the soil are similarly prone to shrink.  A few observations made using neutron autoradiography have shown no shrinkage in roots growing in the field.

Because of the small size of the interfacial zone, it is very difficult to measure concentrations of ions within it.  Rough estimates have been made by carefully separating the roots from the bulk of the soil, leaving only tenacious soil attached, then shaking off this remaining soil and analysing it.  Such analyses do show somewhat higher concentrations (compared with those in the bulk soil) of ions such as sodium that we would expect to be largely excluded by the roots.  But because the gradients in concentration are likely to be very large close to the root, these analyses are hard to assess for their consequences on the water relations of the plant.  The gradients are likely to be especially large when the soil is becoming fairly dry, for the diffusion coefficient for the solutes falls by a few orders of magnitude as the soil dries, so that any excluded solutes will diffuse away from the root surface only very slowly.

 

3.5 - Water and nutrient transport through roots

3.0-Ch-Fig-3.46.jpeg

Figure 3.46. Transverse section of a mature maize root, showing many layers of cortical cells outside a distinctive suberised endodermis bounding the stele. Late metaxylem vessels with large diameters are the dominant feature of the stele. Note a hypodermal layer underlying the epidermis. Pink Toluidine blue staining characterises suberised cells. (Photograph courtesy A.W.R. Robards)

Water and nutrients travel radially across roots from the soil to the xylem vessels and from there, they travel axially to the shoot. Anatomical and morphological features determine how effective roots are at absorbing and transporting water and nutrients from the soil to the shoot. Root tissue needs to form a low resistance pathway for transport, but also minimise the loss of water to the soil under adverse conditions.

The complexity of the root tissue that water and nutrients must cross is shown below in Figure 3.46. Notable features are the many layers of cortical cells, and the stele containing large and small xylem vessels. The stele is enclosed by the endodermis, a cell layer that contains deposits of suberin and lignin in the anticlinal walls between cells, called a Casparian strip, which blocks diffusion of water and solutes from the cortex into the stele. All roots have an endodermis, except at the tip where they are still growing.

Figure 3.46 also shows a layer of cells beneath the epidermis, which is often suberised and called exodermis. The suberin forms in older roots of many species or under drought conditions. Water and solutes cannot flow across the suberised cells of the exodermis and are restricted to passage cells that are not suberised.

Across the cortex, water could flow along cells walls and through interstitial spaces, the so-called apoplastic route. Alternatively it could enter the epidermal or hypodermal layer and flow symplastically across the cortex. Another alternative is the transmembrane (or transcellular) route. These three pathways are described in the following section. The solutes in the soil solution may also take the same route, or move independently of water.

Radial root conductance to water varies with stage of root development. The radial pathway is considered as more limiting than the axial pathway, and in the younger part of the root where the endodermis and hypodermis are not suberised, the radial conductance to water is higher than when these cell layers are suberised.

Within the stele, water and solutes move symplastically from the endodermis to the adjacent layer of pericycle cells, which are not suberised, so water can then move apoplastically to the xylem vessels. Solutes would most likely stay within the symplasm and be transported via plasmodesmata to the xylem parenchyma cells, from where they are loaded into the xylem vessels. If the xylem vessels are mature and the plant is transpiring, the solutes are carried swiftly to the shoots. If the xylem vessels are immature, the solutes are later released after rupture of the end walls of the immature xylem elements.

3.5.1 - Radial pathways across roots

3.0-Ch-Fig-3.47.jpg

Figure 3.47. Sketch of a transverse section of a young root showing three proposed pathways of ion and water flow across roots. 1. Apoplastic, via cell walls. 2.  Transmembrane (transcellular), via cytoplasm within cells and crossing membranes via efflux and influx membrane transporters. 3. Symplastic, via cytoplasm all the way, crossing cell walls via plasmodesmata. (Drawing courtesy B. Berger, based on Plett and Moller 2010). Note that at this stage the endodermis is not suberised and has just a Casparian strip (red). Deposition of suberin in the endodermal wall, and the development of an exodermis, will restrict the apoplastic and transcellular pathways.

Water and ions may move through root tissues along one of three routes: symplastic, apoplastic, or transmembrane, the latter also known as the “transcellular pathway” (Figure 3.47). An update on the anatomical and molecular bases of these pathways in Arabidopsis is given by Barberon and Geldner (2014).

The proportion of water flowing through the different pathways undoubtedly varies with the plant’s rate of transpiration.

Apoplastic Flow

Water and soil solutes might move through the cell walls of the cortical cells until the endodermis, where they would cross the plasma membrane of the endodermal cells. Water would cross via aquaporins, and solutes via ion channels or transporters (see Section 3.6). This is possible in roots without a suberised hypodermis and when the endodermis is in the primary stage of development, as described in the following page. Entry of anions to deep layers of the cortex is likely to be restricted by charge repulsion from dissociated, negative carboxyl groups in cell walls (Donnan Free Space). In general, cations also pass through cell walls more readily than anions, particularly if many of the carboxyl groups in cell walls are not occupied by Ca2+ ions. Nonetheless, apoplastic flow of water through roots can sustain large ion fluxes during periods of high transpiration.

It is likely that the bulk of the soil water taken up by the plant moves in the apoplast across the cortex, but that solutes are taken up by epidermal or outer cortical cells and then move in the symplasm across the cortex.

When the endodermis is suberised, water and solutes cannot enter from the apoplast and instead are taken up into the adjacent cortical cells and move via plasmodesmata into the endodermis.

Symplastic Flow

Symplastic flow occurs when water or solutes are taken up by the epidermis or an outer cortical cell, and then subsequently cross the rest of the cortex via plasmodesmata. Plasmodesmata are extensions of the plasma membrane that cross cell walls and provide cytoplasmic continuity between cells, allowing neighbouring cells to communicate and exchange materials more freely. Water and ions can move through the cortex via a series of plasmodesmal connections, thereby remaining in the cytoplasm until reaching the stele. Rate of water and nutrient transport is largely regulated by plasmodesmal resistance, which depends on size and frequency of plasmodesmata in the cell membranes. Alternatively, water and some ions enter vacuoles and are therefore, subject to transport properties of the tonoplast.

Transmembrane (transcellular) Flow

A third possibility is the transmembrane or transcellular route, in which water and nutrients cross membranes, passing repeatedly between symplasm and apoplasm as they are transported from one cell to the next. For nutrients, this form of transport is facilitated by carriers that are distributed in a polar fashion, with influx carriers located on the outer walls and efflux carries on the inner walls. Water transport across cell membranes is via aquaporins for which there is no “rectification”, or intrinsic directionality of transport. They are therefore most likely to be distributed evenly along the plasma membrane.

This pathway may increase resistance to flow of water, but also provides a more effective mechanism for controlling the flow of solutes and water across the root than the purely symplastic route via plasmodesmata when only the first membrane crossing is available to control ion and water transport.

3.5.2 - Variable barriers: endodermis and exodermis

The epidermis and root hairs probably mediate most of the selective uptake of solutes from the soil solution. Nutrients are selectively taken up, and potential toxins excluded.  The cortical cell layers continue this selective uptake if solutes travel apoplastically towards the stele.

The endodermis is the innermost cortical layer that surrounds the central vasculature, and forms a barrier preventing water flow and free diffusion of solutes in the apoplast because of its Casparian strip and suberin lamellae. It thus, prevents soil solution moving into the stele without crossing a membrane, and also prevents water from within the stele being lost back to the soil at night.  Although, in some regions of the endodermis that are opposite xylem poles, water and solutes may bypass the endodermis through unsuberised “passage cells”. The endodermis also functions in structural support for the stele, particularly in drying soil, and minimises shrinkage or swelling of the cells of the stele. Its role in ion selectivity is minor compared to the cells of the cortex and epidermis.

In many plants, the cortical layer under the epidermis (the  hypodermis) develops Casparian bands and suberin lamellae, and develops into the exodermis. This forms another barrier for the apoplastic movement of water and solutes. Just like in the endodermis, some passage cells in the exodermis may be free of suberin and can take up water and solutes.

(a) Endodermis

An endodermis with a Casparian strip is a feature of roots of all land plants from ferns upwards. As the innermost cortical layer that surrounds the central vasculature of roots, the endodermis acts as a barrier to the free diffusion of solutes from the soil into the stele, and the stele into the soil. The protective functions range from efficient water and nutrient transport to defence against soil-borne pathogens. The genes and regulation mechanisms that drive the differentiation of this intricately structured barrier have been reviewed by Geldner (2013).

The development of the endodermis has three stages: the primary stage in which the Casparian strip forms, the second stage when suberin lamellae encases the entire endodermal cell, and the tertiary stage when the inner tangential walls thicken and a layer of cellulose is deposited over the suberin lamellae.

The Casparian strip is made of lignin and suberin and deposited as a ring in the radial walls of the endodermal cells, like a hoop around a barrel of beer. It reaches from the plasma membrane to the outermost part of the wall and adjoins adjacent cells so there are no air spaces between the cells at this point. It therefore blocks the flow of water through the cell walls. It differentiates as root cells mature about 5-10 mm from the tip, and so an entirely apoplastic pathway from soil to central stele can occur only in very young root parts or at sites where the Casparian strip is disrupted such as site of lateral root development, which starts at the pericycle, the cell layer beneath the endodermis.

In the first stage of endodermis development, the Casparian strip in the primary wall prevents flow of water and solutes through the wall from inner cortex to stele. Any solutes remaining in the apoplastic water must enter the endodermis via membrane transporters. Water in the apoplast must enter the endodermis via aquaporins as illustrated in the lower pathway shown in Figure 3. 50. 

3.0-Ch-Fig-3.50.png

Figure 3.50. The alternative pathways for water and nutrient solute flow across roots with the endodermis at Stage 1 of development, with a primary wall with Casparian strip (c). The apoplastic pathway is blocked at this point, and water, along with any nutrients still in the walls, enters the endodermal cells via membrane transporters (lower panel). If the hypodermis also has a Casparian strip, water and nutrients must also enter via membrane transporters. Alternatively, water and nutrients can move via the symplastic (dotted red line, lower panel) or transmembrane pathways (upper panel). (Diagram courtesy H. Bramley)

In the second stage of development, the endodermis becomes suberised as the secondary walls develop, and suberin lamellae are formed all over the cell, underneath the primary wall that contains the Casparian strip. This occurs at varying distances from the root tip depending on species and is often induced under drought to form in younger parts of the root.

Suberin is a hydrophobic polymer, deposited in the secondary cell wall in lamellae. It therefore seals off the plasma membrane from solutes, as water and ion channels are sealed. So the transcellular and apoplastic pathways are curtailed, and water and solutes enter the endodermis only through plasmodesmata from neighbouring cells (Figure 3.51). Any function in selective control of particular nutrients into or out of the endodermal cell through the suberin lamellae is unclear.

3.0-Ch-Fig-3.51.png

Figure 3.51. Alternative pathways for water and nutrient flow across roots with a suberised (Stage 2) endodermis. A complete layer of suberin around the endodermis means that water and solutes can enter only via plasmodesmata from the inner cortical cells. (Diagram courtesy H. Bramley)

Some endodermal cells remain at the primary stage even late in root development, and are called passage cells.

Stage 3 of the endodermis involves further deposition of cellulosic wall material, further impeding flow of solution through walls.

(b) Exodermis

Exodermis is the name given to a hypodermis with Casparian strips and suberised lamellae.

Occurrence

Roots of most species form an exodermis with time. First, a Casparian band is laid down in the primary wall of the hypodermis, then all the wall is suberised especially the inner wall, as for the endodermis. Some cells in this hypodermal layer (‘passage cells’) remain unsuberised.

The development of the exodermis is very common in the plant kingdom (Perumalla et al. 1990). In a study of 180 angiosperm species, the great majority (89 %) showed a clearly suberised exodermis with Casparian strip. It was found in roots of primitive and advanced plant families, from hydrophytic, mesophytic and xerophytic habitats, but was lacking in some Poaceae. It was notably absent in oat, barley and wheat (Perumalla et al. 1990), but generalizations within cereals cannot be made as subsequently maize was found to have an exodermis (Hose et al. 2001),

The Casparian band can develop close to the root tip. For example, in aeroponically grown maize a complete exodermal layer formed 30 mm above the root tip. In roots elongating more slowly due to abiotic stress or low temperature, it can be found closer to the tip. The extent at which apoplastic barriers form depends on the stage of development of the root system and also the habitat: drought, waterlogging, salinity, nutrient deficiency or toxicity may strongly influence the degree of suberisation (Hose et al. 2001).

Permeability to water and solutes

3.0-Ch-Fig-3.54.png

Figure 3.54. Schematic diagram of a longitudinal section through a root indicating the stage at which the critical structures in radial and axial transport of water develop. Not to scale. (Diagram courtesy H. Bramley)

When an exodermis forms, it also imposes a restriction to radial transport. Complete layers of suberin constrain water and solute flow only via plasmodesmata from the epidermis and inner cortical cells.  Whether or not it can be considered as a barrier depends on the degree of suberisation and the number of passage cells within it. Its properties as a barrier are variable (Hose et al. 2001).

The exodermis represents a resistance to the radial flow of both water and solutes, much like the endodermis in Stage 1 development. It restricts radial apoplasmic movement and may also restrict transmembrane transport of nutrients. Exodermal layers become functionally mature 20–120 mm from the apex, where lateral roots are initiated, and therefore constitute a barrier to apoplastic ion flow only in root zones where an endodermis is already present. In a similar way to the endodermis, maturation of an exodermis involves further deposition of suberin and cellulosic wall material, further impeding flow of solution through walls.

The exodermis is not totally impermeable to water or nutrients and may have a differential selectivity that varies with the environment. How much the root is sealed off depends on the type of exodermis: (1) uniform exodermis where the cells are uniform in shape (suberin deposition is patchy and develops late) or (2) dimorphic exodermis, which consists of long and short passage cells (the former of which are suberised). Suberin lamellae enclosing the long cells disrupt the cytoplasmic continuity through plasmodesmata and the cell dies, but suberin lamellae in the uniform-type exodermis do not affect plasmodesmata. Individual passage cells allow passage of solutes and water via uptake carriers, not via the apoplast as flow there is blocked by the Casparian strip. They have an active role in ion uptake and often become the only plasmalemma facing the soil solution especially when the epidermis dies. Some families (e.g. irises) have large numbers of passage cells while others have very few.

The diagram of a root to the right (Figure 3.54) indicates the stage of development at which the various structures are functional.

The anatomy of roots and the alternative pathways of water and solute flow across roots and into the xylem indicates that the relationship between water and nutrient flow to the shoots could be quite complex. Water may take different pathways than nutrients. The distribution of water in the different pathways depends not only on the age of the root, but may also vary with the flux of water moving through, that is, the rate of transpiration.

3.5.3 - Relation between water and nutrient flux

3.0-Ch-Fig-3.55.jpeg

Figure 3.55. Effect of volume flux (sap flow rate) on K+ concentration and K+ flux in xylem sap from barley. Arrow indicates the external K+ concentration, and dotted line indicates the range of sap flow rate for which  K+ in the sap was at a higher concentration than the external solution. (Munns, 1985)

 

The various pathways taken by water and nutrients, and the environmental factors that influence them, are not well understood. The fundamental processes governing the relationship between water and nutrient flow through roots are complex. One thing is clear: nutrients do not move passively with the transpiration stream. But neither is their movement entirely independent of it.

This section looks at the relation between water and solute fluxes to the shoot: how the rate of transpiration affects solute concentrations in the xylem, and how active solute transport affects water flow rates at night (root pressure).

(a) Effect of transpiration on solute flux in the xylem

Solute fluxes in the xylem usually respond to changes in transpiration rate, although the relationship is not proportional. The figure below (Figure 3.55) indicates an apparently strong relation between water flux and  K+ flux, but it must be noted that the flux of  K+ is already high at very low flow rates, increases linearly with moderate increases in flow rate, but then tapers off at high flow rates.

A similar relation has been found for other nutrients like nitrate.

The importance of transpiration in carrying nutrients to the shoot has long been debated. However, experimental evidence showed that transpiration was not necessary to get nutrients to the shoot, as growth rates and net nutrient transport rates were unaffected by humidity and other environmental conditions that would reduce transpiration (Tanner and Beevers 2001). Transpiration was not a prerequisite for long-distance transport of nutrients, as root pressure (see below) in the absence of transpiration can supply the shoot with the required nutrients.

(b) Effect of transpiration on solute concentration in the xylem

3.0-Ch-Fig-3.56.jpeg

Figure 3.56. Effect of transpiration rate on osmotic pressure (left hand axis) and the corresponding solute concentration (right hand axis) of xylem sap of young barley plants. Transpiration rates were imposed by varying vapour pressure deficit around the shoots and xylem sap was sampled by applying sufficient pressure to roots to cause a cut leaf tip to bleed. Arrow indicates the external osmotic pressure. (Munns and  Passioura, 1984)

Transpiration rate (the volume flux in the xylem) has a marked effect on the concentration of solutes in the xylem sap. Plants which are transpiring rapidly have a low concentration of nutrients in their xylem sap compared with slowly transpiring plants.  This relationship between concentration and volume flux holds for most nutrients, see example with K+ (Figure 3.55 above) in which increasing flow rates decreased the concentration of  K+ in xylem sap.

The data also shows that an apoplastic or diffusive uptake of K+ is not important because the concentration of K+ in the xylem was greater than the external K+ over a range of volume fluxes which produced an increasing flux (Figure 3.54). These data strongly suggest that ion concentrations in xylem sap are a result of either a single variable pump, or more likely of several sequential processes. The composition of the transpiration stream could be modified after the first passage across a membrane as it flows towards the stele or upwards through the stele by either active or passive ion fluxes from cortical or xylem parenchyma cells.  K+ could be pumped in (or diffuse in) at rates which increase with increasing volume flux.

Similar relationships occur between most solutes in the sap and transpiration rate, as shown in Figure 3.56.

This shows how much influence the transpiration rate has on the concentration of solutes in the xylem, and that concentrations in sap collected from exuding cut stumps are not typical of concentrations in transpiring plants.

(c) Root pressure

Plants that have had shoots removed have very concentrated xylem fluid, which exudes from the cut stumps under positive hydrostatic pressure from the roots (‘root pressure’). Root pressure is also responsible for the droplets of water seen on the margins of guttating leaves early in the morning (Figure 3.57).

3.0-Ch-Fig-3.57.jpeg

Figure 3.57. Guttation droplets from a eucalypt leaf, E. tetragona. (Photograph courtesy C. Hooper)

This occurs because nutrient uptake is an active process, independent of water uptake from the soil, and continues during the night – the rate of nutrient uptake varies little over 24 h. When nutrients are pumped into the stele, water flows in by osmosis, and the pressure builds up. Positive pressures of 30-300 kPa can be achieved in this way.

The Casparian strip and the suberisation of the endodermis is important as it provides a barrier to prevent back-flow of water and also structural support so that the root can contain a positive pressure at night. The pathways of nutrient and water flow across the root cortex may change at night, for instance the apoplastic pathway may be of lesser importance at low rates of transpiration. At zero transpiration induced by a root pressure probe and when the shoot is removed, pathways may be different again.

Root pressure is not just a phenomenon, it is an essential process responsible for moving nutrients to the shoot during the night when transpiration is low. It may also have a function in dissolving gas bubbles that might have caused cavitation in the xylem during the day.

3.6 - Membrane transport of water and ions

3.0-Ch-Fig-3.61.jpg

Figure 3.61. Guard cells are structured so that high turgor pressure opens the stomatal pore, and low turgor pressure closes the pore. Left (Lower image), Partially open Tradescantia virginiana stoma with 0.2 MPa guard cell turgor, as measured directly with a guard cell pressure probe (shown). Right (upper image) same stoma showing the aperture almost fully open, with 3.6 MPa guard cell turgor. (Images and data courtesy P.  Franks).

Water uptake by cells is driven by solute uptake. Osmotically-driven water uptake generates the turgor pressure needed for maintenance of cell volume, and for specific cell functions that depend on controlled changes in turgor.  The rapid influxes or effluxes of water that cause rapid changes in cell volume in key cells are brought about by ion influxes or effluxes.

Rapid changes in turgor cause the swelling or shrinking of guard cells in leaves that controls the opening and closing of stomata. The cell walls of guard cells are structured so that high turgor pressure pushes them apart and opens the stomatal pore. Low turgor pressure allows them to collapse and close the pore (Figure 3.61). Influxes or effluxes of K+ along with accompanying anions causes the osmotically-driven water uptake or loss

Whole leaves or parts of leaves can move quickly. Changes in the turgor of a group of cells at the base of leaves, the pulvinus, cause leaves to fold quickly in response to touch, as in the ‘sensitive plant’ Mimosa pudica, (Figure 3.62)

3.0-Ch-Fig-3.62.jpg

Figure 3.62. Seismonastic movement of pinnae and pinnules in leaves of the sensitive plant (Mimosa sensitiva) (a) before and after touch stimulation. (Photographs courtesy J.H. Palmer)

Turgor changes also change the curvature of hairs of insectivorous plants. In the case of the Venus fly trap, sensory hairs coupled to an electrical signalling system require stimulation at least twice within a 30 s period (Simons 1992). This appears to allow the plant to discriminate single pieces of debris from an insect crawling within the trap. Most seismonastic movements result from the explosive loss of water from turgid ‘motor’ cells, causing the cells temporarily to collapse and inducing very quick curvature in the organ where they are located.

Similar mechanism causes the slower folding of leaves at night into special positions to reduce heat loss, as in the prayer plant. This also occurs in many legumes. Charles Darwin measured the folding of leaves at nightfall in white clover, and wrote: “The two lateral leaflets will be seen in the evening to twist and approach each other, until their surfaces come into contact, and they bend downwards. This requires a considerable amount of torsion in the pulvinus. The terminal leaflet merely rises up without any twisting and bends over until it forms a roof” (Figure 3.63).

3.0-Ch-Fig-3.63.png

Figure 3.63 The nictitropic movements of leaves of white clover (Trifolium repens) from daytime (A) to ‘sleeping’ position (B). (Charles Darwin, The Power of Movement in Plants, 1881). (Diagram courtesy R. Purdie)

Movement of some plant organs can be staggeringly fast. The firing of the reproductive structure (“column”) of trigger plants (Stylidium genus) in response to the landing of a pollinating insect may take only 15 msec (Figure 3.64).

3.0-Ch-Fig-3.64.jpg

Figure 3.64 Sequence of superimposed images captures the flower column of a trigger plant (Stylidium crassifolium) as it ‘fires’ in response to a physical stimulus (insect landing, seen on upper right). The column rotates through 200° from a ‘cocked position’ to a relaxed position in 20 ms (photographs taken at 2 ms intervals). (Findlay and Findlay 1975)

The kinetic energy manifested in this rapid firing is derived from events controlled at a membrane level. Ions transported into specialised cells cause hydrostatic (turgor) pressure to develop which is suddenly dissipated following mechanical stimulation

Water transport into a cell anywhere in the plant is governed by solute uptake which in turn is governed by the permeability of membranes to water as well as solutes.

3.6.1 - Diffusion and permeability

This section covers diffusion of molecules, and permeability of cell membranes, essential to the process of osmosis. Cell membranes are bilayers of phospholipids in which transport proteins are embedded (Figure 3.65).

3.0-Ch-Fig-3.65.png

Figure 3.65 Diagram of a cell membrane with transport proteins embedded in the phospholiped bilayers. (Image courtesy M. Hrmova)

A plant membrane is often described as semi-permeable, meaning permeable to water but not biological solutes. However the membrane is not 100% permeable to water, as water can enter cells only by being transported through aquaporins, neither is it 100% impermeable to solutes, as solutes can slowly permeate the membrane particularly through specific transport proteins.

Unrestricted movement of water relative to solutes is the basis of osmosis, and in plants the generation of turgor pressure, \(P\). The principles of diffusion and selectivity, which are used to describe differential rates of molecular movement, provide a physical rationale for osmosis.

(a) Diffusion

In a homogeneous medium, net movement of molecules down their concentration gradient is described by Fick’s First Law of diffusion. The molecule and medium may be a solute in water, a gas in air or a molecule within the lipid bilayer. Fick’s Law holds when the medium is homogeneous in all respects except for the concentration of the molecule. If there was an electric field or a pressure gradient then Fick’s Law may not apply. Considering the case of a solute in water, say, sugar, Fick’s Law states that net movement of this solute, also called the net flux \(J_s\), is proportional to the concentration gradient of the solute \( \Delta C_s / \Delta x \):

\[ J_s = -D_s \frac{\Delta C_s}{\Delta x} \tag{12}\]

The diffusion coefficient (\(D_s\)) is a constant of proportionality between flux, \(J_s\), and concentration gradient (mol m-4), where solute concentration (\(C_s\), mol m-3) varies over a distance (\( \Delta x\), m). Flux is measured as moles of solute crossing a unit area per unit time (mol m–2 s–1), so \(D_s\) has the units m2 s–1. \(D_s\) has a unique value for a particular solute in water which would be quite different from \(D_s\) for the same solute in another medium, for example the oily interior of a lipid membrane.

Across a membrane, the movement of a molecule from one solution to another can be described by Fick’s Law applied to each phase (solution 1–membrane–solution 2). However, flux across the membrane also depends on the ability of the molecule to cross boundaries (i.e. to partition) from solution into the hydrophobic membrane and then from the membrane back into solution. Another difficulty is that the thickness of membranes is relatively undefined and we need to know this for Fick’s equation above (\( \Delta x \)). The two solutions might differ in pressure and voltage and these can change steeply across a membrane; however, if for simplicity we consider a neutral solute at low concentration, these factors are not relevant (see below for charged molecules). A practical quantitative description of the flux of neutral molecules across membranes uses an expression intuitively related to Fick’s Law stating that flux across a membrane (\( J_s \)) of a neutral molecule is proportional to the difference in concentration \(\Delta C_s\):

\[ J_s = P_s \Delta C_s \tag{13}\]

3.0-Ch-Fig-3.66.png

Figure 3.66. The range of permeability coefficients for various ions, solutes and water in plant membranes (vertical bars) and artificial phospholipids (arrows). Note that the permeability of ions as they cross plant membranes is higher than through the artificial lipid bilayer.

The constant of proportionality in this case is the permeability coefficient (\( P_s \)), expressed in m s–1. When \( P_s \) is large, solutes will diffuse rapidly across a membrane under a given concentration gradient. \( P_s \) embodies several factors: partitioning between solution and membrane, membrane thickness and diffusion coefficient of the solute in the membrane which may be largely depend on specific transporters. It can be used to compare different membranes and to compare treatments that might alter the ability of a solute to move across the membrane.

Note that Equation 13 assumes that the concentration gradient is only across the membrane, and that when the permeability coefficient is measured, concentration gradients leading to diffusion in solutions adjacent to the membrane will not be significant. If the two solutions are stirred rapidly then this will help to justify this assumption. However, there is always an unstirred layer adjacent to the membrane through which diffusion occurs, and for molecules that can permeate the membrane very rapidly the unstirred layer can be a problem for the correct measurement of permeability.

(b) Permeabilities

Solute movement across membranes can be across the lipid phase of the membrance, depending on size, charge and polarity, and it can be assisted by transport proteins embedded in the membrane.

The range of permeability coefficients for various ions, solutes and water in plant membranes is shown in Figure 3.66, along with the permeability of artificial phospholipid bilayers. The permeability of ions as they cross membranes is higher than that through the artificial lipid bilayer, especially for potassium, indicating the presence of specialised permeation mechanisms, ion transporters, in plant membranes. Water permeabilities are high in both plant and artificial membranes but can range over an order of magnitude in plant membranes. This variability may be partially accounted for by the activity of aquaporins.

A comparison of artificial lipid membranes with biological membranes supports this notion because it shows that many molecules and ions permeate biological membranes much faster than would be predicted on the basis of oil solubility and size (Figure 3.66). For these solutes there are transport proteins in biological membranes that increase solute permeability.

(c) Reflection coefficient - water versus solute permeability

Plant membranes are ideally semipermeable, that is, water permeability is much larger than solute permeability.

The degree of semi-permeability that a membrane shows for a particular solute is measured as the reflection coefficient, \( \sigma \):

\[ \sigma = 1 - \frac{\text{Solute Permeability}}{\text{Water Permeability}} \tag{15}\]

3.0-Ch-Fig-3.67.jpg

Figure 3.67. Turgor pressure (\( P \)) in a Tradescantia virginiana epidermal cell as a function of time after the external osmotic pressure was changed with different test solutes. Measurements were made with a pressure probe. (Tyerman and Steudle 1982)

If a plant cell or an epidermal strip is bathed in solution, the reflection coefficient for a particular solute can also be considered as the ratio of the effective osmotic pressure versus the actual osmotic pressure in the bathing solution.

The reflection coefficient usually ranges between zero and one, being zero for molecules with properties similar to water, like methanol, to one for large non-polar molecules like sucrose.

Figure 3.67 shows turgor pressure (\( P \)) in a Tradescantia virginiana epidermal cell as a function of time after the external osmotic pressure was changed with different test solutes. The initial decrease in \( P \) is due to water flow out of the cell and is larger for solutes with a reflection coefficient near one (sucrose and urea). Propanol induces no drop in \( P \), indicating that its reflection coefficient is zero. Subsequent increase in \( P \) is due to penetration of particular solutes such as alcohol across the cell membrane. Water flows osmotically with the solute thereby increasing \( P \) to its original value. Removing solutes reverses osmotic effects. That is, a decrease in \( P \) follows the initial inflow of water as solutes (e.g. alcohols) diffuse out of cells.

The pressure probe apparatus is illustrated in Figure 3.68(a).

3.0-Ch-Fig-3.68.png

Figure 3.68 (a) A miniaturised pressure probe. An oil-filled capillary of about 1 µm diameter is inserted into a cell whose turgor pressure (\( P \)) is transmitted through the oil to a miniature pressure transducer. The voltage output of the transducer is proportional to \( P \). A metal plunger acting as a piston can be used via remote control to vary cell \( P \).

Using the pressure probe to measure turgor pressure, \( P \), the membrane is found to be ideally semipermeable for sucrose (\( \sigma = 1 \)); that is, the membrane almost totally ‘reflects’ sucrose. Over long periods, sucrose is taken up slowly but permeability relative to water is negligible. In this case, the change in \( P \) would be equivalent to the change in \( \pi \). If \( \sigma \) is near zero, then water and the solute (say, propanol) are equivalent in terms of permeability. No change in \( P \) can be generated across a cell wall if \( \sigma \) is zero.

3.6.2 - Chemical potential

Diffusion of neutral molecules at low concentrations is driven by differences in concentrations across membranes, as explained above. There are other forces that may influence solute diffusion, including the voltage gradient when considering movement of charged molecules (ions) and the hydrostatic pressure when considering movement of highly concentrated molecules (such as water in solutions). These forces can be added to give the total potential energy of a particular molecule (\( \mu_s \)) relative to a reference value (\( \mu_s^* \)):

\[ \mu_s = \mu_s^* + RT\ln C_s + z_s FE + V_sP \tag{16}\]

Gravitational potential energy could also be added to this equation if we were to examine the total potential over a substantial height difference, but for movement of molecules across membranes this is not relevant.

The concentration term (\( RT\ln C_s \)) is a measure of the effect on chemical potential of the concentration of solutes (actually the activity of the solutes which is usually somewhat less than total concentration). The gas constant, \(R\) (8.314 joules mol–1K–1), and absolute temperature, \(T\) (in degrees Kelvin, which is equals 273 plus temperature in degrees Celsius), account for the effects of temperature on chemical potential.

Incidentally, from this term the well-known van‘t Hoff relation is derived for osmotic pressure \(\pi\), as given at the beginning of this chapter:

\[ \pi = RTC \tag{1} \]

3.0-Ch-Fig-3.69.png

Figure 3.69. Illustration of how electrical and concentration terms contribute to electrochemical potential of ions. Calcium (top) commonly tends to leak into cells and must be pumped out whereas chloride tends to leak out and must be pumped in to be accumulated.

where \(R\) is the gas constant (8.31 joules mol–1K–1), \(T\) is the absolute temperature in degrees Kelvin (273 plus degrees Celsius), and \( C \) is the solute concentration (Osmoles L-1). At 25 ºC, \(RT\) equals 2.48 liter-MPa per mole, and (\( \pi \)) is in units of MPa. Hence a concentration of 200 mOsmoles L-1 has an osmotic pressure of 0.5 MPa.

The electrical term (\( z_s FE \) ) is a measure of the effect of voltage (\( E \) ) on chemical potential. The charge on a solute (\( z \)) determines whether an ion is repelled or attracted by a particular voltage. Electrical charge and concentration are related by the Faraday constant (\( F\) ) which is 96,490 coulombs mol–1. The electrical and concentration terms form the basis of the Nernst equation (see below).

The pressure term measures the effect of hydrostatic pressure on chemical potential, where \(P = \text{Pressure}\) and \( \overline{V}_s \) is the partial molar volume of the solute.

Molecules diffuse across a membrane down a chemical potential gradient, that is, from higher to lower chemical potential. Diffusion continues until the difference in chemical potential equals zero, when equilibrium is reached. The direction of a chemical potential gradient relative to transport of a molecule across that membrane is important because it indicates whether energy is or is not added to make transport proceed (Figure 3.69). Osmotic ‘engines’ must actively pump solutes against a chemical potential gradient across membranes to generate \(P\) in a cell. Sometimes ions move against a concentration gradient even when the flux is entirely passive (no energy input) because the voltage term dominates the concentration term in Equation 16. In this case, ions flow according to gradients in electrical and total chemical potential. For this reason, the chemical potential of ions is best referred to as the electrochemical potential.

3.6.3 - Ions, charge and membrane voltages

Ions such as potassium and chloride (K+ and Cl) are major osmotic solutes in plant cells. Deficiency of either of these two nutrients can increase a plant’s susceptibility to wilting. Most other inorganic nutrients are acquired as ions and some major organic metabolites involved in photosynthesis and nitrogen fixation bear a charge at physiological pH. For example, malic acid is a four-carbon organic acid that dissociates to the divalent malate anion at neutral pH. Calcium (Ca2+) fluxes across cell membranes are involved in cell signalling and although not osmotically significant they play a crucial role in the way cells communicate and self-regulate. Finally, some ions are used to store energy but need not occur at osmotically significant concentrations. Cell membranes from all kingdoms use hydrogen (H+) ions (protons) in one way or another to store energy that can be used to move other ions or to manufacture ATP (Chapter 2). The highest concentration of H+ that occurs is only a few millimoles per litre yet H+ plays a central role in energy metabolism.

To understand ion movement across membranes, two crucial points must be understood: (1) ionic fluxes alter and at the same time are determined by voltage across the membrane; (2) in all solutions bounded by cell membranes, the number of negative charges is balanced by the number of positive charges. Membrane potential is attributable to a minute amount of charge imbalance that occurs on membrane surfaces. So at constant membrane potential the flux of positive ions across a membrane must balance the flux of negative ions. Most biological membranes have a capacitance of about 1 microFarad cm–2 which means that to alter membrane voltage by 0.1 V, the membrane need only acquire or lose about 1 pmol of univalent ion cm–2 of membrane. A univalent ion is one with a single positive (e.g. K+) or negative (e.g. Cl) atomic charge. In a plant cell of about 650 pL, this represents a change in charge averaged over the entire cell volume of 12 nmol L–1!

The membrane voltage or membrane potential difference, as it is sometimes called, can be measured by inserting a fine capillary electrode into a plant cell (Figure 3.68b). Membrane voltage is measured with respect to solution bathing the cell and in most plant cells the voltage is negative across the plasma membrane. That is, the cytoplasm has a charge of –0.1 to –0.3 V (–100 to –300 mV) at steady state with occasional transients that may give the membrane a positive voltage. The tonoplast membrane that surrounds the central vacuole is generally 20 to 40 mV more positive than the cytoplasm (still negative with respect to the outside medium).

3.0-Ch-Fig-3.68.png

Figure 3.68. (a) Techniques employing fine glass capillaries to probe plant cells. (b) A probe for measuring membrane voltage. The capillary is filled with 1 mol L-1 KCl and connected to a silver/silver chloride electrode that acts as an interface between solution voltage and input to the amplifier. A voltage is always measured with respect to a reference (in this case, a bath electrode). The headstage amplifier is close to the electrodes to minimise noise.

Cell membrane voltages can be affected by ion pumps, diffusion potential and fixed charges on either side of the membrane.

Special mention needs to be made of one such fixed charge which arises from galacturonic acid residues in cell walls. Although cations move to neutralise this fixed negative change, there is still a net negative potential associated with cell walls (Donnan potential). In spite of being external to the plasma membrane, the Donnan potential is in series with it and probably adds to what we measure as the membrane potential with electrodes.

Most charge on macromolecules in the cytoplasm is also negative (e.g. nucleic acids, proteins) and because of their size it can be regarded as a fixed negative charge. This has consequences on the water relations of the cytoplasm in that they exert a significant osmotic potential, even though not in solution, as do the clay particles in soil (Passioura 1980).

Different ions have different permeabilities in membranes. Potassium, for example, is usually the most permeable ion, entering under most conditions about 10 to 100 times faster than Cl Since ions diffuse at different rates across membranes, a slight charge imbalance occurs and gives rise to a membrane voltage (Figure 3.69). This voltage in turn slows down movement of the rapidly moving ion so that the counter-ion catches up. The result is that when net charge balance is achieved, a diffusion potential has developed that is a function of the permeabilities (\( P_\text{ion} \)) of all diffusible ions present and concentrations of each ion in each compartment.

3.0-Ch-Fig-3.70.png

Figure 3.70. How a diffusion potential develops through differential movement of an ion across a membrane that is permeable to K+ but not Cl-.  The left hand compartment (representing the cytoplasm) has the higher concentration of K+ and Cl-, as indicated by the size of the letters. The right hand compartment represents the apoplast (cell wall). Initially (a), a minute amount of K+ crosses the membrane along its concentration gradient, and creates a positive charge in the right-hand compartment as K+ concentration there rises above Cl- concentration. At equilibrium (b), a diffusion potential is established, and further movement of K+ is prevented. Concentrations never equalise on both sides because K+ is the only species able to move through the membrane.

The Goldman equation describes this phenomenon and gives the membrane voltage (\( \Delta E \) ) that would develop due to diffusion of ions. The Goldman equation for the ions that mostly determine this diffusion potential (K+, Na+ and Cl) is given by:

\[ \Delta E = \frac{RT}{F} \ln \frac{P^{}_K C_K^o + P^{}_{Na}C_{Na}^o + P^{}_{Cl}C_{Cl}^i}{P^{}_K C_K^i + P^{}_{Na}C_{Na}^i + P^{}_{Cl}C_{Cl}^o} \tag{17}\]

The superscripts refer to the inside (i) or outside (o) of the membrane and \( R \), \( T \), \( F \) and \( C \) are defined elsewhere (Equation 4.5). Note that the concentration terms for Cl are reversed in the numerator and denominator compared to the cations. This is because Cl is the only anion represented. Many texts do not include H+ in the Goldman equation because, in spite of high permeability of H+, diffusion of H+ is unlikely to have a strong effect on ΔE at such low (micromolar) concentrations. However, membrane potential is occasionally dominated by the diffusion of H+, indicating that H+ permeability must be exceedingly high. For example, local variations in pH cause alkaline bands to form on Chara corallina cells and in the leaves of aquatic plants at high pH.

The Nernst equation

When one ion has a very high permeability compared to all other ions in the system the membrane will behave as an ion-sensitive electrode for that ion (e.g. Figure 4.7). A pH electrode which is sensitive to H+ flux across a glass membrane serves as an analogy. In the case of a single ion, the Goldman equation can be reduced to the simpler Nernst equation that yields the equilibrium membrane potential which would develop for a particular concentration gradient across a membrane.

\[ \Delta E = \frac{RT}{zF} \ln \frac{C_o}{C_i} \tag{18}\]

where \( R \) and \( T \) are the gas constant and temperature (degrees Kelvin) and \( F \) is the Faraday constant. Typical charges on ions (\( z \)) would be –1 for Cl-, +1 for K+) and so on. This term in the Nernst equation gives the correct sign for the calculated membrane potential.

The Nernst equation is routinely used by electro-physiologists to calculate the equilibrium potential for each ion. Theoretical equilibrium potentials can then be compared with the actual membrane potential in order to decide whether the membrane is highly permeable to one particular ion. For example, in many plant cells there are K+ channels that open under particular circumstances. When this occurs, the membrane becomes highly permeable to K+ and the measured membrane potential very nearly equals the Nernst potential for K+. The Nernst equation can also be used as a guide in deciding whether there is active transport through a membrane. For example, when the measured membrane potential is less negative than the most negative Nernst potential, an electrogenic pump must be engaged for K+ to enter the cell (Table 4.1). If the membrane potential is less negative than the Nernst potential and if a K+ channel were open then K+ would leak out of the cell. For K+ uptake to occur with such a gradient for passive efflux then energy would need to be generated.

Equation 4.7 can be rewritten with constants solved and log10 substituted for the natural logarithm. This yields a useful form as follows,

\[ \Delta E = \frac{58}{z} \log_{10} \frac{C_o}{C_i} \tag{19} \]

showing that 10-fold differences in concentration across a membrane are maintained by a 58 mV charge separation for monovalent ions. For example, -58 mV will keep K+ concentrations 10 times higher inside a cell than in the external medium and Cl concentrations 10 times lower. Plasma membranes are normally about -116 mV, which would keep K+ concentrations inside a cell 100 times higher and Cl- concentrations 100 times lower than in the external solution.

Internal membranes have a different electrical potential, the mitochondria being more negative than the plasma membrane (around -180 mV) and the chloroplast and tonoplast being slightly positive (around +50 mV).

The concentration of an ion inside a cell membrane (\( C_i \)) that would occur at equilibrium for any \( C_o \) and \( \Delta E \) can be calculated by rearranging the above equation as:

\[ \log_{10} C_i = \log_{10} C_o - \frac{z\Delta E}{58} \tag{20} \]

remembering that \( z \) and \( \Delta E \) can be positive or negative, depending on the ion and the particular cell membrane being considered.

3.6.4 - Aquaporins (water channels)

Plant and animal membranes have much higher permeability to water than can be explained by diffusion rates through a lipid bilayer. Furthermore, the activation energy for diffusion of water across a plant membrane is lower than would be expected across a lipid bilayer, where water has to overcome the high-energy barrier of partitioning into a very hydrophobic oily layer. Some reports put the activation energy for water flow across membranes as low as the value for free diffusion of water. In other words, water enters the membrane about as readily as it diffuses through a solution. This suggests that water is moving across the membrane through a pathway other than the lipid, perhaps some kind of water pore or water channel. Since the discovery of water channel proteins in animal cell membranes, molecular biologists discovered that similar proteins exist in plants.

Water channels, like ion channels, are proteins embedded in membranes that facilitate the passive transport (non-energised flow) of water or ions down their respective energy gradients. Movement of a solute or water through these transport proteins is not coupled to movement of any other solute, and does not require ATP. The proteins that facilitate passive transport are diverse; some are specific for particular ions and allow high transport rates per protein molecule (ion channels), some are specific for water (water channels or aquaporins) and some are specific for neutral solutes and may have slower transport rates per protein molecule.

Why are there water channels in membranes when the lipid itself is already somewhat permeable to water? There are several rationales for the presence of water channels in plant membranes. One is that specialised transport proteins can control water flow. That is, a water channel protein may be turned on and off, for example by phosphorylation, while water permeability of the lipid is essentially constant. In animal cells, such as in the kidney, water channels are controlled by antidiuretic hormones. Plant hormones could also influence the function of water channels. A second rationale for the presence of water channnels is to balance water flow and prevent bottlenecks. In the root, water channels are most abundent in the endodermis and inner stele where water flow across membranes is rapid. 

The approach to studying water channels has been to inject genetic material from plants into Xenopus oocytes (a particular type of frog’s egg). The Xenopus oocyte is particularly useful because it is large, enabling observations of cell response to foreign proteins. It is one of several expression systems along with Chara (giant algal cells) and yeast cells. cDNA arising from screens of cDNA libraries can be injected into the Xenopus nucleus, or poly (A)+-RNA can be injected into the oocyte cytoplasm where it is translated. Plant water transport proteins expressed in the oocyte plasma membrane result in physiological changes; for example, the oocyte swells rapidly when the external osmotic pressure in the bathing medium is lowered (Figure 3.71a). The first plant aquaporin gTIP (Tonoplast Integral Protein) that was discovered occurs in the tonoplast and probably accounts for its high water permeability. Provided that the increase in water permeability is not a consequence of some other change or a side effect of other types of transport, it can be concluded that the protein catalyses transport of water across membranes.

3.0-Ch-Fig-3.71.png

Figure 3.71 Evidence for presence of aquaporins (water channels) in plant membranes. (a) Change in volume of Xenopus oocytes injected with two TIP proteins after lowering osmotic pressure of the external medium (Maurel et al. 1995). (b) Sensitivity of two TIP proteins expressed in Xenopus oocytes to mercuric chloride (HgCl2), a general inhibitor of aquaporins (Daniels et al. 1996). (c) Inhibitory effect of HgCl2 on hydraulic conductivity of the freshwater alga Chara corallina measured with a pressure probe (Schütz and Tyerman 1997).

Water channels can be inhibited by mercuric chloride when expressed in Xenopus occytes (Figure 3.71b), and also in plant cells (Figure 3.71c). Inhibition is reversed by applying mercaptoethanol to block the action of HgCl2. Under mercury inhibition, the activation energy of water flow increases markedly indicating that water flow is now restricted to diffusional flow across the lipid bilayer, that is, aquaporins are blocked.

Plants have many aquaporin genes. For example, Arabidopsis thaliana has 35 and rice (Oryza sativa) has 33. Proteins encoded by aquaporin genes are localized in the plasma membrane, tonoplast and endo membranes and classed as Plasma membrane Intrinsic Proteins (PIPs), Tonoplast Intrinsic Proteins (TIPs), Nodulin26-like Intrinsic Proteins (NIPS), Small basic Intrinsic Proteins (SIPs) or X Intrinsic Proteins (XIPs) (Luu and Maurel 2013). Within membranes, clustering of PIPs in membrane rafts has been observed, and there is variation in the lateral mobility for different aquaporins. Of the many aquaporin proteins in plants, some transport water only (up to 109 molecules per second) and others are permeable to a range of neutral solutes such as gases (carbon dioxide, ammonia), metalloids (boron, silicon, arsenic), or reactive oxygen species (hydrogen peroxide). The transcription, translation, trafficking, and gating of PIPs are regulated by environmental and developmental factors involving signalling molecules, phytohormones and the circadian clock (Chaumont and Tyerman 2014). The transcription, translation, trafficking, and gating of PIPs are regulated by environmental and developmental factors involving signalling molecules, phytohormones and the circadian clock (Chaumont and Tyerman 2014).

When PIP genes are transcribed, their mRNA is translated in the rough endoplasmic reticulum (ER), and the proteins targeted to the plasma membrane. PIPs belonging to the PIP2 group form homo-oligomers, or hetero-oligomers by associating with PIP1 isoforms. Some PIP2s contain a diacidic motif in their N terminus that acts as an ER export signal. It may be recognized by Sec24 which is the main “cargo” selection protein of the coat protein complex COPII that mediates vesicle formation at the ER export sites. PIP oligomers then transit through the Golgi apparatus and trans-Golgi network and are then loaded into secretory vesicles and routed to the plasma membrane (Figure 3.72). Insertion of PIPs into the plasma membrane is mediated by a protein that regulates vesicle fusion (the “syntaxin” SYP121). The plasma-membrane localized PIPs can be recycled internally: once internalized in vesicles, PIPs are delivered to the trans-Golgi network before being routed back to the plasma membrane or directed into lytic vacuoles for degradation (Figure 3.72). Salt stress causes dephosphorylation and internalization of PIPs, and drought stress induces ubiquitylation of PIPs, which are then degraded in the proteasome.

Aquaporins assemble as homo- or hetero-tetramers, each monomer acting as an independent water channel. The structure of an aquaporin monomer (Figure 3.72) consists of six membrane-spanning α-helices connected by five loops, with both N and C termini facing the cytosol. Two loops form two short hydrophobic α-helices dipping halfway into the membranes, which, together with the membrane-spanning helices, create a pore with high specificity (Murata et al. 2000).

3.0-Ch-Fig-3.72.png

Figure 3.72 Formation and trafficking of PIPs within a plant cell. PIPs belonging to the PIP2 group (in yellow) form homo- or heterooligomers by associating with PIP1 isoforms (in green). PIP oligomers transit through the Golgi apparatus and trans-Golgi network (TGN) and are then loaded into secretory vesicles and routed to the plasma membrane. In the circle is shown the topological structure of the aquaporin monomer AQP1 (Murata et al. 2000), with six membrane-spanning α-helices (1-6) connected by five loops (A-E). The loops B and E form two short hydrophobic α-helices (in red) dipping halfway into the membranes, which, together with the membrane-spanning helices, create a pore with high specificity. From Chaumont and Tyerman (2014). Reproduced from F. Chaumant and S.D. Tyerman, Plant Phys 164: 1600-1618, plantphysiol.org. Copyright American Society of Plant Biologists.

Aquaporins play a central role in regulating plant water relations. Water diffusion across cell membranes is facilitated by aquaporins that provide plants with the means to rapidly and reversibly modify water permeability. This is done by changing aquaporin density and activity in the membrane, including post-translational modifications and protein interaction that act on their trafficking and gating. At the whole organ level aquaporins modify water conductance and gradients at key “gatekeeper” cell layers that impact on whole plant water flow and plant water potential. In this way they may act in concert with stomatal regulation.

PIP and TIP expression is higher during the day than the night, and correlates with diurnal changes in transpiration. It is likely under circadian regulation. Expression can correlate with changes in hydraulic conductivity, Lp, so that aquaporins are more abundant or have higher activity at times when stomatal conductance is higher. Over a diurnal cycle, Lp can change 2-5 fold and so can PIP transcript activity or protein abundance (Chaumant and Tyerman 2014). This occurs in both roots and shoots.

This section has shown how the flow of water and ions across membranes are linked. The function of membrane transport in regulating nutrient supply is covered in Chapter 4.

3.7 - References

Atkins CA, Pate JS, Layzell DB (1979) Assimilation and Transport of Nitrogen in Nonnodulated (NO3-grown) Lupinus albus L. Plant Phys 64: 1078-1082.

Barberon M, Geldner N (2014) Radial transport of nutrients: The plant root as a polarized epithelium. Plant Physiol 166: 528–537

Bramley H, Turner NC, Turner DW, Tyerman SD (2009) Roles of morphology, anatomy, and aquaporins in determining contrasting hydraulic behavior of roots. Plant Physiol 150: 348-364

Chaumont F, Tyerman SD (2014) Aquaporins: highly regulated channels controlling plant water relations. Plant Physiol 164: 1600-1618

Daniels MJ, Chaumont F, Mirkov TE, Chrispeels MJ (1996) Characterization of a new vacuolar membrane aquaporins sensitive to mercury at a unique site. Plant Cell 8: 587-599

Dixon HH (1914) Transpiration and the ascent of sap in plants. Macmillan, London

Dixon HH, Joly J (1894) On the ascent of sap. Phil Trans Royal Soc (London) Series B, 186: 563-576

Findlay GP, Findlay N (1975) Anatomy and movement of the column of Stylidium. Aust J Plant Physiol 2: 597-621

Geldner N (2013) The endodermis. Annu Rev Plant Biol  64: 531–558

Hose E, Clarkson DT, Steudle E et al. (2001) The exodermis: a variable apoplastic barrier. J Exp Bot 52: 2245-2264

Huang CX, van Steveninck RFM (1988) Effect of moderate salinity on patterns of potassium, sodium and chloride accumulation in cells near the root tip of barley: Role of differentiating xylem vessels. Physiol Plant 73: 525-533

Jeschke WD, Pate JS, Atkins CA (1986) Effects of NaCl salinity on growth, development, ion transport and ion storage in white lupin (Lupinus alba L. cv. Ultra). J Plant Physiol 124: 237-274

LaBarbera M (1990) Principles of design of fluid transport systems in zoology. Science 249: 992-1000

Kramer PF, Boyer JS (1995) Water relations of plants and soils.   http://udspace.udel.edu/handle/19716/2830

 Maurel C, Kado RT , Guern J, Chrispeels M (1995) Phosphorylation regulates the water channel activity of the seed-specific aquaporin α-TIP. EMBO J 14: 3028-3035

 Melchior W, Steudle E  (1993) Water transport in onion roots: Changes of axial and radial hydraulic conductivities during root development. Plant Physiol 101: 1305-1315

 McCully ME  (1994) Accumulation of high levels of potassium in the developing xylem elements in roots of soybean and some other dicotyledons. Protoplasma 183: 116-125

 McCully ME , Canny MJ (1988) Pat hways and processes of water and nutrient movement in roots. Plant Soil 111: 159-170

Munns R (1985) Na+, K+ and Cl- in xylem sap flowing to shoots of NaCl-treated barley. J Exp Bot 36: 1032-1042

Munns R, Passioura JB (1984)  Hydraulic resistance of plants. III. Effects of NaCl in barley and lupin. Aust J Plant Physiol 11: 351-359

Nobel PS (2005) Physicochemical and environmental plant physiology (3rd edition). Elsevier Academic Press, Burlington, MA

Passioura JB (1980) The meaning of matric potential. J Exp Bot 31:1161-1169

Passioura JB (2010) Plant–Water Relations. In: Encyclopedia of Life Sciences. Wiley, Chichester. DOI: 10.1002/9780470015902.a0001288.pub2

Passioura JB (2006) The perils of pot experiments. Funct Plant Biol 33: 1075–1079

Passioura JB (1980) The transport of water from soil to shoot in wheat seedlings. J Exp Bot 31: 333-345

Perumalla CJ, Peterson CA, Enstone DE (1990) A survey of angiosperm species to detect Casparian bands. I. Roots with a uniseriate hypodermis and epidermis. Bot J Linnean Soc 103: 93-112

Peuke AD (2010) Correlations in concentrations, xylem and phloem flows, and partitioning of elements and ions in [intact plants. A summary and statistical re-evalution of modelling experiments in Ricinus communis. J Exp Bot 61: 6344-655

Plett DC, Moller IS (2010) Na+ transport in glycophytic plants. Plant Cell Environ 33: 612-626

Schütz  K, Tyerman SD (1997) Water channels in Chara correlina.  J Exp Bot 48: 1511-1518

Strazburger E (1893) Über das saftsteigen. Fischer: Jena, Germany.

Tyerman SD, Steudle E (1982) Comparison between osmotic and hydrostatic water flows in a higher plant cell. Aust J Plant Physiol 9: 416-479

Watt M, Magee LJ, McCully ME (2008) Types, structure and potential for axial water flow in the deepest roots of field-grown cereals. New Phytol 178: 135-146

Chapter 4 - Nutrient uptake from soils

Chapter editors: Rana Munns and Susanne Schmidt

Contributing Authors: MC Brundrett1,2, BJ Ferguson3, PM Gressshoff3, S Filleur4, U Mathesius5, R Munns1,6, A Rasmussen7, MH Ryan1, P Ryan6, S Schmidt8, M Watt5

1School of Plant Biology, University of Western Australia; 2Department of Parks and Wildlife, Western Australia; 3Centre for Integrative Legume Research, University of Queensland, 4CNRS, Gif sur Yvette, France; 5Research School of Biology, Australian National University; 6CSIRO Agriculture, Canberra; 7Centre for Plant Integrative Biology, University of Nottingham, UK; 8School of Agriculture and Food Science, University of Queensland

With acknowledgements to authors of the original edition Chapter 3, sections 3, 4 and 5 respectively: BJ Atwell, JWG Cairney and KB Walsh

Plants require at least 14 essential minerals for growth, along with water and carbohydrates. The processes by which plants convert CO2 to carbohydrate are described in Chapters 1 and 2 of this text book, and Chapter 3 explains how plants take up water from the soil and transport it to leaves. Chapter 4 describes the fundamental processes by which plants acquire minerals from the soil, with N and P as main examples. In most situations, roots do not take up minerals directly from the soil, but work in association with soil microbes that make the minerals more available to plants.

This chapter first explains the concept of plant nutrition, then describes the various root structures and symbioses with microorganisms that allow plants to take up essential nutrients. These adaptations include specialised root architecture, cluster roots, rhizosphere organisms, mycorrhizas, and symbiotic nitrogen fixation. Finally the principles of membrane transport which require ATP hydrolysis or specialised membrane transporters are described with a focus on uptake of nitrate, different forms of organic N, and phosphate.

Nutrient application to soils via fertilizers, and the ecophysiology of nutrient relations are covered in Chapter 16.

4.0-Ch-Fig-4.0-NoNum v2 resized.jpg

Different nutrient acquisition strategies. (figure by S. Buckley)

4.1 - Nutrient requirements and root architecture

Amanda Rasmussen1 and Susanne Schmidt,2
1Centre for Plant Integrative Biology, University of Nottingham, UK; 2School of Agriculture and Food Science, University of Queensland

Plants require at least 14 essential elements called ‘mineral nutrients’ to sustain life function and complete their life cycle, in addition to carbon (in the form of CO2), oxygen, and hydrogen (in the form of water). Some plants have specific requirements for additional elements. The acquisition via the roots and use of these elements are the topic of plant nutrition.

4.1-Ch-Fig-4.1.png

Figure 4.1 Young wheat seedlings with a mass of elongated seminal roots that were excavated and washed (left) or imaged in situ using microCT (right). Note that in situ imaging preserves the lateral growth of lateral roots. Images courtesy of E. Delhaize (left) and S. Mairhofer (right).

Nutrients are taken up by roots via active or passive transport across membranes, and travel from the bulk soil to the roots via diffusion or mass flow. However, in order to access all the available nutrients, plants have evolved dynamic and plastic root systems that explore the soil for maximum nutrient uptake. In monocots, lateral roots grow into the volume of soil between seminal roots, as shown by in situ CT imaging (Figure 4.1).

By responding to signals and gradients in the soil, the root system can maximise growth in local nutrient patches while minimising growth in areas of deficiency. This is extremely important for plant survival particularly in deficient or marginal soils. Efficient root growth is also an important factor in maximising yield with lower fertiliser applications because ‘wasted’ root growth costs energy that could otherwise be invested in the crop of interest (whether seeds, leaves, stems or tubers). For this reason understanding the root environmental responses and breeding crops with efficient root systems for the conditions of interest are currently highly active areas of agronomic research.

This section covers the different nutrients required for plant growth, and the different root architectures and structures which help the plants maintain sufficient nutrient uptake to support the above ground biomass.

4.1.1 - Plant nutrition

Although the absolute quantities of nutrients required vary between plant species, genotypes and growth environments, essential nutrients are categorised into so-called macronutrients (N, K, Ca, P, Mg, S) that plants require in larger quantities, and micronutrients (Fe, Cl, Mn, B, Zn, Cu, Mo, Ni) that are needed in small amounts (Figure 4.2). Additional beneficial elements include Si (e.g. for grasses) and Na (for many sea-shore plants).

4.1-Ch-Fig-4.2.png

Figure 4.2 Mineral nutrient concentrations in plant leaves. Concentrations can be larger or smaller than shown here. Note, lower concentrations occur in roots and wood. (Adapted from Marschner 1995)

Macronutrients form the structural components of proteins, cell walls, membranes, nucleotides and chlorophyll, and have roles in energy and water maintenance. The macronutrient potassium has a special function in regulating the osmotic potential of plant cells. Under saline or dry conditions, Cl (and for some plants Na) is important in plant water relations.

Micronutrients mainly provide functional groups in enzymes (BOX 1 shows how Ni forms the active site in urease, as an example).

BOX 1 – Nickel (Ni) at the centre of Urease

In 1926 James B. Sumner from Cornell University studied the structure of Urease from Jack Bean plants and demonstrated that the enzyme is also a protein. This work led to the recognition that most enzymes are in fact proteins and in 1946 Sumner was awarded the Nobel Prize in Chemistry.

Urease is an enzyme that breaks down urea to ammonia and carbon dioxide in plants, bacteria and fungi and contains a nickel active site.

(NH2)2CO + H2O -> CO2 + 2NH3

For 3D structure see http://www.proteopedia.org/wiki/index.php/Urease

Further reading: Follmer 2008; Carter et al. 2009.

In terrestrial ecosystems and in agriculture, the availability of nitrogen (N) and phosphorus (P) are often limiting and so affect plant growth and productivity most strongly. However, other elements can also be limiting. Plants showing nutrient deficiencies will exhibit symptoms such as stunted growth, leaf or shoot tip chlorosis, and defoliation, and will die if supplements are not provided. Fertilisers are applied to supply essential elements in agriculture to maximise plant growth and enhance yields. Along with the discovery of ‘dwarfing genes’ and development of short stature crop varieties, it was the use of synthetic nitrogen fertilisers that played a significant role in the Green Revolution of the 1930s-1960s.

The acquisition of mineral nutrients starts with their movement from the surrounding soil to root surfaces. The movement of nutrients from bulk soil towards plant roots occurs via diffusion or mass flow (Figure 4.3). Root interception occurs as the root comes in contact with, and displaces the soil through which it is growing. Nutrient availability in soils and the physical and chemical factors influencing their movement from soils to the root surface is comprehensively described in a review by Marschner and Rengel (2012). Nutrients are taken up into roots by active or passive transport across cell membranes, which is described later in this chapter (Section 4.5).

4.1-Ch-Fig-4.3.png

Figure 4.3 Element movement to root surface. Root interception occurs as the root displaces soil; diffusion occurs along a concentration gradient; mass flow is driven by plant transpiration and is the movement of soil solution along a water potential gradient. (Based on Marschner and Rengel 2012)

Diffusion occurs along a concentration gradient, over relatively short distances (in the order of 1 cm). As roots take up nutrients and ions from the soil a depletion zone can be established allowing diffusion to occur into the depletion zone. The rate of diffusion depends on how fast the roots are taking up the nutrient, how much of the nutrient is present in the soil (this determines the steepness of the concentration gradient that forms) and also on the mobility of the ions by diffusion. Soluble ions would take about a day to diffuse 1 cm; ions bound to the soil matrix would take longer. For examples, Marscher and Rengel (2012) show that nitrate by diffusion in a ‘typical’ soil travels 3 mm in a day, potassium about 1 mm in a day, and phosphate moves only about 0.1 mm in a day. This illustrates the importance of root hairs in intercepting and accessing phosphate.

Mass flow is driven by the uptake of water caused by the transpiration rate of the plants and can occur over long distances. Many soluble nutrients such as nitrate are dissolved in the soil water and as the plant pulls the water from the soil, the nutrients move too. Some nutrients move by mass flow faster than their uptake rate so they build up on the surface of the root during daylight hours (Marschner and Rengel, 2012). The rate of movement by mass flow of solution depends basically on the rate of transpiration of the plant, so there is little movement at night. It is also influenced by soil water content and soil texture (see Chapter 3, Section 3.4).

Nutrients are unevenly distributed in the soil, generally being concentrated in the topsoil due to decomposition of leaf litter, but also dispersed elsewhere in pockets. Uneven surface enrichment arises from diverse sources such as dead fauna, urine patches from grazing animals, and localised application of fertiliser. Phosphorus and all cations are relatively immobile as they bind to the soil while nitrate and other anions (except phosphorus) are soluble and can readily be leached to deeper soil layers.

Because the soil is so heterogeneous, plants have developed adaptable (plastic) root systems so that the roots proliferate close to the nutrients for uptake.

4.1.2 - Root system architecture

4.1-Ch-Fig-4.4.png

Figure 4.4 Root systems of young (left) wheat and (right) lupin plants. Wheat, a monocot, has a dual root system. Seminal roots emerge from the seed and nodal roots (thicker roots on the outside of the picture) emerge from the crown, a group of closely packed nodes from which tillers emerge. Lupin, a dicot, has a tap root from which lateral roots emerge and which thickens with time as continued cambial activity leads to secondary growth.

The root system architecture is the arrangement of different roots in solid space. Just like a building has walls, roof, and floors, plant root systems also contain different structures including root types (primary, lateral, adventitious), root hairs, and specialized features such as nodules and cluster roots (see case study). In contrast to a fixed structure like a building, the root system is dynamic with new structures forming as needed to explore the soil and old structures breaking down when their use has expired. This four dimensional architecture within soil can now be visualized using technology such as X-ray microscale computed tomography (microCT) and magnetic resonance imaging (MRI).

In order to understand root architecture it is important to understand the different structures that make up the root system. This section will focus on the different root types while cluster roots are explained in the case study that follows. Root hairs are described in the section on the rhizosphere (Section 4.2) and the formation of N2-fixing nodules in Section 4.4.

4.1-Ch-Fig-4.5.png

Figure 4.5 MicroCT images of crop root systems. A, Single wheat plant with primary root (P), lateral roots (L) and seminal roots (S). Roots are false-coloured in white, and soil is false-coloured in brown. Scale bar = 1 cm. (Reproduced from Atkinson et al. (2014) Plant Physiol 166: 538-550. ​doi:​10.​1104/​pp.​114.​245423. Copyright American Society of Plant Biologists). B) Two wheat plants grown in the same pot. Roots are false-coloured in blue or orange; each colour shows a single root system. (Image courtesy S. Mairhofer)

Definitions

4.1-Ch-Fig-4.6.png

Figure 4.6 Root types. White = primary root, cream = seminal roots, blue = first order lateral roots, pink = second order lateral roots, yellow = crown roots, orange = brace roots. Crown and brace roots are both adventitious root types. (Original drawing courtesy A Rasmussen)

Primary root: the first root to emerge from a germinating seed (starts as the radicle). Since the primary root is present within the embryo, this class of root is embryonic.

Lateral roots: roots that form from other roots. The lateral roots that form from the primary root are first order lateral roots; the lateral roots that form from the first order laterals are second order laterals and so on. This class of root is post-embryonic.

Seminal roots: form adjacent to the radicle and dominate the early root growth in monocots. This root type is embryonic.

Adventitious roots: any root that forms from anything other than another root. This includes roots that form on the base of stem cuttings, from leaf explants, from stems in flooded plants and also from nodes of cereal crops (often called crown roots). These root types are very diverse (Steffens and Rasmussen, 2015) so can include both embryonic and post-embryonic roots.

4.1-Ch-Fig-4.7.png

Figure 4.7 Examples of adventitious root types. This figure highlights a few examples of the diversity of adventitious roots; A and B show types of adventitious roots that form during normal development while C and D are examples of stress-induced adventitious roots. A, Those potentially established in the embryo. B, The dominant root system of monocots including maize (top image) crown roots (yellow) and brace roots (orange) and nodal roots on other grasses (lower image) and on eudicots such as strawberry. C, Low or no light (e.g. Arabidopsis used as a model for adventitious root regulation) or flooding (lower image) can induce adventitious roots from either nodal or non-nodal stem positions. D, Wounding such as taking a cutting induces de novo adventitious root development. Primary and seminal roots are depicted in white, first order lateral roots in blue and second order laterals in pink. (Based on Steffens and Rasmussen (2016) Plant Physiol. 170: 603-617. doi:10.1104/pp.15.01360. Copyright American Society of Plant Biologists)

Root hairs: single-cell, hair-like extrusions from the epidermis which increase root surface area for nutrient uptake (Jones and Dolan, 2012) and are important for nodulation (Section 4.4).

The combination of different root types present in the root system differs across species. In particular the root systems of cereal crops (monocots) differ dramatically to the root systems of tree crops (eudicots) (Figure 4.8).

4.1-Ch-Fig-4.8.png

Figure 4.8 Eudicot and monocot root systems. A ,C and E represent eudicot roots while B, D and F represent monocot roots. Schematic showing the dominant root types of tomato (A) and maize (B). SR = stem roots, P = primary root, L = lateral root, Br = brace root, Cr = crown root, S = seminal root (original diagram courtesy A. Rasmussen). MicroCT images of tomato (C) and maize (D) (images courtesy J. Johnson and S. Mairhofer). Cross section schematics of the eudicot Arabidopsis (E) and rice (F) showing where new roots initiate. (Reproduced from Atkinson et al. (2014) Plant Physiol 166: 538-550. ​doi:​10.​1104/​pp.​114.​245423. Copyright American Society of Plant Biologists)

Eudicots typically develop a primary (tap) root from a single radicle that emerges from a seed. This primary root, plus the first order lateral roots which emerge from it, provide a framework on which higher-order lateral roots are formed. Such a framework strengthens due to secondary thickening when division of the cambium gives rise to more cell layers, leading to massive roots that are often seen radiating from the base of a tree trunk (Figure 4.9).

Monocots such as grasses and cereal crops do not have a cambium for secondary thickening and develop a fibrous root system. This root system begins with the radicle which grows into the primary root. Adjacent to the radicle, several seminal roots also emerge and combined with the primary root these roots dominate the young root systems of monocots. Next nodal adventitious roots (often called crown roots) emerge from lower stem nodes and these thicker roots gradually dominate the root system. Finally in some monocots, such as maize (corn), nodal adventitious roots emerge above the soil level (brace roots) to provide additional structural support. Stems of monocots are typically anchored by the nodal roots, which are more numerous than seminal roots (Hochholdinger et al. 2004; Hochholdinger 2009).

Despite these structural differences between monocot and eudicot root systems, they can all vary the soil volume which they explore depending on water and nutrient availability. In this way the root distribution in the soil can vary both vertically and locally depending on available resources.

Root distribution

4.1-Ch-Fig-4.9.png

Figure 4.9 Dimorphic root system of a six-year-old Banksia prionotes tree growing in Western Australia in a deep sand. The trunk (T) is connected through a swollen junction (J) to the root system which comprises a dominant sinker root (S) with smaller sinkers (S2). A system of lateral roots (L) emerge horizontally from the junction, some bearing smaller sinker roots (arrows). Other laterals give rise to cluster roots (CR). (W.D. Jeschke and J.S. Pate, J Exp Bot 46: 907-915, 1995)

The amount of roots present in a volume of soil varies both vertically and locally depending on resource availability and physical restrictions. This is often measured as the total length of all roots present per unit volume of soil (root length density, L, expressed in km m–3).

4.1-Ch-Fig-4.10.png

Figure 4.10 Root length density in relation to depth in the soil for a wheat crop and a jarrah forest (Eucalyptus marginata). (Jarrah data from B.A. Carbon et al., Forest Sci 26: 656-664, 1980; wheat data courtesy F.X. Dunin)

Vertically, the root length density is often large in surface layers of the soil and typically decreases with increasing depth. Commonly, hundreds of kilometres of root per cubic metre of soil are observed near the soil surface.

Figure 4.10 shows root length density, L, as a function of depth in a wheat crop in early spring, and under a jarrah forest, also in spring. Both have a dense population of roots near the surface but wheat roots barely penetrate below 1 m, whereas jarrah roots penetrate to well below the 2.5 m shown here, often to 20 m. Dense root proliferation near the soil surface probably reflects an adaptation of plants to acquire phosphorus, potassium and other cations such as the micronutrients zinc and copper. These nutrients do not move readily in soil as they are bound to the soil surfaces, hence roots branch prolifically to ensure close proximity (a few millimetres) between adsorbing surfaces and these soil-immobile ions. Roots of jarrah are also concentrated near the soil surface (Figure 4.10) to access phosphate and nutrients released by litter decomposition, but some roots penetrate very deeply to tap subsoil moisture.

Nutrients are distributed unevenly in the soil. Root systems respond to enriched zones of nutrients by high levels of branching. Figure 4.11 shows an example of such a proliferation; the dense roots in the centre of the figure are a response by the row of wheat plants to application of a large pellet of nitrogen fertiliser (see arrow).

4.1-Ch-Fig-4.11.png

Figure 4.11 Excavated root system of wheat plants whose roots were provided with a concentrated band of ammonium sulphate fertiliser at the head of the arrow. (Photograph courtesy J.B. Passioura)

Such proliferations around bands of fertilizer ensure plants maximise nutrient uptake with the minimum cost to plant development. This efficiency fits within optimal partitioning theory which states that plants respond to environmental variation by partitioning biomass among the plant organs to optimize the acquisition of nutrients, light, water and carbon to maximize plant growth (Reich, 2002). This means that in low nutrient conditions the plants will put more energy into growing roots and less into shoot growth (Reich, 2002). Likewise when light is limiting, plants will invest more energy in leaf area and less in root development (Weaver and Himmel, 1929; Reich, 2002). Maintaining the balance between root and shoot is important as the roots must be extensive enough to supply nutrients and water in proportion to the demand and hydraulic pull from the leaves and vice versa the leaves must produce enough sugars to continue the growth of the root system (Weaver and Himmel, 1929). Consistent with this, Butler et al. (2010) found in Sitka spruce forest, the root absorbing area was correlated with the tree stem diameter and to the transpiring leaf area index. This highlights the link in hydraulics between leaf and root areas.

Young roots absorb nutrients more rapidly than old roots. New roots supply annual plants with abundant sites for nutrient uptake, especially during establishment. A feature of the roots of perennials is that they have a large turnover of the fine, high-order lateral roots that emerge from the secondarily thickened framework each year. This turnover draws heavily on photoassimilate, equivalent to half the CO2 fixed in annuals and up to 90% of the standing biomass of temperate forests. Production of fine (and often ephemeral) roots ensures uptake of nutrients over many years.

Because many soils are deficient in key nutrients, plants have developed a special relationship with certain fungi called mycorrhizae (Section 4.4). In this symbiosis the fungi obtain fixed carbon from the host plant, and in turn supply the host with poorly mobile nutrients, especially phosphorus. This is achieved by proliferating their hyphae to provide a much greater surface area for nutrient uptake than could be provided by roots alone. Another adaptation, common in the Proteaceae, and also occurring in some species of lupin, is proteoid roots, clusters of tiny rootlets that greatly enlarge the available surface area for ion uptake and which are inducible by low levels of phosphorus (see Case study 4.1).

Case Study 4.1 - Cluster (proteoid) roots

M. Watt

4.1-CS-Fig-1.png

Figure 1 Cluster roots in Banksia serrata growing on Hawkesbury Sandstone hillslopes in the Sydney region. a, Roots that have grown across a dead eucalypt leaf extract nutrients remaining in the decaying leaf. b, Clusters of fine rootlets at the tips of roots increase the surface area for nutrient extraction from surrounding soil. Scale bar = 100 µm. (Scanning electron micrograph courtesy S. Gould)

Cluster or proteoid roots (Figure 1) are found in many species originating from nutrient-deficient soils (Dinkelaker et al. 1995). They enhance uptake of nutrients, especially phosphate. Species which develop these “dense clusters of rootlets of limited growth” include members of the Australian family Proteaceae, where they were first described by Purnell (1960). Other families such as the Casuarinaceae, Cyperaceae, Mimosaceae and Restionaceae also contain species with heavily branched root systems (Lamont 1993). Significantly, few species with cluster roots are mycorrhizal, implying that root clusters fulfil a similar role to mycorrhizal fungi.

Australian soils generally contain low concentrations of plant-available phosphate, much of it bound with iron–aluminium silicates into insoluble forms or concentrated in the remains of decaying plant matter. Because very little of this phosphate is soluble, most roots extract it only slowly. Plants with cluster roots gain access to fixed and organic phosphate through an increase in surface area and release of phosphate-solubilising exudates. Hence plants with cluster roots grow faster on phosphate-fixing soils than species without clusters.

Cluster roots have a distinct morphology. Intense proliferation of closely spaced, lateral ‘rootlets’ occurs along part of a root axis to form the visually striking structures. Root hairs develop along each rootlet and result in a further increase in surface area compared to regions where cluster roots have not developed.

In the Proteaceae, clusters generally form on basal laterals so that they are abundant near the soil surface where most nutrients are found. For example, Banksia serrata produces a persistent, dense root mat capable of intercepting nutrients from leaf litter and binding the protecting underlying soil from erosion (Figure 1a). New clusters differentiate on the surface of this mat after fires and are well placed to capture nutrients. In contrast, Banksia prionotes forms ephemeral clusters which export large amounts of nutrients during winter. Lupinus albus has more random clusters which appear on up to 50% of roots (Figure 2).

4.1-CS-Fig-2.png

Figure 2 Basal roots of a two-week-old Lupinus albus plant grown in nutrient culture with 1 µM phosphate. Proteoid roots have emerged along the primary lateral roots (arrowhead) and the oldest proteoid rootlets have reached a determinate length of 5 mm. As rootlets approach their final length, they exude citrate for 2-3 d. (mm scale on left side) (Photograph courtesy M. Watt)

Rootlets not only represent an increase in surface area but also exude protons and organic acids, solubilising phosphate and making it available for uptake (Watt and Evans 1999a). Exudates from cluster roots represent up to 10–23% of the total weight of an L. albus plant, suggesting that they constitute a major sink for photoassimilates. However, not all this additional carbon comes from photosynthesis because approximately 30% of the carbon demand of clusters is met by dark CO2 fixation via phosphoenolpyruvate carboxylase. Because cluster roots form on roots of L. albus even when phosphate supply is adequate, growth of L. albus in soils with low phosphate availability is not restricted by an additional carbon ‘drain’ to roots. On the other hand, the great many species which produce cluster roots in response to environmental cues like phosphate deficiency might experience a carbon penalty to support these roots.

Cluster roots on L. albus are efficient with respect to carbon consumption by generating citrate on cue. Most of the citrate exuded by clusters is released during a two to three day period when the cluster is young (Watt et al. 1999b). A large root surface area in clusters works in concert with this burst of exudation to solubilise phosphate before it is re-fixed to clay surfaces or diffuses away.

Cluster roots can mine a pocket of phosphate-rich soil which would otherwise not yield its nutrients. They are an elegant adaptation of root structure and biochemistry to nutrient-poor soils.

References

Dinkelaker B, Hengeler C, Marschner H (1995) Distribution and function of proteoid roots and other root clusters. Bot Acta 108: 183–200

Lamont BB (1993) Why are hairy root clusters so abundant in the most nutrient impoverished soils of Australia? Plant Soil 156: 269–272

Purnell HM (1960) Studies of the family Proteaceae 1. Anatomy and morphology of the roots of some Victorian species. Aust J Bot 8: 38–50

Watt M, Evans JR (1999a) Proteoid Roots. Physiology and Development. Plant Physiol 121: 317–323

Watt M, Evans JR (1999b) Linking development and determinacy with organic acid efflux from proteoid roots of Lupinus albus L. grown with low phosphorus and ambient or elevated atmospheric CO2 concentration. Plant Physiol 120: 705–716

4.2 - Soil-root interface

Ulrike Mathesius, Research School of Biology, Australian National University

As a general rule, the surface area of a root system exceeds the leaf canopy it supports. Even disregarding root hairs, the interface between roots of a three-week-old lupin plant and soil is about 100 cm2 while a four-month-old rye plant under good conditions has more than 200 m2 of root surface (Dittmer 1937). Trees’ root systems are difficult to quantify but kilometres of new roots each year generate hundreds of square metres of root surface. Such a root–soil interface arises through the simultaneous activity of up to half a million root meristems in a mature tree.

4.2-Ch-Fig-4.12.png

Figure 4.12 Transverse view of a young, soil-grown wheat root, sectioned by hand and stained with Toluidine Blue. Most soil in the rhizosheath was washed away during preparation, revealing many long root hairs extending from the main axis (diameter 0.6 mm). Root hairs allow this root to explore 21 times more soil volume than would be possible without hairs. A lateral root can be seen extending from the pericycle which surrounds the stele. (Photograph courtesy M. Watt)

Many roots form fine extensions to epidermal cells called root hairs, amplifying the effective surface area of the soil–root interface many times. Dittmer (1937) estimated that the surface area of root hairs in rye plants was more than that of the root axes on which they grew; similar observations have been made for trees. The aggregate length of root hairs in the rye plants studied by Dittmer increased 18 times faster than that of the main axes. Thus, up to 21 times more soil is explored when root hairs are present (Figure 4.12).

Root hairs are particularly important in taking up mineral nutrients that are not readily soluble and therefore not mobile in the soil solution, like phosphate. Measurements of the phosphate concentration in soil at different distances from roots show that soil phosphate is depleted only in the zone close to roots, the 1 mm zone, the typical length of root hairs (Figure 4.13).

Anchorage and extraction of inorganic soil resources both call for a large area of contact between roots and soil. However, this vast interface is much more than a neutral interface; events within it allow resources to be extracted from the most unyielding soils. Intense chemical and biological activity in a narrow sleeve surrounding roots, particularly young axes, give rise to a rhizosphere, the volume of soil influenced by the root, a concept first introduced in 1904 by Lorenz Hiltner (Hartmann et al. 2008). The rhizosphere has been estimated to contain up to 1011 microbial cells per gram of soil, and harbour up to or above 30,000 different microbial species, undoubtedly the moxt complex ecosystem on earth (Berendsen et al. 2012). The rhizosphere concept has been extended to include symbiotic mycorrhizal fungi associate with the root (See Section 4.3 on mycorrhiza), and this has been named the ‘mycorrhizosphere’, as most land plants are colonised by mycorrhizal fungi most of the time.

4.2-Ch-Fig-4.13.png

Figure 4.13 Young root tip with elongating root hairs. Root tip of Medicago truncatula showing the approximate zones of root elongation and differentiation relative to the tip. Root hairs are protuberances of epidermal cells that first emerge approximately 4 mm behind the root tip and elongate over the span of about two days until they are fully elongated in the differentiation zone of the root. (Photograph courtesy U. Mathesius)

4.2.1 - The rhizosphere

The rhizosphere is the narrow zone of soil surrounding plant roots that is characterised by root exudation and an abundance of micro-oganisms which can be beneficial or harmful to plants, or have no effect on root growth and function. These microbes are saprophytic, pathogenic or symbiotic bacteria and fungi, including rhizobia forming nodules and arbuscular mycorrhizal fungi (Figure 4.14).

4.2-Ch-Fig-4.14.png

Figure 4.14 The rhizosphere is the narrow zone of soil surrounding plant roots that is characterised by root exudation and an abundance of saprophytic, pathogenic and symbiotic bacteria and fungi. These include rhizobia that form nodules, and arbuscular mycorrhizal fungi (AMF). The rhizoplane describes the root surface in contact with the soil. Root cap and root border cells near the root tip provide lubrication as the root expands into the soil. (Reproduced by permission from Macmillan Publishers Ltd from L. Philippot et al. Nature Rev Microbiol 11: 789-799, 2013)

Many root phenomena suggest specific roles for the rhizosphere. For example, roots have long been thought to find a relatively frictionless path through soils because of exudation of organic substances and cell sloughing, but the chemical and physical processes that underpin this phenomenon are still quite unclear (McKenzie et al. 2012). Production of new roots around local zones of enrichment (Section 4.1) is made far more effective through rhizosphere activity associated with these young roots. Phosphate availability is particularly likely to be improved by the presence of a rhizosphere. Potential mechanisms will be discussed below.

Enhancement of root growth under conditions which favour high root:shoot ratios and the attendant rhizosphere surrounding those roots (rhizosheath) require a substantial input of organic carbon from shoots. Some is used in structural roles, while roots and microbes also require large amounts of carbon to sustain respiration. Even in plants growing in nutrient-adequate, moist soils, 30–60% of net photosynthate finds its way to roots (Marschner 1995). Carbon allocation to roots can be even greater in poor soils or during drought. The rhizosphere accounts for a large amount of the root carbon consumption (Jones et al. 2009). Barber and Martin (1976) showed that 7–13% of net photosynthate was released by wheat roots over three weeks under sterile conditions while 18–25% was released when roots were not sterile. This difference might be considered carbon released because of microbially-induced demand in the rhizosphere, and therefore made unavailable for plant growth.

4.2-Ch-Fig-4.15.png

Figure 4.15 Concentration of Enterobacter cloacae (RP8) around wheat roots when the bacterium was introduced by inoculating seeds (circles) or soil (triangles). Uninoculated controls are shown as diamonds. Approximately 3 mm of the soil around roots supports an elevated bacterial population (A.F. Dijkstra et al. Soil Biol Biochem 19: 351-352, 1987)

Rhizosphere chemistry and physics differ from the adjacent soil matrix and root tissues. Gradients in solutes, water and gases combine with microbial activity to produce a unique compartment through which roots perceive bulk soil. This zone of influence typically extends not more than 3 mm from the root axis (Figure 4.15), partly due to the low diffusion coefficients of most solutes that move through the rhizosphere (10–12 to 10–15 m2 s–1 for ions such as orthophosphates). Even a relatively mobile ion such as nitrate, with a diffusion coefficient (D) of around 10–9 m2 s–1 in soil solution, diffuses through about 1 cm of soil in a day. Because the time required (t) for diffusion of ions is a function of the square of distance traversed (l), where t = l2/D a nitrate ion would take four days to travel 2 cm, nine days to travel 3 cm and so on. Similarly, organic carbon diffuses away from roots only slowly, sustaining a microbial population as it is consumed in the rhizosphere.

Roots advancing through soil perceive a wide range of chemical and biological environments: a rhizosphere simultaneously fulfils buffering, extraction and defence roles allowing roots to exploit soils. A rhizosphere is thus a dynamic space, responding to biological and environmental conditions and often improving acquisition of soil resources. New roots develop an active rhizosphere which matures rapidly as the root axis differentiates.

4.2.2 - Rhizosphere chemistry

Photoassimilate diffuses from roots into the rhizosphere where it is either respired by microorganisms, volatilized, or deposited as organic carbon (‘rhizodeposition’). Some of this photoassimilate loss is in the form of soluble metabolites, but polymers and cells sloughed off the root cap also provide carbon substrates. Grasses undergo cortical cell death as a normal developmental process, providing further carbon substrates to support a rhizosphere microflora. Nitrogen and some other inorganic nutrients which are co-released with plant carbon are often reabsorbed by roots. Extraction of minerals from bulk soil also relies strongly on rhizosphere processes, especially near the root apices. Compounds exuded from roots interact with soil components in direct chemical reactions (e.g. adsorption reactions), through microbially mediated events (e.g. immobilisation reactions) and volatilisation. In addition, complex polysaccharides and glycoproteins of microbial and root origin give rise to a gelatinous mucilage which associates with soil particles to form a rhizosheath.

4.2-Ch-Fig-4.16.png

Figure 4.16 Roots of a young wheat plant showing soil attached to roots, the rhizosheath. Only the root tips, without hairs, have no rhizosheath. (Photograph courtesy E. Delhaize)

The rhizosheath is known as the soil that adheres to roots when they are removed from the pot or field Figure 4.16). The amount of soil can vary depending on how gently or roughly the roots are removed. For wheat, at least, the size of the rhizosheath correlates with root hair length. Mutants without root hairs have no rhizosheath. The distinction between the terms rhizosheath and rhizosphere are that the first term refers to the soil that physically adheres, and the second term the volume of soil influenced by the root. Mutants without root hairs would still have a rhizosphere of sorts since the root would still chemically influence its surrounding soil.

Rhizosheaths have physical and chemical implications for root function. Hydraulic continuity between soil and roots is, for example, thought to be enhanced by the hydrated mucigel, which facilitates water uptake by roots in dry soils. Negatively charged groups on side-chains of mucilagenous polysaccharides attract cations like Ca2+, providing exchange sites from which roots might absorb nutrients. The mucigel between the sloughed root cap and root border cells also acts as a lubricant for reducing penetration resistance of the expanding root tip in soil (McKenzie et al. 2012). For example, root elongation through hard soil is greatly reduced if the root cap cells are removed. Once the soil and the mucigel dry up, this lubrication effect is significantly reduced.

Such a diversity of chemical reactions in the rhizosphere is largely an outcome of the array of root-derived exudates. For example, phenolic compounds can be released by root cells in large amounts (Marschner 1995), both as a result of degradation of cell walls and from intracellular compartments. Flavonoids are a group of phenolics that can be specifically exuded into the rhizosphere as signal molecules to attract rhizobia (See section 4.4 on nitrogen fixation). Release of organic acids (principally citric, fumaric and malic acids) solubilises phosphate from surfaces to which they are adsorbed in many species, including those of the family Proteaceae. A modest release of organic acids accounting for about 0.1% of the root mass each week is sufficient to enhance phosphate acquisition in a selection of annual legumes (Ohwaki and Hirata 1992). In more extreme cases, up to a quarter of the dry weight of Lupinus albus plants is released from cluster roots, mostly as citrate (see Case study 4.1). Even the fungal hyphae of mycorrhizal eucalypt and pine roots can secrete photoassimilates, in the form of oxalic acid, causing phosphorus to be solubilised from insoluble calcium apatite (Malajczuk and Cromack 1982).

The main families of low molecular weight compounds which react with inorganic ions are phenolics, amino acids and organic acids. Heavy metals such as aluminium, cadmium and lead are complexed by phenolics, affecting the mobility and fate of these ions in contaminated soils. Flavonoids can chelate iron and make iron oxides available to plants. Manganese is complexed by organic acids, as are ferric ions, which also interact chemically with phenolic compounds and amino acids. For example, highly specialised amino acids (phytosiderophores) can complex ferric ions and enhance uptake from soils by rendering iron soluble. Low iron status actually stimulates release of phytosiderophores into the rhizosphere (Marschner 1995). Other metals such as zinc and copper might also be made more available to the plant through the chelating action of phytosiderophores. Chemical processing by chelating agents is dependent on plant perception of nutrient deficiencies, leading to an ordered change in rhizosphere chemistry. A significant demand on photoassimilates is required to sustain chelation of nutrient ions.

Enzymes are also released from roots, particularly phosphatases, which cleave inorganic phosphate from organic sources. The low mobility of orthophosphates means that phosphatases can be an important agent in phosphorus acquisition, especially in heathland soils where the native phosphorus levels are low relative to the phosphorus-rich remnants of decaying plant material.

pH is another important rhizosphere property. Roots can acidify the rhizosphere by up to two pH units compared to the surrounding bulk soil through release of protons, bicarbonate, organic acids and CO2 (Figure 4.17). In contrast, the rhizosphere of roots fed predominantly with nitrate was more alkaline than bulk soil. A distinct rhizospheric pH arises because of the thin layer of intense biological activity close to roots, especially young roots. In addition to proton fluxes, release of CO2 by respiring roots and microbes is likely to cause stronger acidification of the rhizosphere near root apices where respiration is most rapid.

4.2-Ch-Fig-4.17.png

Figure 4.17 Root-induced changes in the rhizosphere. a, Oxygen profiles across a growing root of Juncus effusus (in white). b, pH profiles across growing roots of intercropped durum wheat (dashed white) and chickpea (solid white). (Adapted from L. Philippot et al. Nature Rev Microbiol 11: 789-799, 2013, S. Blossfeld et al. Soil Biol Biochem 43: 1186-1197, 2011, and S. Blossfield et al. Ann Bot 112: 267-276, 2013, with permissions respectively from Macmillan Publishers Ltd, Elsevier, and Oxford University Press)

Rhizosphere acidification affects nutrient acquisition by liberating cations from negative adsorption sites on clay surfaces and solubilising phosphate from phosphate-fixing soils. Furthermore, micronutrients present as hydroxides can be released at low pH, conferring alkalinity tolerance on those species with more acidic rhizospheres. So, the rhizosphere is a space which ensheathes particularly the youngest, most active parts of a root in a chemical milieu of the root’s making. In this way, acquisition of soil resources is strongly controlled by processes within roots. Local variations within soil are buffered by rhizosphere chemistry, enabling roots to exploit heterogeneous soils effectively.

4.2.3 - Rhizosphere biology

4.2-Ch-Fig-4.18.png

Figure 4.18 Mature rhizosphere from roots of clover (Trifolium subterraneum L.). The outer cortex has been crushed and epidermal cells (EP) have become distorted, leading to leakage of substrates into the rhizosphere. The rhizosphere is rich in microorganisms with bacteria (B) clearly visible. Soil (Q) and clay (CL) particles are held together in the inner rhizosphere by a mucilage of polysaccharides. Sustained losses of carbon required to maintain this microflora are thought to come from exudation and senescence of root cells. (× 10,000) (Courtesy R.C. Foster, A.D. Rovira and T.W. Cock)

Microbial activity, sustained by photoassimilates secreted from roots, contributes substantially to rhizosphere properties. The level of microbial activity is also influenced by availability of nitrogen as a substrate for microbial growth. Soils with high fertility and biological activity have microbial densities 5–50 times greater in the rhizosphere than in bulk soil. The diversity of rhizosphere microflora is spectacular (Figure 4.18) and still incompletely described. An initial hurdle in the identification of rhizosphere microbes was the fact that most of them are unculturable on most known growth media. Metagenomics allows species to be sequenced from soil samples without culturing, largely overcoming this bottleneck. Next Generation sequencing studies of microbes present on root surfaces and in the rhizosphere soil have discovered thousands of different bacterial and fungal species living in close association with plant roots (e.g. Bakker et al. 2013; Bulgarelli et al. 2012; Lundberg et al. 2012). Some of these are very abundant and found in association with many plant species, others are less abundant and highly variable (Figure 4.19).

4.2-Ch-Fig-4.19.png

Figure 4.19 The composition of the bacterial community in the rhizosphere. The figure shows examples of the composition of the bacterial community in the rhizosphere of three maize genotypes (Mo17, B73 and III14h) and of sugarbeet. The distribution of the different bacterial phyla is based on data obtained by 454 sequencing (maize) and G3 PhyloChip analyses (sugarbeet). The bacterial community composition was characterized in the rhizosphere of 27 maize genotypes cultivated in five fields located in three states in the USA. Here, three genotypes displaying contrasted rhizosphere microbiota in a given field are depicted for illustration and the sugar beet rhizosphere microbiota presented is from seedlings grown in a disease-conducive soil in The Netherlands. (Reproduced by permission from Macmillan Publishers Ltd from L. Philippot et al. Nature Rev Microbiol 11: 789-799, 2013)

These microbes can almost be viewed as an extension of the plant into the soil. Like the human gut microbiome, the plant rhizosphere microbiome appears to be an essential part of the plant with multiple functions in nutrition and pathogen defense; it is inseparable from the plant and has been dubbed the plants second genome. The rhizosphere community is highly structured and not a random collection of species – it is strongly influenced by plant species and even ecotypes, by the type of the soil, availability of nutrients and the exudation of chemicals from the root (Bakker et al 2013). Plant mutants with altered chemical composition of root exudates have been found to attract significantly altered microbial communities. It will be fascinating to discover to what extent this is an active strategy of the plant to attract the most appropriate rhizosphere microbiome to help the plant survive in a given environment.

Rhizosphere microorganisms are also not uniformly distributed along roots. Apices are almost free of microbes but densities can increase dramatically in subapical zones. Very mature root axes with lateral branches are sparsely populated with microbes. Even within these zones, there are large variations in distribution, with radial epidermal walls of roots secreting exudates which can support huge microbial populations, up to 2 × 1011 microbes cm–3. Composition of microbial communities varies with their distribution along the root as well, likely reflecting different nutrient sources along the root. Fluorescence in situ hybridization (FISH) can be used to visualise different taxa of bacteria on the root surface (rhizoplane; Figure 4.20).

4.2-Ch-Fig-4.20.png

Figure 4.20 Arabidopsis root-inhabiting bacteria are detectable on the rhizoplane. a to e, Scanning electron micrographs of bacteria-like structures. Bars, 1 mm. f to j, Detection of bacteria by fluorescence in situ hydridisation (FISH) using probes against specific bacterial groups (bacteria in green due to AlexaFluor488) on the root surface (red, root autofluorescence) by confocal laser scanning microscopy. f, Most Eubacteria detected with probe EUB338. g, Negative control with reverse complementary probe of EUB338 (NONEUB). h, Betaproteobacteria detected with probe BET42a. i, Bacteroidetes detected with probe CF319a. j, Actinobacteria detected with probe HGC69a. Bars, 20 mm. (Reproduced by permission from Macmillan Publishers Ltd from D. Bulgarelli D et al., Nature 488: 91-95, 2012)

Roots do of course influence adjacent soil throughout their length by setting up gradients of water, gases and ions. For example, in waterlogged soils leakage of O2 from aerenchymatous roots leads to oxidation of metal ions and local build up of aerobic microflora around roots of agricultural plants (Chapter 18). In general, however, the most active microbial populations and rates of chemical transformation in the rhizosphere occur in the subapical zones of the root. In supporting these processes, root-associated microbes metabolise inorganic nitrogen, depositing protein nitrogen in the process of immobilisation. Microbial activity also produces plant growth regulators such as auxin, cytokinins and gibberellins, sometimes in amounts sufficient to influence root morphogenesis. Ethylene can also be produced by rhizospheric fungi, potentially influencing root morphological changes such as lateral root initiation. Some bacteria have been found to promote plant growth by reducing ethylene levels around roots through production of an enzyme degrading an ethylene precursor, 1-aminocyclopropane-1-carboxylate (ACC) deaminase.

4.2.4 - Costs and benefits of a rhizosphere

Root function and overall plant performance can benefit conspicuously from processes in the rhizosphere. Infection by rhizobia (Section 4.4) and mycorrhizal fungi (Section 4.3) improve the nutritional status of many species. Rhizobial strains have even been used to manipulate rhizosphere biology. A significant proportion of photoassimilate is used to support a rhizosphere, reflecting the high cost of microbial activity and polymer exudation. This pattern is repeated in many species with up to 20% of plant carbon consistently lost by roots, however, this value can vary substantially with the biotic and abiotic conditions. Relative rates of microbial and root respiration are almost impossible to estimate in roots growing in undisturbed soils because of the intimacy of roots and microbes. In addition to consuming large amounts of plant carbon, some microbes can produce phytotoxins, which can impose further restrictions on root function. Some microbes also contribute to nutrient depletion in the rhizosphere, for example by converting usable forms of nitrogen, i.e. nitrate or ammonium, into unusable forms like N2.

Mechanisms describing how a rhizosphere benefits its host are even more elusive because of the diversity of reactions in such a small space. Chelation is identified as a major influence on nutrient acquisition and might also help ameliorate ion toxicities. Physical properties of the rhizosphere are even less well understood, with questions such as root lubrication, root–mucilage shrinkage and interfacial water transport not yet resolved. Physical properties of mucilage do not suggest it is an ideal lubricant. Whether the dynamic properties of a rhizosphere bring constant benefits to a plant or simply passively coexist with growing roots remains a critical question.

One demonstrated benefit of the rhizosphere microbiome is the protection of the plant from diseases. Several mechanisms have been suggested for this effect (Bakker et al. 2013; Berendsen et al. 2012): Disease suppressiveness, the ability of the microbial inhabits of the rhizosphere to suppress the infection of plants by soil-swelling pathogens, has been ascribed to the production of antimicrobial substances by bacteria, to competition between beneficial and pathogenic microbes and to the induction of systemic resistance by beneficial bacteria. An intriguing example is the colonization of plants by pathogens, which can lead to changes in the exudation of organic acids that then attract beneficial bacteria that induce systemic resistance in the plant, reducing pathogen infection. The induction of systemic resistance to pathogens can also be triggered by specific signaling molecules of bacteria, quorum sensing signals, which bacteria used to ‘talk’ to each other to coordinate multicellular-like behaviours of bacterial colonies. Perception of quorum sensing signals from rhizosphere bacteria by plants can increase systemic resistance to pathogens in the shoot, and can also enhance symbiosis with nitrogen-fixing bacteria. Quorum sensing signal perception also triggers the production of so called quorum sensing mimic compounds – signals that interfere with bacterial communication in the rhizosphere (Teplitski et al. 2011). While we still need to identify most of the signals, signal mimics and exudate components in the interaction of roots with their microbiome, it is clear that plants actively create the rhizosphere, and that this is likely to benefit the plant in its environment.

4.3 - Mycorrhizal associations

Megan H Ryan1 and Mark C Brundrett1,2
1School of Plant Biology, University of Western Australia; 2Department of Parks and Wildlife, Western Australia.

The roots of around 90% of higher plants form a symbiotic association with mycorrhizal fungi (Figure 4.21). These fungi colonise roots, with the colonised root being termed a “mycorrhiza”. The fungi benefit from the provision of plant carbon. The host plant may benefit in many ways, but the primary benefit is most often the ability to access inorganic nutrients from soil beyond the rhizosphere due to their transport into the root by hyphae of the fungi. Mycorrhizal associations are present in plants in both natural ecosystems and modern agricultural systems; although their occurrence in the latter may be reduced by common management practices, especially the addition of fertiliser.

4.3-Ch-Fig-4.21.png

Figure 4.21 Relative importance of mycorrhizal associations for all flowering plants. About 94% of plants can form mycorrhizas of various types. Arbuscular mycorrhizas (AM) are the most common type. Shown in light green are the 8% of species with inconsistent associations that vary with habitat or soil conditions and can be nonmycorrhizal or AM. (Based on Brundrett 2009)

Mycorrhizal fungi are thought to have aided the first plants to colonise land, but most or all species in some plant genera have subsequently lost the ability to form mycorrhizas (e.g. Lupinus, Brassica and Banksia). Nonmycorrhizal plants may have roots that are consistently free of mycorrhizal fungi or have inconsistent associations. The former tend to have alternative nutrition strategies, the latter occur in soils where fungal activity is inhibited, at least part of the time. On a global scale, nonmycorrhizal plants tend to be more common in colder arctic and alpine habitats, and wetland and aquatic habitats, as well as in saline soils and arid habitats (Figure 4.22). These habitats also include many plants with facultative mycorrhizal associations that are present in some cases and not others (called “nonmycorrhizal or AM” in Figure 4.21). In other cases, plants loose the capacity to form mycorrhizas because they are redundant. These include parasites and carnivores, which do not need to acquire nutrients directly from soil (Figure 4.22).

4.3-Ch-Fig-4.22.png

Figure 4.22 Categories and numbers of nonmycorrhizal plants. Most nonmycorrhizal plants occur in specialized habitats where fungal activity is likely to be restricted or have specialized nutritional uptake mechanisms such as carnivory, parasitism or cluster roots. (Data from M. Brundrett, Plant Soil 320: 37-77, 2009)

4.3.1 - Main types of mycorrhizas

Mycorrhizal associations are classified according to the way in which the fungi interact with the host plant root, in particular, the structure of the interface that forms between host cells and fungal hyphae. This classification leads to a number of distinct types of mycorrhizal association, as defined in Table 4.1. However, only two of these are widely distributed in the plant kingdom: arbuscular mycorrhizas (AM) and ectomycorrhizas. Orchid and ericoid mycorrhizas are confined to genera within the Orchidaceae and Ericaceae families, respectively.

Mycorrhizal types generally form with a characteristic group of plant species, but there are occasional examples of overlap, such as many Australian plants in the families Fabaceae and Myrtaceae, which have both arbuscular mycorrhizas and ectomycorrhizas. Arbuscular mycorrhizas occur in a vast array of herbaceous genera. In fact, as shown in Figure 4.21 above, some 75% of all plant species form arbuscular mycorrhizas, including most major crop species, that is, all cereals and most grain legumes and pasture legumes.

Table 4.1 shows that the main types of mycorrhizas differ in host preference and in the structures they form during association with the host root, but they are similar in the ways by which they enhance host plant nutrition. Each type of mycorrhiza can be formed by many species of fungi and a single root may often be colonised by more than one species.

Plants with arbuscular mycorrhizas are common in most ecosystems, but are more likely to be dominant in regions of relatively high mean annual temperatures and rates of evapotranspiration, where phosphorus availability is often the major limiting factor for plant growth. However, in some soils with very low phosphorus availability, nonmycorrhizal plant species with cluster roots may be locally dominant and these plants seem to be more efficient at obtaining phosphorus from these soils than mycorrhizal species (e.g. south west Western Australia).

Ectomycorrhizas are most common in tree species, but also occur in some shrubs. In the Northern hemisphere, ectomycorrhizal associations are typically dominant in boreal forests where temperatures and evapotranspiration are relatively low, leading to slow rates of decomposition and accumulation of plant litter in soil and low nitrogen availability. However, ectomycorrhizal plants are also dominant or co-dominant in many other temperate forests, as well as some tropical and subtropical areas, where soil properties are not substantially different from habitats where only arbuscular mycorrhizal plants occur.

Each type of mycorrhizal association has evolved separately to enhance growth and survival of both the host plants and the mycorrhizal fungi. While the primary role of these associations is to increase nutrient supply to the host plant, mycorrhizas have also been shown under some circumstances to enhance plant water status, confer protection against root pathogens, contribute to soil structure through hyphal binding of soil particles and other processes, and render plants less susceptible to toxic elements. The relative importance of these secondary roles is very difficult to determine since they are difficult to separate from nutritional benefits to plants in experiments and they will not be considered in detail here.

4.3.2 - Development and structure of mycorrhizas

4.3-Ch-Fig-4.23.jpg

Figure 4.23 Schematic diagram of an arbuscular mycorrhiza. (Courtesy M. Brundrett)

Arbuscular mycorrhizal associations are formed by fungi from division Glomeromycota, class Glomeromycetes. DNA sequence evidence shows they are closely related to the Zygomycota. These fungi simultaneously exist in both the soil and roots, with different forms of hyphae in each environment, as shown in the diagram below (Figure 4.23).

During the infection process, fungal hyphae penetrate the epidermal cell layer, often forming distinctive large hyphae within the root at the point of entry (Figure 4.24). From the entry point, hyphae then spread through the root cortex by growing either through the intercellular spaces or from cell to cell by penetrating the cell walls. Hyphae do not, however, penetrate the endodermis or enter the stele.

4.3-Ch-Fig-4.24.png

Figure 4.24 Left, Root of clover (Trifolium subterraneum) colonised by an arbuscular mycorrhizal fungus. The fungus has formed thick entry hyphae in the epidermis before spreading through the cortex cells, forming an arbuscule (A) in many cortex cells and some vesicles (V). Roots were cleared (to make them transparent) and then stained with Trypan blue. Right, Root of leek (Allium porrum) colonised by indigenous mycorrhizal fungi showing hyphae, arbuscules and many large vesicles. (Photographs courtesy M. Brundrett)

Within individual cortex cells, hyphae may form a distinctive structure called an arbuscule. From the base of each arbuscule, hyphae repeatedly branch, becoming thinner and thinner as they do so (Figure 4.25). The host cell plasma membrane is never penetrated by the fungus.

4.3-Ch-Fig-4.25.jpg

Figure 4.25 Longitudinal view of a mature arbuscule of an arbuscular mycorrhizal fungus which has formed in a root cortical cell of leek (Allium porrum). Roots were cleared, stained with Chlorazol black E and viewed with interference contrast microscopy. (Photograph courtesy M. Brundrett)

Thus in a cell with an arbuscule, the host cell plasma membrane remains intact and functional, but proliferates to surround the arbuscular branches (Figure 4.26). The highly-branched nature of arbuscules is thought to increase the surface area to volume ratio of the host plant plasma membrane by up to 20-fold, relative to unoccupied root cells, thus providing an extensive interface across which nutrient exchange can take place (Figure 4.26).

4.3-Ch-Fig-4.26.png

Figure 4.26 A transverse view of cortex cells in frozen roots of white clover (Trifolium repens) colonised by indigenous arbuscular mycorrhizal fungi. In uncolonised cells (UC), the plasma membrane is so closely aligned to the cell wall that it cannot be distinguished and what can be seen inside the cell are dots and lines formed by solutes frozen in the cell vacuole. However, some cells contain the many small hyphae of mature arbuscules (Arb) which have the plasma membrane encasing them and large hyphae are evident occupying most of the intercellular spaces surrounding these cells (arrows). Roots were frozen in liquid nitrogen and viewed using cryo-scanning electron microscopy. (Photograph courtesy M. McCully)

When we consider that all fungal biomass was built using plant carbon, it becomes evident that considerable carbon is needed to maintain the symbiosis.

Arbuscular mycorrhizal fungi store the carbon they obtain from the host plant root primarily in the form of lipids. Lipids are particularly dense in vesicles and spores, which also act as inoculum. Vesicles and spores may form within or outside of roots and often develop most prolifically when roots begin to senesce. The morphology of the fungal infection, particularly the vesicles and spores, differs with the species of fungi.

Ectomycorrhizal symbioses are formed primarily by higher fungi in the Basidiomycotina and Ascomycotina, which form mycorrhizas with the short lateral roots of trees (Table 4.1). Unlike arbuscular mycorrhizas and ericoid mycorrhizas, hyphae of ectomycorrhizal fungi do not normally penetrate host cell walls. Rather, they form an entirely extracellular interface, with highly branched hyphae growing between epidermal or cortical cells, forming a network known as the Hartig net (Figure 4.27).

4.3-Ch-Fig-4.27.png

Figure 4.27 Schematic diagram of an ectomycorrhiza showing structures visible in the soil at three levels of magnification (Diagram courtesy M. Brundrett)

In Gymnosperms such as Pinus, the Hartig net may extend through most of the root cortex, but in most Angiosperms it is confided to the epidermis (Figure 4.28). In both cases, the highly branched hyphae of the Hartig net provide a substantial surface area for nutrient exchange between the fungus and the plant. Ectomycorrhizas are further differentiated from the other mycorrhizal types by the fact that the fungus usually forms a dense hyphal mantle around each short lateral root, greatly reducing its contact with the soil (e.g. Figure 4.28).

4.3-Ch-Fig-4.28.png

Figure 4.28 Transverse section of ectomycorrhizas showing labyrinthine Hartig net hyphae (arrows) in roots of Pinus sp. (left) and Populus sp. (right). Fungal hyphae are structurally modified, making intimate contact with root cortex (C) (left) or epidermal cells (E) (right) and enabling exchange of resources through the interface between fungus and host. A mantle of fungal hyphae (M) surrounds both roots. (Photographs courtesy M. Brundrett)

Orchid mycorrhizal associations consist of coiling hyphae within cells of a root or stem (Figure 4.29). The most common fungi involved are members of the Rhizoctonia alliance, but ectomycorrhizal fungi are also found in some orchids, especially in achlorophyllous species lacking photosynthesis. A key feature of orchid mycorrhizas is the capacity of fungi to germinate the tiny seeds of orchids to form tiny protocorms which lack roots or leaves. It is thought that orchids start out by exploiting fungi, but then may develop more mutualistic associations as they grow larger and develop leaves.

4.3-Ch-Fig-4.29.png

Figure 4.29 Orchid mycorrhizal association in the underground stem of an Australian greenhood orchid (Pterostylis sanguinea). This cross section is stained by Trypan blue and shows individual cells filled with densely packed hyphal coils (arrow). (Photograph courtesy M. Brundrett)

Ericoid mycorrhizal fungi (largely ascomycetes) form an interface within cells, consisting of dense hyphal coils which are surrounded by host plasma membrane which is similar to orchid mycorrhizas (Figure 4.30). Many members of the Ericaceae host these associations in very fine lateral roots called hair roots, which are only a few cells wide (Figure 4.30).

4.3-Ch-Fig-4.30.png

Figure 4.30 Several hair roots of Leucopogon verticillata, an Australian member of the Ericaceae, with nearly every cell containing intracellular hyphal coils of an ericoid mycorrhizal fungi (arrows). Many soil hyphae can also be seen leaving the hair roots. Hair roots stained with Chlorazol black E and viewed with interference contrast. (Photograph courtesy M. Brundrett)

4.3.3 - Functional aspects of mycorrhizas

The association between fungus and plant delivers nutrients to the host plant via: (a) mobilisation and absorption by fungal mycelia in the soil; (b) translocation to the fungus–root interface within the root and (c) transfer across the fungus–root interface into the cytoplasm of root cells. As shown in Figure 4.31, both roots and mycorrhizas can absorb nutrients such as phosphorus from the soil, so plants with highly branched fine roots and long root hairs are less likely to benefit substantially from mycorrhizal associations.

4.3-Ch-Fig-4.31.png

Figure 4.31 Diagrammatic summary showing the impact of roots hairs or arbuscular mycorrhizal fungal hyphae on phosphorus uptake from the soil. Compare the upper and lower pairs of drawings to see how soil hyphae increase the size of phosphorus depletion zones in soil much more if plants lack highly branched roots with long root hairs. (Based on Brundrett et al. 1996)

4.3-Ch-Fig-4.32.png

Figure 4.32 Root hairs of an Australian sundew (Drosera erythrorhiza), a carnivorous plant with nonmycorrhizal roots that have extremely long root hairs (1 mm) in relation to the diameter of the root. (Photograph courtesy M. Brundrett)

The majority of plants in natural ecosystems have relatively thick and unbranched roots without long root hairs so are likely to be highly dependent on mycorrhizal associations in the soils where they normally grow. Some crop and garden plants, such as many grasses and members of the Brassicaceae have long root hairs so tend to benefit less from mycorrhizas or have nonmycorrhizal roots (e.g. Figure 4.32).

(a) Nutrient uptake from the soil by the fungi

In addition to hyphae in direct contact with the root surface, all mycorrhizal fungi produce soil hyphae (extramatrical mycelium) which extend into the surrounding soil. Both arbuscular mycorrhizal and ectomycorrhizal fungi can produce copious soil hyphae, that extends well beyond the nutrient depletion zone for immobile nutrients around individual roots and display a complex architecture that renders them an efficient nutrient-collecting and transport network (Figure 4.33). The soil hyphae of many ectomycorrhizal fungi form hyphal aggregations, known as mycelial strands and rhizomorphs, that play a major role in transport of inorganic nutrients or photoassimilates.

4.3-Ch-Fig-4.33.png

Figure 4.33 Abundant mycelium (M) of Scleroderma forms a sheath (S) around roots of an eucalypt and explores surrounding soil (E). These ectomycorrhizas benefit the host through enhanced nutrient uptake (especially phosphorus) from surrounding soil. (Photograph courtesy I. Tommerup)

Extramatrical mycelium is also primarily responsible for spread of the association to new roots and translocation of energy from the plants for fungal reproduction. Fungi forming mycorrhizal associations can also spread by germination of wind or animal dispersed spores and, in some cases, from old root pieces.

In arbuscular mycorrhizas, fine highly branched soil hyphae (diameter 1–5 µm) provide surface area for nutrient absorption, while larger diameter hyphae (up to 10 µm) form a transport network in the soil for moving solutes from bulk soil to the root (Figure 4.34). Absorption of phosphate by the fungus is maximised by the action of a high-affinity transporter which is expressed only in the soil hyphae of arbuscular mycorrhizal fungi during symbiosis with the plant. The fungi take up inorganic phosphate and quickly convert it to polyphosphate, a macromolecule where the charge of the phosphate ions is balanced by cations including those of potassium and magnesium. Polyphosphate allows phosphorus to be transported to the plant without affecting hyphal osmotic balance. For instance, within the root, concentrations of phosphorus in hyphae may be up to 350 mM, but plant cell vacuoles generally have < 10 mM. Once the polyphosphate reaches an arbuscule in the plant root it is converted back to phosphate and released into the peri-arbuscular space where it is absorbed by the host plant. Active transporters in the host cell plasma membrane maintain a concentration gradient across the plant-fungus interface.

4.3-Ch-Fig-4.34.png

Figure 4.34 Soil hyphae of an arbuscular mycorrhizal fungus growing through the surrounding rhizosphere soil and forming spores. Such hyphae ramify through the soil and likely influence soil chemistry and microbial functioning. Root stained with Chlorazol black E. (Photograph courtesy M. Brundrett)

Many experiments have demonstrated a relationship between arbuscular mycorrhizal infection and improved plant phosphorus status, particularly under glasshouse and laboratory conditions (Figure 4.35). Arbuscular mycorrhizal fungi do not appear to have access to sources of soil phosphorus that are otherwise unavailable to nonmycorrhizal roots. Thus, increased plant absorption in the presence of arbuscular mycorrhizal fungi of phosphorus, nitrogen and other macronutrients such as calcium and sulphur, and micronutrients including zinc and copper, seems to primarily reflect the increased absorptive surface of the soil hyphae. However, soil hyphae also provide a conduit for rapid transport of carbon from plants into soil and there is evidence that hyphal exudation may promote breakdown of organic nutrient sources by other microorganisms (see below). Note that the effects of individual species or strains of fungi on plant nutrition will vary, in part due to different morphology of soil hyphae. Under some circumstances, the presence of arbuscular mycorrhizal fungi may decrease plant growth especially in heavily fertilised crop plants.

4.3-Ch-Fig-4.35.png

Figure 4.35 The typical growth response for an Australian Cassia species to inoculation with arbuscular mycorrhizal fungi. The greater shoot dry weight of the inoculated plants is due to the fungi enhancing plant uptake of phosphorus. There is no benefit for the plant from the fungi at the lowest level of phosphorus as the fungi are also likely limited by phosphorus, but benefit is substantial at low-intermediate phosphorus levels. (Based on Brundrett et al. 1996, data courtesy of David Jasper and Karen Clarke)

The soil hyphae of ectomycorrhizal fungi increase the absorptive area of a root system substantially, extending the volume of soil explored by the host plant and consequently the quantity of minerals available. Ectomycorrhizal fungi, however, use additional strategies to enhance nutrient acquisition. Some secrete extracellular proteinases, peptidases, phosphomonoesterases and phosphodiesterases that effectively hydrolyse organic nitrogen and phosphorus sources to liberate some nitrogen and phosphorus compounds which can be absorbed by the fungi. Some ectomycorrhizal fungi produce hydrolytic enzymes within the cellulase, hemicellulase and lignase families that may facilitate hyphal entry to moribund plant material in soil and access to mineral nutrients sequestered therein. In these ways, ectomycorrhizal fungi short-circuit conventional nutrient cycles, releasing nutrients from soil organic matter with little or no involvement of saprotrophic organisms. Ectomycorrhizal fungi also release siderophores capable of complexing iron and oxalate to improve potassium uptake and have also been implicated in promoting weathering of rocks to release mineral nutrients for plants.

(b) Carbon uptake from the plant by the fungi

Arbuscular mycorrhizal fungi depend completely on the host plant for carbon and are unable to grow without being associated with a host plant. This has made the culture of these fungi difficult and proved a significant barrier to development of cheap technologies for inoculation (as might be desirable in land rehabilitation or agriculture) on a large scale. Transfer of carbon from the host to an arbuscular mycorrhizal fungus likely takes place in the arbuscule where the plant releases simple sugars (hexoses) which are absorbed by the fungi. These sugars are rapidly converted into trehalose, glycogen and lipids. The lipids and, to a lesser extent, glycogen are transported to the soil hyphae. Once in the soil hyphae, lipids are progressively broken down into hexoses and trehalose and used to fuel the growth of the fungus. As the lifecycle of the fungus progresses, large amounts of lipid are stored, particularly in vesicles and spores which may be inside or outside of the roots.

In contrast to arbuscular mycorrhizal fungi, ectomycorrhizal fungi can utilise carbon substrates other than those provided by the host plant. It seems that most ectomycorrhizal fungi have some ability to use lignin and cellulose, along with various other substrates including starch, glycogen and sugars such as glucose. Ability to utilise various substrates differs among fungal species. As a result of these abilities, ectomycorrhizal fungi are able to be isolated and grown in culture. For ectomycorrhizal fungi associated with host roots, sucrose is thought to be hydrolysed in root cell walls and glucose to be then absorbed by hyphae from the interface apoplasm.

It has been estimated that 20-50% of plant photosynthate is allocated to mycorrhizal fungi, much of which is allocated to soil hyphae. The soil hyphae of the fungi exude carbon compounds which will influence soil processes including the growth, composition and function of the soil microbial community. Recent research suggests that roots and mycorrhizas may differentially affect soil carbon pools. Thus, overall, the fungi provide a significant pipeline for the movement of carbon from the plant shoot into the soil and may greatly influence soil processes and microbial activity both within and away from the rhizosphere. Indeed, it is now thought that the fungi may significantly influence the global carbon cycle (e.g. their cell walls include some components that are very slow to decompose in soils). In addition, some compounds exuded by the soil hyphae of mycorrhizas, such as glomalin, play an important role in maintenance of soil structure through gluing together soil particles, especially in sandy soils. In addition, colonisation can change the amount and composition of compounds exuded by roots. For instance, the presence of arbuscular mycorrhizal fungi can result in the amount of carboxylates in the rhizosphere being reduced by 50% or more (Figure 4.36). Carboxylates are low molecular weight organic anions which are thought to play a role in release of highly sorbed phosphorus into forms that plant roots or the hyphae of arbuscular mycorrhizal fungi can absorb. Hence, the presence of the fungi enhances the ability of the host to access orthophosphate, but perhaps at the expense of its ability to release phosphorus from sorbed sources.

4.3-Ch-Fig-4.36.png

Figure 4.36 Amount of carboxylates in the rhizosphere of 12 species of Kennedia grown with and without mycorrhizal fungi. (Adapted from Ryan et al. 2012)

Overall, there are many fascinating complexities to the relationships among host plants, fungi, nutrients such as phosphorus and nitrogen, carbon and the soil microbial community. For instance, plants make “trade-offs” among nutrient acquisition strategies, probably due to the carbon costs of each strategy. For example, colonisation by arbuscular mycorrhizal fungi often results in a reduction in root / shoot ratio, and root hair production and fine root production tends to be greater in nonmycorrhizal plants. While there are substantial costs to plants in supporting mycorrhizal associations, the cost of producing roots that function well without them seems to be even greater. Overall, the best evidence that mycorrhizal roots are more efficient than nonmycorrhizal roots is provided by the data in Figures 4.21 and 4.22. This global dataset shows that mycorrhizal plants are normally dominant in ecosystems, with the exception of habitats where conditions are likely to suppress fungal activity (e.g. waterlogged, saline, or very cold soils and epiphytic habitats).

Case Study 4.2 - Regulation of legume nodule numbers

Brett J Ferguson and Peter M Gresshoff, Centre for Integrative Legume Research, University of Queensland, Australia

Forming nodules and supplying rhizobia with food for nitrogen fixation are energy demanding processes for the host plant. As a result, legumes have developed innate mechanisms to balance their need to acquire nitrogen with their ability to expend energy (reviewed in Ferguson et al. 2010; Reid et al. 2011).

Nitrogen availability: why form nodules when there is plenty of nitrogen available?

When ample nitrogen is available in the soil, legume plants require fewer nodules to meet their nitrogen demands. Accordingly, they have an inbuilt mechanism in the root to detect the nitrogen content of the surrounding soil. Nitrogen-based compounds, such as nitrate, trigger the production of a small, hormone-like peptide signal, called Nitrate-Induced CLE 1 (NIC1) in soybean. NIC1 is predicted to be perceived by the receptor, Nodule Autoregulation Receptor Kinase (NARK). This perception results in the production of a novel inhibitor signal that acts locally in the root to prevent further nodulation events.

Stress: nodulation is a luxury for a stressed plant.

Nodulation is reduced in plants experiencing stress. This likely helps the plant to conserve its resources for combating the stress and for all-important seed development. To date, a number of stress-related factors have been found to inhibit nodule formation locally in the root, including ethylene, salicylic acid and various reactive oxygen species (reviewed in Ferguson and Mathesius 2014). Acidic soil conditions also reduce nodulation, with low pH also causing elevated soil Al3+ levels that negatively affect root growth.

Autoregulation of nodulation: too much of a good thing is not good.

Less than 10% of rhizobia infection events result in the formation of a fully-developed nodule. This is largely due to the Autoregulation Of Nodulation (AON) mechanism that the host plant uses to control its nodule numbers (reviewed by Ferguson et al. 2010; Reid et al. 2011). Mutant legume plants lacking a functional AON pathway are unable to regulate their nodule numbers and as a result exhibit a supernodulation phenotype (i.e. they develop an excessive number of nodules, with up to 25,000 per plant scored, Figure 1). When these supernodulating mutants are induced to form nodules, they are typically reduced in stature and often yield about 20 – 30% less, likely a direct result of their resources being used to form excess nodule structures (Figure 1).

4.3-CS-Fig-1.png

Figure 1 Legume nodulation and autoregulation. A, Soybean plants grown in nitrogen-poor conditions. Wild-Type (WT) plants form functional root nodules when inoculated with compatible, nitrogen-fixing, Bradyrhizobium japonicum. Non-nodulating mutant plants are unable to form nodules (nod-) and supernodulating mutant plants (nod++) are unable to regulate the number of nodules they form. B, Roots of wild-type (WT) and supernodulating mutant (nod++) common bean plants exhibiting mature nodule structures.

The AON process is triggered within hours of rhizobia inoculation. It involves long-distance signalling between the root and shoot, commencing with the production of a root-derived signal (Figure 2). Recent work has indicated that this signal is a CLE peptide hormone, highly similar to NIC1. In soybean, two candidate CLE peptide signals have been identified and are called Rhizobia Induced CLE1 (RIC1) and RIC2. The use of grafting and over-expression experiments demonstrated that RIC1 and RIC2 travel to the shoot, likely via the xylem. They are thought to be perceived in the shoot by the same receptor kinase that detects NIC1 in the root, namely NARK, possibly in combination with other receptors, such as CLAVATA2 and KLAVIER. Indeed, this has now been confirmed for orthologous peptides of Lotus japonicus, called LjCLE-RS1 and 2, which travel in the xylem and are perceived by the orthologue of NARK in L. japonicus, HAR1 (Okamoto et al., 2013). The peptides are post-translationally modified with three arabinose sugars attached to a central proline residue, likely by an arabinotransferase encoded by the NOD3/RDN1 gene in Pisum sativum and Medicago truncatula (Ogawa-Ohnishi et al. 2013). Key domains and amino acid residues of soybean RIC1 that are required for effective suppression of nodulation have also been identified. Perception of either RIC1 or RIC2 triggers the production of a new signal, called the Shoot Derived Inhibitor (SDI). SDI is subsequently transported down to the root where it acts to inhibit further nodulation events (Figure 2).

4.3-CS-Fig-2.png

Figure 2 Regulation of legume nodule development. Legume roots exude flavonoid molecules, which attracts compatible rhizobia and triggers them to produce a Nod factor signal. Stress and Nitrogen locally inhibit nodule development. Nitrogen triggers the production of a CLE peptide, called GmNIC1 in soybean, that acts through the GmNARK receptor to suppress nodulation. The Autoregulation Of Nodulation (AON) acts systemically through the shoot. CLE peptides, called GmRIC1 and GmRIC2 in soybean, are produced in the root in response to the first nodulation events. These signals are transported to the shoot where they are perceived by GmNARK, which triggers the production of a shoot-derived inhibitor (SDI) signal that travels to the root to prevent further nodulation.

Although it has not yet been identified, SDI is reported to be a small, heat-stable, Nod factor- and NARK-dependent molecule that is not likely an RNA or protein (Lin et al. 2010) and has been recently been proposed to be the classical phytohormone, cytokinin (Sasaki et al. 2014). Additional factors acting downstream of SDI include Too Much Love, a Kelch-repeat transcription factor whose role in the AON process is yet to be fully defined.

An interesting finding is that of Wang et al. (2014), who suggest that the AON pathway may involve a microRNA after the tentative cytokinin signal. Specifically miR172c was shown to negatively regulate the transcript abundance of a gene (GmNNC1) encoding a transcription factor, being part of the AP2 family. GmNNC1 negatively targets the early nodulin gene ENOD40, needed for nodulation progress in soybean, Medicago truncatula, and Lotus japonicus. It now appears critical to connect the function of a peptide-activated receptor (GmNARK) with the reported cytokinin signal and the subsequent negative regulation cascade described by Wang et al. (2014).

References

Ferguson BJ, Indrasumunar A, Hayashi S et al. (2010) Molecular analysis of legume nodule development and autoregulation. J Integr Plant Biol 52: 61-76

Ferguson BJ, Mathesius U (2014) Phytohormone regulation of legume-rhizobia interactions. J Chem Ecol 40: 770-790

Lin Y-H, Ferguson BJ, Kereszt A, Gresshoff PM (2010) Suppression of hypernodulation in soybean by a leaf-extracted, NARK- and Nod factor-dependent small molecular fraction. New Phytol 185: 1074-1086

Okamoto S, Shinohara H, Mori T et al. (2013) Root-derived CLE glycopeptides control nodulation by direct binding to HAR1 receptor kinase. Nature Comms 4, doi:10.1038/ncomms3191

Ogawa-Ohnishi M, Matsushita W, Matsubayashi Y (2013). Identification of three hydroxyproline O-arabinosyltransferases in Arabidopsis thaliana. Nature Chem Biol 9: 726-730

Reid DE, Ferguson BJ, Hayashi S et al. (2011) Molecular mechanisms controlling legume autoregulation of nodulation. Ann Botany 108: 789-795

Sasaki T, Suzaki T, Soyano T et al. (2014). Shoot-derived cytokinins systemically regulate root nodulation. Nature Comms 5, doi:10.1038/ncomms5983.

Wang Y, Wang L, Zou Y et al. (2014) Soybean miR172c targets the repressive AP2 transcription factor GmNNC1 to activate GmENOD40 expression and regulate nodule initiation. Plant Cell 26: 4782–4801

4.4 - Symbiotic nitrogen fixation

Ulrike Mathesius, Research School of Biology, Australian National University

Nitrogen is an important nutrient for all plants. While there is an abundance of nitrogen in the atmosphere, plants are unable to convert N2 into a usable form. Fixation of nitrogen gas into ammonia is an ability restricted to nitrogen-fixing bacteria, which contribute most of the inorganic nitrogen to the Earth’s nitrogen cycle.

This chapter explores the importance, evolution and regulation of biological nitrogen fixation, especially of bacteria that have evolved symbiotic associations with higher plant plants. The symbiosis of legumes with nitrogen-fixing soil bacteria called rhizobia has become a model for our understanding of plant-microbe interactions.

4.4-Ch-Fig-4.38.png

Figure 4.38 An infected nodule of Medicago truncatula. Rhizobia are shown as green inside the large nodule, which is outlined in blue. The root is outlined in red. (Photograph courtesy U. Mathesius)

Research over the last decade and beyond has revealed major principles and molecular mechanisms of how plants have evolved to recognise their symbiotic partners, how they allow them entry into their root systems, how nutrients are exchanged between the partners and how the symbiosis is controlled systemically to balance demand and supply.

4.4.1 - Acquiring atmospheric nitrogen

Plant growth is frequently limited by nitrogen. Plants generally obtain nitrogen from soil reserves of nitrate or ammonium (so-called mineral nitrogen) but these reserves are often scarce.

Natural ecosystems can ‘run down’ with respect to nitrogen through soil leaching and fire. Relative abundance of nitrogen-fixing species will then increase. For example, a walk from east to west across Fraser Island, Queensland, will take you across progressively older and more nitrogen deficient sand dunes, and from rainforest to heathland.

Agriculture and horticulture, with its harvest of nitrogen-rich grains or leaves, removes site nitrogen that must be replaced by further mineralisation of soil nitrogen, import of mineral nitrogen (fertiliser) or fixation of atmospheric nitrogen (N2).

The earth’s atmosphere is rich in N2 (about 78% N2) which is very unreactive, due to its stable triple bond. No known eukaryotes have the ability to fix nitrogen, i.e. to reduce atmospheric nitrogen into a usable form like ammonia (NH3). Hydrogen (H2) will react with N2 at very high temperatures and pressures on a catalyst by the Haber-Bosch process, where the pressures needed are 10–100 MPa, the temperatures are 400–550 ºC, and the catalyst is Fe. Then:

\[ N_{2} + 3H_{2} \rightarrow 2NH_{3} \tag{1} \]

Large quantities of ammonia are produced by this method for industrial and agricultural use. Some nitrogen is also fixed in the atmosphere during lightning strikes (Fowler et al. 2013).

Amazingly, some bacteria have the ability to catalyse this reaction with an enzyme complex called nitrogenase donating at least four pairs of electrons to every N2 molecule to effect reduction to two NH4+ and at least one H2. The reaction takes place at ambient conditions, catalysed by the Fe–Mo-containing enzyme, nitrogenase.

\[N_{2} + 16ATP + 8e^– + 10H^+ \rightarrow 2NH_{4}^+ + H_{2} + 16ADP + 6P_{i} \tag{2}\]

Biological N2 fixation is energetically expensive even though it occurs at ambient conditions — estimates fall between 3 and 7 g carbon respired gram of nitrogen fixed (Layzell 1992). Photoassimilate consumed to support N2 fixation is unavailable for other processes such as growth. Consider a crop fertilised with 140 kg N ha–1. An N2 fixer could replace this fertiliser, but only at a cost of at least 420 kg C ha–1. As most plant dry matter contains 40% carbon, this is equivalent to a loss of one tonne of dry matter per hectare! However, in natural ecosystems where no nitrogen fertiliser is applied, and with rising costs of synthetic nitrogen fertiliser, which consumes about 2% of global fossil fuels annually, biological nitrogen fixation confers a distinct advantage to plants that associate with N2-fixing bacteria (Figure 4.39). In fact, our use of nitrogen fertilisers in agriculture has expanded so enormously that pollution of aquatic habitats by nitrogen run-off has moved beyond safe limits for our planet (Steffen et al. 2015). During the last 30 years, research into biological nitrogen fixation, especially in the symbiosis of legumes with rhizobia, has advanced to a point where transfer of this symbiosis to non-legume crops is now becoming a serious goal (Rogers and Oldroyd 2014).

4.4-Ch-Fig-4.39.png

Figure 4.39 Benefit of nitrogen fixation in legumes depending on N fertilisation. Total nitrogen content (A) and plant biomass (B) of subclover (Trifolium subterraneum) plants grown in a glasshouse for four weeks in the presence and absence of nitrogen fertiliser (10 mM potassium nitrate, ‘N’) and/or the rhizobium symbiont (Rhizobium leguminosarum bv. trifolii, ‘R’). Plants benefit from rhizobial inoculation only in the absence of N fertilizer, as shown by the increases in N content and biomass. Rhizobia confer a similar benefit to the unfertilised subclover plants as a 10 mM nitrate addition does, although this varies with different rhizobial strains and with legume species. (Data modified from C.-H. Goh et al., Plant Cell Environ, 2015)

4.4.2 - A range of N<sub>2</sub>-fixing associations

Many bacterial species from diverse phyla have the ability to fix nitrogen, including many (but not all!) cyanobacteria, actinobacteria and proteobacteria. The nitrogen fixation genes are thought to have spread between distantly related bacteria by horizontal gene transfer of clusters of nitrogen-fixation (nif) genes. Nitrogen-fixing bacteria, also called ‘diazotrophs’, can be free-living in water or on solid substrates like soil or rocks. More than half of the biological nitrogen fixation on earth stems from nitrogen-fixing marine bacteria, the rest from terrestrial sources (Fowler et al. 2013). Terrestrial N2-fixing bacteria are found in the soil, in aquatic, and often extreme, habitats, such as hot springs, and nutrient-poor areas. Much of the action of N2-fixing bacteria happens in soils. Plants can then use nitrogen released by decay of such organisms.

However, some plants have evolved a tighter relationship with N2-fixing bacteria, involving an exchange of carbon and nitrogen between plant host and bacterial partner (Santi et al. 2013). Several different symbioses of this type have evolved independently (Table 4.2), from primitive algae to higher vascular plants. These associations are characterised by active attraction of the symbiotic partner through metabolites or signals from the host, as well as a physical housing of the symbiont inside the host (Delaux et al. 2015). For example, algae can form a symbiosis with N2-fixing cyanobacteria to form lichens, and Bryophytes like Anthoceros harbor N2-fixing cyanobacteria in cavities of their thalli. Roots or leaves of some plants form a loose association with N2-fixing bacteria, with plant exudates used as a carbon source by the bacteria. In the water fern Azolla, the cyanobacterium Anabaena is located in cavities on the underside of modified leaves, with a secretory trichome delivering sugars and absorbing fixed nitrogen. This symbiosis is especially important in rice paddy fields, where Azolla densely covers the water surface and can then be incorporated into the field soil. In other plants, the N2 fixers are located in intercellular spaces of the host plant, as reported for sugarcane. These less intimate associations supply host plants with substantial amounts of nitrogen. While such associations have been explored for other grasses, the likely limitation for substantial nitrogen fixation in these loose associations is the limited amount of carbon that the plant provides for its symbionts.

In more highly developed associations, plants localise the symbiotic association within a modified root or ‘nodule’. In cycads, the microsymbiont Anabaena is located in intercellular spaces of the mid-cortex of short, highly branched, modified roots (Figure 4.40a and b). In another class of symbioses, the actinorhizal plants, the micro-symbiont Frankia (an actinomycete, or filamentous bacterium) is located within the cortical cells of a modified root. This group includes the genera Casuarina, Allocasuarina, Alnus, Datisca and Myrica from eight plant families, all belonging to the Rosid I class, as do legumes (Figure 4.40c and d). These plants often grow in nutrient-poor habitats where nitrogen fixation provides a nutritional advantage. Parasponia, a tropical tree native in New Guinea, is the only non-legume known to form a symbiosis with the rod-shaped bacterium Rhizobium. Unlike legumes, the Parasponia nodule has a central vascular bundle and the microsymbiont is always encapsulated within cellulosic material (termed a ‘persistent infection thread’). In legumes, nodules typically have a central infected zone, and rhizobia are enveloped by plasma membrane-derived vesicles called symbiosomes (Figure 4.40e and f).

4.4-Ch-Fig-4.40.png

Figure 4.40 Nodule anatomy showing: a, A cycad (Macrozamia miquellii) nodule consisting of a central vascular strand (VB) and an infected cortical region (stars); b, A cyanobacterium, a microsymbiont, is located in the intercellular spaces of this infected cortex; c, A nodule of the river-oak (Casuarina cunninghamii) consisting of a central vascular bundle with infected cells in the cortex (arrows) identified by subersation and lignification of their walls (section stained with berberine sulphate and viewed under epi-fluorescence optics); d, Scanning electron micrograph of an actinomycete microsymbiont (a filamentous bacterium) encapsulated within threads (arrow) throughout the plant cytoplasm; e, A legume (Macroptilium lathyroides) nodule consisting of a central infected region with scattered infected cells (arrows) enclosed in a cortex. Vascular strands (VB) are present in the cortex; f, Transmission electron micrograph of a soybean (Glycine max L.) nodule containing a microsymbiont enveloped by plasma membrane to form ‘symbiosomes’ — packets of bacteria within the cell cytoplasm (arrows). Scale bar = 100 µm in a, b, c and e; 5 µm in d and f. (Images courtesy K. Walsh)

4.4.3 - Rhizobium associations

The symbiosis of legumes with rhizobia is the most effective and agriculturally the most important nitrogen-fixing symbiosis. Rhizobia are soil bacteria from the α- and β-proteobacteria (including Burkholderia sp.) that can occur free-living in the soil, but benefit greatly from symbiosis with legume partners, which provide a carbon source, shelter inside a nodule as well as a niche outside the species-rich and competitive zone of the rhizosphere (See previous section on the Soil-root interface). Many species of rhizobia only effectively fix nitrogen inside a nodule (Figure 4.41).

4.4-Ch-Fig-4.41.png

Figure 4.41 Nodules on the root system of a legume. A, Nodules on a root system of a broad bean. B, An infected nodule of Medicago truncatula. Rhizobia express the green fluorescent protein (GFP) and appear in green inside the nodule. New rhizobia infect the tip of the nodule through infection threads (arrow). The blue colour originates from flavonoid autofluorescence in the nodule cortex. Red fluorescence in the main root stems from chlorophyll autofluorescence, as roots were exposed to some light. Magnification bars = 1 cm in A, and 1 mm in B. (Photographs courtesy U. Mathesius)

The ‘precursor’ of symbiosis evolved approximately 100 million years ago, and led to the similar symbioses of actinorhizal plants with Frankia, and the legume symbiosis with rhizobia. Nitrogen fixing symbioses in legumes evolved at a time of relatively high atmospheric CO2. Nitrogen fixation is likely to have conferred an advantage in using this increased CO2 for photosynthesis (Sprent 2007). Phylogenetic reconstruction of symbiotic nitrogen fixation suggests that it evolved once, and was subsequently gained and lost several times in legumes (Figure 4.42; Werner et al. 2014).

4.4-Ch-Fig-4.42.png

Figure 4.42 Origin of root-nodule symbiosis with rhizobia in angiosperms. Angiosperm phylogeny of 3,467 species showing reconstruction of node states. Branches are coloured according to the most probable state of their ancestral nodes. A star indicates precursor origin. Turquoise and yellow band indicate the legumes and the so-called nitrogen-fixing clade, which contains all known nodulating angiosperms. Grey and white concentric circles indicate periods of 50 million years from the present. The positions of some important angiosperms are indicated with drawings (illustrations by Floortje Bouwkamp). (Reproduced by permission from Macmillan Publishers Ltd from G.D.R. Werner et al. Nature Comms 5: 5087, 2014)

Nodules formed by members of the family Leguminoseae have a central zone of infected cells, surrounded by a cortex of uninfected cells. A root vascular strand branches within the cortex of the nodule. This structure is quite distinct from nodules of the cycads or actinorhizal plants, which have a central vascular bundle and an infected cortex (a typical root vascular anatomy). Different legume species display various nodule growth patterns, but they can be roughly classified as either of indeterminate growth (i.e. with an apical meristem and consequent elongated shape) or determinate growth (i.e. a spherical meristem which ceases activity at nodule maturity).

The association between rhizobia and legumes is a controlled infection. Typically, the bacterial partner infects the plant through root hairs, and is then encapsulated by polysaccharide material produced by the host plant, forming infection threads. Infection threads then grow into the root cortex, while bacteria multiply within each thread. Finally, bacteria are released from the infection threads and engulfed by plant cells in a form of phagocytosis. This process results in a bacterium (sometimes several) encapsulated by a plant cell membrane. Encapsulating membranes control the delivery of photoassimilate to bacteria, thus ensuring a symbiotic rather than a parasitic relationship. These units are termed ‘symbiosomes’ (see also later Section 4.4.5)

Evolution of this partnership might be similar to that of other endosymbiotic organelles such as mitochondria and chloroplasts. Perhaps a future step in the evolution of a legume–rhizobium symbiosis will be retention of bacteria within plant cells to create a new organelle! If this were to happen, the legume would no longer be dependent on the presence of a microsymbiont for infection. Cells could maintain a low resident population of the new organelle, like plastids in non-photosynthetic tissue, and allow proliferation under set conditions within nodule structures.

In some legume symbioses, bacteria are not released from infection threads. This character is one of several that distinguish each of the three legume subfamilies Caesalpinoideae, Mimosoideae and Papilionoideae (e.g. cassia, acacia and soybean, respectively). The Caesalpinoideae are largely trees or shrubs, and the few species which nodulate have little nodule mass proportional to plant biomass (Sprent and Raven 1985). In most of the caesalpinoid species that do nodulate, the microsymbiont remains encapsulated in an infection thread throughout the life of a nodule. In some species the infection threads are thin walled, while in others bacteria are released into the cytoplasm. The Papilionoideae is considered the most advanced of the legume subfamilies.

Biological interactions between host plant and bacterium are subtle. Just as legumes vary genetically, so do the rod-shaped bacteria (rhizobia) that infect various legumes. Not all rhizobia are equally infective (able to infect and form nodules) or effective (able to fix N2) on all legumes. An appropriate bacterial partner must therefore be matched genetically with each legume for optimal N2 fixation. Pure cultures of rhizobia are produced commercially, generally in a peat-moss-based medium or as a seed coating, for inoculating legume seed prior to planting.

4.4.4 - The Rhizobium-legume symbiosis is fine-tuned by a molecular dialogue

Over the last 30 years, the molecular, cellular and genetic analysis of the association between legumes and rhizobia has given us a detailed insight into the specificity and regulation of this symbiosis. As a prerequisite for the symbiosis, the symbionts have to first recognise each other in the soil; the plant host then attracts specific rhizobial symbionts that only nodulate one or a few specific hosts; in response, the rhizobia initiate infection and nodule development. On a whole-plant level, the plant strictly regulates the number of nodules on the root system depending on carbon availability relative to nitrogen demand (See ‘Case Study 4.3 - Regulation of nodule numbers’).

The attraction of rhizobia to the root system of its appropriate host is initiated by the exudation of flavonoids by the plant roots. Flavonoids are a diverse class of phenolic compounds that share a common 15-carbon skeleton consisting of two phenyl rings and a heterocyclic ring, but differ in their exact final structure, for example through modification of the flavonoid ‘backbone’ through hydroxylation, methylation or glycosylation. Over ten thousand different flavonoid molecules have been identified from different plant species. Each legume species exudes a specific mixture of flavonoids into the soil that chemotactically attract their rhizobial symbionts (Figure 4.44). Flavonoids have evolved into specific signalling molecules in the symbiosis by binding specifically to a transcription factor, NodD, inside the rhizobia. This binding of the correct flavonoid activates NodD, and allows it to bind to and activate the promoter regions of a large number of nodulation genes. These nodulation genes of rhizobia are responsible for synthesising a specific signalling molecule, the Nod factor, as well as other genes necessary for symbiosis.

4.4-Ch-Fig-4.44.png

Figure 4.44 Examples of flavonoids produced by different legume hosts to activate Nod gene expression in their symbiont. Luteolin is a Nod gene inducer produced by Medicago sp., while daidzein is made by bean and soybean.

Nod factors are lipochitin-oligosaccharides that are composed of a short ‘backbone’ of N-acetylglucosamine units (the same building blocks that are polymerised to chitin in fungal cell walls, insect exoskeletons and crustacean shells). This backbone typically varies in length between 3-6 units, and is additionally ‘decorated’ with chemical substitutions like acetylation, sulfation or glycosylation (Figure 4.45). Importantly, an acyl side chain of specific length and saturation pattern gives each Nod factor molecule its specificity. Different strains of rhizobia produce specific (mixtures of) Nod factor molecules, which are only recognised by their specific hosts. The Nod factor molecule is crucial for nodulation; mutants defective in Nod factor synthesis cannot nodulate their hosts. Nod factor molecules are also partially sufficient for many of the nodulation steps: application of purified Nod factors to the correct hosts initiates root hair curling and nodule development, but will not lead to infection threads or fully formed nodules. For the complete symbiosis to succeed, other signalling molecules from rhizobia are necessary. For example, surface molecules like exopolysaccharides are necessary to evade host defence responses (Figure 4.45), and communication signals like quorum-sensing signals are necessary to coordinate bacteria behaviours during nitrogen fixation.

4.4-Ch-Fig-4.45.png

Figure 4.45 Nod factor and Myc factor signalling. The structure of the predominant Nod factor from Sinorhizobium meliloti, the symbiont of the legume Medicago truncatula, is shown (top), in comparison with the structure of the non-sulphated lipochitooligosaccharide Myc factor produced by the arbuscular mycorrhizal fungus Glomus intraradices (bottom). These molecules induce the symbiosis signalling pathway, that shares a calcium spiking response. There are two different interpretations for the genetic overview of this signalling pathway. These interpretations are an amalgamation of genetic analyses in Lotus japonicus and Medicago truncatula; gene names are indicated for the model legume L. japonicus. In the first interpretation (top), the symbiosis signalling pathway transmits the signal through the transcription factors encoded by nodulation signalling pathway 2 (NSP2), NSP1and RAM1 (required for arbuscular mycorrhization 1), whereas in the second interpretation (bottom), symbiosis signalling occurs in parallel to the signalling through these GRAS domain transcription factors. Names for these genes in M. truncatula are as follows: Nod factor receptor 1 (NFR1) is LysM domain receptor kinase 3 (LYK3); NFR5 is Nod factor perception (NFP); symbiosis receptor-like kinase (SYMRK) is DMI2; POLLUX is DMI1; calcium- and calmodulin-dependent serine/threonine protein kinase (CCAMK) is also known as DMI3; CYCLOPS is interacting protein of DMI3 (IPD3). (Reproduced by permission from Macmillan Publishers Ltd from G.E.D. Oldroyd, Nature Rev Microbiol 11: 252-632, 2013)

Nod factors are recognised by their host by Nod factor receptors. Binding of the correct Nod factor structure activates a signalling cascade in the infected root hairs. A critical part of the signalling cascade is a periodic spiking of calcium concentrations in the root hair (‘calcium spiking’), which starts within minutes of Nod factor perception (Figure 4.45). Calcium spiking activates downstream transcription factors that lead to the activation of cytokinin signaling. The plant hormone cytokinin is necessary, and in some cases sufficient to induce cell divisions in the root cortex, the first step of nodule initiation.

4.4-Ch-Fig-4.46.png

Figure 4.46 Rhizobial and mycorrhizal colonization. a, Flavonoids released by the legume root signal to rhizobia in the rhizosphere, which in turn produce Nod factors that are recognized by the plant. Nod factor perception activates the symbiosis signalling pathway, leading to calcium oscillations, initially in epidermal cells but later also in cortical cells preceding their colonisation (See Figure 3.21). Rhizobia gain entry by infection root hair cells that grow around the bacteria attached at the root surface, trapping the bacteria inside a root hair curl. Infection threads are invaginations of the plant cell that are initiated at the site of root hair curls and allow invasion of the rhizobia into the root tissue. The nucleus relocates to the site of infection, and an alignment of ER and cytoskeleton, known as the pre-infection thread, predicts the path of the infection thread. Nodules initiate below the site of bacterial infection and form by de novo initiation of a nodule meristem in the root cortex. The infection threads grow towards the emergent nodules and ramify within the nodule tissue. In some cases, the rhizobia remain inside the infection threads, but more often, the bacteria are released into membrane-bound compartments inside the cells of the nodule, where the bacteria can differentiate into a nitrogen-fixing state. b, Strigolactone release by the plant root signals to arbuscular mycorrhizal fungi (AMF) in the rhizosphere. Perception of strigolactones promotes spore germination and hyphal branching. AMF produce mycorrhizal factors (Myc factors), including lipochitooligosaccharide (LCOs) and, possibly, signals that activate the symbiosis signalling pathway in the root, leading to calcium oscillations. AMF invasion involves an infection peg from the hyphopodium that allows fungal hyphal growth into the root epidermal cell. The route of hyphal invasion in the plant cell is predicted by a pre-penetration apparatus, which is a clustering of ER and cytoskeleton in a zone of the cell below the first point of fungal contact. The fungus colonizes the plant root cortex through intercellular hyphal growth. Arbuscules are formed in inner root cortical cells from the intercellular hyphae. (Reproduced by permission from Macmillan Publishers Ltd from G.E.D. Oldroyd, Nature Rev Microbiol 11: 252-632, 2013. Part b image is modified by permission from M. Parniske Nature Rev Microbiol 6: 736-775, 2008)

One of the most significant findings of recent years has been the discovery that the same early machinery for Nod factor signal transduction is also required to signal a successful interaction between mycorrhizal fungi and plants (Figure 4.45), and both symbioses share similar mechanisms of bacterial or fungal invasion (Figure 4.46). Mycorrhizal fungi have evolved symbioses with the majority of plant plants much earlier (~400 MYA) than the emergence of the Rhizobium-legume symbiosis (~100 MYA) (see previous section 4.3 on mycorrhiza). Mycorrhizal fungi produce signals that are structurally closely related to Nod factors, and these have been termed ‘Myc factors’. Myc factors are thought to be perceived by different receptors to the Nod factor receptors. Despite some of the shared signals, including calcium spiking, activated by both Myc factors and Nod factors, the later responses in the root differ, leading either to nodulation or to mycorrhization (Figure 4.45). It is still not known what enables legumes to form nodules in response to Nod factors, but other plants not; however, the knowledge that mycorrhizal signalling is part of the response machinery present in all plants that form mycorrhizal symbioses might make it easier to engineer non-legume crops with the ability to form rhizobial symbioses (Rogers and Oldroyd 2014).

Having established the initial contact with the legume host, rhizobia invade the young, just emerging root hairs of their legume partners. In some species, infection can occur intercellularly, and this may have been also the initial mode of infection at the early evolutionary stage of the symbiosis (Held et al. 2014). The infected root hairs curl around small colonies or single cells of rhizobia to form a typical ‘Sheppard’s crook’. The rhizobia locally digest the cell wall of the root hair and induce the formation of ‘infection threads’, tubular invaginations of the root hair in which the rhizobia multiply and travel towards the cortex of the root. This infection step requires correct Nod factor and exopolysaccharide structures from rhizobia, otherwise infection threads are aborted by the plant through defence responses (Figure 4.47). From the infection threads, rhizobia are released into cortical cells as small vesicles, in which rhizobia remain separated from the plant cytoplasm by the plasma membrane. In these vesicles, called symbiosomes, rhizobia differentiate into bacteroids, the nitrogen-fixing forms of rhizobia (Figure 3.49).

4.4-Ch-Fig-4.47.png

Figure 4.47 Successful and aborted infection threads. a, A successful infection thread of compatible rhizobia on their host. Rhizobia are expressing the Green Fluorescent Protein. b, An aborted infection thread as a result of infection with a rhizobium strain unable to synthesise the correct exopolysaccharides, leading to a defence response. (Reproduced by permission from Macmillan Publishers Ltd from K.M. Jones et al. Nature Rev Microbiol 5: 619-633, 2007)

Concurrent with the growth of the infection thread towards the root cortex, Nod factors produced by the invading rhizobia trigger the re-initiation of cell division in the cortex. These divisions are activated through cytokinin and auxin gradients that the plant forms in response to Nod factors (Desbrosses and Stougaard 2011). In some legumes and actinorhizal plants, the invading rhizobia do not initiate nodules de novo from cortical cells, but target an emerging lateral root primordium that is then ‘converted’ into a nodule.

One surprising recent discovery has been the identification of rhizobia that nodulate legumes in the absence of Nod factors. Sequencing of a large number of Rhizobium species uncovered rhizobial genomes that do not contain any of the canonical nodulation genes that would be required to make Nod factors. It is still unclear what the signal is that these rhizobia use to regulate infection and nodule formation. Similarly, Frankia symbionts do not produce Nod factors, yet use some of the same symbiotic (SYM) signal transduction cascade as legumes. Unravelling the identity and mode of action of these unknown nodulation signals will be a rewarding future challenge.

4.4.5 - Linking functions with structures

(a) Protecting nitrogenase from O2

A basic conflict arises in biological N2 fixation: nitrogenase is destroyed by O2, yet aerobic respiration is essential to sustain the high energy demand of N2 fixation. Nitrogen-fixing bacteria must be protected from O2, while a level of aerobic respiration occurs in the host cell cytoplasm. In cycads, cyanobacteria provide their own O2 protection. Nitrogenase is located in specialised cells (heterocysts) which have an O2-impermeable lining of glycolipid. An analogous structure (a vesicle) affords protection to nitrogenase in the microsymbiont Frankia within most actinorhizal nodules. In Parasponia and most caesalpinoid nodules the persistent infection threads provide O2 protection to nitrogenase (Sprent and Raven 1985).

There is one major problem with structures of ‘fixed’ resistance. As respiration rate varies (i.e. O2 flux), O2 concentration inside the structure must also vary: following Fick’s Law of diffusion, O2 flux into the nodule will change in proportion to the O2 concentration gradient at constant resistance. Free water bathing the nodule is equilibrated with the atmosphere (20.8% O2), therefore containing approximately 360 µM O2 in solution, while nitrogenase is destroyed by submicromolar concentrations of dissolved O2. For practical purposes then, an O2 gradient of 360 (outside) to 0 (inside) µM must be maintained. If respiration rate was halved without a change in resistance, the O2 concentration gradient would also halve from 360 to 180 µM. An O2 concentration of 180 µM O2 inside would destroy nitrogenase. So, resistance must vary too.

A legume-nodule cortex copes with variations in respiration rate by providing a variable level of O2 protection (Layzell and Hunt 1990). According to their model, a layer of cells adjacent to the infected zone either lacks radial intercellular spaces (preventing inflow of O2) or has intercellular spaces filled with water. The thickness of this layer could vary under osmotic control to set nodule permeability. Diffusivity of O2 through water is about 10,000 times slower than through air, so flooding of radial air spaces in the nodule cortex would be an effective way of decreasing O2 diffusion into infected tissue.

Any O2 leaking through this cortex can diffuse freely in the intercellular airspaces of infected tissue and dissolve in the cytoplasm of infected cells. O2 gradients which might be expected within infected cells because of rapid bacterial respiration are largely avoided by the presence of leghemo-globin (Lb) (a molecule similar to the hemoglobin in mammalian blood). O2 diffuses to Lb molecules where it is bound to form high concentrations of oxygenated Lb (estimated at 0.7 mM by Bergersen 1982). Effective nodules are pink because of oxygenated Lb (Figure 4.48); indeed this colour change can be used to estimate free O2 concentrations. Soybean nodules seem to regulate the free O2 in infected cells at between 5–60 nM (e.g. Layzell and Hunt 1990). Finally, residual O2 diffuses through the symbiosome to the bacteroids, supporting a level of aerobic respiration.

4.4-Ch-Fig-4.48.png

Figure 4.48 Leghemoglobin in nitrogen fixing nodules. The pink colour in the centre of the nodule (arrows) originates from the presence of leghemoglobin in the nitrogen-fixing zone of mature nodules. Leghemoglobin binds oxygen inside the nodules to protect the activity of nitrogenase. It also transports oxygen. Magnification bar = 1 mm. (Photograph courtesy U. Mathesius)

‘Conventional’ chemistry may not be appropriate when describing O2 movement in cells because O2 molecules in cellular compartments are so scarce. A sphere of 1 µm radius — roughly the size of a mitochondrion or bacterium — containing a solution with 10 nM O2 will contain only 24 molecules of O2.

(b) Carbon supply and nitrogen export

Nodules are metabolically highly active. A typical maximum rate of nitrogenase activity in soybean nodules, as measured by gas exchange (discussed below) is 300 µmol electron pairs g–1 (nodule) h–1. This value is useful to bear in mind when reading the literature about N2 fixation, with low values possibly indicating unhealthy or disturbed plants. As nitrogenase is at best 75% efficient, with respect to N2 fixation (Equation 2), this rate is equivalent to the fixation of some 150 µmol N g–1 (dry weight) h–1. Reduced nitrogen is exported from nodules to the host plant while carbon is imported into the nodule, supporting energy needs of fixation (through respiration) and providing carbon skeletons for packaging nitrogen as an organic molecule.

Photoassimilate (host to nodule) and nitrogen-based resources (nodule to host) must pass through the endodermis of nodule vascular bundles. Radial walls of this endodermis have Casparian bands and tangential walls have relatively few plasmodesmata, so this cell layer restricts apoplasmic and symplasmic flow of carbon into nodules and nitrogen out of nodules.

The transport of solutes, including C and N metabolites but also metal ions, e.g. Fe and Mo required for nitrogenase, are exchanged via both plant and bacterial transporters on the symbiosome and bacterial membrane, and this transport is carefully controlled to balance supply and demand (Figure 4.49; Udvardi and Poole 2013). Not all rhizobia that invade and inhabit legume nodules fix nitrogen efficiently, with the legume host able to restrict C flow to those nodules that do not fix sufficient N.

4.4-Ch-Fig-4.49.png

Figure 4.49 Transport and metabolism in an infected nodule cell. Sucrose from the shoot is converted to malate in the plant and imported across the symbiosome membrane and into bacteroids, where it fuels nitrogen fixation. The product of the nitrogen fixation is then exported back to the plant, where it is assimilated into asparagine (Asn) for export to the shoot (blue arrows). In many legumes, such as soybean, the export products are ureides instead of Asn. The plant must provide metals and ions to the bacteroid, although only some of the transport systems on the symbiosome and bacteroid membranes are defined. Many rhizobia lack the ability to make homocitrate or become symbiotic auxotrophs for supply of branched-chain amino acids and become dependent on the plant. (Reproduced with permission by Annual Reviews from M. Udvardi and P.S. Poole, Annu Rev Plant Biol 64: 781-805, 2013)

The concentration of nitrogenous solutes in the xylem apoplasm causes a hydrostatic pressure to develop, and this results in a mass flow of nodule xylem sap to adjacent roots. The water that accompanies sucrose entering the nodule as phloem sap is re-exported with assimilated nitrogen in the xylem. Nodules are thus analogous to ‘glands’ that secrete nitrogenous compounds.

4.4.6 - Measuring N<sub>2</sub> fixation

Rates of N2 fixation can be measured by a number of techniques to address questions of nodule efficiency and nitrogen cycling in agricultural and natural plant systems. Nitrogenase is pivotal for initial reduction of N2 but this same enzyme will also reduce acetylene (C2H2) to ethylene (C2H4). Acetylene is an effective competitor with N2 for nitrogenase so the rate of C2H4 synthesis is proportional to nitrogenase activity. Acetylene reduction gives an instantaneous estimate of the N2 fixation rate. Another instantaneous technique requires flushing nodulated roots with an argon : oxygen gas mixture (79:21) to displace all N2. All electron flux through nitrogenase is then diverted to the reduction of protons to H2 rather than N2 to NH4+ (Equation 2). The rate of H2 evolution by roots can thus be used to estimate nitrogenase activity.

Alternative approaches to ‘instantaneous’ estimates of N2 fixation provide an integrated rate of fixation over periods of hours or days. The proportions of inorganic and organic nitrogen compounds in xylem sap are affected by the ratio of inorganic nitrogen taken up to symbiotic N2 fixation; this can be exploited in genera of legumes in which amides and ureides are major products of N2 fixation. Soybean, for example, exports less than 10% of nitrogen to shoots in the form of ureides when supplied nitrate but more than 80% when all nitrogen is biologically fixed. Thus, relative ureide levels in sap give an estimate of N2 fixation.

Many experiments now rely on 15N-based techniques to obtain an integral of fixation over the life of a plant. These techniques rely on a difference in ratio of the stable isotopes of nitrogen (15N and 14N) in soil and atmosphere (Figure 4.50). The soil must be enriched in 15N relative to the atmosphere — either naturally (the process of denitrification causes a fractionation of the two isotopes, leaving the soil enriched in 15N) or by artificial 15N addition. The N2-fixing plant of interest is sampled, together with an adjacent non-N2-fixing plant (e.g. grass) whose 15N enrichment represents that of soil nitrogen. 15N enrichment in digested plant material and soil is analysed isotopically in a mass spectrometer and contribution of biological N2 fixation calculated.

4.4-Ch-Fig-4.50.png

Figure 4.50  Basis of the natural abundance method for assessing the contribution of N2 fixation to legume nutrition. This method entails measuring plant 15N/14N ratio by mass spectrometry. Natural differences in 15N/14N ratio between soil and atmospheric nitrogen are exploited. Legumes to the left and right of the figure each have a unique source of nitrogen, while a test plant in the middle relies on both fixed nitrogen and soil inorganic nitrogen. Plants (left) denied a source of inorganic nitrogen (e.g. nitrate) fix atmospheric nitrogen and therefore have low 15N/14N ratios. Plants without nodules (right) take up only soil-derived nitrogen and are enriched with 15N (high 15N/14N ratios). 15N 'signatures' of these two sets of plants can be used to estimate the relative contributions of soil and atmospheric nitrogen as nitrogen sources in the test plant, and therefore to assess the significance of N2 fixation. (Based on Peoples et al. 1989; reproduced with permission of ACIAR)

A typical ‘good’ rate of fixation for a (non-irrigated) field of subtropical legumes in northern Australia is c. 60–100 kg N ha–1 year–1. About the same amount of nitrogen is harvested as seed from a crop of cowpea, soybean or chickpea, so growing these legumes does not add net nitrogen to the soil; it does, however, spare nitrogen which would otherwise be removed at harvest. Irrigated legume-based pastures in temperate Australia or New Zealand fix 250–300 kg N ha–1 year–1 and make a substantial contribution to the low energy costs of agriculture in these regions. Selection of appropriate biological N2 fixers could greatly improve N2 fixation in tropical legume crops.

4.6 - References

Bakker PAHM, Berendsen RL, Doornbos RF et al. (2013) The rhizosphere revisited: root microbiomics. Front Plant Sci 4: Article 65

Barber DA Martin JK (1976) The release of organic substances by cereal roots into soil. New Phytol 76: 69-80

Berendsen RL, Pieterse CMJ, Bakker PAHM (2012) The rhizosphere microbiome and plant Health. Trends Plant Sci 17: 478-486

Bergesen FJ (1982) Root Nodules of Legumes, Structure and Function. Research Studies Press, John Wiley, New York

Blossfeld S, Gansert D, Thiele B et al. (2011) The dynamics of oxygen concentration, pH value, and organic acids in the rhizosphere of Juncus spp. Soil Biol Biochem 43: 1186-1197

Blossfeld S, Schreiber CM, Liebsch G et al. (2013) Quantitative imaging of rhizosphere pH and CO2 dynamics with planar optodes. Ann Bot 112: 267-276

Brundrett MC (2004) Diversity and classification of mycorrhizal associations. Biol Rev 78: 473-495

Brundrett MC (2008) Mycorrhizal Associations: The Web Resource (URL: mycorrhizas.info)

Brundrett MC (2009). Mycorrhizal associations and other means of nutrition of vascular plants: Understanding the global diversity of host plants by resolving conflicting information and developing reliable means of diagnosis. Plant Soil 320: 37-77

Brundrett M, Bougher N, Dell B et al. (1996) Working with mycorrhizas in forestry and agriculture. Australian Centre for International Agricultural Research. (URL: http://aciar.gov.au/publication/mn032)

Bulgarelli D, Rott M, Schlaeppi K et al. (2012) Revealing structure and assembly cues for Arabidopsis root-inhabiting bacterial microbiota. Nature 488: 91-95

Butler AJ, Barbier N, Čermák J et al. (2010) Estimates and relationships between aboveground and belowground resource exchange surface areas in a Sitka spruce managed forest. Tree Physiol 30: 705-714

Carter EL, Flugga N, Boer JL et al. (2009) Interplay of metal ions and urease. Metallomics 1: 207-221

Delaux P-M, Radhakrishnan G, Oldroyd G (2015) Tracing the evolutionary path to nitrogen-fixing crops. Curr Opin Plant Biol 26: 95-99

Desbrosses GJ, Stougaard J (2011) Root nodulation: A paradigm for how plant-microbe symbiosis influences host developmental pathways. Cell Host Microbe 10: 348-358

Dittmer HK (1937) A quantitative study of the roots and root hairs of a winter rye plant (Secale cereale). Amer J Bot 24: 417-420

Follmer C (2008) Insights into the role and structure of plant ureases. Phytochem 69: 18-28

Fowler D, Coyle M, Skiba U et al. (2013) The global nitrogen cycle in the twenty-first century. Trans Royal Soc London B 368: 20130164

Goh C-H, Nicotra AB, Mathesius U (2015) The presence of nodules on legume root systems can alter phenotypic plasticity in response to internal nitrogen independent of nitrogen fixation. Plant Cell Environ 39: 883-896

Hartmann A, Rothballer M, Schmid M (2008) Lorenz Hiltner, a pioneer in rhizosphere microbial ecology and soil bacteriology research. Plant Soil 312: 7–14

Held M, Hossain MS, Yokota K et al. (2010) Common and not so common symbiotic entry. Trends Plant Sci 15: 540-545

Hochholdinger F (2009) The Maize Root System: Morphology, Anatomy, and Genetics. In J.L. Bennetzen and S.C. Hake eds, Handbook of Maize: it’s biology. DOI: 10.1007/978-0-387-79418-1_8

Hochholdinger F, Park WJ, Sauer M, Woll K (2004) From weeds to crops: genetic analysis of root development in cereals. Trends Plant Sci 9: 42-48

Jones D, Nguyen C, Finlay DR (2009) Carbon flow in the rhizosphere: carbon trading at the soil-root interface. Plant Soil 321: 5-33

Jones KM, Kobayashi H, Davies BW et al. (2007) How rhizobial symbionts invade plants: the Sinorhizobium-Medicago model. Nature Rev Microbiol 5: 619-633

Jones VAS, Dolan L (2012) The evolution of root hairs and rhizoids. Ann Bot 110: 205-212

Layzell DB (1992) N2 fixation, NO3- reduction and NH4+ assimilation. In Plant Physiology, Biochemistry and Molecular Biology. DT Dennis and DH Turpin, eds, Longman Scientific and Technical: London

Layzell DB, Hunt SH (1990) Oxygen and the regulation of nitrogen fixation in legume nodules. Physiol Plant 80: 322-337

Lundberg DS, Lebeis SL, Herrera Paredes S et al. (2012) Defining the core Arabidopsis thaliana root microbiome. Nature 488: 86-90

Malajczuk N, Cromack K (1982) Accumulation of calcium-oxalate in the mantle of ectomycorrhizal roots of Pinus radiata and Eucalyptus marginata. New Phytol 92: 527-531

Marschner H (1995) Mineral nutrition of higher plants (2nd edition) Academic Press, San Diego

Marschner P, Rengel Z (2012) Chapter 12 - Nutrient Availability in Soils. In P Marschner, ed, Marschner's Mineral Nutrition of Higher Plants (Third Edition). Academic Press, San Diego, pp 315-330

McKenzie BM, Mullins CE, Tisdall JM, Bengough AD (2012) Root-soil friction: quantification provides evidence for measurable benefits for manipulation of root-tip traits. Plant Cell Environ 36: 1085-1092

Ohwaki Y Hirata H (1992) Differences in carboxylic acid exudation among P-starved leguminous crops and phospholipid level in roots. Soil Sci Plant Nutr 38: 235-243

Oldroyd GED (2013) Speak, friend, and enter: signalling systems that promote beneficial symbiotic associations in plants. Nature Rev Microbiol 11: 252-632

Parniske M (2008) Arbuscular mycorrhizal: the mother of plant root endosymbioses. Nature Rev Microbiol 6: 736-775

Peoples MB, Faizeh AW, Rerkasem B, Herridge DF (1989) Method for evaluating nitrogen fixation by nodulated legumes in the field. ACIAR Monograph No 11, Canberra

Philippot L, Raaijmakers JM, Lemanceu P, van der Putten WH (2013) Going back to the roots: the microbial ecology of the rhizosphere. Nature Rev Microbiol 11: 789-799

Reich PB (2002) Root-Shoot Relations : Optimality in Acclimation and Adaptation or the "Emperors New Clothes"? In Y Waisel, A Eshel, U Kafkafi, eds, Plant roots: the hidden half. M. Dekker, New York, pp 205-220

Rogers G, Oldroyd GED (2014) Synthetic biology approaches to engineering nitrogen-fixing symbioses in cereals. J Exp Bot 65: 1939-1946

Ryan MH, McCully ME, and Huang CX (2003) Location and quantification of phosphorus and other elements in fully hydrated, soil-grown arbuscular mycorrhizas: a cryo-analytical scanning electron microscopy study. New Phytol 160: 429-441

Ryan MH, Tibbett M, Edmonds-Tibbett T et al. (2012) Carbon trading for phosphorus gain: the balance between rhizosphere carboxylates and arbuscular mycorrhizal symbiosis in plant phosphorus acquisition. Plant Cell Environ 35: 2170-2180

Santi C, Bogusz D, Franche C (2013) Biological nitrogen fixation in non-legume plants. Ann Bot 111: 743–767

Smith SE, Read DJ (2008). Mycorrhizal Symbiosis, Third Edition. Oxford: Academic Press

Sprent JI (2007) Evolving ideas of legume evolution and diversity: a taxonomic perspective on the occurrence of nodulation. New Phytol 174: 11-25

Sprent JI, Raven JA (1985) Evaluation of nitrogen-fixing symbioses. Proc Royal Soc Edinburgh B 85: 215-237

Steffen W, Richardson K, Rockstroem J et al. (2015) Planetary boundaries: Guiding human development on a changing planet. Science 347: 1259855

Steffens B, Rasmussen A (2016) The physiology of adventitious roots. Plant Physiol 170: 603-617

Teplitski M, Mathesius U, Rumbaugh KB (2011) Quorum sensing signal perception and degradation by mammalian and plant cells. Chem Rev 111: 100-116

Udvardi M, Poole PS (2013) Transport and metabolism in legume-rhizobia symbioses. Annu Rev Plant Biol 64: 781-805

Weaver JE, Himmel WJ (1929) Relation between the development of root system and shoot under long- and short-day illumination. Plant Physiol 4: 435-457

Werner GDR, Cornwell WK, Sprent JI et al. (2014) A single evolutionary innovation drives the deep evolution of symbiotic N2-fixation in angiosperms. Nature Comms 5: 5087

Chapter 5 - Phloem transport

PIA_30.jpg

Early development of a pineapple. Phloem conduits from the leaves distribute sugars to the growing inflorescence, with flower buds arranged in spirals, which will later develop into the large juicy fruit.

Chapter editor: Yong-Ling Ruan1

Contributing Authors: Craig Atkins2; Yong-Ling Ruan1. 1University of Newcastle, Australia. 2School of Plant Biology, University of Western Australia

This Chapter is updated from a previous version written by John W Patrick, Ian Wardlaw and Tina Offler for Plants in Action 1st Edition.

A plant is a coordinated network of assimilatory regions (sources) linked to regions of resource utilisation (sinks). The phloem vascular system provides a path for assimilate transport from source to sink.

The phloem conduits distribute the sugars made in the leaves to growing tissues and organs that cannot carry out photosynthesis. These ‘sinks’ include shoot and root apices, flower buds, and developing fruit and seed.

Xylem conduits are responsible for delivery of water, inorganic nutrients and organic forms of nitrogen to transpiring leaves (Chapters 3 and 4).

Section 5.1 describes the pathway of the distribution of sugars made in chloroplasts, as well as nitrogen assimilates made in the leaves, to growing organs and other non-photosynthetic tissues. Section 5.2 describes the composition of phloem sap and how to collect it. Quantitative information is presented on the speed of phloem transport from sources to sinks, and the controls of long-distance transport.

Cellular and regulatory mechanisms of phloem loading in leaves are shown in Section 5.3, and mechanisms of phloem unloading at sinks in Section 5.4 with particular reference to developing seeds.

The focus of this chapter is on the transport of sugars. The transport of amino acids and other nitrogen-containing compounds is equally important, and the same general principles apply to nitrogen-containing or phosphorus-containing compounds that are synthesised in the leaf.

5.1 - Distribution of photoassimilates within plants

CO2 fixed by photosynthesis in chloroplasts has several possible fates, but most ends up as sucrose or starch. Starch is stored in chloroplasts, and sucrose is stored in vacuoles of mesophyll cells. Both starch and vacuolar sucrose serve as temporary storage pools from which the cytoplasmic sucrose pool is replenished. Sucrose, along with amino acids and mineral nutrients, is loaded into the phloem tissue which consists of sieve element—companion cell (se—cc) complexes for long-distance transport to growing tissues and other non-photosynthetic sinks. These solutes are exchanged reversibly between se-cc complexes and short- and long-term storage pools along the axial pathway. Short-term storage pools include phloem apoplasm, and the protoplasm of non-transport cells provides a long-term storage pool. At the end of the pathway, sucrose and other transported solutes are consumed in respiration and growth, or are stored as solutes in vacuoles or polymers in amyloplasts (starch) or protein bodies.

The overall flow of photoassimilates throughout the plant can therefore be called a source–path–sink system (Figure 5.1).

Fig5.13-new-p.png

Figure 5.1. Schematic diagram of transfer and transport processes contributing to the flow of assimilates acquired from aerial or soil environments, through the source-path-sink system. CO2 fixed by photosynthesis in chloroplasts gives rise to sucrose and starch. Sucrose, amino acids and mineral nutrients are loaded into sieve element—companion cell (se—cc) complexes of leaf phloem for long-distance transport to non-photosynthetic sinks. These solutes are exchanged reversibly between se-cc complexes and short- and long-term storage pools along the axial pathway. Short-term storage pools include phloem apoplasm, whereas the protoplasm of non-transport cells provides a long-term storage pool. In sink tissues, solutes are used for respiration, growth or storage.

5.1.1 - Source–path–sink transport processes

(a) Source processes

Fig_p_5.12.png

Figure 5.2 Time course of sucrose and phosphorus (P) net import and export from a leaf during its development. As a cucumber leaf expands, net sucrose export coincides with the rise in net leaf photosynthetic rate (O) to meet photoassimilate demands of young leaves. Once a leaf has reached some 30% of its final area, net photosynthesis by the whole leaf exceeds photoassimilate demand by growth and so excess sucrose can be exported. Thereafter, the rate of sucrose export closely follows photosynthetic rate, reaching a maximum when the leaf reaches its final size and gradually declining thereafter. Import of P (and other mineral nutrients) continues throughout leaf expansion and P export only starts once the leaf is fully expanded. Sucrose import and export were calculated from the difference between rates of whole-leaf photosynthesis and dry matter gain (Based on Hopkinson 1964; reproduced with permission of Journal of Experimental Botany)

 

Net export of photoassimilates occurs from fully expanded leaves (Figure 5.2) and long-term storage pools located along the axial transport pathway. Chloroplasts of C3 plants (Chapters 1 and 2) partition photoassimilates between the photosynthetic oxidative cycle and starch biosynthesis or release them immediately to the cytosol as triose phosphate for sucrose synthesis. In non-starch-forming leaves, high concentrations of sugars can be accumulated in the vacuoles of mesophyll cells or made available for immediate loading into the phloem and export. Leaves also serve as secondary sources for nutrients and amino acids previously delivered in the transpiration stream. Nutrients and amino acids can be exported in the phloem immediately, or after accumulation in short-term storage pools.

An additional source of photoassimilates is located along the axial phloem path (petioles, stems, peduncles, pedicels and roots) as a result of leakage from the vascular tissues. Leaked photoassimilates accumulate in short- or long-term storage pools which serve as secondary sources to buffer photo-assimilate supplies to the sinks against shifts in export rates from the primary photoassimilate sources.

(b) Path processes

Assimilates including sucrose, amino acids are transferred into sieve elements of fully expanded leaves against significant concentration and electrochemical gradients. This process is referred to as phloem loading. The cellular pathways of phloem loading, and hence transport mechanisms and controls, vary between plant species. Longitudinal transport of assimilates through sieve elements is achieved by mass flow and is termed phloem translocation. Mass flow is driven by a pressure gradient generated osmotically at either end of the phloem pathway, with a high concentration of solutes at the source end and a lower concentration at the sink end. At the sink, assimilates exit the sieve elements and move into recipient sink cells where they are used for growth or storage. Movement from sieve elements to recipient sink cells is called phloem unloading. The cellular pathway of phloem unloading, and hence transport mechanisms and controls, vary depending upon sink function.

(c) Sink processes

Many sink organs are characterised by low rates of transpiration (an exception is a developing leaf) so that most assimilates are delivered by the phloem. Having reached the sink cell cytoplasm through the post-sieve-element transport pathway, assimilates are either metabolised to satisfy the energy, maintenance and growth requirements of sink cells or are compartmented into polymer or vacuolar storage. Collectively, metabolism and compartmentation create a demand for assimilates which is ultimately responsible for driving phloem import.

5.1.2 - Photoassimilate transport and biomass production

(a) Whole-plant growth

Sink and source strength must be in balance at a whole-plant level. Thus, an increase in whole-plant sink strength must be matched by an equal increase in source strength, either through increases in source activity or source size. Prior to canopy closure in a crop, much of the increase in source strength comes from increased source size, source activity remaining relatively constant. Significantly, until a leaf has reached some 30% of its final size, photoassimilates for leaf production are exclusively imported through the phloem from fully expanded leaves (Figure 5.2).

(b) Photoassimilate transport and crop yield

During domestication of crop plants, plant breeders selected for crop yield via maximum investment into harvested organs (mostly seeds). Total plant biomass production of advanced wheat is the same as its wild progenitors yet grain yield has increased some 30-fold through breeding. That is, whole-plant source and sink strength have not changed. Increases in wheat yield are associated with a diversion of photoassimilates from vegetative organs to the developing grain, as illustrated by the relative accumulation of 14C photoassimilates exported from the flag leaf.

Final grain yield is not only determined by partitioning of current photoassimilates, but also depends upon remobilisation of non-structural carbohydrates stored in stems, particularly under conditions where environmental stress impairs leaf photosynthesis (Wardlaw 1990). In fact, remobilisation of reserves affects yield in many food plants. For example, deciduous fruit trees depend entirely on remobilised photo-assimilates to support flowering and fruit set as do early stages of pasture regrowth following grazing.

5.1.3 - Whole-plant distribution of photoassimilate

Fig 5.14.jpg

Figure 5.3 Photoassimilate distribution in a rooted cutting of Washington Navel orange (mounted specimen shown on left; matching autoradiograph on right). 14CO2 was supplied to source leaves (boxed area top left) for a day, and movement of 14C-labelled assimilate followed by autoradiography of harvested plant material. 14C photosynthates were distributed widely via vascular conduits to sinks including some roots and a fruit on an adjacent shoot (note stem labelling between sources and sinks). Nearby mature leaves failed to import; they were additional sources of photosynthate. Scale bar = 2 cm (Unpublished material courtesy P.E. Kriedemann)

Photoassimilate transport to harvestable organs plays a central role in crop yield brought about by greater harvest indices. This raises questions about transport and transfer processes that collectively influence photoassimilate partitioning between competing sinks.

Historically, these questions were elucidated by observing partitioning patterns of photoassimilates exported from specified source leaves labelled with 14C supplied as a pulse of 14CO2. Following a chase period, in which 14C photoassimilates are transported to and accumulated by recipient sink organs, the plant is harvested. The pattern of photoassimilate partitioning operating during the pulse is deduced from 14C activity accumulated by sinks (Figure 5.3).

Photoassimilates are partitioned from source leaves to sinks in characteristic and reproducible patterns. For instance, in a vegetative plant, lower leaves are the principal suppliers of photoassimilate to roots, whereas upper leaves are the principal suppliers to the shoot apex. Leaves in an intermediate position export equal quantities of photoassimilates in either direction. However, the pattern of photoassimilate partitioning is not static, it changes with plant development. In vegetative plants, the direction of flow from a leaf changes as more leaves above it become net exporters. Furthermore, at the onset of reproductive development, growing fruits or seeds become dominant shoot sinks for photoassimilates at the expense of vegetative apices.

Photoassimilate partitioning patterns can be altered experimentally by removal of selected sources (e.g. leaves) or sinks (e.g. fruits). These manipulative experiments demonstrate that photoassimilate partitioning reflects the relative strengths of individual sources and sinks. Properties of the phloem pathway connecting sources with sinks are shown in the following Section 5.2.

5.2 - Phloem transport

Fig_p_5.15.png

Figure 5.4 The role of bark (phloem) in sugar movement in plants. Mason and Maskell (1928) demonstrated that removing a complete ring of bark (a) while leaving the wood (xylem) intact prevented downward movement of sugars. When a strip of bark was retained between upper and lower stem parts (b), sugars flowed downwards in direct proportion to the width of the remaining bark

Photoassimilate, mainly in the form of sucrose, is loaded into phloem of photosynthetically active leaves for long distance transport to nonphotosynthetic sink tissues.  Figure 5.4  shows that assimilate transport occurs in phloem but not xylem. Key characteristics of phloem transport along with its chemical composition and regulation are described below.

5.2.1 - Phloem structure and function

(a) Phloem structure

In most plant species, phloem is made up of phloem fibres, phloem parenchyma, sieve cells (sieve elements) and their accompanying companion cells (Figure 5.5a). Sieve elements are ideally suited for rapid transport of substances at high rates over long distances. They are elongated and are arranged end to end in files referred to as sieve tubes (Figure 5.16b). Abutting sieve elements are interconnected through membrane-lined pores (sieve pores) with large diameters (1 to 15µm). These pores collectively form sieve plates (Figure 5.16c). The transport capacity of sieve tubes is dependent on a developmentally programmed degeneration of the sieve element protoplasm (cell contents) leaving an open, membrane-bound tube. In mature conducting sieve elements, the protoplast is limited to a functional plasma membrane enclosing a sparse cytoplasm containing low densities of plastids, mitochondria and smooth endo-plasmic reticulum distributed along the lateral walls (Figure 5.16d). These relatively empty sieve tubes provide a longitudinal network which conducts phloem sap (Figure 5.5b).

Fig 5.16ann.jpg

Figure 5.5 (a) spatial arrangement of cell types in a vascular strand from the primary stem of Phaseolus vulgaris (French bean); electron micrographs of stem phloem of Curcurbita maxima (b,c) and P. vulgaris (d) illustrating significant structural characteristics of sieve elements and companion cells. (a) Conducting cells of the phloem (sieve elements) and accompanying companion cells form groups of cells that are separated by phloem parenchyma cells. This mosaic of cells is located between the cortex and xylem and capped by phloem fibres. Scale bar = 7.3 μm. (b) A longitudinal section through two sieve elements arranged end to end to form part of a sieve tube. Companion cells can also be seen. The abutting wall (sieve plates) displays characteristic membrane-lined sieve pores (arrowheads). Cytoplasm of the sieve elements has largely degenerated leaving only endoplasmic reticulum (arrows) and a few plastids around the mature sieve element. Scale bar = 5 μm. (c) A face view of part of a sieve plate showing sieve pores (arrowheads). Scale bar = 0.5 μm. (d) Transverse section through a sieve element and its accompanying companion cell illustrating the sparse cytoplasm and low density of organelles in the sieve element contrasting with the dense ribosome-rich cytoplasm of the nucleated companion cell. Note the mitochondria and rough endoplasmic reticulum. Scale bar = 1.0 μm. c, cortex; cc, companion cell; e, epidermis; er, endoplasmic reticulum; m, mitochondrion; n, nucleus; p, pith; pf, phloem libres; pp, phloem parenchyma; se, sieve element; sp, sieve plates; vc, vascular cambium; x, xylem

Sieve elements are closely associated with one or more companion cells, forming a sieve element–companion cell (se–cc) complex (Figure 5.5d) that plays an important role in transport. These distinct cell types result from division of a common procambial mother cell. In mature se–cc complexes, relatively open sieve elements contrast with adjacent companion cells containing dense, ribosome-rich cytoplasm with a prominent nucleus and abundant mitochondria and rough endoplasmic reticulum (Figure 5.5d). High densities of extensively branched plasmodesmata in contiguous walls of sieve elements and companion cells (Figure 5.6) account for intense intercellular coupling in se–cc complexes (van Bel 1993). Thus, companion cells are considered to perform the metabolic functions surrendered by, but required for, maintenance of viable sieve elements. This functional coupling has led to the concept of se–cc complexes being responsible for phloem transport.

Fig_p_5.17_0.png

Figure 5.6 (a) Electron micrograph and (b) diagrammatic interpretation of a secondary plasmodesma interconnecting a mature sieve element and its companion cell in a tobacco leaf. Note the characteristic branching of the plasmodesma within the wall of a companion cell. Scale bar = 0.2 μm. c, callose; other symbols as for Figure 5.16 (Based on Ding et al. 1993; reproduced with permission of Blackwell Science)

(b) Visualising the translocation stream

Fig 5.18-ann.jpg

Figure 5.7 Microautoradiographs of (a) transverse and (b) longitudinal sections of Phaseolus vulgaris stem tissue illustrating localisation of 14C-labelled photosynthate in sieve tubes. These sections are obtained by snap freezing plant tissue and removing frozen water by sublimation (e.g. freeze-drying or freeze substitution). 14C-labelled compounds do not move during preparation. Tissues are embedded in absolute dryness and thin sections are cut, mounted dry on microscope slides and overlain with a thin film of photographic emulsion. Silver grains are visible in the emulsion where 14C, an ideal radioisotope for these experiments, irradiates the film. Abbreviations: se, sieve element; pp, phloem parenchyma; vb, vascular bundle; other symbols as for Figure 5.6. Scale bar in (a) = 20μm; in (b) = 10 μm

Transport of radioactively labelled substances through phloem has been demonstated using microautoradiography (Figure 5.7), providing irrefutable evidence that sieve elements are conduits for transport of phloem sap. Experimentally, a pulse of 14CO2 is fixed photosynthetically and 14C-labelled sugars are given time to reach the stem, which is then excised and processed for microautoradiography. As 14C first moves through the stem, most of the isotope is confined to the transport pathway and very little has had time to move laterally into storage pools. High densities of 14C-labelled sugars are found in sieve elements (Figure 5.7), demonstrating that these cells constitute a transport pathway.

(c) Phloem sealing mechanisms

Herbivory or environmental factors causing physical damage could pose a threat to transport through sieve tubes and has undoubtedly imposed strong selection pressure for the evolution of an efficient and rapid sealing mechanism for damaged sieve tubes. Since sieve tube contents are under a high turgor pressure (P), severing would cause phloem contents to surge from the cut site, incurring excessive assimilate loss in the absence of a sealing mechanism. For dicotyledonous species, an abundant phloem-specific protein (P-protein) provides an almost instantaneous seal. P-protein is swept into sieve pores where it becomes entrapped, thus sealing off the damaged sieve tubes. Production of callose (β-1,3 glucan) in response to wounding or high-temperature stress is another strategy to seal off damaged sieve tubes. Callose also seals off sieve pores during overwintering in deciduous plants. Callose is deposited between the plasma membrane and cell wall, eventually blocking sieve pores. Whether deposited in response to damage or overwintering, callose can be degraded by β-1,3 glucanase, allowing sieve tubes to regain transport capacity.

5.2.2 - Techniques to collect phloem sap

Since phloem translocation is confined to sieve elements embedded within a tissue matrix, it is difficult to obtain uncontaminated samples of translocated sap. The least equivocal approach has been to take advantage of the high P of sieve tube contents. Puncturing or severing sieve tubes should cause exudation of phloem sap provided a sealing mechanism is not activated.

5.2-Ch-Fig-5.8.png

Figure 5.8 Aphids can be used to collect phloem sap. Top photograph: a feeding aphid with its stylet embedded in a sieve tube (see insert); scl, sclerenchyma; st, stylet; x, xylem; p, phloem. Note the drop of ‘honeydew’ being excreted from the aphid’s body. Plates (a) to (e) show a sequence of stylet cutting with an RF microcautery unit at about 3-5 s intervals (a to d) followed by a two-minute interval (d to e) which allowed exudate to accumulate. The stylet has just been cut in (b); droplets of hemolymph (aphid origin) are visible in (b) and (c); once the aphid moves to one side the first exudate appears (d), and within minutes a droplet (e) is available for microanalysis. Scale bars: top = 1 mm, bottom = 1.5 mm (Courtesy D. Fischer)

5.2-Ch-Fig-5.9.png

Figure 5.9. Exudation of phloem contents from lupins. A, following incision of the vasculature at the stylar tip and of the ventral suture of fruits of Lupinus angustifolius. B, following incision of the vasculature of a stem of L. angustifolius. C, following incisions to the vasculature of pre and post anthesis stage flowers on the inflorescence of L. angustifolius. D. exudation at the abscission zone following abscission of two flowers 5 minutes earlier on the raceme of L. mutabilis. Photographs courtesy Craig. Atkins.

For some plant species, sieve-pore sealing develops slowly, or can be experimentally down-regulated by massage or repeated excisions (Milburn and Kallarackal 1989) or slowed by puncturing the vasculature while it is snap frozen in liquid N2 (Pate et al 1984). Carefully placed incisions that do not disturb the underlying xylem, which in any case is more likely to be under tension, permit collection of relatively pure phloem exudate through the severed sieve tubes. Nevertheless, contamination with the contents of cells other than sieve tubes damaged at the site of incision is inevitable.  For the major solutes of phloem such as sugars or amino acids that are present in high concentrations this problem is minimal but for less abundant molecules like hormones or other signals, particularly proteins or nucleic acids, conclusions about the origin and functions of these must be made with caution. The ‘natural hemophiliacs’ of the plant world are few and include a number of cucurbits, some brassicas, castor bean, species of the genus Yucca and some species of lupin (Lupinus albus, L. angustifolius, L. mutabilis and L. cosentinii). The excision technique has been expanded to plant species that do not readily exude, by chemically inhibiting the sealing mechanism. Callose production is blocked when wounded surfaces are exposed to the chelating agent ethylenediaminetetraacetic acid (EDTA) by complexing with calcium, a cofactor for callose synthase. Immersing whole, excised organs in EDTA solution, which is essential to inhibit blockage, risks contaminating sap with solutes lost from the apoplast as well as non-conducting cells. This is not an ideal technique.

Enlisting sap-sucking aphids or leaf hoppers to sample sap has been more successful. Aphids can guide a long syringe-like mouthpart (a stylet) into conducting sieve elements (Figure 5.8). Pressure normally forces sieve-tube sap through the stylet into the aphid’s gut where it becomes food or is excreted as ‘honeydew’. By detaching the aphid from its mouthpart pure phloem contents can be collected from the cut end of the implanted stylet. Detaching the aphid body can be achieved by surgery following rapid anesthesia in high CO2 or by severing the stylet using a laser.  While stylectomy has been successful with a number of monocotyledons (rice, wheat and barley) the technique has proved more difficult to use with dicotyledons, yielding at best a few microlitres of phloem contents. On the other hand collection of milliliter volumes of exudate from one of the natural hemophiliacs is possible permitting extensive analysis of solutes and macromolecules. In the case of lupins, exudation occurs readily at many sites on the plant so that solutes translocated from source tissues as well as entering sinks can be collected and analysed (Figure 5.9).

5.2.3 - Chemical nature of translocated material

(a) Chemical analysis of phloem exudate

Chemical analyses of phloem exudate collected from a wide range of plant species have led to a number of generalisations (e.g. Milburn and Baker 1989) about the contents of sieve tubes. Phloem exudate is a concentrated solution (10–12% dry matter), generating an osmotic pressure (Π) of 1.2 to 1.8MPa. pH is characteristically alkaline (pH 8.0 to 8.5). The principal organic solutes are non-reducing sugars (sucrose), amides (glutamine and asparagine), amino acids (glutamate and aspartate) and organic acids (malate). Of these solutes, non-reducing sugars generally occur in the highest concentrations (300–900 mM). Nitrogen is transported through the phloem as amides and amino acids; nitrate is absent and ammonium only occurs in trace amounts. Calcium, sulphur and iron are scarce in phloem exudate while other inorganic nutrients are present, particularly potassium which is commonly in the range of 60–120 mM. Physiological concentrations of auxins, gibberellins, cytokinins and abscisic acid have been detected in phloem exudate along with nucleotide phosphates. The principal macromolecule group is protein but low levels of peptides and nucleic acids are also present.  While in cucurbits the protein in exudate is comprised largely of P-protein, a diverse array of proteins, many of them enzymes, have also been detected.

(b) Significance of the chemical forms translocated 

Phloem sap provides most inorganic and all organic substrates necessary to support plant growth. Non-transpiring tissues are particularly dependent on resources delivered in the phloem (Section 5.1). That translocated sugars represent the major chemical fraction of the phloem sap is consistent with the bulk of plant dry matter (90%) being composed of carbon, hydrogen and oxygen. Carbon transport is further augmented by transport of nitrogen in organic forms.

Carbohydrate is translocated as non-reducing sugars in which the metabolically reactive aldehyde or ketone group is reduced to an alcohol (mannitol, sorbitol) or combined with a similar group from another sugar to form an oligosaccharide. Apart from sucrose, transported oligosaccharides belong to the raffinose series. In this series, sucrose is bound with increasing numbers of galactose residues to form raffinose, stachyose and verbascose respectively. However, sucrose is the most common sugar species transported. In a small number of plant families, other sugar species predominate. For example, the sugar alcohol sorbitol is the principal transport sugar in the Rosaceae (e.g. apple) and stachyose predominates in the Cucurbitaceae (e.g. pumpkin and squash). Exclusive transport of non-reducing sugars probably reflects packaging of carbohydrate in a chemical form which protects it from being metabolised. Metabolism of these transported sugars requires their conversion to an aldehyde or ketone by enzymes which are thought to be absent from sieve-tube contents.

Plant physiologists have long regarded the two long distance translocation streams of xylem and phloem as having functions additional to the distribution of nutrients and assimilates. Specifically, each serves as a means of communication between the source and sink organs such that systemic signals are thought to transmit molecular responses to endogenous and environmental cues. Furthermore, evidence is accumulating that some of these signals regulate gene expression as a consequence of their translocation (see below). 

(c) Macromolecule composition of phloem

Proteomic and transcriptomic analyses have demonstrated a widely diverse composition of proteins, peptides and nucleic acids, including mRNA and small RNAs, in phloem exudates. While the origin of each individual protein or nucleic acid remains to be verified the limited compositional data available from stylectomy confirms that indeed each group of macromolecules is present in phloem. In cucurbit phloem exudate some 1110 different proteins have been detected along with a large number of mRNAs and similar data have been obtained for exudates from other species (Brassica napus, Ricinus communis and Lupinus albus). Compositional data for phloem proteins of these species show a common complement that includes phloem-specific P proteins together with proteins involved in sugar metabolism and transport, protein turnover and transport, detoxification of reactive oxygen species, as well as proteins that provide defence against insect herbivores and pathogens (Figure 10).  Some undoubtedly play a role in maintenance of the SE system while others, such as the Flowering Locus T (FT) protein associated with the flowering response (‘florigen’), appear to be systemic ‘signals’ (Rodriguez-Medina et al 2011) and there may be many more. Because sieve tubes are enucleate and lack ribosomes (5.2.2 a), proteins in the translocation stream are not formed in situ but are transported from sites of synthesis in the companion cells.

image017.png

Figure 5.10. Two dimensional polyacrylamide gel electrophoresis separation of proteins in phloem exudate from Lupinus albus.  The gel was developed in the first dimension by isoelectric focusing with a linear pH gradient of 3-10 followed by separation due to differences in molecular mass.  The positions of mass standards are shown on the right hand side of the gel.  After staining with Coomassie Blue to locate the spots they were excised for digestion with trypsin. The peptides were then analysed by partial sequence determination using MS/MS and identified using database searches. (Courtesy of Craig Atkins)

Functional analysis of the cDNA identified in transcriptome studies of phloem exudates revealed transcripts involved in a wide range of processes that include metabolism, plant responses to stresses, transport, DNA/RNA binding and protein turnover.  The presence of transcripts in phloem exudate supports the idea of an RNA-based signalling network that is thought to function in control of processes associated with plant growth and development (Lough and Lucas, 2006).  However, the functional role of transcripts in the contents of sieve tubes as well as their actual translocation is yet to be determined.

Small RNA molecules (18-25 nt) have been identified in phloem exudate collected from rape, white lupin, pumpkin, castor bean and Yucca filamentosa as well as in aphid stylet exudate collected from apple stems. The population includes both microRNAs (miRNA) and small interfering RNAs (siRNA) a large number of which target mRNA of transcription factors that themselves regulate genes expressions. miRNAs are also involved in mediating environmental responses, including responses to salinity, drought, nutrient limitations, as well as hormone interactions. Their small size and powerful functions in targeting mRNAs to regulate expression suggest that those in phloem exudate are likely to be systemic signals.

An important question that relates to the significance of macromolecules in the contents of sieve tubes is proof that they are translocated and that translocation is essential for their function at a sink. A diversity of studies that have exploited cucurbit root stocks and grafted scions has provided clear evidence that P proteins among others are graft transmissible. In a series of elegant experiments Aoki et al. (2005) labelled and injected two isolated pumpkin phloem proteins (CmPP16‑1 and CmPP16-2) into the vasculature of intact rice plants through severed leaf hopper stylets and showed their translocation as well as some evidence for specificity in protein translocation.  The Flowering Locus T (FT) protein formed in leaves mediates the flowering transition of shoot apical meristems and the evidence that it is translocated is compelling. The long distance movement of RNA molecules was first demonstrated for plant viruses and there is now good evidence for phloem translocation of a number of transcripts (Lough and Lucas 2006). A recent compilation identified 13 miRNAs involved in plant responses to drought/salt stress (Covarrubias and Reyes 2010).  Eight of these were identified in lupin phloem exudate (Rodriguez-Medina et al. 2011) and, importantly, six were also recovered from PCR amplification of apple stylet exudate (Varkonyi-Gasic et al 2010).  There is thus a possibility that the responses to drought and salinity are mediated through miRNAs translocated from sites where the stress is sensed to sites where a response is initiated. 

The most convincing case for a translocated miRNA in phloem regulating gene expression relates to Pi homeostasis. While both local and systemic signals are involved, miR399 is phloem mobile and acts directly in roots to down regulate the expression of PHO2 (a ubiquitin conjugating enzyme) that results in greater expression of Pi transporters to increase Pi uptake under conditions of deficiency. Systemic signaling has also been implicated in homeostasis of other nutrients, including N, S and Cu with, in each case, miRNAs involved. 

5.2.4 - Phloem flux

Phloem flux can be estimated in a number of ways. The simplest is to determine dry weight gain of a discrete organ connected to the remainder of a plant by a clearly definable axis of known phloem cross-sectional area. Developing fruits or tubers meet these criteria. Sequential harvests from a population of growing fruit or tubers provide measures of the organ’s net gain of dry matter imported through the phloem. Net gains or losses of dry matter resulting from respiration or photosynthesis are incorporated into calculations to give gross gain in dry matter by the organ. Flux of dry matter through the phloem (specific mass transfer — SMT; Canny 1973) can then be computed on a phloem or preferably on a sieve-tube lumen cross-sectional area basis. Area estimates can be obtained from histological sections of the pedicel or stolon that connects a test organ to its parent plant. Expressed on a phloem cross-sectional area basis, SMT estimates are normally in the range of 2.8–11.1 g m–2 phloem s–1 (Canny 1973). Flux on the basis of sieve-tube lumen cross-sectional area is preferable but relies on identification of sieve tubes and the assumption that they are equally functional as transport conduits. Sieve tubes account for some 20% of phloem cross-sectional area, suggesting fluxes are about five-fold higher through a sieve-tube lumen.

Speed of phloem translocation can be determined from simultaneous measurements of SMT and phloem sap concentrations as shown in Equation 5.1 below:

\[\mathrm{Speed} (m \cdot s^{-1}) = \mathrm{SMT}(g \cdot m^{-2} \cdot s^{-1})/ \mathrm{concentration} (g \cdot m^{-3}) \tag{5.1} \]

For a sucrose concentration of 600 mM (or 2.16 x 105 g m-3) and the highest SMT values shown above, Equation 5.1 estimates that phloem sap can move at speeds of up to 56 × 10–5 m s–1 or 200 cm h–1. These estimates have been verified by following the movement of radioisotopes introduced into the phloem translocation stream.

These estimates of transport rates and speeds tacitly assume that phloem sap moves through sieve tubes by mass flow (water and dissolved substances travel at the same speed). Independent estimates of transport rate, concentration of phloem sap and translocation speed lend support to, but do not verify, the assumption that movement occurs as a mass flow.

A simple and direct test for mass flow is to determine experimentally whether water and dissolved substances move at the same speed. This test should be relatively easy to apply using radioactively labelled molecules. Unfortunately, in practice it turns out that different molecular species are not loaded into the sieve tubes at the same rates and the plasma membranes lining the sieve tubes are not equally permeable to each substance. Thus, the analysis is complicated by the necessity to use model-based corrections for rates of loading into and losses from the sieve tubes. Nevertheless, the speed estimates obtained from such experiments are found to be similar for dissimilar molecules, supporting the proposition that mass flow accounts for most transport through sieve tubes.

Phloem translocation is generally believed to be driven by pressure. Münch (1930) proposed that a passive mass flow of phloem sap through sieve tubes was driven by the osmotically generated pressure gradient between source and sink regions (Figure 5.11). At source regions, the principal osmotica of phloem sap are actively or passively loaded into sieve tubes from companion cells or mesophyll cells (see 5.3.2), thereby driving water towards the lower water potentials within sieve tubes. As water enters, P rises. Unloading of solutes from sieve tubes at sink regions reverses water potentials; water flows out of sieve tubes and P falls relative to that of sieve tubes in source regions.

The pressure-flow hypothesis can be modelled using the relationship that rate of mass flow (Ff) of a substance is given by the product of speed (S) of solution flow, path cross-sectional area (A) and its concentration (C). That is:

 \[F_f = S \cdot A \cdot C \tag{5.2}\]

 Speed (m s–1) has the same units as volume flux (Jv — m3 m–2 s–1) of solution passing through a transport conduit. Poisseuille’s Law describes the volume flux (Jv) of a solution of a known viscosity (h) driven by a pressure difference (DP) applied over the length (l) of pathway of radius (r) as:

\[J_v = \pi r^4 \Delta P/8 \eta l \tag{5.3} \]

Fig_p_5.20.png

Figure 5.11 Scheme describing the pressure flow hypothesis of phloem transport (Based on Münch 1930)

The term πr4/8ηl in Equation 5.3 provides an estimate of hydraulic conductivity (Lp) of the sieve-tube conduit which is set by the radius of the sieve pores. Raised to the fourth power, small changes in the sieve-pore radius will exert profound effects on the hydraulic conductivity of the sieve tubes (Section 5.2). The viscosity of sieve-tube sap is determined by the chemical species (particularly sugars) and their concentrations in the phloem sap.

Key features of the pressure-flow hypothesis are encapsulated in Equation 5.3. The central question is whether a pressure gradient exists in sieve tubes with the expected direction and of sufficient magnitude to support observed rates of sap flow. Indirect estimates of P in sieve tubes made through determination of intra- and extracellular P support the pressure-flow hypothesis. Direct measurements of sieve-tube P are technically challenging because of the inaccessibility of these small, highly turgid cells. They are, for instance, too small for pressure-probe measurements. However, manometric pressure measurements obtained using severed aphid stylets agree with indirect estimates (Wright and Fisher 1980). Experimental manipulation of the pressure gradient between the source and sink also results in alterations in phloem translocation rates consistent with the pressure-flow model.

Whether the pressure gradient is sufficiently steep is a more vexing question. The pressure gradient required to drive phloem translocation at observed rates is determined by the transport resistance of the phloem path, according to Ohm’s Law. Dimensions of the sieve pores set a limiting radius for volume flux of transported sap (Equation 5.3) and hence transport resistance. If the sieve pores were open and unoccluded by P-protein, a number of studies have demon-strated that the measured pressure gradients are sufficient to support the observed rates of flow. However, the in situ radii of sieve pores remain unknown.

Overall, the pressure-flow hypothesis accounts for many observed features of phloem translocation, including distribution of resources. While conclusive evidence supporting this hypothesis is still sought, less attention is now focused on this issue with a growing appreciation that the phloem pathway has spare transport capacity. Evidence from Kallarackal and Milburn (1984), for example, showed that the specific mass transfer (SMT – see preceding section) to an intact fruit of castor bean could be doubled on removal of competing fruits. Moreover, if P of sieve elements at the sink end of the phloem path was reduced to zero, by severing the pedicel and allowing exudation, SMT rose to an incredible 305 g m–2 sieve-tube area s–1! In another experiment, when half the conducting tissue was removed from the peduncle of sorghum or wheat plants, grain growth rate was not impaired (Wardlaw 1990). Together, these observations imply that phloem has excess carrying capacity in both dicotyledons and monocotyledons. Particularly in monocotyledonous plants, a strong selection pressure for spare transport capacity must exist because there is no vascular cambial activity to replace damaged sieve elements.

5.2.5 - Control of assimilate transport from source to sink

Loading of sugars, potassium and accompanying anions into sieve tubes at sources determines solute concentrations in phloem sap (Table 5.1). The osmotic pressure (Π) of these solutes influences P generated in sieve tubes. Thus, source output determines the total amount of assimilate available for phloem transport as well as the pressure head driving transport along the phloem path to recipient sinks. Withdrawal of assimilates from sieve tubes at the sink end of the phloem path, by the combined activities of phloem unloading and metabolism/compartmentation (Table 5.1), determines Π of phloem sap. Other sink-located membrane transport processes influence Π around sieve tubes. The difference between intra- and extracellular Π of sieve tubes is a characteristic property of each sink and determines P in sink sieve tubes.

The pressure difference between source and sink ends of the phloem pathway drives sap flow (Equation 5.3) and hence phloem translocation rate (Equation 5.2) from source to sink. The source and sink processes governing the pressure dif-ference (Table 5.1) are metabolically dependent, thus rendering phloem translocation rates susceptible to cellular and environmental influences. The pressure-flow hypothesis predicts that the phloem path contribution to longitudinal transport is determined by the structural properties of sieve tubes (Table 5.1). Variables of particular importance are cross-sectional area (A) of the path (determined by numbers of sieve pores in a sieve plate and sieve-tube numbers) and radius of these pores (sets r in Equation 5.3). These quantities appear in Equations 5.2 and 5.3. Thus, the individual properties of each sink and those of the phloem path connecting that sink to its source will determine the potential rate of assimilate import to the sink (Figure 5.12).

Fig_p_5.21.png

Figure 5.12. Scheme describing photoassimilate flow from a source leaf linked to two competing sinks, Sink 1 and Sink 2. Assimilate flows through alternative phloem paths (Path 1 and Path 2) each with its own conductance (Kpath) and pressure difference (P) between source and sink. Hence Path 1 is distinguished by Kpath1 and Psink1 and Path 2 by Kpath2and Psink2

The transport rate (R) of assimilate along each phloem path, linking a source with each respective sink, can be predicted from the pressure-flow hypothesis (see Equations 5.2 and 5.3) as:

\[ R = K_{path} (P_{source} - P_{sink}) C \tag{5.4}\]

where path conductance (Kpath) is the product of path hydraulic conductivity (Lp) and cross-sectional area (A). Hence, the relative flows of assimilates between hypothetical sinks (sink 1 and sink 2) shown in Figure 5.12 may be expressed by the following ratio:

\[ \frac{K_{path1} (P_{source} - P_{sink1}) C} {K_{path2} (P_{source} - P_{sink2}) C} \tag {5.5} \]

Partitioning of assimilates between two competing sinks is thus a function of path conductance and P at the sink end of the phloem path (Equation 5.5). Since phloem has spare capacity, any differences in the conductance of the inter-connecting paths (Figure 5.12) would exert little influence on the rate of phloem transport to the competing sinks. Assimilate partitioning between competing sinks would then be determined by the relative capacity of each sink to depress sieve-tube P at the sink end of the respective phloem path. Even when differences in path conductance are experi-mentally imposed, phloem transport rates are sustained by adjustments to the pressure differences between the source and sink ends of the phloem path (Wardlaw 1990).

These conclusions have led to a shift in focus from phloem transport to phloem loading and unloading, which are instrumental in determining the amount of assimilate translocated and its partitioning between competing sinks, respectively.

5.3 - Phloem loading

Photoassimilates are loaded along the entire phloem transport pathway, from photosynthetic leaves to importing sinks. While most photoassimilate loading occurs in photosynthetically active leaves, root-produced metabolites, such as amino acids, move readily from xylem to phloem particularly at the stem nodes. Phloem loading also occurs in storage organs during periods when reserves are remobilised and exported. Indeed, the membrane transport events contributing to phloem loading were first examined using export of sucrose remobilised from the endosperm of germinating castor bean seed as an experimental model (Kriedemann and Beevers 1967).

This section focuses on phloem loading in the leaves. It analyses the cellular pathways for assimilate loading, and the regulatory controls.

5.3.1 - Pathway of phloem loading in source leaves

(a) Delineating the transport path 

Phloem loading is used variously to describe transport events outside, and inside, phloem tissues of leaves. The broader general application is adopted here — that is, phloem loading describes photoassimilate transport from the cytoplasm of photosynthetic mesophyll cells to se–cc complexes of leaf phloem.

Phloem loading commences in mesophyll cells and ends in the leaf vascular system. The se–cc complexes occur in a wide array of vascular bundle sizes. In dicotyledonous leaves, veins undergo repeated branching, forming the extensive minor vein network described in Section 5.2. For example, sugar beet leaves contain 70cm of minor veins cm–2 of leaf blade, while the major veins contribute only 5.5cm cm–2 of leaf blade (Geiger 1975). These observations and physiological studies (van Bel 1993) show that the principal site of phloem loading is in the minor vein network of dicotyledonous leaves. In contrast, the major veins transport loaded photoassimilates out of leaves.

Fig 5.22-ann.jpg

Figure 5.13. Transmission electron micrograph through a minor vein of a source leaf of maize (Zea mays L.) This vascular bundle consists of two sieve elements (st), one xylem vessel (v) and five vascular parenchuma cells (vp). These sieve elements are of two types, one thin walled and accompanied by a companion cell, the other thick walled and adjacent to the xylem vessel. Other symbols are: bs, bundle sheath; cc, companion cell; is, intracellular space; st, sieve tube. Scale bar - 4.2 µm (Based on Evert et al. 1978; reproduced with permission of Planta)

Minor veins usually comprise a single xylem element, vascular parenchyma cells and one to two sieve elements surrounded by one to four companion cells (Figure 5.13). The se–cc complex in minor veins bears similarities to that of stems (Figure 5.6). Companion cells have dense cytoplasm containing many mitochondria and are often considerably larger than the sieve elements they accompany. Companion cells are symplasmically connected to the sieve elements by branched plasmodesmata.

Cross-sectional areas of veins in monocotyledonous leaves reveal large and small parallel veins. Photoassimilates are loaded into the small veins and conducted through large veins. Fine transverse veins carry photoassimilates loaded into small veins across to large veins for export.

(b) Cellular pathways — symplasmic versus apoplasmic

Fig_p_5.23.png

Figure 5.14. Scheme describing symplasmic and apoplasmic pathways of phloem loading. Lines without arrows joining boxes represent symplasmic continuity (i.e. plasmodesmata). Black arrows indicate symplasmic transport (i.e. through plasmdesmata); green arrows indicate apoplasmic transport requiring solutes to cross membranes. vpc, vascular parenchyma cell; se, sieve element; cc, companion cell (Based on van Bel 1993)

Photoassimilates could move intercellularly through interconnecting plasmodesmata from chloroplasts in mesophyll cells to the lumena of sieve elements (symplasmic phloem loading) or across plasma membranes, travelling part of the route through the cell wall continuum (apoplasmic phloem loading). These fundamentally different pathways are shown schematically in Figure 5.14. Debate persists over which cellular pathway of phloem loading prevails because experiments on transport from mesophyll cells to sieve elements are difficult.

Extraordinarily, the cellular pathway of phloem loading reflects evolutionary relationships. Species from ancient plant groups display symplasmic loading, while species of more modern plant groups appears to exhibit apoplasmic phloem loading (van Bel 1993). Evidence for respective routes of loading follows.

A symplasmic pathway depends upon development of extensive plasmodesmal interconnections between adjoining cells, forming a cytoplasmic continuum from mesophyll to se–cc complexes (Figure 5.14). Such symplastic continuity is found in leaves of plant families containing trees and shrubs as well as cucurbits such as squash (van Bel 1993). An abundance of plasmodesmal interconnections demonstrates potential for symplasmic transport but does not establish whether such transport actually occurs. Membrane-impermeant fluorescent dyes microinjected into mesophyll cells are transported to se–cc complexes, demonstrating that plasmodesmata can provide a route for photoassimilate transport. Furthermore, when leaves were fed14CO2 and treated with inhibitors that block sugar transport across plasma membranes, transport of 14C-labelled photo-assimilates continued unaffected along the enforced symplasmic unloading route (Figure 5.15; van Bel 1993). In this case, sugar levels are higher in the mesophyll than in the phloem and ions and molecules diffuse through plasmodesmata at each interface, without a concentrating step (Turgeon 2010). Therefore, this is a passive symplasmic phloem loading.

Symplasmic phloem loading may also be an active process occurring in some herbaceous eudicots. This model of phloem loading, called polymer trap mechanism, depends on sucrose being biochemically converted to raffinose oligosaccharides (RFOs) in specialized CCs (intermediary cells - ICs) (Turgeon 2010). The biochemical synthesis of RFOs from sucrose requires metabolic energy. The synthesized RFOs exceed size exclusion limits of plasmodesmata linking mesophyll cells with ICs and therefore are trapped and accumulate to high concentrations in SE/IC complexes of minor veins for long distance transport (Turgeon 2010).

Plant species that load phloem from the leaf apoplasm are characterised by a low abundance of plasmodesmata between se–cc complexes and abutting vascular cells. However, as for symplasmic loaders, mesophyll cells of these species are interconnected by abundant plasmodesmata (Figure 5.23). Herbaceous and many crop species belong to this group of phloem loaders, including grasses (van Bel 1993). Conventional physiological observations are consistent with phloem loading in leaves of these species including a membrane transport event located somewhere between mesophyll cells and the se–cc complexes of minor veins (Figure 5.15).

Fig_p_5.24.png

Figure 5.15. Testing whether photoassimilates move from mesophyll cells to se-cc complexes through (a) an entirely symplasmic route or (b) a route with an apoplasmic step. The approach is to use PCMBS as an inhibitor of membrane transport. PCMBS does not cross membranes but binds to the apoplasmic face of plasma membranes. Therefore, it blocks apoplasmic transport while symplasmic phloem loading is unaffected. PCMBS was introduced into the leaf apoplasm through the transpiration stream of excised leaves. Leaves were then exposed in a closed illuminated chamber to 14CO2. The 14C photoassimilate exported from labelled leaf blades was used to monitor phloem loading. PCMBS only reduced photoassimilate export (i.e. phloem loading) from those leaves with few plasmodesmata interconnecting se-cc complexes with surrounding cells. Thus, photoassimilate flow included a membrane transport step from the leaf apoplasm in certain plant species while others loaded via a symplasmic route. cc, companion cell; mc, mesophyll cell; msc, mesophyll sheath cell; PCMBS (para-chloromercuriben-zenesulphonic acid, also abbreviated to P); se, sieve element; vp, vascular parenchyma (Based on van Bel 1993)

Molecular biology has brought new insights to phloem loading. For instance, existence of an apoplasmic step demonstrated with PCMBS (Figure 5.15) has been elegantly confirmed using molecular biology to control activity of the sucrose/proton symporter responsible for sucrose uptake from phloem apoplasm into se–cc complexes. Specifically, potato plants were transformed with an antisense copy of the gene encoding the sucrose/proton symporter, producing a phenotype with low levels of the symporter in plasma membranes of se–cc complexes (Frommer et al. 1996). Excised leaves of transformed plants exported significantly less photoassimilates than wild-type plants, corroborating the inhibitory effect of PCMBS on apoplasmic phloem loading (Figure 5.15). This provides compelling evidence that passage of photoassimilates from mesophyll cells to se–cc complexes in potato leaves includes an apoplasmic step.

Vascular parenchyma cells are the most probable site for photoassimilate exchange to phloem apoplasm (van Bel 1993), ensuring direct delivery for loading into se–cc complexes. Furthermore, plasma membranes of se–cc complexes in minor veins have increased surface areas to support photoassimilate transfer from phloem apoplasm. Notably, the surface area of se–cc complexes in sugar beet leaves is surprisingly large—0.88 cm–2of leaf blade surface. By implication, these large membrane surfaces are involved in phloem loading. Further support comes from cytochemical studies, demonstrating a great abundance of proteins associated with energy-coupled sucrose transport (Section 5.3.3(b)).

Leaf anatomies in some plant species suggest a potential for simultaneous phloem loading through apoplasmic and symplasmic pathways (van Bel 1993). Whether these pathways connect the same sieve element, different sieve elements in the same minor vein order or sieve elements in different vein orders is still unknown.

5.3.2 - Mechanisms of phloem loading

(a) General characteristics

Any hypothesis of phloem loading must account for the following characteristics:

  1. Elevated solute concentration in se–cc complexes. Estimated solute concentrations in sap of se–cc complexes is much higher than concentrations in sap of surrounding cell types, irrespective of whether phloem loading is by an apoplasmic or a symplasmic route.
  2. Selective loading of solutes into se–cc complexes. Chemical analysis of phloem sap by techniques shown above in Section 5.2 reveals relative solute concentrations different from those in surrounding cells. Phloem loading is therefore a selective process.

(b) Symplasmic loading 

The above-described characteristics have been used to argue against loading of se–cc complexes through a symplasmic route on the grounds that plasmodesmata lack mechanisms for concentrating and selecting solutes. However, a contribution of plasmodesmata to concentrating and selecting solutes cannot be precluded from our current knowledge of plasmodesmal structure and function.

Plants that load se–cc complexes through a symplasmic route translocate 20–80% of sugars in the form of raffinose-related compounds such as raffinose, stachyose and verbascose (Section 5.2.3(c)). Grusak et al. (1996) proposed a model for symplasmic phloem loading that accounts for the general characteristics stated above. According to this model (Figure 5.16), sucrose diffuses from mesophyll and bundle sheath cells into intermediary (companion) cells through plasmodesmata. Within companion cells, sucrose is thought to be enzymatically converted to oligosaccharides (raffinose or stachyose) maintaining a diffusion gradient for sucrose from mesophyll cells into se–cc complexes. The molecular-size-exclusion limit of plasmodesmata interconnecting mesophyll and companion cells is such that it prevents back diffusion of stachyose and raffinose molecules, which are larger than sucrose. These oligosaccharides are able to diffuse through plasmodesmata with larger diameters linking companion cells with sieve elements (van Bel 1993). This model accounts for selective loading of sugars to achieve high photoassimilate concentrations in phloem elements.

Fig_p_5.25.png

Figure 5.16. Model of the ‘polymerisation trap mechanism’ to explain symplasinic phloem loading against a solute concentration gradient. Sucrose moves through a symplasmic path from photosynthetic cells into intermediary (companion) cells of the minor veins. Sucrose movement is by diffusion down a concentration gradient maintained by the polymerisation of sucrose into oligosaccharides (raffinose and stachyose) in intermediary cells. Diffusion of these oligosaccharides into mesophyll cells is prevented, as their size exceeds the molecular exclusion limit of plasmodesmata joining mesophyll and intermediary cells. However, the larger-diametered plasmodesmata linking intermediary cells with sieve elements permit oligosaccharides to be loaded into sieve elements for export from the leaf. [], glucose; Δ, fructose; • galactinol (Based on Grusak et al. 1996)

(c) Apoplasmic loading 

Phloem loading with an apoplasmic step is an attractive model, explaining both how solutes become concentrated in se–cc complexes (energy-coupled membrane transport) and how they could be selected by specific membrane transporters (see van Bel 1993). Identifying transport mechanisms responsible for photoassimilate transport to and from the leaf apoplasm has proved challenging.

Based on estimates of sucrose fluxes and high sucrose concentrations in phloem sap, there is little doubt that sucrose loading into phloem is energy dependent. The demonstration that PCMBS blocks loading of photoassimilates in whole leaves of certain species (Section 5.3.2(b)) points to carrier-mediated transport across plasma membranes. Genes encoding sucrose porters have been cloned from leaf tissue (Frommer et al. 1996) and shown to be specifically expressed in leaf phloem. Complementation studies in yeast defective in sucrose transport suggest that the phloem-located sucrose porter catalyses sucrose/proton symport in a similar way to that illustrated in Figure 5.32. Antisense transformants of potato with low abundance of this symporter have impaired sucrose transport (Section 5.32(b)).

In contrast to photoassimilate uptake from phloem apoplasm, very little is known about the mechanism of sugar efflux into the apoplasm until very recently. Estimates of photoassimilate flux to phloem apoplasm, based on rates of sucrose export from leaves, suggest that this transport event must be facilitated by other transport processes (van Bel 1993). This is now confirmed by the recent cloning of sucrose efflux protein that sheds a light on the molecular mechanisms of phloem loading (Chen et al. 2012).  

5.3.3 - Sink regulation of phloem loading

Fig_p_5.26.png

Figure 5.17. Time-course of photoassimilate export from source leaves of tomato plants. Control plants, in which fruits were a major sink for photoassimilates, were maintained at 20°C. Treatments involved (1) removing fruit or (2) exposing plants with fruits to 30°C. The proportion of 14C label remaining in source leaves after a radioactive pulse was monitored through time to show that (1) presence of major sinks or (2) more rapid metabolism accelerated 14C export from source leaves (Based on Moorby and Jarman 1975).

(a) Sink effects on export

The response of photoassimilate export to changes in sink demand depends upon whether photoassimilate flow is source or sink limited (Wardlaw 1990). A source-limited system does not respond rapidly to an increase in sink demand, depending more on the capacity of leaves to increase the size of the transport pool. In contrast, alterations in sink demand in a sink-limited system elicit immediate effects on photoassimilate export. Figure 5.17 shows how the presence of fruits accelerates 14C export, especially at high temperatures. For leaves that load the se–cc complexes from apoplasmic pools, changes in sink demand probably influence photoassimilate export by altering membrane transport properties. These changes in membrane transport entrain a flow of adjustments in biochemical partitioning within the leaf through substrate feedback (see below).

(b) Sink effects on membrane transport

Changes in the turgor pressure of phloem sap or altered phytohormone levels could serve as signals for sink demand.

Changes in the pressure of sink phloem sap are rapidly transmitted through sieve tubes to sources. Phloem loading in source tissues responds to this pressure signal by changes in solute transport rates mediated by membrane-associated porters (van Bel 1993). This is a proposed mechanism for phloem loading which would respond rapidly (within minutes) to changes in sink demand.

Phytohormone levels in leaves respond to changes in the source/sink ratio. For instance, gibberellin levels in leaves proximal to developing inflorescences increase at fruit set. In contrast, abscisic acid levels in soybean and grape leaves are inversely related to alterations in sink demand (Brenner 1987). Therefore, changes in leaf phytohormone levels could serve to signal shifts in sink demand for photoassimilates. In this context, direct application of auxin and gibberellic acid to source leaves results in a rapid enhancement of photoassimilate export (Table 5.2). Gibberellic acid did not stimulate leaf photosynthesis or alter photoassimilate partitioning, appearing instead to upregulate phloem loading. This was confirmed by faster 14C loading into isolated phloem strands (Table 5.2).

(c) Sink influences on biochemical partitioning within source leaves  

A substrate feedback response is elicited if the rate of photo-assimilate export from chloroplasts is limited by sink demand. If sucrose export from source pools is accelerated by phloem loading, substrate feedback inhibition of photoassimilate delivery is alleviated. A cascade of adjustments in the activity of key regulatory enzymes follows (see Section 2.3) with the final outcome of an increased flow of sucrose into transport pools. Conversely, if photoassimilate flow is limited by photosynthetic rate, the activity of enzymes responsible for sucrose biosynthesis is not subject to feedback inhibition by substrates. As a consequence, responses to increased sink demand can only be mediated by increases in photosynthetic enzyme activity.

5.4 - Phloem unloading and sink utilisation

Photoassimilate removal from phloem and delivery to recipient sink cells (phloem unloading) is the final step in photoassimilate transport from source to sink. Within sink cells, cellular metabolism and compartmentation are the end-users of phloem-imported photoassimilates. Combined activities of these sink-located transport and transfer events determine the pattern of photoassimilate partitioning between competing sinks and hence contribute to crop yield.

Phloem unloading describes transport events responsible for assimilate movement from se–cc complexes to recipient sink cells. A distinction must be made between transport across the se–cc complex boundary and subsequent movement to recipient sink cells. The former transport event is termed sieve element unloadingand the latter post-sieve element transport. On reaching the cytoplasm of recipient sink cells, imported photoassimilates can enter metabolic pathways or be compartmented into organelles (e.g. amyloplasts, protein bodies and vacuoles). Metabolic fates for photoassimilates include catabolism in respiratory pathways, biosynthesis (maintenance and growth) and storage as macromolecules (starch and fructans).

Compared with phloem loading, phloem unloading and subsequent sink utilisation of imported photoassimilates operate within a much broader range of configurations:

  1. morphological (e.g. apices, stems, roots, vegetative storage organs, reproductive organs);
  2. anatomical (e.g. provascular differentiating sieve elements, protophloem sieve elements lacking companion cells, metaphloem se–cc complexes);
  3. developmental (e.g. cell division, cell expansion);
  4. metabolic (e.g. storage of soluble compounds/polymers, growth sinks).

A correspondingly large range of strategies for phloem unloading and sink utilisation must be anticipated.

5.4.1 - Cellular pathways of phloem unloading

Most photoassimilates travel along one of three cellular pathways: apoplasmic, symplasmic or a combination of both with symplasmic transport interrupted by an apoplasmic step (Figure 5.19).

Fig_p_5.30.png

Figure 5.18. Scheme describing the cellular pathways of phloem unloading and their relationship with sink types. (a) Apoplasmic unloading showing direct transport of photoassimilates from se—cc complexes to the phloem apoplasm. (b) Symplasmic unloading pathway which may or may not have an apoplasmic barrier between sieve elements and recipient sink cells. (c) Symplasmic unloading with the intervention of an apoplasmic step at (i) the maternal-filial interface of developing seeds and (ii) the vascular parenchyma-sink cell interface. Circled numbers denote different sink types assigned to each pathway. 1, vegetative apex; 2, elongating axis of a dicotyledonous stem; 3, mature axis of a primary dicotyledonous stem i permanent storage; 4, mature axis of a primary monocotyledonous stem i permanent storage; 5, mature primary root; 6, fleshy fruit; 7, developing seed. ab, apoplasmic barrier; apo, apoplasm; gp, ground parenchyma; sc, sink cell; se—cc, sieve element—companion cell complex; vp, vascular parenchyma.

(a) Apoplasmic pathways

Fig 5.31.jpg

Figure 5.19. Fluorescent micrograph of the distribution of a membrane-impermeant fluorescent dye, carboxyfluorscein (CF), imported through the phloem into roots of French bean (Phaseolus vulgaris L.). The green/yellow fluorescence of CF is confined to the se-cc complexes of mature portions of roots as seen by the thin central band of fluorescence away from the root apex. In contrast, dye spreads through the apex itself apparently via the symplasm of young cells. Scale bar = 2 mm

Photoassimilates can move directly across plasma membranes of se–cc complexes to the surrounding apoplasm (Figure 5.19a). Apoplasmic unloading is important along the axial transport pathway of roots and stems where vascular parenchyma and ground tissues serve as reversible storage sinks.

(b) Symplasmic pathways

An entirely symplasmic path of photoassimilate transport from sieve elements to recipient sink cells (Figure 5.18b) operates in a wide range of morphological and metabolic sink types. Terminal growth sinks such as root (Figure 5.19) and shoot apices, as well as vegetative storage sinks such as stems, roots and potato tubers, demonstrate symplasmic unloading.

In most sinks that exhibit symplasmic unloading, photo-assimilates are metabolised into polymeric forms within the recipient sink cells. Sugar cane is a notable exception because it stores sucrose unloaded symplasmically from sieve elements in parenchyma cells of stems. Stem sucrose reaches molar concentrations by this unloading route.

(c) Symplasmic pathway interrupted by an apoplasmic step 

Symplasmic discontinuities exist at interfaces between tissues of differing genomes including biotrophic associations (e.g. mycorrhizas and mistletoes) and developing seeds (Figure 5.18c). In addition, within tissues of the same genome, plasmodesmata can close permanently or reversibly at points along the post-sieve-element pathway. This necessitates photoassimilate exchange between symplasmic and apoplasmic compartments (Figure 5.18c). For instance, photoassimilate exchange between apoplasm and symplasm has been detected in sinks that store high solute concentrations and have unrestricted apoplasmic transport between vascular and storage tissues. Developing seeds, particularly of cereals and large-seeded grain legumes (Patrick and Offler 1995), are another model for symplasmic/apoplasmic pathways.

The apoplasmic space between maternal (seed coat) and filial (embryo plus endosperm) tissues in seeds prevents symplasmic continuity in the unloading pathway (Patrick and Offler 1995). In these organs, photoassimilates are effluxed across membranes of maternal tissues and subsequently taken up across the membranes of filial tissues (Figure 5.18c). Photoassimilates are unloaded from sieve elements and transported symplasmically to effluxing cells where they are released to the seed apoplasm. Influx from the seed apoplasm by the filial generation is restricted to specialised cells located at the maternal–filial interface. The final transport of photoassimilates to the filial storage cells largely follows a symplasmic route.

(d) Pathway linkage with sink function and pathway switching

The symplasm is the most frequently engaged cellular pathway of phloem unloading. Even where an apoplasmic step intervenes (e.g. developing seeds), photoassimilates travel predominantly through the sink symplasm (Figure 5.18c). Symplastic routes do not involve membrane transport and therefore offer lower resistances than apoplasmic routes.

Apoplasmic pathways are restricted to circumstances where (1) symplasmic transport compromises phloem translocation and (2) photoassimilate transport is between genetically distinct (e.g. maternal–filial) tissues. Phloem translocation would be compromised when solutes accumulate to high concentrations in sink cells were it not avoided by symplasmic isolation of phloem from sinks. This is exemplified by the switch to an apoplasmic step during development of tomato fruit. In young fruit, imported sugars are converted into glucose or fructose to support cell division and excess photoassimilate is accumulated as starch. At this stage, phloem unloading of photoassimilates follows a symplasmic route (Figure 5.18b). However, once sugars commence accumulating during cell expansion, apoplasmic transport is engaged (Figure 5.18c). The apoplasmic path isolates pressure-driven phloem import from rising osmotic pressures (P) occurring in fruit storage parenchyma cells (Patrick and Offler 1996).

Radial photoassimilate unloading in mature roots and stems may switch between apoplasmic or symplasmic routes depending upon the prevailing source/sink ratio of the plant. At low source/sink ratios, photoassimilates remobilised from axial stores are loaded into the phloem for transport to growth sinks (Wardlaw 1990). Under these conditions, symplasmic unloading into axial stores might be blocked by plasmodesmal closure while photoassimilates are absorbed by se–cc complexes from the surrounding apoplasm. This would prevent futile unloading while stores are drawn upon. In contrast, net flow of photoassimilates into axial storage pools at high source/sink ratios would be facilitated by plasmodesmal opening.

5.4.2 - Mechanisms of phloem unloading

(a) Apoplasmic transport

Fig_p_5.32.png

Figure 5.20. Mechanistic model for plasma membrane transport of sucrose from the coat and into the cotyledons of a developing legume seed. Plasma membrane ATPases vectorially pump protons to the seed apoplasm from both the opposing seed coat and cotyledon cells. The proton gradient is coupled to drive sucrose efflux from the seed coats through a sucrose/proton antiporter and sucrose influx into the cotyledons by a sucrose/proton symporter.

Se–cc complexes contain high sugar concentrations (Section 5.2.3(b)). Thus, a considerable transmembrane concentration gradient exists to drive a passive leakage of sugars to phloem apoplasm. Sugars leaked to phloem apoplasm are often retrieved by an active sucrose/proton symport mechanism (Figure 5.20). Thus, net efflux of sugars from se–cc complexes is determined by the balance between a passive leakage and sucrose/proton retrieval.

Passive unloading (Ep) of sucrose from se-cc complexes to the phloem apoplasm (Equation 5.6) is determined by the permeability coefficient (P) of se–cc complex plasma membranes and the transmembrane sucrose concentration (C) gradient between sieve element lumena (se) and surrounding phloem apoplasm (apo).

 \[E_p=P(C_{se}-C_{apo}) \tag{5.6} \]

 Sinks containing extracellular invertase (e.g. developing tomato fruit, sugar beet tap roots, maize seeds) can hydrolyse sucrose, lowering Capo thereby enhancing sucrose unloading from se–cc complexes. Furthermore, hydrolysis of sucrose renders it unavailable for se–cc complex retrieval by sucrose/proton symport. The resulting hexoses can act as signals to promote cell division in many sinks such as developing seed of Vicia faba.

(b) Symplasmic transport

Fig_p_5.33.png

Figure 5.21. Externally supplied solutes have a marked effect on sucrose import into root tips of hydroponically grown pea seedlings. This was tested by immersing root tips in (a) sucrose or (b) mannitol solutions ranging up to 350 mM. Cotyledons, which supply these young roots with carbon, were fed 14C sucrose and 14C arriving in different root parts was measured (Bq per root segment). (a) Import of 14C into root tips was diminished when they were exposed to external sucrose concentrations of less than 100 mM but promoted by sucrose concentrations of 150 to 350 mM; Two effects operate. At low concentrations, sucrose might enter root tip cells and suppress phloem import by a feedback mechanism. At higher concentrations, sucrose might act mainly as an osmoticum (see (b)). Mannitol is not taken up or metabolised quickly and can therefore help answer these questions. (b) Import through the phloem was stimulated by exposing root tips to the slowly permeable sugar mannitol, at concentrations of from 13 to 350 mM. This demonstrates an osmotic dependence of import through the phloem pathway, presumably through progressively decreasing P of root tip cells as external solute concentrations rise (Based on Schultz 1994)

Symplasmic transport is mediated by cytoplasmic streaming in series with intercellular transport via plasmodesmata. Plasmodesmal transport is usually the overriding resistance determining transport rates between cells.

Root tips offer a useful experimental model to explore post-sieve-element symplasmic transport because of morphological simplicity and accessibility. Exposing pea root tips to low sucrose concentrations (<100mM) slowed photoassimilate accumulation (Figure 5.21a) by raising intracellular sucrose concentrations. This response to concentration gradients is consistent with a diffusion component to phloem unloading (Equation 5.7). When roots were bathed in much higher concentrations of either sucrose (Figure 5.22a) or a slowly permeating solute, mannitol (Figure 5.33b), turgor pressure (P) of sieve elements and surrounding tissues decreased and 14C import rose. This is consistent with a hydraulically driven (bulk) flow of photoassimilates into the root apex. Thus, photoassimilate movement from phloem through a symplasmic path can be mediated by diffusion and/or bulk flow. The relative contribution of each transport mechanism depends on the magnitude of concentration and pressure gradients (Equations 5.6 and 5.8).

Physical laws can be used to model diffusion and bulk flow of sucrose through a symplasmic route. Sucrose diffuses through symplasm at a rate (Rd) defined by the product of plasmodesmal number in the path (n), plasmodesmal conductivity to diffusion (Kd) and sucrose concentration difference (ΔC) between sieve elements and sink cell cytoplasm. That is:

 \[R_d=n \cdot K_d \cdot \Delta C \tag{5.7} \]

 Transport by bulk flow (Rf) is determined by the product of flow speed (S), cross-sectional area of the plasmodesmal flow path (A) and concentration (C) of sucrose transported (Equation 5.2). Flow speed (S), in turn, is a product of hydraulic conductivity (Lp) of a plasmodesma and turgor pressure difference (ΔP) between se–cc complexes and recipient sink cells (Equation 5.8). Flow over the entire pathway considers the number of interconnecting plasmodesmata (n). Thus, bulk flow rate (Rf) is given by:

 \[R_f=n \cdot L_p \cdot \Delta P \cdot A \cdot C \tag{5.8} \]

 Equations 5.7 and 5.8 predict that sink control of symplasmic photoassimilate transport resides in plasmodesmal conductivity and/or sucrose metabolism/compartmentation.

Sucrose metabolism within sink cells influences cytoplasmic sucrose concentration and Πsink. The difference between Πsink and Πapo determines P (Section 4.3). Sucrose metabolism and compartmentation can affect sucrose concentration gradients and ΔP, both driving forces for symplasmic transport from se–cc complexes to sink cells (Equations 5.6 and 5.8).

Fig 5.34.jpg

Figure 5.22. Cellular distribution of the apoplasmic tracer fluorescent dye 3-hydroxy—5,8,10—pyren—etrisulphonate (PTS) imported through the xylem in stem explants of sugar cane. (Left) Fluorescent micrograph of a longitudinal section of a stem with PTS (green fluorescence) localised to the vascular bundle. (Right) Fluorescent micrograph of a transverse section showing PTS confined to the vascular bundle. Retention of PTS in vascular bundles demonstrates that a barrier to lateral dye movement must be located in the walls of bundle sheath cells (bs). (Based on Jacobsen et al. 1992)

Transgenic plants which under- or over-express key sugar metabolising enzymes have allowed definitive experiments to be carried out on the role of sucrose metabolism in symplasmic phloem unloading. For example, reduction of sucrose synthase activity (Section 5.4.4) in tubers of transformed potato to 5–30% of wild-type levels depressed dry weight of tubers and starch biosynthesis (Table 5.3). Tubers of transformed plants had very high hexose levels (hence high P) which might contribute to downregulation of photoassimilate import. As a corollary, plants with enhanced starch biosynthesis through overexpression of the key starch synthesising enzyme, ADP-glucose pyrophosphorylase (Section 5.4.5), also had higher rates of photoassimilate import.

For sinks that store sugars to high concentrations (e.g. sugar cane stems), gradients in Π, and hence P, between se–cc complexes and sink storage cells could become too small to sustain transport. Instead, P in the apoplasm of storage tissues increases as sucrose (hence Π) in the storage cell sap rises. This maintains a lower P in storage cells than in sieve elements and sustains transport. High sucrose concentrations in the apoplasm of storage cells is achieved through an apoplasmic barrier which isolates storage parenchyma cells from sieve elements (Figure 5.22).

(c) Symplasmic transport interrupted by an apoplasmic step

Fig 5.35_0.jpg

Figure 5.23. Experimental systems used to determine sucrose fluxes in (a) attached caryopses of wheat and (b) coats of developing legume seed. In (a), sucrose effluxed from the maternal tissues was collected by infusing the endosperm cavity of an attached wheat grain with solutions delivered and retrieved through micro-capillaries (Wang and Fisher 1994). In (b), embryos are surgically removed from the coats which may be (i) attached to or (ii) detached from the pod wall. The space vacated by the embryo is filled with a wash solution that is changed at frequent intervals. The wash solution is used to deliver treatments to the seed coat and as a trap to collect the effluxed sucrose.

Phloem unloading in legume seed pods is one case of symplasmic and apoplasmic transport operating in series; the pathway is described in Section 5.4.2(c). Whether sucrose efflux requires energy remains unknown since concentration gradients between seed coats and apoplasm might be steep enough to drive facilitated diffusion. Indeed, using an elegant infusion technique (Figure 5.23a), Wang and Fisher (1994) concluded that efflux from the nucellar projection cells of wheat grain was unlikely to be energy dependent. In contrast, sucrose efflux from coats (maternal tissue) of surgically modified legume seeds (Figure 5.23b) is inhibited by about 50% in the presence of PCMBS, a membrane transport inhibitor. Efflux from legume seed coat cells exhibits charac-teristics of a sucrose/proton antiport. Sucrose uptake by filial tissues is mediated by sucrose/proton symport (Figure 5.23).

A fascinating aspect of phloem unloading in legume seed pods is how photoassimilate demand by filial tissues is integrated with supply from maternal tissues, itself an integration of photoassimilate efflux and import from phloem. One variable that could regulate rates of photoassimilate transport through seed coat symplasm and efflux into apoplasm of the maternal–filial interface is P of seed coat cells (Psc): this would sense depletion of apoplasmic sucrose through uptake by cotyledons, producing a signal in the form of a ΔPsc (Figure 5.24). Specifically, Psc is determined by ΔΠ between the seed coat (Πsc) and seed apoplasm (Πapo), which fluctuates according to photoassimilate withdrawal by cotyledons.

A pressure difference (ΔP) between the points of photo-assimilate arrival (sieve tubes) and efflux (seed coats) drives bulk flow of photoassimilates through the seed coat symplasm. Turgor pressure of seed coat efflux cells is maintained homeostatically at a set point (Pset) by P-dependent efflux into the seed apoplasm. Changes in apoplasmic assimilate concentrations and hence Π are sensed immediately as deviations of Psc from Pset. A rise in Psc produced by photoassimilate depletion around filial tissues elicits an error signal, activating P-dependent solute efflux (Figure 5.25b) and thereby raising photoassimilate concentrations in the apoplasm to meet demand by cotyledons (Figure 5.24c). Long-term increases of sucrose influx by cotyledons, for example over hours, are accompanied by adjustments in Pset (light to dark arrows in Figure 5.24b) which elicit commensurate increases in phloem import rates (light to dark arrows in Figure 5.24a).

Fig_p_5.36.png

Figure 5.24. A turgor-homeostat model describing the integration of photoassimilate transport to developing legume seeds. Photoassimilate import through phloem (a) and efflux from seed coat to seed apoplasm (b) is mediated by a turgor (P)-dependent efflux mechanism and uptake of sugars by cotyledons (c). Metabolic activity in growing seeds influences sucrose concentrations within cotyledon cells, possibly feeding back on activities of symporters located in plasma membranes of the cotyledon dermal cell complex. Graph (c) denotes increased influx (R) from light to dark curve as sugar demand increases. The apoplasmic solute pool size is small and turns over in less than one hour (Patrick and Offler 1995). Thus, faster photoassimilate withdrawal from the seed apoplasm by cotyledons will rapidly lower apoplasmic osmotic concentration. Since the osmotic difference between seed apoplasm (Πapo) and seed coat (Πsc) is only 0.1-0.2 MPa, a small decrease in osmolality of the apoplasm will elicit a significant increase in seed coat P (Psc).A shift in Psc above the turgor set point (Pset) results in an error signal (see model) which in turn induces an immediate compensatory increase in photoassimilate efflux to the apoplasm (light curve in graph b). Increased photoassimilate efflux acts to maintain a constant Πapo in spite of enhanced flux through the apoplasm (graph c). Consequently, the increased potential for photoassimilate uptake by cotyledons can be fully realised (dark curve in graph c). In the short term (minutes), the turgor-homeostat ensures that Psc is maintained and hence phloem import, which is driven by the turgor difference between sieve tubes and unloading cells (PstPsc) is also maintained. Under conditions where cotyledon demand is sustained, Pset in the seed coat adjusts downwards. This results from decreases in Πsc, while Πapo is homeostatically maintained. The decrease in Pset of efflux cells serves to enhance the pressure difference between these cells and the importing sieve elements. As a result, the rate of phloem import into seed coats (Rimport) is increased (graph a, light to dark curve). This new rate of import is commensurate with accelerated sucrose efllux from seed coats to the apoplasm (graph b, light to dark curve) and, ultimately, cotyledons.

5.4.3 - Sugar metabolism and compartmentation in sinks

The fate of imported photoassimilates depends on sink cell function. In broad terms, imported photoassimilates are primarily used to provide carbon skeletons or signals for growth or storage. Some photoassimilates provide energy for maintenance. Relative flows of photoassimilates to these fates change during cell development and sometimes over shorter time scales depending upon a plant’s physiological state.

(a) Cell maintenance

Irrespective of sink function, a portion of imported sugars is respired to provide energy (ATP) for maintenance of cell function and structure. Most of this energy is required for continual turnover of cellular constituents such as enzymes and mem-branes. Rates of synthesis and degradation of individual macromolecules vary widely, as does the energy invested in different molecular configurations, so sugar demand for maintenance respiration could differ substantially between tissues.

(b) Cell growth

In growing organs, photoassimilates become substrates for synthesis of new cell material either directly or after biochemical conversions. Other fates for sugars include catabolism in energy-generating pathways which support growth (growth respiration) and storage in vacuolar pools. Stored sugars make an osmotic contribution to growing cells and can act as energy stores in species such as sugar cane. In roots of young barley plants, 40% and 55% of imported sugars are respired and used in structural growth, respectively. Stored sugars turn over each 30 min but account for only 1% of root weight.

(c) Reserve storage in cells

In mature cells, imported sugars enter physical (e.g. vacuoles) and chemical (e.g. starch) storage pools with lesser amounts diverted to respiration (15–20%) and structural components. In contrast to growth sinks, stored carbohydrates are ultimately retrieved from storage pools and used by other storage sinks (e.g. germinating seeds) or translocated to support growth and storage processes elsewhere in the plant. Carbohydrate storage can be brief (hours, days) or extend over considerable periods (months to years). Short-term storage of carbohydrates in stems and roots buffers phloem sap sugar concentrations against changes in photoassimilate export from photosynthetic leaves.

Sugars can also be stored in soluble forms by compartmentation into vacuoles. In this case, the tonoplast provides a physical barrier to protect stored sugars from molecular interconversion by cytoplasmic sugar-metabolising enzymes. Vacuolar sugars are accumulated as sucrose, hexoses or fructans (short-chain polymers of fructose). Sucrose and hexoses can accumulate to molar concentrations (0.1–1.5M) in storage parenchyma cells of roots, stems and fruits. For instance, tap roots of sugar beet and stems of sugar cane accumulate 1M sucrose thereby providing 90% of the world’s sucrose. Hexoses are a common form of sugar storage in fruit, contributing to sweetness of edible fruits such as tomato, grape, orange and cucumber. The wine industry depends upon hexoses accumulating to high concentrations (1.5M) in grape berries to fuel fermentation of ‘must’ in wine making. Fructans are stored in significant quantities in leaf sheaths and stems of temperate grasses and cereals. In pasture species, they contribute to forage quality, and in cereals constitute an assimilate pool that is mobilised to support grain filling.

Alternatively, imported sugars may be stored as starch along the axial transport pathway (available for remobilisation to buffer phloem sap sugar concentrations) or in more long term storage pools of terminal sink organs such as tubers, fruits and seeds. The proportion of photoassimilates diverted into starch differs widely between species and organs. Starch accounts for some 90% of dry weight of potato tubers and cereal grains.

The chemistry of storage products can change during organ development. For instance, starch is the principal storage carbohydrate in young tomato fruit. Later in fruit development, stored starch is hydrolysed and contributes to hexose accumulation in vacuoles of fruit storage parenchyma cells. In other fruits, significant switches between hexose and sucrose accumulation occur during development. All these changes are brought about by ontogenetic shifts in activities of sugar-metabolising enzymes.

5.4.4 - Key transfer events in sugar metabolism and compartmentation

Phloem-imported sucrose can reach the cytoplasm of recipient sink cells chemically unaltered or be hydrolysed en route by extracellular invertase into its hexose moieties. These sugars may then enter a number of metabolic pathways or be compartmented to vacuolar storage (Figure 5.25).

Fig_p_5.37.png

Figure 5.25. Pathways of sugar metabolism and compartmentation within sink cells. Sugars can be delivered to sink cells through either apoplasmic or symplasmic pathways. Within the sink apoplasm, sucrose can be hydrolysed to hexoses by an extracellular invertase. Apoplasmic sugars are transported across plasma membranes of sink cells by proton/ sugar symporters. Alternatively, sucrose enters the sink cytoplasm through a symplasmic path. Within the sink cytoplasm, sucrose can be hydrolysed or compartmented into vacuolar storage. Sucrose hydrolysis provides substrates for energy metabolism or for synthesis of macro-molecules. Invertase activity is important to sustain hexose supply for glycolysis. Sucrose synthesis from the hexose pool is catalysed by sucrose phosphate synthase (SPS). Degradation of sucrose by sucrose synthase generates fructose and uridine diphosphate glucose (UDP-glucose) which enters various biosynthetic pathways including cellulose and starch synthesis. In the case of starch biosynthesis, UDP-glucose and fructose generate glucose-1-phosphate (G-1-P) which is transported across the amyloplast membrane. Accumulated G-1-P is interconverted into adenine diphosphate glucose (ADP-glucose) by the enzyme adenine diphosphate glucose pyrophosphorylase (ADP-glucose PPase). ADP-glucose is the substrate for starch polymer formation. Sucrose compartmentation into the vacuole is mediated by a sucrose/ proton antiporter located on the tonoplast. Within the vacuole, sucrose can be exposed to invertase hydrolysis with the hexose products accumulating or leaking back to the cytoplasm

(a) Sucrose metabolism

Sucrose is metabolically inert and, in order to be metabolised, must be hydrolysed to glucose and fructose. Only two enzymes are capable of metabolising sucrose in green plants. These are invertase and sucrose synthase (Figure 5.25) and they are paramount in sugar metabolism after phloem unloading.

Invertase catalyses irreversible hydrolysis of sucrose to its hexose moieties, glucose and fructose. Both acid and neutral invertases occur in plants, with pH optima of about 5 and 7.5, respectively. The activity of invertases varies with plant species, organ type and stage of development. Acid invertases, located in cell wall or in vacuole, are usually active in rapidly growing leaves, stems and fruits and seeds (Ruan et al. 2010), making hexoses available for regulating gene expression and for respiration and biosynthesis. Reduced acid invertase activity in vacuoles during development of sugar cane stems, and its absence from sucrose-accumulating tomato fruit, is a major factor in sucrose accumulation in vacuoles of these tissues. Suppression of cell wall invertase activity led to shrunken seed in maize and small fruit in tomato and loss of pollen fertility in tomato, wheat and rice, demonstrating its critical roles in these reproductive organs. Less is known about the physiological role of neutral invertases..

Sucrose synthase is mainly located in the cytoplasm but recent research also shows that the enzyme may also be associated with plasma membrane and even present in cell wall matrix.  It catalyses sucrose cleavage to fructose and UDP-glucose, a high-energy ester of glucose. UDP-glucose is a substrate for biosynthesis of cellulose and may be converted further for starch synthesis.High activities of sucrose synthase are found in both growing and starch storage tissues. In the cytoplasm of starchy tissues, UDP-glucose is converted by UDP-glucose pyro-phosphorylase to glucose-1-phosphate, which is transported across amyloplast membranes. In amyloplasts, glucose-1-phosphate provides glucose moieties for starch synthesis in a pathway comparable to starch formation in chloroplasts of photosynthetic leaves. The critical role of sucrose synthase in starch synthesis is demonstrated with potatoes transformed with an antisense construct of the gene encoding tuber-specific sucrose synthase. Tuber sucrose synthase activity in transformed plants was depressed significantly while the activities of key starch biosynthetic enzymes were unaltered. Low sucrose synthase activity was directly responsible for a proportional decrease in starch accumulation (Zrenner et al. 1995).

Sinks that accumulate soluble sugars have predictably low sucrose synthase activities. Contrastingly high sucrose synthase activities in phloem vessels may be responsible for energy production for phloem loading or unloading and maintaining cellular function of companion cells.

(b) Hexose metabolism

Hexoses transported to the sink cytoplasm are rapidly phosphorylated to hexose-6-phosphates by glucose- and fructose kinases. In these forms, hexoses can be used as substrates for respiration or for synthesis of new cell constituents. Alternatively, sucrose phosphate synthetase can convert them to sucrose, as in leaves (Chapters 1 and 2). Sucrose synthesized by this reaction can be accumulated in vacuoles (e.g. sugar beet tap roots, sugar cane stems) or be rehydrolysed into hexoses by a vacuolar acid invertase (e.g. grape berries).

5.4.5 - Sink control of photoassimilate partitioning

The pressure-flow hypothesis provides a compelling model to explain sink strength in plants. Evidence such as accelerated import of photoassimilate into roots with artificially lowered P lends empirical support to the model.

Knowledge of cellular and molecular events in phloem unloading and photoassimilate use begins to reveal the array of control steps which underlie photoassimilate unloading and relative sink strength. Photoassimilate import into sinks by apoplasmic pathways or by diffusion through symplasmic pathways (Figure 5.19) is controlled by P in se–cc complexes. In contrast, when phloem unloading is by bulk flow through a symplasmic route (e.g. legume seed coats), P in cells responsible for photoassimilate efflux to the apoplasm controls unloading. Unloading into storage tissues is controlled by P in sink (storage) cells.

These processes at the cell and tissue level must now be related to a whole-plant perspective of sink control of photoassimilate partitioning, taking into account influences of plant development and environmental factors. How plants use photoassimilates (e.g. switch from growth to storage) is accompanied by alterations in the cellular pathway of import. Phytohormones also play a role in photoassimilate partitioning through their influence on development and intercellular signalling.

Plant development generates new sinks, for example in meristems where cells undergo division or growth zones where enlarging cells import photoassimilates.

(a) Meristematic sinks

Potential sink size is set largely during the meristematic phase of development through determination of total cell number per organ. Photoassimilate supply has been implicated as a limiting factor in initiation of leaf primordia at the apical dome and subsequent early development by cell division. Substrate supply for developing seeds (endosperm, embryo) and root and floral apices might also be restricted.

Agricultural yields might therefore increase if plants could be modified to enhance the supply of photoassimilates to meristems. Which factors regulate photoassimilate supply to meristematic sinks? Rate equations describing mass flow of phloem sap (Section 5.2.5) predict that photoassimilate supply reaching a sink will be determined by source output (setting photoassimilate concentration in sap and P in sieve elements at the source) and modulated by Lp of the transport pathway. Increased photoassimilate output from source leaves increases growth activity of primary meristems. Even during reduced source output, photoassimilate import and meristematic sink strength can be maintained by remobilisation of storage reserves. Manipulating competition for photo-assimilates by more established sinks also suggests that source output influences sink behaviour.

Cultivated plants demonstrate these principles. For example, flushing CO2 into glasshouses increases flower set and hence yield of floral and fruit crops. Similarly, applying growth regulators to induce abscission of some floral apices lessens the number of sinks competing for photoassimilates at fruit set and leads to larger and more uniform fruit at harvest. Alternatively, breeding programs have reduced sink strength of non-harvestable portions of crops and hence the severity of competition. For instance, breeding dwarf varieties of cereals has reduced photoassimilate demand by stems with a consequent increase in floret numbers set and grain size.

These observations imply that increases in net leaf photosynthesis and phloem loading should set higher yield potentials. Yet meristems import only a small proportion of total plant photoassimilate. It may be that phloem conductance limits photoassimilate delivery to meristems; increases in source output would amplify the driving force for transport and hence bulk flow through a low-conductance pathway.

Given that mature phloem pathways have spare transport capacity (Section 5.2.5), any transport limitation imposed by low path conductance might be expected within immature sinks. Photoassimilate import into meristematic sinks involves transport through partially differentiated provascular strands that might extend up to 400µm. Movement through this partially differentiated path is symplasmic (Section 5.2.2(b)). Hence, plasmodesmal numbers and transport properties of plasmodesmata could play a critical role in photoassimilate supplies to sinks and determination of sink size (Equation 5.7).

(b) Expansion and storage sinks 

As cells expand and approach cell maturity, photoassimilates are increasingly diverted into storage products. Towards maturity, fully differentiated phloem pathways with spare transport capacity link expansion/storage sinks with photosynthetic leaves. Photoassimilate import by these sinks depends on duration of the storage phase. This can be short term for sinks located along the axial transport pathway and long term for sinks sited at the ends of transport pathways (e.g. tubers, fruits and seeds).

Storage along the axial pathway occurs mainly when photoassimilate production exceeds photoassimilate demands by terminal sinks. However, storage is not necessarily a passive response to excess photoassimilate supply. Stems of sugar cane store large quantities of photoassimilates (50% of dry weight is sucrose) even during rapid growth of terminal sinks. Photoassimilates might be stored as simple sugars (e.g. sugar cane stems) or as polymers (fructans in stems of temperate grasses; starch in stems and roots of subtropical cereals, herbaceous annuals and woody perennials). Photoassimilates stored along axial pathways buffer against diurnal and more long term fluctuations in photoassimilate supply to terminal sinks. In woody deciduous species, axially stored photoassimilates also provide a long-term seasonal storage pool that is drawn on to support bud growth following budburst. Remobilised photoassimilates can contribute substantially to biomass gain of terminal sinks. For instance, in some mature trees, over half the photoassimilates for new growth come from remobilised reserves; similar proportions of stem-stored fructans contribute to grain growth in cereals when photoassimilate production is reduced (e.g. by drought). Physiological switching between net storage and remobilisation is an intriguing regulatory question.

Growth and development of meristems is determined by phloem unloading events and metabolic interconversion of photoassimilates within recipient sink cells. These transport and transfer processes vary between sinks and can alter during sink development. Techniques now exist to alter expression of membrane porter proteins and possibly enhance photoassimilate import by sinks such as seeds which have an apoplasmic step in the phloem unloading pathway. Prospects of altering plasmodesmal conductivity will improve once plasmodesmal proteins are identified and their encoding genes known.

5.4.6 - Follow the flow: unloading of water and its destination

Phloem unloading of nutrients follows water release from vascular system.

As discussed before, because of their low transpiration rates, developing sinks typically import water through phloem, not xylem.  Water unloaded from phloem is used for cell growth or recycled back to the parental bodies.  Water is unloaded from se-cc complexes symplasmically in majority of sinks by bulk flow. For growth sinks such as shoot or root apices, continued symplasmic flow of phloem-imported water can drive cells expansion. In post-phloem unloading pathways interrupted with an apoplasmic step, water must exit cells of the unloading path across cell membranes, facilitated by aquaporins (AQPs). AQPs responsible for water flow across cell membranes are plasma membrane intrinsic proteins (PIPs) and tonoplast intrinsic proteins (TIPs). Strong PIP expression in expanding post-veraison grape berries has been shown to correlate with water flows into, and from, the berry apoplasm. For sinks that stop expansion but continuously accumulate biomass, water transported to storage sink apoplasms is recycled back to the parent plant body through a xylem route. Important roles played by AQPs in water recycling are indicated by their high expression at this stage in developing seed, particularly in the vascular parenchyma cells.

In conclusion, this chapter has shown how growth and development of meristems and other sinks is determined by phloem unloading events, and metabolism of the assimilates within the recipient sink cells. These transport and transfer processes vary between specific sinks, and can alter during development. Molecular techniques that alter expression of membrane transporters  can be used to study the pathways and limitations of photoassimilate transport into sinks such as seeds that have an apoplasmic step in the phloem unloading pathway, with the possibility of enhancing the rate of grain growth and crop yield in the future.

5.5 - References

Aoki K, Suzui N, Fujimaki S et al. (2005) Destination-selective long-distance movement of phloem proteins. Plant Cell 17: 1801-1814.

Brenner M (1987) The role of hormones in photosynthate partitioning and seed filling. In PJ Davies, ed, Plant Hormones and their Role in Plant Growth and Development, Kluwer, Dordrecht, pp 474-493

Canny MJ (1973) Phloem Translocation. Cambridge University Press

Chen LQ, Qu XQ, Hou BH, Sosso D, Osorio S, Fernie AR, Frommer WB (2012) Sucrose efflux mediated by SWEET proteins as a key step for phloem transport. Science 335: 207-211

Covarrubias AA, Reyes JL (2010) Post-transcriptional gene regulation of salinity and drought responses by plant microRNAs. Plant Cell Environ 33:481-489.

Daie J, Watts M, Aloni B, Wyse RE (1986) In vitro and in vivo modification of sugar transport and translocation in celery by phytohormones. Plant Sci 46: 35-41

Fisher DB, Frame JM (1984) A guide to the use of the exuding stylet technique in phloem physiology. Planta 161: 385–393

Frommer WB, Hirner B, Kuhn C, Harma K, Martin T, Reismeier JW, Schulz B (1996) Sugar transport in higher plants. In M Smallwood, JP Knox, DJ Bowles, eds, Membranes: Specialised Functions in Plants. Bioscientific, Oxford, pp 319-335

Geiger DR (1975) Phloem loading. In Zimmerman MH, Milburn JA, eds, Transport in Plants 1. Phloem Transport. Springer-Verlag, Heidelberg, pp 395-431

Grusak MA, Beebe DU, Turgeon R (1996) Phloem loading. In Zamski E, Schaffer AA eds, Photoassimilate Distribution in Plants and Crops. Source-Sink Relationships. Marcel Dekker, New York, pp 209-228 

Jacobsen KR, Fisher DG, Maretzki A, Moore PH (1992) Developmental changes in the anatomy of the sugarcane stem in relation to phloem unloading and sucrose storage. Bot. Acta 105: 70-80

Kallarackal J, Milburn JA (1984) Specific mass transfer and sink-controlled phloem translocation in castor bean. Aust J Plant Physiol 11: 483-490 

Kriedemann P, Beevers H (1967) Sugar uptake and translocation in the castor bean seedling. II. Sugar transformations during uptake. Plant Physiol 42: 174-180

Lough TJ, Lucas W. (2006) Integrative plant biology: role of phloem long-distance macromolecular trafficking. Annu Rev Plant Biol 57: 203–232

Milburn JA, Baker DA (1989) Physico-chemical aspects of phloem sap. In DA Baker, JA Milburn, eds, Transport of Assimilates. Longman, Harlow, pp 345-359

Milburn JA, Kallarackal J (1989) Physiological aspects of phloem translocation. In DA Baker, JA Milburn, eds, Transport of Assimilates. Longman, Harlow, pp 264-305

Moorby J, Jarman PD (1975) The use of compartmental analysis in the study of movement of carbon through leaves. Planta 122: 155-168

Münch E (1930) Die Stoffbewegungen in der Pflanze. Fischer, Jena 

Pate JS, Peoples MB, Atkins CA (1984) Spontaneous phloem bleeding from cryopunctured fruits of a ureide-producing legume. Plant Physiol 74:  499-505

Patrick JW (1997) Phloem unloading: sieve element unloading and post-sieve element transport. Annu Rev Plant Physiol Plant Mol Biol 48: 191–222

Patrick JW, Offler CE (1995) Post-sieve element transport of sucrose in developing seed. Aust J Plant Physiol 22: 761-769

Patrick JW, Offler CE (1996) Post-sieve element transport of photoassimilates in sink regions. J Exp Bot 28: 736-743

Rodriguez-Medina C, Atkins CA, Mann A, Jordan M, Smith PMC (2011) Macromolecular composition of phloem exudate from white lupin (Lupinus albus L.). BMC Plant Biol 11: 36-54

Ruan YL, Jin Y, Yang YJ, Li GJ, Boyer JS (2010)  Sugar input, metabolism, and signaling mediated by invertase: roles in development, yield potential, and response to drought and heat. Mol Plant 3: 942-955

Schulz A (1994) Phloem transport and differential unloading in pea seedlings after source and sink manipulations. Planta 192: 239-249 

Turgeon R (2010) The role of phloem loading reconsidered. Plant Physiol 152: 1817-1823

van Bel AJE (1993) Strategies of phloem loading. Annu Rev Plant Physiol Plant Mol Biol 44: 253-282

Wardlaw IF (1990) The control of carbon partitioning in plants. New Phytol 27: 341-381

Wang N, Fisher DB (1994) Monitoring phloem unloading and post-phloem transport by microperfusion of attached wheat grains. Plant Physiol 104: 7-16

Wright JP, Fisher DB (1980) Direct measurement of sieve tube turgor pressure using severed aphid stylets. Plant Physiol 65: 1133-1135

Varkonyi-Gasic E, Gould N, Sandanayaka M, Sutherland P, MacDiarmid RM (2010) Characterisation of microRNAs from apple (Malus domestica ’Royal Gala’) vascular tissue and phloem sap. BMC Plant Biol 10: 159-173

Zrenna R, Salanoubat M, Willmitzer L, Sonnewald U (1995) Evidence of the crucial role of sucrose synthase for sink strength using transgenic potato plants (Solanum tuberosum L). Plant J 7: 97-107

Chapter 6 - Growth analysis: a quantitative approach

Fig6.0.jpg

Highly productive multiple cropping in a CO2-enriched greenhouse at CSIRO Merbein (Original photograph courtesy E.A. Lawton)

Chapter editors: Charles Price1 and Rana Munns1,2

1School of Plant Biology, University of Western Australia, 2 CSIRO Plant Industry, Canberra

This chapter is updated from the original by PE Kriedemann, JM Virgona and OK Atkin (1st Edition)

Growth is an irreversible increase in plant size accompanied by a quantitative change in biomass (weight). Development is more subtle and implies an additional qualitative change in plant form or function such as a phase change from vegetative to reproductive growth.

Growth analysis is a conceptual framework for resolving the nature of genotype x environment interactions on plant growth and development.

In natural environments, growth and development cycles have to be completed within a time frame dictated by environmental conditions where light, moisture and nutrients often limit expression of genetic potential. Adaptive features that counter such constraints and help sustain relative growth rate can be revealed via growth analysis under contrasting conditions.

In managed environments, crop plants commonly experience similar restrictions, but in addition their economic yield is often only a small portion of total biomass at harvest and subject to genetic control. Crop scientists need to explore plant growth and reproductive development in quantitative terms. Sources of variation in productivity can then be resolved into those processes responsible for converting external resources into biomass and those responsible for partitioning biomass into usable sinks such as cereal ears or pumpkins. Both aspects are addressed here.

6.1 - Concepts and components of RGR

The most useful and widely used analysis is the concept of relative growth rate (RGR) and the simple RGR equation, which derives from the growth of cell populations with unrestricted resources – that is where light, space and nutrient supply are not limiting.

Growth models developed from populations of single cells can be extended mathematically to cover complex multicellular organisms where whole-plant growth is expressed in terms of leaf area and nutrient resources. Such growth indices are not intrinsic properties of plants, but rather mathematical constructs with functional significance. These concepts can be traced to the early 1900s and have proved increasingly useful for studies of growth and developmental responses in natural and managed environments.

6.1.1 - Cell populations

A small population of unicellular organisms presented with abundant resources and ample space will increase exponentially (Figure 6.1a). Population doubling time Td (hours or days) is a function of an inherent capacity for cell division and enlargement which is expressed according to environmental conditions. In Figure 6.1(a) doubling times for these two populations are 1 and 2 d for fast and slow strains respectively.

Fig 6.1.png

Figure 6.1. A population of cells unrestricted by space or substrate supply will grow exponentially. In this hypothetical case, a fast-growing strain of a single-celled organism with a doubling time of 1 d starts on day 0 with a population of n cells which increases to 120·n by day 7. In this example, n=10. The slow-growing strain with a doubling time of 2 d takes twice as long to reach that same size. When data for cell numbers are ln transformed, exponential curves (a) become straight lines (b) where slope = r.

Exponential curves such as those in Figure 6.1(a) are described mathematically as

\[N(t)=N_0e^{rt} \tag{6.1}\]

 where N(t) is the number of cells present at time tN0 is the population at time 0, r determines the rate at which the population grows, and e is the base of the natural logarithm. By derivation from Equation 6.1

\[r=\frac{1}{N}\frac{\text{d}N(t)}{\text{d}t} \tag{6.2}\]

and is called relative growth rate with units of 1/time. The doubling time is Td = (ln 2)/r.

If a population or an organism has a constant relative growth rate then doubling time is also constant, and that population must be growing at an exponential rate given by Equation 6.1. The ‘fast’ strain in Figure 6.1(a) is doubling every day whereas the ‘slow’ strain doubles every 2 d, thus r is 0.69 d–1 and 0.35 d–1, respectively.

If cell growth data in Figure 6.1(a) are converted to natural logarithms (i.e. ln transformed), two straight lines with contrasting slopes will result (Figure 6.1b). For strict exponential growth where N(t) is given by Equation 6.1,

 \[\text{ln }N(t)=\text{ln }N_0+rt\tag{6.3}\]

 which is the familiar slope-intercept form of a linear equation, so that a plot of ln N(t) as a function of time t is a straight line whose slope is relative growth rate r, and intercept is ln N0

In practice, r is inferred by assessing cell numbers N1 and N2 on two occasions, t1 and t2 (separated by hours or days depending on doubling time — most commonly days in plant cell cultures), and substituting those values into the expression

\[r=\frac{\text{ln }N_2-\text{ln }N_1}{t_2-t_1}\tag{6.4}\]

which expresses r in terms of population numbers N1 and N2 at times t1 and t2, respectively.

If growth is exponential, Eq. 6.3 will be linear and any two time points and the natural logarithm of their corresponding population sizes will give an estimate of the growth rate, r. However, if relative growth rate r is not constant, then growth is not exponential but the concept of relative growth rate is still useful for analysis of growth dynamics in populations or organisms. Equation 6.3 is then used to compute average relative growth rate between times t1 and t2 even though population growth might not follow Equation 6.1 in strict terms. In that case plots analogous to Figure 6.1(b) will not be straight lines.

6.1.2 - Plant biomass

In whole plants, cell number is an impractical measure of growth. Instead, fresh or oven-dried biomass (W) is generally taken as a surrogate for cell growth and referenced to the number of days elapsed between successive observations. Relative growth rate is now known as RGR rather than r and measured in days or weeks rather than hours.

Relative growth rate, RGR (d–1), can be expressed in terms of differential calculus as \(RGR=\frac{1}{W}\frac{\text{d}W}{\text{d}t}\) (compare Equation 6.2.) so that RGR is increment in dry mass (dW) per increment in time (dt) divided by existing biomass (W). Averaged over a time interval t1 to t2 during which time biomass increases from W1 to W2, RGR (d–1) can be calculated from

\[\text{RGR}=\frac{\text{ln }W_2-\text{ln } W_1}{t_2-t_1} \tag{6.5} \]

which is analogous to Eq, 6.4. Net gain in biomass (W) is the outcome of CO2 assimilation by leaves minus respiratory loss by the entire plant. Leaf area can therefore be viewed as a driving variable, and biomass increment (dW) per unit time (dt) can then be divided by leaf area (A) to yield the net assimilation rate, NAR (g m–2 d–1), where

\[\text{NAR}=\frac{1}{A}\frac{\text{d}W}{\text{d}T} \tag{6.6}\]

Averaged over a short time interval (t1 to t2 days) and provided whole-plant biomass and leaf area are linearly related (see Radford 1967),

\[\text{NAR}=\left(\frac{W_2-W_1}{t_2-t_1}\right)\left(\frac{\text{ln }A_2-\text{ln }A_1}{A_2-A_1}\right) \tag{6.7}\]

NAR thus represents a plant’s net photosynthetic effectiveness in capturing light, assimilating CO2 and storing photoassimilate. Variation in NAR can derive from differences in canopy architecture and light interception, photosynthetic activity of leaves, respiration, transport of photoassimilate and storage capacity of sinks, or even the chemical nature of stored products.

The following treatment assumes for simplicity that photosynthesis and the assimilation of CO2 occurs only in leaves, even though for many herbaceous or succulent species it occurs to a lesser degree also in stems. Since leaf area is a driving variable for whole-plant growth, the proportion of plant biomass invested in leaf area will have an important bearing on RGR, and can be conveniently defined as leaf area ratio, LAR (m2 g–1), where

\[\text{LAR}=\frac{A}{W}\tag{6.8}\]

LAR can be factored into two components: specific leaf area (SLA) and leaf weight ratio (LWR). SLA is the ratio of leaf area (A) to leaf mass (WL) (m2 g–1) and LWR is the ratio of leaf mass (WL) to total plant mass (W) (dimensionless). Thus,

\[\begin{align} \text{LAR} &=  \frac{A}{W_L}\frac{W_L}{W} \\
 &=  \text{SLA} \times \text{LWR} \end{align} \tag{6.9} \]

As an aside, average LAR over the growth interval t1 to t2 is

 \[\text{LAR}=\frac{1}{2} \left( \frac{A_1}{W_1}+\frac{A_2}{W_2} \right) \tag{6.10}\]

Expressed this way, LAR becomes a more meaningful growth index than A/W (Equation 6.8) and can help resolve sources of variation in RGR.

If both A and W are increasing exponentially so that W is proportional to A, it follows that

\[\frac{1}{W}\frac{\text{d}W}{\text{d}t}=\frac{1}{A}\frac{\text{d}W}{\text{d}t}\times\frac{A}{W}\tag{6.11}\]

0r (substituting Equations 6.5, 6.6 and 6.8)

\[\text{RGR}=\text{NAR}\times \text{LAR} \tag{6.12}\]

As LAR can be broken into SLA and LWR (Equation 6.9) then

\[\text{RGR}=\text{NAR}\times \text{LWR} \times \text{SLA} \tag{6.13}\]

Sources of variation in RGR partitioned this way provide useful insights on driving variables in process physiology and ecology. For an expanded discussion on methodological issues associated with the determination of RGR in experimental populations see Poorter and Lewis (1986).

Increases in leaf area over time can be a more useful basis for measuring plant growth rates than biomass increases, particularly as non-destructive techniques for measuring leaf area are now available. Plant growth rate can be measured as the relative increase in leaf area over time, by substituting total plant leaf area for total biomass in the conventional RGR equation.

\[\text{RGR}_\text{A} =\frac{\text{ln } LA_2 - \text{ln } LA_1}{t_2-t_1} \tag{6.14} \]

where RGRA is relative leaf area expansion rate, LA is total plant leaf area and t is time at two time intervals, t1 and t2, preferably 2-3 days apart.

Growth indices in summary

Five key indices are commonly derived as an aid to understanding growth responses. Mathematical and functional definitions of those terms are summarised below.

Growth index

Mathematical definition

Units

Functional definition

Relative growth rate

RGR

\(\frac{1}{W}\frac{\text{d}W}{\text{d}t}\)

d-1

Rate of mass increase per unit mass present (efficiency of growth with respect to biomass)

Net assimilation rate

NAR

\(\frac{1}{A}\frac{\text{d}W}{\text{d}t}\)

g m-2 d-1

Rate of mass increase per unit leaf area (efficiency of leaves in generating biomass)

Leaf area ratio

LAR

\(\frac{A}{W}\)

m2 g-1

Ratio of leaf area to total plant mass (a measure of ‘leafiness’ or photosynthetic area relative to respiratory mass)

Specific leaf area

SLA

\(\frac{A}{W_L}\)

m2 g-1

Ratio of leaf area to leaf mass (a measure of thickness of leaves relative to area)

Leaf weight ratio

LWR

\(\frac{W_L}{W}\)

dimension-less

Ratio of leaf mass to total plant mass (a measure of biomass allocation to leaves)

 

6.2 - Environmental impacts on RGR

Light, CO2, temperature, water and nutrients are key driving variables or limiting factors for growth responses in a wide range of species. Growth indices serve as an indicator of plant response, and of interactions between environmental factors where they occur. Variation in whole-plant RGR can be resolved into contributions from NAR (net assimilation rate) and LAR (ratio of leaf area to total plant mass). LAR in turn can be separated into SLA (ratio of leaf area to leaf mass) and LWR (ratio of leaf mass to total plant mass).

Ecological and agronomic implications for managed and natural communities are considered in this section in the context of growth responses to light, temperature and CO2 concentration. The same principles apply to the analysis of effects of nutrients on growth, and to interactions between environmental variables.

6.2.1 - Light

Light impacts both photosynthetic activity and morphology of individual leaves and of plant canopies. Leaves are larger at higher light. Leaf area increases because of more cells per leaf rather than by cells having a larger surface area. Cells volume, however, increases and gives rise to substantial increases in leaf thickness. This is usually achieved by a greater depth of palisade cells, either greater in depth or an extra layer of cells.

In the example shown for cucumber in Table 6.1, high light caused a three-fold increase in area, but the cell cross-section was the same, indicating that the leaves had three times the number of cells. The cell volume more than doubled under high light (3.11 × 10–5 mm3 at 3.2 MJ m–2 s–1 cf. 1.46 × 10–5 mm3 at 0.5 MJ m–2 d–1), and because cross-sectional area was virtually unchanged, cell depth was responsible. This greater depth of palisade cells in strong light confers a greater photosynthetic capacity (per unit leaf area) and translates into larger values for NAR and a potentially higher RGR. At lower irradiance (Table 6.1) leaves are thinner and SLA will thus increase with shading. Because LAR = SLA × LWR (Equation 6.9) a smaller leaf area at lower irradiance is offset to some extent by a higher SLA for maximum light capture with the most efficient use of resources.

The significance of LAR × NAR interaction for whole-plant growth was appreciated early by G.E. Blackman (Agriculture Dept, Oxford University), who in a series of papers analysed shade-driven growth responses for many species. RGR response to growing conditions in low light, and the degree to which upward adjustment in LAR could offset reduced NAR, was a recurring theme. In a series of 20 pot experiments, Blackman and Wilson (1951a) established a close relationship between NAR and daily irradiance where shade-dependent reduction in NAR was similar for 10 species. NAR was linearly related to log irradiance, and extrapolation to zero NAR corresponded to a light-compensation point of 6–9% full sun for eight species, and 14–18% full sun for two others. Significantly, neither slope nor intercept differentiated sun-adapted plants such as barley, tomato, peas and sunflower from two shade-adapted species (Geum urbanum and Solanum dulcamara). LAR proved especially responsive to light and accounted for contrasts between sun plants and shade plants in their growth response to daily irradiance.

Concentrating on sunflower seedlings, Blackman and Wilson (1951b) confirmed that NAR increased with daily irradiance (Figure 6.2) and that LAR was greatly decreased (Figure 6.2). Response in RGR reflected LAR and especially in young seedlings which also showed highest RGR and were most sensitive to shading. LAR appeared sensitive to both daily maxima as well as daily total irradiance.

Fig6.2.png

Figure 6.2  A sun-adapted plant such as Helianthus annuus adjusts LAR to some extent in response to lower daily irradiance but not enough to maintain RGR. By contrast, a shade-adapted plant such as Impatiens parviflora with somewhat higher LAR and RGR in full sun makes further adjustment in LAR so that RGR does not diminish to the same extent in moderate or deep shade as does that of H. annuus (Based on Blackman and Wilson 1951b; Evans and Hughes 1961)

A comparison between sunflower (Blackman and Wilson 1951b) and the woodland shade plant Impatiens parviflora (Evans and Hughes 1961) confirms this principle of LAR responsiveness to irradiance (Figure 6.2). Sunflower achieved noticeably higher NAR in full sun than did I. parviflora, but LAR was considerably lower, and translated into a somewhat slower RGR for sunflower. This species contrast was much stronger in deep shade (12% full sun) where RGR for I. parviflora had fallen to 0.090 d–1 whereas sunflower was only 0.033 d–1. Clearly, I. parviflora is more shade tolerant, and retention of a faster RGR in deep shade is due both to greater plasticity in LAR as well as a more sustained NAR. Adjustments in both photosynthesis and respiration of leaves contribute to maintenance of higher NAR in shade-adapted plants growing at low irradiance.

6.2.2 - Temperature

Within a moderate temperature range readily tolerated by vascular plants (10–35°C, see Chapter 14) processes sustaining carbon gain show broad temperature optima. By contrast, developmental changes are rather more sensitive to temperature, and provided a plant’s combined responses to environmental conditions do not exceed physiologically elastic limits, temperature effects on RGR are generally attributable to rate of canopy expansion rather than rate of carbon assimilation. In the early days of growth analysis, Blackman et al. (1955) inferred from a multi-factor analysis of growth response to environmental conditions that NAR was relatively insensitive to temperature, but whole plant growth was obviously affected, so that photosynthetic area (LAR) rather than performance per unit surface area (NAR) was responsible. Such inferences were subsequently validated.

Using day/night temperature as a driving variable, Potter and Jones (1977) provided a detailed analysis of response in key growth indices for a number of species (Table 6.2). Data for maize, cotton, soybean, cocklebur, Johnson grass and pigweed confirmed that 32/21°C was optimum for whole-plant relative growth rate (RGR) as well as relative rate of canopy area increase (RGRA). Both indices were lowest at 21/10°C. This was true for C4 as well as C3 species.

C4 species had a higher RGR and RGRA than C3 species, especially under warm conditions (Table 6.2)

All populations described in Potter and Jones (1977) maintained strict exponential growth. NAR could then be derived validly and temperature effects on NAR could then be compared with temperature effects on RGR and RGRA (Figure 6.3). With day/night temperature as a driving variable, most values for NAR fell between 10 and 20 g m–2 d–1. Correlation between NAR and RGR was poor (Figure 6.3). By contrast, variation in both RGR and RGRA was of a similar order and these two indices were closely correlated (Figure 6.3).

Fig6.3.png

Figure 6.3 Variation in whole-plant RGR is linked to relative rate of canopy expansion (RGRA). Nine species (including C3 and C4 plants) grown under three temperature regimes (21/10 °C, 32/21 °C and 21/27 °C day/night) expressed wide variation in RGR that showed a strong correlation with RGRA but was poorly correlated with variation in NAR. Extent rather than activity of leaves appears to be more important for RGR response to temperature. (Based on Potter and Jones 1977)

A later chapter in this book, Chapter 14, explains the effect of temperature on growth of different plant species, with particular focus on adaptation to very low and very high temperatures.

6.2.3 - Carbon dioxide

Fig6.4.jpg

Figure 6.4 Early growth of cucumber (Cucumis sativus, top panel) and wong bok (Brassica pekinensis, bottom panel) is greatly enhanced in elevated CO2 (1350 ppm) compared with ambient controls (330-350 ppm). As shown here, that initial effect is still apparent after 52 d of greenhouse culture in nutrient rich potting mix. Scale bar = 10 cm. (Further details in Kriedemann and Wong (1984) and Table 6.3) (Photographs courtesy M. Whittaker)

Growth responses to elevated CO2 can be spectacular, especially during early exponential growth (Figure 6.4) and derive largely from direct effects of increased CO2 partial pressure on photosynthesis. C3 plants will be most affected, and especially at high temperature where photorespiratory loss of carbon has the greatest impact on biomass accumulation.

Global atmospheric CO2 partial pressure is expected to reach 60–70 Pa (600–700 ppm) by about 2050 so that growth response to a CO2 doubling compared with 1990s levels has received wide attention. Instantaneous rates of CO2 assimilation by C3 leaves can increase two- to three-fold in response to such elevated levels of CO2, but the short-term response is rarely translated into biomass gain by whole plants where growth and reproductive development can be limited by low nutrients, low light, low temperature, physical restriction on root growth (especially pot experiments) or strength of sinks for photoassimilate. Given such constraints, photosynthetic acclimation commonly ensues. Rates of CO2 assimilation (leaf area basis) by CO2-enriched plants, grown and measured under high CO2, will match rates measured on control plants at normal ambient levels.

Fig6.5.png

Figure 6.5. A survey of growth response to elevated CO2 (ratio of growth indices in 600-800 cf. 300-400 ppm CO2) in 63 different C3 species (a) and eight C4 species (b) reveals systematic differences in median values for growth indices that relate to photosynthetic mode. C3 plants show a positive response in NAR that results in slightly faster RGR despite some reduction in LAR. C4 plants reduce RGR under elevated CO2 due to diminished NAR. SLA of C3 plants is generally lower under elevated CO2, but increased somewhat in C4. LWR is essentially unchanged in either group (Based on Poorter et al. 1996)

Acclimation takes only days to set in, and because plant growth analysis commonly extends over a few weeks, CO2-driven responses in growth indices tend to be more conservative compared with instantaneous responses during leaf gas exchange. C4 plants will be less affected than C3 plants (see Chapter 2) so that broad surveys need to distinguish between photosynthetic mode. For example, in Figure 6.5, average NAR for 63 different cases of C3 plants increased by 25–30% under 600–800 ppm CO2 compared with corresponding values under 300–400 ppm CO2. However, NAR increase was not matched by a commensurate response in RGR, and decreased LAR appears responsible. CO2-enriched plants were less leafy than controls (i.e. lower LAR), but not because less dry matter was allocated to foliage (LWR was on average unaltered). Rather, specific leaf area (SLA in Figure 6.5) decreased under high CO2 so that a given mass of foliage was presenting a smaller assimilatory surface for light interception and gas exchange. Accumulation of non-structural carbohydrate (mainly starch; Wong 1990) is commonly responsible for lower SLA in these cases, and in addition generally correlates with down-regulation of leaf photosynthesis.

By contrast, in C4 plants LWR was little affected by elevated CO2, but in this case SLA did show slight increase with some positive response in LAR. However, photosynthetic acclimation may have been more telling because NAR eased and RGR even diminished somewhat under elevated CO2.

Global change, with attendant increase in atmospheric CO2 over coming decades, thus carries implications for growth and development in present-day genotypes and especially the comparative abundance of C3 and C4 plants. Elevated CO2 also has immediate relevance to greenhouse cropping. In production horticulture, both absolute yield and duration of cropping cycles are factors in profitability. Accordingly, CO2 effects on rate of growth as well as onset of subsequent development are of interest.

Young seedlings in their early exponential growth phase are typically most responsive to elevated CO2, so that production of leafy vegetables can be greatly enhanced. This response is widely exploited in northern hemisphere greenhouse culture. In commercial operations, ambient CO2is often raised three- to four-fold so that growth responses can be spectacular (Figure 6.4) but they tend to be short lived (Table 6.3), as accelerated early growth gives way to lower RGR. During each cycle of growth and development, annual plants show a sigmoidal increase in biomass where an initial exponential phase gives way to a linear phase, eventually approaching an asymptote as reproductive structures mature. If CO2 enrichment hastens this progression, a stage is soon reached where RGR is lower under elevated CO2 due to accelerated ontogeny.

The fall in RGR with time of exposure to high CO2 is illustrated for wong bok (Brassica pekinensis) in Table 6.3. Wong bok is a highly productive autumn and winter vegetable that serves as ‘spring greens’ and is especially responsive to CO2 during early growth. RGRA at c. 330 ppm CO2 was initially 0.230 d–1 compared with 0.960 d–1 at c. 1350 ppm CO2, but by 40–52 d, RGRA had fallen to 0.061 and 0.020 d–1 for control and CO2 enriched, respectively (Table 6.3). CO2-driven response in NAR and RGR also diminished with age, and especially where these larger individuals failed to sustain higher RGR past 18 d (Table 6.3). Nevertheless, a response in NAR was maintained for a further two intervals so that a CO2 effect on plant size was maintained (Figure 6.4).

Component analyses of RGR as exemplified above are also useful for analysing whole plant responses to the supply of various nutrients and to interactions between nutrient supply and light, temperature or CO2. There are also strong interactions between these ambient conditions and abiotic stresses such as drought and salinity that can be quantitatively analysed.

The following two sections consider the developmental stages of leaf, shoot and reproductive organ formation, and how this information contributes to different types of quantitative growth analyses.

6.3 - Vegetative growth and development

Growth is an irreversible increase in plant size accompanied by a quantitative change in biomass. Development is more subtle and implies an additional qualitative change in plant form or function. Development thus lends ‘direction’ to growth and can apply equally well to a progressive change in gross morphology as to a subtle change in organ function, or to a major phase change from vegetative to reproductive development.

Increases in leaf area over time can be a useful basis for measuring plant growth rates than biomass increases, particularly as non-destructive and automated techniques for measuring leaf area are now available. Plant growth rate can be assessed as the relative increase in leaf area over time, by substituting total plant leaf area for total biomass in the conventional RGR equation.

\[\text{RGR}_\text{A} =\frac{\text{ln } LA_2 - \text{ln } LA_1}{t_2-t_1} \tag{6.14}\]

where RGRA is relative leaf expansion rate, LA is total leaf area and t is time at two time intervals, t1 and t2, preferably 2-3 days apart. This can be done by image analysis. This information can be extrapolated to whole plant growth rates as leaves, stems and roots generally maintain a balance in biomass that can be described by an allometric relationship.

In the first part of this section, growth of individual leaves is described at the cellular level of organisation, how this is influenced by light, and how much the photosynthetic activity of leaves changes with development.

The second part shows how root:shoot ratios change with availability of resources and the third part how these change with ontogeny (allometry).

6.3.1 - Patterns of leaf growth

Fig6.6.png

Figure 6.6. Leaf expansion in sunflower shows a sigmoidal increase in lamina area with time where rate of area increase and final size both vary with nodal position, reaching a maximum around node 20. The curves were drawn by hand through all data points (two measurements of leaf length (L) and leaf breadth (B) per week with area A estimated from the relationship A = 0.73 (L × B). Based on Rawson and Turner (1982) Aust J Plant Physiol 9, 449-460

Growth rate of individual leaves provides much useful information on plant growth, especially in response to changes in environment, as leaf growth can be measured over hours or even minutes. Rates of leaf elongation or individual leaf area expansion cannot be used to calculate whole plant relative growth rates, but they can be used to assess current rates of individual leaf growth and effects of a treatment on the rate of leaf emergence (“phyllocron”). Leaf elongation (increase in length of a given leaf per hour or per day) is a sensitive measure of leaf growth and can be accomplished electronically with a transducer, over minutes, manually with a ruler over 4-24 hours, or automatically with a digital photographic technique over intervals of days. Linear measurements with a transducer or ruler are particularly sensitive for monocots whose growth is largely one-dimensional.

(a) Measurement of leaf expansion

Differences in canopy development result from the frequency of new leaf initiation and the time-course of lamina expansion. These can be inferred from comprehensive measurement of lamina expansion on successive leaves. Lamina expansion in both monocotyledons and dicotyledons is approximately sigmoidal in time and asymmetric about a point of inflexion which coincides with maximum rate of area increase. However there is a period of several days over which expansion rates are constant.

A determinate plant with large leaves such as sunflower (Figure 6.6) provides a typical example. Leaf area is shown as a function of time for eight nodes selected between node 6 and node 40. Final leaf area was greatest at node 20, but daily rates of expansion were uniform for leaves between nodes 10 and 25. Thus at any time between days 35 to 65, the daily rate of expansion of any leaf was the same. Slowest growth and smallest final size was recorded for node 40, adjacent to the terminal inflorescence.

Growth curves for monocots leaves are very similar, in that there is a period of several days during which the leaf has a constant rate of area expansion. Increases in leaf areas of cereals and other monocots are easier to measure than dicots as they grow only in length and not width, for the reason explained below.  

Frequency of leaf initiation can be inferred from a more comprehensive family of such curves where early exponential growth in area for each successive leaf is recorded and plotted as log10 area versus time. This results in a near-parallel set of lines which intersect an arbitrary abscissa (Figure 6.7). Each time interval between successive points of intersection on this abscissa is a ‘phyllochron’ and denotes the time interval between comparable stages in the development of successive leaves. This index is easily inferred from the time elapsed between successive lines on a semi-log plot (Figure 6.7). Cumulative phyllochrons serve as an indicator of a plant’s physiological age in the same way as days after germination represent chronological age.

Fig6.7.png

Figure 6.7. Leaves of subterranean clover achieve a 10-million-fold increase in size from primordium to final area (volume of primordia shown as dotted lines; leaf fresh mass shown as solid lines). Successive leaves are initiated and enlarge in a beautifully coordinated fashion revealed here as a family of straight lines on a semi-log plot. Intervals along an arbitrary abscissa (arrow at 100 × 10-3 mm3) that intersects theses lines represent time elapsed (about 1.8 d) between attainment of a given development status by successive leaves (phyllochron). Full-sized leaves exceed about 100 mm3 in volume. Based on Williams (1975) J Aust Inst Agric Sci 41, 18-26

Fig6.8.png

Figure 6.8. Leaves of cucumber (node 2 on plants in growth cabinets) show an approximately sigmoidal increase in area with time (broken lines) where final size and cell number vary with daily irradiance (0.6, 1.9 or 4.4 MJ m-2 d-1). During an initial exponential phase in area growth, cell number per leaf (solid lines) also increases exponentially. The slope of a semi-log plot (hence relative rate of cell division) is higher under stronger irradiance. Cell number per leaf approaches asymptote as the rate of leaf area increase becomes linear.  Based on Milthorpe and Newton (1963) J Exp Bot 14, 483-495

(b) Developmental stages of leaf expansion

Leaves are first discernible as tiny primordia which are initiated by meristems in accord with a genetically programmed developmental morphology. They undergo extensive cycles of cell division (peak doubling time about 0.5 d). Leaf growth is anatomically different in grasses (monocotyledonous species) and broad-leafed (dicotyledonous) plants.

Primordia of broad-leafed plants undergo extensive cycles of cell division and enlargement to form recognisable leaves with petioles that elongate and lamina that unfold and expand. Lamina expansion follows a coordinated pattern of further cell division and cell enlargement that is under genetic control but modified by the environment, particularly light. Early growth of the leaf is driven primarily by cell division, and cell number per leaf increases exponentially prior to unfolding. Cell division can continue well into the expansion phase of leaf growth, so that up to 90% of cells in a mature dicot leaf can have originated after unfolding. Cell division finishes about the time the leaf enters its period of linear rate of area expansion, so this period of maximum leaf expansion rate is due to expansion of pre-formed cells.

Primordia of grasses and other monocotyledonous species are hidden from view. All phases of cell growth occur at the base of the leaves which are usually not exposed to the environment. Cell division is confined to basal meristems which give rise to files of cells and a linear zone of cell expansion and differentiation. The emerging blade therefore is composed of cells that are fully expanded, and the elongation of that leaf takes place by addition of fully expanded cells from below.

Fig6.9.png

Figure 6.9. Area of individual leaves on cucumber (Cucumis sativus) responds to daily irradiance and reaches a maximum above about 2.5 MJ m-2 d-1. Area increase (node 2 in this example) is due to greater cell number under stronger irradiance. Mean size of mesophyll cells is little affected and has no influence on area of individual leaves. Based on Newton (1963) J Exp Bot 14, 458-482

(c) Effects of light on leaf development

Light is the main variable affecting leaf growth rate, both the rate of leaf area expansion, final size, as well as cell shape as mentioned in the previous section.

Figure 6.8 shows the effect of light level on the rate of leaf area expansion in a cucumber leaf. As in all dicot leaves, the rate of lamina expansion is determined largely by the number of cells produced, with final cell area being unaffected (Figure 6.9). Rate of cell division during this early phase is increased by irradiance, so that potential size of these cucumber leaves at maturity is also enhanced. The upper curves in Figure 6.8 (highest irradiance), cell number per lamina reaches a plateau around 20 d, but area continues to increase to at least 30 d. Expansion of existing cells is largely responsible for lamina expansion between 20 and 30 d after sowing.

Figure 6.9 shows the effect of a range of light levels on final leaf area, and shows that area is strongly dependent on light level up to 2 MJ m-2 d-1, and that the increased area has been achieved by more cells rather than larger cells.

A similar light response curve would be shown by monocot leaves, and with similar contributions from cell number versus cell size. The difference between monocots and dicots is that the cell number is determined in the basal meristematic zone, before the lamina emerges. This zone is not exposed to the light environment, so cell division activity in monocots is controlled by substrates or signals arising in the older expanded leaves.

 (d) Leaf development and photosynthesis

When dicotyledonous leaves are very young and first unfold they have low rates of net photosynthesis (expressed per unit area) so have to import carbon from other leaves to support their growth. But as they expand their rates increase rapidly such that within a few days they can assimilate all their own carbon requirements and export excess (Figure 6.10).

Fig6.10.png

Figure 6.10. Change in net photosynthesis rate as a cotton leaf unfolds, expands, reaches maximum area and ages. An initial phase of carbon import helps sustain early expansion but by the time the leaf is 70% of its final area it is self sufficient for carbon and exporting excess. From Constable and Rawson (1980) Aust J Plant Physiol 7, 89-100 and 539-553

In the example for cotton in the figure, this self-sufficiency occurs when the leaf is about 70% of its final area. Typically, net photosynthesis rate will reach a maximum before the leaf has fully expanded though this can range from 25 to 100% of final area across species. Photosynthesis rate will then remain at that maximum or start to decline with further leaf expansion before leaf aging, lessening requirement for the carbon produced, and environmental factors accelerate the decline. Because the amount of carbon produced by a leaf is the product of two largely independent variables, its photosynthesis rate x its area, leaf carbon production can continue to increase while photosynthesis rate is stable or even declining.

Monocotyledonous leaves grow from their base where the very young expanding parts of the leaf are fully enclosed inside a sheath created by the surrounding leaf bases. The emerged parts of the leaf blade are already approaching full expansion as they emerge from the sheath and unroll. Photosynthesis rates of those exposed parts are already close to their maximum. Once the whole blade is exposed, photosynthesis rate and leaf carbon production follow plateau and declining patterns similar to those described for dicots though magnitude and duration differ amongst species and environments.

When doing experiments that investigate the effects of environmental treatments on photosynthesis, it is important bear in mind the continuous progression in photosynthesis rate between growing, recently fully expanded and aging leaves. Leaves should be compared that are of equivalent age and stage of development, particularly if single leaves are being measured to represent a whole plant or a breeding line. If the eventual aim of the experiment is to compare or select for carbon production, the area of the leaf must also be known since photosynthesis rate and fully expanded area of a leaf are not linked. Leaves of some dicotyledonous species take a few days to reach full expansion while others take weeks.

6.3.2 - Root:shoot ratios

Roots, stems and leaves are functionally interdependent and these three systems maintain a dynamic balance in biomass which reflects relative abundance of above-ground resources (light and CO2) compared with root-zone resources (water and nutrients) (Poorter et al. 2012). Whole-plant growth rate and summary measures such as root:shoot ratio are thus an outcome of developmental stage and of environmental influences.

Change in root:shoot ratio during a plant’s life cycle is part of an intrinsic ontogeny, but growth rates of roots and shoots continually adjust to resource availability with photoassimilate (hence biomass). In herbaceous plants, root:shoot ratios typically decrease with age (size) due to sustained investment of carbon in above-ground structures (root crops would be a notable exception). Developmental morphology is inherent, but expression of a given genotype will vary in response to growing conditions (hence phenotypic plasticity).

Irradiance is a case in point where shoot growth takes priority in low light, whereas root growth can be favoured under strong light. For example, Evans and Hughes (1961) grew Impatiens parviflora at five light levels and demonstrated a steady increase in root mass relative to whole-plant mass (root mass ratio) from 7% to 100% full sun. Stem mass ratio showed the opposite sequence. Leaf mass ratio increased somewhat at low light, but increased SLA was far more important for maintenance of whole-plant RGR in this shade-adapted species.

If light effects on root:shoot ratio are translated via photosynthesis, then CO2 should interact with irradiance on root:shoot ratio because carbon assimilation would be maintained by a more modest investment in shoots exposed to elevated CO2Chrysanthemum morifolium behaved this way for Hughes and Cockshull (1971), returning a higher NAR due to CO2 enrichment under growth cabinet conditions despite lower LAR which was in turn due to smaller leaf weight ratio. Adjustment in SLA exceeded that of leaf weight ratio, and so carried more significance for growth responses to irradiance × CO2.

Consistent with shoot response to above-ground conditions, root biomass is influenced by below-ground conditions where low availability of either water or nutrients commonly leads to greater root:shoot ratio. For example, white clover (Trifolium repens) growing on a phosphorus-rich medium increased root:shoot ratio from 0.39 to 0.47 in response to moisture stress; and from 0.31 to 0.52 when moisture stress was imposed in combination with lower phosphorus (see Table 1 in Davidson 1969b). A positive interaction between low phosphorus and low water on root:shoot ratio was also evident in perennial ryegrass (Lolium perenne) grown on high nitrogen. In that case, root:shoot ratio increased from 0.82 to 3.44 in response to moisture stress when plants were grown on low phosphorus in combination with high nitrogen.

Adding to this nutrient × drought interaction, a genotype × phosphorus effect on root:shoot ratio has been demonstrated by Chapin et al. (1989) for wild and cultivated species of Hordeum. Weedy barleygrass (H. leporinum and H. glaucum) was especially responsive, root : shoot ratio increasing from about 0.75 to 1.5 over 21 d on low phosphorus. By contrast, cultivated barley (H. vulgare) remained between 0.5 and 0.75 over this same period. Held on high phosphorus, all species expressed comparable root:shoot ratios which declined from around 0.55 to about 0.35 over 21 d. High root:shoot ratios on low phosphorus in weedy accessions would have conferred a selective advantage for whole-plant growth under those conditions, thus contributing to their success as weeds.

Even stronger responses to phosphorus nutrition have been reported for soybean (Fredeen et al. 1989) where plants on low phosphorus (10 µM KH2PO4) invested biomass almost equally between roots and shoots, whereas plants on high phosphorus (200 µM KH2PO4) invested almost five times more biomass in shoots than in roots (daily irradiance was about 30 mol quanta m–2 d–1 and would have been conducive to rapid growth).

Root:shoot ratios are thus indicative of plant response to growing conditions, but ratios are not a definitive measure because values change as plants grow. Trees in a plantation forest would show a progressive reduction in root:shoot ratio, and especially after canopy closure where a steady increase in stem biomass contrasts with biomass turnover of canopy and roots and thus predominates in determining root:shoot ratio.

Broad generalisations are that root:shoot ratio increases with nutrient deficiency and moisture stress or under elevated CO2, but decreases in strong light. Too often, however, reports of treatment effects on root:shoot ratio have can overlooked differences in developmental ontogeny or size, and real responses may be obscured. Allometry then becomes a preferred alternative where repeated measurements of size or mass provide an unambiguous picture of carbon allocation.

6.3.3 - Allometry

During whole-plant growth in a stable environment, roots and shoots maintain a dynamic balance such that 

\[y=bx^k \tag{6.17}\]

Where y is root biomass and x is shoot biomass. More generally, x and y can be any two parts of the same organism that are growing differentially with respect to each other, but root–shoot relations are the most common candidate in such analyses of plant growth.

The allometric equation \(y=bx^k\)  (Equation 6.17) was formalised by Huxley (1924) and can be ln transformed to become

\[\text{ln } y= \text{ln }b + k\text{ln }x \tag{6.18}\]

Fig 6.11.png

Figure 6.11. Seedlings of Eucalyptus grandis growing in aeroponic culture on five different nitrogen treatments show a strict allometry between root (Wr) and leaf growth (Wf) (a) as well as between stem (Ws) and leaf growth (b). With all other nutrient elements non-limiting, nitrogen was supplied at five relative addition rates (d-1), namely 0.12 (open circles), 0.10 (solid circles), 0.08 (open triangles), 0.06 (solid triangles) and 0.04 (open square). Root:leaf allometry in seedlings on the lowest relative addition rate (plant [N] 10 mg g-1) shows a similar slope but a higher intercept compared with plants maintained continuously on the highest rate (plant [N] 35.5 mg g-1). Stem:leaf allometry (b) was highly conserved regardless of N addition rate with a slope (k) of 1.261 reflecting a steady commitment to stem growth over leaf growth in these tree seedlings. Based on Cromer and Jarvis (1990) Aust J Plant Physiol 20, 83-98

This formulation enables a straight-line plot of ln y as a function of ln x with slope k  (i.e. the allometric coefficient) and intercept ln b. This empirical model does not explain the nature of growth controls between roots and shoots but does offer a simple description which is not confounded by plant size. Moreover, any departure from a particular root : shoot relationship is immediately obvious, and sources of variation in root : shoot ratio can be resolved into starting conditions (differences in intercept, ln b) versus biomass partitioning during growth (differences in slope, k).

Leaf, stem and root growth under controlled conditions in Eucalyptus grandis seedlings demonstrate such application (Figure 6.11). Nitrogen input in nutrient spray chambers was used as a driving variable for growth where five relative addition rates generated a wide range in whole-plant RGR (from 0.039 d–1  0n lowest to 0.111 d–1 on highest rate).

Data from all treatments and harvests were pooled to reveal a strict allometric relationship between root and leaf growth (Figure 6.11) with a nitrogen effect on intercept but not slope. Nitrogen nutrition had influenced biomass allocation to the extent that low addition rate had initially promoted root growth relative to leaves (hence higher intercept), but subsequent to this early adjustment, and once growth had stabilised, biomass allocation to roots and leaves maintained a constant relationship irrespective of addition rate. In this case k = 0.982, indicating a net bias towards leaf growth over root growth — a ‘net bias’ because carbon loss via excretion, root renewal and respiration was not measured so that more photoassimilate would have been allocated to roots than was fixed in biomass.

Stem and leaf biomass also maintained a strict allometric relationship (Figure 6.11) where k = 1.261. A value for k greater than unity implies a consistent bias towards stem growth relative to canopy growth, as would be expected in a eucalypt with a high rate of stem growth (and favoured in plantation forestry). Significantly, nitrogen treatment was without effect on either intercept or slope (Figure 6.11) and emphasises the highly conserved relationship between leaves and stem in these seedlings.

Fig 6.12.png

Figure 6.12. Root:shoot allometry in Italian reygrass (Lolium multiflorum) shows an abrupt change with flowering (log-log plot). A change in allometric coefficient (k) for this species from 1.121 to 0.553 indicates a shift in biomass allocation from root growth towards shoot growth following emergence of inflorescences. Mean values for k during vegetative cf. Reproductive phase from several accompanying species were 1.145 and 0.627 respectively. Based on Troughton (1956) J Brit Grassland Soc 11, 56-65

Developmental events also influence allometry and Italian ryegrass (Lolium multiflorum) provides a nice example (Figure 6.12) where a log–log plot of root mass as a function of shoot mass showed an abrupt change in slope when flowering occurred. In that case, k decreased from 1.121 to 0.553, and although shoot dry mass was about 10 times root biomass, a change in allometry was clearly evident.

6.4 - Reproductive development

Fig6.13.png

Figure 6.13. A notional distribution of biomass during the vegetative growth and reproductive development in an idealised annual plant such as a cereal or grain legume over c. 125 d. Whole-plant biomass follows a sigmoidal pattern with a near-exponential increase during vegetative growth and an asymptotic increase during subsequent maturation. Reproductive structures have by then become dominants sinks for photoassimilate, drawing 90-95% of their carbon from current photosynthesis but also mobilising stored assimilate from leaves, stems and roots, which lose biomass during that process (Original drawing P.E. Kriedemann; based on various sources)

Annual plants show a sigmoidal increase in total biomass during each life cycle (Figure 6.13) where a near-exponential vegetative phase (Phase 1) gives way to a reproductive phase (Phase 2) starting with flower initiation. In effect, Phase 1 sets a potential for reproductive yield whereas events during Phase 2 determine realisation of that potential because nearly all of the photoassimilate stored in reproductive structures (90–95% in cereal grains, for example) comes from carbon fixed subsequent to initiation. Reproductive organs then become dominant sinks for current photoassimilate as well as carbon-based resources previously stored in leaves and stems.

The carbon content of shoot components changes dramatically following onset of reproductive development. As shown for lupin in Figure 6.14, the dynamic balance between leaves and stem that had been previously maintained during vegetative growth is now replaced by an accelerated senescence of leaves and loss of non-structural carbohydrates from leaves plus stems to provide assimilates for the developing pods. At full maturity, reproductive structures in lupin account for about 50% of above-ground biomass, with seeds accounting for about two-thirds of that investment (Figure 6.14). In most grain or seed crops, the mature reproductive structure accounts for 50% of the above-ground biomass (Table 6.4).

Fig6.14_edit.png

Figure 6.14. An unirrigated crop of lupin (Lupinus angustifolius cv. Unicrop) shows major redistribution of plant carbon from vegetative to reproductive structures during grain filling. This cultivar is indeterminate with successive cycles of reproductive development. FP, FS and FT indicate commencement of flowering on primary, secondary and tertiary shoots respectively. Seed carbon increased exponentially over the period 8-12 weeks after anthesis coinciding with leaf loss and some reduction in stem carbon. Nearby irrigated lupins retained leaves much longer. Based on Pate et al. (1980) Aust J Plant Physiol 7, 283-297

In wheat, also, assimilates are redistributed from stems to grains, more so when photosynthesis is limited (Rawson and Evans 1971). Remobilisation of stem reserves into grain is particularly important in a terminal drought. In wheat, stem reserves might contribute a high proportion to grain weight, and account for 80% of the carbon source rather than 10% as in well-watered conditions. But because grains are much smaller after drought, the absolute amount of carbon transported from the stem may be similar to that moved in good conditions. Percentages can be misleading.

In nature, a combination of ecological factors and life cycle options has led to wide variation in reproductive effort by vascular plants so that dry matter invested in reproductive structures relative to vegetative biomass will vary accordingly. For example, late successional rainforest species which combine shade adaptation with longevity are characterised by large propagules where massive seed reserves buffer young seedlings against shortfalls in carbon supply due to deep shade or dry spells. By contrast, early successional (pioneer) species on disturbed sites benefit by producing a large number of widely disseminated seeds. Their reproductive effort is best invested in number rather than size, and carries an added advantage that at least some viable seed will be produced even under stressful conditions. Weedy barleygrass is a case in point where Chapin et al. (1989) report that these species produce 4.5-fold more grains, but they are only one-sixth the size of cultivated barley. Ripening patterns also differed where grains matured synchronously in cultivated barley, but matured and dehisced progressively from tip to base in ears of barleygrass.

 

6.4.1 - Harvest index

The term “harvest index” is used in agriculture to quantify the yield of a crop species versus the total amount of biomass that has been produced. The commercial yield can be grain, tuber or fruit. Harvest index can apply equally well to the ratio of yield to total plant biomass (shoots plus roots) but above-ground biomass is more common because root mass is so difficult to obtain.

The harvest index of the lupin plants shown in Figure 6.14 was about 0.33. Potential values for the harvest index of various crop and horticultural species are shown in Table 6.4.

Domesticated plants have been subjected to sustained selection pressures on reproductive development by humans (Table 6.4) and now reflect wide variation from tuber-forming species such as potato, where over 80% of plant biomass is harvested as storage organs, to high-value flower crops such as tulip where blooms might represent only 20% of the final biomass of whole plants. Mid-range are legumes, cereals and other grain crops where human selection for yield has led to a notable increase in HI. Wheat, for example (Figure 6.15), increased from between 0.30 and 0.35 to almost 0.55 over a century, while barley and rice have shown similar trends.

Fig6.15.png

Figure 6.15. A century of breeding and selection has produced some solid gains in harvest index (HI) (ratio of grain to whole shoot biomass) for crop species including barley (dashed line), wheat (solid line) and rice (dotted line) as shown here. Introduction of dwarfing genes to reduce lodging under high-nutrient cultivation was a major factor in this achievement. Cereal architecture necessitates some trade off between stout stems to support heavy ears and a retention of leaf area to generate photoassimilate. HI will eventually reach a ceiling set by those constraints. Based on Evans (1993)

Yield improvement in cereals, cotton, peanuts and soybean which is similarly due to substantial increase in HI, emphasising (Gifford et al. 1984) that partitioning of photoassimilate rather than generation of whole-plant biomass was responsible for such yield improvement.

6.4.2 - Yield components

Yield of a cereal crop such as wheat or rice depends on the numbers of seeds that mature on a plant, and their size. Carbon partitioning during vegetative development and before flowering influences the number of flowers that are formed on a plant, as the reproductive sink competes with growing tissue in leaves, stems and roots for carbon supply. Carbon partitioning after flowering influences the rate of seed growth and the final size of the seed.

Major sources of variation in yield can be identified via a simple yield component model. Taking cereals as an example, final grain yield (g m–2) is a product of grains per square metre and mass per grain.

Planting density and fertilizer can further influence yield components, as shown in the example in Table 6.5. In cereals, lateral shoots are called “tillers”, and the mature inflorescence that forms on a mature tiller an “ear”. Ears m–2 is in turn an outcome of planting density (plants m–2), tillers per plant and ears per tiller. Not all tillers produce an ear, especially if the density is high and the plants then limited by light as well as possibly by fertilizer or water.

Some yield components such as mass per grain are especially stable, others such as ears m–2 and grains per ear vary widely with seasonal conditions or according to original planting density (Table 6.5). In that case (Insignia wheat at Glen Osmond, South Australia), mass per grain was highly conserved (33–35 mg) whereas tillers per plant varied from 41 at lowest planting density to only three at highest density. Significantly, yield variation was buffered by compensatory responses in yield components. For example, effects of low planting density were offset by production of more tillers per plant and more ears per tiller. Grains per ear then determine potential yield so that growing conditions would have become crucial for realising such potential via grain retention and filling

Genotype × environment interactions lead to huge variation in cereal grain yield and have been exploited for yield improvement. Universally, high grain number per square metre is a prerequisite for high yield and can be achieved via more ears per square metre and/or more grains per ear. In wheat and barley, grain number per ear has been primarily responsible for gains in yield; ears m–2 and mass per grain have not shown consistent increase (see Evans 1993 and literature cited).

For a commercial crop, mass per grain is the most important single component, and determines its use. The size (and sometimes shape) of the harvested product determines the value of the crop to the grower. A small or “pinched” wheat grain is of little value as it cannot be milled for flour and is fed to animals.

6.4.3 - Increasing harvest index

Fig6.16_edit.png

Figure 6.16. Early growth of reproductive tissues relative to stem mass in dwarf genotypes foreshadows faster ear development and higher HI. The tall and productive Mexican spring wheat (Yaqui 50, designated rht) eventually produces heavier ears, but returns a lower HI at maturity. Introduction of two major dwarfing genes (Rht 1 + Rht 2) resulted in shorter stems. Consequently developing ears were subject to less competition for photoassimilate during early differentiation and for grain filling subsequent to anthesis. Bars represent standard errors. Based on Bush and Evans (1988) Field Crops Res 18, 243-270

A major impetus to improve HI in cereals came from the introduction of dwarfing genes. In primitive wheats, and tall plants generally, reproductive structures have to compete with rapidly extending stems for photoassimilate, but dwarf cultivars alleviate such competition and enable a shift in carbon partitioning to ears. Early growth of ears and stems in two lines of a Mexican spring wheat (Figure 6.16) illustrate this principle. A steeper slope in the dwarf line (designated Rht 1+2) compared with the tall line (rht) implies greater allocation of photoassimilate to ear growth relative to stem growth. The two dominant dwarfing genes (Rht 1 plus Rht 2) which are insensitive to gibberellic acid result in short stems and enhanced yield. Such genotypes formed the basis of the Green Revolution.

Tall wheat commonly “lodges” (falls over) in nitrogen-rich conditions, and dwarf wheats were originally developed to overcome this problem. Crop physiologists and breeders subsequently recognised the yield advantage from improved partitioning of photoassimilate. Continuing selection for yield within the semidwarf background, which became common after the 1970s in both spring and winter wheats, has seen further yield progress with little change in plant height. Yield has improved further in spring wheats (Sayre et al 1997; Sadras and Lawson 2011) and in winter wheats (Shearman et al 2005) but yield progress in more recent varieties is associated with notable increases in total biomass. This has occurred in both spring wheats (Sadras and Lawson 2011) and winter wheats (Shearman et al 2005; Zheng et al 2011). Also whereas past yield progress in wheat has always been associated with more grains m-2 and unchanged or smaller grains, yield gain in recent varieties in some cases has been linked to heavier grains (e.g. Zheng et al 2011). The switch from higher harvest index to greater biomass may reflect limits to harvest index, now around 0.5 for the best varieties about 80-100 cm in stature, while the appearance of newer varieties with heavier grains may reflect pressure from grain processors. Either way the changes point to the power of empirical selection.

Some room still exists for further improvement in shoot HI compared with 1980s values (Figure 6.15) but there is a corollary. If shoot biomass remains unchanged, further improvement in HI implies further reduction in leaf and stem mass. Considering leaves, specific leaf area (area:mass ratio or SLA) will have a finite limit for structural reasons so that the area of CO2-assimilating tissue servicing those enlarged sinks must also reduce as mass is reduced. Net assimilation per unit area (NAR) will therefore need to increase even further if potentially higher yields are to be realised. This could be achieved by either increases in photosynthetic potential or in more efficiency use of the energy produced.

The following section deals with respiratory efficiency and plant growth.

6.5 - Respiratory efficiency and plant growth

A significant amount of the CO2 fixed by photosynthesis is respired to produce the energy needed for production of new organs and maintenance of old ones. This is often termed a “cost”.

Costs associated with growth and maintenance of vascular plants can be represented as biomass equivalents. Calculations for dry matter utilisation during growth and development (Table 6.6) show that respiratory loss is substantial and can range from about 20-40% of the dry matter produced.

During growth and development (Table 6.6) a fall in structural growth rate has been accompanied by a fall in whole-plant respiration, while the amount of photosynthate allocated to storage has risen. Overall, respiration accounts for a significant fraction of photoassimilate. Commonly one-third and, under stressful conditions as much as two-thirds, of a plant’s daily fixed CO2 can be respired.

According to the estimates in Table 6.6, a germinating seedling with starting biomass of 1 g has in one day gained a further 0.2 g in structural growth plus 0.05 g in storage, with respiratory costs equivalent to 0.10 g g–1 d–1, or 40% of the dry matter formed. Using similar logic, the young vegetative plant has produced structural growth and storage at a respiratory cost equivalent to 0.08 g g–1 d–1, also 40% of the dry matter formed. In a maturing plant with less structural growth and with storage organs that are importing photoassimilate, the respiratory cost has fallen to 0.04 g g–1 d–1 or 27%, as the production of storage compounds requires less energy than does structural growth.

The physiological and biochemical processes involved in energy production, respiration, and utilization of energy have been described in detail in Chapter 2, but for convenience a summary is presented in the next section.

6.5.1 - Processes of energy generation and utilisation

Fig6.17.png

Figure 6.17. Simplified view of processes involved in carbon gain and generation of respiratory energy. The figure represents a mesophyll cell in a leaf. CO2 assimilated by chloroplasts produces carbon-rich compounds (photoassimilates) that are exported to the cytosol and mitochondria. CO2 is then produced during breakdown of these carbon-rich compounds by glycolysis and by mitochondrial respiration. Release of CO2 and uptake of O2 by mitochondria are coupled to production of usable energy (ATP, NADH). Carbon skeletons (necessary for protein synthesis) are also produced during mitochondrial respiration (Original drawing courtesy Owen Atkin)

(a)Photosynthesis and energy production

Photoassimilate is used to generate respiratory products needed for plant growth (Figure 6.17). Carbohydrate compounds produced from photosynthesis are exported from chloroplasts to the cytosol and mitochondria, and used to generate ATP, redox equivalents (in particular NADH) and carbon skeletons via glycolysis, mitochondrial tricarboxylic acid (TCA) activity and mitochondrial electron transport. Generation of these respiratory products results in CO2 loss during glycolysis and passage of metabolites around the TCA cycle.

(b)Respiration and energy utilisation

Energy (ATP and NADH) and carbon skeletons produced by mitochondrial respiration are used for various processes essential to growth, maintenance, nutrient uptake and transport within the plant.

Maintenance respiration represents the portion of respiratory CO2 release that is coupled to production of energy (ATP and reducing power) necessary for maintenance of chemical and electrochemical gradients across membranes, turnover of cellular constituents such as proteins, and processes involved in physiological acclimation to changing or harsh environments (Penning de Vries 1975). Energy needed for maintenance is determined by the specific costs of processes taking place and is generally regarded as proportional to tissue mass.

Protein turnover is an energy-intensive process accounting for 60–80% of maintenance respiration (Penning de Vries 1975). Demand for respiratory energy associated with protein turnover will depend on turnover rate, respiratory costs associated with turnover, as well as the total amount of proteins undergoing turnover. Enzymes such as nitrate reductase (a key enzyme involved in nitrogen assimilation) have a very high turnover rate (Amthor 1984). As a result, plants assimilating nitrate have higher maintenance requirements than ammonium-grown plants (Hansen 1979).

Translocation of photoassimilate is also a potentially expensive process that accounts for approximately 30% of total dark respiration in several starch-storing plant species and would represent a substantial drain on photo-assimilate that could otherwise go into storage organs (Table 6.6). Phloem loading and unloading is largely responsible for this high cost because transport of sugars between symplasm and apoplasm depends on cotransport of H+. Movement of H+ is in turn dependent on ATP being consumed in the symplasm (Chapter 5). Traffic in photoassimilate thus increases demand for maintenance respiration

Energy costs associated with nutrient aquisition are often very high because ions have to be transported across root cell membranes using active transport systems that require substantial amounts of ATP. Energy requirement for ion uptake will depend on several factors, including the degree to which absorbed nutrients are released back to the soil and the degree to which protons and anions are cotransported into roots.

Growth respiration covers synthesis of new biomass from photosynthate and mineral nutrients and is regarded as proportional to the rate at which new material is being formed. Specific respiratory costs associated with growth (i.e. construction cost) will depend to a large extent on the chemical composition of plant material and by implication the amount of energy embedded in these molecules (Table 6.7). Compounds with a high carbon concentration require more ATP and reducing power for their synthesis (Lambers and Poorter 1992). For example, biomass stored as lipid represents an investment of almost three times as much energy as would be required for storage of the same mass of non-structural carbohydrate. Plant growth analysis based on dry mass accumulation takes no account of such differences in chemical composition of end-products, so that comparisons of growth efficiencies based solely on RGR of biomass must be viewed circumspectly.

Construction cost, and thus growth respiration, also varies according to the chemical form of available nitrogen (e.g. N2, NO3 and/or NH4+and sites of assimilation. Nitrogen reduction is an energetically expensive process, requiring considerable input of respiratory energy (e.g. ATP + reductant) and TCA cycle intermediates. Plants fixing atmospheric N2 in their roots demand much ATP, namely 12.5–26.5 mol ATP per mol of NH4+ produced, and a further 2.5–3.0 mol ATP for subsequent assimilation into nitrogen-based metabolites such as amino acids and proteins. NO3 reduction to NH4+ is cheaper, costing around 12 mol ATP per mol NH4+ produced.

Respiratory costs associated with NO3 assimilation can be substantially reduced if reduction of NO3 to NH4+ and subsequent assimilation of NH4+ into amino acids takes place in leaves. Reduction and assimilation of NO3 can then used excess photosynthetic reductant and ATP. Growth respiration associated with synthesis of nitrogen-based resources is thus greatly reduced by shoot assimilation of NO3.

6.5.2 - Fast-growing versus slow-growing plants

Plants vary in their intrinsic growth rate, and may under the same environment differ three-fold in the relative growth rate. Some species are inherently fast-growing, and some inherently slow-growing. This section investigates the reason for this, and in particular the energy efficiency of the various species.

Fast-growing species tend to have higher rates of photosynthesis, but also use respiratory energy more efficiently for maintenance, growth and ion uptake. Variations in efficiency of energy use reflect differences in the proportion of whole-plant respiration that is allocated to these three processes and/or the specific costs of each process.

Fast-growing species achieve a higher RGR under optimum conditions than do slow-growing species under similar conditions. Carbon loss via respiration is considerable with genetic differences in generation and utilisation of respiratory energy contributing to these differences in RGR. Fast-growing species achieve a higher RGR than slow-growing species because their net rate of CO2 uptake per unit of shoot and whole-plant mass is greater (Figure 6.18). By definition, net carbon fixed per day must depend to some extent on the proportion of fixed CO2 that is subsequently lost by respiration, so that differences in respiratory CO2 loss have an important impact on net carbon gain, and can be linked quantitatively to RGR.

Fig6.18_edit.png

Figure 6.18. Daily carbon economy of plant species that differ with respect to inherent maximum RGR (g g-1 d-1). The fast-growing grass and fast growing herb both exhibit higher rates of gross photosynthetic CO2 uptake per unit mass (i.e. net photosynthesis plus shoot dark respiration) than their slow-growing counterparts. Fast-growing species lose a smaller percentage of daily fixed carbon via respiration. Based on data in Atkin et al. (1996) Funct Ecol 10, 698-707 for slow-growing Australian alpine and fast-growing lowland Poa species, and Poorter et al. (1990) Plant Physiol 94, 621-627 for the slow-growing herb Pimpinella saxifrage versus the fast-growing herb Galinsoga parviflora).

Data shown in Figure 6.18 can be used to calculate RGR for each species from photosynthesis and respiration measurements if the plant’s carbon concentration is known.

Processes supporting a net gain in new biomass (dW, g) per unit time (dt, d) can be represented as:

\[\frac{\text{d}W}{\text{d}t}=A-R\tag{6.25}\]

where  A is daily carbon assimilation and R is whole-plant respiratory loss, so that net gain per unit existing plant biomass per unit time (or RGR, g g–1 d–1) becomes

\[\text{RGR} = \frac{1}{W}\frac{\text{d}W}{\text{d}t} = \frac{A}{W} - \frac{R}{W} \tag{6.26}\]

 If A and R are expressed as mmol carbon g–1 dry matter per day, then Equation 6.26 becomes

\[\text{RGR} = (A-R)/C_{wp} \tag{6.27}\]

where Cwp  is plant carbon concentration in mmol carbon g–1 dry matter. R can be separated into Rshoot and Rroot.

Whole-plant RGR can now be linked to gas exchange data for shoot assimilation (A), shoot respiration (Rshoot) and root respiration (Rroot) according to the expression

\[\text{RGR} = (A-(R_{\text{shoot}} + R_{\text{root}})/C_{wp} \tag{6.28}\]

A and R can be determined from direct measurement of whole-plant gas exchange. The example below uses a value for Cwp of 34.8 mmol C g–1 dry matter.

Taking the fast-growing grass in Figure 6.18, where A is 11.1 mmol C g-1 plant d-1, and R for shoots and roots is 1.75 and 1.68 mmol C g-1 d-1 , then RGR = 0.22 g g–1 d–1 .

This prediction of 0.22 d–1 for RGR represents an instantaneous value derived from whole-plant gas exchange measurements, whereas 0.255 d–1 in Figure 6.18 represents an average RGR from growth analysis over several days. Gas exchange values are generally within 10% of RGR values from sequential harvests.

Herbs and grasses can differ in the degree to which respiratory losses account for differences in RGR. Considering grasses (Figure 6.18, left side), 56% of daily fixed CO2 is lost by respiration in the slow-growing alpine species whereas only 30% of daily fixed CO2 is respired by the fast-growing lowland grass species. Over half of the carbon loss is attributable to roots in both species and, overall, respiration rate per unit plant mass is slightly higher in the slow-growing grass species.

Herbs in Figure 6.18 (right side) differ from grasses because the fast-growing herb respires faster than the slow-growing herb (on a mass basis) so that differences in percentage loss of carbon between these species cannot be due to differences in respiration rates per se. Significantly, however, the fast-growing herb still loses a smaller percentage of daily fixed carbon due to whole-plant respiration because daily CO2 assimilation (mass basis) is especially high. A notably higher SLA in this fast-growing herb contributes to faster photo-synthesis on a mass basis (Figure 6.18).

A lower percentage loss of daily fixed carbon due to respiration in fast-growing grasses and fast-growing herbs does imply that carbon metabolism is more effective in these species than in their slow-growing counterparts, and serves as a model for generalisations. Such fast-growing plants may be more efficient in how they generate and/or use respiratory energy.

It is likely that an inherent capacity for fast growth confers a selective advantage for plants in favourable environments such as warm moist lowlands, but would be selectively neutral in restrictive environments such as nutritionally poor sites or alpine regions.

6.5.3 - Maintenance versus growth respiration

Growth respiration can be distinguished from maintenance respiration by relating variation in respiration rate to variation in RGR over short time intervals (Figure 6.19; Penning de Vries 1975). This approach assumes a model for respiration where:

\[\text{Total respiration} = \text{Maintenance respiration} + \text{(Specific costs of growth} \times \text {RGR)} \tag{6.31}\]

where respiration is expressed in mmol CO2 g-1 d-1, and specific costs of growth in mmol CO2 g-1.

Fig6.19.png

Figure 6.19. Determination of growth and maintenance respiration in whole plants, roots or shoots. Respiration rates are plotted as a function of RGR and maintenance respiration is taken as the rate of respiration when RGR is extrapolated to zero. The slope of this plot (25 mmol CO2 g-1) provides an estimate of the specific costs of growth which are assumed to remain constant for a given plant regardless of RGR. Variation in both RGR and respiration rate can be generated in several ways, including growing plants under different irradiances, or by measuring respiration and growth rates during development (RGR and respiration rate commonly decrease with age) (Original drawing courtesy Owen Atkin)

Decreases in RGR (e.g. due to growth under different irradiance or during ageing) are assumed to decrease demand for growth respiration, whereas demand for maintenance respiration is assumed to remain constant at different RGR values. Based on these assumptions, the maintenance component can be estimated by extrapolating the respiration rate back to a point where no growth occurs (1 mmol CO2 g–1 d–1 in Figure 6.19). Specific respiratory costs associated with growth can be estimated from the slope of the respiration–RGR plot (25 mmol CO2 g–1 in Figure 6.19).

An alternative approach to maintenance and growth components of respiration involves holding plants in extended darkness. Most annual plants use up their readily available energy sources after about 2 d and shoot growth will cease. Rate of CO2 release would then reflect the maintenance component of dark respiration. The difference in dark respiration rates before and after 2 d darkness would be the growth component.

Such methods incorporate specific costs of ion uptake into estimates of growth respiration, but do not isolate the ion uptake component of root respiration. Ion uptake respiration can be separated from growth by partitioning root respiration into growth, maintenance and ion uptake components. The approach adopted by Veen (1980) assumes a model where:

\[\text{Root respiration} = \text{Maintenance respiration} + \text{(Specific costs of growth} \times \text {RGR)} + \text{(Specific costs of ion uptake} \times \text{Ion uptake rate)} \tag{6.31}\]

A multiple regression analysis approach can be used to separate these components (Figure 6.20). Root respiration is taken as a dependent variable; while RGR and ion uptake rate are independent variables (van der Werf et al. 1994). The maintenance component of root respiration is taken as the rate of respiration when growth and ion uptake are extrapolated back to zero. Specific costs of growth and ion uptake are taken as the slope of the respiration versus growth and ion uptake regressions, respectively.

Fig6.20.png

Figure 6.20. Determination of growth, maintenance and ion uptake components of root respiration. Maintenance respiration is taken as the rate of respiration when ion uptake rate and relative growth rate (RGR) are extrapolated to zero. Specific costs of ion uptake are estimated from the slope of the respiration versus ion uptake rate plot, while the actual amount of respiration allocated to ion uptake is shown. The slope of respiration versus RGR represents the specific costs of growth. Growth respiration varies with RGR, but specific costs of growth, ion uptake and maintenance are assumed to remain constant irrespective of variation in RGR or ion uptake (Original drawing courtesy Owen Atkin)

Most respiratory energy is allocated to nutrient acquisition in both fast- and slow-growing species (Figure 6.21) and this proportion increases even further under suboptimal conditions as maintenance costs rise. However, fast-growing species are distinguished by allocating less respiratory energy to nutrient acquisition, and more to growth. Presumably, a lower allocation to ion uptake in fast-growing species arises from lower specific costs. Loss of absorbed nutrients could also be lower in fast-growing species, while cotransport of protons and anions into roots might conserve energy. Maintenance costs also appear to be slightly lower in fast-growing plants (Figure 6.21) but any difference between these two plant categories in allocation to maintenance processes is small and is unlikely to matter overall. Nevertheless, differences in maintenance respiration will become more important when a plant is exposed to unfavourable conditions which invariably increase allocation of respiratory energy to fine-root turnover and maintenance of those structures.

Fig6.21_edit.png

Figure 6.21 Root respiration is largely devoted to ion uptake and maintenance in slow-growing species (left-side) compared with a predominant allocation to growth in fast-growing species (right-side). (Generalised values comparable to Figure 6.18) (Based on Poorter et al. 1991)

6.5.4 - Suboptimal environments

Nitrogen limitation decreases absolute rates of shoot and root respiration in both fast- and slow-growing species (Figure 6.22) but the decrease in gross photosynthesis is much greater. Thus, the percentage of daily fixed CO2 lost during respiration increases under nitrogen limitation. This mainly results from a greater allocation of photoassimilate to roots. Slower growth of whole plants on low nitrogen is therefore due to both slower photosynthesis due to less Rubisco coupled with more costly nitrogen acquisition.

Fig6.22.png

Figure 6.22. Low nitrogen (supplied as nitrate) reduces RGR in both fast-growing and slow-growing grass species. Photosynthesis and respiration (mass basis) also decrease, but the percentage of daily fixed carbon that is lost via respiration is higher on low nitrogen due to a greater investment of photoassimilate in roots. Photosynthetic CO2 gain is expressed as net photosynthesis plus shoot respiration (assuming shoots respire in daytime at the same rate as that measured in darkness). Values for CO2 exchange per unit plant mass were calculated from whole-plant measurements and proportions of plant biomass allocated to shoots and root, respectively. Based on Poorter et al. (1995) Plant Soil 171, 217-227

The proportion of daily fixed CO2 that is respired may also increase under other stressful conditions such as drought, high temperature and ion toxicity. Challenged by such stresses, a greater proportion of respiratory energy is being used to support cellular maintenance in place of growth.

In conclusion, this chapter has shown that respiratory costs are high, for both formation of new tissues and maintenance of old ones. Plants profit from shedding old leaves and roots, where the costs of maintenance outweigh the benefits of their function. Future research into ways to minimise costs while maximising functions may produce more efficient plant forms. Quantitative growth analyses will be essential in developing new plants or improving management practises for higher yields in both optimal and suboptimal environments.

6.6 - References

Amthor JS (1984) The role of maintenance respiration in plant growth. Plant Cell Environ 7: 561-569

Blackman GE, Wilson GL (1951a) VI. The constancy for different species of a logarithmic relationship between NAR and light intensity and its ecological significance. Ann Bot 15: 63-94

Blackman GE, Wilson GL (1951b) VII. An analysis of the differential effects of light intensity on NAR, LAR and RGR of different species. Ann Bot 15: 374-408

Blackman GE et al (1955) An analysis of the effects of seasonal variation in daylight and temperature on the growth of Helianthus annuus. Ann Bot 19: 527-548

Chapin FS et al (1989) Physiological determinants of growth rate in response to phosphorus supply in wild and cultivated Hordeum species. Oecologia 79: 96-105

Davidson RL (1969b) Effects of soil nutrients and moisture on root/shoot ratios in Lolium perenne and Trifolium repens. Ann Bot 33: 571-577

Evans GC (1972) The quantitative analysis of plant growth. Blackwell: Oxford

Evans GC, Hughes AP (1961) I. Effect of artificial shading on Impatiens parviflora. New Phytol  60: 150-180

Evans LT (1993) Crop evolution, adaptation and yield. Cambridge University Press.

Fredeen AL et al (1989) Influence of phosphorus nutrition on growth and carbon partitioning in Glycine max. Plant Physiol 89: 225-230

Gifford RM et al. (1984) Crop productivity and photoassimilate partitioning. Science 225: 801-808

Hansen GK (1979) Influence of nitrogen form and absence on utilisation of assimilates for growth and maintenance in tops and roots of Lolium multiflorum. Physiol Plant 46: 165-168

Hughes AP, Cockshull KE (1971) The effects of light and CO2 on the growth of Chrysanthemum morifolium. Ann Bot 35: 899-914

Hunt R (1982) Plant growth curves: the functional approach to plant growth analysis. Edward Arnold: London

Lambers H, Poorter H (1992) Inherent variation in growth rate between higher plants. Adv Ecol Res 23: 187-261

Penning de Vries FWT (1975) The cost of maintenance processes in plant cells. Ann Bot 39: 77-92

 Penning de Vries FWT et al. (1974) Products, requirements and efficiency of biosynthesis: a quantitative approach. J Theor Biol 45: 339-377

Poorter H, Lewis (1986) Testing methods in relative growth rate: a method avoiding curve fitting and pairing. Physiol Plant 67: 223-226

Poorter  H et al (1991) Respiratory energy requirements of roots vary with the potential growth rate of a plant species. Physiol Plant 83: 469-478.

Poorter H et al (2012) Biomass allocation to leaves, stems and roots: meta-analyses of interspecific variation and environmental control. New Phytol 193: 30-50.

Potter JR, Jones JW (1977) Leaf area partitioning as an important factor in growth. Plant Physiol 59: 10-14

Sayre KD et al. (1997) Yield potential progress in short bread wheats in northwest Mexico. Crop Sci 37: 36-42

Sadras V, Lawson C (2011) Genetic gain in yield and associated change in phenotype, trait plasticity and competitive ability of South Australian wheat varieties. Crop Past Sci 62: 1-17

Shearman VJ et al. (2005) Physiological processes associated with wheat yield progress in the UK. Crop Sci 45: 175−185

Shipley B (2006) NAR, SLA and LMR: which is most closely correlated and with relative growth rate? A meta-analysis. Funct Ecol 20: 565-574

Warren Wilson J (1969) Maximum yield potential. In ‘Transition from Extensive to Intensive Agriculture’  Int Potash Instit, Berne, 7th Colloquium pp 34-56.

Wong SC (1990) Elevated CO2 and plant growth. II Non-structural carbohydrate content in cotton. Photosyn Res 23: 171-180

Zheng TC et al. (2011) Genetic gains in grain yield, net photosynthesis and stomatal conductance achieved in Henan Province of China between 1981 and 2008. Field Crops Res 122: 225−233.

Chapter 7 - Plant growth and development

Chapter editor: Rana Munns

Contributing Authors: JS Boyer1, ME Byrne2, R Munns3

1University of Missouri, Columbia, USA; 2School of Biological Sciences, University of Sydney; 3School of Agriculture and Environment, University of Western Australia

With acknowledgements to authors and editors of Chapter 7 of Plants in Action, 1st edition (BJ Atwell and CGN Turnbull)

7.0-Ch-Fig-00.jpg

Mango inflorescence developing from vegetative shoots showing the result of meristems changing in morphology and function during the plant life cycle. (Photograph courtesy C.G.N. Turnbull)

Seeds germinate, shoots and roots develop, then plants flower and set fruit. Reproduction can occur sexually or asexually. This is the essence of plant life cycles – an alternation of vegetative and reproductive phases – and applies equally well to ephemeral annual species as to centuries-old trees.

In this chapter we show how the vegetative plant axis develops, and the transition to flowering or formation of asexual propagules occurs. Growth occurs by cells in the apical meristems dividing and subsequently enlarging, and taking shape. These are the “growth zones” and occur at root tips of all plants and in different parts of the shoot in monocots and dicots. Plant water status is important: a minimum turgor is necessary for cell growth, but the rate, longevity, and direction of cell growth is regulated by complex processes of signalling. The essential role of the cell wall in controlling growth rate, cell shape, and organ morphology is emphasised.

This Chapter explains the process of vegetative growth and the transition to reproduction. Chapter 8 presents the environmental signals that influence these developmental patterns, allowing optimisation and synchronisation with seasonal cycles of fluctuating climate.

7.1 - Axial growth: root, shoot and leaf development

A vascular plant begins its existence as a single cell, the zygote. The early embryo derived from growth of a zygote is globular whereas a mature embryo has a defined apical–basal growth axis (Figure 7.1). In other words, it has become a polar structure.

7.1-Ch-Fig-7.01.jpg

Figure 7.1 (a,b) Typical dicotyledonous embryo (Arabidopsis thaliana) showing suspensor (S) at globular and heart stages.  EP = embryo proper, Hs = hypophysis, C = cotyledons.  Photographed with Nomarski optics. (c) Mature monocotyledonous embryo within maize grain.  The shoot apex (with coleoptile and pre-formed leaves, together with scutellum), root apex and an adventitious root (arrowed) are all visible. (Based on Yadegari et al. 1994; Raven et al. 1992)

During longitudinal axis formation, two distinct zones that subsequently retain the capacity for continuous growth are set apart at opposite poles. These regions are the apical meristems, one producing the shoot system, the other producing the root system (Figure 7.1c). These are ‘open-ended’ indeterminate growth systems from which the same kinds of organs and/or tissues are produced continuously and which result in the primary plant body. Often in response to environmental cues such as photoperiod and low temperature, the shoot apical meristem may undergo transition to a floral state. In this case, the meristem has become determinate and ceases to produce new organs. In contrast, most root meristems remain indeterminate, although lateral roots which branch off a primary axis can become determinate. Shoot buds containing meristematic cells give rise both to terminal apices and to lateral branches, for example the crown of a eucalypt and its side branches, respectively. Roots also branch profusely, but from meristematic tissue deep within the root axis, so generating extensive root systems typical of most land plants. In monocots, an intercalary meristem located at each node of the stem provides the facility for continued longitudinal growth if the shoot tip is destroyed, for example by a grazing animal or a lawnmower. Patterns of plant development contrast sharply with those of higher animals where the fundamental body plan, complete with rudimentary organs, is laid down in the embryo. In the case of animals the organ number is finite, unlike the plant body in which an indefinite number of organs such as leaves are produced from indeterminate apical meristems. Within the organs of an animal, further cell divisions replace degenerating cells whereas plant cell division primarily provides new organs to replace those lost through senescence.

The so-called primary plant body, described above, may constitute a whole plant, for example annuals like pea, cereals and Arabidopsis. However, plants with extended lifespans have additional meristem layers called cambium which develop within roots and stems, and lead to an increase in girth along the plant’s longitudinal axis (see Section 7.2). Vascular cambium generates extra conducting tissue; cork cambium produces protective tissue, replacing the functions of epidermis in stems, and cortex and epidermis in roots. Cambial meristems and their derivative tissues are referred to as the secondary plant body. Although no new organs are produced by these lateral meristems, the secondary plant body may constitute the bulk of the plant, for example a tree’s trunk, branches and roots.

7.1-Ch-Fig-7.02.jpg

Figure 7.2 (a) The first few leaves of many Acacia seedlings often have pinnate leaves (arrow), but phyllodes (flattened petioles) take over photosynthetic functions at later nodes. (b) Juvenile seedling (opposite leaf pairs) and adult shoot (spiral phyllotaxis) forms of Eucalyptus. (Photographs courtesy C.G.N. Turnbull)

Localised meristems, whether axial or lateral, have profound implications for morphogenesis. Changes in the fate of cells emerging from meristems will be evident in the resultant tissues and organs. For example, the abrupt transition from juvenile to mature leaves in eucalypts and acacias (Figure 7.2) reflects this change of fate.
Meristems are restricted to localised regions in higher plants, but in algae cell divisions are not always organised this way. Unicellular organisms undergo divisions to produce a new biological entity capable of further cell divisions and multicellular algae often have diffuse meristems. The latter could in part reflect the less exacting demands of their homogeneous aquatic environment. Producing new cells throughout a developing thallus may be feasible simply because it is well supported under water.

7.1.1 - Root apical meristems

Although roots are sometimes neglected by researchers and called the ‘forgotten half’ or ‘hidden half’ of plants, root apical meristems have been studied extensively for two reasons. First, roots are viewed as a simpler system than shoot meristems – the root meristem is much more accessible than the shoot meristem which is ensheathed by developing leaves. Second, complicating lateral structures arise from the terminal shoot meristem (leaf and bud initials) but not from the terminal root meristem, which produces cells solely for the primary axis. This is where the simplicity ends. A primary root meristem generates two tissues simultaneously, the main root axis extending proximally towards the shoot, and the root cap pushing relentlessly forward into the soil, succumbing to sloughing and hence rapid turnover. The detailed organisation of root meristems, which we consider here primarily from the view of the cell biologist, reveals deeper complexities and questions of cell determination.

Lateral root meristems enable generation of massive networks of fine roots. The evolutionary processes which led to root systems of a very branched nature (e.g. grasses) through to coarse unbranched root systems (e.g. orchids) are a fascinating basis for further research into control of root branching. In addition, molecular intervention is giving us new plant forms which can be used to unravel the controls on root development and branching.

Root meristem anatomy

Primary roots arise through controlled cell divisions in the apical meristem and subsequent expansion and differentiation of these cells. Root formation (rhizogenesis) is usually extremely rapid: daughter cells exiting the meristem may be found 24 h later in a fully differentiated structure (e.g. phloem), even though further modifications to cell function are still possible (e.g. formation of an exodermis).

7.1-Ch-Fig-7.03.jpg

Figure 7.3 Longitudinal section through a primary root tip of radish (Raphanus sativus). Files of cells extend forward from the centre of the apex to form the root cap, and backwards to form the main root tissues. (Based on Raven et al. 1992)

Critical steps in setting up dimensions and thickness of the root axis, and supply of cells to the zone of elongation, are the rate and position of cell divisions in the meristem. This can be appreciated from the two-dimensional view of a developing radish root in Figure 7.3. Divisions can be in any of three planes, either anticlinal (normal to the root axis), periclinal (tangential to the root axis) or radial to the axis. These divisions will give rise, respectively, to increased root length, increased root thickness (more layers of cells through the root), or increased root circumference. The apical meristem supplies all the cells for the primary root axis and the consequences of the planes of cell division are evident long after meristematic activity ceases.

Separate cell divisions at the leading edge of the root meristem generate a root cap which extends forward as a protective structure. The central cells of the root cap are often oriented in longitudinal arrays (columella) and are destined for rapid attrition as the ‘advancing’ soil particles slough off the surface layers. These cells also fulfil a vital chemico-physical role by secreting a glycoprotein-rich mucigel which reduces friction between root and soil matrix. Root caps advance at a dramatic speed: a root might elongate by 5 cm per day and new root cap cells can be pushed in advance of the apex of the primary axis at about the same rate. This means that the leading tip of a primary root, supplied with new root cap cells, advances through the soil at up to 60 µm min–1. The sloughing off of roughly one cell layer per hour may explain our observation that the root cap does not increase in size over time. Intriguingly, root caps are still conspicuous in roots grown in nutrient solutions but still never dominate the primary root axis, so we deduce that sloughing off may induce a feedback mechanism that upregulates root cap meristem activity.

7.1-Ch-Fig-7.04p.jpg

Figure 7.4 Most root apices contain a quiescent centre of very slowly dividing cells. (a) Diagram of longitudinal section through a maize (Zea mays) root tip. The quiescent centre is shaded dark green. (b) Autoradiograph of transverse section through root apex of Vicia faba (broad bean), fed for 24 h with radioactive [3H]thymidine which specifically labels DNA in nuclei of dividing cells. The quiescent centre has significantly fewer labelled cells (dark silver grains). (Based on Clowes 1959; Waisel et al. 1996)

Another remarkable feature of root apices is the quiescent centre, a paradox at the heart of the meristem (Figure 7.4). The quiescent centre is a zone of relatively inactive, slowly dividing cells, numbering about 500–600 in a mature maize root. Its discovery (Clowes 1959) involved studies on mitotic frequencies, thymidine incorporation into nuclear DNA (Figure 7.4b), and ploidy after colchicine treatment. These led to a radical change in view of plant roots. The quiescent centre functions as a reserve of cells which can survive stresses and provide cells to a regenerating meristem. Recovery from surgical removal of parts of the meristem and irradiation to destroy dividing cells supports this concept. Likewise, short determinate lateral roots often lack a quiescent centre, suggesting it is closely tied to sustained indeterminate development.

Passage of cells from meristem to differentiated structures has been studied in simple roots such as ferns in which a single apical cell can be the progenitor of all root cells. Higher plants such as maize or beans have more complex roots, but the whole root can still be traced back to as few as 12 cells in the middle of the quiescent centre (Lyndon 1990). Cell destiny appears to follow predictable patterns, suggesting the notion of clonal development in which cell fate is fixed from the first divisions in the meristem. This view is under challenge from experiments using laser ablation. Individual cells, or groups of cells, can be eliminated by laser treatment, then the behaviour of adjacent cells is followed to see how the meristem is organised. This demonstrates that cells have considerable scope for taking over the meristematic role of their nearest neighbours. However, the process depends on physical contact between dividing cells and their daughter cells, which suggests a local transfer of information. The implication is that cell fate and the asymmetric divisions which give rise to various cell lines are regulated at a tissue level, but we do not yet know the nature of the mobile signals which might program cells in the meristem. We next turn to the fate of cells in their temporal journey from division to differentiation.

Cells divide in planes which are identifiably targeted to become the various root tissues even before all cell divisions are complete. For example, cells giving rise to the stele are generally clustered around the axis of the root, proximal to the quiescent centre (Figure 7.4a), while those giving rise to outer tissues (endodermis, cortex and epidermis) are peripheral to the pre-stelar cells. In roots of Arabidopsis, which has become a favoured plant for this work, the numbers of cells which generate individual tissues (e.g. eight meristematic cells generate eight cortical files) are known and the order of divisions giving rise to tissues such as pericycle, cortex and endodermis have been defined.

The changes which cells undergo in root meristems are profound; mitotic activity is most rapid in the distal regions (with a mitotic index of up to 23% in some files) but the mitotic cycle slows dramatically within 0.5–1.0 mm from a wheat apex. Surprisingly, mitotic frequency in adjacent cell files can vary widely (Figure 7.5; Table 7.1).

The rate and plane of cell division and subsequent rate of cell elongation determine the rate of delivery of new cells to mature root tissues. The coordination of cell flux is presumably under tight control, achieving the final anatomical outcomes recognisable as mature roots – single layers of pericycle and endodermal cells, long conducting vessels and epidermal cells are some examples. The role of growth in cells exiting the meristem and the direction of expansion are major factors in rhizogenesis, with a 30- to 150-fold volume expansion required to generate the primary axis.

7.1-Ch-Fig-7.05p.png

Figure 7.5 Cell division rates vary along different zones of the root apical meristem. Frequency of observed cell division is represented by different densities of stippling (onion root tip). (Based on Jensen and Kavaljian 1958)

Lateral roots

Lateral roots are important in nutrient and water uptake (Chapter 4.1). The cellular reorganisation which leads to lateral root primordia forming and developing into new axes starts with a latent meristematic activity in the root pericycle being de-repressed and cell divisions resume. Occasionally, endodermal cells are also recruited. Periclinal divisions underlie the out-growth of cells and disruption of the outer tissues of the root. However, before the cortex and epidermis have been penetrated by the young lateral root, it has formed its own terminal meristem and root cap. The new organ is thus prepared for growth in the external matrix. Lateral roots formed from the pericycle must breach the endodermis of the parent root. How is this achieved without rupturing of the Casparian strip and preventing outflow of concentrated nutrients to the cortex? Dyes which penetrate only the apoplasm have shown that endodermal disruption is a transient feature of lateral root growth, but the consequences are not well understood.

Lateral roots generally do not form within 1 cm from the terminal apex, and almost never in the zone of elongation. This makes sense as laterals in the growing zone would act as barbs impeding growth of the primary axis through the soil. An exception which supports this view comes from Eichhornia (water hyacinth) which does produce laterals in the elongation zone very near the root tip, but because of its aquatic environment this does not interfere with growth.

7.1.2 - Shoot apical meristems

Shoot apical meristems are minute yet complex structures that are ensheathed within new developing leaves or bracts. A vegetative meristem gives rise to leaves or other organs, for example thorns and tendrils. Axillary buds are themselves complete shoot meristems from which branches are produced (cf. lateral roots described above). In angiosperms, when a plant shifts from vegetative to reproductive growth some meristems undergo a transition to the reproductive state and give rise either to multiple flowers in an inflorescence, as in mango (Figure 7.6a), or to a single terminal flower, for example a poppy or waterlily (Figure 7.6b). All axial growth from meristems, be they vegetative or floral, is continuous or indeterminate until topped by the formation of a flower. When this occurs, floral organ primordia arise in whorls from the shoot meristem and differentiate into the familiar sepals, petals, stamens and carpels.

7.1-Ch-Fig-7.06v2.jpg

Figure 7.6 Shoot meristems change morphology and function throughout the life cycle, leading to different mature structures. (a) Indeterminate inflorescence of mango; (b) determinate single flower of a waterlily. (Photographs courtesy C.G.N. Turnbull)

Sometimes, however, the indeterminate inflorescence meristem reverts back instead to a vegetative status. Think of a bottlebrush or a pineapple with a leafy axis extending beyond the flower or fruit (Figure 7.7). What determines whether a meristem is vegetative or floral? In many species, environmental signals cause the switching between vegetative and floral states and a picture is now emerging of the genes and molecular mechanisms responsible for defining structures that are generated by meristems.

Although meristems function as generic sources of cells for differentiation into organs, each type of meristem is programmed to produce only certain structures. Across all species, there is a small, finite range of these structures, yet we observe an amazingly diverse array of final vegetative and floral morphologies. A leaf is always recognisable as a leaf but consider the vast structural differences between a pine needle, a waterlily pad and a tree fern frond. The generation and spatial patterning of plant organs are determined by early events within the vegetative meristem. This precise positioning of organs around the shoot meristem is called phyllotaxis. Later in development, a dramatic meristematic switch will give rise to a terminal inflorescence, often with an abrupt change in patterning of organs. Phyllotaxis also applies to floral structures, for example spiral patterns of scales of a pine cone or bottlebrush flowers (Figure 7.7).

7.1-Ch-Fig-7.07.jpg

Figure 7.7 Alternating phases of vegetative and reproductive growth in the bottlebrush Callistemon ‘Pink Perth’). Spiral phyllotaxis is visible in the young inflorescence. (Photograph courtesy M. Fagg, ANBG)

Organ spacing is a final determinant of shoot appearance. For example, leaves forming a rosette as in Arabidopsis are separated by short internodes compared with longer internodes intervening between whorls of leaves of a blue gum seedling. The resulting morphologies are strikingly different. The question of what determines phyllotaxis and internode length is discussed later.

Shoot meristem anatomy

7.1-Ch-Fig-7.08p.jpg

Figure 7.8 Three-dimensional reconstruction of vegetative shoot apex of lupin showing central dome and spirally arranged leaf primordia on flanks. (Based on Williams 1974)

Shoot meristems are small, with a dome typically of 100–300 µm in diameter consisting of no more than a few hundred cells. In the 1970s, Williams (1974) published elegant reconstructions of shoot meristems derived from serial sections (Figure 7.8) which revealed the extent of variability in the shape and dimensions of shoot apices. However, the overriding organisation is of a central dome with groups of cells partitioned off from its periphery to form either determinate organ primordia or secondary meristems (axillary buds). Some cells in between are not destined to become primordia and will instead later become the internodes of the axis. Different models have been proposed to describe the regions of shoot meristems. In a functional sense, vegetative meristems have three main components: the central zone, peripheral zone and the file meristem zone, all of which tend to disappear or become indistinct in infloresence meristems (Figure 7.9).

7.1-Ch-Fig-7.09p.jpg

Figure 7.9 The structure and zonation of shoot apices can be described in two main ways. Zonation in vegetative apices (top) can be based on relative cell division rates and differential staining; central zone (cz, slow division rate), peripheral zone (pz) and file meristem zone (fmz). Layers of cells are usually also visible. L1 and L2 are often referred to as the tunica and L3 as the corpus. The layering remains visible during early floral development (bottom), but the central zone disappears in determinate inflorescences. (Based on Huala and Sussex 1993)

Superimposed on this functional zonation are usually three distinct cell layers which give rise to separate cell lineages (Kerstetter and Hake 1997). These cell layers, designated L1, L2 and L3, are distinguishable by their positions in the meristem and their pattern of cell divisions, and are evident in both vegetative and reproductive meristems. Surface cells of L1 divide anticlinally while within the meristem and during sub-sequent differentiation of the organs. Not surprisingly, they form the epidermis. Within the apical dome, the plane of cell division within L2 is also purely anticlinal, but later on during organ formation divisions occur in other planes. In contrast, cells of the deepest layer, L3, divide in all planes. The two inner layers, L2 and L3, contribute cells to form the body of the plant with the proportion of cells derived from each layer varying in different organ types. Although the cell lineages produced by each layer usually contribute to distinct regions within each organ, invasion of cell derivatives of one layer into another has been observed.

Invading cells differentiate in accordance with their new position, which we interpret to mean that developmental fate of cells appears to be governed more by position than by cell lineage. However, meristematic cells may already be functionally distinct as evidenced by patterns of gene expression which reflect the layered cellular organisation (Figure 7.10).

7.1-Ch-Fig-7.10p.png

Figure 7.10 Complexities of meristem functioning are revealed by specific staining (in situ mRNA hybridisation and antibody techniques) for expression of different genes. Dark shading represents protein patterns, light shading represents mRNA expression. Many of these patterns match the zonations in Figure 7.9. (Based on Meeks-Wagner 1993)

In order to maintain the very precise organisation of vegetative meristems over long periods, or to accommodate rapid changes during flower formation, some signalling process must exist to coordinate division between the cell layers. Evidence for such signalling has been established through the development of chimeras, where genetically different cell types exist together in a single apex, yet still achieve normal developmental patterns.

Phyllotaxis and internode length

We previously raised the question of what determines phyllotaxis and internode length. Organs derived from the shoot meristem can arise in whorls (two or more organs simultaneously at one node), alternately (two files displaced by 180° with a single organ at each node) or in spirals (each organ displaced from the previous one by approximately 137° with a single organ at each node). These organs may be separated by very short or long internodes. Phyllotaxis patterns are usually stable, but often change abruptly with floral induction or when seedlings undergo transition to their mature morphology. In many species of Eucalyptus, this ‘phase change’ from juvenile to adult is very striking and is accompanied by a change from whorled to alternate or spiral phyllotaxis. How is the change in phyllotaxis effected? We gain some insight from experiments on chrysanthemum meristems where application of the inhibitor of polar auxin transport TIBA (tri-iodo benzoic acid) induced changes in internode length and displacement angle between leaf primordia. The data are consistent with a change from 137° spiral (control) to alternate (50 ppm TIBA) phyllotaxis and are presumed to result from increased concentrations of auxin in the meristem resulting from inhibition of transport away from the existing primordia. Meristems are deduced to be sites of auxin synthesis (Schwabe and Clewer 1984). One interpretation is that each primordium acts as a field with a defined radius of inhibition preventing other primordia from initiating too close to it. Another option is mechanical control by pressure and tension gradients within the meristem (Green et al. 1996). Supporting evidence comes from experiments on cells in tissue culture in which applied pressure altered their morphogenetic patterns. At a whole-plant scale, tension and compression wood in trees are further examples of specific developmental responses to physical forces.

Meristems as templates for morphogenesis

The location and activity of individual meristems give rise to the diverse morphologies we recognise within the Plant Kingdom. Palms and grass trees have a distinctive morphogenesis with the entire shoot canopy produced from the activity of a single apical meristem. Removal of the crown of a coconut palm inevitably kills the whole plant. The roots of palms and grass trees are also extraordinary in that they grow and senesce in a seasonal pattern which confers tolerance to poor soils and fire.

In contrast, woody trees produce complex shoot morphologies through combined activity of terminal and lateral apices. We see the product in the height and diverse branching pattern of large trees. Australian eucalypts show a diversity of shoot forms, ranging from the single slender trunk of a mountain ash or karri, topped by a branched canopy, to the multiple trunks of mallee eucalypts. The branching form of mallee species is determined by simultaneous activity of many apical meristems. Similarly, excavation of roots of large trees has often revealed complex branching patterns which enable effective exploration of large volumes of soil and extraction of water and nutrients. In the case of Eucalyptus marginata, a root system arises from strong meristematic activity in the surface levels of the root system as well as proliferation of deep sinker roots. Some species within the Proteaceae can form proteoid (cluster) roots that are adapted to nutrient-poor soils.

Grasses have a distinctive morphology which arises from the local activity of intercalary meristems. These meristems give rise to semi-autonomous plants called tillers which comprise leaves, stems and reproductive parts and are subtended by nodal roots. Cell divisions within the intercalary meristem are developmentally responsible for the characteristic morphology of grasses, a family that is well adapted to herbivory.

7.1.3 - Leaf development

Mary Byrne, School of Biological Sciences, University of Sydney

Leaves are the main photosynthetic organs of vascular plants, and their optimisation for conversion of light to chemical energy production has resulted in a striking array of shapes. There is enormous variation in the shape of leaves of different plant species, of leaves within species, and for some species there is variation between juvenile and mature leaves on an individual plant. In the most general type of dicot leaf, there is a basal stalk or petiole and a distal flat blade or lamina. The leaf forms this structure through development in three axes; the proximal-distal (tip to base), the adaxial-abaxial (top to bottom) and the medial-lateral (middle to margin) (Figure 7.11). The adaxial-abaxial axis is evident at early stages of development of the leaf primordium. The adaxial side of the leaf is the side nearest to the shoot meristem and the abaxial side of the leaf is the side further from the meristem (Figure 7.11). These will eventually become the upper and lower sides of the leaf.

7.1-Ch-Fig-7.11.jpg

Figure 7.11 Diagram of a plant apex and mature leaf of a dicot such as Arabidopsis. (a) The shoot meristem comprises a population of undifferentiated dividing cells. Cells on the flanks of the meristem contribute to production of leaves. The adaxial-abaxial axis is marked. (b) Mature leaf showing the proximal-distal and medial-lateral axes.

The resulting basic leaf shape is a flat, planar structure but modifications during development result in variations on the basic shape. For example, other shapes include leaves that are flattened along a lateral dimension or are radial, such as tendrils of Pisum sativum (pea) leaves or spines in many cacti. Varying degrees of serrations and lobing at the leaf margins also contribute to differences in leaf shape. For instance, within Australian Banksia, B. grandis leaves have deeply indented margins, whereas B. integrifolia leaves have smooth margins (Figure 7.12).

7.1-Ch-Fig-7.12v2.jpg

Figure 7.12 Contrasting leaf shape of (left) Banksia grandis and (right) Banksi integrifolia. (Photographs courtesy M. Fagg and D. Greig, ANBG)

In addition to these types of elaborations, the leaf lamina may be a simple undivided shape or may be complex and subdivided into leaflets. Complex or compound leaves are found in many species including tomato (Solanum lycopersicum) and pea (Pisum sativum) (Figure 7.13).

7.1-Ch-Fig-7.13v2.png

Figure 7.13 Leaf shape variation. Banksia serrata leaf has serrated margins (A) and B. integrifolia leaf has smooth margins (B). The leaf of Arabidopsis thaliana is simple with small marginal serrations (C). The leaf of tomato is compound and a single leaf has primary and secondary leaflets (D). The leaf of pea is compound and includes central leaflets, proximal stipules and distal radial tendrils (E).

Different leaf shapes may be produced during the life of the plant, and may be influenced by environmental conditions. For instance many Eucalyptus species have short, broad juvenile leaves and narrow, elongated adult leaves. Leaves in Acacia species change with plant maturity where juvenile leaves have a dissected leaf lamina and adult leaves (which are a modified petiole, or phyllode), are simple in shape (Figure 7.14).

7.1-Ch-Fig-7.14.jpg

Figure 7.14 Branch of an Acacia species showing two leaf shapes on the one plant. The juvenile leaves are compound leaves and are subdivided into leaflets. The adult leaves (phyllodes) are simple in shape.

Leaf initiation

Leaves initiate in peripheral regions of the shoot meristem (Figure 7.15). Sites of initiation occur where the hormone auxin forms a localised maximum. Local high levels of auxin are achieved through the action of a membrane-localised auxin efflux carrier PIN-FORMED1 (PIN1). The distribution of PIN1 to the plasma membrane on just one side of cells leads to directed flux of auxin away from sites where organs have already initiated and toward the site where organs will next form (Figure 7.15). Coincident with high levels of auxin, class I homeodomain transcription factor KNOX genes are down-regulated in initiating organs. Class I KNOX genes are expressed in the shoot meristem and are essential to maintain growth of the shoot meristem (Figure 7.15).

7.1-Ch-Fig-7.15.jpg

Figure 7.15 Leaf initiation and shape is determined by auxin and KNOX genes. (a) Diagram of the shoot apex with central meristem, incipient leaves I1-I3, and initiated leaves P1-P5. Arrows indicate the flow of auxin to the site where a new leaf will initiate. (b) in situ hybridisation showing expression of the class I KNOX gene SHOOT MERISTEMLESS in the shoot meristem and down-regulation in initiating and developing leaves. (c) Young Arabidopsis wild type seedling showing two cotyledons and first leaves. (d) The class I KNOX gene mutant shoot meristemless (stm) has 2 cotyledons and fails to produce leaves due to lack of a shoot meristem.

Each initiating leaf primordium is flanked by a boundary of slowly dividing cells and this boundary serves to delineate the leaf from the meristem and from adjacent leaf primordia. Several members of a transcription factor gene family known as CUP-SHAPED COTYLEDON (CUC) are expressed at this boundary and downregulation of CUC genes results in fusion of adjacent organs. This reflects the importance of the meristem-organ boundary in leaf development. As we see below, auxin, as well as the KNOX and CUC genes are also involved in determining leaf shape.

Proximal-distal axis

Following initiation leaf primordia go on to develop as discrete organs through cell division, cell expansion and cell differentiation. Leaf primordia become defined morphologically through cell divisions that lead to outgrowth from the meristem and hence formation of a proximal-distal axis. In the model species Arabidopsis thaliana (Arabidopsis), as the leaf grows a gradient of maturation occurs along this axis so that cells cease division and undergo terminal differentiation firstly in the distal region and lastly in the proximal region of the leaf. The leaf proximal-distal axis may have distinguishing features of lamina and petiole as in Arabidopsis and many dicotyledonous plants. One variation of this shape occurs in monocotyledons, which includes the grasses such as wheat, barley, rice and maize. Strap-like leaves of many monocotyledons have a distal blade and a proximal sheath, which wraps around the stem. The blade and sheath are separated by specialised cells that form a hinge, and this hinge allows the blade to bend away from the sheath and stem to be exposed to light.

Adaxial-abaxial axis

The adaxial-abaxial axis is evident at early stages of development of the leaf primordium. The adaxial side of the leaf is the side nearest to the shoot meristem and the abaxial side is furthest from the meristem (see Figure 7.11 above). Experimental separation of initiating leaf primordia from the shoot meristem results in loss of adaxial fate. Amazingly this loss of adaxial fate leads to development of an abaxial, radial leaf. This indicates that adaxial fate is determined either by contact with the meristem, or by signalling from the meristem.

Most flat leaves have adaxial-abaxial polarity where the two sides of a leaf have distinct morphological features. On the leaf surface, adaxial and abaxial epidermal cell size and shape, stomata density, or the presence of elaborated cell types such as hairs may be different. Vasculature often has a discrete adaxial-abaxial polar arrangement with adaxial water-conducting xylem and abaxial nutrient-conducting phloem (Figure 7.16a). Internal mesophyll cells of the leaf may also display differential arrangement along the adaxial-abaxial axis. In some species, the adaxial domain has closely aligned and chloroplast-rich palisade mesophyll cells whereas the abaxial domain has dispersed spongy mesophyll cells. Mature leaves are typically oriented with the adaxial side facing the light and the abaxial side away from the light. As such, distinct cell types along the adaxial-abaxial axis serve to optimize light capture and gas exchange for photosynthesis.

On top of this layer of regulation, adaxial and abaxial fates are each determined by specific genes. A reduction in expression of genes required for either adaxial or abaxial fate results in development of leaves that comprise only the opposite fate. Furthermore these leaves are radial. Together such observations have led to a fundamental tenet of leaf development, whereby adjacent adaxial and abaxial tissue types are essential to development of an adaxial-abaxial axis and hence to formation of a flattened leaf.

7.1-Ch-Fig-7.16.jpg

Figure 7.16 Leaf adaxial-abaxial fate. (a) Cross section through the mid-vein region of an Arabidopsis leaf. Tissues of the leaf including vasculature show distinct adaxial (upper surface) and abaxial (lower) differences. (b) Diagram showing adaxial and abaxial gene interactions. Solid lines indicate direct repression, dashed lines indicate indirect repression.

Key genetic determinants of adaxial fate include class III HD-ZIP transcription factors (Figure 7.16b). These proteins have a homeodomain, which is involved in binding DNA, a leucine zipper domain, which is involved in protein-protein interaction, and a sterol-binding domain that is predicted to bind small lipid molecules. In Arabidopsis, there are five genes encoding class III HD-ZIP transcription factors. Three of these genes, PHABULOSA (PHB), PHAVOLUTA (PHV) and REVOLUTA (REV), have a significant role in leaf development. Transcripts of all three genes are confined to the adaxial domain through transcriptional and post-transcriptional repression in the abaxial domain. For example, PHB, PHV and REV transcripts are all targets of the microRNAs miR165 and miR166, which are expressed on the abaxial side of the leaf. In mutants with reduced class III HD-ZIP activity adaxial fate diminishes. Conversely, gain of class III HD-ZIP expression in the abaxial domain results in conversion of the abaxial side of the leaf to adaxial fate.

Two other transcription factors, ASYMMETRIC LEAVES1 (AS1) and ASYMMETRIC LEAVES2 (AS2), form heterodimers and promote adaxial fate, in part through repression of miR165/166. Abaxial fate is promoted by additional factors, including KANADI (KAN) proteins, which are part of a plant-specific group of transcription factors. In Arabidopsis, four KAN genes have overlapping roles in leaf development. KANADI proteins are expressed on the abaxial side of the leaf and are necessary and sufficient for specifying the abaxial fate. It is also known that KAN1 directly represses AS2. Other abaxial factors are AUXIN RESPONSE FACTOR (ARF) proteins, which bind to promoter sequence elements in auxin responsive genes and regulate plant response to auxin. The two ARF genes, ARF3 and ARF4, are repressed on the adaxial side to the leaf by a set of small RNAs known as tasiR-ARF. The AS1-AS2 module directly represses ARF3. Thus the emerging picture is that repressive interactions between adaxial and abaxial genes helps to set up the adaxial-abaxial axis of the developing leaf (Figure 7.16).

Mediolateral axis

The mediolateral axis of leaves extends from the margin to the mid-region of the leaf, which is characterised by the presence of the main vein or midrib. Most leaves are bilaterally symmetrical and the two halves of the leaf, from margin to midrib, form mirror images. Leaf width is determined by the degree of lateral expansion along this axis. However, the relationship between the leaf margin and the midrib depends on cell recruitment from the shoot meristem during the process of initiation. Leaves of dicots initiate from a limited region of the shoot meristem so that the margins arise from cells close to the mid-region and lateral expansion of the leaf occurs post-initiation. On the other hand, leaves of monocots such as grasses, recruit cells from around the entire circumference of the shoot meristem. In this case, the leaf margins are derived from cells that are distant from the mid-region and consequently this early lateral expansion results in the leaf primordium wrapping around the entire shoot meristem.

Margins

Relatively simple modifications of the basic leaf shape are achieved through changes in growth dynamics at the leaf margins. In this way, leaves can develop marginal teeth or serrations or may be lobed. Leaf shape is more dramatically modified in compound leaves, where the blade is divided into reiterating units or leaflets. Multiple orders of subdivision occur when leaflets themselves are further subdivided into leaflets, for example in the compound leaves of tomato, which may have primary and secondary leaflets. Surprisingly, studies on the simple, serrated leaf of Arabidopsis, the lobed leaf of the Arabidopsis close relative Cardamine hirsuta, and the compound leaf of tomato have found that genes involved in setting up leaf initiation from the shoot meristem also function to modify the shape of the leaf lamina. The class I KNOX genes are important for modified leaf shape in many species. These genes are not expressed in the simple leaf of Arabidopsis but are expressed in the lobed leaf of Cardamine and the compound tomato leaf. Misexpression of class I KNOX genes in Arabidopsis leaves generates lobed leaves and increasing expression of these genes in Cardamine and tomato results in more lobing or more leaflets. Likewise, decreasing class I KNOX gene levels in Cardamine leads to a more simple leaf shape. Thus the degree of leaf complexity can depend on the expression of growth promoting class I KNOX genes. In addition to KNOX genes, auxin and CUC genes play central role in elaboration of leaves. In compound leaves of tomato and lobed leaves of Cardamine, high levels of auxin occurs at discrete sites along the developing leaf margin, where leaflets or lobes will form. Furthermore CUC gene expression marks the boundaries between initiating leaflets. At these sites CUC genes act to repress growth thereby promoting separation of leaflets. Altering the spatial distribution of auxin or CUC in the young developing leaf leads to reduced leaflet production. Less intricate elaborations of leaf shape, such as leaf serrations, also involve auxin and CUC genes. In developing leaves of Arabidopsis, the margins form periodic auxin maxima flanked by boundaries of CUC gene expression (Figure 7.17).

7.1-Ch-Fig-7.17.jpg

Figure 7.17 Modifying leaf margins. Serrations in Arabidopsis leaves occur at sites of auxin maxima. The PIN1 protein (straight arrows) promotes formation of an auxin peak. PIN1 is positively regulated by auxin and CUC2 (curved arrows). High levels of auxin in turn represses CUC2.

Together this promotes the formation of outgrowths at the leaf margin and so modulates leaf shape. Differences between the growth potential and intricacy of interactions between transcription factors and hormones likely determine whether the leaf will develop with modest outgrowths in the form of serrations, more prominent lobes or establish a compound leaf with distinct leaflets.

Further reading on leaf development

Bar M, Ori N (2015) Compound leaf development in model plant species. Curr Opin Plant Biol 23: 61-69

Bowman JL, Floyd SK (2008) Patterning and polarity in seed plant shoots. Ann Rev Plant Biol 59: 67-88

Braybrook SA, Kuhlemeier C (2010) How a plant builds leaves. Plant Cell 22: 1006-1018

Byrne ME (2005) Networks in leaf development. Curr Opin Plant Biol 8: 59-66

Byrne ME (2006) Shoot meristem function and leaf polarity: the role of class III HD-ZIP genes. PLoS Genet 2: e89

Chitwood DH, Nogueira FT, Howell MD et al. (2009) Pattern formation via small RNA mobility. Genes Dev 23: 549-554

Efroni I, Eshed Y, Lifschitz E (2010) Morphogenesis of simple and compound leaves: a critical review. Plant Cell 22: 1019-1032

Fukushima K, Hasebe M (2014) Adaxial-abaxial polarity: the developmental basis of leaf shape diversity. Genesis 52: 1-18

Hay A, Tsiantis M (2010) KNOX genes: versatile regulators of plant development and diversity. Develop 137: 3153-3165

Hepworth SR, Pautot VA (2015) Beyond the divide: Boundaries for patterning and stem cell regulation in plants. Front Plant Sci 6: 1052

Machida C, Nakagawa A, Kojima S et al. (2015) The complex of ASYMMETRIC LEAVES (AS) proteins plays a central role in antagonistic interactions of genes for leaf polarity specification in Arabidopsis. WIRES Develop Biol 4: 655-671

Mentink RA, Tsiantis M (2015) From limbs to leaves: common themes in evolutionary diversification of organ form. Front Genet 6: 284

Sluis A, Hake S (2015) Organogenesis in plants: initiation and elaboration of leaves. Trends Genet 31: 300-306.

Case Study 7.1 - The significance of cell walls

B. E. S. Gunning, Research School of Biology, Australian National University

Cell walls determine most of the fundamental features of the Plant Kingdom.

More than one billion years ago certain key evolutionary events set the cells that were to become the progenitors of plants apart from the other primordial organisms. What were these defining attributes and what part did they play in founding the Plant Kingdom?

Some would say that photosynthesis was the key to plant evolution. It arose first in prokaryotes and later passed to eukaryotes. Certainly it was essential, but was it alone sufficient to trigger evolution towards the Plant Kingdom? The theme of this case study is that the full potential of photosynthesis could not be realised by the progenitors of plants until they had evolved a suitable cellular environment, of which a vital component is a cell wall. Photosynthesis still occurs in unwalled, evolutionary dead-ends like Euglena, reinforcing the view that a truly seminal cellular state was only achieved when photo-synthesis in a eukaryotic cell was combined with a cell wall. Consider now how cell walls confer unique features on plant cell organisation and function, and how they underpin the entire lifestyle and marvellous diversity of plants.

Cell walls: strength through osmotic regulation

Why did the first eukaryotic, photosynthetic, walled cells have such distinctive evolutionary potential? Probably all life was aquatic at the time and regulating water and solute balance (osmotic regulation) was critical for survival. The earliest cells were almost certainly in osmotic balance with the fluid in which they lived. However, as cell metabolism became more complex, internal solute concentrations rose. If solute concentrations in the surrounding medium dropped (for example, if it rained), water would be taken up by cells to equalise the osmotic pressure and they would swell. Cells which do not have walls, like Amoeba, control swelling by expelling water, otherwise they would burst (Figure 1). A cell wall containing strong but flexible micro-fibrils offered the progenitors of the Plant Kingdom an alternative solution. Hydrostatic pressure created by water flow into cells is opposed by the mechanical strength of cell walls generating wall pressure. In living cells, this neatly balanced cell turgidity is maintained by control of osmotic processes, mechanisms for turgor sensing and organisation of cell wall composition.

7.1-CS-Fig-7.1.jpg

Figure 1 Contractile vacuoles filling and emptying in a Chlamydomonas cell. Four pictures were taken about two minutes apart to illustrate the filling and emptying cycle of two contractile vacuoles in the cell. A, The two contractile vacuoles are empty and invisible at this magnification. B, One vacuole has filled (arrow). C, This vacuole is emptying and the second vacuole is filling. D, Both vacuoles have emptied again. Part of the boundary of the gelatinous envelope that surrounds the cell is visible in each picture (Micrographs courtesy B.E.S. Gunning)

Most plants adjust the osmotic properties of their cells so that they can live in a turgid state regardless of the water potential in their environment. This brings great advantages for plants. The balance of forces in a turgid cell generates more than just water balance. It confers rigidity and mechanical strength, as witnessed by comparing a wilted leaf with a turgid leaf. Another way to gain strength is, of course, to synthesise thick cell walls. However, organs composed mainly of thin-walled cells, like leaves, can support themselves if they are turgid. They therefore do not need to synthesise the large amount of wall material that would be required if strength relied solely on wall rigidity. This is especially important in growing regions of plants where cells must enlarge. Primary cell walls also confer enough strength on tissues for them to hold their shape and form — for example, enough to let a root tip penetrate through soil. In general, as cells mature the plastic properties of their walls give way to increasing rigidity.

Here, then, at the dawn of the Plant Kingdom, was a new form of osmotic regulation with many inherent evolutionary possibilities. It proved to be a springboard for the appearance of other novel features of plant cell structure and function.

Cell walls, vacuoles and cytoskeleton: partners in production of large cells

Many distinguishing features of plant cells relate to cell walls. Vacuoles, for example, are found in the vast majority of plant cells, but seldom in animals. They probably evolved from an original digestive (lysosomal) compartment, indeed they still have some digestive roles in plant cells. Now one of their main roles is to store osmotically active solutes, thus partnering cell walls in maintaining turgor. In so doing they have a huge impact on the architecture and size of plants. Their presence permits economical production of large cells in which a small amount of biosynthetically expensive cytoplasm is distributed as a thin film over a large surface area between the wall and vacuole(s). Large, turgid, vacuolate, walled cells are in turn economical building blocks for increasing body size. In fact some 90% of all increase in volume during plant growth comes from an enlarging vacuolar compartment and concomitant stretching of cell walls. This process transforms small, densely cytoplasmic, meristematic cells into mature, vacuolate cells.

7.1-CS-Fig-7.2.jpg

Figure 2 Microfilaments of actin. In this elongating cell from a wheat root tip, strands of actin ramify through the cytoplasm, mostly running along the length of the cell. They are stained here with a fluorescent antibody and viewed by confocal microscopy. The cell nucleus is just visible, lying in the right-hand end of the cell. Actin protein polymerises into microfilaments, and these often aggregate into bundles such as those imaged here. Polarity of the actin molecules determines the direction of cytoplasmic streaming along the microfilaments (Micrograph courtesy B.E.S. Gunning)

Walls and vacuoles together give the opportunity to make big cells and hence big plants, but this potential can be realised only if an associated metabolic problem is overcome. Thousands of biochemical reactions are needed to support life. For them to proceed fast enough the interacting molecules must collide sufficiently frequently. Simple diffusion in the confined volume of small cells allows them to do this — one of the advantages of being small. Frequency of collisions drops off greatly if the colliding molecules have to diffuse over longer distances, or are present in dilute solutions, as might happen in cells that have taken advantage of walls and vacuoles to enlarge dramatically. One way in which this potential physical limitation on life processes is alleviated in present-day plant cells is that a cytoskeletal system stirs and mixes the cytoplasm. The process is visible in most large walled cells and is fascinating to watch. Like stirring reactants in a beaker, it helps to overcome diffusion barriers.

Actin and tubulin are ubiquitous components of the cyto-skeleton of plants and animals. Actin molecules are the units of ‘microfilaments’ which provide tracks for cytoplasmic streaming (Figure 2). To achieve streaming, actin acts in concert with myosin (another cytoskeletal component), proteins and ATP as an energy source for mixing. Molecules of tubulin are polymerised to make ‘microtubules’, which have multifarious roles in living cells (Figure 3). Special roles related to cell wall development are discussed below.

7.1-CS-Fig-7.3.jpg

Figure 3 Microtubules have many roles during the cell division cycle. The following stages can be seen in cells from a wheat root tip stained with fluorescent-labelled antibody to the protein tubulin (from left to right): (i) pre-(or post-) division, when microtubules lie transverse to the long axis of a cortical cell, just under the plasma membrane. Microtubules govern congruent deposition of cellulose in the growing cell wall; (ii) the cell has become committed to divide and is establishing the future site and plane of division by laying down a dense band of microtubules (the ‘pre-prophase band’) that passes right around the cell; (iii) the metaphase stage of mitosis, with chromosomes lined up on the equator of the division figure, connected to poles of the mitotic spindle by bundles of microtubules that ultimately separate daughter chromosomes; (iv-v) early and later stages of development of the ‘phragmoplast’, an apparatus of microtubules and actin in which a new cell wall is initiated between the daughter nuclei; (vi) division almost complete, with just a few remnants of the phragmoplast visible and two daughter cells almost separated, although their cortical microtubules are not yet recognised; (vii) daughter cells have formed new arrays of cortical microtubules, similar to those of stage (i). (Based on Gunning and Steer 1996)

Cell walls have a unique biosynthetic apparatus linked to unique cell morphogenesis

Plant cell walls comprise two phases: microfibrils (mainly of cellulose, the world’s most abundant biopolymer) are embedded in a gel matrix of other polysaccharides and some very specialised proteins. Two distinct sets of biosynthetic apparatus generate the microfibrils and the matrix components, bringing further unique features to plant cell organisation.

7.1-CS-Fig-7.4.jpg

Figure 4 The basic types of microtubule array can vary greatly in specialised cells and tissues. Developing stomata show many complexities, including asymmetrical cell divisions and formation of cell walls with unusual microfibril reinforcement. Four stages of formation of Tradescantia stomata are shown here, using microtubule staining. In A, the central guard mother cell (GMC) is surrounded by terminal and lateral subsidiary mother cells (TSMC and LSMC); here the LSMC on the left has a curved pre-prophase band (PPB) which predicts the shape of the future wall of the subsidiary cell (arrows in C).The LSMC on the right is in mitosis. B, This shows a later stage, with the LSMC on the left in mitosis and that on the right with a curved phragmoplast (PHG), also predicting the shape and position of the future wall. C, Divisions are complete. Arrows show the walls that were formed successively under the influence of the pre—prophase band and phragmoplast. The guard mother cell seen in A and B has now divided longitudinally (between arrowheads) to form two guard cells (GC) in the stomata. All four subsidiary cells (two TSC and two LSC) have now been formed. During differentiation of guard cells, microtubules in the cell cortex radiate from the future pore (D). Cellulose microfibrils are deposited in this orientation, creating a cell wall that can respond to turgor changes in such a way that the stomatal pore can be opened and closed (Micrographs courtesy A. Cleary)

One biosynthetic apparatus consists of cellulose-producing enzyme complexes in the plasma membrane. They often work under the guidance of an array of microtubules that lies at the inner face of the plasma membrane and directs growing cellulose chains into specific orientations. This is a vital regulatory system because the strength of cell walls depends on the orientation of its microfibrils. The microtubule cytoskeleton lying beneath the plasma membrane is a tool by which cells control the local directional strength of their walls. Microtubule arrays indirectly determine the shape that a cell assumes when it is stretched by turgor (Figure 4). There is nothing like this combination of membrane-based synthesis and guidance by cytoskeletal microtubules in animal cells. In plants it is a major mechanism of cell shaping and lies at the heart of much of plant morphogenesis.

The second biosynthetic apparatus for wall production does have a counterpart in animals, but the flavour is different, thanks again to the wall itself. All eukaryotic cells have an elaborate system of membranes in which certain proteins are made, modified and secreted. Most of the proteins secreted by animal cells are glycoproteins, that is, proteins with carbo-hydrate side-chains attached to them. A special region of the membrane system, the Golgi apparatus, adds these side-chains. Plants also make glycoproteins, but the great bulk of their Golgi activity is given over to manufacturing cell wall matrix polysaccharides. This differing biosynthetic emphasis might account for differences in organisation of the Golgi apparatus in plants and animals. In animal cells, Golgi bodies are usually central, near the nucleus, whereas in plant cells they are widely dispersed in multifunctional ‘Golgi-stacks’ of membranes. After the wall matrix materials have been made, vesicles containing them are delivered from Golgi stacks to particular regions of the cell surface and thence to growing cell walls. Especially in large cells, this intracellular movement depends once again upon the actin-based cytoplasmic streaming system that evolved in walled cells.

7.1-CS-Fig-7.5.jpg

Figure 5 Cell walls, planes of cell division and the form of a plant body are illustrated in genera of green algae. A, Colony of Eudorina. The constituent cells are embedded in a gelatinous matrix. At the end of cell division daughter cells separate from one another. B, This shows what happens when division is always in one plane. Sharing of new cross-walls by daughter cells causes them to adhere to one another. The arrow indicates a cell that was about to divide. C, A vital new feature — the ability to change the plane of division generates branching systems of adherent cells (Stigeoclonium, low and high magnification views). (Micrographs courtesy B.E.S. Gunning)

Enlargement of existing cells is but one component of plant growth and shaping. Production of new cells by cell division is the other. Although cell division is universal in plants and animals – indeed the regulatory genes are very similar in both kingdoms – the cell wall again imparts a uniquely botanical flavour. Major differences appear towards the end of cell division, after mitosis, when separate daughter cells are formed. In animals newly formed cells are flexible and can migrate and adjust their position in the body. Cell walls prevent such adjustments in plants so plants have to place their new cells with enough precision to make multicellular tissues in which component cells lie in functional arrangements. Figures 5 and 6 illustrate the importance of planes of division in plant development, taking examples from very simple algae (Figure 5) and embryo formation in a flowering plant (Figure 6).

Two elaborate cytoskeletal devices place new cell walls accurately (Figures 3 and 4). The first is a preparation for cell division. The cytoskeleton of the parent cell establishes the site and plane of division even before the nucleus undergoes mitosis. This cytoskeletal apparatus (pre-prophase band) is not found in present-day algae (although many algae can still control the plane of division in their cells) and may have arisen after the algal stage of plant evolution. A second cytoskeletal structure initiates the actual fabrication of new cell walls. It is initiated between daughter nuclei and grows outwards to join the parental walls at a predetermined site. This apparatus, termed a phragmoplast, did evolve in advanced algae and occurs in the ancestors of higher plants. Neither of these cytoskeletal devices for establishing and implementing precise sites and planes of cell division occurs in animals.

7.1-CS-Fig-7.6.jpg

Figure 6 Cell walls, planes of cell division, and form of the plant body illustrated through embryogenesis in a higher plant. Embryo formation in Arabidopsis provides an example of highly regulated planes of cell division during formation of a specifically shaped plant body. Arrowheads in A to C show successive planes of division in very young pro-embyos. Subsequent divisions (D-H) build up a heart-shaped embryo with surface and inner walls and embryonic root and cotyledons. D, The complete suspensor filament as well as the globular pro-embryo. In A to E the embryos are embedded in endosperm tissue in the embryo sac; in F to H they have been isolated from their embryo sacs. (Based on Gunning and Steer 1996)

The cell wall: constraints and opportunities in nutrition

Cell wall properties have implications for plant nutrition. The close-knit fabric of cell walls sieves out all but very small nutrient molecules. This rules out a feeding mechanism that was probably common in early life forms — engulfing particles of food in loops of plasma membrane and internalising them for digestion. The first walled cells had to adapt their nutritional habits leading to at least two evolutionary outcomes. Present-day fungi subsist on external food sources by secreting enzymes that digest macromolecules sufficiently to allow the products to pass through cell walls. Roots of higher plants also secrete extracellular enzymes such as phosphatases which liberate inorganic phosphate. Higher plants also entered into an intra-cellular symbiosis with photosynthetic organisms, which then served as internal sources of organic carbon compounds. This led to green plants, whose present-day chloroplasts are held to be much-modified descendants of originally free-living photo-autotrophs. Symbiotic association between walled hosts and photosynthetic partners laid the foundations for a magnificent diversity of plant life, mentioned at the start of this case study.

Cell walls circumscribe pathways of transport within plants

Another adaptation of cell walls allowed early colonists of the land to develop division of labour between roots and shoots and rise to the airy heights of fields and forests. External cuticle layers, which reduce loss of water to the atmosphere, let cells of aerial parts survive provided that water could be delivered from plant organs in contact with external sources, mostly roots. Numerous other adaptations of wall structure occur, some related to mechanical strength or protection, and many to transport of water and nutrients.

7.1-CS-Fig-7.7.jpg

Figure 7 Transfer cell wall. Elaboration of a cell wall into projections that are lined by plasma membrane (arrows), thus providing an enhanced surface area for exchange of many different types of solutes. Transfer cells develop in various plant tissues involved in transport. Mitochondria (M) are usually found in the vicinity of the wall labyrinths (A. Browning and B.E.S. Gunning, freeze-substituted transfer cell in the haustorium of a Funaria sporophyte, based on Gunning and Steer 1996)

The molecular construction and small pore sizes of cell walls limit the size of molecules that can be transported around plant bodies. One pathway of transport consists of the interconnected lattice of cell walls themselves — the ‘apoplasm’. Impregnation of the wall matrix with hydrophobic substances creates apoplasmic barriers in some strategic locations; in other locations the apoplasm is open and permeable. In ‘transfer cells’, fingers of wall protrude into the cytoplasm and provide an unusually large surface area for transport across the adjacent plasma membrane (Figure 7). Many sites of intensive absorption or secretion possess this wall adaptation.

From the very early evolution of multicellular plants, fine cylindrical extensions of cytoplasm — plasmodesmata — have pierced the wall between adjacent cells. By passing through cell walls and the middle lamella, plasmodesmata form a transcellular commune of living cell contents known as the ‘symplasm’. Through this important cell to cell transport pathway, bounded by a continuous plasma membrane system, tissues evade some of the transport constraints imposed by cell walls.

Division of labour into roots, stems, leaves, meristems and other organs depends upon mass transport of metabolic products. Because solutes transported around plants must sometimes traverse cell walls, there can be no equivalent of the blood-stream of animals, which delivers macromolecules in a mass flow. Only small, wall-permeable molecules (e.g. sucrose and amino acids) are suited for mass transport in plants. In turn, the need to import and export these small molecules determines the nature of many biochemical pathways and physiological systems in plants.

Cell walls: a sensory and signalling system

7.1-CS-Fig-7.8.jpg

Figure 8 Connections between the plasma membrane and cell wall. A, Some cells in an onion bulb scale leaf epidermis, stained with the fluorescent dye DIOC(6) and viewed by confocal microscopy. Cytoplasm is seen as pale strands at the cell surface, traversing the large vacuole and often passing to the nucleus. Cell boundaries are bright because the surface cytoplasm (especially endoplasmic reticulum) is intensely fluorescent. B, Precisely the same field of view after plasmolysis in 0.6 M sucrose. The cell walls are now visible as dark lines between the shrunken protoplasts, which still show brightly fluorescent surfaces. C, A reconstruction of many planes of focus at a higher magnification to show some of the hundreds of stretched strands of plasma membrane that connect the protoplasts to the cell wall. These strands form because molecules in the plasma membrane (and peripheral cytoplasm) remain tethered to the wall during plasmolysis. The plasma membrane therefore becomes pulled out into very fine strands when the protoplasts shrink. (A and B are based on Gunning and Steer 1996; C, micrograph courtesy B.E.S. Gunning)

Plasma membranes and cell walls meet at a very special interface: a living cell abuts a non-living but chemically active external covering. Here the cell perceives much about the outside world. Innumerable connections between the inner face of the wall and the outer face of the plasma membrane are revealed by plasmolysis (Figure 8). These fine strands are indicative of molecules that link walls to plasma membranes. In some places links extend even further, connecting the wall through the plasma membrane to strands of endoplasmic reticulum and perhaps to elements of the cytoskeleton. These strands are ideally located to transmit physical signals arising from mechanical disturbance at the wall–membrane interface. Wall pressure in expanding, turgid cells might be communicated via these strands to activate membrane processes such as mechanosensitive channels.

Classical plant biology points to roles for a linked wall–membrane sensory apparatus. Charles Darwin showed that bean roots are 100 times more sensitive to touch than human touch receptors. Stimuli that he himself could not perceive alter root growth patterns. Plants respond dramatically to touch and to stretching and compression of cell surfaces. ‘Wind pruning’ of trees is a familiar example of a large-scale effect. Specialised touch receptors occur in tendrils and insectivorous plants. They also trigger mechanical pollination mechanisms. All such stimuli are perceived at the outer face of a cell wall, whence signals pass to and are transduced in the underlying cytoplasm.

Another class of wall-mediated sensing deals with chemical rather than physical stimuli. Plant cells detect certain short chains of sugar residues (oligosaccharides), derived from enzymatic hydrolysis of cell wall polysaccharides, with extraordinary sensitivity and specificity. This gives plants early warning of attack by pathogens, which normally have to digest their way through the cell wall as they begin their infection, liberating oligosaccharide signal molecules as they penetrate. Some of the plant’s own hormonal signalling system probably also uses oligosaccharides, independent of pathogen attack. In other words, the wall contains messages built into its molecular construction, ready to trigger growth or defence responses when released. More than most other phenomena, this illustrates the subtlety with which the cell wall is integrated into the life of plants.

Cell walls: chemical and functional diversity

Many constituent molecules give rise to hundreds of different wall polymers with diverse functions. Classical staining reactions to identify wall components are giving way to new approaches to wall function. Molecular probes such as antibodies and separation techniques give deeper insights into the great diversity and specificity of wall composition. Polysaccharides, for example, can be extraordinarily complex with wide-ranging variation in constituent sugar units, branching patterns, sequences and substituents. They can thus be extraordinarily specific in signalling and recognition systems.

Part of the chemical diversity of cell walls is related to functional diversity of cell walls in varied roles such as skeletal support, waterproofing, deterring herbivores, sustaining tension in the transpiration stream, protection of specialised cells like pollen grains from desiccation, and so on. Increasingly, however, very subtle chemical modifications of walls are viewed as ways in which cells can recognise each other and their positions in tissues and organs. There is now an appreciation of the role of chemical signalling as a guide to cell fate in plants, analogous to cell signalling systems in animals.

Cell walls: consequences of a sedentary lifestyle

Cell walls impose a sedentary lifestyle on plants. With few exceptions, mobility of plants is limited to local movements of plant parts, explorations of the environment by growth of individuals and colonisation by reproductive units. Inevitable outcomes of being rooted to the spot include intense neighbourhood competition below ground for water and nutrients and above ground for light, adaptations to varied environments, subtle environmental sensing mechanisms, amazingly diverse chemical, physical and sacrificial defence strategies, breeding systems that employ mobile organisms to disperse propagules, and a type of cell wall that protects the only really mobile cell category, pollen grains, during their aerial journey. Events at all levels in plant biology are influenced by this sedentary lifestyle. That the habit comes from the evolutionary decision to regulate osmotic properties by means of a cell wall is not always explicit, but the underlying fact is there!

Cell walls: a focus of current research

Strictly, cell walls are not alive but to dismiss them as an inert and uninteresting box around cells could not be further from the truth. Cell walls are the major determinant of plant form and function, whether viewed at the level of individual cells, whole-plant physiology or characteristics of the Plant Kingdom.

Not surprisingly, cell walls are one of the main foci of modern research in plant science. Their chemical complexity demands new techniques for separation, purification and analysis of their constituents, as well as studies of how the molecules interact and cross-link in the intact wall. Such knowledge is needed to understand how cells grow and recognise each other. Advanced computing is being added to biochemistry and biophysics in efforts to unravel the ‘micro-engineering’ properties of walls, necessary for looking at larger aspects of growth, for instance in shoot meristems where sheets of cells stretch, deform and grow out into leaf primordia. Increasingly the powerful methods of molecular genetics are being brought to bear. Already many mutants have been isolated with specific deficiencies in wall components, leading in turn to abnormal behaviours in growth, development and physiology. The research spectrum stretches from basic science to practical applications, the latter stemming from uses of cell walls in fibre, paper, fabrication, fuel and chemical industries. As usual, for the practical applications to prosper, plant scientists must learn much more about the basic biology — we must ‘first know the nature of things’.

Reference

Gunning BES, Steer MW (1996). Plant Cell Biology. Jones and Bartlett, Melbourne.

7.2 - Secondary growth and wood development

Gerd Bossinger and Antanas V. Spokevicius, School of Ecosystem and Forest Sciences, University of Melbourne

At the end of the first growing season, the stems of perennial plants consist of a parenchymatous pith in the centre of the stem surrounded by primary vascular tissue within a cortex of parenchyma, collenchyma and sclerenchyma cells, surrounded by an epidermis. The vascular tissue, consisting of xylem towards the inside of the stem and phloem to the outside, appears either as discrete vascular bundles (Figure 7.18a), for example as in Arabidopsis thaliana, or as a continuous hollow cylinder as in eucalypts. In either case, both phloem and xylem cells derive from a layer of meristematic cells forming the fascicular cambium which at the end of primary growth join up with meristematic cells between individual bundles, the inter-fascicular cambium, to form a complete meristematic cylinder, the vascular cambium.

At this stage, the primary root consists of a central column of xylem surrounded by a number of phloem strands formed and separated by procambium tissue. This vascular tissue is contained within a central cylinder that is enclosed by a pericycle and an endodermis, surrounded by primary bark and an epidermis (Figure 7.18b).

7.2-Ch-Fig-7.18.jpg

Figure 7.18 Diagram of transverse sections through stem and root at the end of primary growth. (a) dicot stem (b) root.

How did this develop? And how does cambial growth proceed to form the secondary stem tissues, wood to the inside of the stem and bark to the outside?

The procambium forms early during primary growth (in fact as early as the formation of a heart shaped embryo) and, after germination, it can be found in leaf and primary stem tissue. In the embryos of most dicotyledonous plants, the procambium is established from the differentiation of ground meristematic tissue in the hypocotyl and, as the embryo develops cotyledons, the procambium begins its activity by undergoing acropetal (from the base towards the top) divisions toward the shoot apex. After germination has been initiated and leaf formation begins, the procambium starts to develop further and becomes visible as cell bundles from leaf traces formed below the shoot apex. The procambium then begins to advance acropetally toward the newly derived cells below the shoot apical meristem and, basipetally to connect with the vascular tissue in lower, more mature parts of the stem. As the pro-cambial strands mature a lateral initiating or meristematic layer develops, the fascicular cambium (Figure 7.18a). Cells in this region undergo substantial longitudinal elongation prior to completing their development. While interfascicular cambium differentiation is not fully understood some evidence suggests that it forms between distinct vascular bundles from cells predetermined early in development, which under hormonal control re-differentiate to become meristematic.

Auxin is basipetally transported from leaf primordia to the shoot apex and is believed to be the major factor involved in the process of vasculature patterning and differentiation. The initiation of fascicular and interfascicular cambia is believed to be controlled by different and distinct mechanisms. For example, diffusion of auxin in the form of indole-3-acetic acid is involved in the initiation of meristematic activity and vascular tissue differentiation in the interfascicular region of Arabidopsis thaliana. At the molecular level, a mutation in a Class III homeodomain-leucine zipper (HD-ZIP) gene named INTERFASICULAR FIBERLESS (IFL1) leads to the loss of extra xylary fibre cell formation in the interfascicular region but does not have an effect on vascular bundle formation. This gene is expressed preferentially in the interfascicular region and acts as a transcription factor affecting the polar transport of auxin.

In the root, the cambium develops first from procambial tissue in the grooves between the star-shaped primary xylem and individual primary phloem strands (Figure 7.18b). Soon after, pericycle cells opposite the xylem protrusions divide periclinally (the plane of cell division runs parallel to the surface) and the centripetally (towards the inside) derived daughter cells become part of the cambium, now separating primary xylem from primary phloem.

The cambial cells opposite the primary phloem strands begin to produce secondary xylem transforming the star-shaped cambium into a cambial cylinder gradually producing secondary xylem and phloem around its entire circumference.

7.2.1 - The vascular cambium

The cambial zone includes a tier of meristematic cells between the developing wood (xylem) towards the inside of the stem and bark (phloem) tissue towards the outside (Figure 7.19). Cell divisions in this region either occur in parallel to the stem axis (periclinal) adding cells to a radial file of cells, or perpendicular to the stem axis (anticlinal) adding new cells to the initiating layer and thereby allowing for the establishment of new radial files. The cambium proper is formed by a layer or layers of initiating cells (cambial initials) that undergo mostly periclinal, but also anticlinal division to give rise to radially aligned files of secondary tissue. These initials are enclosed on both radial walls by xylem and phloem mother cells, respectively. Mother cells have a higher differentiation state than initials as they are destined to become either xylem or phloem elements, whereas true cambial initials retain the ability to produce both. Xylem and phloem mother cell divisions make up the majority of periclinal divisions in this zone and cambial initials replenish mother cells when those are lost from the cambial zone. Most anticlinal divisions are contributed by cambial initials resulting in the formation of new radial files and supporting the increase in girth of the growing tree stem.

7.2-Ch-Fig-7.19.png

Figure 7.19 The cambial zone in mature Eucalyptus nitens stems. (a) Diagrams comparing planes of sectioning through an angiosperm tree stem. (b) Sections through the cambial zone of Eucalyptus nitens showing relevant structures and cell types. (Photomicrographs courtesy L. Wilson)

Meristematic cells in the cambium include fusiform initials and ray cell initials, which are responsible for the formation of specific cell types in both xylem and phloem tissues (Figure 7.19b). Fusiform initials give rise to longitudinally aligned cells including vessels, tracheids and fibres towards the inside of the stem (in gymnosperms only tracheids are formed) and sieve tube elements towards the outside. They are large (compared to ray initials), longitudinally elongated and highly vacuolated. Ray initials on the other hand give rise to transversely aligned cells, primarily ray parenchyma cells, and occur as scattered aggregations within the cambial zone. The ratio of fusiform to ray initials can vary within the cambial zone depending on plant species, age, environmental factors and growth rates. For example, in angiosperms, fusiform initials on average make up 60-90% of the initials within the cambium. While in some species the cambium is comprised entirely of fusiform initials in others they make up as little as 25%.

Fusiform initials in the cambium occur either in a storied arrangement, where cells are laterally aligned, or non-storied, where they are arranged irregularly and often overlap. Divisions in a storied cambium generally occur synchronously resulting in lateral alignment and are typical of some small woody plant species, whereas divisions in a non-storied cambium occur asynchronously and are typical in trees. A storied cambium is believed to represent a more advanced evolutionary arrangement. Fusiform cell derivatives undergo variable amounts of cell expansion during differentiation with radial width often doubling and longitudinal length remaining more or less similar except for some longitudinal extension at the tip (expansion zone in Figure 7.19b). Longitudinal extension, particularly in xylary elements, occurs in the form of intrusive (or sliding growth) which involves the extension of tapered end walls of derivatives into the available space around them. Consequently, the end walls intertwine with end walls of other cells forming strong bonds that increase the mechanical strength of the stem.

The arrangement of rays in angiosperms is highly variable and can be uniseriate (1 cell wide), biseriate (2 cells wide) or multiseriate (3 or more cells wide) while in gymnosperms rays are exclusively uniseriate. Ray initials do not undergo much elongation during differentiation and have been observed to unite frequently, both vertically and laterally to form aggregate rays as well as to split by cell invasion of fusiform initials. The size of ray initials tends to remain constant throughout the life of the plant but their derivatives show a gradual increase in size with age and distance from the pith. Trans-differentiation from a fusiform initial to ray initials can occur in the cambium to maintain a balance between derivatives. This takes place either by segmentation or by progressive shortening of a fusiform initial, whilst trans-differentiation from a ray to a fusiform initial involves elongation via intrusive growth. The mechanisms that drive this process are largely unknown but proximity to other ray initials as well as the effects of plant hormones such as auxin and ethylene have been suggested.

7.2.2 - Secondary growth

Further differentiation of cambial cells results in the formation of vascular tissues, which are involved mainly in longitudinal transport of liquids and solutes up and down the plant stem. This is facilitated by the creation of long, unbroken tubular structures. Vascular tissue is made up of two distinct elements, xylem and phloem, with xylem being involved in the transport of water, soil derived nutrients and plant hormones from the roots up to the shoots, and phloem in the transport of organic material such as photosynthetic products, proteins, hormones and other regulatory molecules from the leaves to the roots. During secondary growth, these tissues, in particular xylem, are also involved in providing mechanical strength to the stem and as a storage sink for metabolites produced in other parts of the plant. Production of these conduits from the cambium is polarised with xylem derivatives produced centripetally (toward the inside of the meristematic layer) and phloem derivatives centrifugally (toward the outside of the meristematic layer).

Secondary vascular tissue, produced by fusiform initials in the cambium consists of axially aligned tracheary elements (fibres, tracheids, vessels) involved in xylem transport and axially aligned sieve elements (sieve tube cells, companion cells) involved in phloem transport. Ray and axial parenchyma cells are also products of meristematic activity in the cambium and occur in both xylem and phloem tissues. Ray parenchyma cells are aligned radially and axial parenchyma cells are aligned longitudinally. Both parenchyma tissues are involved in transport and storage.

In angiosperms longitudinal transport in the xylem occurs in vessels, which are specialised for liquid transport and arranged end on end to form a continuous, longitudinally aligned tube system. Vessel elements exhibit tapered end walls and thickened lignified cell walls. Prior to maturation and becoming functional, vessel elements undergo programmed cell death (PCD), a process during which cellular content is actively removed, which together with specialised end structures known as perforation plates allows for unimpeded flow between individual vessel elements. Vessels do not form completely straight parallel tubes but rather deviate from their axial path slightly to come in contact with other vessels creating a network of interconnected tubes that allow for movement between vessels through cell wall pits.Vessels are surrounded by longitudinally aligned fibre cells which have a role in providing strength to the plant stem. Compared to vessels, fibres are longer and narrower, have thicker, usually more heavily lignified cell walls, increased tapering of their end walls and they lack a perforation plate. Fibres also undergo PCD as they mature and contain simple pits on their cell walls that allow for minimal transport of liquids between adjacent fibres. Fibres are found most frequently in the xylem and, to a lesser extent, in the phloem where they are arranged in small bundles. In gymnosperms, both transport and strength are provided by a single xylary cell type, tracheids, which, in terms of morphology, are an intermediate form between a fibre and a vessel element. Tracheids are also found in angiosperm stems but to a much lesser degree. Transport of liquids between tracheids is via specialised cell wall openings called bordered pits which through passive opening or closing via acentral, thickened area of pit membrane (torus)can prevent gas or water movement (for example to prevent possible embolism).

Parenchyma cells are rectangular to almost isodiametric in shape and alive at maturity. They are involved in a variety of roles such as transport, signaling, storage and wound responses. Walls of parenchyma cells have a characteristically high number of plasmodesmata that allow for efficient cell to cell communication and transport. Ray parenchyma cells are the only cells within a tree stem that are aligned radially and play an important role in transport and communication between xylem derivatives, cambial initials and phloem derivatives. Similarly, axial parenchyma cells are the only live cells aligned longitudinally in the xylem. They are important for storage and transport in this direction while in the phloem they more often fulfill a storage function.

In the phloem, longitudinal transport occurs via sieve tube elements, which like vessels, are aligned end to end and form continuous tubes. Individual elements are connected by structures called sieve plates. Sieve tube elements undergo some elongation and cell wall thickening during differentiation but differ from vessels and fibres as they do not undergo lignification. Also sieve tube elements are alive at maturity and have adapted a highly modified cytoplasm to allow for free movement of solutes between cells. Here, so called P-proteins internally line all sieve tubes and in the event of wounding can seal sieve plates and allow for wound closure. Cytoplasmic modifications occur via the removal of large organelles including the nucleus, ribosomes, golgi bodies, the tonoplast (vacuoles) and a cytoskeleton as well as links of plasma membranes between longitudinally aligned cells. Sieve tube elements form an association with companion cells, which in angiosperms are derived from a single division of a sieve tube element during differentiation while in gymnosperms they are derived from separate lineages. Companion cells are believed to produce and secrete information molecules via plasmodesmata to associated sieve tube elements.

The most prominent cell division type in the cambial zone, making up approximately 90% of divisions in the cambial zone, is periclinal or additive division, which leads to the formation of highly organised files of radially aligned cells. Unlike in most cell divisions in plants where the cell plate forms across the shortest distance of the cell, cells undergoing periclinal division in the cambium have a cell plate that forms across its long axis. In this process the cell plate begins formation around the mid point of the cell and develops longitudinally until it connects with two lateral cell walls at the end of a cell, resulting in the formation of two nearly identically sized daughter cells. Anticlinal divisions or multiplicative divisions do not occur as frequently as periclinal divisions and are responsible for the formation of new radial files within the cambial zone capable of further periclinal divisions. Anticlinal divisions account for the increasing stem circumference as a result of radial growth as cell wall expansion of initials and their derivatives is not sufficient to compensate for this. This results in a higher frequency of anticlinal divisions during times of accelerated plant growth. The number of anticlinal divisions occurring in fusiform initials is often higher than the number required to compensate for an increase in stem circumference. Superfluous cells are either lost or squeezed out from the cambial zone or undergo trans-differentiation to form ray initials.

7.2.3 - Wood formation

Wood formation (xylogenesis) comprises cell division, cell expansion, secondary cell wall deposition, lignification and finally programmed cell death, which occur in highly coordinated and defined ways in response to the environmental conditions imposed on the plant. In mature tree stems, fusiform cambial initials give rise to fibres, tracheids and vessel cells (only tracheids are formed in conifers) while ray cell initials give rise to ray parenchyma cells which, combined, form the ray system. Following division, but prior to the commencement of secondary cell wall deposition, the immediate xylogenic derivatives of fusiform cambial initials (i.e. xylem mother cells) undergo cellular expansion to reach their final form. The extent of this turgor driven expansion is regulated by a range of enzymes that assist in the association and disassociation of primary cell wall components including pectin, randomly aligned cellulose microfibrils (MF) and other non-cellulosic polysaccharides.

The beginning of secondary cell wall formation marks the end of cellular expansion with the production of new cell wall layers leading to cell wall thickening. This stage is characterised by the deposition of large amounts of aligned cellulose microfibrils to the inside of the primary wall in three layers, S1, S2, S3. These differ in their thickness and cellulose MF alignment, and also by the development of cell wall pits. The S2 layer is the most dominant of these layers, accounting for approximately 75-85% of the cellulose content in the secondary cell wall, and as far as wood properties are concerned, has the largest influence. For example ‘Microfibril Angle’ (MFA), one of the most important complex wood quality traits, refers specifically to the cellulose microfibril orientation in this layer of the fibre (or tracheid) cell wall. MFA is known to influence the stiffness and elasticity of individual cells as well as wood and wood products. During this process, the cell wall lignifies and finally undergoes programmed cell death (PCD) during which all cellular content is lost through the action of proteolytic enzymes.

In many tree species, a final developmental process, heartwood formation, occurs later during development. With progressing age, and with the continuous differentiation of some fusiform cambial initials into new vessels, older vessels towards the center of angiosperm tree stems no longer transport water and nutrients and the actively conducting sapwood develops into heartwood. The only cells that are still alive in the sapwood/heartwood transition zone are ray parenchyma cells. Here, they are believed to undergo programmed cell death, translocating polyphenolic substances into surrounding cell walls, leading to the discoloration of heartwood. Where ray cells of some angiosperm trees are directly associated with larger vessels, as a final developmental process, they can produce tylose plugs, decreasing wood permeability and preventing microorganisms from entering the center of the stem. A similar process occurs in sapwood in response to wounding in order to avoid embolism (Figure 7.20).

7.2-Ch-Fig-7.20.jpg

Figure 7.20 Tylose formation in mature Eucalyptus nitens stems (photos and microscopy by Dr Lawrie Wilson). Left: In the sapwood/heartwood transition zone, tylose plugs are formed by vessel-associated ray parenchyma cells, growing through pit pairs into the vessel lumen, eventually blocking them off from the transpiration stream. Right: Tylose plugs can also form in sapwood vessels in response to wounding. Here, disconnection of an affected vessel from the transpiration stream prevents air from entering the system and cause embolism.

The deposition of lignified secondary cell walls marks the end of cellular expansion and is central to the process of xylogenesis and ultimately determines the functional properties of wood. Secondary cell walls consist of cellulose, lignin and other non-cellulosic polysaccharides which typically represent 90% of the wood dry weight and provide support for the cell. Other minor yet important contributions to cell wall structure and function are made by cell wall proteins and other compounds. Quantitative and qualitative changes in the composition of these elements can lead to changes in cell wall properties and are responsible for the large variation in wood properties observed within and between tree species.

Throughout the year, the cambium undergoes cyclic or induced dormancy and activity periods and wood properties show high levels of variability in response to seasonal, developmental, genetic and abiotic processes. In temperate regions, typically in the northern hemisphere, the vascular cambium undergoes seasonal or periodic dormancy in response to unfavorable and/or detrimental environmental conditions. This dormancy period is usually triggered by a decrease in photoperiod, temperature and water availability during the autumn months preparing the plant for adverse winter conditions and in deciduous plants is closely linked with leaf shed. Prior to the onset of dormancy as conditions begin to decline, cambial activity as well as the number of dividing cells is reduced and cell wall thickness in fusiform initial derivatives in the differentiation zone increases. These seasonal differences in the formation of woody tissues enable the distinction between earlywood (larger cell lumen and thinner cell walls) and latewood (smaller cell lumen, thicker cell walls) leading to the creation of growth rings. Ray initial derivatives on the other hand do not undergo such strong seasonal changes in morphology but their number in the cambial zone decreases during dormancy. Changes in wood properties are also observed between wood produced from early stem growth, juvenile wood, and wood produced later from an older cambium, mature wood. Abiotic stress can lead to reaction wood formation (for example in response to non-vertical growth; referred to as tension wood in angiosperms and compression wood in gymnosperms) displaying altered secondary cell wall characteristics and wood properties to ‘normal’ wood in an attempt by new cambial growth to realign the stem back to a vertical position.

7.2.4 - The cork cambium

As the plant stem increases in girth during secondary growth, the outermost protective layer of the stem, the epidermis, is gradually shed and replaced by a periderm. Peridermal tissue is produced by the cork cambium (or phellogen) which, like the vascular cambium, comprises a meristematic layer that produces derivatives, both centrifugally and centripetally, and undergoes periclinal and anticlinal division forming radial files of cells. Derivatives from the phellogen differ from those of the cambium both structurally and functionally and the rate of division from this meristem is often much lower than that observed in the vascular cambium. The periderm is comprised of three different tissue types; 1) the phellogen or cork cambium, the meristematic tissue of the periderm, 2) phellum or cork, the outermost protective layer of tissue, and 3) phelloderm, the living parenchyma formed toward the inside of the phellogen. The phellogen is made up of a single layer or tier of cells that are radially flattened, rectangular to polygonal in shape, with thin primary walls, dense cytoplasm and, in some cases, chloroplasts. Phellum cells divide centrifugally from the phellogen and are highly specialised, creating an imperious barrier to gases and liquids on the plant stem. Phellum cells are usually polyhedral in shape, but can be radially compressed and/or elongated in several planes (radial, tangential and longitudinal) and are arranged compactly, lacking intercellular spaces. Phellum cells develop a layer of suberin, an unsaturated fatty acid that impregnates the cell wall during development and gives them their impervious properties. Maturation of these cells ultimately results in cell death. In some genera, e.g. Eucalyptus, phellum cells can also be lignified. Phelloderm cells are living parenchyma cells that divide centripetally from the phellogen and are similar in appearance to the adjacent cortical tissue, being only distinguishable by their radial alignment with cells in the phellogen.

The periderm is continuously replaced during growth and the site and tissue type from which it develops differ between species. Initiation of a periderm occurs either uniformly as a ring around the plant, or in scattered groups which link up later via lateral spreading.

Once the first periderm is ruptured, initiation of the next periderm usually occurs from either cortical tissue or phloem parenchyma whereas later periderms form exclusively from phloem parenchyma. This process is repeated continuously during the life of the plant. The formation of a new periderm displaces a large number of cells, which die and are shed from the stem, thus a tree continues to increase in diameter.

Case Study 7.2 - How gene effects on wood formation can be studied in forest tree species

A.V. Spokevicius and G. Bossinger, School of Ecosystem and Forest Sciences, University of Melbourne

Trees are often big and difficult to work with. They have long generation times and many of the developmentally and commercially interesting characteristics, such as mature wood traits, are not observed until a tree is many years old. As a consequence, many aspects of the wood formation process remain elusive, such as the molecular control of wood formation and wood chemistry, which are commercially relevant. Much of our current knowledge about plant function and development has derived from the study of mutant and transgenic plants. In the absence of well-defined mutants, the functional analysis of many xylogenesis-related genes (responsible for wood formation) in forest tree species largely relies on transgenic approaches (Spokevicius et al., 2007b).

Many wood traits are extremely variable: most are influenced by programmed development (e.g. maturation of sapwood) and a range of environmental factors such as seasonal conditions which are expressed in wood growth rings. Such trait differences exist not only between trees but also within individual tree stems where they occur along the length (top to bottom) as well as across the woody stem. Identifying subtle changes in a wood phenotype by experimentally altering gene expression is therefore difficult unless a very high number of individuals is tested, a problem which is enhanced by tree size and the age of trait manifestation.

One method that has been successfully used to overcome many of these problems is an approach called Induced Somatic Sector Analysis (ISSA). In this method the bark is peeled from a small area of the trunk and an upward bark flap is created to expose the vascular cambium (Figure 1a). Dozens of flaps can be created on a single stem.

7.2-CS-Fig-7.1.jpg

Figure 1 (a) Bark flap exposing the vascular cambium for application of the candidate gene in a suspension of Agrobacterium tumefaciens. (b) After 2-4 weeks, growth of transformed cambial initials leads to formation of somatic tissue sectors include newly formed wood and bark

A suspension of the soil bacterium Agrobacterium tumefaciens, the ‘workhorse’ for plant genetic manipulation studies, containing the gene of interest is then applied to the exposed cambium facilitating genetic transformation and leading either to over-expression or down-regulation of the target gene in individual cambial cells. The bark flap is returned back into place and, following an initial wound response, further growth of successfully transformed cambial initials will lead to the formation of somatic tissue sectors (from within the existing tissue). These sectors include both newly formed wood and bark which are genetically distinct from surrounding untransformed tissue (seen as a blue sector caused by the GUS construct in Figure 1b). Morphological and biochemical characteristics can thus be compared between individual sectors and directly neighbouring control tissue after only a relatively short period of time (2-4 weeks) and without concerns about variability that might have been caused by genetic background or diversity due to treatment or other environmental conditions.

The use of ISSA has been instrumental for example in determining the role of the \(\beta\)-tubulin gene in secondary fibre cell wall formation during wood formation in eucalypts. Secondary fibre cells are complex structures that collectively give rise to wood. Their walls largely consist of helically aligned cellulose microfibrils that are embedded in a matrix of lignin and hemicellulose and arranged in three distinct secondary cell wall layers (S1, S2 and S3) lying inside the primary wall of each fibre cell. The S2 layer is the dominant cell wall layer in this arrangement and the angle at which S2 cellulose microfibrils are aligned relative to the long axis of the cell is called the microfibril angle (MFA). MFA is an important ecological and economical trait as it determines the strength and flexibility of individual fibre cells and hence the woody tissue that is composed of these cells. A tree’s resistance to gales and structural utility as timber depend upon MFA. So, by creating and analysing the genetically modified wood sectors, scientists were able to demonstrate that the \(\beta\)-tubulin gene was involved in cellulose microfibril orientation in the S2 layer of secondary fibre cell walls. These experiments provided first clues about the genes and subsequent molecular events that enable trees to stay aloft. Biotechnology based on these genes and manipulation of MFA could thus be targeted by molecular editing.

Substantial tree bioinformatic resources such as the sequencing of complete poplar and eucalypt genomes are now providing unprecedented scope for gene manipulation, and unravelling of the process of wood formation. However, the elucidation of specific gene function during wood formation is likely to remain a task for ISSA and other similar transgenic approaches for the foreseeable future.

References

Spokevicius AV, Southerton S, MacMillan CP et al. (2007a) \(\beta\)-tubulin affects cellulose microfibril orientation in plant secondary fibre cell walls. Plant J 51: 717-726

Spokevicius AV, Tibbits J, Bossinger G (2007b) Whole plant and plant part transgenic approaches in the study of wood formation – benefits and limitations. Transgenic Plant J 1: 49-59

Van Beveren KS, Spokevicius AV, Tibbits J et al. (2006) Transformation of cambial tissue in vivo provides an efficient means for induced somatic sector analysis and gene testing in stems of woody plant species. Funct Plant Biol 33: 629-638

Xu T, Ma T, Hu Q, Liu J (2015) An integrated database of wood-formation related genes in plants. Scient Rep 5: 11422

7.3 - Cell growth

Cell growth in plants occurs by division followed by expansion in special zones termed zones of division (meristems) or expansion or in trees, the cambium. “Growth” can be defined as the irreversible expansion of cell walls.

The process starts when cells divide in meristems and must expand before they can divide again, so expansion is often considered part of the division process. But the rapid part starts afterward in daughter cells from the division. If conditions are good, these cells can double in size every few hours and eventually become up to 100 or 1000 times larger than the original cells. This rapid enlargement is driven by osmotic forces as described below, but under strict developmental control.

In zones where expansion occurs, the cell wall is the controlling structure. It is tough and strong. Typically, osmosis creates turgor pressures (P) inside the cell, and the wall must be able to contain this pressure. Normally P is rather high, around 0.5 MPa or more or equivalent to two to three times the pressure in an automobile tyre. Cell wall yielding is a special property because it resists expansion sufficiently to maintain turgor pressure but yields sufficiently to allow cell expansion.

While the expansion occurs, new material is simultaneously synthesised and deposited in the wall. Maintaining wall thickness is essential because enlargement of 100- to 1000-fold would make the wall too thin to hold P. In most plant cells, the thickness remains the same within a factor of about two. Consequently, in the living cell, expansion and deposition go together in the wall. The cytoplasm also expands but most of the expansion is in the large central vacuole, and the cytoplasm ends up as a thin layer inside the wall. The plasma membrane and vacuole membrane expands, while the volume of the cytoplasmic organelles and their membranes most likely remains the same.

The direction of expansion is controlled by the alignment of cellulose microfibrils in transversely oriented bands (Figure 7.21). These permit extension to proceed only along the long axis of the cell. The cytoskeleton lying underneath the plasma membrane is a central player in co-ordination of wall shape and expansion in different dimensions (see Case Study 7.2 “The significance of cell walls”, Figure 3). The orientation of the arrays of microtubules determine the orientation of cellulose microfibrils in the wall.

7.3-Ch-Fig-7.21.jpg

Figure 7.21 Schematic portrayal of the structure of an expanding cell wall. (a) A cylindrical cell, showing the transverse arrangement of cellulose microfibrils. (b) A pair of adjacent microfibrils connected by hemicellulose molecules (tethers) that are attached by hydrogen bonds; the arrows denote the force generated by turgor that is moving the microfibrils apart. One of the tethers, the straight one, is load-bearing; the other (wavy) is not. (c) The same microfibrils as in (b), whose separation in response to the applied force has resulted in a previously loose tether becoming load-bearing. (JB Passioura and SC Fry, Aust J Plant Physiol 19: 565-576, 1992)

 

 

7.3.1 - Wall structure and expansion

The wall is an intricate network of polymers that, when capable of expanding, is termed the primary wall. The secondary wall is formed underneath the primary wall when it has finished expanding, and is thicker. The secondary wall is elastic and can shrink or swell but not expand irreversibly like the primary wall.

a) Structure of the primary wall – growing cells

Primary walls are composed predominantly of a complex array of polysaccharides (~90%) and some protein (~10%). In all cell types, rigid cellulose microfibrils are embedded in a gel-like matrix of non-cellulosic polysaccharides and pectins. These polysaccharides are intimately associated with one another, both non-covalently and covalently, and often with proteins and lignins. Walls are complex, diverse and dynamic, changing throughout the processes of cell division, growth and differentiation. The types of wall polysaccharides vary depending on the plant species, cell type and developmental stage (Doblin et al. 2010). In some woody tissues, the secondary wall can be very thick and make up more than half the total volume of the cell.

Growing cells are surrounded by thin walls (100 nm or less) that are sufficiently flexible to yield to the hydrostatic forces that drive growth. The primary walls are highly hydrated (~60% of wet weight) and in dicots and gymnosperms consist of a cellulosic network embedded in a matrix of complex polysaccharides, of which xyloglucans and pectic polysaccharides are most abundant (Figure 7.22). Primary walls of most monocots are organised in essentially the same way except glucans and glucuronylarabinoxylans predominate in the matrix phase and may have properties similar to xyloglucans and pectins.

7.3-Ch-Fig-7.22.jpg

Figure 7.22 Structure and organisation of the primary cell wall. Simplified schematic, drawn-to-scale and showing the spatial arrangement of polymers in a pectin-rich primary cell wall. (MC McCann and K Roberts, In ‘The cytoskeletal basis of plant growth and form’ Academic Press, 1991)

The main wall constituent that allows the primary wall to expand is the gel-like matrix in which the cellulose microfibrils are embedded. Typically consisting of xyloglucans and pectins, attention is increasingly directed toward the pectins because mutant Arabidopsis plants (xxt1 and xxt2) still can grow even though they totally lack xyloglucans (Cavalier et al. 2008). On the other hand, the genes for pectins have proliferated during the evolution of land plants and Arabidopsis has 15 involved in the synthesis of linear pectins, and 10 more that resemble these genes. Some of their mutants are lethal, especially mutants in GAUT1 and GAUT4 that are the major ones coding for enzymes synthesising linear pectins (Caffal et al., 2009). This suggests a central role for the pectins in the wall. The cellulose does not contribute directly to the growth process and instead mostly strengthens the wall. As a polysaccharide consisting of a linear chain of several hundred to many thousands of β(1–4) linked D-glucose units, it spontaneously crystallises in cellulose microfibrils having about 20 cellulose chains assembled into long cables a few nanometers in diameter. These are cross-linked by hydrogen bonds to a matrix of hemicellulose and pectin along with a small amount of structural protein. The microfibrils have a high tensile strength approaching that of steel, and their orientation in the wall determines the shape of the expansion. When laid down in an orientation perpendicular to the long axis of the cell, lateral expansion is inhibited and the wall extends mostly lengthwise. The longitudinal extension stretches the matrix between the microfibrils, spreading the microfibrils apart. The orientation of the microfibrils thus controls cell shape while the matrix controls growth rate.

b) Structure of the secondary wall – fully grown cells

The secondary wall is laid down underneath the primary wall when it has finished expanding, that is, when the cell has stopped growing. The secondary wall is elastic, it can shrink or swell and undergo reversible but not irreversible expansion. In some woody tissues, the secondary wall can be quite thick and be over half the total volume of the cell.

7.3-Ch-Fig-7.23.jpg

Figure 7.23 Schematic representation of the wall of a fully grown cell, showing the cellulose microfibril orientation in the primary (P) and secondary (S1, S2, S3) wall layers of a xylem fibre cell or a tracheid. (AB Wardrop and DE Bland, In ‘Biochemistry of Wood’ Pergamon Press, 1959)

Cells that have ceased enlarging and are required to withstand large compressive forces mature by depositing secondary walls up to several micrometers thick that increase the wall strength and reduce flexibility (Figure 7.23). During secondary wall development cellulose and matrix phase polysaccharides with a lower degree of backbone substitution, such as heteroxylans and heteromannans, are deposited in a highly ordered pattern. Together with the deposition of lignin this results in a dehydration of the wall material, which becomes increasingly hydrophobic in nature. In some cell types, lignin is also deposited throughout the wall during secondary development. Hydrophobic lignins overlie and encrust the cellulose microfibrils and matrix polysaccharides, and can also be covalently complexed with wall polysaccharides (Doblin et al. 2010). The character of these cells controls woodworking properties of stems of trees and can ward off pathogens that might attack the wood.

7.3.2 - Importance of osmosis

Osmosis makes cell expansion possible. Osmotic concepts were first understood by J. Willard Gibbs (1875-76) and demonstrated experimentally soon thereafter by Wilhelm Pfeffer (1876). Neither of these scientists knew how the process caused growth but Pfeffer (1900) sensed that the critical feature was turgor pressure (P). It is now known that P has to be low enough to create a water potential to bring water into the growing cell while at the same time being high enough to expand the wall. This dual role can be understood from the theoretical basis of osmosis (Figure 7.24).

7.3-Ch-Fig-7.24.jpg

Figure 7.24 How osmosis works. Water is on the left shown as blue dots. An aqueous solution is on the right shown as a mix of blue dots and large brown dots (solute). A porous membrane separates the two compartments but the pores are too small or too selective for the solute to move through. Instead, the solute is reflected by the membrane. The water side contains more water than the solution side because the solute occupies space that otherwise would be occupied by water. Consequently, more water enters the pores from the water side than from the solution side. As long as there is a concentration difference on the two sides of the membrane, more water will cross from the diluter side than from the concentrated side. (Diagram courtesy JS Boyer)

Osmosis in a constrained compartment like a plant cell causes P to build up inside the cell until it becomes high enough to prevent net water entry. At that stage, the cell is in equilibrium with the solution in its surroundings. Inside the cell, P is the turgor pressure and it can be high (positive pressures of 0.5 MPa are common). Outside of the cell in the wall that is hydraulically connected to the xylem, P can vary considerably and tends to be negative during the day because the xylem water is under tension (negative pressure). The tension in xylem is of course transmitted throughout the apoplast. Bearing this in mind, it is possible to express mathematically the osmotic forces and flows across a membrane as:

\[ \frac{dV}{dt} = AL_{p}[(P_i - P_o) - (\Pi_i - \Pi_o)] \tag{1} \]

where V is the net volume of water moving osmotically across the membrane, \(t\) is the time, \(A\) is the area of the membrane, \(P\) is the pressure, \(\Pi\) is the osmotic effect of the solute concentration, \(L_{p}\) is the hydraulic conductivity of the membrane, and subscripts \(i\) and \(o\) refer to the interior (cytoplasm) and exterior (apoplast) of the cell.

It is important to point out that the water potential is \( \Psi = P – \Pi \) and Eq. 1 simplifies to:

\[ \frac{dV}{dt} = AL_{p} \Delta \Psi \tag{2} \]

where \( \Delta \Psi \) is the water potential difference between the inside and outside of the cell. At equilibrium, \(P\) builds until the net flux is zero and Eq. 1 becomes:

\[ (P_i - P_o) = (\Pi_i - \Pi_o) \tag{3} \]

Let’s see how Eq. 3 fits plant cells whose apoplast is hydraulically connected to the xylem. Starting in the xylem where the solution is very dilute (say \(\Pi_o\) = 0) and the wall solution is under tension (say \(P_o\) = -0.7 MPa), osmosis will move water into the cell as long as the cytoplasm is more concentrated (say \(\Pi_i\) = 1 MPa). As water moves in, \(P_i\) builds inside until it prevents water from entering. Ultimately, the \(P_i\) reaches 0.3 MPa whereupon the cell is equilibrated with its surroundings, as shown in Eq. 3 but expressed numerically in Eq. 4:

\[ 0.3 - (-0.7) = (1 - 0) \tag{4} \]

Notice in Eq. 4 that the P difference across the membrane equals the \(\Pi\) difference across the membrane. In other words, the pressure difference is in equilibrium with the osmotic effect of the solute. Of course, if insufficient water can enter the cell to build its turgor as high as 0.3 MPa, \(P_i\) decreases. If it falls near zero, we sometimes see the leaf “wilting”.

A major advantage of the water potential is that it describes the direction of water movement, taking osmotic properties and pressures into account in one symbol. According to the example above (Eq. 4), the water potential outside of the cell is -0.7 MPa (-0.7 + 0.0). Because outside and inside are in equilibrium, the water potential inside of the cell is also -0.7 MPa (0.3 - 1.0). In both places, \(\Psi\) is a negative number (like temperatures below zero).

Osmosis is the key to water entry into the plant. It not only causes water to enter the cells of the plant but also creates the tension in the xylem transmitted to the cell wall (apoplast) that pulls water through the root from the soil. In fact, this ability to pull water from the soil has to balance transpiration. In other words, water uptake by osmosis is necessary to prevent the plant from drying out. Larger \(\Delta\Pi\) create the potential for greater pull extending out into the soil. Wheat typically contains large \(\Pi_i\) (2.0 to 2.5 MPa) that allows it to obtain water from relatively dry soil. Maize generally has small \(\Pi_i\) (1.2 to 1.8 MPa) that makes it less able to obtain water from dry soil. Maize tends to be less drought tolerant than wheat. The reasons for the \(\Pi_i\) differences are unknown.

These ideas work for osmosis in plant cells that discriminate perfectly between solute and water (water moves through the membrane but solute does not). In healthy cells, most membranes are nearly perfect and negligible solute moves through (solute actually moves through on specific carriers but the amount is negligible osmotically). If solute crosses the membrane, it acts essentially the same as a water molecule, and the osmotic force Π is diminished. Places where this may happen are phloem termini where large amounts of solute are delivered to the developing embryo along with water. Developing grain would be an example. Another place is in air-dry seeds whose membranes have been dehydrated and are leaky to solute until the cells are rehydrated during imbibition, allowing the membranes to re-form.

So far, we have only considered the hydraulic conductivity of membranes of individual cells. Sometimes it might be useful to determine the conductivity of a whole organ such as a root system or leaf. For that an abbreviated form of Eq. 1 is typically used:

\[ \frac{dV}{dt} = L(\Delta\Psi) \tag{5} \]

where \(L\) is called the water conductance of the organ and the definition of the other terms remains unchanged. The reason we cannot use Eq. 2 is that the area for flow is not the plasma membrane of the cell. In effect, \(A\) is undefined and is included in \(L\) but the general principle governing flow is otherwise like that in Eq. 2. As you can see, the bigger the root system the higher the flow and thus \(L\) will tend to get larger as the organ grows.

7.3.3 - Osmosis and wall biomechanics

Plants grow mostly by increasing the size of cells in enlarging regions. For a cell to become larger, the wall becomes irreversibly extended by \(P\). In effect, the wall in a growing cell is constructed so the polymers slip a little at high \(P\). In that situation, as \(P\) builds from osmosis, it never reaches a level where equilibration can occur. Instead, \(P\) can only build enough to cause irreversible slippage (yielding) of the wall and the wall compartment becomes bigger. This can be demonstrated by lowering \(P\). Even if \(P\) decreases as low as zero, the compartment remains bigger than it was.

Typically the \(P\) must be higher than a minimum before yielding occurs. It is possible to express this wall property with an equation similar to Eq. 2. Lockhart (1965) was the first to do so and described cell enlargement for \(P\)-driven growth as:

\[\frac{dV}{dt} = A \phi (P - P_{th}) \tag{6} \]

where \(\phi\) is the wall yielding coefficient, sometimes referred to as wall extensibility (m Pa–1 s–1) and \(P_{th}\) is threshold turgor pressure or yield threshold (\(P_{th}\)) above which the cell wall yields. The other terms are defined as before. It is obvious in Eq. 6 that \(P\) must be above \(P_{th}\) in order for the cell to enlarge. Also, as \(\phi\) becomes larger, the cell grows faster.

In tissues instead of individual cells, a similar equation applies because all the cells enlarge in concert. The enlargement of the whole organ is then described by:

\[\frac{dV}{dt} = m (P - P_{th}) \tag{7} \]

where everything is the same as in Eq. 6 except that \(m\) contains the wall yielding attributes for all the enlarging cells as well as the \(A\) term. Examples where this equation applies would be tissues of enlarging stem and root tips, hypocotyls and coleoptiles of geminating seeds, flower buds, and even growing fruits (grapes, tomatoes, maize kernels, etc).

Nevertheless, the inability of \(P\) to build enough for equilibration keeps the cell water potential lower than it otherwise would be. As a result the yielding walls create a lower water potential that is called “growth-induced” because mature cells that do not have such yielding walls (Figure 7.25). The growth-induced \(\Psi\) can move water from the mature cells into the elongating ones if no external supply is available. This probably explains how a stored potato can sprout in a cupboard because the cells in the bud develop yielding walls that create a growth-induced \(\Psi\) that moves water from the mature cells into the sprouts.

Usually the water source is in the soil or xylem (\(\Psi_o\)), and a slight modification to Eq. 5 can show this effect:

\[\frac{dV}{dt} = L (\Psi_o - \Psi_{growth-induced}) \tag{8} \]

7.3-Ch-Fig-7.25.jpg

Figure 7.25 Water potential fields (three dimensions) in two regions of soybean hypocotyls growing at about 1.5 mm h-1. Fields show highest water potential in the xylem and lowest in the pith and cortex. Steepest field was in the elongating tissues and is growth-induced because the yielding walls in the elongating cells prevented \(P\) from become as high as in mature cells. The steeper field allows the growing region to extract water from the mature region when other water sources are not available. Fields were directly measured in the same intact plant while transpiration was prevented, using a microcapillary of a pressure probe. (Redrawn from H Nonami and JS Boyer, Plant Physiol 102: 13-19, 1993).

Because the cells with yielding walls have turgor that is \(P = \Pi + \Psi_{growth-induced}\) (remember \(\Psi\) is negative), Eq. 7 becomes:

\[\frac{dV}{dt} = m (\Pi + \Psi_{growth-induced} - P_{th}) \tag{9} \]

and solving for \(\Psi_{growth-induced}\) in Eqs 8 and 9 gives:

\[\frac{dV}{dt} = \frac{mL}{m + L} (\Psi_o + \Pi - P_{th}) \tag{10} \]

This shows that growth depends on a water supply function (Eq. 8) and a water demand function (Eq. 7) that can be combined to give Eq. 10. A quick look at this latter expression shows that the growth rate of an organ is determined by the water potential of the supply, the osmotic effect of the solute minus the threshold turgor (which is too low to contribute to the growth rate) multiplied by a coefficient. In other words, the difference in water potential that we’ve seen before in Eq. 5 diminished by the threshold turgor that is inactive in the growth process provides the driving force for growth. When multiplied by the coefficient, \(\frac{mL}{m + L}\), the equation gives the growth rate of the organ.

7.3-Ch-Fig-7.26.jpg

Figure 7.26 Diagram of the steady growth of a plant organ. Water uptake for growth (\(dV/dt\)) is a simple linear function of the conductance (\(L\)) between the water supply (\(\Psi_o\), usually the vascular system) and the average water potential (\(\Psi_{growth-induced}\)) of all the expanding cells in the organ (top of diagram, Eq. 7). In the same organ, the cells have walls that can slip a little (\(m\)) when turgor (\(P\)) is above a threshold (\(P_{th}\)) (middle, Eq. 8). Combining the two relations defines the \(\Psi_{growth-induced}\) and \(P\) for the organ (Eq. 10, bottom). Notice that the \(\Psi_{growth-induced}\) is always lower than the (\(\Psi_o\). Furthermore, the position of \(\Psi_{growth-induced}\) is determined by \(L\) and \(m\). (Diagram courtesy JS Boyer)

The reason Eq. 10 is important is that it shows a plant organ grows not only because of the turgor properties of the tissue but also because water moves through all the small cells (\(L\)) of the entire organ. Meristems have dividing cells that are necessarily small. There are many wall and membrane barriers to traverse before water reaches all of the cells and allows them to grow simultaneously at a similar rate. The yielding of the walls controls the growth-induced \(\Psi\) needed for this water. In effect the turgor must be high enough for the walls to yield but low enough to create the growth-induced potential to supply water to the enlarging cells. The supply is often quite far away depending on the anatomy of the meristem and enlarging tissues. Consequently, large distances may be travelled by water for growth and the anatomy plays a large part in the growth rate of the organ.

It is worth looking at the coefficient a little more deeply. If the wall yields easily and m is large (say \(m\) = 10 units and \(L\) = 1 unit), the coefficient is 10/11 and the growth rate is controlled mostly by the ability of water to move into the enlarging tissues. If the reverse occurs (\(m\) = 1, \(L\) = 10), the coefficient is still 10/11 but the growth rate is controlled mostly by the yielding properties of the walls. Therefore, comparing the magnitude of \(m\) and \(L\) is the key to determining whether the demand (\(m\)) or the supply (\(L\)) function dominates the coefficient. A picture of these effects is shown in Figure 7.26 and methods are available for measuring not only \(m\) and \(L\) but also all the other terms in these equations (Boyer et al., 1985).

7.3.4 - Search for molecular mechanism of cell enlargement

It is pretty obvious from this behaviour that simply putting water around a tissue creates a system with several interacting factors. The growth rate could be affected not only by \(P\) but also by \(m\), \(L\), \(\Pi\), or \(P_{th}\). In an effort to simplify this system, scientists have sought single cells that could be surrounded by water. From a practical point of view this allows \(P\) and \(m\) to be the main factors controlling growth and minimises the effect of \(L\), as shown in Figure 7.27.

7.3-Ch-Fig-7.27.jpg

Figure 7.27 Simplified version of Fig. 5 for a single cell surrounded by water (\(\Psi_o = 0\)). \(L\) is so large that \(P\) and \(m\) control the growth rate if \(\Pi\) and \(P_{th}\) are constant. (Diagram courtesy JS Boyer)

One approach has been to use single algal cells large enough to measure \(P\) and growth (\(\frac{dV}{dt}\)) simultaneously. Chara corallina or Nitella flexilis are candidates because they have cells large enough for the measurements. They are naturally surrounded by fresh or brackish water and have rhizoids resembling roots. Gametes form in structures in the axils of branches analogous to flowers or cones in their land counterparts. In fact, genomic and morphological analyses consider these algae to be among the closest relatives of the progenitors of land plants. In the internode cells of Chara or Nitella, microfibrils are oriented normal to the cell axis and the walls expand mostly in length like many plant tissues (roots, stems, grass leaves).

Using the internodes of these species, \(P\) and growth rate (\(\frac{dV}{dt}\)) can be monitored simultaneously and changed so quickly that \(\Pi\) and \(P_{th}\) remain constant. This allows the \(P\) response to be rigorously determined. Moreover, the walls can be isolated without leaving the medium in which the algae are grown. The same measurements can be repeated without the cytoplasm. This is a great tool for observing the response to \(P\). When the growth of the live cells was compared with that in the isolated walls, they were similar but only for the first hour or so. After that, growth ceased in the walls but continued in the live cells even though the walls and cells had the same \(P\). Something was missing in the isolated wall that was being supplied by the live cells.

Considering that new wall material is supplied by the cytoplasm and missing in the isolated walls, if seemed reasonable to supply new wall constituents as though the cytoplasm had done so. Supplying pectin (a wall polymer) to the growth medium returned the growth rate of isolated walls to the rate in the live cells! This was unexpected but indicated the wall needed a supply of pectin in order to continue growing. The active pectin was a linear unbranched polymer of α-1,4-D-galacturonic acid sometimes with a small amount of rhamnose (usually 1-2%) that is normally synthesised in the cytoplasm and released to the wall by exocytosis. It becomes a prominent member of the wall matrix and forms a gel embedding the cellulose microfibrils.

The pectin gels because calcium ions bind to neighbouring pectin polymers. The cross-bridging forms junction zones with the polymers that are strong enough for the pectin to form a gel solid. The gel gets stronger with more cross-bridges. The new pectin from the cytoplasm removed some of the cross-bridges from the wall, weakening the wall gel and allowing the polymers to slip a little. This action occurred only when \(P\) was above \(P_{th}\), and only when temperatures were warm enough for growth. Figure 7.28 compares the turgor pressure and temperature responses of the live algal cells with those of land plants tissues.

7.3-Ch-Fig-7.28.jpg

Figure 7.28 Turgor pressure and temperature responses of single algal cells compared to land plant tissues. Turgor pressure and growth in (A) Chara internode cell and (B) sunflower (Helianthus annuus) leaves at 25 °C. Temperature and growth in (C) Chara internode cell and (D) soybean hypocotyls at turgor pressure of 0.4 to 0.5 MPa. (JS Boyer, Funct Plant Biol 36: 385-394)

A chemical mechanism has been proposed to account for this behaviour and is called a “calcium pectate cycle” (Figure 7.29). It seems possible that the chemistry might also occur in land plants. As long as pectin, calcium, and sufficient turgor pressure are present, the cycle should occur in pectin-containing walls. Pectins are among the most conserved components of cell walls during plant evolution, and the similarity in pressure and temperature response in these algae and land plants suggests a common mechanism in both. However, despite these intriguing similarities, definitive tests remain for the future.

7.3-Ch-Fig-7.29.jpg

Figure 7.29 Proposed mechanism of cell enlargement in Chara. The diagram shows the calcium pectate cycle occurring in the cell wall for two calcium pectate cross-bridges (black ovals in anti-parallel pectate molecules, left side of figure). Turgor pressure is high enough to distort the egg-box in one of the pair, weakening its bonds with calcium (left pectate in pair). New pectate from the cytoplasm (dashed red arrow) is undistorted and preferentially removes calcium from the weakened and distorted pectate (step 1, red). The load-bearing pectate relaxes after its cross-bridging calcium is removed. The wall elongates incrementally, shifting the load to the other member of the pectate pair, which distorts. The remaining steps 2 to 4 follow by depositing calcium pectate (step 2, blue) and new calcium from the medium plus new pectate from the cytoplasm (step 3, green), resulting in a cycle (step 4, black). The net result is elongation plus wall deposition. Although shown for only two cross-bridged pectate molecules, the same principles apply to larger numbers of cross-bridges. Note that in Chara the cycle occurs in the medium in which the cells are grown (0.6 mM Ca2+). Also note that the rate of growth depends on the rate of pectate release from cytoplasm to wall by exocytosis (red and green dashed arrows). Each step in the diagram was demonstrated experimentally in Chara. (JS Boyer, Front Plant Sci 7:866, 2016)

Expansins

In other experiments a class of cell wall proteins, expansins, are proposed as potential agents for catalysing yielding in vivo (McQueen-Mason 1995). Figure 7.30 shows sharp gradients in growth along the hook of a cucumber hypocotyl that are paralleled by a gradient in extension of these tissues when stretched under acid conditions (Figure 7.30b) but not at neutral pH (Figure 7.30c). When tissues were killed by boiling, extension was blocked (Figure 7.30d). From these results, it seems that hypocotyl extension requires acid pH and non-denatured proteins. However, all the experiments were done in an extensometer with a uni-axial pull substantially less than the multi-axial tension exerted by \(P\). Since growth requires \(P\) above a threshold in order for walls to yield (Eq. 7), it is difficult to interpret this proposal. When greater uni-axial pull was used by Ezaki et al. (2005) to study hypocotyl growth in soybean hypocotyls, pectin chemistry appeared to determine growth rate. In fact, Zhao et al. (2008) give evidence that pectins may be the target of expansin action.

7.3-Ch-Fig-7.30.png

Figure 7.30 Distribution of growth and wall extension at four positions along a cucumber hypocotyl. (a) Growth rate is most rapid near the hook. (b) Hypocotyl segments were frozen, thawed, abraded and stretched under a 20 g load in an acidic buffer (pH 4.5), which is much less tension than exerted by \(P\). Most rapid extension occurred in the fast-growing hook. (c) When measured at pH 6.8, segments extended very little. (d) Segments in which enzymes were denatured by boiling did not extend under the load. (SJ McQueen-Mason, J Exp Bot 46: 1639-1650, 1995)

Notice that the growth mechanism in Figure 7.29 is entirely chemical, with no role for enzymes. It is difficult to hypothesize an enzymatic mechanism because of the requirement for \(P\) above a threshold. Enzyme activity is generally unaffected by these pressures and would continue acting regardless of \(P\). What is clear is that the biophysical consequences of instantaneous changes in \(P\) will be followed by a phalanx of biochemical events including wall polymer synthesis and altered gene expression, and rigorous methods will be required to distinguish enzymatic from biophysical hypotheses. For instance, sustained expansion of plant cell walls cannot be explained simply by inexorable wall hydrolysis; if it were, cell walls would weaken to breaking point during growth. The ‘setting’ of long-term cell expansion rates is likely to hinge on biochemical and chemical events underlying wall relaxation and reinforcement.

Cessation of cell wall expansion

Molecular events leading to cessation of wall expansion are even less well understood than those which initiate growth. For example, part of the growing region stops growing when water deficits occur around maize roots (Figure 7.31).

7.3-Ch-Fig-7.31.png

Figure 7.31 Spatial distribution of (a) elongation rates and (b) turgor pressures along apical zones of maize roots grown either in hydrated (Ψ = -0.02 MPa; filled circles) or rather dry (\(\Psi\) = -1.6 MPa; open circles) vermiculite. Note that water deficit only depressed growth at positions more than 2 mm from the apex but \(P\) was lower at all positions in water deficient roots. (WG Spollen and RE Sharp, Plant Physiol 19: 565-576, 1991)

Clearly, the region farthest from the tip has stopped growing but \(P\) remains uniform throughout the zone. \(P\) is lower in the water deficient roots presumably because less water can be absorbed from the water deficient soil. A common view is that sufficient cross-linking develops to limit the extension of the matrix around cellulose microfibrils and prevent further wall expansion. Essentially, when a cell has reached its final dimensions its wall is ‘locked’ into a final, hardened conformation. From the description above, molecules with a specific role in growth cessation are thought to be exocytosed into cell walls, providing either substrates for cross-linkage reactions or enzymes catalysing cross-linkage of pre-existing wall polymers. Identification of cross-linkage reactions have led to a search for their presence in vivo. For example, ferulic acid residues in grass cell walls can cross-link to produce di-ferulic acid and potentially stiffen walls through formation of a polysaccharide-lignin network. Unfortunately, in rice coleoptiles the abundance of the di-ferulic form bore no relation to growth cessation. Also this form of stiffening might be difficult to distinguish from secondary wall deposition.

Secondary cell walls generally form after primary walls have ceased to grow but the familiar rigidity of secondary cell walls (e.g. wood) is mostly viewed as distinct from stiffening of primary walls. Lignification of primary walls commences earlier than once thought and is a possible factor in growth cessation (Müsel et al. 1997). Such a response might be controlled through release of peroxide into walls in much the same way as seen in walls subject to fungal attack. Peroxidase enzymes are candidates for the catalysis of these reactions. Understanding rigidification of this complex matrix of polymers demands input from the disciplines of biology, chemistry and physics. Combining established techniques with novel approaches to the study of individual cells (e.g. Fourier-Transform Infra-red microspectroscopy and the cell pressure probe) will bring new insights to the molecular basis of wall expansion.

7.4 - References

Barlow PW (1973) Mitotic cycles in root meristems. In ‘The cell cycle in development and differentiation’ (Eds M Balls, FS Billet) pp. 113-165. (Cambridge University Press)

Boyer JS (1985).Water transport. Ann Rev Plant Physiol 36: 473–516

Boyer JS (2009) Cell wall biosynthesis and the molecular mechanism of plant enlargement. Funct Plant Biol 36: 383–394

Boyer JS (2016) Enzyme-less growth in Chara and terrestrial plants. Front Plant Sci 7: 866

Boyer JS, Cavalieri AJ, Schulze E-D (1985) Control of the rate of cell enlargement: Excision, wall relaxation, and growth-induced water potentials. Planta 165: 527-543

Caffall KH, Pattahil S, Phillips SE et al. (2009) Arabidopsis thaliana T-DNA mutants implicate GAUT genes in the biosynthesis of pectin and xylan in cell walls and seed testa. Mol Plant 2: 1000-1014

Cavalier DM, Lerouxel O, Neumetzler L et al. (2008) Disrupting two Arabidopsis thaliana xylosyltransferase genes results in plants deficient in xyloglucan, a major primary cell wall component. Plant Cell 20: 1519-1537

Clowes FAL (1959) Root apical meristems. Biol Rev 34: 501-528

Doblin MS, Pettolino F, Bacic A (2010) Plant cell walls: the skeleton of the plant world. Funct Plant Biol 37: 357-381

Ezaki N, Kido N, Takahashi K, Katou K (2005) The role of wall Ca2+ in the regulation of wall extensibility during the acid-induced extension of soybean hypocotyl cell walls. Plant Cell Physiol 46: 1831–1838

Huala E, Sussex IM (1993) Determination and cell interactions in reproductive meristems. Plant Cell 5: 1150-1165

Jensen WA, Kavaljian LG (1958) An analysis of cell morphology and periodicity of division in the root tip of Allium cepa. Amer J Bot 45: 365-372

McCann MC, Roberts K (1991) Architecture of the primary cell wall. In ‘The cytoskeletal basis of plant growth and form’ (Ed CW Lloyd) pp. 109–129. (Academic Press: London)

McQueen-Mason SJ (1995) Expansins and cell wall expansion. J Exp Bot 46:1639-1650

Meeks-Wagner DR (1993) Gene expression in the early floral meristems. Plant Cell 5: 1167-1174

Müsel G, Schindler T, Bergeld R, Ruel K et al. (1997) Structure and distribution of lignin in primary and secondary cell walls of maize coleoptiles analyzed by chemical and immunological probes. Planta 201: 146-159

Nonami H, Boyer JS (1993) Direct demonstration of a growth-induced water potential gradient. Plant Physiol 102: 13-19

Passioura JB, Fry SC (1992) Turgor and cell expansion: beyond the Lockhart Equation. Aust J Plant Physiol 19: 565–576

Spollen WG, Sharp RE (1991) Spatial distribution of turgor and root growth at low water potentials. Plant Physiol 96: 438-443

Waisel Y, Eshel A, Katkafi U (eds) (1996) Plant roots: The hidden half. 2nd edition, Marcel Dekker, New York.

Wardrop AB, Bland DE (1959) The process of lignification in woody plants. In ‘Biochemistry of wood’ (Eds K Kratzel, G Billek) pp. 92–116. (Pergamon Press: London)

Williams RF (1974) The shoot apex and leaf growth. Cambridge University Press.

Yadegari R, de Paiva GR et al. (1994) Cell differentiation and morphogenesis are uncoupled in Arabidopsis raspberry embryos. Plant Cell 6: 1713-1729

Zhao Q, Yuan S, Wang X et al. (2008) Restoration of mature etiolated cucumber hypocotyl cell wall susceptibility to expansin by pretreatment with fungal pectinases and EGTA in vitro. Plant Physiol 147: 1874-1885

Chapter 11 - Fruit growth, ripening and post-harvest physiology

Chapter editor: David A. Brummell1

Contributing Authors: Ross G. Atkinson2, David A. Brummell1, Jeremy N. Burdon2, Kevin J. Patterson2, Robert J. Schaffer2. Plant & Food Research, 1Palmerston North; 2Auckland

This Chapter is updated from a previous version written by Rod L. Bieleski, Ian B. Ferguson and Elspeth A. MacRae for Plants in Action 1st Edition.

Picture11.0.png

Fruit development can be divided into a series of stages, as shown here for tomato. Early in development fruit are enlarging rapidly and are small, hard, green and accumulating organic acids. The seeds become mature prior to ripening. During ripening fruit become soft textured, and accumulate soluble sugars, pigments and aroma volatiles. Eventually fruit will become over-ripe, cell structures will deteriorate and the fruit will become susceptible to pathogens. (Photograph courtesy D.A. Brummell)

Fruit evolved as vehicles for production and dispersal of seeds. Humans then imposed further selection pressures to develop products for our use. Such development has accelerated over the past century. Interestingly, our concept of a fruit as a sweet and fleshy object for eating is really quite recent in evolutionary terms.

Despite modifications and exaggerations of fruit structures due to human selection, and with a few seedless exceptions such as banana and sultana grapes, fruit growth is largely dictated by seed development. Processes underlying those influences are considered here, followed by an account of postharvest changes.

Postharvest technology is also a human device to serve human needs, and includes everything that happens to crops between harvest and human utilisation. However, preharvest events affect subsequent postharvest behaviour. Genetic background is particularly important, in part determining crop response to growth and storage environments. Postharvest techniques can be simple and slight, as in grain stores, or highly developed, as in controlled atmosphere storage of fresh produce.

In every instance, some key concepts apply. In particular, potential quality of fresh commodities is irretrievably fixed by harvest time, with no further opportunities to manipulate their basic properties. After harvest, storage time may be as short as the few minutes taken for immediate consumption, or extremely prolonged as with years of seed bank storage. Most research discussed here is concerned with storage periods of 2–25 weeks. Handling over this period has a profound effect on final usefulness because a crop is still alive throughout this process and vulnerable to adverse conditions. Postharvest physiology is therefore of particular importance to countries such as Australia and New Zealand, which ship a large portion of their crops to distant markets. Accordingly, green kiwifruit (Actinidia deliciosa) and yellow kiwifruit (Actinidia chinensis) are used here as examples where principles of postharvest research have been applied successfully in establishing a new international crop on a stable and permanent basis.

Wild fruit often contain components that make them unattractive to potential consumers until they are ready to be dispersed. These commonly include calcium oxalate crystals (raphides), bitter flavours and astringent tastes. However, humankind has adapted fruit for personal use by applying intense selection pressure to remove unpleasant components and enhance desired features. These include appealing flavour with well-developed aroma volatiles and sweetness, bright colour, pleasant texture and high food value. As early as the seventeenth century, Gerard recorded that ‘some peares are sweet, divers fat and unctuous, others soure, and most are harsh, especially the wilde peares’ (John Gerard, “Herball or General Historie of Plants”, 1633). Nowadays, all European and Asian cultivars are sweet with greatly reduced acidity and tannin content compared with their various wild parents. Persimmons provide another example where an originally astringent fruit has given rise to a non-astringent form.

During the twentieth century, additional selection pressures have been applied to temperate fruit species in a drive for cultivars that are well suited to postharvest handling and storage. This has not been true for most tropical fruit, which have had less selection for such characteristics and which still present challenging problems for postharvest researchers and breeders.

The history of kiwifruit shows some of the steps that have led to the development of a successful commercial fruit. It was a wild species until 1900, when domestication began. A major commercially valuable green cultivar, ‘Hayward’, was selected around 1930. This event was followed by progressive development of techniques for cultivation, handling and marketing — all required to make a new fruit commercially successful. Further development of the yellow or golden kiwifruit cultivar ‘Hort16A’ in the late 1990s added the unique combination of a highly flavoured fruit with a vibrant yellow flesh. Several features of kiwifruit physiology made it amenable to commercialisation, namely (1) unusual and unique flavours combined with good nutritional value, (2) retention of chlorophyll so that inside tissues remain bright green when ripe (‘Hayward’), (3) a long and manageable ripening period resulting in a long harvest season where fruit can be picked in a mature but firm condition, and (4), especially important, kiwifruit tolerate lengthy low-temperature storage without subsequent shelf life being compromised.

11.1 - Origin of fruit tissues and fruit set

Fig 11.01.jpg

Figure 11.1 Poor pollination (left) compared with normal pollination (right) influences seed number and hence kiwifruit development. A fully pollinated green kiwifruit carries at least 1000 seeds spread more or less evenly lengthwise, and in about 35 locules around its circumference. Faulty pollination causes big disparities in seed number per locule (from around 30 to near zero). There is a corresponding change in relative development of adjacent tissues. Scale bar = 1 cm. (Photograph courtesy M. Heffer and R.L. Bielski)

Pollination, followed by pollen tube growth and fertilisation, instigates fruit growth (Figure 11.1). If pollination does not occur, flowers are shed (only rare exceptions). Nevertheless, a developmental program of gene expression for fruit growth has already been established well ahead of floral biology. Primordia may have been initiated up to 6 months before a particular flower opens, and ovary development continues during flower growth with ovary tissues forming late in this process. As part of that outcome, homology between leaves and sepals is noteworthy and evident in many fruit (Gillaspy et al. 1993). Sepals show leaf-like cell layers, stomata and chloroplasts.

The generic term ‘fruit’ covers a wide range of structures, all supporting and protecting seeds, but where the various parts have developed from the original fertilised flower in various distinctive ways. In the simplest form, ovary walls grow along with seeds, and as they develop, the ovary walls dry out to become a pod (legume) or capsule (poppy). In others (particularly fleshy fruit), the main structure can arise by exaggerated development of a particular part of the original floral unit. These include ovary wall or central axis, the receptacle that supports anthers and ovary, or even petals and sepals. In morphological terms, fruit are structures that develop from fertilised or stimulated ovules, plus associated floral parts that originate from the parent plant.

Mechanistically, a fruit is a single dispersal unit that includes seeds and associated tissues, developed as a single body. This broad description includes structures derived from a single ovary (as in simple fruit such as apple, avocado and mango) as well as compound fruit where separate ovaries are joined (an aggregate fruit such as blackberry and cherimoya) or where separate flowers are collected into a single structure (pineapple and breadfruit).

During fruit development, an ovary wall becomes a pericarp: either dry as in a dehiscent pea pod and the indehiscent caryopsis of barley, or fleshy as in berries (grape). Three morphologically distinct strata are present and developed to varied degrees: exocarp (fruit skin), mesocarp (fruit flesh) and endocarp (inner cell layers).

An exocarp will develop a cuticle and may exhibit a variety of morphological features such as coarse hairs (kiwifruit) or fine hairs (peach). The exocarp plus cuticle restricts gas exchange, and determines the general appearance of ripening fruit. Most cuticles are highly impermeable to gases, so that water vapour, O2 and CO2 diffuse mainly via either stomata or lenticels or by mass flow through cavities at the calyx and stem ends of fruit.

Mesocarp tissues usually represent the fleshy part of a fruit, and commonly hold chloroplasts and starch grains. In fleshy fruit such as berries (e.g. tomato, kiwifruit and grape) this tissue typically comprises large parenchyma cells and contains the main vascular network.

Endocarps are less common, but typically develop as a dense hard case around a seed, as in peach, apricot or macadamia.

An ovary must be stimulated in some way for fruit growth to occur; this is normally by pollination and fertilisation. Gibberellins and auxins are involved in the pollination stimulus, and subsequent hormone production by the fertilised ovary is critical to stimulating fruit development (de Jong et al. 2009).

By implication, a suitable balance of growth regulators applied to unpollinated fruitlets can result in fruit set, and in practice gibberellins GA4 and GA7 are very effective in setting parthenocarpic (seedless) apple fruit. By contrast, parthenocarpy is rare in kiwifruit, although repeated applications of napthaleneacetic acid (NAA) with benzyladenine (BA) and gibberellin have been successful. Such results confirm that growth regulators — alone or in combination — can trigger cell division in ovaries or related tissues that ultimately become fruit.

Seedless fruit have arisen via human selection of genotypes in which ovaries produce an adequate supply of growth regulators without any stimulation from the germinating pollen and developing seed (triploid banana), or where fertilisation is closely followed by seed abortion (stenospermocarpic, as in sultana grape). In the absence of pollination, levels of endogenous hormones such as auxins and gibberellins normally fall markedly (de Jong et al. 2009) and flowers abscise or fruitlets stop growing.

11.2 - Dynamics of fruit growth

Fig 11.02.png

Figure 11.2 Peach growth is biphasic, showing a double sigmoidal pattern in terms of both fresh mass and dry mass. Pericarp cell division is especially active during early stages of phase 1, while enlargement of an existing population of cells is largely responsible for growth during phase 2. (Based on Chalmers and van den Ende (1975) Aust. J. Plant Physiol. 2, 623-634)

Fruit can increase in mass or volume by 100-fold or more from fertilisation to maturity, and such changes commonly follow a sigmoid curve (Figure 11.2). Interpretation of such growth curves is complex because a single variable (mass, length, volume) is commonly applied to an object that contains several organs and different tissue types, each developing at their own rate and in accordance with their own programme. Moreover, at a cellular level, comparative levels of division and expansion change with ontogeny, while shifts in airspace percentage also play a part in volume increases. Added to this, changes in storage products (oil, starch and sugar) and structural carbohydrate (endocarp thickening) influence dry matter content. Representative cases are covered later.

11.2.1 - Cell division and enlargement

Despite complexities of fruit growth and development, there are some overall consistencies in patterns of cell division and enlargement, as well as tissue differentiation and fruit enlargement (Figure 11.3). During the first 1–4 weeks, flesh volume increases rapidly and embryo volume remains small. Growth at this time is mainly the result of cell division. In many commercial fruit (e.g. apple, kiwifruit, tomato and peach), cell division may cease a few weeks after anthesis, and fruit growth slows down, reflected as an inflection in the growth curve, and signalling an end to the first sigmoid phase.

Fig 11.03.png

Figure 11.3 A large number of complex processes are integrated in space and time during seed development and fruit growth and are shown here schematically. In broad terms, embryo differentiation and seed development are already well advanced as pericarp enlargement gets underway, and seed maturation usually precedes onset of ripening; consequently fruit ingested prematurely still represent vehicles for seed dispersal. A phase of carbohydrate accumulation during fruit maturation gives way to starch hydrolysis and sugar storage during maturation, accompanied by a peak in ethylene output and respiratory activity as fruit ripen. (Original diagram courtesy I.B. Ferguson)

During early growth, the fertilised embryo and endosperm develop and seeds start to form (Figure 11.3). A second phase begins where the pericarp resumes growth and continues to enlarge until slowing for a second time as fruit mature. This second phase in fruit growth is mainly accomplished by cell expansion in longitudinal, radial and tangential planes. Longitudinal growth, where cells enlarge parallel to the long axis of the fruit, will often be a big factor for development of elongated fruit such as cucumber and marrow. Radial growth increases diameter as in some pumpkins. Increases in cell volume during fruit growth can be considerable. Mature watermelons end up with some of the largest parenchyma cells in the Plant Kingdom, about 0.7 mm in diameter. In contrast to this general pattern where cell division ceases after a few weeks, pericarp cells of avocado fruit continue to divide over the whole growth period so that cells in mature fruit are still relatively small.

Cell enlargement is not a uniform process. Cells in various regions of a fruit often enlarge at different rates and in different planes, so that many mature fruit show strong gradients in cell size from their surface to the centre. In apple fruit, cells closest to the core are smallest, with cell size increasing towards the fruit surface. Conversely in many berries, such as cucumber, kiwifruit and grape, the smallest cells are found in outer regions of the pericarp, with size increasing progressively towards inner regions.

11.2.2 - Cell differentiation

Fig 11.04.png

Figure 11.4. Physical characteristics of apple fruit change during growth and development with a notable increase in gas space to a maximum of around 0.1 mL gas mL-1 tissue at maturity, and a corresponding decrease in cell wall mass to around 15 mg g-1 fresh mass. Cell surface area shows an early rapid decrease from around 340 cm2 mL-1 tissue. (Based on Harker and Ferguson (1988) Physiol. Plant. 74, 695-700)

Patterns of cell growth and differentiation in cell layers can influence the quality of mature fruit. For example, pepino fruit with a compact exocarp composed of tightly packed cells are less likely to bruise during postharvest handling than cultivars having large intercellular airspaces. As cell size increases during development, other accompanying characteristics also change, such as cell wall thickness, differentiation of specific cell types (e.g. sclereids) and the formation of cell inclusions such as oil droplets or calcium oxalate crystals (raphides). In feijoa and pear, development of sclereids in the mesocarp provides the characteristic gritty texture. As another example, juiciness of orange depends on prior differentiation of juice sacs in the endocarp.

The extent and distribution of airspaces are particularly important, affecting both fruit texture and physiological properties. For instance, in apple, airspace relative to fruit volume can double during development, while cell wall thickness and relative cell surface area both decline (Figure 11.4). Such changes affect gas exchange and diffusion of solutes through pericarp tissues due to increased tortuosity.

Fig 11.05.png

Figure 11.5. Radial growth in kiwifruit is due mainly to enlargement of outer and inner pericarp. Vertical lines indicate cessation of cell division in each tissue. (Unpublished data courtesy K. Gould and I.B. Ferguson)

In kiwifruit all tissues of the mature fruit (exocarp, outer and inner pericarp and central core) are already discernable in the ovary before anthesis and pollination. Each layer grows to a different extent and at different rates, so that the relative contribution of each to the total fruit volume varies with time (Figure 11.5). Cell division ceases first in the exocarp and last in the innermost regions of the central core. The outer pericarp is first seen as a homogeneous population of cells but by c. 14 d after pollination two cell types become visible, namely small isodiametric parenchyma cells full of starch grains, and much larger heavily vacuolate ovoid cells in which the frequency of starch grains per unit volume is low.

Fruit anatomy affects our perception of fruit quality. In kiwifruit, hairs are developed as multicellular projections of the skin, giving a characteristic bristly appearance and rough feel in the case of the green flesh ‘Hayward’ or a silky, smooth appearance in the yellow flesh ‘Hort16A’ cultivar. Tough skin relative to soft flesh is another important character imparted by development of primary cell wall thickenings in the hypodermal collenchyma.

11.2.3 - Seed development and fruit growth

Fig 11.06.png

Figure 11.6. Fruit size in Braeburn apple depends closely on the number of viable seeds per fruit (up to a normal maximum of 10 per fruit), emphasising the strong influence that seed development has on fruit growth. (Figure based on data from E.D. Broome)

Fertilisation is generally crucial for fruit set and pericarp development (Figure 11.1). As fertilised ovules develop into seeds, this influence on pericarp growth continues where production of hormones by the endosperm and developing embryo promotes pericarp growth. Indeed, there is usually a positive correlation between the number of seeds in the fruit and final fruit size (de Jong et al. 2009). The importance of seeds as sources of hormones for initiation and stimulation of fruit growth is implied by fruit response to exogenous hormones in parthenocarpic systems (development of fruit without seeds).

Applying auxin and gibberellins to unfertilised embryos is one way of achieving parthenocarpy; another is to use auxin transport inhibitors such as chloroflurenol to prevent loss of auxin from embryos so that a threshold level for pericarp response is exceeded. Studies of parthenocarpy in tomato and cucumber indicate that high auxin levels enhance embryo cell division, and this cell division phase seems to be more critical than subsequent cell expansion in determining final fruit size.

Such results imply a cooperative mode of action where gibberellins combine with auxins to initiate cell division. Seed cytokinins and cell division are similarly related because tomato seeds accumulate cytokinins that subsequently influence cell division in surrounding pericarp tissue (Gillaspy et al. 1993).

Such interdependence between seed development and fruit growth shows up in final fruit size. Parthenocarpic fruit have reduced auxin content and are generally smaller than wild-type fruit. In apple fruit, seed numbers frequently correlate with fruit growth (Figure 11.6) or with shape and size of fruit. Inadequate pollination of kiwifruit (Figure 11.1) results in distortion, and a curvilinear relationship emerges between seed number and fruit weight. A similar response is obtained when young seeds are surgically removed from immature strawberry fruit, causing a corresponding distortion in flesh development.

Despite ample evidence that natural control of fruit shape is primarily exerted by plant hormones originating from seeds and stimulating growth to varying degrees, this is not true for all fruit. In banana, fertile seeds actually suppress development of the fleshy pulp. In this anomalous case, fertilisation failure allows an ovary to grow.

In marrow, tomato and kiwifruit, ovary shape dictates spatial distribution of seeds. They in turn influence pericarp growth, so that fruit size and shape then become a function of initial ovary shape plus subsequent fertilisation and seed development.

11.3 - Resources for fruit growth

As fruit grow, proportions of cell wall, carbohydrate, organic acid, lipid, phospholipid and volatile (aroma) compounds change dramatically; and within each of those groups there are changes in the proportion of individual group members. Of these, by far the most important in practical terms is carbohydrate economy. Two sets of issues are at stake: (1) rate of growth, attainment of maturity and final fruit size, and (2) aroma, flavour and texture in ripe fruit. Both carry commercial implications.

Enlarging fruit require carbohydrate to sustain cell division, enlargement and tissue specialisation. Only in later stages are carbohydrates typically retained as either starch or soluble sugars. Soluble carbohydrate is mainly imported as photoassimilate, with only a minor contribution from local CO2 fixation, and reassimilation of respiratory CO2.

During peak fruit expansion, usually early summer, there is an intense flow of photoassimilate from mature leaves (sources) into rapidly enlarging fruit (sinks). Sugars generated by photosynthesis, along with amino acids and phosphate within the plant’s vascular network, move via the phloem into enlarging fruit.

11.3.1 - Photoassimilate distribution

Sources of photoassimilate can be identified by providing individual leaves with 14CO2 and following the pattern of labelled material into neighbouring organs (Figure 11.7). Leaves typically begin to show a net export of photoassimilate at about 50–60% of full size. In kiwifruit, leaves 49% expanded failed to export the radiolabelled products of 14CO2 photosynthesis, whereas those 64% expanded transported labelled photoassimilate into younger leaves.

Fig 11.07.jpg

Figure 11.7 Photoassimilate moves from mature leaves of peach (a) and apricot (b) into the pericarp of maturing fruit nearby. 14CO2 was administered for about 1 h to source leaves (boxed area top left side in (a) and (b)), and movement of 14C-labelled photoassimilates over the subsequent 24 h was traced by autoradiography of harvested material (right side a and b). Intense labelling of source leaves indicates a high level of residual activity, but strong incorporation of 14C-labelled photoassimilates into the pericarp of adjacent fruit is also evident. Endocarp tissues had hardened and failed to import current photoassimilate, although seeds developing inside the endocarp did become labelled. (Based on Kriedemann (1968) Aust. J. Agric. Res. 19, 775-780)

Distribution patterns of 14C-labelled products relate to developmental morphology of fruiting shoots. Typically, source leaves are nearby on the same lateral branch, both above and below the fruit. In apple, fruiting spurs may develop primary leaves (emerging soon after budburst), then spur leaves (in a rosette at the base of the flower), then bourse leaves (growing on spur bourse shoots). Each in turn provides assimilate for the next phase of leaf growth (primary → spur → bourse); then as leaf expansion ceases, all provide assimilate to the developing fruit. Leaves on adjacent extension shoots can provide some photoassimilate to fruit, but if indeterminate growth continues the furthermost leaves become progressively less important as suppliers, and more significant as competitors. If the normal suppliers are removed, carbohydrate can come from longer distances, sometimes from leaves more than a metre away.

The relative strength of source and sink is a major factor for distribution patterns, but transport options are dictated by vascular connections. During plant growth, development occurs in an orderly and patterned manner, creating separate files of leaves. This pattern (phyllotaxis) is accompanied by a matching pattern of vascular connections. Photoassimilate tends to move along a pathway of least resistance, following these direct vascular connections where they exist, hence distribution patterns generally follow phyllotaxis.

This importance of phyllotaxis in carbohydrate allocation to the fruit is well shown in kiwifruit, where specific leaf–fruit connections exist. Patterns of assimilate distribution from leaf to fruit have been studied by taking a number of matched lateral fruiting branches of kiwifruit vines, then supplying 14CO2 to one leaf on each, at various nodal positions along the stem, from node 1 (base) to node 10 (tip). Each lateral also had one fruit each on nodes 1 and 2, while the remaining nodes had leaves only. Distribution of 14C-labelled photosynthate was allowed to proceed for 6 d, and the total radioactivity in each leaf and fruit on the lateral was then measured. Specifically, node 1 fruit received assimilate from their own subtending leaf (node 1 leaf) and from leaves on nodes 6 and 9. Node 2 fruit was supplied by its subtending leaf and leaves on nodes 7 and 10. Assimilate from remaining leaves was distributed generally within the main body of the plant. However, if the apex of the lateral was removed to stop extension growth, fruit then drew assimilate from all leaves. By implication, a drastic change in source–sink relationships can override restriction on carbon transport imposed by vascular patterns in intact plants.

11.3.2 - Composition of photoassimilates

Radiolabelling of photoassimilates has also been used to identify which compounds are transported into storage organs. Analyses of phloem tissues and phloem sap show that in most plants carbohydrate enters fruits primarily as sucrose. However, other soluble carbohydrates can predominate in some plants of commercial importance (Table 11.1).

In the woody Rosaceae (apple, pear, stonefruit), the sugar alcohol sorbitol is the major photosynthetic product at 60–85% of transported carbon, the remainder being mainly sucrose. Regardless of transport form, photoassimilate arriving in fruits is rapidly converted to the storage products characteristic of the fruit in question (principally starch, glucose, fructose and sucrose). Thus the identity of labelled sugars in fruit often differs markedly from the form transported. For example, sorbitol concentration is high during early development of apple fruit and more or less reflects the composition of photoassimilate in transit. By maturity, sorbitol content will typically decline to below 5% of the total soluble carbohydrate.

If sorbitol reaching fruit is not fully metabolised, apoplastic accumulation results and pericarp tissues become glassy in a disorder called ‘watercore’ (see below; Figure 11.23). This is a common problem with some apple cultivars such as Fuji. Sugar transport and accumulation can thus have economic importance — both in terms of desired taste characteristics and postharvest fruit quality.

In kiwifruit, the polyol myo-inositol may comprise up to 35% of soluble carbohydrate in developing fruit, and up to 20% in leaves. As yet, we do not know whether inositol, like sorbitol, is transported in the phloem, or whether there may be physiological disorders caused by inadequate metabolism of sorbitol within fruit. Such findings challenge our common perception of sucrose as the universal transport carbohydrate in economic crops, and suggest that we still have a lot to learn about the control of carbohydrate metabolism.

11.3.3 - Fruit composition and sensory attributes

Carbon transport and subsequent metabolism in developing fruit cannot be viewed in isolation, particularly when aspects of fruit quality, such as taste and flavour, are directly dependent on such processes. In particular, sugar–acid balance and contents are primary determinants of the taste attributes of fruit, and so are of major significance for consumers. Too much acid and the fruit is tart and unpalatable; too little and the fruit is insipid and bland. In horticultural terms, acid levels are often expressed as titratable acidity (TA), and this is used as one indicator of taste. Another indicator used is the refractive index of the expressed sap (recorded as °Brix). This is a measure of the soluble solids concentration (SSC %) of expressed juice and represents the sum of organic acid, salts and sugar contents. Several organic acids may be present, but certain ones are characteristic of particular species or cultivars. For example, malic acid predominates in pipfruit (pomefruit), citric acid is dominant in citrus, while tartaric acid is dominant in grape. In kiwifruit, malic, citric and quinic acids are the major ones, and in total may exceed 1.5% of the fresh weight.

Acids are not transported into fruit via phloem connections, but are synthesised in situ. Part of the acid component comes from metabolism of the sugar imported through the phloem, but part can be synthesised by local fixation. In citrus, dark fixation of CO2 by mature fruit makes a meagre contribution to acid balance, but inter-conversion of imported carbon is of more consequence. In that case, citrate synthase and subsequent enzymes in the citric acid cycle appear to determine whether imported carbon (as sucrose) is transformed into other sugars or is metabolised further to organic acids.

Starch–sugar balance is a major factor in consumer perceptions of fruit quality. In many fruit, including apple, banana and kiwifruit, starch accumulates throughout development, being laid down as granules in plastids. In kiwifruit, starch may reach 50% of the total dry matter towards the end of fruit growth (at about 15 weeks after pollination). As fruit approach maturity (17–20 weeks after pollination), there is a rapid onset of starch hydrolysis. Starch content at the onset of this conversion is not enough to account for all the sugar present in ripe fruit, and this implies that maturing fruit continue importing sugar up to harvest. Continuing import of 14C-labelled photoassimilate into maturing peach and apricot fruit confirms that pattern (Figure 11.7).

The dynamic between starch breakdown and soluble sugar increase can be a critical index of fruit maturity. ‘Hayward’ kiwifruit, for example, are judged to be mature enough to be harvested and to ripen properly if their soluble solids levels reach a specific target value of 6.2%. Starch pattern tests are used as maturity indices for some apple cultivars. For kiwifruit, the starch content of fruit at harvest may vary according to season, growing system, and cultivar. Starch content is strongly linked with sugar content of ripe fruit and hence with consumer perceptions of fruit taste. Starch content of fruit at harvest (commonly estimated from fruit dry matter content) is used commercially as a proxy for potential fruit taste.

As an additional factor in their dietary appeal, fruit are rich sources of vitamins, particularly vitamin C (L-ascorbic acid). Moreover, vitamin C can be a major metabolite (greater than 2 g kg–1 fresh weight) in fruit such as acerola, rosehip, quandong, kiwifruit, citrus, blackcurrant and guava, and has strong anti-oxidant properties. This may account for a notable absence of browning in kiwifruit and citrus when sliced (in conjunction with relatively low levels of polyphenols and polyphenol oxidase in those tissues). Vitamin C levels increase in the fruit during early growth, and tend to be stable through to maturity.

A number of other important vitamins have fruit or seeds as their major sources in the human diet. The B group vitamins such as B1, B2, pantothenic acid and biotin are present in both fruit and seeds, while B3 and B6 are particularly abundant in seeds. The vitamin A precursor β-carotene is found in useful quantities in some fruit, for example peach, apricot, melon and cherry.

Phenolics such as anthocyanins and tannins are also important in fruit and are responsible for much of the visual appeal of intact fruit (e.g. tamarillo), exposed flesh (e.g. cherry) or extracted juice (e.g. guava). They also contribute to flavour characteristics, adding a slight and pleasing astringency (as with the dessert apple) or a more aggressive one (as with cider apple and green banana).

Tannins in persimmon fruit are a special feature of that fruit and provide an interesting example of the potential dominance of a single quality characteristic in determining how a given fruit is used. The first cultivars of persimmon originating in China were markedly astringent, having high soluble tannin levels that made the fruit inedible until the tannins became condensed during the softening stages of ripening and early senescence. These original cultivars were therefore not eaten until the fruit flesh had become a glutinous paste. Later selection in Japan produced non-astringent cultivars such as ‘Fuyu’ that lose their astringency during the later stages of maturation, so that they can be eaten in a firm crisp state more typical of a fruit like apple. In persimmon, water-soluble tannins are compartmented in specific tannin cells of the mesocarp tissue. Tannin accumulation ceases with cell growth, and in non-astringent cultivars astringency declines both through soluble tannin dilution and through polymerisation, where soluble tannins are condensed into an insoluble form.

11.3.4 - Mineral nutrients

Fig 11.08.png

Figure 11.8. In kiwifruit, as in most fruit, accumulation of calcium is confined to early stages of development that coincide with cell division. By contrast, phosphorus and potassium move into fruit over the whole growing season and are able to enter via either the xylem or phloem. Magnesium import is meagre but progressive. Note the expanded scale for potassium. Fruit content of nutrient ions at maturity would be as follows: phosphorus 1600, calcium 600, magnesium 400 and potassium 10 000 μmol per fruit. (Based on Ferguson (1980) N. Z. J. Agric. Res. 23, 349-353)

Just as fruit require an inward flow of carbohydrate and water to provide for seed growth and pericarp expansion, so mineral nutrients are also supplied. As a rule, concentrations of the major mineral nutrients in fruit are lower than in other organs such as leaves, and the patterns of phosphorus, potassium, calcium, magnesium and nitrogen accumulation usually differ.

Mineral nutrients move into the fruit most rapidly during the early stages of development (Figure 11.8) at a time when xylem water flow dominates. As fruit approach maturity, surface to volume ratio declines, the skin becomes less permeable to water loss, and large amounts of photoassimilate are imported via phloem connections. As a result, a significant part of the water reaching fruit now enters through the phloem and is accompanied by photoassimilate. Mobile ions such as K+ and HPO42– are loaded into the leaf veins along with the photoassimilate, travel in the phloem and so reach fruit over the whole growing season. In contrast, less mobile nutrients such as Ca2+ fail to reach fruit during later stages, so that Ca2+ concentration remains steady or even declines slightly (Figure 11.8).

Nutrient deficiencies in fruit are relatively uncommon, except for those associated with calcium. Calcium deficiencies are expressed in the form of blossom-end rot in tomato, and bitter pit plus lenticel blotch in apple fruit. These apple disorders tend to be expressed during postharvest storage, but symptom expression is somehow related to the previous ripening environment. These disorders show up as a pitting of flesh and skin, reducing fruit value or even rendering those commodities unmarketable. Such commercial penalties have resulted in development of preharvest sprays and postharvest dips of calcium salts that diminish bitter-pit incidence in harvested fruit. Where there is little or no calcium recycling via phloem, calcium needs to be applied directly to fruit to have a beneficial effect.

11.4 - Carbon accumulation

Fig 11.09.png

Figure 11.9. Carbohydrate economy in developing fruit is derived by import and recycling of photoassimilates between different metabolic compartments. Sucrose or less commonly other forms of translocated carbon (Table 11.1) arrive via phloem conduits and are loaded into cytoplasmic compartments. As shown schematically, carbohydrate can then be partitioned to vacuolar storage or converted to other sugars and, in the form of hexose phosphate, transferred to plastids where it is used to synthesise starch. Each step is reversible, and as happens during ripening, starch in plastids is transformed back to sugars that subsequently accumulate in vacuoles as indicated. Other specialised organelles (oleosomes) store lipids while mitochondria draw upon imported and locally fixed carbon for ATP generation. (Original diagram courtesy R.L. Bieleski)

During development, photoassimilate is stored in fruit (and other sink organs such as root vegetables, seeds and flowers) in either a soluble or insoluble form (Figure 11.9). Fruit that store carbon in a soluble form (e.g. berry fruit, peach, persimmon, melon, grape, citrus) need to remain on the plant until nearly ripe if they are to survive postharvest storage and meet customer expectations. In most cases the major and rapid increase in soluble sugar content does not occur until late in development, signalling the beginning of ripening. Because the sugar source is the parent plant, harvesting such fruit too early reduces their final sugar content to unacceptable levels. In contrast, there are other fruit that store their carbon in insoluble forms, particularly starch. This allows greater efficiency in accumulating carbon, as the storage product is more compact, osmotically inactive and better segregated from metabolic processes. Examples are avocado, which stores carbon as both starch and lipid, and kiwifruit, apple, pear, mango, papaya and banana, all of which store carbon as starch.

In fruit that store carbon as sugars and organic acids during development, colour changes followed by the initiation of softening signal that fruit are becoming mature and ready to harvest. The challenge facing postharvest physiologists is to assess when such fruit are still sufficiently firm to allow easy handling and storage, but have enough sugar for a true ripe flavour to develop. A developing crop is typically monitored with a simple refractometer test (soluble solids concentration based on refractive index of expressed juice). In grape, a rapid rise in sugar content (beginning at ‘veraison’) may need to reach SSC values of around 20% (with, say, 17% sugar and 2% acid as the main soluble components) before a successful harvest can be assured.

There is more to good flavour than high sugar content, with sugar to acid ratio being particularly important, so that a combination of SSC to acid ratio with a minimum SSC level may be required. For example, New Zealand mandarins may not be exported to Japan if the SSC to acid ratio is below 10 (when the proportion of acid is too high). In other crops such as melon, the acid component is unimportant, and sugar content primarily dictates fruit quality.

In fruit that store carbon as starch, time of picking is less dependent on sugar content, since a doubling or more of sugar concentration by starch hydrolysis can still take place after the fruit are picked. Once starch utilisation has started, fruit can be picked without much detriment to final eating quality. SSC measurements alone are then insufficient, and measurements of total solids, dry matter, oil content and starch concentration are used as well. For example, in kiwifruit sequential measurements of SSC are combined with dry matter measurements; in apple and pear, the pattern of starch distribution within the fruit is recorded along with SSC and ethylene measurements; in mango, total solids (and fruit shape, flesh colour and firmness) are recorded; in papaya, colour changes and sequential SSC measurements are recorded; in avocado, dry matter, sometimes in combination with oil content, is used. In banana, shape or ‘fullness’ of fruit is an important criterion rather than starch level because bananas can be harvested over a remarkably wide range of maturities and still ripen satisfactorily.

Thus, when fruit store carbon in insoluble forms, they can often be harvested while still hard, lending greater flexibility to postharvest handling and ensuring a longer storage life.

11.4.1 - Sugar storage

Fig 11.10.png

Figure 11.10. Grape undergoes an abrupt change in physiology midway through development. For about 8 weeks after flowering, berry volume increases steadily but fruit are hard (low deformability) and sugar content low. At 'veraison' invertase activity rises abruptly and reducing sugar content increases rapidly, reaching about 20% of fresh weight when ripe. Berries attain full size by 10–12 weeks, and approach an asymptote in sugar content 2–3 weeks later. (Based on Davies and Robinson (1996) Plant Physiol. 111, 275-283)

In sugar-storing fruit a major shift in metabolism generally takes place when fruit expansion is almost complete, heralding a rapid increase in sugar content. Unloading of sugars from the phloem usually occurs by a symplastic route, but in some species is interrupted by an apoplastic step. Control points for sugar entry and accumulation by fruit include:

  1. Rate of sugar production by leaves and delivery to transport pathways;
  2. Reallocation of sugar from supporting vegetative growth towards fruit growth;
  3. Enhanced unloading of sugar from transport streams into fruit;
  4. Enhanced transfer of sugar across plasma membranes into cells or through plasmodesmatal connections between cells;
  5. Onward metabolism of sugar in the cytoplasm, or transfer to storage in vacuoles;
  6. Increased respiratory utilisation of sugar to provide energy for metabolic processes.

As with any biological system, multiple controls operate concurrently to drive a given pattern of maturation. Such events lead us to more robust indicators of ripeness, and improved ways of manipulating maturation to yield higher sugar content and better handling properties.

In tomato, there are different genotypes that accumulate either hexoses or sucrose. Most cultivars are hexose accumulators, in which acid invertase is active during growth and ripening. In transgenic tomatoes in which acid invertase activity was suppressed by expression of an antisense invertase transgene, sucrose accumulation occurred in a normally hexose-accumulating cultivar (Klann et al. 1996). Conventional breeding studies using crosses between sucrose-accumulating and hexose-accumulating types of tomato showed that an acid invertase gene is not transcribed during ripening of the sucrose accumulators, and that sucrose accumulators therefore lack acid invertase (Harada et al. 1995).

In melon, where sucrose is the main sugar to increase, there is a corresponding decrease in acid invertase and an increase in sucrose phosphate synthase (SPS) activity (this synthesises sucrose from hexose phosphate and adenylated precursors). A complex metabolic transition to allow sucrose accumulation occurs at the end of fruit growth and onset of ripening, of which the loss of soluble acid invertase activity is only one component (Dai et al. 2011).

However, in grape berries where hexoses begin to accumulate at veraison and reach very high levels (Figure 11.10), SPS, sucrose synthase and hexokinase activities all increase, but acid invertase mRNA abundance and activity both peak just prior to or at veraison and then decline. This suggests that in grape factors other than invertase activity regulate hexose accumulation. Two sucrose transporters were up-regulated at veraison, and it is possible that these regulate ripening-associated sugar accumulation from the apoplast into the parenchyma cells (Davies et al. 1999). Consistent with this suggestion, studies using tracers have shown that at veraison phloem unloading switches from a symplastic to an apoplastic route (Zhang et al. 2006).

11.4.2 - Starch storage

Fruit that store starch switch from starch synthesis during development to starch hydrolysis during ripening. Starch–sugar interconversion involves a larger number of enzymes and a greater complexity of control than is required for sugar storage alone. No transgenic plants have yet been reported in which a starch-storing fruit or lipid-storing fruit has been altered to store only sugars, or vice versa, but results with potato suggest it could be possible. In potato, control of both insoluble carbon storage and sugar to starch conversion has been attained using sense and antisense constructs to alter the expression of specific carbohydrate enzymes (Stitt and Sonnewald 1995).

Fig 11.11.png

Figure 11.11. Kiwifruit show some dramatic changes in physiological status during development. For 24 weeks after flowering, fruit are hard and sugar content is low. Meanwhile starch content (not shown) rises to about 12% of fresh mass. Ripening in fruit harvested around 24 weeks can be triggered by exposure to an external source of ethylene even though the fruit are not yet producing ethylene by themselves, and are incapable of an autocatalytic response. Within a week of such treatment starch becomes hydrolysed and sugar concentration rises from 7% to 15%. Fruit then soften rapidly and several cell wall-modifying enzymes increase in activity. Fruit do eventually show a peak in ethylene production, but not until ripening is well under way. (Figure based on data from J. Win)

Kiwifruit provide an example of biochemical changes in a starch-storing fruit (Figure 11.11). They are normally harvested with starch contents ranging from 4 to 10% (dry matter concentrations between 14 and 20%; SSC between 6.2 and 12%). At harvest, the main sugars are sucrose, glucose and fructose. As fruit ripen after harvest, sucrose content increases only slightly, while fructose and glucose increase in parallel to become the predominant sugars in ripe fruit. Labelling with radioactive precursors indicates that all three sugars are actively synthesised during ripening, and there are increases in the activities of a number of sucrose-metabolising enzymes, particularly SPS and invertase. The starch-degrading enzyme α-amylase increases two-fold.

The organic acid content of kiwifruit also changes after harvest. At room temperature malate decreases and citrate increases while quinate remains unchanged. However, during cool storage (0–4°C), malate increases. Such changes are enough to alter the flavour balance in the ripe fruit. Where fruit store carbon in an insoluble form, there are several potential control points for sugar metabolism (Figure 11.9) including:

  1. Hydrolysis of starch to glucose;
  2. Transfer of sugar precursors from starch-containing plastids (amyloplasts);
  3. Synthesis or degradation of sucrose;
  4. Synthesis of hexoses;
  5. Transfer of sugar to vacuoles or export from cells;
  6. Carbon flow between sucrose and malate or citrate;
  7. Production of CO2 from sugar or acid precursors;
  8. Transfer of malate or citrate across the vacuolar or mitochondrial membranes.

Interference in any of these processes should affect ripening and/or flavour development after harvest. Such interference may be physical (as in storage temperature), chemical (as in atmosphere composition) or genetic (by modifying activities of specific proteins which control flow between particular metabolites).

11.5 - Fruit ripening

Several processes take place as fruit ripen and become edible, and then senesce. These changes may take place while fruit are still attached to the plant or after harvest. Tomato, banana and avocado are examples of fruit that at harvest can be at a mature green but unripe stage and are inedible until subsequent ripening processes have occurred. In contrast, strawberry, orange, boysenberry and grape are examples of fruit that need to stay on the tree or vine until ready to eat in order to have their desired eating characteristics.

Several major changes take place as fruits ripen, and taken collectively they characterise ripening processes. They include:

  1. Changes in carbohydrate composition, resulting in sugar accumulation and increased sweetness;
  2. Change in colour;
  3. Flesh softening and textural change;
  4. Formation of aroma volatiles;
  5. Accumulation of organic acids with associated development of flavour.

These changes make the ripe fruit attractive to animals, which in eating the fruit will disperse the seeds and enlarge the range and improve the survival chances of the next generation of the plant. Lignified pits and seeds encased in a fibrous core might be discarded after eating the flesh, whereas smaller seeds might pass through the animal’s digestive system and be deposited with the animal’s excrement.

11.5.1 - Ethylene and the regulation of ripening

Picture11.12.png

Figure 11.12. Ethylene evolution and respiration (measured as CO2 production) undergo a rapid increase then decline as fruit ripen and soften. In tomato (A), the peak of ethylene production and respiration occur relatively early in ripening, shortly after the first visible sign of red coloration on the outside of the fruit (known as the breaker stage). Abbreviations of ripening stages: IG, immature green; MG, mature green; BR, breaker; PK, pink; LR, light red; RR, red ripe; OR, over ripe. In kiwifruit (B) that were harvested and stored at 20°C, the peak of ethylene evolution occurs very late, when substantial softening has already occurred and the fruit are almost at the eating ripe stage. The earlier peak in respiration may have been caused by harvest. The two studies use different units so absolute values cannot be compared between the species. (Data taken from Maclachlan and Brady (1994) Plant Physiol. 105, 965-974; Rothan and Nicolas (1989) HortScience 24, 340-342; Taglienti et al. (2009) Food Chem. 114, 1583-1589)

Ethylene production is closely associated with fruit ripening in many species, and is the plant hormone that regulates and coordinates the different aspects of the ripening process; colour development, aroma production and texture are all under the control of ethylene (Klee and Giovannoni 2011). Typically, fruit will generate barely detectable amounts of ethylene until ripening when there is a burst of production (Figure 11.12). Historically fruit have been categorised into two classes of behaviour with respect to ethylene physiology and respiratory pattern (Table 11.2). In the first type, as fruit progress towards edibility the respiratory rate increases followed by a decline as fruit senesce. This is known as the climacteric rise. Pear, banana and avocado (Figure 11.13) show an especially strong respiratory rise. Ethylene production also increases sharply to a maximum at this time, and then declines before fruit rots intervene and lead to a renewed output. The major rise in ethylene production may take place before, just after or close to the respiratory peak. Such fruit are classed as ‘climacteric’, with apple, avocado, banana, fig, mango, papaya, passionfruit, pear and tomato being classic examples. As with the respiratory rise, the levels of ethylene produced vary widely between species. Climacteric fruit ripen after harvest, and need not remain on the tree or vine. A second category of fruit, exemplified by blueberry, cherry, citrus, cucumber, grape, pineapple and strawberry (Table 11.2) do not show such sharp changes. Respiration rate either remains almost unchanged or shows a steady decline until senescence intervenes, with little or no increase in ethylene production; these are called ‘non-climacteric’ fruit, and fruit ripen only if they remain attached to the parent plant.

While all fruit were once classified under this either/or nomenclature, more recent work has shown the distinction to be less clear-cut (Paul et al. 2012). In some species, notably pepper and melon, different cultivars or genotypes exhibit characteristics typical of climacteric or non-climacteric behaviour. It has been shown that in climacteric fruit some ripening changes occur independently of ethylene, and that some non-climacteric fruit have ethylene-requiring changes during ripening. With the development of more sensitive ethylene measuring devices, many non-climacteric fruit appear to show an increase in ethylene evolution at previously undetectable levels upon ripening. The existence of ethylene-dependent and ethylene-independent pathways in both climacteric and non-climacteric species (Barry and Giovannoni 2007) suggests that regulation by ethylene is ubiquitous, and that climacteric and non-climacteric behaviour are more accurately envisaged as the extremes of a continuum of responses with the acquisition of sensitivity to ethylene playing an important role (Johnston et al. 2009). This sensitivity model is supported by the observation that unripe climacteric and non-climacteric fruit both increase their respiration rate when exposed to exogenous ethylene (Paul et al. 2012).

With other fruit, such as kiwifruit, a hybrid ripening pattern is seen, with most of the ripening changes occurring in the absence of any detectable rise in ethylene and CO2 production; a climacteric response occurs only towards the end of ripening. Exposure to exogenous ethylene promotes ripening of kiwifruit, but if exposure to ethylene is insufficient, or fruit are too immature, then removal of ethylene results in non-climacteric behaviour. Ethylene as a ripening trigger is used commercially with banana, avocado and early-season kiwifruit to ensure that fruit are at optimum ripeness when eaten. Conversely, if kiwifruit are to be stored for a long time, then ambient ethylene must be removed (usually by scrubbing this gas from coolstore environments).

Fig 11.13.png

Figure 11.13. Respiratory output of CO2 can undergo dramatic change as fruits ripen. Early research on apple and pear led to a classic model of a postharvest climacteric rise associated with ripening and linked in time with ethylene production. Studies with tropical fruits such as avocado and banana then revealed characteristic 'waveforms' of even wider amplitude. (Based on Biale (1950) Annu. Rev. Plant Physiol. 1, 183-206)

Ethylene metabolism has been a main focus for biochemical research into fruit ripening (see Feature essay 11.1). The pathway of biosynthesis is as follows (Figure 11.14): methionine (a sulphur-containing amino acid also important in protein synthesis) is converted to SAM (S-adenosylmethionine) through the action of SAM synthase; SAM is converted to ACC (1-aminocyclopropane-1-carboxylic acid) through the action of ACC synthase (ACS); ACC is converted to ethylene through the action of ACC oxidase (ACO).

11.5.6 drawing_0.png

Figure 11.14. The pathway of ethylene biosynthesis in plants. The two genes controlling the committed steps to ethylene biosynthesis, ACC synthase (ACS) and ACC oxidase (ACO) are highly transcriptionally regulated. In one series of experiments, the biochemical precursor of ethylene, ACC, was depleted by expression of a bacterial ACC deaminase transgene, but this reaction does not normally occur in plants. 

In fruit with a climacteric behaviour, ethylene biosynthesis occurs at very low and basal levels during fruit development prior to ripening. This ethylene production is auto-inhibitory, and has been termed System 1 ethylene. At the initiation of ripening there is a change in the regulation of ethylene biosynthesis, which become auto-stimulatory and involves the induction of specific ripening-related ACO and ACS genes different from those that are responsible for System 1 ethylene (Barry and Giovannoni 2007). Production of ethylene greatly increases due to the autocatalytic regulation, and is known as System 2 ethylene. At the point at which the fruit becomes competent to ripen, there is a transition from System 1 to System 2 ethylene that may be regulated by developmental genes such as RIN (Barry et al. 2000).

Transgenic studies in a number of fruit types have yielded much information about steps in the control of ripening. Tomato fruit with reduced levels of the ripening associated ACC oxidase or ACC synthase, or with depletion of ACC levels using a bacterial ACC deaminase, developed and grew normally but ripening was delayed or almost completely prevented, depending on whether the fruit were attached to the plant or detached (Barry and Giovannoni 2007). Gassing of the ethylene-suppressed fruit with exogenous ethylene caused ripening to resume. Work on melon and apple found that the effects of the suppression of ethylene biosynthesis depended on the species and the extent of suppression achieved. Colour development, fruit softening, the accumulation of sugars and organic acids, and the production of aroma volatiles could in some cases be separated. For example, in antisense ACO melon fruit, degreening of the rind, softening and the accumulation of organic acids were sensitive to different levels of ethylene, and flesh pigmentation was ethylene independent. Such experiments show that ethylene does not control all the processes of ripening as once believed, and that additional regulation by other hormones and developmentally controlled factors occurs (see Section 11.5.2). Ripening is a series of parallel processes involving both ethylene-independent and ethylene-dependent pathways, the latter requiring different sensitivities to ethylene to proceed. This leads to a model whereby ethylene acts as a modulator to coordinate ripening in a developmentally choreographed pattern (Johnston et al. 2009).

The other important factor in the regulation of fruit ripening is the way in which plants perceive ethylene and the signal transduction pathway that leads to the ethylene response (see Chapter 9). In summary, ethylene is perceived by receptors that are negative regulators of the signalling pathway. In the absence of ethylene the receptors actively supress ethylene responses, but when these receptors bind ethylene they undergo a conformational change, leading to removal of the suppression and this allows de-repression of the signalling pathway. The signal is transduced through a MAP kinase pathway that ultimately leads to the stabilisation of a class of EIN3 (ETHYLENE INSENSITIVE 3) transcription factors. The EIN3 name originated from the ethylene insensitive phenotype observed in Arabidopsis mutants. The stabilisation of EIN3 leads to an increase in the transcription of genes associated with each ripening trait.

Ethylene receptors are multi-gene families (six genes in tomato) encoding two types of closely related proteins, one subfamily with a histidine kinase domain and the other subfamily with a serine/threonine kinase function. In Arabidopsis the receptors appear to act redundantly since removal of any one by mutation does not cause complete insensitivity to ethylene. However, this is not the case in tomato, where suppression of either of two receptor genes caused an early-ripening phenotype (Kevany et al. 2007). The importance of receptors in tomato fruit ripening has also been shown by the semi-dominant mutant Never-ripe (Nr), the fruit of which are unable to ripen. This was found to be due to a mutation in the ETR3 receptor, making the fruit impaired in its ability to perceive ethylene. Antisense inhibition of this mutant gene restored normal ripening to the Nr mutant (Hackett et al. 2000).

In tomato the turnover of receptors (degradation of existing receptor proteins and the synthesis of new ones) controls the timing of ripening (Kevany et al. 2007). During ripening some ethylene receptors increase in transcription and it appears that receptor expression is used to restore the ability to respond to ethylene, implying that there is a corresponding loss of receptor protein. This suggests a model in which during climacteric fruit ripening there is an increase in receptor turnover, allowing the fruit the ability to rapidly turn off ripening if ethylene is removed from the system. This is observed in tomato, apple and kiwifruit suppressed in ACO expression, which require continuous exposure to exogenous ethylene for ripening. It is also the basis for the temporary inhibition of ripening obtained using 1-methylcyclopropene (1-MCP), a compound that binds irreversibly to the existing ethylene receptors and prevents the physiological action of ethylene (Sisler and Serek 1997) (see section 11.6.4).

11.5.2 - Developmental control of ripening

Ethylene is not the only regulator of fruit ripening. A cold treatment can trigger ripening in detached apple and kiwifruit, acting either independently of ethylene or by increasing sensitivity to existing very low levels of ethylene (Tacken et al. 2010; Mworia et al. 2012). Other hormones also appear to play important roles; particularly, declining levels of auxin and increasing levels of abscisic acid may control the onset of ripening in non-climacteric species such as grape and strawberry. Abscisic acid may also play a role in controlling the onset of ripening of climacteric species. Uncovering the interaction between auxin, abscisic acid and ethylene in ripening regulation is an emerging area of research (McAtee et al. 2013).

While most ripening-associated traits appear to be regulated by hormonal changes, there are also a number of genes that control the developmental switch to ripening (Klee and Giovannoni 2011). Some of these were identified in tomato by the study of ripening mutants that arose spontaneously during commercial tomato production. The ripening-inhibitor (rin), Colorless non-ripening (Cnr) and non-ripening (nor) mutants all have fruit that fail to ripen, though with different characteristics. Although these fruit do not produce elevated levels of ethylene and will not ripen in response to exogenous ethylene, they are not completely insensitive and some ethylene-responsive genes (but not the whole ripening process) can be induced by ethylene treatment. The products of these three genes are transcription factors and are thought to be key developmental genes that control ripening progression, apparently acting upstream of the ethylene production pathway.

RIN encodes a MADS-box gene that clusters in the SEPALLATA clade. CNR encodes a SQUAMOSA promoter binding protein. Both proteins are necessary for the induction of ripening-related increases in respiration and ethylene biosynthesis, although since they are important in the ripening of both climacteric and non-climacteric fruit they appear to be more global regulators of ripening with some functions that are ethylene independent. Transgenic tomato fruit that had been suppressed in the ethylene signalling pathway and treated with 1-MCP showed an ethylene-independent increase in the expression of ripening-related ACS genes and ethylene production (Yokotani et al. 2009). This is apparently controlled by developmental factors, and would be sufficient to induce the autocatalytic increase in ACS expression and ethylene production typical of tomato ripening.

11.5.3 - Texture and softening

Fig 11.14.jpg

Figure 11.15. Anatomical features such as cell size, wall thickness and the distribution of intercellular gas spaces greatly influence our perception of fruit texture and eating pleasure. Cross-sections of ripe apple flesh (top pair) and ripe kiwifruit flesh (bottom pair) at low (x120) and high (x310) magnification. The apple tissue (top left) shows cells having densely staining thin walls. Tissue from kiwifruit (bottom left) shows cells with thick, swollen and weakly staining walls. The two right-hand figures give views of individual cells, corresponding to the tissue views. (Photomicrographs courtesy I.C. Hallett, E.A. MacRae and T.F. Wegrzyn)

During fruit ripening, softening and textural changes (including the development of juiciness) are components of the suite of modifications that make ripe fruit attractive to animals that might disperse the seeds. The texture of ripe fruit differs drastically between species, with crisp, hard apple and deformably soft avocado representing the extremes. The characteristic textures of different fruit and their manner of softening can be linked both with anatomical features and with changes that occur to the cell wall during ripening (Figure 11.15). Some fruit that are picked while hard, such as kiwifruit and tomato, will subsequently soften markedly as a result of extensive modifications to the cell wall structure that include substantial swelling. Other fruit, such as apple or watermelon, remain crisp and soften only slightly. Their thin cell walls remain relatively unaltered. Both types of softening occur in the pear family: Asian pear (Nashi) shows a crisp apple-like texture, whereas many European pears soften to give ripe fruit with a melting texture. Interspecific crosses between the two types show that texture is heritable (Harker et al. 1997).

Many textural characteristics relate to the fate of fruit flesh when it is fractured and crushed in the mouth. Contributing factors include cell size, cell adhesion, turgor and packing, wall thickness, wall composition and the reaction of cells to shearing stress as they are chewed (Harker et al. 1997). For example, a ripe apple has large (0.1–0.3 mm diameter), turgid, thin-walled cells that are loosely packed (airspace c. 20% of fruit volume). When that flesh is chewed, cells fracture and release their sugary contents as free juice. In contrast, ripe kiwifruit has minimal airspace (c. 2% of fruit volume) and cell walls are thick and hydrophilic (Figure 11.15). Such cells tend to pull apart when the flesh is chewed, resulting in a paste moistened by liquid held in cell walls or released by damaged cells. Avocado also has cells with walls that are thick and soft and which tend to pull apart, but also has a high proportion of oil that gives the pulp an oily quality in the mouth.

Picture11.16.png

Figure 11.16. Schematic representation of postharvest ripening in kiwifruit, showing the timing of key physiological events. At harvest, fruit do not produce ethylene but are highly sensitive to exogenous ethylene. Softening is initiated (phase 1) and becomes rapid (phase 2). Relatively late in softening, compared with other fruit species, endogenous autocatalytic ethylene production begins, aroma volatiles are produced and fruit become soft enough to eat (phase 3). If fruit progress to the over-ripe stage (phase 4), they become unacceptably soft and exhibit ‘off-flavour’ notes. (Figure reproduced from Atkinson et al. (2011) J. Exp. Bot. 62, 3821-3835, with permission from the Society for Experimental Biology.)

Softening in kiwifruit occurs over a period of weeks, and can be divided into a number of phases (Figure 11.16). Modification of the cell wall plays an important part in determining fruit texture and ripening characteristics. The plant primary cell wall consists of a network of strong, rigid cellulose microfibrils held together by a complex matrix of polysaccharides consisting of two types: the hemicelluloses (composed mainly of neutral sugars) and the pectins (rich in galacturonic acid), together with smaller amounts of structural proteins. The outer part of each cell wall, which abuts and provides attachment to neighbouring cells, is composed mainly of pectins and is called the middle lamella. Fruit softening involves alterations to various pectin and hemicellulose polysaccharide wall components, and changes to the bonding between some polymers. Wall modification has been the subject of much research worldwide, mostly using tomato as a model, but also using other fruit in the search for common themes (Brummell 2006). Chemical analyses of cell wall components in a range of species, notably kiwifruit and tomato, show some consistent changes during the early stages of ripening. In kiwifruit, these include:

  1. Solubilisation of pectin (but without further degradation);
  2. The cell wall swells and shows an increased affinity for water (become more hydrophilic);
  3. Loss of galactose from pectins (especially of a galactan that is tightly associated with the cellulose microfibrils);
  4. De-esterification of some pectins.

These changes continue once kiwifruit have begun rapidly softening to ripeness (phase 2 in Figure 11.16). Phase 2 softening is associated with a further increase in pectin solubilisation, loss of galactan and arabinan side chains from pectic polymers, and more cell wall swelling. As softening progresses into phase 3 two more important changes begin, both of which appear to be regulated by ethylene:

  1. Depolymerisation (a reduction in size) of the hemicellulosic polysaccharide xyloglucan, which is associated with a reduction in cell wall strength;
  2. Depolymerisation of pectin, which is associated with dissolution of the middle lamella and reduced intercellular adhesion.

These six changes have been observed in a wide range of fruit types, although the extent and relative timing varies somewhat between species. Such observations indicate that pectin solubilisation and cell wall swelling are important events in the control of softening in kiwifruit and probably most other species with a melting texture. Cell wall modification is much less extensive in fruit with a crisp, fracturable texture such as apple and capsicum pepper. As fruit become fully ripe, dissolution of the middle lamella means that it eventually virtually disappears as a visible structure under the microscope. Dissolution of the middle lamella results in a great reduction in intercellular adhesion, and cells now have fewer regions of attachment to each other and become more rounded in appearance as they pull away from neighbouring cells. The primary walls are also weakened by the various changes that have occurred, and cells easily rupture when bitten or chewed, releasing the cell contents as juice.

Fig 11.22.jpg

Figure 11.17. Genetic manipulation can have a profound effect on ripening. Normal tomatoes (right) and Flavr SavrTM tomatoes (left) were picked when both were nearly ripe (light red) and held at room temperature for four weeks. By this time normal fruit had softened and rotted but Flavr SavrTM fruit was still firm and edible. This genetically modified fruit was deficient in polygalacturonase and had a much better shelf life, as well as improved flavour and handling qualities. Scale bar = 2 cm. (Photograph courtesy Robert Lamberts)

Many of the cell wall-modifying enzymes produced during ripening are regulated by ethylene. Polygalacturonase (an enzyme that depolymerises pectins) increases de novo 10–50-fold in tomato fruit during ripening (Sitrit and Bennett 1998). Understandably, this enzyme was originally accorded a major role in the ripening process. However, studies with transgenic tomato fruit in which polygalacturonase was suppressed found only a small reduction in softening during ripening, although there was a very substantial increase in the storage life of the fruit (Figure 11.17). Because transgenic fruits retained firmness for longer, they were left on vines longer, resulting in more carbohydrate accumulation prior to harvest. Moreover, fruit could be harvested partially coloured rather than mature green, thereby allowing ripening processes to progress more naturally and yielding fruit with better flavour and appearance. To move from experimental results to public availability, the fruit had to go through a series of tests and be de-regulated. Following USDA approval, a transgenic cultivar producing fruit with >99% reduction in polygalacturonase activity was named Flavr SavrTM by Calgene, and was released for marketing in the USA under the brand identity of McGregor. Tomato paste with increased viscosity derived from similar transgenic fruit was successfully marketed in the UK for several years.

The effects of reduced polygalacturonase activity on firmness and shelf life were probably largely due to decreased degradation of the middle lamellae, and thus the maintenance of intercellular connections and fruit integrity.

Although this work was originally interpreted as suggesting a very minor role for polygalacturonase in fruit softening, the relatively small reduction in firmness observed may have been due to two factors. Firstly, tomato has atypically high levels of polygalacturonase enzyme (far more than in other species), and secondly silencing of the polygalacturonase gene was incomplete, meaning that in this species even 0.5% of wild-type activity was still substantial. Subsequently, silencing of polygalacturonase was found to partially but significantly reduce fruit softening in strawberry and apple, thus confirming that pectin depolymerisation is one part of the softening process (Quesada et al. 2009; Atkinson et al. 2012). What these studies have also clearly demonstrated is that softening is not controlled by a single cell wall-modifying enzyme. Rather, many different enzymes are involved, with enzymes such as polygalacturonase, pectate lyase, expansin, β-galactosidase and pectin methylesterase making specific contributions to the softening process (Brummell and Harpster 2001; Brummell 2006). It is the action of these many enzymes working together that brings about the wall swelling, reduced wall strength and weakened middle lamellae that result in the final softening and textural characteristics of the ripe fruit. Indeed, the actions of the various enzymes may be interdependent. For example, polygalacturonase requires the prior de-methylesterification of pectin by pectin methylesterase to make the substrate susceptible (Brummell and Harpster 2001), and the action of expansin to increase the accessibility of enzyme to substrate in the cell wall (Brummell et al. 1999).

In addition to cell wall disassembly, work in several species has shown that a decrease in cellular turgor accompanies fruit ripening and is an important component of softening (Shackel et al. 1991). This is caused partly by internal water movements resulting from the movement of solutes from symplast to apoplast, and partly to the loss of water from the fruit. In tomato, analysis of the non-softening DFD mutant attributed its enhanced postharvest firmness to very low water loss from the fruit and therefore to cellular turgor being maintained at higher levels than in wild-type (Saladié et al. 2007).

11.5.4 - Colour and flavour

Picture11.18.png

Figure 11.18. Colour diversity in ripe kiwifruit and apple is determined by the presence or absence of chlorophyll, carotenoid and anthocyanin compounds in different fruit tissues. (Photographs courtesy Plant & Food Research)

Colour

During ripening many fruit change colour. Their bright colour, which evolved to attract dispersal agents such as birds, browsing animals and primates, has now become a particularly important visible indicator of maturity and ripeness. Bananas, berryfruit and stonefruit provide good examples where colour is a prime indicator of ripeness. Novel colours are also used to market new varieties to consumers, e.g. in kiwifruit, green-fleshed Actinidia deliciosa ‘Hayward’ vs. yellow-fleshed A. chinensis ‘Hort16A’ (Figure 11.18).

By analogy with senescence in most green tissues such as leaves, colour change in fruit typically involves chlorophyll loss and an increase in production of yellow, orange, red or purple pigments. In green-fleshed ‘Hayward’ kiwifruit chlorophyll is retained in the flesh of ripe fruit, whilst in yellow-fleshed ‘Hort16A’ chlorophyll is degraded during ripening by catabolic enzymes in the chlorophyll degradation pathway. This suggests that in ‘Hayward’ fruit chloroplasts are not converted to chromoplasts as is typical for ripening fruit.

The gold, orange and red colours of many fruit such as tomato and citrus are formed by enzymes in the carotenoid biosynthetic pathway (Tanaka et al. 2008). Carotenoids are divided into two classes: the hydrocarbon carotenes, e.g. lycopene (red) and b-carotene (orange); or the oxygen-containing xanthophylls, e.g. lutein (yellow). Besides providing highly attractive pigmentation, carotenoids protect the plant’s photosynthetic apparatus from excessive light energy and are essential requirements for human and animal nutrition.

Other red and purple pigments of the type seen in grapes and boysenberries are anthocyanins, which are products of the phenylpropanoid pathway. Anthocyanin pigments are water-soluble, synthesised in the cytosol and localised in vacuoles. Their basic ring structure can be modified by hydroxylation, methylation or glycosylation and their specific colour is modified by pH, metal ions and co-pigments to produce the subtlety of colours seen in nature. Like carotenoids, anthocyanins have many human health benefits and are widely used as natural food colourants (Tanaka et al. 2008).

The accumulation of anthocyanins is regulated by transcription factors of two classes (R2R3 MYB and basic helix loop helix), regulatory proteins that co-ordinate gene expression of the whole phenylpropanoid pathway. In fruit, this regulation system has been well characterised in grape and apple. In white berry grapes, VvMYBA2 is inactivated by mutations in the coding region and VvMYBA1 has a retrotransposon in the promoter and is not transcribed (Kobayashi et al. 2004; Walker et al. 2007). In apple fruit, a mini-satellite repeat structure in the promoter region of the MYB10 gene up-regulated the expression of this regulatory gene, which increased the level of anthocyanin throughout the plant producing a fruit with striking red colour throughout the flesh (Espley et al. 2009).

Flavour and aroma

Flavour is the most important factor determining if consumers will repurchase a particular fruit. Therefore, all varieties are produced and stored to maintain the very best flavour and aroma properties. Two main factors determine a fruit’s characteristic flavour – the correct sugar/acid balance and the production of aroma volatile compounds. These volatile compounds can include a mixture of volatile acids, aldehydes, alcohols, esters, terpenoids and aromatics.

Human taste sensations and experiences play an important part in characterising volatile compounds in fruit and wine, so a vocabulary has been developed to describe their sensory nature. The terms used relate a particular flavour sensation to that of a widely available standard, and have led to terms like ‘woody, ‘grassy’, ‘floral’, ‘spicy’ and ‘citrus’ (Figure 11.19).

Picture11.19.png

Figure 11.19. A flavour wheel that is used to systematically categorise and define sensory characteristics of wine. (Courtesy F.R. Harker)

 

With advanced GC-MS techniques many ripe fruit can be shown to contain >100 volatile compounds that contribute to their flavour and aroma. However, the absolute concentration of a volatile compound itself does not determine how important it is to perceived flavour and aroma. Sometimes compounds found at very low levels, e.g. parts per billion, are required to give a fruit its characteristic aroma. Compounds are given odour activity values (compound concentration divided by the minimum concentration that can be detected by the human nose) to show their importance to aroma.

 

Sometimes, one or two key volatile compounds can be regarded as characteristic for fruit of a given species or cultivar and are used in synthetic mixtures to represent that commodity. Specific volatiles are especially important in wine grapes where an individual volatile can become the dominant characteristic used in marketing a specific wine type. Examples include the ‘grassy’ character of methoxypyrazine in Sauvignon Blanc, the ‘richness’ of b-damascenone in red wine, or the ‘foxy’ character of methyl anthranilate produced by Vitis labruscana. Other examples of important volatiles in fruit include: raspberry – raspberry ketone; ‘Hort16A’ kiwifruit – ethyl butanoate and 1,8-cineole; ‘Hayward’ kiwifruit – (E)-2-hexenal and hexanal; apple — 2-methyl butyl acetate and a-farnesene, and strawberry — furaneol.

Our understanding of how flavour compounds are synthesised has rapidly advanced in the last 20 years. Aldehydes, acids and esters are derived from fatty acids and branched chain amino acids. The first committed step in straight-chain ester production is performed by lipoxygenases that produce 13-hydroperoxide linoleic acid from linoleic acid. These compounds are converted by cytochrome p450 lyases to aldehydes such as hex-3-enal and hex-2-enal. Alcohol dehydrogenases (ADHs) can then transform aldehydes to the corresponding alcohols, which contribute ‘green’ aromas. Alcohol acceptor substrates are then esterified with coenzyme acid donors by alcohol acyl transferases (AATs) to form esters, which generally contribute ‘fruity’ and ‘sweet’ characteristics. In apple, the enzyme MpAAT1 can produce a range of esters in ripe fruit and is up-regulated by ethylene during ripening (Souleyre et al. 2005). Branched chain esters are produced from isoleucine by branch chain aminotransferases and then pyruvate decarboxylase to produce aldehydes. These aldehydes are then available for ADHs and AATs to form branched chain alcohols and esters, respectively.

Sesquiterpenes and monoterpenes also contribute to fruit flavour and aroma profiles, often by adding ‘floral’ or ‘spicy’ top notes. In apple, the most important ripe-fruit terpene is a-farnesene produced by the sesquiterpene synthase AFS1. ‘Hort16A’ kiwifruit produce 1,8-cineole and A. arguta (baby kiwifruit) produce a-terpinolene, which add spicy/minty notes to these fruit. Terpenoid compounds are produced by terpene synthase enzymes, using farnesyl diphosphate (FPP) and geranyl diphosphate (GPP) as substrates. FPP and GPP are produced in plants by the action of short chain prenyltransferases in two compartmentally separated pathways (Lichtenthaler et al. 1997). In the plastid, the MEP (2-C-methyl-D-erythritol 4-phosphate) pathway leads to the production of GPP, while in the cytoplasm the mevalonate pathway provides precursors for FPP formation. The primary terpenoid skeletons can subsequently be modified further, e.g. by oxidation, hydroxylation, glycosylation or methylation by a range of other enzymes to increase terpenoid diversity.

Feature Essay - 11.1 A century of ethylene research

Fig 1_5.jpg

Figure 1. Barry McGlasson, University of Western Sydney Hawkesbury, Richmond Campus, using a gas chromatograph (fitted with a flame ionisation detector) to analyse ethylene concentrations in samples of air exiting enclosed containers of harvested fruit.

Plants, fungi and bacteria produce a host of volatile compounds. Some attract or repel animals, some create powerful emotions in humans and some induce morphological and metabolic changes in adjacent plant tissues. Of all these emanations only ethylene is recognised as a natural gaseous plant hormone.

Ethylene has been used unintentionally to manipulate crops such as fig as far back as the third century BC. The sycamore fig originated in eastern central Africa, where it was naturally pollinated by a small wasp that makes its home inside the fruit. When the sycamore fig was taken into the eastern Mediterranean countries, including Egypt, pollinating wasps were left behind. Nevertheless, young fruit which were mechanically injured set parthenocarpically and ripened without seed! A 1633 herbal noted that ‘It bringeth forth fruit oftener if it be scraped with an iron knife, or other like instrument’. The fruit is ‘like in juice and taste to the wilde fig, but sweeter, and without any grains or seeds within’. We now know that wounding young fruit would have stimulated ethylene production and this gas induced those figs to grow and develop parthenocarpically. David Blanpied summed up this piece of history by recasting Amos 7:14 (OT), ‘I was no prophet, neither was I a prophet’s son; but I was an herdsman, a gatherer of sycamore fruit’, as ‘I was an herdsman and an activator of ACC synthase in sycamore figs’ (Blanpied 1985).

Blanpied’s quotation nicely sums up the history of ethylene as a plant hormone because it takes us from simple fruit behaviour to underlying biochemistry. Once the presence of ethylene in plant emanations was proved chemically, a lively debate followed as to whether a gas could really be defined as a hormone. There were two major developments that resolved this issue. First was the invention of gas chromatography which soon enabled measurement of ethylene at concentrations that were physiologically meaningful and in small gas volumes. Second, a non-volatile plant product, 1-aminocyclopropane-1-carboxylic acid, was found to be the immediate precursor of ethylene (Adams and Yang 1979). Any lingering doubts that ethylene was a plant hormone have now been completely erased by application of molecular methods.

This story of ethylene mixes applications of plant physiology with human intuition, and is conveniently related to three eras that represent technical evolution in this area of plant science, namely, pre-1935 (an age of mystery), 1935–1979 (an age of enlightenment) and post-1979 (an age of opportunity).

An age of mystery

In 1858, Fahnestock in the USA observed that illuminating gas caused plant senescence and leaf abscission, and Girardin (1864) in France subsequently showed that ethylene was a component of illuminating gas. Many suspected that such plant responses were due to ethylene, but it took a Russian student, Neljubov (1879–1926), to establish that ethylene is a biologically active compound. As a young man, he observed that pea seedlings germinated in the dark grew in a horizontal direction when exposed to laboratory air containing burnt gas. He showed that the plants resumed normal growth when the air was first passed over heated CuO to oxidise hydrocarbon gases. This growth response was used as a bioassay for the next 50 years. We now know that these pea seedling responses are induced by as little as 0.06 µL L–1 ethylene.

Many publications from around 1910 indicated that ethylene was produced by ripening fruit such as pears and apples. By 1923, Denny (US Department of Agriculture) had patented ethylene for ripening bananas, tomatoes and pears, removing astringency from persimmons and loosening walnut husks. Finally (1934) Gane in Britain produced conclusive proof that ethylene is a natural product of plants, and to obtain enough ethylene for his tests he collected gases from about 28 kg of apples. He extended this proof to other fruits a year later.

An age of enlightenment

Following Gane’s confirmation that ethylene generation was common in fruits, research interests broadened beyond this simple ethylene–fruit connection. By 1940 the postharvest pioneer Jacob Biale (University of California, Los Angeles) showed that green citrus mould (Penicillium digitatum) also produced ethylene, thereby extending ethylene physiology to plant–fungus interactions. Hormonal interrelations entered this picture when the synthetic auxin 2,4-D was later shown to stimulate ethylene production by plants. Ethylene was by now acknowledged as instrumental in fruit ripening, but a nagging question remained as to whether ethylene was a true ripening hormone or merely a by-product of ripening events. I entered the field at this stage, and to resolve this issue of hormone status we needed to establish whether ethylene production by fruits increased ahead of ripening. Progress in unravelling cause and effect would hinge on development of a sensitive assay for ethylene.

Strong indications of ethylene involvement in ripening came from experiments using cold mercuric perchlorate solutions to bind specifically ethylene rather than other gases, and thus trap a sufficient amount from ripening tomatoes to measure it manometrically. However, the much greater sensitivity of gas chromatography subsequently allowed demonstration via frequent monitoring that ethylene production actually precedes the onset of ripening in some fruit.

Scientifically, these were exciting times. As a PhD student at the University of California, Davis, I was a member of one of the first teams to use a gas chromatograph fitted with a flame ionisation detector to measure internal ethylene concentrations in a ripening fruit (Lyons et al. 1962). We showed conclusively that cantaloupe (rockmelon) was climacteric. Harvested fruit showed an increase in ethylene production with onset of a respiratory climacteric and ripening. Over the next 20 years an explosion of publications documented ethylene involvement in many plant responses. Burg and Burg (1960s) demonstrated that ethylene was essential for ripening as well as other developmental events in plants. Senescence is a case in point, and a clear ethylene response is shown in Figure 2 for Cymbidium flowers.

Fig 2_3.jpg

Figure 2. Ethylene generation influences postharvest behaviour of Cymbidium flowers. When the pollen cap is removed from the floral column either by insect pollination or by human mishandling, endogenous ethylene production is triggered in that flower (left side), bringing about anthocyanin synthesis, cupping of petals and swelling of column tissues within 3 d. Intact flowers (right side) remain fresh for three weeks. Scale bar = 1 cm. (Photograph courtesy R.L. Bieleski)

A further practical development from ethylene research dates from 1963 with synthesis of ‘Ethephon’ (2-chloroethyl-phosphonic acid) (also called ‘Ethrel’). This water-soluble compound is readily absorbed by plants, and breaks down to release ethylene above pH 4.6. Ethephon thus provides a convenient way of applying ethylene to plants under field conditions and it has been  used to promote uniform maturation of processing tomatoes as an aid to mechanical harvesting.

Three broad research themes in ethylene physiology were now underway: mode of action, inhibition of action and biosynthesis. However, a major problem confounding our best efforts in all three areas was the autocatalytic behaviour of ethylene. This gas stimulates its own production, so how do you distinguish between the external ethylene you have applied experimentally as a stimulus, and the endogenous ethylene which is produced as a response by the plant tissues? Confronted by this dilemma, we devised a neat trick based upon a closely related gas (McMurchie et al. 1972). Propylene is a three-carbon analogue of two-carbon ethylene, although about 100 times less active than ethylene, that can stimulate typical ethylene responses! Moreover, propylene is also easily distinguished from ethylene by gas chromatography. We now had an elegant tool for analysis of ethylene physiology.

We applied propylene to citrus fruit (non-climacteric) and to bananas (climacteric) to mimic an exogenous ethylene stimulus, and measured endogenous ethylene production directly. Citrus respiration was stimulated without any increase in ethylene production, whereas in banana both respiration and endogenous ethylene production were stimulated. These outcomes were consistent with our paradigm of ripening in climacteric versus non-climacteric fruit.

Once ethylene was widely acknowledged as a ripening hormone, there was a strong demand by industry for practical control methods in order to extend fruit storage life. Our original approach was to remove ethylene from fruit storage atmospheres by scrubbing with oxidising agents such as permanganate. Commercial absorbents containing permanganate are available but inconvenient to use because the absorbent has to be packaged to prevent contact with stored fruit. The search for other ways of avoiding or inhibiting ethylene action continued. By 1976, Beyer showed that silver ions are a potent inhibitor of ethylene action, and a new set of management options opened up immediately. Ag+ is readily bound by plant tissue but not easily translocated and is thus of limited application. However, the silver thiosulphate complex (STS) is negatively charged and can move readily through plant tissues. This observation had little practical value for fruits which are eaten, but has had wide use in slowing the ethylene-driven senescence of cut flowers. In 1979 Sisler introduced volatile unsaturated ring compounds as inhibitors of ethylene action, the most potent being norbornadiene. Sisler has subsequently developed 1-methylcyclopropene (1-MCP), a gaseous compound which is essentially an irreversible inhibitor and safe to use (Sisler and Serek 1997).

While ethylene was gaining wider application in postharvest physiology, research continued with unravelling the biosynthetic pathway. The first clue came when Lieberman and Mapson (1964) supplied the general precursor [14C]-methionine to ripening tissue and found 14C in the ethylene produced. Methionine had been noted as a possible precursor from the discovery that rhizobitoxin inhibits ethylene production. Rhizobitoxin inhibits pyridoxal phosphate-containing enzymes of the kind involved in methionine-utilising pathways. A commercial product (Retain™) containing aminoethoxyvinylglycine (AVG) is now used as a preharvest treatment to delay ripening of apples and peaches. Adams and Yang, working at UC Davis, showed convincingly that S-adenosylmethionine (SAM) rather than methionine was a key precursor in ethylene biosynthesis, then in 1979 they topped this triumph by discovering the immediate precursor of ethylene, namely 1-aminocyclopropane-1-carboxylic acid (ACC). Within another few years, Yang and co-workers had managed to define the biochemical pathways that generate ACC from methionine via SAM.

An age of opportunity

Understanding the role of genes involved in ethylene biology creates opportunities for answering many remaining questions about ethylene-driven behaviour. One that remains unresolved concerns regulation of ethylene production in relation to ontogeny of fruit. I observed that tomato fruit harvested less than 15 d after anthesis failed to undergo normal ripening whereas fruit harvested at 20 d or later ripened normally, although with poor eating quality (McGlasson and Adato 1977). How then are ethylene-driven events coordinated with organ ontogeny? There is now a considerable body of evidence on the mode of action of ethylene that will aid such studies.

The discovery of mutant genes from Arabidopsis thaliana plants that are insensitive to ethylene enabled isolation of the ETR1 gene, which encodes an ethylene receptor and is antagonised by competitors of ethylene binding. Similarly, a ripening-impaired mutant tomato (Nr, Never Ripe) has been found to contain a defective homologue of ETR1 that lacks the ability to receive ethylene. The question remains how the different kinds of ethylene receptors might differ in their ethylene response or in their downstream signalling behaviour.

In 1972 we established a distinction between climacteric and non-climacteric fruit in their response to ethylene that led us to propose two systems for regulation of ethylene production. System 1 would be responsible for background ethylene production found in non-climacteric fruit and in pre-climacteric fruit. System 2 would account for the autocatalytic increase in ethylene production associated with ripening in climacteric fruit. Nakatsuka et al. (1998) provided elegant proof for this hypothesis in tomato. Their data suggested that System 1 is mediated by constitutively expressed Le-ACS1A and Le-ACS3 and the negatively feedback-regulated Le-ACS6 (genes encoding ACC synthase enzymes), together with preexisting mRNAs of Le-ACO1 and Le-ACO4 (encoding ACC oxidase proteins that convert ACC to ethylene). In contrast, in System 2 there is a large accumulation of two different ACS mRNAs (Le-ACS2 and Le-ACS4), as well as large increases in Le-ACO1 and Le-ACO4. Similar findings have subsequently been reported for other climacteric fruit. Young developing tomato fruit, while still in System 1, provide excellent experimental material; they behave as a non-climacteric fruit because when treated with propylene, respiration increases temporally without a concomitant increase in endogenous ethylene production. 1-MCP in combination with propylene has turned out to be a very useful tool for distinguishing between events regulated by ethylene and those that are independent (Golding et al. 1998).

The invention of 1-MCP has provided a valuable technology that is widely used to extend the storage life of some fruit, especially several cultivars of apples, and when applied at the right time for each cultivar ensures that the fruit retain good eating quality as well as shelf life.  Application of 1-MCP to delay ripening in highly perishable plums can be used to extend shelf life at non-chilling temperatures (<8ºC), leading to a saving in energy costs for refrigeration. The availability of a wide range of new tools that have accompanied the study of ethylene has opened new ways for improving the storage life of fruit that will benefit both domestic and export markets. A current example is the peach, which only has a short cool storage life and responds adversely to treatment with 1-MCP in contrast to the closely related Japanese-type plums that respond beneficially. Furthermore, some late maturing plums have twice the cool storage life of peaches. Imagine the attraction to the consumer if we could transfer these traits from plums to peaches!

References

Adams DO, Yang SF (1979) Ethylene synthesis: identification of 1-aminocyclopropane-1-carboxylic acid as an intermediate in the conversion of methionine to ethylene. Proc Natl Acad Sci USA 76: 170–174

Blanpied GD (1985) Introduction to the symposium, Ethylene in postharvest biology and technology of horticultural crops. Hort Science 20: 40–41

Golding JB, Shearer D, Wyllie SG, McGlasson WB (1998) Application of 1-MCP and propylene to identify ethylene-dependent ripening processes in mature banana fruit. Postharvest Biol Technol 14: 87-98

Lieberman M, Mapson LW (1964) Genesis and biogenesis of ethylene. Nature 204: 343–345

Lyons JM, McGlasson WB, Pratt HK (1962) Ethylene production, respiration, and internal gas concentrations in cantaloupe fruits at various stages of maturity. Plant Physiol 37: 31–36

McGlasson WB, Adato I (1977) Relationship between the capacity to ripen and ontogeny in tomato fruits. Aust J Plant Physiol 4: 451–458

McMurchie EJ, McGlasson WB, Eaks IL (1972) Treatment of fruits with propylene gives information about the biogenesis of ethylene. Nature 237: 235–236

Nakatsuka A, Murachi S, Okunishi H et al. (1998) Differential expression and internal feedback regulation of 1-aminocyclopropane-1-carboxylate synthase, 1-aminocyclopropane-1-carboxlate oxidase, and ethylene receptor genes in tomato fruit  during development  and ripening. Plant Physiol 118: 1295-1305

Sisler EC, Serek M (1997) Inhibitors of ethylene responses in plants at the receptor level: recent developments. Physiol Plant 100: 577–582

11.6 - Extending storage life

The main method used to prolong the storage life of fruit is through reducing the fruit temperature to slow metabolism. Refrigerated storage slows the rate of ripening and senescence of the fruit, and also slows the development of any rots. The way in which temperature management is implemented after harvest can significantly affect the quality of the fruit at the end of storage, both in the amount of ripening retardation and also the presence or absence of disorders. The basic effect of refrigerated storage on fruit can be supplemented by modification of the atmosphere in the coolstore, by reducing oxygen and increasing carbon dioxide concentrations. More recently, the application of the inhibitor of ethylene action 1-methylcyclopropene (1-MCP) has become common to slow the ripening of a range of fruit, and in particular certain cultivars of apple. The way in which all these technologies impact on the fruit is dependent on the physiological state, or maturity, of the fruit at harvest. What may be described as a ‘correct’ physiological state at harvest is not fixed, but may differ dependent on the commercial requirements of the fruit, i.e. a short or long storage period. Ultimately, the target for good storage is for the fruit to remain in good condition, to ripen properly, have an acceptable flavour and not have any disorders at the end of storage and when it reaches the consumer.

11.6.1 - Temperature and relative humidity

Temperature

The earliest attempts at temperature management were dependent on fruit being held in cold caves, or using cold night air to prolong the storage life, but experience showed that a ‘best’ temperature can be sharply defined, and may differ between species or even cultivars (Sevillano et al. 2009). To obtain the maximum benefit from cold temperatures, the temperature must be as low as possible without causing damage to the fruit; this is termed the lowest safe temperature. Below the lowest safe temperature, but at non-freezing temperatures, the fruit may develop symptoms of chilling injury (See Section 14.4). At even lower temperatures, generally in the range –0.5°C to –1.5°C, freezing occurs which irreversibly damages a living product. Because of this, –0.5°C is usually the lowest temperature used for storage of fruit, including some apple cultivars, berries or 'Hayward' kiwifruit. Temperatures at which chilling symptoms occur are around 8oC for subtropical species and may be anything up to 14°C for some tropical fruit: for example unripe banana and mango need to be shipped at 13–14°C. However, it is not only tropical and sub-tropical fruit that are susceptible to chilling injury; even 'Hayward' kiwifruit, which is stored at 0°C or just below, may develop chilling injury.

At 0°C, respiration is reduced to a level that is just enough to maintain cell function. Sugar is slowly consumed during this process so that fruit with a low sugar content at harvest are less durable. Commodities such as kiwifruit, which are picked with large supplies of carbohydrate in the form of starch, have an additional source of sugar to utilise, giving longer storage lives than those entirely reliant on soluble reserves, such as grapes.

Low-temperature storage has played an important part in the development of successful fruit export industries in Australasia, because of the great shipping distances between orchard and consumer. The success of kiwifruit has been largely due to its ability to be stored at 0°C for 6 months or more with no detrimental effect on flavour or texture.

Associated with low-temperature storage is a wide range of techniques to manage temperature changes en route to storage (Kader 2002). There are strong differences between species in their temperature management requirements. Elements of temperature management that need to be considered include the timing of cooling after harvest, the rate of cooling and the final storage temperature. Temperature management may also be viewed as a two-stage process, the removal of the field heat and then temperature maintenance during storage. While it is generally considered that the field heat should be removed from fruit as soon as possible after harvest, there are circumstances where delays may be advantageous for the postharvest performance of the fruit. So whilst highly perishable berryfruit tend to be cooled as soon as possible after harvest, kiwifruit and some stonefruit benefit from a delay at ambient temperature before cooling. Exactly what happens during this delay period is not clear; it may simply be a continued progress of fruit development or the loss of a small amount of water. However, the delay tends to make the fruit more tolerant of storage at low temperatures. In the case of 'Hayward' kiwifruit, the delay period is termed ‘curing’ and is specifically applied to reduce the incidence of stem-end rots caused by Botrytis. As a beneficial side effect, the low temperature tolerance of the fruit is also increased. In this sense, curing in kiwifruit is not the same as the curing for wound healing of the skin that is commonly referred to for sweet potatoes.

The rate of cooling is dependent both on what is required commercially and what can be tolerated by the fruit. Simply placing fruit, either in bulk bins or packed, in a coolstore will result in the fruit being cooled, the rate of which will depend on the initial fruit temperature, the cooling capacity of the refrigeration equipment, the airflow in the store and any insulating effects from the packaging, especially if the fruit are packed in boxes with polyliners and held on pallets. The rate of cooling can be increased by forced air cooling, also termed precooling, in which cold air is actively drawn past the fruit. This is a rapid method for removal of field heat, after which temperature management in a coolstore removes the smaller heat load that results from continued respiratory activity during storage. In some cases fast precooling may induce high incidences of chilling damage. This is one reason why 'Hayward' kiwifruit is not always precooled, but may be cooled from about 14–18°C at harvest to about 2°C after about 5 days, with a further 5–7 days to reach the final storage temperature.

Managing the rate of cooling of fruit to avoid chilling injury may be as simple as allowing the fruit to cool slowly, as in the case of 'Hayward' kiwifruit described above, or there may be clearly defined stages of cooling whereby fruit are cooled to an intermediate temperature, held for a period of days before the temperature is reduced to the final storage temperature. In all these instances of slow cooling, there is a trade off between the conditioning effect that increases tolerance to low temperatures and the progression of fruit development that occurs more rapidly at higher temperatures, and reduces storage life of the fruit.

An extreme example of temperature treatment prior to storage is where fruit may be treated at high temperatures (40–50°C) for disinfestation, and in particular to kill fruit fly, after which the fruit ripening may be slower than would occur naturally.

The expression of chilling injury symptoms may be reduced in long-term storage by intermittently warming the fruit. However, whilst there are numerous reports of such treatments in the scientific literature, the practicalities of the procedure and detrimental side effects to fruit quality make it commercially uncommon.

Relative humidity

Once harvested, fruit will continuously lose water to a point where quality will be affected. In some species, a small amount of water loss may accelerate ripening (e.g. avocado), but in all fruit there eventually comes a point at which loss of water, usually first seen as shrivelling, results in the fruit becoming unacceptable. Water loss from the fruit is driven by the vapour pressure gradient between the fruit and the surrounding environment. While the capacity for air to hold water is reduced at low temperatures, there is always a gradient driving water from the fruit into the coolstore atmosphere. The less fruit there is in a coolstore, the greater the water loss from each fruit before an equilibrium relative humidity is reached. Water may be lost from the coolstore atmosphere by condensation on the refrigeration coils that are colder than the room atmosphere, and the greater the temperature differential between the coils and atmosphere the greater the loss of water. When storage is at about 0°C, this can be seen by ice developing on the coils that must be removed by defrosting.

In preventing quality loss of harvested fruit, the relative humidity of the storage environment is one of the first aspects considered, since fruit will lose water more rapidly at lower relative humidity. This is mostly an issue where fruit are held unpacked or in bulk in a coolstore, and water loss is exacerbated where there is only a small volume of fruit in the store, air flow is high and there is a large temperature differential on the refrigeration coil. In other circumstances, such as for kiwifruit that may be stored for months, the fruit is packed into fibreboard packs with a polyethylene liner or bag. In these circumstances, it is the bag that creates a high humidity environment for the fruit and limits the fruit’s water loss. A very high relative humidity in the store environment where packed fruit are held may be detrimental to the integrity of the fibreboard packaging, which would soften and lose its strength.

11.6.2 - Controlled and modified atmospheres

Fig 11.19.png

Figure 11.20. Storage life of kiwifruit can be greatly extended by controlled atmospheres. Under standard conditions (humidified air, 0°C) firmness declines exponentially over time, reaching limited acceptability by 8 weeks. Storage life ends once fruit firmness drops below about 0.9 kgf. Fruit are then soft enough to eat. Softening in cold store was slowed and storage life greatly extended by holding fruit in atmospheres containing either 5% CO2 + 2% O2 (top curve) or 8% CO2 + 16% O2 (middle curve). (Based on McDonald and Harman (1982) Sci. Hort. 17, 113-123)

The storage life achievable by refrigerated storage can be extended by modifying the store atmosphere by reducing the oxygen and increasing the carbon dioxide concentrations. Elevated CO2 and reduced O2, used either separately or together, can delay ripening and slow the onset of senescence (Figure 11.20). When both high CO2 and low O2 concentrations are combined then the beneficial effects may be additive. These methods were originally developed on a commercial scale for apple, but have been progressively applied to many other fruit. Container shipping helped their introduction because a sealed container made it easier to maintain the required temperature and atmosphere regimes.

For the bulk storage of fruit in bins, packs of fruit on pallets, coolstores, ships’ holds and individual shipping containers, an active process called controlled atmosphere (CA) may be operated. In these, the concentrations of O2 and CO2 are monitored and maintained at predetermined levels. Initial low O2 concentrations may be achieved through the use of nitrogen generators or O2 scrubbers, or the fruit may be allowed to reduce the O2 concentration through respiratory activity. To prevent the O2 concentration from becoming too low, air can be exchanged with the atmosphere. CO2 accumulates from respiration, but can be prevented from increasing excessively by absorbing it with lime, by removal with an activated carbon scrubber or by purging from the store with nitrogen. In a closed CA system it is also possible to scrub ethylene out of the atmosphere. The removal of ethylene is particularly important for ethylene sensitive fruit such as kiwifruit, where even low levels (e.g. 30 ppb) in the store atmosphere can reduce the storage life of the fruit.

A more recent approach to CA storage is termed dynamic CA storage, in which the O2 concentration in the store is determined by the response of the fruit. Dynamic CA optimises the CA process, since using a predetermined atmosphere tends to err on the side of safety by setting the O2 concentration well above the lowest safe level to allow for the variability in low O2 tolerance amongst fruit from different orchards or seasons. Although this eliminates the risk of fruit becoming anaerobic, it also reduces the potential benefit. While early attempts at dynamic CA utilised ethanol sensors to detect if fruit metabolism was becoming anaerobic, it was the development of a fluorescence sensor that could give a rapid measurement of the fruit response to low O2 stress that allowed the commercialisation of dynamic CA. The sensor is placed over a sample of the fruit in the store, the O2 concentration is decreased until a response is detected from the fruit and then the O2 concentration is increased slightly above the low O2 stress point. The procedure can be repeated throughout the storage period so that the O2 concentration can be continually matched to the capacity of the fruit to withstand low O2.

An alternative way of utilising the beneficial effects of low O2 and high CO2 is termed modified atmosphere (MA) storage. In this system, fruit respiration is used to reduce the concentration of O2 and increase that of CO2 inside an enclosed space, usually the export box or retail packs. The fruit is prevented from becoming anaerobic by making such enclosures out of plastic films that are partially permeable to O2 and CO2. Both gases come to an equilibrium based on respiration rate, the specific permeability of the film, the surface to volume ratio of the package and the amount of fruit in the package. Hence, this form of storage is highly dependent on being able to control the fruit temperature, since this determines the rate of respiration. The independence of having fruit in smaller packages that can be moved intact throughout handling and retailing suggest that MA may be more versatile than CA, although in practice any inability to maintain adequate cold-chain conditions can result in fruit spoilage as packages turn anaerobic at higher than desired temperatures.

Coating fruit in waxes or other compounds may act in a similar way to MA, by modifying the gas permeability of the fruit skin, thereby reducing the flow of O2 in and CO2 out of the fruit. As with MA, if the restriction of oxygen flow into the fruit is too great, the fruit may turn anaerobic and ferment.

How do altered atmospheres delay ripening and retard senescence? There are several possibilities, mostly involving fruit respiration and ethylene metabolism. One common observation is that fruit respiration is suppressed in response to the changed atmosphere. This could occur via acidification of the cytosol, resulting from an elevated CO2 concentration redirecting metabolism towards alcohol or lactate/succinate or malate production rather than CO2 production. Another alternative is a direct effect of ultra-low O2 concentrations (<2%) on cytochrome c oxidase in the mitochondrial electron transfer pathway, preventing that enzyme from functioning properly.

Fruit differ with respect to critical values for tolerance to low O2 or high CO2 concentrations, and ideally we might make a model for predicting the tolerance limits for a new cultivar or fruit from specific background information on its physiological behaviour. However, there is a key problem in manipulating atmospheres by static modelling approaches. The critical gas composition exists within the flesh of a fruit, not in the environment around it, while differences in genetic background cause each cultivar to behave differently with respect to metabolism and thus internal gas composition. Species vary in their response to the altered atmospheres of CA, and can even differ according to cultivar and harvest. This variation is seen in both the final concentration of CO2 and O2 within stored fruit, and in the time taken to equilibrate. Normally, an internal 0.5% (0.5 kPa) partial pressure is the minimum O2 level tolerable, and 10% (10 kPa) is the maximum for CO2.

Conditions during storage are especially critical because optimum levels of CO2 and O2 are on the threshold between aerobic respiration (desirable) and anaerobic respiration (undesirable). Fruit differ in their sensitivities to anaerobic respiration, but are normally intolerant of prolonged periods (>3 days), after which disorders and off-flavours appear. Yet the anaerobic metabolites ethanol and acetaldehyde are common volatiles of many ripe fruit, and treatment with these metabolites, or short anaerobic periods before storage, can have beneficial effects on storage life in some fruit, although they are not used commercially. Fruit in which ethanol and acetaldehyde have been induced are able to metabolise these compounds without tissue damage. The effect of anaerobic metabolism is therefore likely to be a question of degree: how much anaerobic metabolism and how sensitive is the tissue?

'Hayward' kiwifruit is a good example of where CA storage can be successful in prolonging storage life. Both low O2 (2%) and high CO2 (5%) can independently improve firmness retention during storage, with a synergistic effect when used in combination. However, whilst effective in retarding ripening, there are risks to the fruit. The greatest firmness retention is achieved by a rapid establishment of the CA, although too rapid establishment of 5% CO2 can result in increased physiological disorders and rots. Also, concentrations of CO2 at about 10-15% can result in a differential softening of the fruit flesh and core, resulting in a core that is firm relative to the pericarp tissues.

11.6.3 - Blocking ethylene action

With ethylene having a pivotal role in the ripening of many (but not all) fruit, the use of the ethylene action inhibitor 1-MCP has been investigated for prolonging the storage life of a wide range of species through retarding fruit ripening and softening (Watkins 2008). 1-MCP is usually applied after harvest as a gas treatment in a sealed store, container or tent, with the active ingredient released from a powder by dissolving in water. The commercial delivery of 1-MCP is by the SmartFresh(SM) system (www.agrofresh.com).

Successful use of 1-MCP to delay ripening depends on the physiology of the fruit, most likely on the natural rate of replacement of the ethylene receptors that are blocked by 1-MCP. Since binding of 1-MCP to existing ethylene receptors is irreversible, a single period of exposure can delay ripening for several to many days, depending on the rate of synthesis of new receptors. There has been a rapid uptake of 1-MCP use for commercial storage of some apple cultivars, although for other cultivars the treatment has little effect on fruit softening. The rapid uptake for apple is associated with the way in which apple fruit ripen, which involves only limited softening and with firmness retention being a key quality component, i.e., people like crisp apples. This contrasts with the physiology of other species in which ripening involves a softening of the fruit coordinated with changes in flavour and colour. For example, while 1-MCP prolongs storage life in species such as avocado, pear and banana, obtaining uniform ripening afterwards may be difficult (Watkins 2008). This may be because the softening, flavour, and colour aspects of ripening have varying sensitivities to ethylene (Johnston et al., 2009) that are affected differently by partial suppression of ethylene perception and the climacteric, resulting in poorer flavour and colour. In stonefruit such as peach, the ripening inhibition is rapidly overcome, and repeated exposure to 1-MCP may be necessary, which can be commercially unfeasible. For all cultivars, careful optimisation of maturity stage, 1-MCP concentration, exposure frequency and duration and storage temperature is required.

11.6.4 Storage disorders

Fig 11.20.png

Figure 11.21. Postharvest incidence of the storage disorder watercore in Fuji apple is related to picking date (and thus fruit maturity). Watercore index represents the percentage fruit volume occupied by water-soaked tissue. Fuji is prone to this disorder, especially when fruit are picked mature. Early harvesting thus becomes an important control method. (Original data courtesy F.R. Harker)

When fruit are put into storage, they are on a slow path to senescence and death, and a number of disorders can arise during that time. Several storage disorders have physiological origins, which may be chilling related, and are often highly specific to species, cultivar, season and even growing region. Fruit maturity at picking is one important factor (Figure 11.21), with less mature fruit generally being more susceptible to chilling injury.

Sensitivity to storage disorders depends on many factors, including maturity at harvest, a lack or imbalance of nutrients and adverse growing conditions. Even if fruit are susceptible at harvest, the expression of disorder symptoms is dependent on storage conditions and duration, and symptoms may not always develop. The development of chilling injury is often described as a time by temperature relationship, i.e. it develops sooner at lower temperatures. This is true for damage that is a direct result of exposure to low temperature and which is seen almost immediately after exposure. However, many chilling disorders develop only after long periods in storage and are associated with an inability of fruit to ripen correctly at low temperatures (e.g. kiwifruit, peach, avocado). It seems that at low temperatures the natural highly co-ordinated process of ripening is disrupted by an element that is temperature sensitive. If removed from storage early enough, no symptoms of chilling develop when the fruit ripens at higher temperature.

Thus far, chilling damage has been described as a single disorder, yet there are numerous symptoms that may develop in the fruit flesh or skin that differ among species and cultivars. In addition, there are disorders that develop as fruit start to senesce, irrespective of storage duration or temperature, and that may have similar symptoms to chilling injury in the fruit flesh.

Five examples of postharvest physiological disorders in apple are described below (Figures 11.22, 11.23) to illustrate our partial understanding of the problems that occur, and to provide a glimpse of a large and complex area of postharvest physiology.

Picture11.22.png

Figure 11.22. Physiological disorders of apple fruit. The top left panel shows bitter pit, a disorder associated with calcium deficiency. It can be partially controlled by preharvest sprays of calcium salts directly onto the fruit. The top right panel shows superficial scald, a low temperature disorder of the skin that can be controlled by 1-MCP treatment prior to cool storage. The bottom left panel shows soft scald, a low temperature disorder with symptoms of brown lesions that extend into the flesh. Incidence can be increased by over-maturity of the fruit at harvest and preharvest climatic conditions. The bottom right panel shows core flush, a browning within the core line, that is a form of senescent breakdown.

Bitter pit is a brown, bitter pitting of the skin in some cultivars, particularly ‘Cox’s Orange Pippin’. It occurs as sunken discoloured pits in the skin with spongy, dry brown flesh beneath. It is primarily a response to inadequate calcium content, and can be greatly reduced by spraying fruit on the tree with calcium-containing solutions during the later stages of fruit development.

Superficial scald is a brown discolouration of the skin surface, particularly in cultivars like ‘Granny Smith’. It appears to be connected with the accumulation of the hydrocarbon α–farnesene in susceptible cultivars, the oxidation products of which are brown and may cause cell collapse. Superficial scald can be reduced by a postharvest dip in an antioxidant free-radical scavenger like diphenylamine (DPA). As a postharvest chemical treatment, DPA is being phased out, and in some circumstances the use of 1-MCP before cool storage may mitigate scald expression, since the production of α–farnesene is promoted by ethylene.

Less is known about the factors that affect the occurrence of soft scald, which can occur most frequently on cultivars ‘McIntosh’ and ‘Jonathan’. Soft scald or deep scald develops as sharply-defined brown lesions on the skin that usually extend into the flesh. Soft scald is a low temperature disorder, partially avoided by slow (delayed) cooling or by storing at slightly warmer temperatures. Its causes are unclear, but incidence is increased by factors including over-maturity of the fruit at harvest, and by dull, cool, wet summers.

Core flush, most serious in ‘McIntosh’, is a browning of internal fleshy tissues surrounding the core of a fruit, and may have more than one cause. One factor seems to be the O2 supply to the core, since conditions potentially causing anaerobiosis (large size, a closed and airtight calyx and a low-O2 atmosphere) increase incidence. It is most serious in fruit stored for long periods at around 0°C, and may be greatly reduced by storage at 4°C under CA.

Fig 11.21.jpg

Figure 11.23. NMR images from the equatorial plane of an apple show watercore (waterlogging) as an intense white region. The first scan (left) was taken from a Fuji apple with severe watercore at the time of harvest. The second scan (right) was taken of the same fruit after cool storage for 15 weeks at 0°C, when symptoms had disappeared due to reabsorption of apoplastic water. Scale bar = 1 cm. (Original images courtesy C.A. Clark)

Watercore (Figure 11.23) is a condition where there are glassy, waterlogged sections of tissue towards the centre of the fruit, typically centred around the vascular bundles. Severe watercore leads to anaerobiosis, development of fermentation aromas, and core browning similar to core flush. Fuji is an especially susceptible cultivar. Watercore is more severe in sweet fully mature fruit (Figure 11.21) and involves a breakdown in transport of sorbitol across cell membranes. As outlined earlier (Section 11.3.2), sorbitol is the main soluble carbohydrate supply for early growth in apple fruit. Unlike other storage disorders, watercore becomes less severe or even disappears during storage (Figure 11.23) presumably because pericarp cells eventually take up intercellular water and sugar and allow airspaces to reform.

11.7 - Future technologies

Classical breeding strategies have successfully driven the production of many desirable cultivars of fruit with improved composition, storage or eating qualities. In postharvest physiology, genetic intervention by conventional breeding has yielded pome- and stone-fruit, citrus, and a range of other subtropical species with improved storage life. Persimmon provides an extreme example of breeding for improved flavour where intense selection of genetic variants has resulted in the non-astringent variant ‘Fuyu’. Can fruit growth, maturation and postharvest physiology be modified even further for human convenience, to produce a new generation of ‘designer’ fruit?

Recent technological advances have driven ‘-omics’-type research to produce more data, more cheaply, in shorter times. Genome sequences are already available for many fruit species (including grape, apple, strawberry, papaya, tomato, pear, melon, banana, date palm and peach), and it is now feasible to obtain complete genome sequence data for individual cultivars or breeding lines, from which the sequence of important alleles can be determined. Genome sequence, together with data on gene expression (transcriptomics), the accumulation of structural proteins and enzymes (proteomics), and changes in the abundance of metabolites (metabolomics) can be integrated to provide a complete picture of ripening-associated or postharvest changes, or the metabolism that underlies a desired trait. This integrated approach is known as ‘systems biology’.

Genes or alleles of genes that have been identified as important in a particular trait can be used as molecular markers to guide targeted conventional breeding efforts. This strategy is known as marker assisted selection and is widely incorporated in breeding of many cereal crops, mainly for disease resistance. In fruit, breeding targets vary between species and between cultivars, and are aimed at improving shelf life, nutritional content, eating quality or disease resistance, or in the alleviation of particular postharvest storage disorders (see Section 11.6.5). Quantitative trait loci (QTLs) for these traits and their underpinning genes are rapidly being identified in many fruit species.

Transgenic strategies have been applied both to investigate gene function and to improve various aspects of fruit quality or production. Genetic engineering was used successfully to suppress ethylene biosynthesis and halt ripening through the silencing of either the ACS or ACO genes (Barry and Giovannoni 2007). Although biologically successful, this technology did not find a commercial use. Suppression of the cell wall-modifying enzyme polygalacturonase in a line of tomato extended fruit shelf life, and when sold to the public in the USA as ‘Flavr Savr’ became the first genetically engineered whole food to go on the market. However, consumer resistance led to its withdrawal a few years later. Transgenic modification has been very successful in papaya, a crop that in Hawaii was devastated by papaya ringspot virus. No natural resistance was available, which meant that classical breeding to combat the problem was not a possibility. A transgenic strategy was the only option, and overexpression of a transgene of the virus coat protein successfully interfered with viral replication and provided resistance (Ferreira et al. 2002). Without the development of transgenic papaya cultivars, the papaya industry in Hawaii would have disappeared. Although consumer concerns, either real or perceived, combined with the high costs of de-regulation, have restricted the use of genetic modification in fresh food crops, virus-resistant papaya provides an example of the successful use of the technology, and consumer acceptance of the resulting product.

In cases where the role of a single plant gene (e.g. encoding an important structural or regulatory protein) can be identified to control a key trait, both transgenic and non-transgenic strategies are available to modify gene functionality. One non-transgenic strategy is known as TILLING (Targeting Induced Local Lesions IN Genomes), where a population of seeds or plants is chemically mutated at random, followed by high-throughput screening to identify individuals where the target gene is affected and where a desired trait has been improved. Although large populations are required for screening, individuals with reduced functionality of the encoded protein or even knockout in any non-essential gene can usually be obtained. The technology has been used successfully in melon to identify lines with a mutated ACO1 gene and improved shelf life (Dahmani-Mardas et al. 2010).

11.8 - Concluding remarks

In the USA, the major proportion of maize and soybean production is from transgenic varieties produced for either insect resistance or herbicide resistance. These varieties have been consumed for more than 20 years now without any reported adverse effects. However, in other parts of the world there has been opposition to transgenic fresh food crops. Public concerns may moderate with time, as demands on crop productivity to feed a growing population increase, to cope with changing climatic conditions or pathogen pressures, or as fruit with distinct consumer benefits in flavour, eating quality or nutritional content are developed.

The virus-resistant papaya provides a dramatic example of how molecular techniques can enhance the properties of a crop in ways that can potentially help either productivity or postharvest handling and eating qualities. Political and ethical issues aside, wider use of genetically engineered plants could have a major impact on postharvest handling of many other horticultural products. Consumers will need to be well informed about changes resulting from conventional breeding and those resulting from genetic engineering or from mutations induced by chemical or irradiation treatment. There will also need to be improved physiological and biochemical knowledge about the postharvest responses of each species to be engineered.

Over the past century, fruit production and postharvest technology have been a powerful influence on progress in human societies and personal lifestyles. Very few people in ‘developed societies’ now grow their own fruit or vegetables; mass production has become much more efficient and wastage much lower; food quality has increased and people are better nourished; seasonal fruit are available year round; large amounts of product are distributed worldwide. Even cut flowers have become commodities of global trade instead of specimens from our own gardens, and in all cases postharvest technology has grown from process physiology. This area of plant science still offers exciting prospects for global horticulture, especially in tropical environments where new issues confront physiologists.

11.9 - Further reading and literature cited

Further reading

Alexander L, Grierson D (2002) Ethylene biosynthesis and action in tomato: a model for climacteric fruit ripening. J Exp Bot 53: 2039-2055 http://jxb.oxfordjournals.org/content/53/377/2039.full

Barry CS, Giovannoni JJ (2007) Ethylene and fruit ripening. J Plant Growth Regul 26: 143-159

Brummell DA (2006) Cell wall disassembly in ripening fruit. Funct Plant Biol 33: 103-119

Brummell DA, Harpster MH (2001) Cell wall metabolism in fruit softening and quality and its manipulation in transgenic plants. Plant Mol Biol 47: 311-340

Gillaspy G, Ben-David H, Gruissem (1993) Fruits: a developmental perspective. Plant Cell 5: 1439-1451 http://www.plantcell.org/content/5/10/1439.full.pdf+html

Kader AA (2008) Flavor quality of fruits and vegetables. J Sci Food Agric 88: 1863-1868

Klee HJ, Giovannoni JJ (2011) Genetics and control of tomato fruit ripening and quality attributes. Annu Rev Genet 45: 41-59

Lee SK, Kader AA (2000) Preharvest and postharvest factors influencing vitamin C content of horticultural crops. Postharvest Biol Technol 20: 207-220

Matas AJ, Gapper NE, Chung MY et al. (2009) Biology and genetic engineering of fruit maturation for enhanced quality and shelf-life. Curr Opin Biotechnol 20: 197-203

Paul V, Pandey R, Srivastava GC (2012) The fading distinctions between classical patterns of ripening in climacteric and non-climacteric fruit and the ubiquity of ethylene - An overview. J Food Sci Technol 49: 1-21

Seymour GB, Østergard L, Chapman NH et al. (2013) Fruit development and ripening. Annu Rev Plant Biol 64: 219-241

Literature cited

Atkinson RG, Sutherland P, Johnston SL et al. (2012) Down-regulation of POLYGALACTURONASE1 alters firmness, tensile strength and water loss in apple (Malus x domestica) fruit. BMC Plant Biol 12: 129 (doi:10.1186/1471-2229-12-129) . http://www.biomedcentral.com/1471-2229/12/129

Barry CS, Llop-Tous MI, Grierson D (2000) The regulation of 1-aminocyclopropane-1-carboxylic acid synthase gene expression during the transition from system-1 to system-2 ethylene synthesis in tomato. Plant Physiol 123, 979-986 http://www.plantphysiol.org/content/123/3/979.full

Brummell DA, Harpster MH, Civello PM, Palys JM, Bennett AB, Dunsmuir P (1999) Modification of expansin protein abundance in tomato fruit alters softening and cell wall polymer metabolism during ripening. Plant Cell 11: 2203-2216 http://www.plantcell.org/content/11/11/2203.full

Dahmani-Mardas F, Troadec C, Boualem A, Leveque S, Alsadon AA, Aldoss AA, Dogimont C, Bendahmane A (2010) Engineering melon plants with improved fruit shelf life using the TILLING approach. PLoS ONE 5: e15776. doi: 10.1371/journal.pone.0015776

Dai N, Cohen S, Portnoy V et al. (2011) Metabolism of soluble sugars in developing melon fruit: a global transcriptional view of the metabolic transition to sucrose accumulation. Plant Mol Biol 76: 1-18

Davies C, Wolf T, Robinson SP (1999) Three putative sucrose transporters are differentially expressed in grapevine tissue. Plant Sci 147: 93-100

de Jong M, Mariani C, Vriezen WH (2009) The role of auxin and gibberellin in tomato fruit set. J Exp Bot 60: 1523-1532 http://jxb.oxfordjournals.org/content/60/5/1523.full

Espley RV, Brendolise C, Chagné D et al. (2009) Multiple repeats of a promoter segment causes transcription factor autoregulation in red apples. Plant Cell 21: 168-183  http://www.plantcell.org/content/21/1/168.full

Ferreira SA, Pitz KY, Manshardt R et al. (2002) Virus coat protein transgenic papaya provides practical control of Papaya ringspot virus in Hawaii. Plant Disease 86: 101-105

Hackett RM, Ho CW, Lin Z et al. (2000) Antisense inhibition of the Nr gene restores normal ripening to the tomato Never-ripe mutant, consistent with the ethylene receptor-inhibition model. Plant Physiol 124: 1079-1085 http://www.plantphysiol.org/content/124/3/1079.full

Harada S, Fukuta S, Tanaka H, Ishiguro Y, Sato T (1995) Genetic analysis of the trait of sucrose accumulation in tomato fruit using molecular marker. Breed Sci 45: 429-434

Harker FR, Redgwell RJ, Hallett IC et al. (1997) Texture of fresh fruit. Hortic Rev 20: 121-224

Johnston JW, Gunaseelan K, Pidakala P et al. (2009) Co-ordination of early and late ripening events in apples is regulated through differential sensitivities to ethylene. J Exp Bot 60: 2689-2699 http://jxb.oxfordjournals.org/content/60/9/2689.full

Kevany BM, Tieman DM, Taylor MG et al. (2007) Ethylene receptor degradation controls the timing of ripening in tomato fruit. Plant J 51: 458-467

Klann EM, Hall B, Bennett AB (1996). Antisense acid invertase (TIV1) gene alters soluble sugar composition and size in transgenic fruit. Plant Physiol 112: 1321-1330 http://www.plantphysiol.org/content/112/3/1321.abstract

Kobayashi S, Goto-Yamamoto N, Hirochika H (2004) Retrotransposon-induced mutations in grape skin color. Science 304: 982.

Lichtenthaler HK, Rohmer M, Schwender J (1997) Two independent biochemical pathways for isopentenyl diphosphate and isoprenoid biosynthesis in higher plants. Physiol Plant 101: 643-652

McAtee P, Karim S, Schaffer R, David K (2013) A dynamic interplay between phytohormones is required for fruit development, maturation, and ripening. Front Plant Sci 4: 79 http://www.frontiersin.org/Plant_Cell_Biology/10.3389/fpls.2013.00079/abstract

Mworia EG, Yoshikawa T, Salikon N et al. (2012) Low-temperature-modulated fruit ripening is independent of ethylene in 'Sanuki Gold' kiwifruit. J Exp Bot, 63: 963-971 http://jxb.oxfordjournals.org/content/63/2/963.full

Quesada MA, Blanco-Portales R, Posé S et al. (2009) Antisense down-regulation of the FaPG1 gene reveals an unexpected central role for polygalacturonase in strawberry fruit softening. Plant Physiol 150: 1022-1032 http://www.plantphysiol.org/content/150/2/1022.full

Saladié M, Matas AJ, Isaacson T et al. (2007) A re-evaluation of the key factors that influence tomato fruit softening and integrity. Plant Physiol 144: 1012-1028 http://www.plantphysiol.org/content/144/2/1012.full

Sevillano L, Sanchez-Ballesta MT, Romojaro F, Flores FB (2009) Physiological, hormonal and molecular mechanisms regulating chilling injury in horticultural species. Postharvest technologies applied to reduce its impact. J Sci Food Agric 89: 555-573

Shackel KA, Greve C, Labavitch JM, Ahmadi H (1991) Cell turgor changes associated with ripening in tomato pericarp tissue. Plant Physiol 97: 814-816 http://www.plantphysiol.org/content/97/2/814.full.pdf+html

Sisler EC, Serek M (1997) Inhibitors of ethylene responses in plants at the receptor level: Recent developments. Physiol Plant 100: 577-582

Sitrit Y, Bennett AB (1998) Regulation of tomato fruit polygalacturonase mRNA accumulation by ethylene: a re-examination. Plant Physiol 116: 1145-1150 http://www.plantphysiol.org/content/116/3/1145.full

Souleyre EJF, Greenwood DR, Friel EN et al. (2005) An alcohol acyl transferase from apple (cv. Royal Gala), MpAAT1, produces esters involved in apple fruit flavor. FEBS J 272: 3132-3144

Stitt M, Sonnewald U (1995) Regulation of metabolism in transgenic plants. Annu Rev Plant Physiol Plant Mol Biol 46: 341-368

Tacken E, Ireland H, Gunaseelan K et al. (2010) The role of ethylene and cold temperature in the regulation of the apple POLYGALACTURONASE1 gene and fruit softening. Plant Physiol 153: 294-305 http://www.plantphysiol.org/content/153/1/294.full

Tanaka Y, Sasaki N, Ohmiya A (2008) Biosynthesis of plant pigments: anthocyanins, betalains and carotenoids. Plant J 54: 733-749

Walker AR, Lee E, Bogs J et al. (2007) White grapes arose through the mutation of two similar and adjacent regulatory genes. Plant J 49: 772-785

Watkins CB (2008) Overview of 1-methylcyclopropene trials and uses for edible horticultural crops. Hort Sci 43: 86-94

Yokotani N, Nakano R, Imanishi S et al. (2009) Ripening-associated ethylene biosynthesis in tomato fruit is autocatalytically and developmentally regulated. J Exp Bot 60: 3433-3442 http://jxb.oxfordjournals.org/content/60/12/3433.full

Zhang XY, Wang XL, Wang XF et al. (2006) A shift of phloem unloading from symplasmic to apoplasmic pathway is involved in developmental onset of ripening in grape berry. Plant Physiol 142: 220-232 http://www.plantphysiol.org/content/142/1/220.full

Chapter 12 - Sunlight and plant production

Chapter editor: Dennis H. Greer

School of Agricultural and Wine Sciences, Charles Sturt University, Australia

This Chapter is updated from the original chapter (1st edition) from Sharon Robinson, Jenny Watling, Dennis Bittisnich, Shu Fukai, Chris Beadle, Mike Clearwater and Paul Kriedemann.

12.0-Ch-Fig-12.0-NoNum.png

Shafts of sunlight penetrate a natural forest of Norfolk Island pine (Araucaria heterophylla). (Photograph courtesy D.H. Ashton)

Plants have adapted to an extraordinarily wide range of light environments, from the deep shade of rainforest understoreys and underwater habitats to the high-radiation environments of deserts and mountain tops. Exploitation of a wide diversity of habitats is possible because plants have evolved various mechanisms to optimise their use of sunlight. Many plants also exhibit great plasticity in their response to changes in light availability within a particular habitat. This potential for acclimation enables plants to exploit more variable environments than plants with a narrower range of responses to light.

Terrestrial ecosystems are both sustained and regulated by sunlight: sustained in massive ways by photosynthetically active radiation, but regulated in subtle ways by other wavelengths. Wavelengths most effective for photosynthesis occupy a band between about 380 and 720 nm. A wider band from about 350 to 800 nm spans the action spectra for other crucial responses in plant growth and reproductive development that are also light regulated. These include seed germination, tropisms, morphogenesis, pigmentation, and photoperiodic responses such as floral initiation (topics covered in Chapter 8 - environmental effects on plant development).

The outcomes of these two light-dependent categories differ by many orders of magnitude in terms of energy flow within a plant community. In one case, a flow of radiant energy is converted into chemical energy and stored as biomass; in the other, miniscule levels of radiant energy trigger shifts in gene expression and consequent developmental responses. Nevertheless, each category is mediated by pigment systems that transduce solar energy into highly ordered chemical forms: biosynthetic systems in photosynthesis, triggering systems in photo-morphogenesis (light-mediated development, where plant growth patterns respond to the light spectrum).

12.0-Ch-Fig-12.1.png

Figure 12.1 Sunlight passing through the earth's atmosphere is altered both in quantity and spectral composition.

The earth’s atmosphere attenuates solar radiation in highly selective ways (Figure 12.1). Substantial amounts of infrared energy (between about 850 and 1300 nm) are absorbed by CO2, ozone and especially by water vapour, while ozone is principally responsible for a cut-off in ultraviolet radiation below about 300 nm. Attenuation of discrete bands of infrared radiation by water vapour is especially noticeable (right side of figure), while absorption of ultraviolet by stratospheric ozone is also of special significance for terrestrial organisms. Cloud light is especially rich in visible wavelengths with a peak around 500 µm. Our atmosphere thus represents a ‘window’ through which visible wavelengths pour onto the earth’s surface, and terrestrial life forms have evolved with attributes that are a direct consequence of this spectral composition.

Selective filtering of wavelengths either side of the visible spectrum is crucial. Ultraviolet radiation is comprehensively absorbed by biological ingredients, especially proteins, RNA and DNA and pigments. Because energy per quantum increases with the decrease in wavelength, ultraviolet radiation imposes a heavy load of energy on biological components with attendant disruption. Similarly, wavelengths beyond the visible spectrum, though less energetic, are still damaging because tissue water absorbs infrared radiation. All life processes operate within an aqueous milieu, so that the absorption properties of water molecules would put cellular function at risk if sunlight was not also attenuated with respect to infrared radiation by the atmosphere.

Between these two extremes stands the visible spectrum, and it is no coincidence that all manner of biological systems have evolved to make effective use of this narrow band of solar radiation. Vegetation shows strong attenuation of visible wavelengths that drive photosynthesis, but transmit near-infrared radiation that would otherwise heat leaves. Vascular plants are a case in point, where canopy, leaf and chloroplasts have all adapted to the light climate with features that optimise their use of sunlight. These include mechanisms to deal with excess radiation.

Photosynthetic efficiency in low light confers a selective advantage on shade-adapted plants, but also renders them especially vulnerable to full sun. Accordingly, such species have evolved remarkable features for photoprotection. Their acclimation to sun and shade, together with properties of sun-loving plants, thus reveal an extraordinary plasticity in the photosynthetic apparatus of vascular plants (Section 12.1). Even increased UV-B radiation, commonly associated with global change, and the so called ‘ozone hole’ over Antarctica, elicits responses that offer photoprotection to plants (Section 12.6).

Aside from the biological hazards, solar radiation obviously sustains global photosynthesis, and close quantitative relationships exist between energy absorption and biomass production. Such relationships are especially well defined for managed communities, with cropping, plantation forests and horticulture providing clear examples (Sections 12.2, 12.3, 12.4). Canopy architecture is a major determinant of sunlight interception, and hence production of biomass. Canopy pruning in horticulture are examples of enhanced productivity through increased interception of light. In such cases, light-dependent regulation of plant development assumes prominence because tree and vine canopies are shaped for both overall interception of light as well as maximum fruitfulness.

A note on units: Visible wavelengths of sunlight can be represented as either a quantum flux or a radiant energy flux. Quantum flux is regarded here as synonymous with 'photon irradiance' (Q) and has units of µmol quanta m-2 s-1 ('µmol quanta' rather than 'µmol photons' because the quantum energy derived from photons drives photosynthesis). For the sake of making a clear distinction from quantum flux, radiant energy flux is simplified to 'irradiance', and for present purposes, irradiance coincides with photosynthetically active radiation (PAR). Irradiance is then expressed as joules (J) per square meter per unit time. Depending on the application, time can span seconds, days or years, and is then coupled with either joules, megajoules (MJ) or gigajoules (GJ).

12.1 - Photosynthesis in sun and shade

In low light, plants need to absorb maximum light for photosynthesis if they are to survive. In high light the problem is reversed. Plants need to maximise their capacity for utilising their abundant light energy. At the same time, the plants have to deal with excess sunlight when their photosynthetic capacity is exceeded. As a consequence of such unrelenting selection pressures, plants have evolved a variety of features that optimise light interception, absorption and processing, according to the light environment in which they had evolved and adapted (Figure 12.2). Adaptation implies a genetically determined capability to adjust attributes, i.e., acclimate to either sun or shade. Such acclimation calls for adjustment in one or more attributes concerned with interception and utilisation of sunlight. Common features of either sun or shade plants are outlined below, and the advantage to plants growing in different light environments is discussed. Field applications are illustrated with examples of sun/shade acclimation and sunfleck utilisation in rainforest plants.

12.1-Ch-Fig-12.2.png

Figure 12.2 A comparison of photosynthetic structure and function in sun and shade plants. Major characteristics are described for cells, leaves and whole plants. (Original drawing courtesy S.A. Robinson)

Initial steps of photosynthesis involve interception and absorption of photons by photosynthetic organs; subsequent steps are involved with utilisation or dissipation of the absorbed quantum energy. Interception of light varies according to size, angle, orientation and surface features of the photosynthetic organ(s) and is also influenced by the arrangement of photosynthetic tissue within those organs (Figure 12.2).

12.1.1 - Light interception and utilisation

12.1-Ch-Fig-12.3.png

Figure 12.3 Alocasia macrorrhiza growing in a shaded understory of a North Queensland rainforest. A sunfleck is crossing the forest floor. (Photograph courtesy S.A. Robinson)

Shade plants can increase their interception of light by producing large leaves. Some of the largest leaves produced by plants are found in rainforest understoreys (Figure 12.3). Leaf size can even change within an individual plant, smaller leaves are produced near the top, where irradiance is highest, and larger leaves towards the interior and base, where light levels are lower. Another way to change light interception is by changing leaf angle and/or orientation. Vertical arrangements enhance interception of light at low sun angles during early morning or late afternoon, and reduce interception at solar noon when radiation levels are highest. Horizontal leaves will intercept light all day long, but especially around midday. Accordingly, leaves in a rainforest tend to be vertical in emergent crowns and horizontal in the understorey. Similarly, pendulant leaves of many Australian trees such as eucalypts that typically occur in high light environments represent an adaptation that helps avoid excess midday radiation.

12.1-Ch-Fig-12.4.png

Figure 12.4 Time-course of leaf unfolding in Oxalis oregana, an understory herb of Redwood forests in western USA, in response to arrival and departure of an intense sunfleck. Note the differences in radiation before and during the sunfleck. (Original data courtesy O. Björkman and S.B. Powles)

Many plants can change their leaf angles and orientation in response to a change in light. For some, to increase interception while for others, to avoid high light. A good example of optimising light interception through leaf movement is given by Oxalis oregana, an understorey herb of redwood forests in western USA (Figure 12.4). This plant is able to track sunlight on dull days, but can change leaf angle from horizontal to vertical in only 6 min, if exposed to full sunlight. In this way, leaves can maintain maximum photosynthetic rates under a variety of light conditions but can avoid photoinhibition of photosynthesis by leaf folding. Omalanthus novo-guinensis, an Australian rainforest plant, can also change leaf angles within about 20 min in response to full sunlight (Watling et al. 1997b).

12.1-Ch-Fig-12.5.png

Figure 12.5 Cotyledon orbiculata grown for 20 weeks under high light (1,300 µmol quanta m-2 s-1, left) or low light (350 µmol quanta m-2 s-1, right) in controlled growth chambers. Scale bar = 10 cm. (S.A. Robinson et al., Bot Acta 106: 307-312, 1993; photograph courtesy S.A. Robinson)

Another way of reducing light capture is a change in leaf-surface properties. Many plants in high light environments have a high reflectance of their leaves from a coat of hairs or wax or even salt crystals. Cotyledon orbiculata, a crassulacean acid metabolism (CAM) plant from southern Africa, produces a wax coating on the leaves. Plants grown at high light produce copious quantities of white wax which reflects 60% of incident light whereas plants grown in low light produce very little wax and leaf reflectance drops to 9% (Figure 12.5). Young eucalypt leaves also produce wax, while leaves of Celmisia longifolia, the snow daisy of the Australian Alps, are covered in a thick layer of silvery fibres. In these instances, plants are avoiding high light by creating their own shade, but does leaf anatomy adjust to environments where light is limiting?

Epidermal cells in some rainforest shade-adapted species are shaped to enhance light capture by acting as a lens. The optical properties of such cells focus incident sunlight into the layer of photosynthetic tissue just below the epidermis, reducing light lost due to reflectance and transmittance.

Light interception can also be regulated at a tissue and organelle level. Photosynthetic tissue can be concentrated equally on both sides of a leaf (isobilateral) to maximise light absorption from either side, or preferentially on one side (dorsiventral) as is common in species where leaves are predominantly horizontal.

Chloroplast density and location within leaves is also sensitive to the light climate, and energy capture varies accordingly. Alignment along vertical cell walls will reduce overall absorption of incident light, and in Oxalis leaves absorbance can be reduced 20% when chloroplasts align less to the horizontal and more to the vertical walls of mesophyll cells.

Once sunlight has been intercepted by an assimilatory organ, photon absorption then depends on the extent and nature of light-absorbing pigments in the photosynthetic tissues. In terrestrial plants, the major light-absorbing pigments are chlorophylls a and b plus a range of carotenoids which can act as accessory pigments. Compared with high-light plants, plants grown in low light tend to allocate relatively more resources to their light-harvesting pigments and the associated proteins than to the enzyme Rubisco and other soluble proteins involved in CO2 fixation. This shift in allocation of nitrogen-based resources can be accompanied by marked changes in leaf anatomy, especially depth of mesophyll tissue (see Case study 12.1) and reflects a need for increased efficiency of light absorption when sunlight is limited.

12.1-Ch-Fig-12.6.png

Figure 12.6 Electron micrograph of a chloroplast from a shade-grown Alocasia macrorrhiza (photon irradiance 10 µmol quanta m-2 s-1). Scale bar = 1 µm. (W.S. Chow et al., Aust J Plant Physiol 15: 107-122, 1988)

There are also differences in chloroplast structure between plants grown in low light and high light. Shade chloroplasts tend to be larger than those found in sun plants. They also contain more thylakoid membranes which show higher levels of randomly arranged granal stacking into appressed regions, as shown by the extreme development of grana in Figure 12.6. The higher proportion of appressed to non-appressed membranes found in shade chloroplasts is the result of increased photosynthetic system II (PSII) and antenna (LHCII) content. LHCII is thought to be involved in thylakoid appression and formation of granal stacks. Plants grown in low light also tend to have lower Chl a/b ratios. Chlorophylls a and b are both associated with the light-harvesting antennae, while only Chl a is found in the reaction centres. A lower a/b ratio, therefore, reflects an increase in LHCII complexes relative to reaction centres (see Chapter 1, Section 1.2).

In addition to differences in leaf anatomy and chloroplast fine structure, energy derived from absorbed sunlight is processed in ways that differ subtly between shade-grown and sun-grown plants. In high light, there is a requirement for greater capacity in both the light and CO2 fixation reactions of photosynthesis. Photosynthesis–light response curves for shade and sun plants (Figure 12.7) illustrate such differences. The initial slope of each light response curve represents the quantum or photon efficiency of photosynthesis. This is the same for sun and shade plants. The reason it does not change is that the efficiency of the light reactions is the same irrespective of how much light has been received during growth (i.e. eight photons are required for the evolution of one molecule of O2 and fixation of one molecule of CO2 in all plants).

12.1-Ch-Fig-12.7.png

Figure 12.7 Photosynthesis-light response curve for typical shade and sun plants, showing relationships between photosynthetic rate and absorbed light (expressed as a photon irradiance). Dashed lines are extrapolations of initial linear slopes where photosynthesis is light limited, and represent quantum yield (moles of O2 evolved per mole quanta absorbed). (Original data courtesy S.A. Robinson)

However, sun plants tend to have a greater capacity for photosynthetic electron transport (greater abundance of transport components such as Cyt b559, Cyt b563, Cyt f and plastoquinone). They also have a greater capacity for ATP synthesis per unit of chlorophyll compared with shade plants. Taken together, these capacities of sun plants allow more sunlight to be processed into ATP and NADPH for use in CO2 assimilation and other synthetic events. Such capacity is also matched by a greater investment in enzymes of the photosynthetic carbon reduction (PCR) cycle, resulting in a higher light-saturation point and a higher maximum rate of photosynthesis (Pmax) for sun plants (Figure 12.7). As a further distinction, sun leaves tend to be thicker and have more cell layers. They also have higher stomatal conductances to facilitate rapid uptake of CO2.

A higher photosynthetic capacity in sun plants does, however, incur some costs. The sun leaves tend to have higher respiration rates which increases the light-compensation point relative to shade plants (Figure 12.7). Higher respiration rates probably result from (1) increased carbohydrate processing in high light, (2) increased costs of constructing sun leaves and (3) a higher cost of maintaining sun leaves. Further details on maintenance costs are given in Chapter 5, Section 6.5.

Greater transpiration is a further cost of the higher photosynthetic capacity as a result of higher stomatal conductance. Sun plants often respond to the greater transpiration by increasing their root : shoot ratios. Under conditions where water is limiting, however, stomatal conductance may be reduced, sacrificing photosynthesis in favour of slower transpiration.

12.1.2 - Photoinhibition and photoprotection

In the light-response curves for photosynthesis (Figure 12.7 above), photosynthesis is regarded as light limited in the initial linear region of the curve. However, at higher photon irradiances once the light-saturation point (that is, the maximum rate of photosynthesis) has been reached, further increases in light will exceed the energy-utilising capacity of that photosynthesising leaf. Refer to the dashed lines in Figure 12.7 which represent a continuation of the initial rate of photosynthesis (quantum yield of photosynthesis) and demonstrates the actual light absorption. The extent to which this absorbed light is not ‘gainfully employed’ for photosynthesis is set by Pmax (the light-saturated rate of photosynthesis in normal air). At low light (< 100 µmol quanta m–2 s–1), both sun and shade leaves use more than 80% of the absorbed light for photosynthesis. However, once Pmax has been reached, all additional absorbed light is in excess of that which can be used in photosynthesis.

Since shade plants have a lower Pmax than sun plants, they experience more excess light at a given photon irradiance above saturation. Additional stresses such as drought, nutrient limitation or temperature extremes can also lead to a reduction in Pmax and thus increase the probability of plants being exposed to excess light. However, even the most hardy sun plant will reach Pmax at less than full sunlight (incident beam normal to leaf surface). At that level (say, 1000 µmol quanta m–2 s–1), approximately 25% of absorbed energy is used to drive photosynthesis, but at full sunlight (c. 2000 µmol quanta m–2 s–1) as little as 10% is used (Long et al. 1994). Individual leaves on plants growing in full sun commonly experience such excess light intensities. This is potentially damaging, and plants adapted to full sunlight have evolved a number of mechanisms for either avoiding excess light or for dissipating the excess absorbed energy.

12.1-Ch-Fig-12.8.png

Figure 12.8 As photon irradiance is increased, utilisation of energy gives way progressively to dissipation of energy. Photosynthetic events shift from photochemistry, to external and then internal photoprotection and finally to photodamage. Their comparative importance for shade leaves and sun leaves is indicated. Photoprotection is especially well expressed in sun leaves acclimated to additional environmental and biotic stresses. (B. Demmig-Adams and W.W. Adams, Annu Rev Plant Biol 43: 599-626, 1992)

Mechanisms for avoiding high light interception such as changes in leaf angle and surface features (described above), forestall absorption of excess energy. Rapid responses, such as changes in leaf angle in Oxalis and Omalanthus, occur in a matter of minutes and can regulate light interception on a diurnal basis. Slower-acting mechanisms, including production of wax on leaves, will be useful where there has been a sustained change in the light environment. These kinds of mechanisms constitute external photoprotection (Figure 12.8).

12.1-Ch-Fig-12.9.png

Figure 12.9 Photosynthesis and photoinhibition in sun and shade leaves. (Original diagram courtesy C.B. Osmond)

Absorption of excess sunlight as outlined above often leads to photoinhibition of photosynthesis, that is, defined here as a light-dependent decrease in the photon yield of photosynthesis (Figure 12.9). Photoinhibition is one of the most important regulatory mechanisms in photosynthesis, and results from a series of internal photoprotective mechanisms which act to reduce the amount of energy reaching the photochemical reaction centres of photosystem II (PSII). One immediate consequence of reducing light energy to PSII is a reduction in photon yield (expressed in terms of absorbed light).

Shade plants have an even greater need to dissipate excess light interception because they absorb more light (more chlorophyll per unit leaf mass), but need less light to saturate photosynthesis. Prolonged exposure of plants to excess light induces photoprotective processes that reduces the photon yield of photosynthesis, but Pmax remains unchanged (curve A). However, further exposures to excess light will result in both photon yield and Pmax being reduced (curve B). The photosynthetic rate is then reduced at all light levels as a consequence of the photoprotection.

Photoprotection is normally sufficient to cope with light absorbed by leaves; the more extreme photodamage only occurs when the capacity for photoprotection is exhausted. Photodamage is manifested as a decline in both photon yield and Pmax, and recovers very slowly (hours to days), whereas photoinhibition and photoprotection recovers much faster (minutes to hours). Severe photodamage results in bleaching of pigments and damage to membranes (photo-oxidation) and may lead to tissue death.

12.1-Ch-Fig-12.10.png

Figure 12.10 Absorption of blue or red light (wavebands corresponding to leaf absorption maxima) leads to excitation of chlorophyll from its ground state. Arrow thickness above indicates comparative importance of each process for energy utilisation.

Consider the alternative fates of light energy absorbed by a leaf and their relevance to photoprotection, photoinhibition and photodamage (Figure 12.10). Although blue light has higher energy and causes excitation to a higher excited state, this energy is quickly lost as heat, and chlorophyll molecules drop to a lower excited state. Utilisation of energy from excited chlorophyll molecules results in either assimilatory or non-assimilatory photochemistry, thermal dissipation or release of light of a longer wavelength (fluorescence). The proportion of absorbed energy consumed by these different processes dictates their comparative significance, and in order of importance as protective devices they are:

  1. Assimilatory photochemistry, leading to fixation of CO2 into stable chemical products;
  2. Non-assimilatory photochemistry, that is, energy consumption by metabolic processes that do not result in fixation of CO2 into stable chemical products, including photorespiration, nitrate reduction and the Mehler reaction. All consume energy but there is no net gain in carbon as a result;
  3. Conversion of light energy into heat (thermal dissipation);
  4. Re-emission of photons as fluorescence. Emission of in vivo Chl a fluorescence is revealed dramatically during measurements (Chapter 1, Section 1.2.5). Such emission still accounts for only 1% of energy derived from absorbed light.

Most of the NADPH and ATP formed during photosynthetic energy transduction is stored as stable photosynthetic products. Some is consumed in photorespiration and nitrate reduction. Because these non-assimilatory processes also utilise NADPH and ATP, they help reduce the need for photoprotection. The Mehler reaction, in which electrons flow to O2 via photosynthetic system I (PSI) (Chapter 1, Figure 1.10), still supports electron flow and thus might also reduce a need for photoprotection.

However, if photochemical capacity is exceeded by incoming energy, a plant will engage photoprotective mechanisms which increase the amount of energy dissipated as heat. This non-photochemical conversion of light energy is thought to occur in the PSII antennae and involves a group of pigments known as xanthophylls and includes violaxanthin, antheraxanthin and zeaxanthin (Figure 12.11). These are a special group of carotenoid pigments which undergo interconversion in response to excess light. Energy is dissipated in the process. In low light, violaxanthin predominates, but when light is in excess, conversion to zeaxanthin via antheraxanthin occurs. This conversion requires a low pH, ascorbate and NADPH. Such conditions exist in the lumen of chloroplasts in high light. Zeaxanthin, and possibly antheraxanthin, provide photoprotective thermal dissipation of the excess light energy. When light levels are no longer excessive, zeaxanthin slowly converts back to violaxanthin via antheraxanthin (Figure 12.11). Total pool sizes of the xanthophyll pigments increase with increasing exposure to excess light. Sun plants can have three- to four-fold larger pools of violaxanthin, antheraxanthin and zeaxanthin than shade plants and the presence of other stresses can also result in increases in pool size.

12.1-Ch-Fig-12.11.png

Figure 12.11 The xanthophyll cycle summarised here contributes to dissipation of excess light energy, and involves three pigments, violaxanthin (V), antheraxanthin (A) and zeaxanthin (Z). (Original drawing courtesy S.A. Robinson)

Internal differences between sun and shade leaves with respect to energy dissipation are also apparent in the different patterns of attenuation of light through mesophyll tissues, such as in succulent CAM plants such as Cotyledon orbiculata. There, xanthophylls are mostly found in outermost cell layers where the light environment is strongest. If the reflective wax coating is intact, no internal photoprotection is required at the growth irradiance and there is no zeaxanthin formed. However, if the surface wax (external photo-protection) is removed by hand, internal photoprotection is then needed and zeaxanthin appears in the outermost layer (Figure 12.12).

12.1-Ch-Fig-12.12.png

Figure 12.12 External and internal photoprotection in thick leaves of the succulent CAM plant Cotyledon orbiculata. Removal of protective wax from upper surfaces stimulates synthesis of zeaxanthin. (S.A. Robinson and C.B. Osmond, Aust J Plant Physiol 21: 497-506, 1994)

Overall activity of the xanthophyll cycle varies with mesophyll irradiance, while the concentration of particular components also varies according to tissue depth. Changes in concentration of the various components of the xanthophyll cycle are shown here for successive (1 mm) layers in thick leaves of C. orbiculata, with and without their wax coating. In waxed leaves at the end of a dark period (top figure, Figure 12.12) xanthophyll cycle pigments are represented mainly by violaxanthin (V) with a small amount of antheraxanthin (A). After 6 h exposure to high light (middle figure, Figure 12.12) a small amount of violaxanthin is converted to antheraxanthin, but no zeaxanthin (Z) is formed, indicating that the natural wax coating on these leaves is protecting chloroplasts from excess light. Physical removal of surface wax (brushed leaves in bottom figure, Figure 12.12) results in zeaxanthin production within the uppermost layer of leaf tissue but not in deeper tissues or lower surfaces. Restriction of this xanthophyll cycle component to the top section confirms that zeaxanthin accumulation is a response to excess light.

12.1.3 - Sun/shade acclimation and rainforest gaps

A seed germinating in a rainforest understorey starts life in a low light environment. This will not present major problems to an obligate shade species which cannot tolerate strong sunlight; such species have adapted to life in an understorey. However, many rainforest species are better described as either shade tolerant (i.e. able to germinate and persist in low light, but requiring higher light to reach maturity) or shade intolerant (unable to germinate or grow in low light). In successional terms, shade tolerance is a feature associated with climax species and shade intolerance with pioneer species.

Shade-tolerant species can persist as seedlings in the understorey, often for years, while still being able to respond to an increase in light availability when it occurs.

By comparison, shade-intolerant (early-successional) species can only germinate and grow where there is ample sunlight, and consequently they tend to occur in wide gaps and on forest edges. Wide gaps are relatively rare in old-growth rainforests which have been undisturbed by logging or slash and burn agriculture. Shade-intolerant species are unable to maintain a positive carbon balance when growing in low light. The change from a high light to a low light environment requires a change in allocation of plant resources as described in the quantitative growth chapter (Section 6.2). Shade-intolerant plants are unable to make this change and are burdened with the higher costs of construction and maintenance of leaves better suited to strong sunlight

Germination

Shade-intolerant species tend to produce numerous small seeds throughout the year which are widely dispersed. Their seeds are also able to remain viable for long periods (years) by going through a period of dormancy. This is often broken by high temperature or strong direct sunlight with a high ratio of red to far-red irradiance (R:FR ratio decreases with sunlight attenuation through canopies). Such environmental cues for germination are all experienced in wide gaps. Following germination, seedlings show rapid growth to maturity, allowing them to become well established in a gap before other slower growing species. These characteristics increase the probability of success for shade-intolerant species in the heterogeneous light environment of a rainforest.

Shade-tolerant species, on the other hand, have evolved a different suite of characteristics. They tend to produce a few large seeds which are generally not well dispersed, with little or no dormancy. However, the seeds have the ability to germinate in low light and persist in the understorey as seedlings for years. A rarity of gaps and a lack of dormancy found in most shade-tolerant species increases the probability of establishing in a low-light understorey environment. In situations like this, the larger seed provides seedlings with a reserve which they can draw upon during early establishment. In rainforests, tree seedlings survival in understorey habitats is positively correlated with seed size, especially in the first few months following germination.

Following establishment in the understorey, seedlings of shade-tolerant species may have to wait a long time before a gap appears overhead. Many species succumb to attack from herbivores or pathogens or may be crushed by large animals (including humans!). Those that do survive must be able to acclimate to the new conditions arising on gap formation; their ability to do this will depend on the nature of the new microclimate and the acclimation potential of each species.

Growth response to high light

Emergent trees of tropical rainforests have to endure strong sunlight, and leaves comprising the crowns of such trees will have acclimated to full sun. In young-growth forests, canopy emergents are early-successional fast-growing species that are adapted for fast growth in full sun on large disturbances. Such species represent an initial phase in forest dynamics that might last 10–20 years. By contrast, in old-growth forests, early-successional species have long since completed their life cycles, and will have been replaced by later-successional species whose seedlings initially tolerated deep shade on the forest floor, but now endure full sun as canopy emergents. Such remarkable plasticity is an adaptive feature of late-successional species and involves sun/shade acclimation by individual leaves.

The differences in growth rate of early-successional fast-growing species versus later-successional and shade-adapted species is illustrated in Figure 12.13 by two rainforest species that are important in the timber industry: the sun-loving red cedar (Toona australis) and the shade-adapted tulip oak (Argyrodendron sp.).

12.1-Ch-Fig-12.13.png

Figure 12.13 Growth of (left) Toona australis (sun loving) and right Argyrodendron sp. (shade adapted). Plants are the same age (6 months) and grown in same size pots (15 cm) in high light and high nutrient supply. (Thompson et al., 1992a; photographs courtesy P.E. Kriedemann)

A detailed study of three rainforest species from North Queensland was conducted by Thompson et al. (1992a, b). The red cedar Toona australis (an early-successional species) and two species of tulip oak Argyrodendron (late-successional species) showed different acclimation potentials when grown under a range of light conditions (Figure 12.14).

When grown under high light, 535 µmol quanta m-2 s-1,which is typical of average canopy radiation in a tropical rainforest, T. australis achieved a higher Pmax and light-saturation point than either of the Argyrodendron species. However, T. australis was more sensitive to nutrient levels, being unable to acclimate to the same degree in low-nutrient compared to high-nutrient regimes. Moreover, fast growth in T. australis was greatly promoted by a positive light x nutrient interaction on leaf expansion and photosynthetic capacity; adaptive features with a clear selective advantage on open sites where soil disturbance liberates nutrients.

12.1-Ch-Fig-12.14.png

Figure 12.14 Photosynthesis versus light response curves for seedlings of a shade-adapted rainforest tree species (Argyrodendron) and a sun-loving tree (Toona australis). Seedlings were grown under factorial combinations of weak, medium or strong light (shown left to right) × either high or low nutrient supply (solid lines with filled symbols, and dashed lines with open symbols respectively). (W.A. Thompson et al., 1992b)

Toona (sun loving) produced a much greater depth of mesophyll tissue under strong light compared to weak light (Figure 12.15b), which accounted for enhanced photosynthetic capacity. Argyrodendron sp. (shade adapted) was much less responsive to photo irradiance during growth, producing consistently thicker leaves regardless of light level, but with lower photosynthetic capacity.

12.1-Ch-Fig-12.15.png

Figure 12.15 Transverse sections of leaves from Toona australis (a) and Argyrodendron sp. (b) grown on high nutrient supply under either weak light (left) or strong light (right). Scale bar = 100 µm (W.A. Thompson et al., 1992a; micrographs courtesy I.E. Craig)

These adaptations result in the more vigorous growth of Toona than Argyrodendron at high light.

12.1.4 - Sunflecks and photosynthesis dynamics

Formation of gaps provides an important opportunity for many rainforest plants to escape from the dim understorey environment and reach maturity as canopy trees. Rainforest habitats actually present a continuum of light availability ranging from almost total shade (diffuse light) through intermediate levels of direct and diffuse sunlight to a wide gap where direct sunlight is received for most of a day. Input of direct sunlight beneath a closed canopy can be surprisingly high because of sun patches and more transient sunflecks. Sun patches occur when small and variable openings in the overlying canopy permit direct sunlight to penetrate to the forest floor, resulting in the familiar patchwork of sunlight and shade which can be seen in any understorey on a clear day (Figure 12.16).

12.1-Ch-Fig-12.16.png

Figure 12.16 Cohort of Argyrodendron sp. seedlings in a protected niche at the base of a mature tree of that same species growing in a rainforest on Atherton Tableland. Scale bar = 15 cm. (Photograph courtesy P.E. Kriedemann)

Competition for light is intense, and a sunfleck shown passing over this tiny population would be providing a much-needed source of sunlight, namely a few minutes of around 1,500 µmol quanta m-2 s-1 compared with background photon irradiance of around 150 µmol quanta m-2 s-1.

Patches of sunlight move across the forest floor on bright days, and will illuminate any leaves or parts of leaves which lie in their path (Figure 12.17). Daily total photon irradiance on the occasion of the measurement shown in Figure 12.17 was 6.0 mol quanta m-2 d-1). The abrupt increase from a background level of around 50 µmol quanta m-2 s-1 to 1,750 µmol quanta m-2 s-1 energises photosynthesis, but is counteracted by increased leaf temperature, especially during prolonged exposures. Transpiration cooling is a significant component of heat budgets for such large leaves, so that adequate soil moisture is a prerequisite for continuing leaf gas exchange during a sunfleck.

12.1-Ch-Fig-12.17.png

Figure 12.17 Natural variation in photon irradiance and leaf temperature experienced by Alocasia macrorrhiza growing in the understorey of a North Queensland rainforest. (J.R. Watling et al. 1997a, b)

Sunfleck frequency will be an additional factor for carbon gain during exposure to strong photon irradiance. Photosynthetic induction state diminishes to a minimum after 30 min in low light (see Figure 12.18 below) and some minutes are required to regain full capacity in strong light. Infrequent sunflecks are thus used with reduced efficiency.

Sunflecks and sun patches are of potential use to understorey plants for photosynthesis, but is this potential realised? Growth of understorey tree seedlings has been shown to be correlated with the amount of direct light received in sunflecks, and up to 60% of carbon gain in such environments has been attributed to this source. However, when compared with expected values based on the known steady-state response of plants to light, sunfleck utilisation is often below predicted values (Pfitsch and Pearcy 1989). Moreover, species vary in their capacity to utilise sunflecks. Watling et al. (1997a) measured the growth of four Australian rainforest species under simulated sunfleck regimes and showed that sunflecks contributed to growth in two species (Diploglottis diphyllostegia and Micromelum minutum), whereas the other two species (Alocasia macrorrhiza and Omalanthus novo-guinensis) were unable to make effective use of sunflecks.

Factors underlying this variation in sunfleck utilisation efficiency

Two components of a plant’s photosynthetic physiology will determine how the light in a sunfleck is used. Firstly, photosynthetic capacity (Pmax) will set a ceiling on the amount of light a plant can use. Secondly, a few minutes of illumination at least are needed for PCR cycle intermediates to reach critical levels, and this ‘induction requirement’ of photosynthesis determines how quickly a leaf can respond to an increase in photon irradiance.

Measured photosynthetic capacities of understorey plants are often low. When a leaf experiences a sunfleck, carbon fixation will increase to the point of light saturation. If an understorey plant could increase Pmax, it could utilise more light. But there are trade-offs. For example, higher respiration rates would increase the light-compensation point, and increase carbon losses during the low light periods separating sunflecks.

Regardless of photosynthetic capacity, the ability of a plant to use sunflecks is also affected by the induction requirement of photosynthesis. When a leaf that has been in low light for some time is exposed to an increase in photon irradiance, the rate of photosynthesis does not increase instantaneously to the new level. Instead, there is a gradual increase in assimilation which can take from 10–60 min for completion. This ‘induction period’ varies according to species as well as the induction state of the leaf concerned. Three different processes are involved; namely (1) buildup of PCR cycle intermediates and in particular ribulose-1,5-bisphosphate (RuBP), (2) light-dependent activation of Rubisco, and (3) light-dependent opening of stomata. Each of these processes follows a different time-course. Buildup of a metabolite pool is fastest (1–2 min), followed by Rubisco activation (2–5min) and finally stomatal opening (up to 60 min). Relaxation in low light is more protracted but generally occurs in the same sequence, leading to a decline in the induction state.

12.1-Ch-Fig-12.18.png

Figure 12.18 Loss of photosynthetic induction state in Alocasia macrorrhiza following transfer from saturating light to low light. Replicate determinations represented by different symbols and error bars. (J.R. Watling et al. 1997a, b)

Thus, the longer a leaf has been in low light, the lower it’s the induction state. Figure 12.18 illustrates this for a leaf of Alocasia macrorrhiza, a plant common in rainforest understoreys and forest edges in eastern Australia. Fully-induced leaves were transferred to low light (10 µmol quanta m-2 s-1) for different lengths of time (up to 60 min). Their induction state was determined as the proportion of light-saturated photosynthetic capacity (Pmax) achieved within 2 min after return to saturating light. Induction loss in Alocasia, therefore, has a half time of about 25 min, but other species have been found to be either faster (e.g. Adenocaulon bicolor, an understorey herb from the redwood forests of western USA; Pfitsch and Pearcy 1989) or slower (e.g. Castanospora alphandii, a shade-tolerant tree from Australian rainforests; Watling et al. 1997a, b).

Chazdon and Pearcy (1986) showed that continuous light is not needed for induction to proceed. If leaves were subjected to a series of 60 s lightflecks (artificial sunflecks) separated by 2 min of low light, then induction state increased with each successive lightfleck. In nature, sunflecks are often clustered with a sequence of irregular bursts, separated by dull periods of variable duration. Under these circumstances, the state of induction might improve such that a plant will respond more rapidly to closing sunflecks in each sequence. This is supported by the data of Chazdon and Pearcy (1986), where the efficiency with which a sequence of lightflecks was utilised increased with successive lightflecks (efficiency was calculated as the actual amount of carbon fixed during a lightfleck relative to the amount predicted if there had been no induction period).

Carbon gain by fully induced leaves during lightflecks can exceed that expected, resulting in improved efficiency of light utilisation. This ‘intermittency phenomenon’ was noted by Kriedemann et al. (1973) in grapevine leaves exposed to high-frequency lightflecks. Similar investigations in a number of other species have also shown that such enhancement occurs only with short-duration lightflecks and is more prominent in fully induced leaves. Alocasia macrorrhiza showed improved efficiency of lightfleck utilisation by fully induced leaves only when lightflecks were of 40 s duration or less. Un-induced leaves needed lightflecks 10s or shorter (Chazdon and Pearcy 1986).

This apparent improvement in light use efficiency results from continued carbon fixation in low light (or darkness) following a lightfleck. During a short lightfleck, pools of triose phosphate and RuBP build up because carbon fixation runs transiently slower than the light reactions. This pool of PCR intermediates is then used for post-illumination CO2 fixation. In rainforest understoreys, where sunflecks are generally longer than a few seconds, this kind of enhancement is unlikely to be important. However, it may contribute significantly to carbon gain under crop canopies, where sunflecks are much shorter and more frequent.

One consequence of generally low photosynthetic capacities in understorey plants is a limited ability to process the light energy they absorb during strong sunflecks. This limited ability can also be exacerbated by a low induction state. Under these conditions, understorey plants will need to dissipate excess energy if they are to avoid photodamage. Field measurements of chlorophyll fluorescence from A. macrorrhiza show a decline in the quantum yield of photosynthesis (measured as Fv/Fm) during saturating sunflecks, indicating that photoprotective mechanisms are probably being engaged. Simultaneous assessment of the xanthophyll pigments shows that interconversion of violaxanthin to zeaxanthin is also occurring. After the sunfleck has passed, conversion of zeaxanthin to violaxanthin is extremely slow in species such as A. macrorrhiza, perhaps allowing a more rapid photoprotective response for subsequent sunflecks. However, quantum yield increases more rapidly than xanthophyll reconversion on return to low light, demonstrating a requirement for both high ΔpH and zeaxanthin for internal photoprotection to occur (Watling et al. 1997b).

Engagement of photoprotective mechanisms by shade-tolerant plants in an understorey environment may seem surprising, but serves to illustrate the extent of spatial heterogeneity in resource availability which is a feature of most habitats.

Feature essay 12.1 - Perspectives on photoprotection and photoinhibition

Barry Osmond

12.1-FE-Fig-1.png

Figure 1 Barry Osmond contemplating photoprotection during sun flecks in a rainforest understorey at the Australian National Botanic Gardens, Canberra

Plants often harvest more light than they can use in photosynthesis. When they are exposed to excess light there is an ever-present possibility of photoinhibition. This may happen when tree fall produces a rainforest gap and suddenly exposes seedlings adapted to life on a forest floor to sustained 10- or 20-fold increases in photon irradiance, or when water stress or low temperature restricts access to CO2 in sun plants. The photochemical efficiency of light utilisation (\(\phi_{PSII}\)) declines rapidly, and in most cases reversibly. Usually the excess light is wasted as heat, instead of being used to drive assimilation. These reversible changes in efficiency are known as photoprotection, and, if adequate, photoinhibitory damage to the water splitting PSII reaction center (photoinactivation) is avoided. Plants must constantly manage the trade-off between photoprotection and photoinactivation, while optimizing the photochemical efficiency of PSII.

Some of the earliest systematic studies of photoinhibition were done by A. Ewart (1896) in Pfeffer’s laboratory in Leipzig 120 years ago (Figure 2). He examined the effects of excess light on the ability of chloroplasts in leaves to evolve O2. He detected this by examining the movement of O2-requiring bacteria towards photosynthetically active cells in leaf sections. Ewart is best remembered because he went on to translate three volumes of Pfeffer’s famous textbook (The Physiology of Plants) into English, and later became the first Professor of Plant Physiology in Australia (University of Melbourne, 1904).

12.1-FE-Fig-2.png

Figure 2 Photoinhibitory printing of excerpts from the first page of Ewart's paper on assimilatory inhibition on a leaf of the shade plant Cissus antarctica. A microfilm negative of the text was paper clipped to the leaf which was exposed to full sunlight for an hour. Chlorophyll fluorescence was subsequently imaged with a special video camera. Those areas of the leaf exposed to strong light under the text show severely reduced fluorescence due to photoinhibition. The latent image persists for several weeks because these shade plants repair photoinhibitory damage only slowly (Osmond et al. 1999)

Modern research on photoinhibition of light reactions of photosynthesis was strongly influenced by the Dutch biophysicist Bessel Kok (1956), responsible for so many advances in photosynthetic research, and by the early field studies of CO2 exchange by Björkman and Holmgren (1963) in Sweden. Björkman’s sabbatical in Australia in 1971 stimulated renewed interest in photoinhibition, and with Australian and German collaborators, research in his Stanford laboratory has repeatedly changed the way people think in this field (Powles 1984; Demmig-Adams and Adams 1992). Australian research in photoinhibition continues to attract attention (Anderson et al. 1997; Matsubara et al. 2012; Jia et al. 2013). Although modern research techniques such as in vivo chlorophyll fluorescence are much more quantitative and field-portable, the questions being probed are remarkably similar to those studied by Ewart!

By and large, leaves on most plants cannot avoid harvesting light, but some have evolved with external features to forestall absorption of excess radiation. For example, leaves of desert plants often reflect a large part of incident light, the high reflectivity being due to hairs, salt crusts (as in Australian saltbushes such as Atriplex nummularia) or epidermal waxes (Robinson et al. ). Such features are effectively mechanisms for external photoprotection. In others such as Townsville stylo (Macroptilium atropurpureum) leaves demonstrate very effective light-avoiding responses when water stressed. Ludlow and Björkman (1984) showed that if leaves of Townsville stylo were restrained perpendicular to incident sunlight, high-temperature-dependent photoinhibition ensued. It was obvious that unrestrained movement in the field preserved green and functional stylo leaves under conditions that accelerated senescence of leaves on adjacent herbs and grasses. By way of contrast, in some species like the compass plant (Lactuca scariola) leaves actually track the sun’s movement to maximise light interception.

The best defence against photoinhibition is a photosynthetic apparatus organised to take advantage of bright light. Sun plants have high capacities for CO2 fixation and retain high photosynthetic efficiency at relatively high photon irradiance (see Figure 12.9, and Case study 12.1). Depending on photosynthetic pathway and environmental conditions, sun plants may also sustain high rates of non-assimilatory electron transport in carbon recycling during oxygenase photorespiration (Section 2.3) and in the water-water cycle (Mehler reaction; Asada 1999) in the absence of net CO2 fixation during stress. Sun plants are also well endowed with photoprotective mechanisms that facilitate a reversible downregulation of PSII efficiency and stimulate wastage of absorbed photons as heat in the antennae pigment–protein complexes, before transfer to the reaction centre of PSII. These processes, linked to the energetic status of thykaloids and the interconversion of xanthophyll pigments (Section 12.1.2), provide internal photoprotection for PSII reaction centres (Demmig-Adams and Adams 1992). Sun exposed leaves of some epiphytes with low photosynthetic capacity, such as dodder and mistletoes have two xanthophyll cycles and so seem doubly photoprotected (Matsubara et al. 2002). Collectively known as mechanisms of non-photochemical quenching (NPQ) of chlorophyll fluorescence, these mechanisms that protect against photoinactivation have become a remarkably active realm of plant structural biology (Osmond 2015).

For the most part, these antennae-based processes seem to accommodate photon excess in most natural environments. However, when photon excess is sustained, especially in combination with other stresses, photoinhibitory damage leading to photoinactivation of PSII reaction centres may follow. The site of damage in most cases seems to be the psbA gene product, the D1 protein which is the most rapidly turned over protein in chloroplasts. The D1 protein is also the binding site for the triazine family of herbicides and accounts for their lethal effects. Turnover of D1 is accelerated in bright light, and it is often described as the ‘suicide protein’ (Aro et al. 1993; Chow and Aro 2005). Sun plants have high rates of chloroplast protein synthesis, and are thus able to repair damage to the critical D1 protein of PSII reaction centres more readily than in shade plants (Section 1.2).

Shade plants, in which the photosynthetic apparatus is organised to take advantage of low light, are poorly endowed with all of the above processes. Some, such as the archetypical Australian shade plants Alocasia and South American Tradescantia (Park et al. 1996) show the dynamic internal light avoidance property of chloroplast movement to anticlinal cell walls in strong light. However, when exposed to sustained bright sunlight, in excess of that encountered during growth, shade-tolerant plants such as Alocasia at the margins of Queensland rainforests suffer photoinhibitory damage. Structural organisation of the photosynthetic apparatus reflects these biophysical and bio-chemical realities at all levels, and not surprisingly the very different granal structures of shade and sun plants have important implications for photoinhibitory damage (Anderson and Aro 1994; Matsubara et al. 2012). In the short term, shade plants accommodate bright light in sunflecks without photoinhibitory damage, and even exploit it for additional post-illumination CO2 exchange (Chazdon and Pearcy 1986; Pearcy and Way 2012).

Somewhat surprisingly, the inner canopy shade leaves of some trees, especially those of tropical origin, are also equipped with two xanthophyll cycles (García-Plazaola et al. 2007). For example, inner canopy avocado shade leaves engage the near universal, initially rapidly relaxing violaxanthin cycle during a strong sun fleck. If these leaves are exposed to prolonged sunlight (following a cyclone for example) the slowly relaxing lutein epoxide cycle “locks in” photoprotection. A traffic-light inspired holistic summary light intensity- and time-dependent interaction of these photoprotective processes is illustrated in Fig. 3 (Jia et al 2013). Photoacclimation to bright light, the successful long-term accommodation of photoinhibitory processes, is genetically limited in many species. Yet in avocado it is manifest as the retrofitting of old shade leaves to perform as sun leaves, with increased photosynthetic capacity and enhanced photoprotection involving two xanthophyll cycles.

12.1-FE-Fig-3.png

Figure 3 The Yin and Yang of photoinhibition. Depending on genotype, irradiance and time the extent of photoinhibition (indicated by decline in ϕPSII) proceeds through engagement of internal mechanisms of photoprotection (indicated by the extent of NPQ). Rapidly reversible (seconds to minutes) NPQΔpH potentiates the more slowly reversible (minutes to hours) de-epoxidation of violaxanthin to antheraxanthin and zeaxanthin (NPQΔAZ) in light harvesting antennae of PSII in thylakoid membranes. In some plants, such as avocado, this photoprotection is augmented by a second de-epoxidation of lutein epoxide to lutein (NPQΔLAZ) that may persist for days. If still inadequate it will be followed by similarly slowly recoverable PSII reaction centre photoinactivation (NPQPI). (Reproduced from Jia et al. 2013. Plant Physiology 161, 836-852; Copyright American Society of Plant Biologists)

Although unicellular algae such as Chlamydomonas sp. have been widely used to research mechanisms of photoinhibitory damage (Förster et al. 2005), relatively much less is known of photoinhibition in either marine or freshwater environments. Under natural conditions, vertical movement of unicellular algae in water columns is an important determinant of photon exposure and photoinhibitory responses, which involve many of the same processes as in higher plants (Franklin et al. 2003). In addition, the ubiquitous marine macrophyte Ulva is susceptible to desiccation and high-temperature-dependent photoinhibitory damage in rock pools and estuaries when low tides occur at midday. The diversity of photosynthetic pigments among marine macrophytic algae suggests several alternative photoinhibitory mechanisms that are currently under investigation.

Clearly, photoinhibition is an integral and indispensable component of photosynthesis. The inefficiencies it produces in light utilisation are essential to the stability of the photosynthetic apparatus in organisms that depend on light for life, and especially in environments where they can do little to regulate the incoming flux of this basic resource. The costs of these inefficiencies remain difficult to estimate and the extent to which plant distribution in relation to sunlight is governed by photoinhibitory responses, remains controversial. Perhaps one of the most convincing examples is the interaction of bright light and low temperature which restricts re-establishment of eucalyptus seedlings to the shaded south side of parent trees on the Southern Highlands of New South Wales (Ball et al. 1991; Case study 14.1). New techniques for the remote sensing of chlorophyll fluorescence that monitor photosynthesis, photoprotection and photoinhibition offer exciting insights that will facilitate integration of these processes from leaves to canopies (Nichol et al. 2012) with the added prospect of ground truth for satellite observation of solar induced fluorescence at the landscape level. As with most aspects of plant biology today, genetic manipulations of many aspects of the above component photoprotective mechanisms are mooted to benefit plant productivity through mitigation of various aspects of photoinhibition (Ort et al. 2015).

This revision and update of Feature Essay 12.1 is dedicated to the memory of Professor Jan M Anderson (1932-2015) for her outstanding leadership and encouragement of Australian research in photosynthesis.

References

Anderson JM, Aro E-M (1994) Grana stacking and protection of photosystem II in thylakoid membranes of higher plant leaves under sustained high irradiance: an hypothesis. Photosyn Res 41: 315–326.

Anderson JM, Park Y-I, Chow WS (1997) Photoinhibition and photoprotection in nature. Physiol Plant 100: 214–223.

Aro E-M, Virgin I., Andersson B (1993) Photoinhibition of photosystem II. Inactivation, protein damage and turnover. Biochim Biophys Acta 1134, 113–134.

Asada K (1999) The water-water cycle in chloroplasts: scavenging of active oxygens and dissipation of excess photons. Annu Rev Plant Physiol Plant Mol Biol 50, 601-639.

Ball MC, Hodges VS, Laughlin GP (1991) Cold-induced photoinhibition limits regeneration of snow gum at treeline. Funct Ecol 5: 663–668.

Björkman O, Holmgren P (1963) Adaptability of the photosynthetic apparatus to light intensity in ecotypes from exposed and shaded habitats. Physiol Plant 16, 889–914.

Chazdon RL, Pearcy RW (1986) Photosynthetic responses to light variation in rainforest species. II Carbon gain and photosynthetic efficiency during lightflecks. Oecologia 69: 524–531.

Chow WS, Aro E-M (2005) Photoinactivation and mechanisms of recovery. In ‘Photosystem II. The light-driven water: plastoquinone oxidoreductase advances in photosynthesis and respiration’, Vol. eds TJ Wydrzynski, K Satoh, JA Freeman. 627–648, Springer, Dordrecht, The Netherlands)

Demmig-Adams B, Adams III WW (1992) Photoprotection and other responses of plants to high light stress. Annu Rev Plant Physiol Plant Mol Biol 43: 599–626.

Ewart AJ (1896) On assimilatory inhibition in plants. J Linnean Soc 31: 364-461.

Förster B, Osmond CB, Pogson BJ (2005) Improved survival of very high light and oxidative stress is conferred by spontaneous gain-of-function mutations in Chlamydomonas. Biochim Biophys Acta (Bioenerg) 1709, 45-57.

Franklin LA, Osmond CB, Larkum AWD (2003) Photoinhibition, UV-B and algal photosynthesis. In Photosynthesis in Algae. Advances in Photosynthesis and Respiration, Vol. eds AWD Larkum, SE Douglas, J A Raven. 351-384, Kluwer, Dordrecht.

García-Plazoala J-I, Matsubara S, Osmond CB (2007) The lutein epoxide cycle in higher plants: its relationship to other xanthophyll cycles and possible functions. Funct Plant Biol 34, 754-779.

Jia HS, Förster B, Chow WS et al. (2013) Decreased photochemical efficiency of Photosystem II following sunlight exposure of shade-grown leaves of avocado (Persea americana Mill.): because of, or in spite of, two kinetically distinct xanthophyll cycles? Plant Physiol 161: 836-852.

Kok B (1956) On the inhibition of photosynthesis by intense light. Biochim Biophys Acta 21: 234–244.

Ludlow MM, Björkman O (1984. Paraheliotropic leaf movement in Siratro as a protective mechanism against drought-induced damage to primary photosynthetic reactions: damage by excessive light and heat. Planta 161: 505–518.

Matsubara S, Gilmore AM, Ball MC et al. (2002) Sustained down regulation of photosystem II in mistletoes during winter depression of photosynthesis. Funct Plant Biol 29: 1157-1169.

Matsubara S, Förster B, Waterman M et al. (2012) From ecophysiology to phenomics: some implications of photoprotection and shade-sun acclimation in situ for dynamics of thylakoids in vitro. Phil Trans Royal Soc London B 367: 3503-3514.

Nichol CJ, Pieruschka R, Takayama K et al. (2012) Canopy conundrums: building on the Biosphere 2 experience to scale measurements of inner and outer canopy photoprotection from the leaf to the landscape. Funct Plant Biol 39: 1-24.

Ort D R et al. (2015) Redesigning photosynthesis to sustainably meet global food and bioenergy demand. Proc Nat Acad Sci USA 112: 8529-8536.

Osmond B, Schwartz O, Gunning B (1999) Photoinhibitory printing on leaves, visualised by chlorophyll fluorescence imaging and confocal microscopy, is due to diminished fluorescence from grana. Aust J Plant Physiol 26: 717-724.

Osmond B (2015) An ecophysiologist’s apology. Book Review: Non-photochemical Quenching and Energy Dissipation in Plants, Algae and Cyanobacteria, Advances in Photosynthesis and Respiration, Vol 40. eds B. Demmig-Adams, G. Garab, W.W. Adams III and Govindjee (eds) (2014), Springer, Dordrecht. Photosyn Res 124:127-130

Park Y I, Chow WS, Anderson JM (1996) Chloroplast movement in the shade plant Tradescantia albiflora helps protect photosystem II against light stress. Plant Physiol 111: 867-875.

Pearcy RW, Way DA (2012) Two decades of sunfleck research: looking back to move forward. Tree Physiol 32 1059-1061.

Powles SB (1984) Photoinhibition of photosynthesis by visible light. Annu Rev Plant Physiol 35: 15-44.

Robinson SA, Lovelock CE, Osmond CB (1993) Wax as a mechanism for protection against photoinhibition - a study of Cotyledon orbiculata. Bot Acta 106: 307-312.

12.2 - Agricultural production and light

Solar radiation is linked to agricultural productivity via biomass production and allocation to harvested parts such as grains and fruit. Radiation in this context is in relation to canopy photosynthesis. Biomass is derived from photosynthesis, but is less than the total carbon that is assimilated due to a large respiratory loss by the plant (see Case study 12.1). Carbon lost via respiration is, however, a fairly constant proportion of photosynthesis, and thus variation in canopy photosynthesis is sufficient to account for variation in biomass production.

How then does interception of photosynthetically active radiation (PAR) or photon irradiance affect biomass production and allocation to crop yield? Three steps are considered in this section: (1) variation in the incident PAR during crop growth, (2) interception of PAR by a crop canopy and (3) efficiency of PAR conversion into biomass and yield.

Crop yield commonly depends on the total amount of light intercepted, particularly when crop growth is not limited by other factors such as nutrient or water deficiency or temperature extremes. One example highlighting the importance of solar radiation for crop yield comes from a comparison of rice crops in Australia with those grown in tropical areas.

Rice in Australia is grown almost exclusively in southern New South Wales during dry summer months (November–March). Crops are fully irrigated and well fertilised and yield around 9 t ha–1. This high yield is associated with high incident solar energy (commonly 10–15 MJ m–2 d–1 PAR) during the long growing season. In tropical Asian countries, rice is commonly grown under cloudy conditions during the wet season (June–November). Yield is lower (4–5 t ha–1) even with high nutrient inputs, because of a shorter growing season and lower solar energy (often around 8–10 MJ m–2 d–1 PAR). Experiments with shading treatments have shown that growth and yield of rice and many other agricultural crops, are reduced by decreased solar radiation.

12.2.1 - Leaf area index and canopy light climate

Interception of light by a crop canopy is strongly related to total or canopy leaf area. A crop will thus intercept more light and hence grow faster if it develops the canopy leaf area rapidly. This principle applies to both annual crops, which are usually planted at the beginning of a growing season and to perennial crops, which resume growth after a dormant season. Leaf area development of sugar cane, for example, is generally slower in the year of planting compared with a subsequent ratooned crop, where canopy regrowth is enhanced by stored photoassimilates. By analogy with early canopy expansion, retention of green leaves late in a growing season also extends light interception and enhances storage of photoassimilates. This is also true for perennial crops. For some deciduous horticultural crops, leaf area expansion is also rapid because of preformed primordia which emerge rapidly and comprise the largest leaves (Greer 1996).

The leaf area index (LAI) is the ratio of total projected leaf area (one side only) per unit ground area, and is widely used to characterise the canopy light climate. A canopy where LAI equals 1 has a leaf area equal to the soil surface area on which it grows. This does not mean all light is intercepted, because some leaves overlap, leaving gaps. Moreover, not all leaves are positioned at right angles to the incident radiation. A crop under favourable growing conditions increases LAI rapidly during early development to a maximum of 3 to 7.

12.1-Ch-Fig-12.19.png

Figure 12.19 Changes in leaf area index (LAI) (a), light interception (b), and the overall relationship between light interception and LAI (c) for three species, sorghum, maize and rice in South Sast Queensland. (P. Inthapan and S. Fukai, Aust J Exp Agric 28: 243-248, 1988)

An example of LAI development of three tropical cereal crops grown under well-watered conditions in South East Queensland is given in Figure 12.19. Sorghum showed a more rapid increase in LAI than did maize, largely because of a higher sowing density (33 v. 5.6 plants m–2). A late maturing rice crop showed slowest leaf area development during early stages of growth, but the maximum LAI was none the less higher for rice than for maize. As a general rule, maximum LAI is achieved just prior to flowering in cereal crops. By that stage, growing points are differentiating floral rather than leaf primordia, and initiation of new leaves has ceased.

Some cereal crops lose leaves and the LAI declines during grain filling as crops mature. Differences in LAI development among the three crops (Figure 12.20a) are evident in light interception by the respective canopies (Figure 12.19b); interception prior to 60 d was highest in sorghum and lowest in rice. However, in all three crops, canopy light interception increased rapidly during early stages of growth. Incident radiation was almost completely intercepted once a high LAI had been achieved.

Despite wide variation in crop phenology, sunlight interception and LAI maintain a tight curvilinear relationship (Figure 12.19c). Thus, interception increases sharply with increases in LAI to about 90% once LAI exceeds 4, and approaches an asymptote at higher LAI, see also Figure 12.20 from Khurana and McLaren (1982). In this research on potato, numerous treatments were imposed, involving different storage of seeds at low temperatures including apically and multisprouted seed treated at 4 and 12 °C and then at 8 °C before planting. In Treatment1, the trial included unsprouted seed stored at 4 °C, in Treatment 2, the trial included seed stored in the dark and in Treatment 3, two additional sprouting treatments were mixed alternately along the row. Such a relationship between LAI and light interception applies to many crops, and emphasises (1) the importance of a rapid increase in LAI during early stages of growth, and (2) a requirement for only moderate LAI to achieve effective light interception. Indeed, excessive leaf area development can be counter-productive, because reproductive development, and hence economic yield, may be reduced due to self-shading and resource allocation to leaf production (such as for fruit trees and grapevines, Section 12.4).

12.2-Ch-Fig-12.20.png

Figure 12.20 The proportion of incident radiation intercepted by potato canopies as a function of leaf area index. The different symbols indicate agronomic treatments over two growing seasons. In 1979: □ cv. Record, ○ cv. Pentland Crown. In 1980: cv. Pentland Crown with three treatments (see text): ●Treatment 1, ▲Treatment 2, ■ Treatment 3. (Based on Khurana and McLaren 1982)

The time-course of light interception during crop growth can be manipulated to some extent by farmers. For example, seeding rate is an important management option which affects interception and subsequent crop growth and yield. A high seeding rate would produce a high plant population density and a high LAI at crop establishment. This hastens canopy interception and hence biomass production would be promoted. Any advantage of a high plant density may, however, disappear with time during crop growth, because radiation interception of a medium plant density may eventually catch up with that of the high density (Figure 12.21).

12.2-Ch-Fig-12.21.png

Figure 12.21 Changes in dry matter (a), leaf area index (LAI) (b), and photon irradiance at ground level (c) for wheat crops grown at five different densities, 1.4, 7, 35, 154 and 447 plants m-2 for treatments 1 to 5 respectively. (D.W. Puckridge and C.M. Donald, Aust J Agric Res 18: 193-211, 1967)

In this case, density 3 (35 plants m–2) was sufficient for radiation interception and plant dry matter production. If plant density is very low, shown as density 1 (1.4 plants m–2) or density 2 (7 plants m–2) in Figure 12.21, LAI never exceeded 2 and final biomass at harvest was much smaller than values returned from higher densities. Solar radiation was not fully intercepted and hence wasted at low planting density, and potential yield (dry mass produced per unit area) was never realised.

As solar radiation penetrates a crop canopy, PAR is intercepted by leaves and photon irradiance commonly declines exponentially with cumulative leaf area (i.e. depth in Figure 12.23), according to the exponential relationship:

\[ I = I_0 e^{-kL} \tag{12.1} \]

where \(I\) is horizontal photon irradiance within a canopy, \(I_0\) is horizontal photon irradiance above that canopy, \(L\) is LAI from the top of the canopy to the point where \(I\) is determined, and \(k\) is an extinction coefficient (a more explicit formulation for PAR attenuation through a forest canopy is given in the next section).

12.2-Ch-Fig-12.22.png

Figure 12.22 Total dry matter production at harvest of several different crops as a function of the total amount of solar radiation intercepted over the whole growing season. (Based on Monteith 1977)

Large \(k\) values imply that photon irradiance decreases rapidly with depth, whereas a canopy with a small \(k\) would allow solar radiation to penetrate deeply, for a similar leaf area profile. Variation in \(k\) value is commonly associated with leaf angle. Canopies with more horizontal leaves, such as sun-flower or cotton, have large \(k\) values, often 0.7–1.0, whereas those with more erect leaves, such as barley and sugar cane, have small values, often 0.3–0.6.

Irrespective of the canopy extinction, there is a strong relationship between the light intercepted by the canopy over the growing season and the total dry matter produced for a number of crops (Fig. 12. 22). Thus, it is imperative on growing crops to manage the LAI to achieve maximum light interception from the early part of the season to maximise production of dry matter.

 

12.2.2 - Light use efficiency

12.2-Ch-Fig-12.23.png

Figure 12.23 A hypothetical wheat ideotype with features presumed conducive to high grain yield as a crop community. (C. M. Donald, Euphytica 17: 385-403, 1968)

Sunlight intercepted is not utilised with similar efficiency by different crops. There are clear differences in light use efficiency between crop species, particularly between those with C3 and those with C4 photosynthetic pathways. The photosynthetic advantage of C4 species at a leaf level is evident here at a canopy level, where efficiency is higher by 30–100%. Expressed in terms of dry mass formed (g) per unit of photosynthetically active energy absorbed (MJ), the efficiency of sorghum and maize (C4 photosynthesis) in Figure 12.19 was 1.32 g MJ–1, while that of rice (C3 photosynthesis) was only 0.93 g MJ–1.

Canopy structure, and particularly the spatial distribution of leaf angles, has an important bearing on the canopy light climate and energy conversion. Large leaf angles, with leaves close to vertical, ensure good light penetration when solar angle is high, and a high proportion of leaves receive similar photon irradiances. An even distribution of light at leaf surfaces is advantageous for canopy photosynthesis and improves light use efficiency over canopies where upper horizontal leaves intercept most solar radiation and lower leaves experience greatly attenuated levels. Small and erect leaves, particularly in top canopy layers, are thus a key feature of an ideal plant type, or ‘ideotype’ for high-density cropping (Figure 12.23).

Canopy radiation climate is especially complex in mixed crops and pastures where species with contrasting forms grow together. In grass–legume pastures, grass is generally taller than the legume component and is better placed to intercept incident radiation. Legumes then exist in permanent shade. Height is, therefore, an important determinant of light interception within a mixed sward, and thus species composition. In such mixed swards, management options such as nitrogen fertiliser application, grazing time or cutting frequency all affect the relative height and hence radiation interception by component species. High-nitrogen fertiliser tends to favour grass, while clover may become dominant under nitrogen-limiting conditions.

12.2-Ch-Fig-12.24.png

Figure 12.24 Photon irradiance declines with depth (cumulative LAI) in any plant community. That rate of decline is accentuated by a preponderance of horizontal leaves. (W.R. Stern and C.M. Donald, Aust J Agric Res 13: 599-614, 1962)

Light profiles within a pasture are, therefore, affected by LAI profiles of component species (Figure 12.24), and a clover-rich sward with more horizontal leaves (N0, no added nitrogen) shows stronger attenuation of sunlight than a grass-rich sward with a preponderance of vertical leaves (N225, nitrogen added). In common with monocultures, pasture productivity is enhanced by a species balance that ensures even distribution of sunlight within a mixed community.

12.3 - Forest production and light

Tree canopies cast shadows, especially on clear days, indicating absorption of radiant energy. Averaged over space and time, the photosynthetically active component of that energy is efficiently employed and drives growth. Acquisition of energy and carbon by plants is thus determined by total leaf area, leaf surface distribution within the canopy and photosynthetic capacity of individual leaves. Productivity will ultimately depend on distribution of photosynthetic performance throughout the canopy as a whole, which in turn, is determined by the photosynthetic capacity of individual leaves and the distribution of sunlight.

Plant canopies are structurally diverse because of unique spatial patterns that different species adopt for intercepting light and the diversity of plant species which occupies a natural community. For example, there is considerable penetration of sunlight through the canopy of a dry eucalypt forest. Conversely in dense rainforest or in a radiata pine plantation, only sunflecks reach the ground. A considered glance from ground to tree top reveals why these dissimilarities occur (Figure 12.25).

12.3-Ch-Fig-12.25.png

Figure 12.25 A fish-eye view of tropical forest in Cameroon, West Africa, showing species diversity and canopy layering. (Photograph courtesy D. Eamus)

Experiments were in progress at this site in Cameroon on microclimate responses to forest management. Trees had been clear felled mechanically, clear felled manually or selectively cleared. Growth rate of newly planted saplings was measured in these plots and compared to growth in undisturbed plots. Hemispherical photographs were used to calculate change in canopy cover and solar radiation load on different plots (shown here). Hemispherical photographs can also be used to calculate potential contribution from sunflecks by plotting the sun's path across a photograph.

The first reason for such dissimilarities is based on canopy density or the quantity of leaf area per unit canopy volume. This index is substantially less for a dry eucalypt forest than that for a rainforest or pine forest. The second reason relates to the display of the foliage. Adult leaves of eucalypts are typically pendulous, allowing much of the incident light and energy to pass uninterrupted through the canopy and to reach the ground. Conversely, in a diverse rainforest, many species display their leaves at shallower angles to the horizontal, thereby absorbing a larger proportion of incident radiation and preventing much of the incident light and energy being transmitted to the ground.

12.3.1 - Canopy architecture and light interception

In a complex system like a rainforest, the canopy is arranged in horizontal layers, the distribution of leaf area with height being associated with the development in space and time of the diversity of species. However, even in monocultures it is convenient to consider the canopy as being horizontally uniform and the level of radiation constant in any layer. Even here, attenuation of light through the canopy is complicated by changing availability, quality and direction of incident light and it is necessary to make some simplifying assumptions when calculating the proportion of light that is intercepted.

The Beer–Lambert Law, which describes absorption of light by plant pigments in solution, provides a simple approach which has been applied widely to a range of canopies. This function demonstrates that the absorption of light will be more or less decline exponentially with increasing intercepting area down through the canopy. Absorption of sunlight by photosynthesis occurs within a well-defined spectral band (400–700 nm) and matches a peak in energy distribution across the wavelength spectrum of sunlight transmitted to the earth’s surface through our atmospheric window (as shown in Figure 12.1 at the start of the chapter).

Sunlight in this waveband can be represented as either a quantum flux or a radiant energy flux. Quantum flux, or more explicitly, photosynthetic photon flux density (PPFD, PAR), is simplified here to ‘photon irradiance’ (\(Q\)) and has units of µmol quanta m–2 s–1 (‘µmol quanta’ rather than ‘µmol photons’ because quantum energy derived from photons drives photosynthesis). For the sake of making a clear distinction, radiant energy flux is simplified to ‘irradiance’. In the present example, irradiance coincides with photosynthetically active radiation (PAR) and is expressed as joules (J) per square metre per unit time. Depending on the application, time can span seconds, days or years, and is then coupled with either joules, megajoules (MJ) or gigajoules (GJ).

On clear days, PAR represents about half of the total shortwave (solar) radiation or radiant energy flux \(I\) (expressed as J m–2 s–1) incident on a canopy, and is totally responsible for photosynthesis. If changes in the spectral distribution of energy as it passes through the canopy are ignored, \(I\) and PPFD can be used interchangeably in the analysis below. In practice, PPFD is attenuated more rapidly than \(I\) (that is, there is a proportionally larger change in PAR than total solar radiation (\(I\)) in moving from top to bottom of the canopy) because leaves are relatively transparent to the near-infrared part of the solar beam.

Application of the Beer–Lambert Law shows that at any level of cumulative area \(F\) within the canopy, the rate of change of photon irradiance, \(Q\), within the canopy is given by:

\[ \mathrm{d} Q / \mathrm{d} F = -kQ_F \tag{12.2} \]

where \(k\) is the extinction or foliar absorption coefficient, a dimensionless parameter. \(k\) measures the fraction of incident photons absorbed by a unit of leaf area or conversely the fraction of leaf area projected onto the horizontal from the direction of the incident beam. For many species, foliage in the vertical plane is distributed approximately symmetrically about the midpoint of the canopy and most absorption of light will occur in the middle of the canopy. After integration, \(Q_F\) at any level \(F\) is given by:

\[ Q_F = Q_0 e^{–kF} \tag{12.3} \]

where \(Q_0\) is the PAR incident at the top of the canopy. At the base of the canopy, \(F\) is equal to the leaf area index (LAI), a dimensionless number which expresses total projected leaf area of the canopy as a ratio of the ground area over which it is displayed. Thus the level of interceptance is an exponential function of the product \(kF\). If a value of 0.5 is assigned to \(k\), then 95% light interception occurs at \(kF = 3\) which is equivalent to an LAI of 6 m2 leaf area m–2 ground area. Maximum values of LAI vary with species, site, stress and season.

In practice, \(k\) is not a constant value for any canopy and varies with solar elevation, the ratio of direct to diffuse beam irradiance and any changes in canopy structure or leaf inclination and orientation which occur seasonally or in response to the movement of leaves (e.g. heliotropism). For the majority of canopies, \(k\) varies from 0.3 to 1.3. Canopies with erectophile leaves (e.g. grasses) and high leaf angles to the horizontal or with a clumped distribution have a lower \(k\) and intercept less light per unit of foliage compared to canopies with planophile leaves with a higher \(k\) (e.g. clovers) and low leaf angles or a regular distribution. The cumulative leaf area required to intercept 95% of the radiation incident at the top of the canopy will be greater for canopies dominated by erectophile leaves or having a clumped distribution.

In many species and plant communities, leaf inclination may change from erectophile at the top of the canopy to planophile at the bottom. This allows more even distribution and interception of light and reduces the proportion of leaves which is exposed at the top of a canopy to levels of light which are saturating for photosynthesis and, conversely, reduces the proportion of leaves at the bottom of a canopy which is exposed to levels below the light-compensation point for photosynthesis. For a canopy with leaves distributed randomly with respect to orientation and inclination, \(k\) is approximately 0.5 (Monteith and Unsworth 1990) and this value is commonly assigned to \(k\) in the literature.

12.3.2 - Canopy productivity

Photosynthesis is driven by the fraction of radiation intercepted by the canopy and gross photosynthetic production (\(A_g\)), a measure of the total amount of CO2 fixed in photosynthesis, can be expressed as:

\[ A_g = A_0 [1 - exp(-kS_{a}W_{l})] \tag{12.4} \]

\(A_0\) is the gross photosynthetic production at full light interception and \(S_{a}W_{l}\) expresses LAI as the product of specific leaf area (\(S_{a}\), the ratio of leaf area:leaf dry mass) and dry mass of leaf organic matter (\(W_{l}\), often approximated as leaf dry mass).

Efficiency of light conversion to biomass (\( \varepsilon \))

As implied by Equation 12.4, there is a proportional relationship between production of dry mass and interception of radiation (see Fig. 12.22), while LAI is a major determinant of photosynthetic production. The slope of this relationship is a measure of the conversion efficiency (\( \varepsilon \)) of light (photon irradiance if based on PAR) or irradiance (\(I\) if based on shortwave radiation) to dry mass. \( \varepsilon \) has units of g MJ–1 and values based on photon irradiance are approximately twice those based on \(I\). \( \epsilon \) can be considered to be the canopy-scale equivalent of \( \varphi \), the quantum yield of individual leaves. Values of \( \varepsilon \) based on absorbed radiation are net of any light or radiation that is reflected upward from the direction in which the incident value is measured.

This proportional relationship was first clearly defined in the above terms for the seasonal growth of temperate agricultural and horticultural crops in Britain (Monteith 1977, Fig. 12.22). It has since been shown to hold for a range of vegetation types and environments. Proportionality occurs because photosynthesis by most leaves in a canopy tends to be light limited. Consequently any increase in light intercepted or absorbed results in an increase in dry mass production. As crops grow from establishment or plant communities develop from a state of initial colonisation to maturity, LAI increases, and a greater leaf surface results in greater levels of light interception and rates of growth.

12.3-Ch-Fig-12.26.png

Figure 12.26 Above-ground dry mass production and intercepted radiation for eucalypts in plantations in Tasmania and Victoria show a linear relationship. Closed symbols refer to different species or provenances of the same species at Tasmanian sites. Open symbols refer to Eucalyptus globulus growing in Victoria. (Original data C.L. Beadle and G. Inions)

As predicted by theory, linear relationships between above-ground dry mass production and intercepted radiation have been observed for eucalypts in plantation forests in southeast Australia: \( \varepsilon \) was around 0.45 g MJ–1 (based on \(I\), Figure 12.26). Conversion efficiency was independent of species and provenance within species, and for one species, Eucalyptus globulus, was independent of site. Differences in growth rate between species, in this case during the early phase of forest growth, can be entirely a function of more rapid development of LAI in one species compared to another.

Comparative analyses of \( \varepsilon \) for different vegetation types are commonly based on above-ground dry mass (\(W_{a}\)) because of lack of information on below-ground biomass (\(W_{b}\)). \( \varepsilon \) based on \(W_{a}\) will be less than that based on \( W_{a} + W_{b} \) by the ratio \(W_{a} : (W_{a} + W_{b}) \). Partitioning of dry mass to roots may be substantially higher on a resource-poor compared to a resource-rich site. Consequently, a comparison of \( \varepsilon \) between sites based on \(W_{a}\) rather than \( W_{a} + W_{b} \) would lead to a relative underestimate of the efficiency of conversion of light to dry mass on poorer sites. Similarly, stress in response to soil water deficit, high vapour pressure deficit (leading to stomatal closure) or extremes of temperature will reduce \( \varepsilon \) and may also change the partitioning of dry mass. Reductions in \( \varepsilon \) occur in response to stomatal closure or to stresses of sufficient severity to reduce the quantum yield of photosynthesis. In effect, plants reduce photosynthesis by redirecting absorbed energy away from photochemistry and into photoprotective pathways which disperse absorbed energy as heat. \( \varepsilon \) thus embodies the photosynthetic history of a crop over a given interval and integrates the effects of all environmental variables on photosynthetic utilisation of absorbed radiation.

In summary, forest canopies consist of multiple layers. A logarithmic gradient of sunlight availability exists from upper to lower layers, and leaf properties adjust accordingly.

Case study 12.1 - Pine forest production and light use efficiency

12.1-CS-Fig-1.png

Figure 1 Radiata pine (a provenance of Pinus radiata from the Pacific island of Guadalupe off the coast of Mexico) growing in a provenance trial on a dry site near Canberra. (Photograph courtesy P.E. Kriedemann)

Pines are a useful example to study patterns of forest production and light use efficiency because Pinus is the most widely studied genus of trees and occurs in environments ranging from boreal zones to the tropics. Pines have been established as plantations worldwide, including on dry sites as shown in Figure 1. This low-input site resulted in a sparse canopy that would thicken considerably with additional water and nutrients but serves to illustrate how close planting results in straight stems with little taper. For closed-canopy pine forests across this diversity of environments, measured rates of annual above-ground dry matter production vary 30-fold from 0.2 to 5 kg m–2 year–1 with wood production ranging from near zero up to 4.2 kg m–2 year–1 (Table 1). Can this huge range be explained from our knowledge of physiological and ecological processes, and, in particular, are differences in canopy use of sunlight responsible?

Canopy photosynthesis depends on distribution of sunlight over individual foliage elements. Because light is unevenly distributed within canopies, leaf photosynthetic rates vary spatially. Photosynthesis also varies temporally because of fluctuating environmental conditions. This fine-scale variability in light distribution and photosynthesis has been successfully described by detailed simulation models of canopy processes. An alternative modelling approach is to ignore fine-scale variability and to focus instead on canopy-scale relationships. That approach was pioneered by Monteith (1977) examining the relationship between dry matter production and absorbed photosynthetically active radiation (APAR) for canopies of four crops (apples, barley, potatoes and sugar beet) under ideal growing conditions in Britain (see Figure 12.22). Monteith discovered that these relationships were linear and that their slopes, the so-called light utilisation coefficient (\(\varepsilon\)), were similar for all four species (\(\varepsilon\) ~ 2.8 g dry mass MJ–1 PAR).

\(\varepsilon\) – the light utilisation coefficient

Monteith regarded the value for \(\varepsilon\) of 2.8 g dry mass MJ–1 as an upper limit to growth efficiency and used it to estimate potential arable crop production of Britain. He also observed that field-grown arable crops usually have values of \(\varepsilon\) well below this upper limit.

Monteith’s study was followed by similar studies on other crops (e.g. Muchow and Davis 1988) and trees (Landsberg et al. 1996). This work has tended to confirm the relationship’s linearity, but has revealed that the slope \(\varepsilon\) varies considerably between species, and is greatly reduced when growing conditions are suboptimal. For tree stands, values of \(\varepsilon\) are usually evaluated as above-ground dry matter yield per unit APAR. Published values range from 0.2 g MJ–1 for older tropical forest stands to 2.8 g MJ–1 for young pot-grown Salix and Populus stands (Landsberg et al. 1996). Values of \(\varepsilon\) are given in Table 2 for four pine species growing at five experimental sites with contrasting environments in Australia, New Zealand, the USA and Sweden. Across these contrasting environments, one boreal, one subtropical and three temperate, above-ground productivity ranged from 0.39 to 3.2 kg m–2 year–1, wood production from 0.22 to 2.5 kg m–2 year–1, and values of \(\varepsilon\), derived from measured above-ground production and simulated APAR, from 0.27 to 1.4 g MJ–1.

For the pine stands considered in Table 2, sufficient data are available to analyse causes of variation in \(\varepsilon\). A useful starting point for that analysis is the biochemical upper limit to \(\varepsilon\). That limit, determined by the quantum requirement of photosynthesis, is characterised by the quantum yield of photosynthesis, which for C3 plants (modified for the spectral composition of light and photorespiratory carbon loss) is conservatively 0.06 mole CO2 per mole absorbed quanta, corresponding to an energy conversion efficiency of 6%. That efficiency can be converted to an equivalent light utilisation coefficient if we know the energy content of incident light, a function of its spectral composition. Assuming an energy content of 0.22 MJ mol–1 and assuming the carbon content of biomass is 0.45 gives an equivalent light utilisation coefficient of approximately 7.3 g dry mass MJ–1.

There are several reasons why this biochemical upper limit is not attained in nature. One reason is that leaf photosynthetic efficiency declines as quantum flux increases; according to models of canopy photosynthesis, this light saturation of photosynthesis leads to a reduction of 50–60% in photosynthetic carbon gain (i.e. a loss factor of 0.45). Values of \(\varepsilon\) are further reduced because of respiratory losses associated with the maintenance of living tissue and the growth of new tissue; gas exchange measurements in pine forests show that this process leads to a reduction of 40–60% for closed-canopy forests (loss factor = 0.5) (Figure 2). Another reason for the reduction of \(\varepsilon\) is carbon allocation to root growth, approximately 15–25% for highly fertile stands (loss factor = 0.8). The combined effect of light saturation, respiratory losses and below-ground allocation is to reduce \(\varepsilon\) to 7.3 x 0.45 x 0.5 x 0.8 = 1.3 g MJ–1, a value which is similar to that estimated from measured growth of Pinus radiata in highly productive New Zealand and Canberra stands (Table 2).

Further reductions of \(\varepsilon\) occur if stands are nutrient, water or temperature limited, which is the case for the other four stands in Table 2, or if trees suffer disease or insect damage. If we regard an \(\varepsilon\) value of 1.3 g MJ–1 as the maximum achieved by fertile, well-watered, closed-canopy pine stands, then the remaining reductions of \(\varepsilon\) at the stands in Canberra (control), Florida, Wisconsin and Sweden are approximately 50, 35, 80 and 60%, respectively. Stands experiencing temperature extremes or water stress can have shortened effective growing seasons, which affect \(\varepsilon\) because radiation intercepted outside the active growing season is less efficiently utilised. Estimated effective growing season lengths for the five sites are given in Table 2. The growing season is shortest at the Wisconsin site, which experiences both harsh winters and hot, dry summers (\(\varepsilon\) = 0.27 g MJ–1), followed by the Swedish site, which experiences extremely cold winters (\(\varepsilon\) = 0.56 g MJ–1). For the control stand at Canberra, the effective growing season is reduced by summer droughts which cause stomata to close and photosynthesis to cease almost entirely during periods of extreme water stress (\(\varepsilon\) = 0.66 g MJ–1); note that above-ground production by this stand is less than half that of an irrigated + fertilised stand at the same site, whereas its value of APAR is only 15% lower.

Site nutrition can also affect \(\varepsilon\) by altering either total carbon gain, or the proportion of carbon allocated to root growth; for example, soil fertility is poor at the Florida, Sweden and Canberra (control) sites, all of which have low \(\varepsilon\) values. The Canberra experiment is an interesting illustration of the effect of nutrition on below-ground carbon allocation (Figure 2); fine-root production is lowest on the irrigated + fertilised plot, 8% of net primary production (NPP) compared with 20% on the control and irrigated stands (Ryan et al. 1996).

12.1-CS-Fig-2.png

Figure 2 Measured annual carbon fluxes for three Pinus radiata stands at a site near Canberra. Experimental treatments are control (C), irrigated (I) and irrigated + fertilised (IL). (Based on Ryan et al. 1996)

Several conclusions can be drawn from this analysis of light utilisation. First, the above \(\varepsilon\) model can explain observed productivities of fertile, well-watered pine stands as the estimated biochemical limit minus unavoidable losses associated with light saturation of photosynthesis, respiration and below-ground allocation. For these highly productive forests, the largest single loss factor for \(\varepsilon\) is associated with light saturation of photosynthesis (loss factor = 0.45). The magnitude of that reduction depends on both leaf physiology, particularly light-saturated rates of photosynthesis, and the within-canopy light environment, which in turn is a function of cloudiness and canopy structural properties such as shoot structure and crown architecture.

A second conclusion from the data in Table 2 is that in four of the six stands, extreme weather conditions reduce the effective length of the growing season, and that this reduction is critical in explaining differences in \(\varepsilon\) among forest stands. Shortened growing seasons appear to be the primary reason why \(\varepsilon\) is low for the Wisconsin, Swedish and Canberra (control) stands. For species experiencing cold winters (Wisconsin and Sweden), it is important to understand how temperature and daylength affect leaf phenology, especially rates of leaf growth and photosynthesis as trees emerge from winter dormancy. The low value of \(\varepsilon\) for Pinus radiata at the control stand in Canberra is due largely to water stress, with low annual rainfall coupled with high transpiration rates in summer months, leading to rapid depletion of soil water reserves and a shortened effective growing season.

A sidelight to the above discussion is the observation that NPP is proportional to APAR at the canopy scale (Section 12.3.2, Figure 12.26), although leaf photosynthetic rates saturate at high quantum flux. This puzzling observation appears to be largely explained by the different time scales used in measurements of NPP and photosynthesis; NPP is usually measured over a growing season whereas photosynthesis is measured over periods of seconds or minutes. When canopy models are used to evaluate short-term (e.g. daily) NPP, saturation is found at high quantum flux (Medlyn 1996; Sands 1996). However, simulated annual values of \(\varepsilon\) are relatively constant because annual incident PAR varies little from year to year. Other studies have proposed that \(\varepsilon\) is constant because of compensatory effects of leaf area index, incident PAR and leaf nitrogen content (e.g. Sands 1996). Either way, prediction and observation of NPP have proved congruent across a wide range of genotype × environment combinations, and confirm the robustness of process-based simulation models.

References

Gower ST, Gholz HL, Nakane K, Baldwin VC (1994) Production and carbon allocation patterns of pine forests. In HL Gholz, S Linder, RE McMurtrie, eds. Environmental Constraints on the Structure and Productivity of Pine Forest Ecosystems: A Comparative Analysis. Ecological Bulletins (Copenhagen), Vol. 43. Munksgaard International Booksellers: Copenhagen, pp 115-133

Landsberg JJ, Prince SD, Jarvis PG et al. (1996) Energy conversion and use in forests: an analysis of forest production in terms of radiation utilization efficiency (ε). In HL Gholz, K Nakane, H Shimoda, eds. The Use of Remote Sensing in the Modeling of Forest Productivity. Kluwer, Dordrecht, pp 273–298

McMurtrie RE, Gholz HL, Linder S et al. (1994) Climatic factors controlling the productivity of pine stands: a model-based analysis. In Ecological Bulletins (Copenhagen), Vol. 43. As above, pp 173–188

Medlyn BE (1996) Interactive effects of atmospheric carbon dioxide and leaf nitrogen concentration on canopy light use efficiency: a modeling analysis. Tree Physiol 16: 201–209

Monteith JL (1977) Climate and the efficiency of crop production in Britain. Phil Trans Royal Soc London, Series B 281: 277–294

Muchow RC, Davis R (1988) Effect of nitrogen supply on the comparative productivity of maize and sorghum in a semi-arid tropical environment. II. Radiation interception and biomass. Field Crops Res 18: 31–43

Ryan MG, Hubbard RM, Pongracic S, Raison RJ, McMurtrie RE (1996) Foliage, fine-root, woody-tissue and stand respiration in Pinus radiata in relation to nitrogen status. Tree Physiol 16: 333–343

Sands PJ (1996). Modelling canopy production. III. Canopy light-utilisation efficiency and its sensitivity to physiological and environmental variables. Aust J Plant Physiol 23: 103–114

12.4 - Light and horticultural production

12.4-Ch-Fig-12.27.png

Figure 12.27 Peach trees trained to a Tatura trellis. (Photograph courtesy P.E. Kriedemann)

Compared to annual crops or plantation forests, perennial horticultural fruit crops offer wide flexibility in the physical arrangement of their canopies in space. Not only can the size and shape of the canopy be dramatically altered by spacing, pruning and training, but the canopy can be physically constrained by a support structure of posts and wires into various forms, for example the V shape of the Tatura peach trellis (Figure 12.27; van den Ende et al. 1987). Pruning of grapevines takes a variety of divided canopy forms (Figure 12.28).

12.4-Ch-Fig-12.28.png

Figure 12.28 Concord grapes (Vitis lubruscana) trained as either a single canopy (a) or divided canopy (b) growing as north-south rows under natural rainfall. (Photographs courtesy P.E. Kriedemann and E.A. Lawton)

In many of these cases, large changes in canopy form have been developed because of the availability or the possibility of machine harvesting. Changes in canopy management have accompanied machine improvement, recognising that sustainable cropping calls for horticultural rather than engineering solutions. With some perennial fruit crops, for example apple and pear, dwarfing rootstocks provide an alternative means of constraining canopy volume.

12.4.1 - Light interception

An upper limit on dry matter production by crops is set by the amount of visible radiation (400–700 nm) intercepted (Monteith 1977). Horticultural crops, however, rarely achieve 100% interception of sunlight because physical access is required year round for routine management operations such as spraying, pruning and picking. This is especially so for perennial fruit crops and vines, but is also the case for many annual greenhouse and vegetable crops that are repeatedly hand harvested. With a closed agronomic canopy such as a field of wheat, light interception is largely determined by LAI. With discontinuous canopies such as an apple orchard or a vineyard, a fixed LAI can intercept different amounts of light depending upon the display in space of the discrete canopy units, namely individual trees or vines. (LAI for discontinuous canopies is calculated from the total area of leaves on the plant divided by the area allocated to the plant.)

Light interception of horticultural crops can be altered by changing spacing, tree height, tree shape and/or row orientation. An illustration of this is given in Table 12.1 using a simulation model of light interception (Palmer 1989). The model calculated light interception over a whole day and allowed for change in incident radiation, sun angle (both elevation and azimuth) and sky light. The model was used to calculate light interception under sunny conditions by apple trees arranged in continuous rows, of truncated conical cross-section, in midsummer at Riwaka, Nelson, New Zealand. For a constant LAI, light interception increased by increasing hedge height, closer row spacings and planting in a north–south rather than an east–west orientation (Table 12.1). Light interception varied by a factor of two, from 27% by short wide-spaced hedges in east–west (EW) rows to 55% by tall close spacings in north–south (NS) rows. Differences due to row orientation will be smaller in cloudy regions where more of the incoming light is diffuse.

In Table 12.1, the density of leaves within the tree volume changes with height and row spacing to maintain a constant LAI. Differences in light interception would be much larger if leaf area density rather than LAI was maintained at a constant. Nevertheless, data given in Table 12.1 for discontinuous canopies show that the relationship between LAI and light interception depends on the physical arrangement of foliage in space. Calculations for Table 12.1 assume an extinction coefficient appropriate for apples. Light interception would have to be recalculated for other crops such as peach and cherry that have lower extinction coefficients (Flore 1994).

As discussed in Section 12.3, the relationship between light interception (\(F\)) and LAI of a continuous canopy follows the Beer–Lambert Law, and can be approximated by Equation 12.5. Again, \(k\) (the extinction coefficient) is dependent upon leaf angle distribution, leaf transmission to sunlight and whether the foliage is random, regular or clumped. \(k\) varies between about 0.3 for erect foliage and 1.0 for canopies comprising horizontally disposed leaves. In general terms,

\[ F = 1 - e^{–k\mathrm{LAI}} \tag{12.5} \]

Unlike closed canopy forests or a continuous crop cover, sunlight interception by discontinuous canopies consists of two parts, a fraction determined by the overall form and extent of the canopy (\(F_\mathrm{max}\)) and a leaf area part that determines how close a particular orchard approaches the maximum interception attainable. \(F_\mathrm{max}\) would be reached if LAI was infinite. Accordingly, Equation 12.5 can be rewritten for discontinuous canopies as Equation 12.6, where \(L' = \mathrm{LAI}/F_\mathrm{max}\) (Jackson and Palmer 1979).

\[ F = F_\mathrm{max} (1 - e^{–kL'}) \tag{12.6} \]

This relationship for a discontinuous canopy contrasts with that for the continuous canopy (Equation 12.5) where an infinite LAI would cause complete exclusion of light. When light interception by two of the orchards in Table 12.1 is plotted as a function of LAI (Figure 12.29) and compared with a continuous canopy with the same extinction coefficient, light interception by either orchard approached an asymptote well short of infinite LAI.

12.4-Ch-Fig-12.29.png

Figure 12.29 Calculated interception of sunlight as a function of LAI and canopy form. Light interception is calculated for a sunny day on 31 January at Riwaka, New Zealand (Lat. 41°6'S), for apply orchards arranged in continuous hedgerows. (Original data courtesy J.W. Palmer)

Orchards were either a continuous canopy (\(F_\mathrm{max}\) = 100%), hedgerows 2 m tall, with 3 m row spacing, 1.5 m thick at the base and 0.5 m at the top (\(F_\mathrm{max}\) = 74%) or hedgerows 1 m tall, with 5 m row spacing, 1.5 m thick at the base and 0.5 m at the top (\(F_\mathrm{max}\) = 39%). Note that light interception depended on both LAI and \(F_\mathrm{max}\), so that the same light interception can be achieved with a very different LAI or the same LAI can be rearranged to intercept a different amount of sunlight.

Light interception by discontinuous orchard canopies can, therefore, be increased by increasing LAI, but a far more effective strategy is to increase canopy extent. Put another way, it is better to use orchard design to increase \(F_\mathrm{max}\) and thereby intercept sunlight that would otherwise fall into clear alleyways, rather than intercept sunlight that had a good chance of being absorbed by other foliage. Knowing the physical dimensions of the canopy, \(F_\mathrm{max}\) can be calculated from a mathematical model. \(F_\mathrm{max}\) complex shapes can be determined from CAD graphics.

12.4-Ch-Fig-12.30.png

Figure 12.30 Fruit crop yields as a function of light interception for apple trees with different rootstocks. (Based on Wünsche et al. 1996)

As for annual crops and forest canopies, there is also a linear relationship between biomass production and canopy light interception for horticultural crops, even though the horticultural yield is measured as fruit weight rather than biomass (Figure 12.30. Thus in all managed cropping systems, a universal relationship between canopy light interception and yield or biomass production and the LAI, whether based on continuous or discontinuous canopies, underpins this relationship through determining the extent of light interception by the canopy.

12.4.2 - Light and fruit quality

Although the upper limit of orchard dry matter production is set by light interception as outlined above, crop composition is determined by sunlight distribution within the canopy, and shade can reduce fruit quality. This is a general phenomenon among perennial fruit crops and has been reported for apple, citrus, peach, cherry, kiwifruit and raspberry. In apple, for example, fruit from more shaded regions are smaller, and have less red colour and lower soluble solids. There are also effects on apple quality after storage, with shaded fruit of Cox’s Orange Pippin tending to suffer more from shrivel and core flush and less from bitter pit than fruit from well-exposed regions of the tree. Fruit of satsuma mandarins grown in shaded regions of the trees are smaller, with a higher acid content and lower sugar content than fruit grown in well-exposed parts of the canopy.

With both peaches and cherries, shading has been found to reduce fruit colour, soluble solids and fruit size and delay abscission and maturity. Kiwifruit from shaded regions of the canopy, or individual fruit which has been artificially shaded during the season, show reduced fruit fresh weight, soluble solids, firmness and chlorophyll concentration in the mesocarp compared to well-exposed fruit. With grapevines, too, shaded fruit have generally lower sugar, total phenol and anthocyanin but higher pH, malate, potassium and titratable acidity than fruit grown in well-exposed positions in the canopy. These differences in grape quality have carried through to the wine quality made from the grapes. A consequence of decreased sugar levels in shaded grapes is a delay in harvesting. This may put crops at risk in climatically marginal regions.

Generalisations on sunlight and fruit quality have been derived from shading experiments on whole trees or parts of trees, or from correlation studies of fruit quality and irradiance in different parts of the canopy. Consequently both fruit and foliage have been subjected to reduced light, but some features in grapes and apples, such as anthocyanin development, vary according to illumination of the fruit itself. With grapes, cluster shading reduces fruit anthocyanin and total soluble phenolics, while leaf shading results in smaller berries with lower glucose and fructose content.

Shade within orchard trees can arise from self-shading or from adjacent trees or shelterbelts. Light levels in midsummer within well-spaced, traditionally pruned large peach trees can drop to 4–15% of incoming radiation. Sour cherry trees tend to be more dense, and light levels as low as 2–4% have been reported. Vigorous grape canopies can be very dense, with irradiance within the canopy reduced to less than 1% of ambient. With such dense canopies, between-row shading will be unacceptable if the ratio between canopy height and clear alleyway spacing exceeds 1:1 (Smart 1989). With the much more open canopies of apples, such ratios may be less useful, as acceptable light distribution within the trees can be obtained over a wide range of ratios of canopy height to clear alleyway spacing. With apple canopies, a ratio between actual light interception and \(F_\mathrm{max}\) may be more useful. If this ratio exceeds 0.7 then self-shading is probably excessive.

Overall effects of shade on fruit quality are very clear, but processes responsible are not so clear. Shade reduces PAR and, therefore, local photosynthetic activity; but canopy shade also reduces temperature (Greer and Weedon 2012) and changes wavelength distribution of transmitted light. Leaves absorb strongly in the visible part of the spectrum (400–700 nm), but have a high transmittance and reflectance to wavelengths in the near infrared (see Figure 12.1 at start of this chapter). This difference in light quality between incident and transmitted sunlight is usually expressed as a red/far-red ratio, that is, a ratio between irradiance around 660 nm compared with 730 nm wavebands. These wavebands correspond to peaks of absorption by phytochrome (Chapter 8), and are strongly implicated in developmental responses to canopy shade. Correlated changes in irradiance and the red/far-red ratio of canopy light make it difficult to separate the effects of changing irradiance from the effects of a change in the red/ far-red ratio, but it is likely that changes in berry composition are due to combined effects of irradiance and red/far-red ratio.

12.4.3 - Light, flower bud differentiation and fruit set

Due to the perennial nature of fruit trees, environmental conditions in one season can have carry-over effects on growth and development during the subsequent season. In seasonally deciduous trees and vines, flowers that emerge each spring were actually initiated during the previous growing season, and conditions prevailing at that time will have influenced the extent and intensity of flower bud differentiation. In temperate horticulture, flower initiation is not a continuous process but may be restricted to several weeks during mid to late summer, followed by several months of continuing development before passing into dormancy over winter. Floral development is then completed during the following spring ahead of flower emergence. In addition to changes in fruit quality of current crops, canopy shade during summer will also reduce flower bud initiation and differentiation.

Flower bud reduction due to shading seems to be a general phenomenon in perennial fruit crops and has been reported for apple, pear, apricot, peach, coffee, cacao and grape. With grape, the number and size of cluster primordia generally increases with increasing light. In this case, plants are responding to light quantity rather than quality (expressed as changes in the red/far-red ratio). Cultivars differ in their response to shade. Sultana (syn. Thompson Seedless) requires approximately 30% full sun for cluster initiation compared to 10% for Rhine Riesling. Timing of shading is also important for grapes. Shading in the period during bud development of grape in late spring has the greatest negative effect on flower initiation.

In citrus, shading may not of itself reduce flowering but can induce heavy fruit abscission. Similarly, shading whole apple trees 14–28 d after full bloom can result in very heavy fruit loss. Two days shading with shade cloth transmitting 8% light was sufficient to reduce fruit set by 80% (Byers et al. 1991). So effective is this treatment that deep shade could work as a non-chemical fruit thinner! In sour cherry, fruit set is adversely affected by light levels within the canopy below 20%, and flower bud initiation requires an irradiance of 15–20% full sun. Shading of whole vines or shoots of kiwifruit during summer can reduce flowering the following spring. Again, as with grapes, changes to the red/far-red ratio did not alter the flowering response of kiwifruit vines to total irradiance. Yields of kiwifruit vines next to shelterbelts are significantly lower than those from vines in the centre of fruit blocks, due presumably to a reduction in flowering as a result of shade from the shelterbelt. This can depress yield by two thirds.

While shading generally reduces fruit quality, excess solar radiation can lead to serious downgrading of fruit quality. Apples, grapes and kiwifruit suffer from sunburn, particularly where the fruit has been growing in the shade and then is thrust into full sunlight by movement of branches due to weight of fruit or to summer pruning or defoliation removing foliage that previously shaded the fruit. This tends to be a much larger problem in regions of high solar radiation receipt than cloudy areas.

12.4.4 - Orchard design, canopy management and light interception

Perennial fruit orchards do offer great potential for modification of light and temperature environments within canopies by pruning, tree training, tree size, row spacing and row orientation. Because of the great variety of ways of arranging the foliage in space, a number of models have been written to examine the relative importance of some of these factors in influencing not only light interception (Table 12.1) but also sunlight distribution within the canopy (Palmer 1989; Wagenmakers 1991), as this can have such a profound effect upon the quality of the fruit as already outlined.

In addition, field experiments to examine these effects are very expensive and time consuming to set up and run, so models offer a very economical way of examining light interception and distribution within innumerable canopy forms. As there is often a large dollar premium for quality, the economic success of any production system is largely determined by the yield of high-quality fruit, rather than the total yield. That does not mean, however, that high total yield and high-quality yield are mutually exclusive. With grapevines, Smart (1989) has consistently argued that high yields of high-quality grapes are achievable via correct canopy management.

Highly productive orchards and vineyards, therefore, have a balance of vegetative and reproductive growth, with fruiting zones maintained in a high light environment. Examples of how this has been achieved will now be presented for apples, peaches and grapes. In each case only one system is described, although there are many other successfully managed systems, particularly in vineyards.

(a)  Apples

In New Zealand, Tustin et al. (1990) have sought to combine requirements for precocity, high yields of high-quality fruit and good light penetration into the canopy in their slender pyramid tree form. This has been developed with trees on semi-vigorous rootstocks at a tree density of about 700 trees per hectare. The form is basically a central leader tree, that is, one central vertical trunk, on which are borne the fruiting branches. Early tree management is aimed at developing a permanent, strong, spreading basal tier of four to five branches emanating from the central leader at wide angles for strength and to encourage early fruiting. Pruning is minimal in the early years, with unwanted shoots being removed during the growing season when they are still small. The upper part of the tree is developed as an open, well-spaced arrangement of whorls of shorter branches arising directly from the central leader. These upper branches are removed when they become too large or pendulant and are replaced by natural regrowth. Each tree is maintained in an overall pyramidal form to encourage light penetration into all parts of the canopy. Yields of Royal Gala apples, for example, have been over 50 t ha–1 in the third year rising to over 100 t ha–1 by year six.

(b) Peaches

Trees on a Tatura trellis (Figure 12.27) are trained into two planar canopies inclined at an angle of 60º from the horizontal, and held by a trellis system of posts and wires. The system is designed to encourage precocity by using 2,000 trees per hectare and rapidly filling the trellis structure with fruiting branches. Within each arm, the canopy itself is shallow to encourage good light penetration. Summer pruning of unwanted, upright vegetative growth is practised to maintain a high, uniform light interception environment along each arm. Vegetative growth has also been successfully controlled in the dry environment of Tatura by regulated deficit irrigation.

The Tatura trellis is also designed for mechanical picking. A rigid and shallow canopy ensures that fruit can fall onto the catching frame with minimal chance of damage. As peaches bear fruit on one-year-old wood, yields of Golden Queen on Tatura trellis in year two have reached 28 t ha–1 rising to a maximum of 86 t ha–1 by year four (van den Ende et al. 1987). Other stonefruit and pomefruit (pipfruit) have also been grown successfully with this management system.

(c) Grapes

Traditional pruning of grapevines was aimed at producing a limited number of moderate-sized clusters of berries to facilitate hand picking. Consequently, pruning removed large amounts of young wood so that growth of vigorous shoots was stimulated. With the advent of mechanical picking for wine grapes, however, this constraint has been removed as the harvesters are capable of efficiently removing the berries from large and small grape bunches. This has consequently brought about new grapevine pruning and training techniques, particularly in regions with long growing seasons, irrigation and high vigour such as Australia, Chile and California.

Minimal pruning of cordon-trained vines (MPCT) is one such example from Australia. Each vine is initially developed conventionally with two or four permanent horizontal arms or cordons. From year three, vines are minimally pruned — low hanging canes are removed. Consequently MPCT vines carry far more buds over from one year to the next, but competition between these growing points results in shorter shoots, with shorter internodes, and higher yields made up of a large number of small clusters of berries well exposed to the light. The resulting wine quality is high and comparable with that from conventionally pruned vines.

12.5 - Ultraviolet radiation

The solar UV spectrum (Figure 12.31) extends from 100 to 400 nm, and has been divided into three bands: UV-A, 315 – 400 nm; UV-B, 280 – 315 nm; and UV-C, 100 – 280 nm. These divisions are somewhat arbitrary (the UV-A/UV-B boundary ranging from 315 to 320 nm and the UV-B/UV-C boundary from 280 to 290 nm) and relate to effects that each band has on biological systems.

The shortest UV wavelengths reaching ground level are in the UV-B range (280–320 nm). This wavelength range represents up to 1.5% of extraterrestrial irradiance, and it is attenuated to 0.5% or less of total irradiance reaching the earth’s surface (Figure 12.31). While UV-B is only minor in terms of total solar irradiance at ground level, the high energy of UV photons make UV-B a photo-chemically active and biologically significant form of radiation. Proteins, DNA and RNA, absorb UV-B radiation strongly (Figure 12.31) and are thus prone to damage. As production and destruction of stratospheric ozone is largely dependent on absorption of solar UV, the ozone ‘layer’ essentially shields the earth’s surface from most UV radiation. However, even small increases in UV-B irradiation arising from depletion in stratospheric ozone could have significant effects on biological systems.

12.5-Ch-Fig-12.31.png

Figure 12.31 Upper portion, Spectral irradiance of terrestrial and extraterrestrial solar radiation together with that generated by a typical UV sunlamp. The shift to lower UV wavelengths of terrestrial radiation due to ozone depletion generalised UV action spectrum for plant damage is shown. Lower portion, Relative absorption of UV radiation by nucleic acids, proteins and flavoproteins. (Original diagram M.M. Caldwell)

UV-B irradiance rose markedly during the 1960s, due to ozone depletion. In addition, South polar stratospheric ozone suffers enhanced depletion each southern hemisphere spring, and the south polar 'ozone hole' region reached an area of about 24 million square kilometres on 7 October 1994.

A question remains about the causes of the ozone hole. Notwithstanding a consensus on stratospheric chemistry and UV-B among atmospheric scientists, could the ozone hole be a ‘natural’ phenomenon?

12.5-Ch-Fig-12.32.png

Figure 12.32 Reciprocal variation in atmospheric ozone over the South Pole (open symbols), and flavonoid content of the moss Bryum argenteum (solid symbols). Ozone concentration is indicated as Dobson units which represent the physical thickness of the ozone layer at a pressure of one atmosphere (e.g. 300 Dobson units = 3 mm). (Original data R.K. Markham)

Ground-based measurements of ozone over the South Pole made between 1964 and 1986 imply that ozone depletion over the Antarctic is not necessarily a consequence of recent human activity and may have been influenced by ‘natural’ processes. This view was supported by measurements of flavonoid levels in samples of the moss Bryum argenteum (Figure 12.32). Flavonoids are synthesised in Bryum as a UV-B-screening pigment and synthesis is sensitive to small changes in UV-B irradiation. Samples of Bryum collected from the Ross Sea area between 1957 and 1989 showed that flavonoid content rose markedly during the mid-1960s. This was correlated with a reduction in ozone levels at the time, but ahead of any serious accumulation of CFCs (chlorofluorocarbon compounds) that are considered to affect the atmospheric concentrations of ozone. Key agents in this mid-1960s ozone depletion are believed to include altered sunspot activity, emissions from volcanic eruptions and atmospheric tests of nuclear weapons in the early 1960s.

12.5.1 - Ultraviolet radiation and plant biology

Investigations of UV effects on plant biology largely depend on the use of UV-B emitting lamps in both laboratory and field. Interpretation of results from such systems is, however, restricted by an inability to mimic the solar spectrum precisely (Figure 12.31). As a consequence, comparisons between species with respect to UV-B sensitivity, and analyses of processes responsible for variation in sensitivity, must be treated circumspectly. Despite these methodological limitations, overall outcomes are unambiguous: UV-B radiation impacts on many aspects of plant biology, as reviewed by Tevini (1994) and Bornman and Teramura (1993).

(a) Growth and development

Sensitivity to UV-B irradiation includes any morphological, physiological or biochemical change induced by UV-B. Significant effects have been reported for about half of the 300 or so crop species and cultivars studied so far, with some species more susceptible than others (Table 12.2). Sensitivity is noticeable in plant growth and development. Reduction in leaf area, stem growth (stunting) and total plant biomass are commonplace. Additional symptoms include bronzing and glazing of leaf surfaces.

Growth reductions depend not only on the level of UV-B exposure but on the associated photon irradiance. Partitioning of growth to different organs, for example altered internode length, or leaf production, is also sensitive to UV-B irradiation. Such morphological changes may not be significant to plants in isolation but may influence competitive interactions, and especially their competition for sunlight. Sensitivity to UV-B irradiation also varies with life cycle. Seedlings are especially vulnerable, as are mature plants under-going their transition from vegetative growth to reproductive development.

(b) Cell physiology

Several sets of processes at both cellular and molecular levels which are critical to plant growth and reproductive development appear to be affected by absorption of UV-B radiation. Especially prominent are photosynthesis, signal transduction and nucleic acid metabolism.

In general, UV-B radiation causes a net inhibition of photosynthesis in a wide range of plants. From laboratory studies, this inhibition appears to arise from disruptions at a number of points in the photosynthetic cycle, including disruption of PSII reaction centres (Strid et al. 1990), a decrease in Rubisco activity and damage to photosynthetic pigments (chlorophylls and carotenoids). Stomatal function, and thus leaf gas exchange, is also commonly impaired.

Alterations in plant growth induced by UV-B radiation have been partly attributed to changes in nucleic acid structure and function (Tevini 1994). DNA absorbs strongly in the UV region and is thus especially prone to damage by UV-B radiation (Figure 12.31). The most common lesions are breaks in DNA chains, with a resultant production of thymine dimers. They in turn interfere with accurate base pairing, leading to a disruption of transcription and replication of DNA (Stapleton 1992). These disruptions amount to a mutagenic action for UV radiation in many organisms. Proteins and RNA can also absorb UV-B and are inactivated as a result, but this loss is of secondary importance due to their relative abundance compared with DNA (Stapleton 1992).

Activation and photo-deactivation of important signal molecules, such as hormones and photoreceptors, may also compound effects of UV-B irradiation on plant growth and development. For example, cell extension in many plants is influenced by indole acetic acid (IAA) which absorbs in the UV-B region and is photo-oxidised to 3-methyleneoxindole, an inhibitor of hypocotyl growth when exogenously applied. In contrast, irradiation with UV-B can induce enzyme activity in the shikimic acid pathway, which regulates the synthesis of a broad array of plant compounds, ranging from flavonoids to lignin, all of which are important to plant function, including tolerance to UV-B radiation.

(c) Reproduction

Flowering, pollination and seed development are variously affected by UV-B irradiation. Flowering appears to be disrupted by UV-B radiation by decreases in flower number and alteration in timing reported in the few species so far studied. Such effects may have important consequences for natural plant populations, which rely on the synchrony of flowering with the presence of appropriate insect pollinators.

Although pollen appears resilient to UV-B radiation damage, owing to high levels of flavonoids in the anthers and pollen wall, germinating pollen tubes are highly sensitive to UV radiation and suffer from large decreases in growth rate. Such disruption can lead to lowered fertilisation success and decreases in seed yield.

(d) Ecology

Genetic variation in sensitivity to UV-B radiation has implications for plant competition and thus plant ecosystem dynamics and community structure, in both natural and managed ecosystems. Competition between agricultural crops and associated weeds may be altered under enhanced UV-B irradiation. In the few studies considering the impact of UV-B irradiation on natural plant communities, most notable is the work of Caldwell et al. (1982). They found arctic plant species were much more sensitive to UV-B, both in terms of growth and reproduction, than alpine species. Arctic species grow under a naturally low UV-B environment, whereas alpine species grow under a naturally high UV-B environment by virtue of higher altitude. Arctic plant communities could thus be altered to a greater extent than alpine communities by any substantial rise in natural UV-B.

(e) UV-B tolerance mechanisms

Many organisms have evolved mechanisms to undo the molecular damage caused by UV radiation. Possibly the most adaptive are terrestrial plants that rely on full sunlight for photosynthesis. Protective mechanisms can be classified into two main classes: (1) those whereby UV damage is repaired or its effects negated or minimised, and (2) those whereby the amount of UV radiation actually reaching sensitive areas is reduced. While protective in nature, all of these mechanisms impose an energy cost on plants so adapted.

For the first class of protective mechanism, organisms have developed three important repair processes for UV-induced DNA damage (Stapleton 1992): photoreactivation, excision and repair of DNA, and post-replication repair. Photoreactivation is the light-induced enzymatic process which cleaves pyrimidine dimers formed by UV radiation — thus restoring proper base pairing. Excision and repair of DNA involves the excision of UV photoproducts from DNA molecules (this mechanism requires no light energy and uses undamaged DNA templates as a guide). Post-replication repair occurs where DNA lesions are bypassed during DNA replication and information from the sister duplex is later used to fill gaps.

As mentioned above, plant growth and development is slowed by exposure to enhanced UV-B radiation. Such delay also minimises adverse effects from damage that has occurred. Growth delay and slower cell division provides additional time for DNA repair mechanisms to operate ahead of any recommencement in DNA replication.

12.5-Ch-Fig-12.33.png

Figure 12.33 Reflection, refraction and absorption of incident UV-B radiation by a typical leaf. Band widths represent energy levels, and show strong absorption by the upper epidermis. (M.M. Caldwell et al., Physiol Plant 58: 445-450, 1983)

Screening sensitive tissues from UV-B radiation is a secondary option available to plants either to avoid or at least minimise damage. Tissue screening may be achieved through structural modification of organs or by screening molecules which absorb UV radiation. Such features may be either static, as with leaf orientation or phototaxis, or dynamic, as in synthesis of screening molecules which absorb UV radiation in a highly selective way. Screening molecules commonly appear after exposure to UV radiation as secondary metabolites such as flavonoids. Substantial amounts of such pigments accumulate especially in the upper epidermis of leaves. Along with cuticular waxes and other cellular components, these substances attenuate incident UV radiation, and energy transmitted to underlying tissue is decreased by up to two orders of magnitude (Figure 12.33). Typically less than 1% of incident UV-B radiation reaches the lower epidermis. None is transmitted through an entire leaf. Flavonoid pigments are synthesised by leaves on many plants in direct response to UV radiation.

(f) Environmental interactions

Field-grown plants are subject to variable environmental conditions during their life cycle. In their extremes, such factors can lead to stresses such as water stress, mineral stress, temperature stress, disease and stresses due to anthropogenic pollution (ozone, acid rain). The interaction of UV-B irradiation stress with other environmental factors has been examined in only a few cases, essentially because of the difficulty of simulating elevated UV-B irradiation in the field. Of the environmental interactions studied, water stress appears to influence plant responses induced by UV-B irradiation. In soybean, for example, a decrease in yield in sensitive cultivars under elevated UV-B irradiation was most apparent under well-watered conditions. Water deficit in combination with elevated UV-B irradiation did not reduce yield to a greater extent than water deficit alone. Water stress may, therefore, mask UV-B responses of plants.

Elevated CO2 levels may also modify the response of sensitive plants to UV-B irradiation. In rice and wheat (but not in soybean) an increase in seed yield and biomass under elevated CO2 was reversed under moderate levels of supplementary UV-B irradiation.

12.6 - Conclusion and references

Vascular plants have evolved over millennia with features that now enable utilisation of light in climates that differ by orders of magnitude in photon irradiance. Their adaptation to sun and shade is a marvel of nature’s biological engineering, with a wide range of adaptive features at all levels of organisation from chloroplast to community. Moreover, the nature of selection pressures imposed by sunlight has also changed. The blistering UV radiation of a prebiotic world has been attenuated thanks to oxygenic photosynthesis, and vascular plants still carry adaptive features that may again find strong expression if global change does result in a substantially greater UV-B irradiance.

The central significance of sunlight as an energy source for natural and managed ecosystems is unarguable, and quantitative relationships between forest and horticultural productivity and sunlight interception provide just examples that underscores human reliance on intrinsic properties of photo-energetics. More subtle, and especially costly in terms of gaining necessary research experience, is plant response to light quality.

Optimising interception of sunlight by managed communities of plants in horticulture calls for application of solid geometry, and some highly sophisticated canopy systems have been developed. However, a knowledge of growth and developmental response to changes in spectral composition of sunlight transmitted by plant canopies provides crucial insight into reproductive physiology. Concord grapevines were cited as an example of a species with features that make them especially amenable to canopy manipulation. Having evolved in North America as forest vines, vegetative extension rather than reproductive development would have conferred a selective advantage for reaching exposed crowns in forested habitats. Accordingly, the far-red-enriched sunlight transmitted by their own canopy in a managed vineyard encourages shoot extension, rather than differentiation of flower buds and subsequent cropping. That predisposition to vegetative vigour was successfully countered by shrewd management of vine canopies via pruning, trellising and shoot positioning.

Overall, sunlight is pervasive by driving genotype × environment interactions for both evolution of adaptive features and day to day physiology of vascular plants. Our growing appreciation of photobiology in managed communities, and of nature’s adaptations in natural communities, has already paid huge dividends in understanding plant function. What is even more compelling is that such knowledge will shape our future options for plant utilisation.

References

Anderson MC (1970) Radiation, climate, crop architecture and photosynthesis. In I Setlik, ed, Prediction and Measurement of Photosynthetic Productivity. Pudoc, Wageningen, pp 71–78

Bornman JF, Teramura AH (1993) Effects of UV-B radiation on terrestrial plants. In AR Young, LO Björn, W. Nultsch, eds, Environmental UV Photobiology. Plenum Press, New York, pp 427–471

Byers RE, Carbaugh DH, Presley CN, Wolf TK (1991) The influence of low light on apple fruit abscission. J Hort 66:7-17

Caldwell MM, Robberecht R, Billings WD (1982) Differential photosynthetic inhibition by ultraviolet radiation in species from the artic-alpine life zone. Artic Alpine Res 14: 195-202

Chazdon RL, Pearcy RW (1986) Photosynthetic response to light variation in rainforest species. I. Induction under constant and fluctuating light conditions. Oecologia 69: 517-523

Chow WS (1994) Photoprotection and photoinhibitory damage. In J. Barber, ed, Advances in Molecular and Cell Biology: Molecular Processes of Photosynthesis, Vol. 10, JAI Press Inc.: Greenwich, Connecticut, pp 151–196

Jackson JE (1980) Light interception and utilization by orchard systems. Hort Rev 2: 208–267

Greer DH (1996) Photosynthetic development in relation to leaf expansion in kiwifruit (Actinidia deliciosa) vines during growth in a controlled environment. Aust J Plant Physiol 23: 541 – 549

Greer DH, Weedon MM (2012) Interactions between light and growing season temperatures on growth and development and gas exchange of Semillon (Vitis vinifera L.) vines grown in an irrigated vineyard. Plant Physiol Biochem 54: 59 – 69

Hay RKM, Porter JR (2006) The Physiology of Crop Yield. 2nd Edition, Blackwell Publishing: Oxford, UK.

Khurana, SC, McLaren JS (1982) The influence of leaf area, light interception and season on potato growth and yield. Potato Research 25, 329-342.

Kiniry JR, Jones CA, O’Toole JC, Blanchet R, Cabelguenne M, Spanel DA (1989) Radiation-use efficiency in biomass accumulation prior to grain-filling for grain-crop species. Field Crops Res 20: 51–64

Kriedemann PE, Torokfalvy E, Smart RE (1973) Natural occurrence and photosynthetic utilisation of sunflecks in grapevines. Photosyn 7: 18-27

Lang ARC, Xiang YQ, Norman JM (1985). Crop structure and the penetration of direct sunlight. Agric Forest Meteorol 35: 83–101

Long SP, Humphries S, Falkowski PG (1994) Photoinhibition of photosynthesis in nature. Annu Rev Plant Physiol 45: 633-662

Lumsden P (ed.) (1997) Plants and UV-B. Responses to Environmental Change. Soc Exp Biol Seminar Series 64, Cambridge University Press

Monteith JL (1977) Climate and the efficiency of crop production in Britain. Phil Trans Royal Soc Series B 281: 277-294

Monteith JL Unsworth MH (1990) Principles of environmental physics. Edward Arnold: London

Palmer JW (1989) The effects of row orientation, tree height, time of year and latitude on light interception and distribution in model apple hedgerow canopies. J Hort Sci 64: 137-145

Pfitsch WA, Pearcy RW (1989) Daily carbon gain by Adenocaulon bicolor (Asteraceae), a redwood forest understory herb, in relation to its light environment. Oecologia 80:465-470

Shaulis N, Jordan TD, Tomkins JP (1966). Cultural Practices for New York Vineyards, Cornell Extension Bulletin 805, New York State College of Agriculture: Geneva, New York.

Smart RE (1989) Solar radiation interception as a guide to the design of horticultural plantings. II. Twenty years of experience with grapevines. Acta Hort 240: 87-94

Stapleton AE (1992) Ultraviolet radiation and plants: burning questions. Plant Cell 4: 1353-1358

Strid A, Chow WS, Anderson JM (1990) Effects of supplementary ultraviolet-B radiation on photosynthesis in Pisum sativum. Biochim Biophys Acta 1020: 260-268

Tevini M (1994). UV-B effects on terrestrial plants and aquatic organisms. Progress Bot 55: 174–190

Thompson WA, Kriedemann PE, Craig IE (1992a) Photosynthetic response to light and nutrients in sun-tolerant and shade-tolerant rainforest trees. I. Growth, leaf anatomy and nutrient content. Aust J Plant Physiol 19: 1-18

Thompson WA, Kriedemann PE, Craig IE (1992b) Photosynthetic response to light and nutrients in sun-tolerant and shade-tolerant rainforest trees. II. Leaf gas exchange and component processes of photosynthesis. Aust J Plant Physiol 19: 19-42

Trenbath BR, Angus JF (1975) Leaf inclination and crop production. Field Crop Abstracts 28: 231–244

Tustin DS, Corelli-Grappadelli L, Ravaglia G (1992) effect of previous-season and current light environments on early-season spur development and assimilate translocation in Golden Delicious apple. J Hort 67:351-360

Van den Ende B, Chalmers DJ, Jerie PH (1987) Latest developments in training and management of fruit crops on Tatura trellis. Hort Sci 22: 561-568

Wagenmakers PS (1991) Planting systems for fruit trees in temperate climates. Crit Rev Plant Sci 10: 369–385

Watling JR, Ball MC, Woodrow IE (1977a) The utilization of sunflecks for growth in four Australian rainforest species. Funct Ecol 11: 231-239

Watling JR, Robinson SA, Woodrow IE, Osmond CB (1977b) Responses of rainforest understorey plants to excess light during sunflecks. Aust J Plant Physiol 24: 17-25.

Wünsche JN, Lakso, AN, Robinson TL, Lenz F, Denning SS (1996) The bases of productivity in apple production systems: The role of light interception by different shoot types. J Amer Soc Hort Sci 121: 886-893

Chapter 14 - Temperature and acclimation

Chapter editor: Rana Munns                         

Contributing Authors:  John Angus, Owen Atkin, David Brummell, Aidan Farrell, Peter Gorsuch, EW Hewett,Vaughn Hurry, Howard Rawson

1CSIRO Plant Industry, 2Australian National University, 3Plant and Food Research NZ, 4University of the West Indies, Trinidad, 5Massey University NZ, 6Umeâ University, Sweden

This chapter is updated from a previous version by PE Kriedemann, SE Hetherington, IF Wardlaw and EW Hewett for Plants in Action 1st Edition

Fig14.0.jpg

Fighting ice with ice! Alleviating frost damage in a New Zealand orchard with overhead sprinklers. Plant tissues encased in ice that is continuing to form will remain at 0°C, that is, just above the threshold for injury (Photograph courtesy E. W. Hewett)

Life on earth is restricted to a narrow thermal band (Figure 14.1). Within that range, global conditions can still be extreme with air temperatures as low as –70°C in Antarctica and as high as +57°C in North Africa. Remarkably, life can endure those circumstances, and worse. Thermophilic bacteria exist in hot volcanic springs at +94°C and seeds, lichens and mosses may survive down to –260°C as forms of latent life. However, the temperature range for active growth in higher plants is much more modest and generally constrained between about 5°C and 45°C. The minimum temperature for active growth in tropical and subtropical plants that are chilling sensitive is from 10°C to 15°C (Section 14.4).

Fig14.1.png

Figure 14.1. Plant growth within the earth's biosphere is limited to a narrow range of temperatures compared with the overall cosmic span from absolute zero, where molecular motion ceases, to 10 000 K where atoms are ionised. Taking the life zone as spanning -5 °C to 45 °C vascular plants show remarkable thermal resilience within this range which enables them to colonise a great diversity of habitats. (Values generalised from various sources)

On a global scale (Figure 14.2) vegetation types have broad mean annual temperature ranges, from the arctic and alpine tundra at the low end of the temperature scale to tropical forests at the high end. Within this classification Australia and New Zealand cover a wide range of temperature conditions with mean annual temperatures varying from 4°C in the alpine areas of Australia and New Zealand to 28°C along the tropical northern coast of Western Australia.

Fig14.2.png

 

Figure 14.2. Mean annual temperatures in Australia and New Zealand range from 28°C in the north (tropical forest zone) to 4°C at higher elevations in the south (arctic and alpine tundra zone). Temperature extremes are an important factor in regulating survival and growth of many species, with periods of heat stress (>45°C) and freezing temperatures (<-2°C) common to some areas. Active growth of higher plants is normally limited to temperatures ranging from 0°C to 40°C, but many subtropical species will be chill damaged by temperatures lower than 10—15°C and many temperate species will not survive long periods of temperatures higher than 30°C. (Generalised from various sources)

14.1 - Thermal environment and plant heat budgets

Temperatures vary with latitude, altitude, size of land mass (and position within that land mass), atmospheric conditions (cloud cover and air movement) and local topography. Atmospheric temperatures decrease by about 1°C for each 2° increase in latitude, or for each 100 m increase in altitude. Temperatures in high altitudes near the equator can be similar to low-land temperatures further from the equator. The potato, which has its origin in tropical high altitudes, is now grown widely in low-altitude regions of the world where temperature conditions are similar. However, temperature is not the only concern in this expansion of a crop plant to new growing regions, as a change in latitude and altitude may require some adaptation to changing photoperiod and radiation levels.

Seasonal variation in temperature is greatest near the poles, and small near the equator. At high altitudes the increased solar radiation which can result in rapid local heating is balanced by greater night radiation losses. The most stable temperatures occur under oceanic conditions in the tropics.

Survival outside the active growth range of all plants is nevertheless dependent on developmental stage, duration of temperature stress and degree of acclimation. Terrestrial plants have evolved life cycles that match seasonal necessity, which at low temperatures necessitates winter dormancy. Within the dynamic range of plant–temperature relations, where short-term responses are readily reversible, phenology and productivity have been successfully linked with various measures of accumulated heat (thermal time), and predictive models validated.

14.1.1 - Temperature means and extremes

Fig14.3.png

Figure 14.3. Wheat-growing areas of Australia have been classified according to the temperature conditions normally prevailing during crop growing seasons (Nix 1975).Temperature increase following heading is common in all regions and plants frequently suffer periods of heat and drought stress during grain filling. Avoiding these late stresses by earlier planting can be difficult, particularly in those regions subject to spring frosts which may damage the developing florets of the inflorescence (ear) (Based on H A Nix (1975) plus other unpublished sources)

Average monthly temperatures are more relevant to plant growth than mean annual values.  Timing cardinal stages in plant development (phenology) can often be predicted from temperature measurements taken during the growing season. This integration of time and temperature is expressed in terms of degree-days (see later comments). However, when considering the effect of temperature on yield it is necessary to take extreme conditions into account, particularly at sensitive stages of growth.

Although unseasonally warm growing conditions late in winter are not necessarily harmful to fruit trees, this will often result in early bud break and flower development, increasing the possibility that these more sensitive stages of development will be damaged by a late frost.

For annual crops some degree of adjustment is possible to avoid a particular environmental stress by varying the cultivar or time of planting. However, even this increased flexibility may not be adequate to cope with the irregular nature of many stresses. In the wheat-growing areas of Australia, temperatures increase from the time of heading through to crop maturity so that grain filling often occurs at above-optimum temperatures. Added to this is the possibility of extreme high temperatures (heat shock) or drought. In warmer growing regions these temperature extremes may be avoided in part by earlier planting, but this approach will depend on suitable temperature conditions and the availability of water for germination and seedling establishment early in the year. In cooler wheat-growing regions earlier planting may expose the developing infloresence to possible frost damage resulting in reduced fertility and grain set (Figure 14.3).

14.1.2 - Plant temperatures

Most field studies on the relation between growth (and yield) and temperature are based on meteorological data collected in the vicinity of the crop or ecological area under examination. Although these data have proved to be of considerable value in assessing the response of plants to temperature, actual plant temperatures can differ considerably from air temperature and temperatures can also vary from organ to organ within a plant.

Plant temperatures will be influenced by plant form (erect or prostrate), leaf area, aspect (e.g. north- or south-facing slope), irradiance (sun angle, cloud cover and altitude) and air flow (wind). There are also plant characteristics such as reflection from the surface of the leaf, leaf angle and leaf cooling by transpiration which will reduce plant temperature and may minimise the damage associated with above-optimal air temperatures. At the other end of the scale, where there is moisture on leaves, the latent heat produced during external ice formation (a white frost) may provide some initial protection of tissues against frost damage.

Leaf temperatures generally follow the diurnal changes in air temperatures (Fig. 14.4). At sunrise with a clear sky there is a rapid rise in air temperature and leaf temperature, with a slower and lower rise in root and surface soil temperature. This relationship is altered considerably by cloud cover and at night root temperatures will be higher than leaf temperatures. Organ volume (thickness) can also have a marked influence on temperature and this can be seen, for example, in the apple-growing regions around Auckland in New Zealand. On a windless sunny day with an air temperature of 26°C, while leaf temperature in an apple orchard may reach 29°C, the peripheral flesh of the fruit on the sunny side of a tree can reach 45°C.

Fig14.4.png

Figure 14.4. Plant temperatures generally follow the diurnal pattern of air temperatures, but may be higher (sometimes 10°C or more) due to strong irradiance from full sunlight, or cooler (often by 2-3°C) due to transpirational cooling. Tissues and organs of a plant are not necessarily at a uniform temperature. Root temperatures are generally lower than those of leaves during daytime and higher at night-time, reflecting the differences between air and soil temperatures. Based on Davidson (1969) Ann Bot 33, 561-569.

Under normal field conditions mean day temperatures can commonly be 5°C to 10°C higher than mean night temperatures, with a much greater amplitude between maximum and minimum temperatures. The importance of this day/night differential has received considerable attention in relation to the growth and yield of glasshouse crops where there is the possibility of some degree of temperature control. However, it is also of interest in field crops in relation to the development of models for use in predicting the effect of weather conditions on crop development.

Total plant growth would be favoured by low night temperatures as this would reduce respiratory losses at a time when the supply of carbohydrate might become limiting. However, dry matter production for a wide range of crops grown under constant but optimal temperature is equal to and often greater than dry matter production by the same crops grown under differential day/night temperatures with the same mean value. Where a day/night temperature differential is imposed, low night temperatures rather than low day temperatures favour growth. The amplitude of the day/night temperature differential is also important and increasing this from 10°C to 20°C can reduce growth.

14.1.3 - Plant energy budgets

Fig14.5.png

Figure 14.5. A notional energy budget for a mesophytic leaf on a well-watered plant. Taking an incident irradiance of 400 J m-2 s-1 as representative of midday conditions, 30 units are reflected, leaving 370 J m-2 s-1 absorbed. If air temperature is taken to be 20°C, relative humidity 50%, wind speed 0.8 m s-1 and leaf area 0.01 m2 (i.e. 100 cm2), then transpiration will be about 4 mmol H20 cm-2 s-1, and latent heat exchange will account for about 180 J m-2s-1. Sensible heat exchange will account for the remainder (about 190 J m-2 s-1) (Based on Nobel 1983)

All organisms must balance energy inputs and outputs in order to maintain tissue temperatures within a given range. Plants have evolved a range of adaptations that allow them to balance energy gain and loss and so avoid becoming too hot or too cold. Energy budget equations quantify the energy gained and lost through different processes. More complex energy budget models include leaf and canopy properties that influence the rate of energy transfer (see Lambers et al. 2008).

In a leaf energy budget, energy is gained through radiation absorbed, while energy is dissipated as radiant heat loss by emission of longwave radiation, sensible heat loss by convection, and latent heat loss by transpiration (Figure 14.5). For a leaf to maintain a constant temperature the energy exchange must be balanced such that:

Radiation absorbed = radiant heat loss + sensible heat loss + latent heat loss

Energy gain comes primarily from the sun in the form of shortwave radiation. Leaves absorb a large proportion of incident solar shortwave radiation, particularly in the visible wavebands (Figure 14.6). As any object with a temperature above absolute zero emits some radiation, leaves also absorb longwave radiation from their surroundings. A plant can reduce the amount of radiation absorbed by reducing the amount of leaf area exposed to the sun, e.g. by changing leaf orientation or leaf dimensions. Leaf properties such as surface wax, hairs and scales will also alter the amount of incident radiation that is reflected and transmitted (see section 14.7.2).

Fig14.6.png

Figure 14.6. Solar radiation striking a leaf is either reflected, transmitted or absorbed. Photosynthetically active radiation (0.4 to 0.7 µm) is strongly absorbed, whereas near-infrared radiation which would heat leaves but is useless for photosynthesis (between about 0.8 and 2 µm) is only weakly absorbed. Far-infrared radiation is strongly absorbed, but energy per quantum is greatly diminished at these long wavelengths, so that consequences for leaf heating are greatly diminished. Based on Gates (1965) Meteor Monogr 6, 1-26.

During the day, thermal energy that is absorbed by a leaf must be dissipated to prevent the leaf from overheating. A large amount of heat is lost through the emission of longwave radiation, but this is normally balanced by inputs of longwave radiation from the surrounding environment. The rate of radiant heat loss is determined by leaf temperature and by leaf emissivity. Emissivity does not vary greatly between leaves; generally darker, smoother leaves have a higher emissivity (as well as a high absorbance) (Lambers et al., 2008). At night time, radiant heat loss can cause leaf temperature to drop well below that of the surrounding air. On long, cloudless nights, when there is little radiant input from the atmosphere, dew can condense on the leaf surface and, in extreme cases, leaves may cool below zero resulting in frost damage. 

During the day a leaf typically loses sensible heat to the surrounding air through convection. At night the situation is usually reversed with leaves gaining heat from the surrounding air. The rate at which heat is gained or lost is proportional to the difference in temperature and to the amount of resistance between a leaf and the surrounding air. Characteristics that increase the size of the boundary-layer, e.g. large leaf dimensions or presence of leaf hairs, will reduce the rate of heat exchange. Similarly, reduced wind speed will reduce the rate of sensible heat exchange.

For transpiration to occur, water contained in cells within a leaf must change into water vapour and escape through stomatal pores. For the water to move from a cell to the inter-cellular air space it must change from a liquid to a gas (water vapour). This phase change from liquid to gas consumes a large amount of energy and in doing so cools the leaf. This loss of energy is referred to as latent heat loss. The rate at which transpiration occurs is proportional to the difference in humidity and to the amount of resistance between the inside of the leaf and the surrounding air. As well as wind speed and boundary layer properties, transpiration is strongly influenced by stomatal resistance. When the stomata are closed, heat loss through transpiration is negligible. Although stomatal resistance has a large impact on leaf temperature, it is generally accepted that stomatal opening does not respond directly to changes in temperature. In hot, dry conditions stomata will typically remain closed even when a leaf is overheating (Lambers et al. 2008).

Further Reading

Lambers H, Chapin FS, Pons TL.  2008. Plant physiological ecology. Springer

Nobel PS. 1983. Biophysical plant physiology and ecology.WH Freeman.  

14.2 - Growth and development responses to temperature

Updated by John F Angus and Howard M Rawson, CSIRO Plant Industry, Canberra

Plants can be classified in their temperature responses into broad groups. One group is defined by sensitivity to low temperature: ‘chilling-sensitive’ species are unable to grow, and often suffer visible damage, below 10–15°C and ‘chilling-tolerant’ species are able to grow down to 0°C and able to survive below this temperature.  Within each group, important temperature-sensitive processes are leaf expansion and stem elongation, both of which depend on cell expansion before the cell walls harden.

Another division is based on differences in the pathway of CO2 fixation during photosynthesis, where species in which initial fixation occurs via Rubisco and the photosynthetic carbon reduction cycle are designated C3 species and species in which initial fixation occurs via phosphoenolpyruvate (PEP) carboxylase and the four-carbon dicarboxylic acid pathway are designated C4 species. C4 species include maize and sorghum and such species have high optimum temperatures (≥30°C) for growth. Most C4 plants are also chilling sensitive (Section 14.4). C3 species, on the other hand, show considerable variation in their optimum growth temperature, which can range from close to 30°C in rice to less than 10°C in some alpine species, and they also include a wide range of both chilling-sensitive and chilling-tolerant plants.

14.2.1 - Plant variation in sensitivity to temperature

At any given stage of development, it is possible to define the minimum temperature below which a plant will not grow, suboptimal temperatures where a further increase in temperature will result in increased growth, optimal temperatures when growth is at its maximum, supraoptimal temperatures where a decrease in temperature will result in increased growth and the maximum temperature above which a plant will stop growing. Sustained temperatures beyond this range will be lethal.

Temperature is an important factor in controlling changes in growth and development from germination, through vegetative growth to floral initiation and reproductive growth. Not all stages of development, or different physiological processes, are equally sensitive to temperature. For example, the stage of pollen meiosis during anther development in rice is particularly sensitive to low temperature extremes, whereas in wheat it is less so. Variation in temperature tolerance is also evident within single plants as well as between genotypes. Young actively growing tissues are generally more sensitive to temperature variation than mature tissues and dormant tissues such as buds and seeds can often survive quite extreme temperatures. Frost tolerance in apple is greatest in the stem and then follows a sequence of decreasing tolerance from the mature leaf to the young leaf and floral parts, with the ovary, style and stigma of flowers being least tolerant of frost.

Variation in temperature sensitivity between tissues and physiological processes is also seen in sorghum, a subtropical C4 species. Frost damage occurs to green tissue below –1°C, there is poor seed germination below 6°C, chlorophyll destruction occurs in mature green tissue under high light at 10°C, there is poor pollen development below 13°C and chlorophyll formation in young developing leaves is inhibited at temperatures below 16.5°C (Bagnall 1982).

Fig14.7.png

Figure 14.7. Temperature effects on growth can be viewed in relation to either rate of organ production or the final size attained. Size results from both rate and duration of growth, and there are many examples where organ size is reduced at high temperature because rate of growth cannot compensate for a reduced duration of growth. This is illustrated for wheat (a temperate cereal) and rice (a subtropical cereal). At low temperature wheat has a much larger grain than rice, but rice has a much more stable grain size than wheat in relation to temperature and at 30°C grain size in the two species is very similar. (Based on Tashiro and Wardlaw 1989)

Temperature effects on growth can be viewed in terms of rate multiplied by duration of growth where individual components have different temperature optima (Figure 14.7). As temperature increases within a plant’s dynamic range, duration of growth decreases but rate of growth increases. As a consequence, organ size at maturity may change very little in response to temperature despite variation in growth rate. As temperatures are raised further, an increased rate of growth is no longer able to compensate for a reduction in duration, and the final mass (or volume) of a given organ at maturity is reduced. This is providing that soil water can be maintained during this period. This response can be seen in a range of tissues including leaves, stems and fruits (and seeds). A smaller organ size at maturity due to high temperature is usually associated with smaller cells rather than a change in cell number.

14.2.2 - Thermal time and crop development

As already described, the time taken for plants and their organs to develop within their dynamic temperature range decreases as temperature increases. This was first quantified in the eighteenth century when the French physiologist Reaumur showed that grapes growing in different regions and seasons ripened when the accumulated daily temperature, ti , reached a (fairly) constant value, k, which is known as day degrees, heat units or heatsum. In equation (1) daily temperature is the mean of maximum and minimum temperatures, the subscript i refers to days and the summation was from winter until grape ripening. The units are °C.d.

\[\displaystyle\sum\limits_{winter}^{ripening} t_i=k \tag{14.1}\]

The system of accumulating temperature in this way is known as thermal time and can be applied to the life cycle of a plant or organ, or a phase of a plant’s development such as the seed-filling phase or the expansion of a single leaf.

One weakness of this system is that temperature accumulates above 0°C while in reality, for many species, development stops at temperatures well above freezing.  Instead of accumulating temperatures above 0°C, thermal time systems now use a base or threshold temperature, tbase, which varies with species and is estimated as the value that provides the most constant value of k. Using this system, heat sum is calculated from daily temperatures above tbase , as indicated by the subscript + in equation 2

\[\displaystyle\sum\limits_{finish}^{start} (t_i-t_{base})_{+}  =k \tag{14.2}\]

The thermal time system can be simplified providing no daily temperature during a phase falls below tbase.  An example of the simplified system appears as a graph of duration of a phase, D, versus the mean temperature of the phase, ť (Figure 14.8a).  This line is defined by the duration of the phase, D, and the mean temperature of the whole phase above the base temperature, ť-tbase.  The product of these variables is the heatsum, k (equation 3).

\[D(t-t_{base})=k \tag{14.3}\]

Fig14.8.jpg

Figure 14.8. Duration of a phase in a plant’s life cycle, measured as time, decreases as mean temperature increases. For many plants, duration, when measured as thermal units, becomes a constant value. This thermal duration is called a heat sum, heat units or day degrees. It is calculated as the product of time duration and the mean temperature of the phase above a suitable base temperature. The base is 5°C in this graphical example that represents the temperature response of the phase from seedling emergence to flowering (anthesis) of a temperate plant such as wheat. The wheat developmental pattern is shown in (a) as a rectangular hyperbola (purple curve) in which the areas of the rectangles are equal. Expressing the same wheat data as the inverse of time duration against mean temperature (b) produces a straight line. The slope of the straight line is the inverse of the heat sum and the intercept on the x-axis is the base temperature.

Figure 14.8 shows the effect of temperature on phase duration from seedling emergence to flowering (anthesis). The curve in Figure 14.8a is a rectangular hyperbola, meaning that the areas of rectangles defined by the graph are constant, so in the examples \(D_1(t_1'-t_{base})=D_2(t_2'-t_{base})\). For example a duration of 100 days at a mean temperature of 10°C represents a heat sum of 500 °C.d above a base temperature of 5°C i.e. 100(10-5) = 500 °C.d.  The relationship can be linearised by plotting the inverse of duration 1/D against mean temperature (Figure 14.8b). 1/D is defined as the mean rate of development, with units of day-1, and is equivalent to the proportion of development per day (equation 4).

\[\frac{1}{D}=\frac{1}{k}(t'-t_{base})_{+} \tag{14.4}\]

Extrapolation of the line to the x-axis provides an estimate of tbase and the slope of the line, 1/k, is the heatsum.  The advantage of plotting results in this way is that it provides a test of whether the thermal time system works for the data. 

According to this example for wheat, a 2°C warming above a mean of 15°C would reduce the number of days to anthesis from 50 to ~42(500 °C.d / (15°C - 5°C) = 50 days and 500 °C.d / (17°C - 5°C) = 41.7 days).  Reduced duration can mean less crop growth because of fewer days for intercepting solar radiation and photosynthesis. 

Rate of development is not always linearly related to mean temperature (Figure 14.9a).  At high temperatures the development rate of some plant phases decreases, showing a clear optimum temperature (arrowed).  This cardinal temperature along with the base temperature, defines the boundary of the dynamic temperature range for the phase, organ or species.  An optimum temperature is more likely to appear when plants are exposed to high temperature when light levels are relatively low.  Rate of development is affected by both temperature and photoperiod in photoperiod-sensitive species. So while development responses remain linearly related to temperature the slopes change with photoperiod; a long-day plant develops more rapidly in long days than in short days (Figure 14.9b).

Fig14.9.jpg

Figure. 14.9. Exceptions to the simple thermal time system shown in Figure 14.8. At temperatures close to the base temperature and at high temperatures development may diverge from a linear response of development rate to temperature (shown in (a) as the green departures from the purple straight line). In some species and phases there is a reduced development rate with higher temperature, shown in (a) by the purple line declining beyond the optimum). A long-day plant shows more rapid development in long days than short days over a wide range of temperatures (b).  Short-day plants show the reverse response. Based on Angus et al. (1981).

Thermal time can be used to predict crop development and the stages when herbicides, insecticides and fertiliser should be applied.  This is useful for farmers who manage crops over distances of hundreds of kilometres and need to visit them at a particular stage of development.  Thermal time can also be used to back-calculate the best sowing date to minimise the risk of frost or excessive heat damage at sensitive stages of development.

Fig14.10.jpg

Figure 14.10. Spreadsheet to calculate heatsum from daily maximum and minimum temperatures and a base temperature. Daily mean temperatures below the base do not contribute to heatsum, as shown by the equation in cell G9.

The dynamic ranges of temperatures for subtropical and tropical species are much higher than for this example of temperate wheat.  Consequently the base temperature will be higher and the heatsum different.  Nevertheless the method for calculating thermal time is similar. 

Practical Notes: It is easy to calculate heatsums from temperature data that you measure yourself or download from the internet. Figure 14.10 is a spreadsheet showing a week’s accumulation of heatsums using different base temperatures. When collecting temperature data, remember to shade the thermometer, allow free air circulation and install it at the standard height for your region (1.2 m above ground in Australia).  To test the relationship between heatsum and phasic development you can record development of a phase of plant development in several environments by growing plants at different times of year or in different locations. For that, you need to record on your temperature spreadsheet the date of the start of the chosen phase (maybe the sowing date) and the date of the end of the phase (maybe flowering). Work out the thermal time for each day of the phase like in Figure 14.10, and add all sums together to produce the heatsum for the phase. Compare that result with data you collect from other planting dates. Are the heatsums the same despite different temperatures? If you calculate the mean temperature for the phase on your spreadsheet and the number of days from start to finish of the phase you can graph your combined data like in Figure 14.8. If you have enough sowing dates you will be able to work out the real base temperature for that phase of the chosen species.

Some Definitions:

Development refers to the changes in form or ontogeny of plants (and animals) rather than growth, which means the increase of mass.  While normally growth and development are loosely related, it is possible to have growth without development, for example the continuous growth of vegetative buffalo grass, or to have development uncoupled from growth, for example when the flowering date of stunted drought-affected wheat is similar to the flowering date of well-watered wheat.

Phasic development relates to phases in a plant’s life cycle.  For example the phases in the life cycle of an annual crop are vegetative (between seedling emergence and floral initiation), reproductive (between floral initiation and flowering, called anthesis in wheat) and grain filling (between anthesis and physiological maturity)

Phenology is the science of the influence of climate on the occurrence of biological events

14.2.3 - Photothermal Quotient (PTQ) predicts potential crop yield

PTQ is the ratio of solar radiation to mean temperature during a phase of crop development. Nix (1976) proposed that PTQ could be used to predict potential crop yield, i.e. the yield when crop management overcomes the limitations of water deficit or surplus, nutrient deficiency, pests and diseases. Solar radiation is the numerator because it drives photosynthesis.  Temperature is the denominator because increased temperature leads to faster development and so reduces the time available for photosynthesis.

It is more correct to refer to ‘short-wave global radiation’ than solar radiation because ‘global’ here refers to radiation from the whole sky, including diffuse radiation, but excludes the long waves that have no effect on photosynthesis. The units of PTQ are MJ m-2 d-1 °C-1.  In the case of wheat a base temperature of 0°C is acceptable.  For warm season crops such as maize, a base temperature of 10°C should be used.

Evidence for the accuracy of PTQ comes from three examples of wheat.

Fig14.11.jpg

Figure 14.11. (a) Grain numbers per ear in wheat are set by temperature and radiation during the period from floral initiation to flag leaf expansion as shown by transferring plants amongst temperatures throughout the period. Numbers were closely correlated with PTQ (accumulated radiation divided by thermal time for each of the 24 treatments): After Rawson and Bagga 1979. (b) The relation between PTQ and wheat yield in 23 mini-canopies in controlled environments, compiled by Rawson (1988). The correlation between PTQ and grain number in (a) translated to a close correlation between PTQ and yield in (b) because weight per grain is relatively stable in wheat.  (c) The same linear relationship from (b), see equation 5 below, closely predicts potential grain yield at field scales at locations ranging over many degrees of latitude: southern hemisphere data from Peake and Angus (2009). This suggests that basic meteorological data of temperature and radiation is all that is needed to provide first order estimates of potential crop yields at new locations.

Figure 14.11a shows results from plants grown in naturally-lit temperature-controlled glasshouses and batches transferred every four days between different temperatures during the phases prior to ear emergence. The number of grains per ear changed with temperature but was better correlated with PTQ than with thermal time alone or radiation alone.  Since mean kernel weight is stable for a wheat variety when water and nutrition are adequate, a reasonable hypothesis is that grain yield (grain number x kernel weight) would also be related to PTQ. All that is required to estimate likely potential yield for a location would be local radiation and temperature data. Figure 14.11b shows a test of the grain yield – PTQ relationship with data from temperature-controlled glasshouses and growth chambers using mini-crops of wheat grown in different temperature and radiation environments. The regression fitted to these data was

\[\text{YIELD (t ha}^{-1}) = -3.45+9.59 \text{ PTQ} \tag{14.5}\]

Figure 14.11c shows the line from this equation along with data from commercial crops, including a crop from the Canterbury Plains of New Zealand that set the 2010 world yield record of 15.9 t ha-1

The close relationship between the prediction and the data suggests that PTQ can predict potential wheat yield from tropical to cool temperate zones. PTQ therefore provides farmers with a benchmark to assess the yield of their crops. If their yields are well below the benchmark there is scope for improved crop management or genetics.

References

Angus JF, Mackenzie DH, Morton R, Schafer CA (1981). Phasic development in field crops II. Thermal and photoperiodic responses of spring wheat.  Field Crop Res 4: 269-283

Nix HA (1976) Climate and crop productivity in Australia. In Climate and Rice. International Rice Research Institute, Philippines, pp 495-506

Peake AS, Angus JF (2009) Increasing yield of irrigated wheat in Queensland and northern NSW. Goondiwindi Grains Research Update, March 3-4, 2009. Link: http://www.grdc.com.au/Research-and-Development/GRDC-Update-Papers/2009/11/Increasing-Yield-of-Irrigated-Wheat-in-Queensland-and-Northern-NSW

Rawson HM, Bagga AK (1979) Influence of temperature between floral initiation and flag leaf emergence on grain number in wheat. Aust J Plant Physiol 6: 391-400

Rawson HM (1988) Constraints associated with rice–wheat rotations: effects of high temperatures on the development and yield of wheat and practices to reduce deleterious effects. In AR Klatt, ed, Wheat production constraints in tropical environments. International Maize and Wheat Improvement Center (CIMMYT), Mexico DF, pp 44–62 . Link: http://books.google.com.au/books/about/Wheat_Production_Constraints_in_Tropical.html?id=SBnPP4xZg3oC&redir_esc=y

Tashiro T, Wardlaw IF (1989) A comparison of the effect of high temperature on grain development in wheat and rice. Ann Bot 64::59-65

14.3 - Responses of enzymes, photosynthesis and assimilate transport

Enzyme activity is very responsive to temperature, as is enzyme synthesis, activation and stability. However the response of plant growth to temperature is the result of a number of complex processes involving many enzyme systems, and most likely governed by the response of the enzymes involved in CO2 fixation. The different temperature responses of C3 versus C4 photosynthesis are described next, along with temperature effects on assimilate transport and on the basic concepts of enzyme activity including the Q10: the increase in rate of respiration for a 10°C rise in temperature.

14.3.1 - Photosynthesis

Fig14.12.png

Figure 14.12. Plant species show characteristic variation in the way photosynthetic tissue responds to temperature. Maize (a subtropical C4 species) has a high maximum rate of CO2 assimilation with a high optimum temperature, while wheat (a temperate C3 species) has a lower maximum rate and a lower optimum temperature. (a) Absolute values; (b) shows those same data normalised to 100% at optimum temperature. Alpine plants (C3 species) have an even lower optimum temperature and may show CO2 assimilation below 0 °C, but their maximum rates of photosynthesis are often low compared with warmer climate species. Based on I F Wardlaw (1979).

CO2 assimilation underpins plant productivity and is therefore central to any analysis of the response of plants to a change in temperature. In photosynthetic terms, plants can be divided broadly into the groups discussed earlier.

Some C3 species such as snow tussocks have an optimum temperature for CO2 assimilation as low as 5°C, but it is important to note that absolute rates at this temperature may be relatively low (Figure 14.12). Most temperate grasses and cereals as well as many woody species have temperature optima in the range from 15°C to 25°C and within this range many C3 species show only small changes in CO2 uptake. In contrast to temperate C3 species, CO2 assimilation by C4 species increases considerably with a rise in temperature from 15°C to 30°C and optimum temperatures may be greater than this (Figure 14.12). Rice, a subtropical C3 species, has a higher temperature optimum for CO2 assimilation than temperate C3 species. Under high light, C4 species have a characteristically greater photosynthetic rate than the C3 species, but these differences disappear and may be reversed at low temperature. Growth temperatures may also influence the optimum temperature for net photosynthesis, which may therefore vary with season or location. However, modifications leading to an improvement in photosynthesis at high temperatures can result in decreased performance at low temperatures and vice versa.

A combination of at least two factors may be associated with the failure of C3 species to respond more favourably to high temperature in terms of CO2 assimilation. One is the limit placed on photosynthesis by ambient CO2 (Figure 14.13), and a second is the concurrent rise with increasing temperature of light-stimulated photorespiration, which is effectively absent from C4 species. Increased atmospheric CO2 inhibits photo-respiration and results in a much greater uptake of CO2 in response to increased temperature in C3 species.

Fig14.13.png

Figure 14.13. Maize (a subtropical C4 species) has a high optimum temperature (~30 °C) for CO2 assimilation, while barley (a temperate C3 species) has a lower, but less distinct optimum (~15 °C). Doubling CO2 has little effect on CO2 assimilation rate by maize (not shown here), but greatly increases the absolute rate and optimum temperature for barley by suppressing photorespiration. This O2-dependent loss of carbon increases with temperature and is largely responsible for the low optimum temperature of photosynthesis in many C3 species. Based on Labate, Adcock and Leegood (1990) Planta 188, 547-544.

While net photosynthesis is the resulting balance between gross photosynthesis and respiration, low or even negative net photosynthetic rates can have a significant effect on productivity. An example of this would be photosynthesis by the green pod of many legumes where the net uptake of CO2 is low because of a high rate of pod and seed respiration. A rise in temperature will result in greater respiratory losses from the pod and a reduction in net uptake of CO2, but this does not diminish the importance of pod photosynthesis.

Variation in stomatal resistance could be another factor associated with temperature effects on net assimilation of CO2. Adaptation to high temperature can be related to photosystem II electron transfer, the stability of chloroplast membrane-bound enzyme activities and the stability of the photosynthetic carbon metabolism enzymes that require light for activation. For example, enhanced assimilation of CO2 by rice at high temperature, in comparison with the more temperate C3 species, is associated with a greater response of ribulose-1,5-bisphosphate carboxylase in rice to increasing temperature.

In chilling-sensitive species such as maize, sorghum and mung bean, chlorophyll formation and chlorophyll destruction both occur in light at low temperatures. However, once greening has occurred quite low temperatures (but not usually freezing) can be tolerated as long as these occur during darkness. Low-temperature tolerance is also associated with a high level of strategic enzymes such as Rubisco, protein stability and membrane lipid composition.

Consideration must also be given to possible indirect effects of temperature on photosynthesis. For example, a change in root growth due to a change in temperature could alter the supply of nutrients or growth regulators, such as cytokinins, to the shoots. It is common to find a build up of non-structural carbohydrates in many parts of a plant under low-temperature conditions, a response indicating that growth is more sensitive to low temperature than photosynthesis. However, feedback inhibition of photosynthesis associated with this excess carbohydrate accumulation under low-temperature conditions occurs in a number of species. In summary, it is important to take into account the possibility of indirect effects of temperature on photosynthetic tissue when looking for genetic differences in photosynthetic responses to temperature.

14.3.2 - Assimilate transport

There are three components of nutrient and photosynthate transfer in plants that might respond to temperature in different ways: (1) transfer of metabolites across cell membranes, including the exchange between apoplasm (space external to cell membranes) and the symplasm (space contained by cell membranes); (2) cell to cell transfer (within the symplasm) via plasmodesmal connections, and (3) movement of metabolites over long distances through phloem sieve elements.

Selective transfer of metabolites across a membrane against a concentration gradient is an energy-requiring step involving respiratory activity and membrane-bound ATPase (see Figure 1 in Case study 2.1). This metabolically active process is responsive to temperature. Membrane transfer is associated with many physiological functions including movement of metabolites and photoassimilate loading within source leaves, exchange with storage tissues along the path of transport and photoassimilate loading into sinks. The response of long-distance photoassimilate translocation to low temperature varies widely between species. In many temperate Gramineae (including wheat) a drop in temperature along the path of transport to 1°C has no measurable effect on the translocation of photosynthate, but at this temperature in chilling-sensitive species such as bean and sorghum there is a marked reduction in the translocation of photosynthate. In some chilling-tolerant species such as sugar beet, there is an initial rapid decline in translocation following application of low temperature along the path of transport, but this inhibition is transient in nature, with translocation returning to normal in a number of hours. In species that are more sensitive to chilling such as squash there is some adjustment to low temperature, resulting in partial recovery. Such adjust-ments vary between ecotypes within the one species, for example in Canada thistle where behaviour is related to altitude and thus temperature in natural surroundings (Figure 14.14). Lowering the temperature of the transport pathway also reduces the lateral transfer of carbon into adjacent tissues, or alternatively the remobilisation of stored carbohydrate back into the transport system. By contrast, translocation can be relatively insensitive to temperatures up to 40°C, but will be inhibited by prolonged periods of temperature >40°C. Prolonging a high-temperature treatment, unlike the low end of the scale, does not result in recovery; rather, blockage intensifies.

Fig14.14.png

Figure 14.14. Effects of low temperature on translocation of photoassimilate through phloem has frequently been measured by changing pathway temperature between a source and a sink and following variation in the rate of movement of radioactively labelled photosynthate. (a) Translocation in some species such as wheat is especially tolerant of low temperature, but greatly reduced in others such as bean. Again, in other species such as Nymphoides and sugar beet there is an initial retardation of translocation immediately after a low-temperature block is imposed, but translocation subsequently improves even though the low-temperature is retained. (b) Canada thistle has both attributes with the northern (colder) ecotype showing rapid recovery of translocation at low temperature and the southern (warmer) ecotype showing very little recovery over the first 3 h. Based on I.F. Wardlaw (1979).

The exact nature of the inhibition of long-distance transport at temperature extremes is still uncertain. Inhibition appears not to be energy related in a metabolic sense, but low-temperature effects may be due to a displacement of proteinacious material. This would lead to transient responses that reverse in time. More sustained responses under either low- or high-temperature treatments are likely to be due to a build up of callose (a β-1,3 glucan) in sieve-plate pores.

 Whether reduced translocation is the cause of poor growth at extreme temperatures is often difficult to assess. This is partly because of the transient nature of the temperature response in many species and partly because the response of the transport system to temperature has been examined in isolation from other processes. In sorghum, where temperatures below 20°C effectively reduce translocation, this reduction is minor in comparison with the direct effect of the same temperature on growth. Current findings suggest that long-distance transport in the phloem does not have a direct role in regulating whole-plant responses to temperature.   

14.3.3 - Biochemistry and basic concepts

Fig14.15.png

Figure 14.15. Molecules must collide for a chemical reaction to occur, but from the expected number of collisions in a given solution it is clear that only a small number of these collisions actually result in a reaction. For a reaction to occur not only must molecules collide but they must do so above a critical velocity or minimum energy (activation energy).This explains an apparent anomoly where kinetic theory predicts that a 10 K (Kelvin) increase in absolute temperature (K = °C + 273) would be expected to increase the number of collisions by about 2%. However, above a critical value the rate of a reaction can increase two- to three-fold (200-300%) per 10°C rise because the number of collisions increases considerably more than average behaviour would predict. This change in the rate of a reaction with a rise in temperature of 10°C is known as the Q10 value and is around 2 to 3 for many chemical (enzyme) reactions which are operating within their dynamic range (Based on various sources, courtesy I.F. Wardlaw)

Enzymes play a major role in regulating the way in which plants respond to temperature. The effect of temperature on enzyme activity is expressed through the maximum rate (Vmax) and the enzyme–substrate affinity (Km) and this in turn is related to the effect of temperature on enzyme synthesis, activation and stability.

Basic metabolic rates tend to increase exponentially within their dynamic range (10–30°C) so that a rise in temperature of 10°C will at least double reaction rate, that is, ‘Q10’ = 2 (Figure 14.15). Q10 represents the net outcome of increased activity of an enzyme system with increased temperature, offset by any deactivation of the enzyme associated with this increase. Q10 values for metabolic processes are generally in the range of 2–3 and values below this imply that the reaction is at least partly governed by physical rather than metabolic processes. Q10 values for physical processes are commonly around 1.3. Physical limitation occurs when there are barriers to the transfer of substrate to reaction sites in a cell. Reaction rates of whole organisms or even organs often increase approximately linearly with temperature. Respiration is a case in point. This departure from an exponential increase results from a progressive shift in the reaction rates of component processes which first increase exponentially with temperature but then become modified by physical constraints such as substrate availability.

Enzymes can adjust to changes in the temperature environment, such that rates in acclimated plants are not as divergent as would be anticipated from the immediate response to temperature change. Acclimation can take a number of forms which may involve changes in isozymes or enzyme concentration, modification of an enzyme by substrate and effectors, or changes in metabolic regulation.

The concept of Q10 values has been extended to complex cellular and even whole-plant functions and has been used to provide some insight into the nature of the factors limiting the response of plants to temperature.

The ‘thermal kinetic window’ is a concept that relates enzyme activity and optimal plant metabolism to the temperature characteristics of the Michaelis–Menten constant (Km) of substrates and cofactors. Thermal kinetic windows define the temperature range outside which plants experience thermal stress. Many enzymes operate under non-saturating substrate concentrations and substrate binding (Km) may at times be of greater importance than maximum velocity (Vmax) for the characterisation of enzyme function under physiological conditions. The thermal kinetic window for a specific enzyme in a particular species (often spanning 8–15°C) is generally narrower than the plant temperatures experienced on a seasonal or daily basis, and temperature extremes that induce heat shock and chilling injury are not required for plants to experience some degree of thermal stress.

In the event of a sustained change in temperature conditions of plant growth, temperature:Km relationships for key enzyme reactions can adjust towards a temperature optimisation for metabolism and hence growth under those conditions, an out-come referred to above as acclimation and amenable to analysis via an Arrhenius plot to reveal underlying bioenergetics.

By analogy with graphs used to illustrate Michaelis–Menten kinetics, the natural logarithm of a physiological reaction rate (k) plotted against the reciprocal of absolute temperature (1/T) yields a straight line (Figure 14.7). This procedure in effect linearises an exponential response of reaction rate to temperature, and can be summarised in general terms as:

\[k=Ae^{\frac{E_a}{RT}}\tag{14.6}\]

where k is the rate constant of the reaction; A is a constant (exponential or frequency factor); Ea is the activation energy; R is the universal gas constant; T is absolute temperature in degrees Kelvin (K).

This equation can be rearranged to facilitate comparisons of reaction rate at two temperatures, T1 and T2:

\[\frac{\text{ln }k_2}{\text{ln }k_1} = A \frac{T_2-T_1}{T_1/T_2}\tag{14.7}\]

This relates enzyme activity to temperature where k1 and k2 are the reaction rates at absolute temperatures T1 and T2.

Plotting log k as a function of 1/T yields a linear relationship in the dynamic temperature range where the organism shows readily reversible responses to temperature, and can live indefinitely. Slope indicates the ‘energy of activation’ (Ea) which is the minimal energy required for the reaction to occur. A change in slope of this line indicates a change in sensitivity. A steeper slope at low temperature indicates that the energy of activation has increased and has therefore become more limiting to maximum velocity (Vmax) of the overall reaction (Figure 14.16).

Fig14.16.png

Figure 14.16. (a) Dark respiration of white clover leaves (dry mass basis) increases with temperature. However, respiration rate depends on the conditions under which plants have grown and is greater for leaves grown under cool conditions. (b) An Arrhenius plot provides a useful basis for comparing the temperature response of two sets of leaves. Respiration (reaction) rate (log transformed) is plotted as a function of the reciprocal of absolute (Kelvin) temperature (1/temperature (K)). An Arrhenius plot (see Equation 14.1) is also used in analysing many chemical transformations and processes in which absolute rates are exponentially related to temperature and thus yield a straight-line relationship as illustrated here. Arrhenius equations have been applied to a whole range of plant functions from photosynthesis to changes in dry mass. Slope is characteristic of a particular reaction and varies between species, but in this example using clover there is little difference between warm and cool region leaves, indicating that the basic activation energies are similar. (c) Many subtropical species, such as mung bean, are chilling sensitive, growing poorly at temperatures well above freezing. An Arrhenius plot of growth (or a more specific biochemical reaction) is no longer linear throughout the whole temperature range. A steeper slope at low temperature implies that the energy of activation has increased and has become more limiting to plant function compared with values above that chilling threshold. At high temperatures the slope of the line is again reversed as enzymes are inactivated. Actual values will vary from one reaction to another and between species. (a) Based on Woledge and Dennis (1982) Ann Bot 50, 25-35. (c) Based on Bagnall and Wolfe (1978) J Exp Bot 29, 1231-1242.

Considerable use has been made of Arrhenius plots in attempts to determine critical temperatures for key enzymatic reactions in plant cells. Membrane lipids may undergo a phase change from the mobile to the solid state with a fall in temperature and this will vary with the nature of the lipids in the membrane, particularly the degree of unsaturation (double bonds). Any change in lipid properties would be expected to modify the activity of membrane-bound enzymes. Because of the complex nature of membranes, such change will often be a gradual rather than an abrupt change at a precise temperature.

Arrhenius plots have also been used to analyse the response to temperature of individual organs and whole plants in order to determine critical temperatures for growth. In chilling-sensitive species, the slope of the Arrhenius plot becomes steeper at low temperature, indicating a change in enzyme–temperature relationships. Plant taxa which experience broader ranges of temperature during growth in their native habitats can have smaller Arrhenius temperature coefficients.

Membranes and their associated enzymes are likely to provide a key to many temperature responses in plants and this can be extended to frost damage where membrane destabilisation resulting from freeze-induced dehydration is a major factor in freezing injury (Section 14.6).

14.4 - Chilling injury

Original Author: Susan E Hetherington, University of Queensland, with update by David Brummell, Plant and Food Research, New Zealand

Plants may develop physiological disorders when exposed to low but non-freezing temperatures. The German plant physiologist Molisch suggested the term ‘chilling injury’ as long ago as 1897 to describe this phenomenon. Symptoms of chilling injury can differ widely between species, but usually develop rapidly in plants native to tropical and subtropical climates and almost imperceptibly slowly in plants originating in cool temperate climates. Within the range of chilling temperatures, that is, from the temperature of the freezing point of the plant tissue up to about 13°C, the rate at which chilling injury develops intensifies with decreasing temperature and increasing duration.

Throughout history, people around the world have collected plants on their travels and taken them to other countries and continents. When tropical and subtropical plants collected from low altitudes have been taken to temperate climates they have had to be housed in protective structures for all or part of the year. In the case of Citrus species introduced into northern Europe in the sixteenth and seventeenth centuries from warmer southern climates, summer temperatures in countries such as France and Germany were mild enough to allow these trees to be grown outside in the summer. At other times of the year, however, potted trees were moved into buildings known as orangeries for protection against the low temperatures. Similarly, during the late seventeenth century, a time when a great number of exotic chilling-sensitive palms, trees and foliage plants were introduced into temperate countries by plant collectors operating in the tropics and subtropics, these plants had to be protected from exposure to low temperatures at all times. Chilling-sensitive foliage plants such as Episcia spp., which are native to the Amazon basin, are killed within 30 min of being exposed to 1°C. Survival of such highly sensitive plants necessitated year-round protection from cold. This requirement was met by the invention of the heated glasshouse in the 1880s.

In modern agriculture, many species are cultivated outside their original microclimate. For example, avocado (Persea americana Mill.) was taken from tropical highlands in Mexico and is now grown in the temperate North Island of New Zealand and in inland Australia where nights are cold. When the new location has temperature minima below those of the region in which the plant evolved, problems of chilling injury can arise.

14.4.1 - Symptoms of chilling injury

Fig14.17.jpg

Figure 14.17. Cavendish Williams bananas harvested at the hard green stage from the same banana hand were either stored at 22°C for 11 d (non-chilled) or placed at 4°C for 7 d (chilled) before transfer to 22°C for 4 d. Compared to the non-chilled bananas, which gradually turned from green to yellow as they ripened, the chilled bananas failed to yellow and instead developed extensive peel blackening due to cell death. Slight peel blackening was evident when the bananas were removed from the 4°C treatment but greatly intensified at 22°C. To maintain the postharvest quality of Williams bananas, a crop which is worth approximately $180 million per annum to the Queensland economy, marketing authorities stipulate that the produce must not be cooled below 13°C during fruit storage, and for optimal fruit condition it should be kept in the temperature range 14–21°C. During the ripening of green bananas in the commercial ripening rooms at the Brisbane fresh produce market, the lowest temperature the fruit is allowed to equilibrate to is 14.5°C (Photograph courtesy S.E. Hetherington)

With annual crops, the time of greatest risk is likely to be early in a growth season, and especially during seedling establishment. Chilling injury to seedlings can show up as necrotic lesions on the young roots and shoots, with slowed growth and increased susceptibility to disease attack, and even death. Crops adversely affected by low temperatures during the establishment period take longer to mature and this in turn may mean that they are at risk to chilling temperatures towards the end of the growing season.

Not only does chilling exposure retard the growth and maturation of crops, but chilling damage to fresh produce during postharvest storage is also of economic importance (Figure 14.17, and see Section 11.6.5). Chilling injury is a particular problem with fresh fruit, vegetables and flowers, because storage at temperatures low enough to retard tissue respiration is still the most effective postharvest method for extending the shelf life of produce. Even in produce-handling industries, there is often insufficient appreciation of requirements and behaviour of individual crops or even specific cultivars, and losses ensue. The time taken for symptoms to develop varies greatly and is influenced by a number of factors including genotype, cultivar, stage of maturity and preharvest growth conditions. For example, with fruit stored at 1–2°C, it takes several months for chilling injury to develop in apples as a brown discolouration of the cortex, several weeks for the flesh of peaches to become mealy in texture, a number of days for avocados to show areas of grey discolouration in the flesh, and only a few hours for cucumbers to display tissue breakdown in the mesocarp. Obviously storage at 0–2°C is an excellent method for extending the storage life of apples, is moderately useful for peaches, but disastrous for cucumbers. Avocados are better kept at a higher storage temperature; the recommendation for extended storage of avocados is 6°C. Even this temperature is too low for tomato, another sub-tropical species susceptible to chilling injury. Ripe tomatoes should be stored cool, at 12°C or above, and not at refrigerator temperature.

Chilling injury becomes apparent in a variety of ways (Table 14.1) that vary with species and tissue. Visible symptoms are outcomes of physiological disorders, and may develop slowly during the actual chilling period, to be expressed more rapidly once the tissue is returned to warmer, non-chilling conditions.

In defining the physiological basis of chilling injury, loss of membrane integrity emerges as a major symptom and much research has been directed to elucidating the chemical and physical nature of lipoprotein membranes of species having different climatic origins. Dr John Raison and other scientists at the former CSIRO Division of Food Research in Sydney provided evidence that physical changes occur in membranes of chilling-susceptible plants during low-temperature exposure. They suggested that the molecular ordering of membrane lipids is altered in the temperature range where chilling effects become apparent. In particular, lipid composition appears to determine how membranes respond to low temperatures. Tropical species tend to have lipids with a higher proportion of saturated fatty acids (these are fatty acids such as palmitic acid which lack double bonds in their structure and therefore have higher melting points), while cool-climate plants tend to have more unsaturated fatty acids such as oleic acid. However, a consistent pattern of differences in lipid membrane composition between chilling-susceptible and chilling-resistant plants has yet to emerge and additional factors are likely to be involved. The physical nature of cell membranes remains an important point for research into chilling injury, but as yet no single physiological factor has been linked with plant susceptibility to chilling injury.

14.4.2 - Quantifying chilling injury

Fig14.18.png

Figure 14.18. Changes with time in in vivo chlorophyll a fluorescence induction kinetics in response to chilling. In chilling studies, chlorophyll fluorescence has commonly been measured as the rate of rise in fluorescence yield induced by illuminating dark-adapted tissue (the FR value). In isolated chloroplasts, a decrease in photosystem II activity is correlated with a decrease in FR (Smillie and Nott 1979). This figure shows the progressive decline in FR in a trifoliate bean (Phaseolus vulgaris L. cv. Canadian Wonder) leaflet chilled at 0°C in darkness. The first measurement of FR was made after allowing 30 min at 0°C for temperature equilibration of the leaflet. The measurement was repeated on the same area of the leaflet at the times indicated on the figure. The longer the time of` chilling, the greater the degree of chilling injury, and the slower the rate of rise of FR. The greater the chilling sensitivity of a cultivar, the shorter the time taken for a 50% decrease in FR (Original data courtesy R.M. Smillie)

One chilling response is a loss of membrane integrity. This loss has been measured by the extent of electrolyte leakage from cut pieces of chilled tissue. Other physiological methods used to quantify chilling injury include determinations of chlorophyll in seedlings kept at different temperatures, uptake of amino acids into pieces of chilled tissue, comparisons of fruit ripening rates and post-chilling measurements of plant growth and survival.

Pollen development is particularly sensitive to chilling temperatures, and assessments of pollen quality and anther length have been used to select specific genotypes of rice, tomato and other plants showing improved flower fertility under chilling conditions. However, though improved flower resistance to cold conditions is a desirable end-product in its own right, pollen resistance does not appear to be genetically linked with resistance of vegetative tissue to chilling stress.

A particularly versatile physiological method for following chilling stress in photosynthetic tissues makes use of in vivo chlorophyll a fluorescence. When plants become chill injured, fluorescence yield decreases (Figure 14.18) in response to effects of chilling on the photosynthetic system (Smillie and Nott 1979). The time taken for a 50% decrease in fluorescence has been used to compare the relative chilling tolerances of different species and cultivars. Using chilled maize seedlings the extent of the decrease in fluorescence has been positively correlated with physiological and visual symptoms of chilling injury (Hetherington and Öquist 1988).

14.4.3 - Ranges of chilling tolerance

Fig14.19.png

Figure 14.19. Increasing chilling tolerance of wild species of potato and tomato with increasing altitude implies an adaptation to that location. Each point represents a different species of Solanum (●), or variant of Lycopersicum hirsutum (O), originally collected at the altitude indicated in the graph and grown under similar field conditions at sea level. Chilling tolerance determined by the chlorophyll fluorescence method. (Original data courtesy R.M. Smillie)

Plants are commonly reported in scientific literature as being either chilling sensitive or chilling tolerant. This can be a misleading simplification, because in practice when a range of plants are compared for chilling tolerance there is an almost continuous gradient of tolerance between the two extremes (Table 14.2). Tolerance of an individual species is likely to be related to the lowest prevailing temperature in the original habitat of that particular species.

Progressive changes in chilling tolerance have also been documented in closely related plants naturally distributed over latitudinal or altitudinal clines. Growth at high altitudes and also at high latitudes represents a selection pressure for cold tolerance. Wild species of potato restricted to ecological niches within narrow spans of altitude in the Andean mountains of Peru and Ecuador provide a good example of how chilling tolerance changes along an altitudinal cline. Variants of wild tomato (Lycopersicum hirsutum L.) collected in the same regions as the potatoes behaved similarly, with chilling tolerance increasing with altitude (Figure 14.19).

14.4.4 - Chill hardening

Fig14.20.jpg

Figure 14.20. The ability to survive chilling stress is increased in chill-hardened maize seedlings. Unhardened, hardened and dehardened seedlings (see text) were chilled at 1°C for 3 d and then placed at 20/15°C for 3 d to allow symptoms of chilling injury to develop. (Based on Hetherington and Öquist, 1988)

Differences between species imply a genetic basis to variation in chilling tolerance, and this adaptive response includes a further element, namely acclimation. Tolerance shown by individuals of a particular species can be increased by exposing plants to progressively lower but only marginally chilling temperatures. This process is variously called ‘acclimation’, ‘hardening’ or ‘conditioning’. Chill hardening of plants appears to bring about changes in their metabolism, including an increase in unsaturation of membrane lipids, and allows plants to withstand subsequent and more severe stress. Such enhanced tolerance is generally lost within a few days of returning to warmer regimes, a process called ‘dehardening’.

Maize seedlings provide an example of this reversible process (Figure 14.20). Hardening has a dramatic effect on survival of seedlings subsequently exposed to a chilling stress of 1°C for 3 d. Seedlings were first hardened for 4 d in a 15°C day, 5°C night regime. Dehardening was achieved by returning the hardened plants to the original growth regime (20°C day, 15°C for 2 d). Chilling tolerance monitored by chlorophyll fluorescence measurements increased three-fold as a result of this hardening process.

In conclusion, chilling injury can occur in the field and in postharvest storage, especially when crop or horticultural species have been introduced from warmer climates. Produce losses due to chilling injury are frequently overlooked because symptom expression often takes several days to develop after the produce is returned to a non-chilling environment. A combination of better management and introduction of chilling-tolerant genotypes can reduce postharvest losses.

Further Reading:

Hetherington SE, Öquist G (1988) Physiol Plant 72: 241-247

Hetheringon SE, Smillie RM, Hardacre AK, Eagles HA (1983) Using chlorophyll fluorescence in vivo to measure the chilling tolerance of different populations of maize. Aust J Plant Physiol 10: 247-256

Smillie RM, Nott R (1979) Assay of chilling injury in leaves of alpine, temperate and tropical plants. Aust J Plant Physiol 6: 135-141

14.5 - Plant responses to cold

Owen Atkin1,2, Vaughan Hurry3 and Peter Gorsuch1

1Research School of Biology, Australian National University; 2ARC Centre of Excellence in Plant Energy Biology, Australian National University; 3Umeâ Plant Science Centre, Umeâ University, Sweden

Over 95% of the Earth’s surface experiences low temperatures below 5oC each year.  Exposure to cold slows critical metabolic processes of biosynthesis and cellular maintenance, with low temperatures being important in determining the growth, productivity and distribution of plants. Most plants are capable of rapidly responding to cold. These responses can be fast acting, with rapid metabolic changes in existing tissues. The responses can also be longer-term, resulting from the accumulation of information by the plant over days or weeks, leading to developmental changes such as promotion of flowering, breaking of bud dormancy and formation of new leaves that are thicker and display less leaf area per unit leaf mass than their warm-grown counterparts. Biomass allocation is also sensitive to sustained cold, with long-term exposure to cold resulting in plants exhibiting reduced investment in shoots. These diverse responses to temperature demonstrate that a wide range of processes in plants, leading to diverse changes in whole plant metabolism and wide-ranging changes in gene expression and proteome composition, are controlled by thermal perception.  

In following sections, responses of plants to low, non-freezing temperatures are discussed, with the focus being placed on how plants sense and respond to cold. Emphasis is placed on the mechanisms underpinning cold acclimation, defined as modifications of anatomy, physiology and metabolism in response to below optimum temperatures, which minimise irreversible freeze-damage and improves the fitness of the plant. Cold acclimation often results in plants exhibiting greater metabolic capacities than their warm-grown counterparts; as a result, in situ rates of metabolism can be similar in plants experiencing contrasting growth temperatures, when measured at their respective growth temperatures. Importantly, we focus on the recent advances in our understanding of how cold-tolerant plants acclimate to low, non-freezing temperatures. Section 4 of this chapter summarises past work on chilling-sensitive plants (e.g. plants native to tropical and subtropical climates); such plants experience chilling stress at higher temperatures than cold-tolerant species, and while they may be capable of acclimating to low-moderate temperatures, they are rarely capable of developing freezing tolerance.

14.5.1 - Cold sensing and signal transduction

All living organisms perceive and process information from the environment at the cellular level through different kinds of receptors, which transfer the signal inside the cell and activate downstream signalling cascades. For example, in humans, ‘thermoTRP’ proteins are involved in thermosensing and are activated by the cool temperatures (10-23°C) and by compounds that cause a sensation of coolness, such as menthol or eucalyptol. However, to date no cold sensor has been found in any higher plant. Furthermore, it has been shown that cold-responsive gene expression in plants increases in response to gradual decreases in temperature, as well as to sudden shifts to cold temperatures, indicating that plants can sense and respond both to the magnitude and the rate of the temperature change, making it probable that there are multiple mechanisms present to detect and mediate plant thermal responses.  

Fig14.22_0.png

Figure 14.22. Simplified model illustrating cold sensing and the induction of stress gene expression during the early alarm stage of cold hardening in Arabidopsis. ICE1 is a constitutive, nuclear localized, transcription factor that is activated by phosphorylation and controls the expression of a range of secondary transcription factors, such as the CBF family of cold-induced transcription factors, that regulate the expression of the functional, delayed response genes. These delayed response genes, in turn, play important roles in cold acclimation and the acquisition of freezing tolerance in both herbaceous and woody perennial species.

One of the more favoured candidates for sensing low temperature is a change in membrane fluidity (i.e. viscosity of the lipid bilayer of cell membranes). This reflects the fact that the structure and fluidity of lipid membranes is dependent on their composition and temperature. Low temperatures decrease the fluidity of lipid membranes as the hydrogen bonding between adjacent fatty acids is increased. The temperature at which membranes undergo a conversion from a fluid state (that exists at warm-moderate temperatures) to a gel-like state (that exists in membranes at low temperatures) is defined as the ‘transition temperature’ (Tm). Tm values as high as 15–20oC have been reported for some species, with increases in the unsaturated fatty acid content of membranes decreasing the Tm. Below the Tm, the function of membrane-bound enzymes and transport of substrates is often reduced owing to the gel-like state of the membrane.  

The mechanism via which the decreases in membrane fluidity are linked to subsequent downstream responses is still unclear, but it is likely that fluidity-mediated increases in cytosolic concentrations of calcium ([Ca2+]cyt) play a role (Figure 14.22). This is because decreases in fluidity are often associated with a fast, cold-induced increase in [Ca2+]cyt, mainly as a result of Ca2+ transfer across the plasma membrane from the extracellular spaces. Ca2+ is integral to normal cell function and its signalling network is extensive.

Increases in [Ca2+]cyt are thought play a role in the cold acclimation process, with [Ca2+]cyt acting as a secondary messenger. The increase of [Ca2+]cyt results from the activation of calcium channels primarily located in plasma membranes, and it has been suggested that the Ca2+ channels may either directly respond to cold or in some way sense changes in the plasma membrane or the cytoskeleton, triggering the molecular response to the change in temperature. The Ca2+ signal is decoded in plants by calmodulins (Ca2+-binding messenger proteins) and Ca2+-dependent protein kinases (Figure 14.22). Mitogen-associated protein kinase (MAPK) cascades participate in the signalling pathways of an array of abiotic stress responses and act as downstream transducers of the cold stress-induced Ca2+ signal.  Cold Ca2+ signalling is affected by the circadian rhythm and depends partly on cell type and sub-cellular location, potentially allowing specific responses from this generic signal.

While Ca2+ is known to regulate the activity of many signalling components, including phospholipases and protein kinases, and lead to the induction of cold-induced gene expression or repression, many questions remain. For example, the identity of the Ca2+-dependent protein kinases and the genes whose expression they control are generally unknown. Finally, while this represents one of the more intensively investigated options to explain thermal sensing and signal transduction, it is important to note that Ca2+-signalling is not the only sensing mechanism, with Ca2+-signalling often exhibiting extensive cross-talk with other signalling systems, including that of reactive oxygen species (ROS). For example, an increase in [Ca2+]cyt activates mitochondrial external NAD(P)H dehydrogenases, thus lowering the reductive power of the inter-membrane space and potentially reducing ROS formation. Such a combination of signalling networks most likely allows generic stress responses to occur in response to a variety of stimuli, leading to cross tolerance. Finally, Ca2+-signalling events may take place at different locations within the cell (e.g. within the different organelles), will have different physiological causes (e.g. production of ROS in the chloroplast or mitochondria) and, as a result, will occur at different specific times following exposure to a chilling stress event.

14.5.2 - Changes in gene expression underpinning cold acclimation

Once the change to cold temperatures is perceived and the signal transduced to the nucleus, there follows a substantial reprogramming of the transcriptome, proteome and metabolome of the plant cell (i.e. cold acclimation). The cold acclimation response is best understood in herbaceous annuals such as Arabidopsis thaliana where members of the C-repeat binding factor (CBF or DREB1) family of transcriptional activators, which bind the cis-element known as the C-repeat (CRT)/dehydration-responsive element (DRE), have been shown to control the transcription of a suite of genes that play important roles in the development of freezing tolerance. Subsequent to their discovery in Arabidopsis, many CBF homologues have been found in both monocots and dicots, including perennial species such as aspen, birch and Eucalyptus. The CBF/DREB transcription factors are inducible by stress events but are not normally expressed under non-stress conditions. The plants response to stress therefore requires that there are components within the signal transduction pathway that are constitutively present but only active following the perception of the stress signal.  For plant cold responses, a MYC-type bHLH (basic Helix-Loop-Helix) transcription factor, ICE1 (inducer of CBF expression 1), serves as an upstream activator of CBF expression. Transcriptional profiling of the ice1 mutant showed impaired expression of 40% of cold-regulated genes, suggesting ICE1 is one of the main regulators in the cold stress response, but also that it is not the only regulator. ICE1 is constitutively localized to the nucleus and induces CBF expression in a cold-dependent fashion (Figure 14.22). The ability of ICE1 to activate gene transcription in response to cold may be dependent on protein phosphorylation, making ICE1 a likely target of the MAPK cascades activated by the transient increase in [Ca2+]cyt, although the signalling components responsible for this activation are yet to be discovered.

The accumulation of CBF transcripts and the activity of the CRT regulatory motif in Arabidopsis is also modulated by the presence and quality of light during cold stress, and it also appears to be mediated by the circadian gate; with extent to which CBF transcripts accumulate in response to low temperatures being dependent on the time of day plants are exposed to low temperatures. Temperatures are typically at their lowest point in the diurnal cycle at night, and the ability to anticipate this day-night rhythm may give plants the ability to anticipate night frosts and thus confer an adaptive advantage. Entrainment of the circadian clock has been shown to be affected by temperature as well as by light and it appeared that this entrainment might be linked to the regulation of the cold stress response. Plants in temperate regions are also able to anticipate the onset of winter by detecting the shortening photoperiod. This light signalling, or measurement of the critical day-length, is mediated by the phytochromes and it is not surprising that sensing and signalling mechanisms controlling developmental processes such as bud set, seasonal senescence, growth cessation and dormancy overlap with cold acclimation. This potential for overlap is consistent with the observation that cold acclimation can be modified by the red and far-red light (R/FR) ratio.  A decrease in R/FR ratio at the end of the day promotes cold acclimation, including increasing the expression of CBF genes; conversely, exposure to red pulses of light can undo this effect and a high R/FR reduces the accumulation of CBF-regulated gene expression.  Finally, it is clear that there are ICE/CBF-independent pathways that participate in cold acclimation (e.g. expressions of ZAT, HOS and ESK); however, evidence pointing to the identity of the components in these pathways is scarce. Furthermore, in field or natural conditions it is likely that the transcriptomic, proteomic and metabolomic changes in response to alterations in the plants thermal regime will be more complex than those revealed by controlled laboratory experiments. Responses to additional stressors such as light and drought will overlap and will introduce different signalling pathways, particularly those involving ABA, but also brassinosteriods and jasmonic acid. As result, constructing a spatiotemporal network linking these different components in order to understand how these factors come together to limiting plant growth, productivity and distribution, is going to be an enormous challenge.

14.5.3 - Cold-induced changes in membrane characteristics and metabolic profiles

One of the most characteristic changes associated with cold acclimation are decreases in the degree of saturation of membrane fatty acids, leading to greater membrane fluidity and an increase the functionality of membrane-bound substrate transporters and membrane-bound proteins at low temperatures. Moreover, cold-induced modifications in gene expression, subsequent changes in the abundance and activity of proteins, and alterations in other processes such as source-sink relationships and accumulation of metabolic intermediates, collectively lead to increases in the concentration of many metabolites. Thus, sustained exposure to cold leads to major modifications to the metabolome of plants.  Enhanced concentrations of soluble sugars are foremost amongst these, the most studied being the monosaccharides glucose and fructose, the disaccharide sucrose, and the trisaccharide raffinose; levels of each rise within a few hours of the onset of a cold treatment. Starch also accumulates in cold-exposed leaves.  The increase in sucrose is particularly rapid, despite the fact that cold often has strong inhibitory effect on one of the enzymes (sucrose phosphate synthase, SPS) responsible for its synthesis. Levels of sucrose continue to rise during the first few days of cold acclimation, aided by a long-term increase in the abundance and activity of SPS. Moreover, overall sugar levels generally remain elevated in plants exposed to sustained cold; this accumulation reflects shifts in source:sink relationships, underpinned by changes in the balance between carbon uptake by photosynthesis, carbon use by catabolic processes (e.g. respiration) and carbon export to other parts of the plant.  In some plants, increased concentrations of sugars may convey cryoprotective properties, reducing the incidence of membrane lesions and increasing survival during freezing (see Section 14.6). 

Cold treatment also leads to the accumulation of a range of other metabolites, including compatible solutes (i.e. small, highly soluble molecules that are non-toxic at high concentrations). The most studied of these is proline, which accumulates dramatically following cold exposure. Proline appears to act as a cryoprotectant, as evidenced by the fact that freezing tolerant mutants of Arabidopsis accumulate proline to very high levels, even in the absence of a cold stimulus.

14.5.4 - Cold responses of photosynthesis

Cold is known to markedly inhibit rates of photosynthesis, via both its kinetic effects on protein activity and membrane fluidity. Rapid increases in soluble sugars also contribute to an inhibition of photosynthesis through feedback inhibition and down-regulation of nuclear-encoded photosynthetic gene expression. Extended cold-treatment of pre-existing leaves can also result in photodamage; low temperature slows the consumption of ATP and NADPH by the Calvin cycle and the resulting over-reduction of the photosynthetic electron transport chain may cause oxidative damage to the light-harvesting machinery. A further (and important) limitation is the exhaustion of chloroplastic orthophosphate (Pi) required for ATP regeneration and maintenance of the thylakoid membrane proton gradient, which in turn drives the chloroplastic electron transport chain. Calvin cycle turnover also decreases (explaining the observed decline in carbon assimilation) as this relies on ATP to drive the regeneration of ribulose-1,5-bisphosphate (RuBP) reduction.

Recovery of photosynthesis occurs during cold acclimation via an increase in the export of chloroplastic triose phosphates across an antiporter that exchanges these Calvin cycle intermediates for cytosolic Pi. As Pi is produced in the cytosol during sucrose synthesis, the recovery of sucrose metabolism via increases in the abundance and activity of SPS and cytosolic fructose 1,6 bisphosphatase (cFBPase) is an important step in the restoration of photosynthetic function during cold acclimation, and has also been suggested to be partly responsible for the decrease in sensitivity to photoinhibition that occurs following cold acclimation.  Also contributing to the recovery of photosynthesis is the increase in the abundance and activity of several proteins directly involved in photosynthesis.

The photosynthetic phenotype of cold-developed leaves has been suggested to be distinct from that of pre-existing leaves. Cold-developed leaves exhibit marked physical changes compared to warm-grown leaves (Figure 14.23). Leaves developed in the cold tend to be thicker, with a higher leaf mass per area and higher nitrogen and protein concentrations than leaves developed at warmer temperatures.

Fig14.23.jpg

Figure 14.23. (A) Warm-grown (left), 10-day cold-treated (centre) and cold-developed (right) shoot phenotypes of Arabidopsis thaliana.  Warm-grown plants experienced 25/20°C day/night temperatures, whereas cold-treated and cold-developed plants were exposed to constant 5°C. (B) and (C) show transverse sections of representative warm-grown and cold-developed leaves, respectively (Source: Atkin et al. 2006). 

Cold developed leaves can accumulate soluble sugars without the suppression of carbon assimilation typically associated with an abundance of photosynthates, and the transcript and protein abundance of most of the Calvin cycle enzymes have been found to be greatly increased in these leaves. The abundance of ribulose-1,5-bisphosphate carboxylase oxygenase (Rubisco) increases, whereas the other Calvin cycle enzymes tend to decline with cold acclimation relative to Rubisco. Further recovery of sucrose synthesis in cold developed leaves assists in the recovery from cold stress and photoinhibition; SPS transcript abundance, protein and the activity of the enzyme increases relative to the Calvin cycle and starch synthesis during acclimation. Associated with the increase in photosynthetic capacity in cold developed leaves is a change in electron transport capacity relative to carboxylation capacity, and an alleviation of triose phosphate utilization (TPU) limitation. Alleviation of TPU limitation during acclimation to low temperatures has been ascribed to increasing activity and transcription of SPS and cFBPase, and the redistribution of inorganic phosphate between cellular compartments. The net result of these changes is an increase in photosynthetic capacity in newly developed, relative to pre-existing, leaves.  This phenomenon may therefore optimise the function of these new leaves to their environment.

14.5.5 - Increased respiratory capacity in cold acclimated plants

For over a century, it has been known that short-term exposure to cold in measurements lasting minutes to a few hours results in reduced rates of respiratory CO2 release and O2 uptake. When measured over a range of moderate temperatures (e.g. 15-25oC), the relationship between respiration and temperature is near exponential, with respiration exhibiting short-term Q10 values near 2.0 (i.e. respiration increases two-fold for every 10oC increase in temperature). However, when viewed over a wider range of temperatures, the shape of the temperature response tends to be more dynamic, reflecting the fact that the functional form of the short-term temperature response curve of respiration departs significantly from a simple exponential. As a result, short-term Q10 values typically increase with short-term decreases in measuring, commonly reaching values >3.0 at temperatures in the 0-10oC range. Theory and empirical evidence suggests that the increasing temperature-sensitivity of respiration as measurement temperatures decrease is linked to shifts in the control exerted by substrate limitations at moderate-high temperature to maximum enzyme activity at low temperature. This is either because of the inhibitor effect of cold on potential enzyme activity per se (both in soluble and membrane-bound compartments) and/or limitations on the function of enzymes embedded in membranes at temperatures below the Tm. At moderately high temperatures (e.g. 25oC), respiratory flux is less limited by enzymatic capacity because of increases in the Vmax [i.e. maximal flux through the respiratory system as a whole, or parts thereof, in the absence of other limiting factors (e.g. substrate supply and adenylates)] of enzymes in soluble and membrane-bound compartments; here, respiration is likely to be limited by substrate availability and/or adenylates (in particular the ratio of ATP to ADP and the concentration of ADP per se, which are in turn influenced by the demand for respiratory energy by growth and cellular maintenance processes). Increased leakiness of membranes at temperatures above the Tm (particularly at high temperatures) could further contribute to substrate limitations. Changes in growth temperature that last several days can also alter the short-term Q10, with Q10 values also varying seasonally in some ecosystems. 

A further factor that could contribute to variability in the sensitivity of respiration to low temperatures is the extent to which cold differentially suppresses activity by the two terminal pathways via which electrons are transferred to oxygen in the inner mitochondrial membrane [i.e. the phosphorylating cytochrome oxidase pathway (COP) versus the non-phosphorylating alternative oxidase pathway (AOP)]. To date, results from studies with intact tissues and isolated mitochondria from a range of plant species and organs have yielded conflicting conclusions, with some studies suggesting that the AOP might be less sensitive to cold that the COP, while others have reported the opposite or little difference between the temperature sensitivity of the two pathways. Thus, at this stage it is unclear to what extent differential temperature sensitivities of the AOP and COP play a role in influencing variations in the short-term Q10 of plant respiration.

Fig14.24.png

Figure 14.24. Theoretical examples of two types of respiratory thermal acclimation: (a) Type I and (b) Type II. (a) in Type I acclimation, changes in growth temperature result in changes in the Q10 of respiration with no change in the value of respiration at low temperatures (‘B’) (i.e. the intercept remains unchanged). Rather, changes in respiration are only observed at moderate to high temperatures (‘Ac’>’Aw’>’Ah’). Shifting to low growth temperatures for an extended period typically results in an increase in the Q10, whereas the Q10 decreases following shift to high growth temperatures. (b) Type II acclimation results in changes in respiration at both low and high temperatures (i.e. the overall elevation of the temperature response curve is affected). No changes in the Q10 of respiration are necessary for Type II acclimation. Type II acclimation will result in a greater degree of homeostasis of respiration than Type I acclimation. Source: Atkin and Tjoelker (2003)

With sustained exposure to cold, respiratory rates (when measured at a low temperature) start to recover quickly (within hours), and continue to increase as the plant acclimates. Often, the capacity for respiratory enhancement is relatively low in pre-existing tissues; here, acclimation is associated with a change in the rate of respiration primarily at moderate to high measuring temperatures, with little or no change in respiration at low measuring temperatures (i.e. Type I acclimation; Figure 14.24, reflecting a change in the availability of respiratory substrate and/or degree of adenylate restriction of respiration.  Changes in gene expression may also occur, but are not essential for the overall change in respiratory flux. In other cases, acclimation is associated with an increase in the rate of respiration over a wide range of measurement temperatures (‘Type II acclimation’; Figure 14.24). Type II acclimation is likely associated with temperature-mediated changes in respiratory capacity that can be maximally realized through growth of new tissues with altered morphology and biochemistry. Increases in respiratory capacity in the cold appears to be altered as a result of increases in the density of mitochondria mitochondrial number per unit volume of tissue and/or amount of total protein invested in the respiratory chain. The observation that mitochondrial density is higher in in situ alpine than lowland plants further supports the notion that an increase in mitochondrial number is a driving force behind increased respiratory rate in cold-acclimated leaves.  Intermediate cases of acclimation (i.e. between Types I and II) are likely, particularly in individual plants that experience long-term changes in temperature depending on the extent to which respiratory capacity is altered in pre-existing and newly formed leaves and roots.  Another characteristic of acclimation (particularly Type II acclimation) is that it can result in respiratory homeostasis [i.e. identical rates of R in plants grown and measured in contrasting temperatures (Figure 14.24).

Previous work examining the impact of sustained exposure to cold on respiration has suggested that the AOP might play a critical role in the cold acclimation response. In some studies, alternative oxidase transcript abundance, protein abundance, and capacity have all been shown to increase following growth in the cold. In addition, there are examples where in vivo partitioning of electrons to the AOP has been shown to increase following sustained exposure to cold. Such studies have led to the proposal that cold induced increases in AOP activity function to prevent the over-reduction of the mitochondrial electron transport chain, and thus the accumulation of ROS, at low temperatures. However, in reality the response of the AOP to cold may be more complex. For example, in some cases, the recovery of AOP activity in cold acclimated plants is transient (e.g. reaching a maximum after few days of sustained cold treatment), while others have reported that re-establishment of respiratory flux in the cold is associated not with an increase in AOP capacity, but rather with an increase in energy-conserving COP capacity. Such variability in the AOP response suggests that different plant species employ different strategies for coping with cold.  

Finally, consideration should be given to the fact that plant mitochondria possess two additional non-phosphorylating bypasses of the mitochondrial electron transport chain: the alternative NAD(P)H dehydrogenases (NDHs) and the uncoupling proteins (UCPs). Both of these proteins function to reduce the extent to which mitochondrial electron transport is coupled to the production of ATP. The NDHs oxidize matrix and cytosolic NAD(P)H, but do not contribute to proton pumping, while the UCPs facilitate proton flux back through the inner mitochondrial membrane, thereby partially dissipating the proton gradient across this membrane. Both the NDHs and the UCPs are thought to play a role in preventing oxidative stress, with sustained cold treatment increasing transcripts for both types of proteins.  Moreover, there is growing evidence that transcript levels of these alternative respiratory bypasses exhibit coordinated increases in abundance following sustained cold treatments. Collectively, the above suite of modifications in metabolic processes contribute to the ability of many plants to cope with sustained exposure to low temperatures.

14.5.6 - Further Reading

Armstrong AF, Badger MR, Day DA et al. (2008) Dynamic changes in the mitochondrial electron transport chain underpinning cold acclimation of leaf respiration. Plant Cell Env 31: 1156-1169

Atkin OK, Bruhn D, Hurry VM, Tjoelker MG (2005) The hot and the cold: unraveling the variable response of plant respiration to temperature. Funct Plant Biol 32: 87-105

Atkin OK, Tjoelker MG (2003) Thermal acclimation and the dynamic response of plant respiration to temperature. Trends Plant Sci 8: 343-351

Atkin OK, Loveys BR, Atkinson LJ, Pons TL (2006) Phenotypic plasticity and growth temperature: understanding inter-specific variability.  J Exp Bot 57: 267-281

Clifton R, Lister R, Parker KL et al. (2005) Stress-induced co-expression of alternative respiratory chain components in Arabidopsis thaliana. Plant Mol Biol 58: 193-212

Fowler SG, Cook D, Thomashow MF (2005) Low temperature induction of Arabidopsis CBF1, 2, and 3 is gated by the circadian clock. Plant Physiol 137: 961-968

Gorsuch PA, Pandey S, Atkin OK (2010) Temporal heterogeneity of cold acclimation phenotypes in Arabidopsis leaves. Plant Cell Env 33: 244-258

Goulas E, Schubert M, Kieselbach T et al. (2006) The chloroplast lumen and stromal proteomes of Arabidopsis thaliana show differential sensitivity to short- and long-term exposure to low temperature. Plant J 47: 720-734

Hurry V, Strand A, Furbank R, Stitt M (2000) The role of inorganic phosphate in the development of freezing tolerance and the acclimatization of photosynthesis to low temperature is revealed by the pho mutants of Arabidopsis thaliana. Plant J 24, 383-396

Kaplan F, Kopka J, Haskell DW et al. (2004) Exploring the temperature-stress metabolome of Arabidopsis. Plant Physiol 136: 4159-4168

Knight H, Knight MR (2000) Imaging spatial and cellular characteristics of low temperature calcium signature after cold acclimation in Arabidopsis. J Exp Bot 51: 1679-1686

Moller IM (2001) Plant mitochondria and oxidative stress: Electron transport, NADPH turnover, and metabolism of reactive oxygen species. Ann Rev Plant Biol 52: 561-591

McKemy DD, NeuhausserWM, Julius D (2002) Identification of a cold receptor reveals a general role for TRP channels in thermosensation. Nature 416: 52–58

Murata N, Los DA (1997) Membrane fluidity and temperature perception. Plant Physiol 115: 875-879

Penfield S (2008) Temperature perception and signal transduction in plants. New Phytol 179: 615-628

Ruelland E, Vaultier MN, Zachowski A, Hurry V (2009) Cold signalling and cold acclimation in plants. Adv Bot Res, 49: 35-150

Sage RF, Kubien DS (2007) The temperature response of C3 and C4 photosynthesis. Plant Cell Env 30: 1086-1106

Strand A, Hurry V, Gustafsson P, Gardestrom P (1997) Development of  Arabidopsis thaliana  leaves at low temperatures releases the suppression of photosynthesis and photosynthetic gene expression despite the accumulation of soluble carbohydrates. Plant J 12: 605-614

Thomashow MF (1998) Role of cold-responsive genes in plant freezing tolerance. Plant Physiol 118: 1-7

Vanlerberghe GC, McIntosh L (1992) Lower growth temperature increases alternative pathway capacity and alternative oxidase protein in tobacco. Plant Physiol 100: 115-119

Xin Z, Browse J (2000) Cold comfort farm: the acclimation of plants to freezing temperatures. Plant Cell Env 23: 893-902

14.6 - Frost and freezing injury

Fig14.25.png

Figure 14.25. A notional cooling curve for an aqueous solution. As heat is extracted steadily, solution temperature falls below 0 °C, and water molecules, now in an unstable state, supercool to around -5 °C. A nucleating event occurs at temperature TN, and heat is released as ice forms (latent heat of fusion), resulting in a sudden increase in temperature to TF. The extent of freezing-point depression (0 – TN °C) also serves as a measure of osmotic pressure. (Original sketch courtesy M.C. Ball)

EW Hewett, Massey University, New Zealand

Ice melts at 0 °C, and an equilibrium mixture of ice and water has traditionally provided a temperature reference for thermocouples. Ice thawing in pure water will maintain a temperature of 0 °C, but if instead of allowing ice to thaw, heat is extracted steadily from a body of water, then ice does not reform at 0 °C (Figure 14.25). Instead, the water will remain liquid, and will supercool until some nucleation event occurs. A tiny particle of ice, or even vibration in the presence of dust particles, is usually sufficient to trigger ice formation together with an abrupt release of heat (latent heat of fusion). In Figure 14.25, TFTN represents supercooling, and the degree to which TF is less than zero (freezing-point depression) relates to the amount of solute present in solution. Osmotic pressure, vapour-pressure depression and elevation of boiling point are similarly related to the amount of solute present (referred to collectively as colligative properties of solutions).

Highly purified water can be supercooled to about –40 °C, and ice will form spontaneously, but such conditions do not apply in plants because water is not absolutely pure. Instead tissue water is in contact with cell surfaces and invariably holds solutes in solution and colloids in suspension. This aids ice nucleation.

14.6.1 - Physics and physiology

During a frost episode in nature, plants experience a sequence of events similar to that summarised in Figure 14.25. Tissue water supercools, and cell sap freezing point is depressed by osmotically active material. Moreover, plants are also equipped with ice nucleating agents that can be of either plant or bacterial origin (e.g. Pseudomonas syringae). As with solutions, formation of ice in plants is accompanied by a release of heat. This exothermic response can be detected by sensitive infrared thermography, and has been used to trace ice propagation during a freezing event in leaves and shoots (Wisniewski et al. 1997).

When plants experience a frost, ice initially forms within intercellular spaces (apoplasm) where solute concentration is least. Water potential in that region is immediately lowered and water molecules migrate from symplasm to apoplasm across plasmalemma membranes and towards regions of ice crystallisation. Water potential in the apoplasm will decrease by about 1.2 MPa per degree below 0°C, so that an apoplasm at –4°C will have a water potential of around –4.8 MPa (i.e. equivalent to an osmotic pressure twice that of seawater), which will dehydrate the symplasm. As one positive trade-off of the high solute concentration, the symplasm is less likely to freeze. In addition, plasmalemma membranes discourage entry of ice crystals that might otherwise seed ice crystal formation within the symplasm. Nevertheless, partial dehydration does perturb cell biochemistry due to concentration of metabolites, and the accompanying shrinkage of cells and organelles generates structural tensions.

In frost-sensitive material, cell disruption follows the course outlined above, which unfolds over about 3°C on a cooling curve. Membrane integrity might be lost at around –4°C as apoplasm ice formation ruptures membranes. Intracellular freezing ensues at around –7°C and is inevitably lethal due to the combined effects of membrane injury, symplasm dehydration and protein denaturation.

Tissue damage following freezing can be demonstrated by a loss of membrane integrity, metabolite leakage and failure to achieve either plasmolysis or deplasmolysis. Solutions bathing frozen/thawed tissue thus show a sudden increase in electrical conductivity according to freezing damage, and that value then serves as a reliable assay for comparative frost tolerance. For example, population screening based on metabolite leakage has enabled breeding for improved frost tolerance in Eucalyptus nitens for plantation forestry (Raymond et al. 1992).

Leaves on temperate plants often need to accommodate ice formation, and Rhododendron provides such an example. Frozen leaves appear wilted, but regain their normal turgid appearance following thawing. Camellia leaves behave similarly. They take on a semi-transparent appearance when frozen, but recover without damage when thawed. In both cases, their altered physical appearance at low temperature is due to formation of a frostblaze, that is, a lens of ice crystals that forms between layers of tissue that are readily cleaved. Ice localised in this way is rendered harmless, and is lost easily on thawing.

Frost hardiness is a dynamic and composite property of plant cells involving cell size, wall thickness, osmotic pressure of cell sap and membrane properties, all of which can feature in either delaying onset or diminishing adverse consequences of ice formation (Steponkus et al. 1993). In any plant, organs that are growing rapidly are frost sensitive, and this is especially the case with early spring growth. Frost hardiness is thus least during the growing season, but increases during autumn and reaches a peak in winter with acclimation to low temperatures. This is an adaptive feature of perennial plants that is attuned to seasonal necessity. Moreover, the extent of this hardening process is heritable, and requires low temperature for onset and maintenance. Return to milder conditions can lead to dehardening with disastrous consequences for horticulture when an early spring temperature increase is followed by an unseasonal period of cold nights. Frost prevention then becomes crucial for reducing damage to buds, flowers or fruitlets. Susceptibility to low temperatures is dependent on stage of morphological development of plant organs. As spring temperatures increase, fruit develop into buds, flowers then fruitlets with a concomitant increase in susceptibility to cold temperatures. In many fruit trees, buds emerging from dormancy can tolerate temperatures as low as -16 to -17oC, while at full bloom critical temperatures for 10% kill of buds after 30 minutes of exposure -2 to -3oC are -1.5 to 3.0oC. To prevent frost damage, growers generally commence frost protection measures at least 10C above the 10% critical temperature

14.6.2 - Alleviating frost damage in horticulture

Fig14.26.jpg

Figure 14.26 Alleviation of frost damage with wind machines. During a temperature inversion, upper air layers are warmer than the air at tree level, and these huge fans can be used to drive the warmer air down into the trees and across the ground to counter radiative heat loss. A special variant has involved use of helicopters as mobile adjustable fans. Operating costs are much higher and maintaining a low-flying circuit in pre-dawn darkness can be hazardous! (Photograph courtesy E.W. Hewett)

Radiation frosts are common in some horticultural regions of Australasia caused by high radiation losses from earth to sky on still calm nights. The air at ground level becomes chilled by contact with radiating surfaces and drains downslope to low lying areas to form ‘frost pockets’ or ‘frost lakes’ that are commonly 5°C colder than the surrounding countryside. One related outcome, especially on calm mornings, is formation of a temperature inversion. Upper layers of air (30–50 m above ground) remain warmer (5–15°C) than the air at ground and tree level. Under these conditions, static wind machines (Figure 14.26) can be used to drive the warmer air down into the crop and over the soil surface, displacing the cold air and countering radiation heat losses. Given a consistent layer of warm air within reach of these fans, one wind machine every 5–7 ha will protect an orchard against temperatures down to about –3°C. A combination of clean burning oil heaters plus wind machines is even more effective. Helicopters are often used as mobile wind machines that move constantly to zones of low temperatures.

An alternative but remarkably effective method of alleviating frost damage relies upon the latent heat of freezing (see photograph below). Stored irrigation water, either from wells or ponds, is typically around 10°C, and as it cools on irrigated surfaces each gram of water will release about 10 calories of heat. On top of that, the latent heat of fusion adds a further 80 calories. In effect, a thousand litres of water supplies as much heat by this means as complete combustion of 12 L of oil.

The photograph shows both water and ice phases present on trees. While ice is continuing to form, plant tissues so encased will remain at 0°C, just above freezing point for plant tissues. This is above the threshold temperature for frost damage to sensitive buds, blossom and fruitlets. Overhead sprinklers are thus used with good effect to prevent frost damage, but application rate has to be closely controlled. Too little water and plants freeze, too much water and orchards become waterlogged, thereby exchanging one damaging condition for another. Application rates between 3 and 8 mm h–1 will generally suffice to prevent freezing damage to crops at air temperatures down to –6-8°C. Overhead sprinkling is not so effective in strong advective frost conditions, where cold winds cause evaporative cooling, thus reducing sprinkler efficacy.

Fig14.0.jpg

Alleviating frost damage in a New Zealand orchard with overhead sprinklers. Plant tissues encased in ice that is continuing to form will remain at 0 °C, that is, just above the threshold for injury. (Photograph courtesy E.W. Hewett)

References:

Raymond CA, Owen JV, Eldridge KG, Harwood CE (1992) Screening eucalpts for frost tolerance in breeding programs. Can J For Res 22: 1271-1277

Steponkus PI, Uemura M, Webb MS (1993) A contrast of the cryostability of the plasma membrane of winter rye and spring oat: two species that widely differ in their freezing tolerance and plasma membrane lipid composition. Adv Low-Temp Biol 2: 211-312

Wisniewski M, Lindow SE, Ashworth EN (1997) Observations of ice nucleation and propogation in plants using infrared thermograph. Plant Physiol 113: 327-334

 

Case Study 14.1 - Cold-induced photoinhibition and tree regeneration

Marilyn Ball, Research School of Biology, Australian National University

CS14.1.jpg

Figure 1. Snow gums (Eucalyptus pauciflora) in the Gudgenby Valley (sub-alpine region of southeastern Australia) are subject to frost for about 200 d each year. Exposed juvenile trees have to endure low temperature and the strong sunlight of early morning to survive. (Photograph courtesy C. Holly)

Re-establishment of eucalypts in open pastures of the New South Wales tablelands is problematic, with up to 80% of young trees failing to survive beyond three years. An urgent need for landscape restoration following deforestatation and overgrazing of these areas has become widely recognised, and a successful strategy for tree establishment is crucial to that process.

Photoinhibition of young trees at low temperature was soon recognised as a factor in those early losses (Ball et al. 1991). The first clue that sunlight × temperature was an issue came from two chance observations of unusual patterns in seedling establishment.

The first observation concerns mountain beech (Nothofagus solandri). This is a dominant canopy tree in subalpine forests of New Zealand, and patterns of seedling regeneration around isolated trees on the Waimakariri floodplain are highly characteristic. While 95% of young seedlings occur beneath the canopy of a parent tree, they are not distributed randomly. Rather, they tend to cluster on the western side, and 65% occur in a narrow sector between 165°S and 285°S (Figure 2). Wind effects on seed dispersal are not responsible because prevailing winds blow in the opposite direction; however, seedlings on the south to western sides of parent trees are protected from direct sunlight all day throughout winter, and from morning sun in spring and early summer.

The second observation concerns a similar asymmetric pattern of regenerating seedlings the occurs under isolated trees of snow gum (Eucalyptus pauciflora) growing along the Orroral Valley in southeastern Australia. In this case, tiny seedlings probably establish randomly around a parent tree during favourable seasons, but are subsequently culled by adverse conditions to produce this now familiar pattern of seedling regeneration.

In both cases, the combination of intense cold and strong sunlight seemed to be proving adverse to seedling survival because the asymmetry in seedling establishment roughly coincided with morning shadows cast by parent trees. Chris Holly tested this idea with artifical shelters on Eucalyptus polyanthemos seedlings in an open pasture (Holly et al. 1994). Seedlings were planted either on open ground or in individual shelters consisting of open-topped cylinders made from one of three types of shadecloth transmitting 30%, 50% or 70% sunlight. Air temperatures inside and outside of these shelters differed by less than 2°C so that irradiance was the major factor that differed between treatments. During winter, leaves became photoinhibited as indicated by a loss in variable fluorescence (Fv/Fm from in vivo chlorophyll a fluorescence measured in situ; Section 1.2.5). The extent of this loss in variable fluorescence (measured pre-dawn) was in direct proportion to treatment irradiance. Seedlings grew only slowly during winter, and most severely photoinhibited plants grew the slowest. Correlations between growth and photoinhibition as measured during winter persisted into spring even though pre-dawn Fv/Fm made a substantial recovery in all plants.

CS14.2.png

Figure 2. Relative distribution of seedlings in relation to geographical bearing around adult trees of mountain beech on the Waimakariri floodplain, New Zealand (Original observations courtesy Marilyn Ball (BSBS ANU), Jack Egerton and Matt McGlone (Landcare Research New Zealand))

Spring growth of Eucalyptus polyanthemos appears to be adversely affected by cold-induced photoinhibition over winter. A loss in photosynthetic effectiveness reduces carbon gain during spring, and recovery presumably extends over many weeks, hence a persistence of slower growth despite recovery in Fv/Fm.

In practical terms, establishment of eucalypt seedlings in frost-prone areas benefits from a reduction in irradiance over winter. By analogy, cold-induced photoinhibition could also be responsible for patterns of seedling establishment under parent trees as noted originally.

References

Ball MC, Hodges VC, Laughlin GP (1991) Cold-induced photoinhibition limits regeneration of snow gums at tree line. Funct Ecol 5: 663–668

Holly C, Laughlin GP, Ball MC (1994) Cold-induced photoinhibition and design of shelters for establishment of eucalypts in pasture..Aust J Bot 42: 139–147.

 

14.7 - High temperature stress

Aidan D Farrell, University of the West Indies, Trinidad

Exposure to excessive temperatures during development limits the yield of many of the world’s major crops, especially in the tropics. Increasing global temperatures over the last three decades have resulted in significantly reduced yields in many crops. In addition to the general warming, a predicted increase in the occurrence of heatwaves is likely to result in further yield losses (Long and Ort 2010). Increasing global temperatures and increasingly frequent heatwaves are likely to have similarly negative effects on natural systems in the tropics and subtropics.

In daylight hours leaf temperatures are often higher than that of the surrounding air, as the canopy absorbs incident solar radiation. Overheating occurs when heat dissipation from the canopy is unable to keep pace with the thermal energy absorbed (for plant energy budget see Section 14.1.3). This typically occurs when incident radiation is high and transpirational cooling is low. Even at temperate latitudes, such conditions often develop at midday when solar radiation peaks and soil water reserves are depleted. In warm, dry environments heat stress can persist for prolonged periods. As heat stress is frequently encountered in combination with water deficit and excess irradiance, it can be difficult to disentangle the effects of the three factors. Nonetheless, there is a distinct set of injuries and plant responses that are associated with heat stress. These are detailed in the following sections.

The effect of heat stress on staple crops like wheat can be severe. The impact varies depending on the developmental stage of the plants, with the most vulnerable stage being flowering. High temperatures shorten the duration of growth of both the leaves and the grains, accelerating their development and thus limiting the ability of the plant to accumulate the carbohydrate necessary for grain growth. In addidtion, heat stress before flowering can cause floret sterility, causing yield losses due to reduced grain number. This effect is most acute when heat occurs at or just after pollen meiosis, when carbohydrate supply to the developing pollen grains appears most critical. Grain size in heat stressed plants can be severely reduced, predominately from a reduction in starch, which makes up  most of the mass of the grain.

Wheat (a temperate C3 species) produces its most grain at temperatures below 26°C; and its yield is reduced at higher temperatures. Yet in most grain-growing areas in the southern hemisphere, and in Meditteranean climates in the northern hemisphere, temperatures increase steadily during the growing season, and brief periods above 30 °C often occur during the grain-filling period. In many arid countries mean day temperatures can easily exceed wheat’s high temperature threshold during much of the growing season and so heat stress can significantly reduce crop yield by accelerating plant senescence, diminishing seed number and final seed weight.

Where vegetation is sparse, maximum daytime temperatures occur at the soil surface where exposed soil absorbs solar radiation and quickly warms above ambient. Under such conditions soil temperatures can exceed 50oC. Exposed soil is a particular problem when planting crops in warm regions where the dark, moist soil surface can reach high temperatures and severely inhibit germination and seedling emergence (http://www.plantstress.com/Articles/heat_i/heat_i.htm). A similar phenomenon has been seen in temperate climates when plastic mulch is used to artificially insulate the soil surface during planting (Farrell and Gilliland 2011).

14.7.1 - Plant response to high temperature

Plants have developed a range of mechanisms to keep tissues from overheating (heat avoidance) or to prevent inhibition and injury where high temperatures occur (heat tolerance). A key aspect of tolerance to heat stress is the degree to which a tissue exposed to moderately high temperatures can acclimate in a way that improves its ability to function at higher temperatures (hardening or acquired thermotolerance).

Table 14.3 shows the optimum, maximum and lethal temperature for a range of processes in wheat and maize. Optimum temperatures for plant metabolism vary between species, reflecting the thermal range found in the environment in which they evolved or were selected (http://www.plantstress.com/Articles/heat_i/heat_i.htm). Metabolic processes in plants typically have an optimum below 30oC and temperatures above 40oC are considered a stress. The degree of damage from heat stress is mediated by the intensity, duration and rate of change in temperature as well as by the plant’s developmental stage and growing conditions prior to exposure (Larkindale et al. 2005; Allakhverdiev et al. 2008; Mittler et al. 2012). For most species, actively growing tissue is damaged by brief exposure to temperatures above 45oC, while prolonged exposure can result in fatal injury. Temperatures between 30-40oC can be termed moderately high temperatures and result in reversible inhibition of metabolism (moderate heat stress). Temperatures above 40oC can be termed very high temperatures as they result in irreversible or prolonged inhibition of metabolism (severe heat stress).

The effect of heat stress is often measured by exposing tissue to high temperatures for a short period (typically 0.5-1 hour) and measuring the response. This can be termed high temperature shock (heat shock). In addition to identifying the maximum threshold temperature above which metabolic activity ceases, heat shock experiments can determine the lethal temperature above which irreversible injury occurs (Table 14.3). Although lethal temperatures rarely occur when plants are grown within their native range, determining the lethal temperature is a useful method for assessing a species tolerance to high temperature in general. Species adapted and/or acclimated to high temperature environments can withstand temperatures well above 40oC. Extreme examples of tolerance to high temperature are found in the desert succulents, such as the prickly pear cacti (Opuntia spp.) which can survive short term exposure to 70oC (Nobel, 1988).

14.7.2 - Heat avoidance

Fig14.27.jpg

Figure 14.27. Thermal images showing midday leaf surface temperature of two savanna sedges, Lagenocarpus guianensis (left) and Lagenocarpus rigidus (right), growing in close proximity at a forest edge. The accompanying photograph indicates the areas used for the thermal images. The white areas in the thermal image represent dead leaves which are above the maximum temperature range. Replicated measurements showed the midday leaf surface temperatures were significantly different (P <0.001) between the two species. The greater potential for ‘canopy temperature depression’ allows L. rigidus to grow in the open savanna, while L. guianensis finds its range restricted to the shaded savanna edges where heat and light are less overbearing  (see John-Bejai et al. 2013 http://aobpla.oxfordjournals.org/content/5/plt051.full).

Plants can avoid overheating by regulating the components of their energy budget. The amount of solar radiation intercepted can be reduced using specialised leaf and canopy arrangements. The vertical leaves and canopy architecture of many eucalyptus trees are arranged to minimise the area of the canopy exposed to direct sun (as a consequence they cast a relatively small shadow). Other species, such as dragon trees (Dracaena spp.) and some acacia trees, adopt an umbrella-like form to raise the canopy above the warm ground and shade the trunk. Some species employ leaf movements, rolling their leaves or changing leaf orientation so that the surfaces are never parallel to the sun. Leaf movements are particularly common in legumes (Fabaceae).

The amount of incident radiation absorbed by a leaf can be reduced by increasing the reflectance of the leaf surface. Leaf hairs and scales scatter the incident radiation such that the leaf appears silvery white, e.g. the sagebrush (Artemisia tridentata) and the brittlebush (Encelia farinosa) common in many arid areas of North America. Pubescence is common in hot, dry environments, where as well as reflecting solar radiation, leaf hairs form a thick boundary layer reducing water loss (although this also reduces the potential for transpirational cooling). Such adaptations are so common among plants of warm arid and high altitude regions that these habitats can be seen to form a ‘silvery landscape’. Waxes deposited on the epidermis perform a similar function, preventing water loss and forming an irregular surface to increase reflectance.

The amount of heat lost can also be regulated by favouring small or divided leaves that reduce the boundary layer allowing for greater convective cooling as well as more effective transpiration. Tropical savanna plants with smaller leaves are better able to keep cool in the full glare of the equatorial sun, while species with larger leaves are restricted to areas shaded by tree canopies (Figure 14.27). Small leaves are also a distinguishing feature of desert shrubs and trees.

An increase in air temperature reduces the relative humidity (increases the vapour pressure deficit), which increases the evaporative demand and the transpiration rate. Where water supply is restricted the stomata will close causing transpiration rate to fall, resulting in an increase in leaf temperature. Where water supply is not limiting, transpirational cooling is an effective form of heat avoidance. Transpirational cooling often reduces leaf temperatures to 5oC below ambient, while temperatures can be reduced by 15oC in extreme cases. This contrasts with plants growing in arid conditions where leaf temperatures may be 15oC or more above ambient. In agricultural environments, where high temperatures are not necessarily combined with water deficit, cultivars showing high stomatal conductance have been shown to be more resistant to heat stress. In fact, stomatal conductance measurements along with direct measurements of ‘canopy temperature depression’ are among the most valuable parameters for selecting cultivars for growth in warm environments. The recent application of infrared thermometers to examine canopy temperatures has provided a valuable method for directly measuring heat avoidance (Figure 14.27); http://www.plantstress.com/Articles/heat_m/heat_m.htm; http://www.plantstress.com/methods/IRT_protocol.htm).

14.7.3 - Heat injury and inhibition

Heat stress affects plants through three principle mechanisms: excessive membrane fluidity; disruption of protein function and turnover; and metabolic imbalances. Metabolic imbalances can be due to differences in the activation energy of the component reactions, or to the effect of the other two mechanisms on the thermal response of each reaction.  The inhibition of metabolism from these three mechanisms also results in the accumulation of toxic compounds and reactive oxygen species (ROS), the removal of which is also inhibited by heat stress.

(a) Whole plant effects

Generally, inhibition of photosynthesis is seen as a critical factor in heat stress. Net photosynthesis is typically the first process to be inhibited at high temperatures (Berry and Bjorkman 1980; Allakhverdiev et al. 2008). As temperature rises above optimum, gross photosynthesis is inhibited while respiration and photorespiration increase. The combined effect of these three processes is a marked reduction in net photosynthesis during moderate heat stress (Figure 14.12).

C4 plants do not suffer from the increase in photorespiration and so can maintain a higher photosynthetic optimum; however, the maximum temperature does not vary to the same extent. The imbalance between photosynthesis and respiration is itself damaging, as carbohydrate reserves can become depleted. As temperature rises further, membrane transport and respiration become inhibited, eventually leading to cell death. Both the light reactions and the Calvin cycle are highly sensitive to moderate heat stress. Injury following severe heat stress is perhaps most acute for the light reactions, with even brief exposure resulting in long-term inhibition of photosystem II (PSII). As the activity of PSII is highly temperature sensitive it can be used as an indicator of heat stress and heat injury; measurements of chlorophyll fluorescence have been widely used for this purpose (http://prometheuswiki.publish.csiro.au/tiki-index.php?page=Chlorophyll+fluorescence).

For many years, the inhibition of gross photosynthesis was thought to occur at temperatures too low to be explained by the thermal deactivation of photosynthetic enzymes. Experiments comparing the thermal response of many steps in the photosynthetic apparatus, suggested the initial inhibition was due to the sensitivity of the thylakoid membrane to high temperatures (Berry and Bjorkman 1980). However, this view has been questioned recently with the observation that at moderately high temperatures photosynthetic inhibition coincides with a reversible reduction in the activity of certain Calvin cycle enzymes (Sharkey 2005). Severe heat stress is still thought to be due to injury of PSII, through direct cleavage of the D1 protein and a range of other mechanisms. Although the thermal sensitivity of PSII is not solely due to the thermal sensitivity of cell membranes, membrane properties are a major regulator of both inhibition and injury of PSII (Sharkey 2005; Allakhverdiev et al. 2008).

The thermal sensitivity of reproductive processes can be a limiting factor for plant productivity and it is often the critical factor for crop production in areas prone to heat stress (Table 14.3; http://www.plantstress.com/Articles/heat_i/heat_i.htm). Heat stress can reduce the duration of reproductive development and severely inhibits floral development, fertilization and post fertilization processes in many species. Pollen viability is particularly vulnerable to heat damage. Severe heat stress inhibits both the photosynthetic source and the reproductive sink, resulting in a significant reduction in the number and size of seeds and/or fruit. This is a particular problem in fruit and grain crops such as tomato, cowpea, wheat, and maize (http://www.plantstress.com/Articles/heat_i/heat_i.htm).

At high temperatures dry matter production is often more limited by photosynthesis than by cell expansion (while at low temperatures dry matter production is more limited by cell expansion than by photosynthesis). Generally, the inhibition of photosynthesis and other growth maintaining processes during moderate or short-term heat stress results in a comparatively small reduction in the rate of dry matter production (relative growth rate) (Chapter 6.2.2; http://www.plantstress.com/Articles/heat_i/heat_i.htm). As temperature increases within a plant’s thermal range, the duration of growth decreases but the rate of growth increases, as shown earlier in this chapter. As a consequence, organ size at maturity may change very little in response to temperature, despite variation in growth rate. As temperatures are raised further, an increased rate of growth is no longer able to compensate for a reduction in the duration of development, and the final mass of any given organ at maturity is reduced. This response can be seen in a range of tissues including leaves, stems and fruit. A smaller organ size at maturity due to high temperature is associated with smaller cells rather than a change in cell number. This implies that cell enlargement is more sensitive to temperature than is cell division. The reduced duration of development can also limit the number of organs that are produced, e.g. grain number in wheat is reduced when plants are grown at moderately high temperatures (Stone and Nicolas 1994). Under certain conditions plants grown under moderate heat stress accumulate sugars in their leaves, indicating that translocation can be more limiting than photosynthesis, but this is not thought to be a general limitation.

(b) Membrane properties

The structure and fluidity of lipid membranes is dependent on their composition and on temperature. An increase in temperature will result in an increase in the fluidity of lipid membranes as the hydrogen bonding between adjacent fatty acids become weak. This increase in fluidity is associated with an uncontrolled increase in membrane permeability as the activity of membrane bound proteins is disrupted. Indeed, this uncontrolled membrane permeability is used as an assay to test for damage due to heat stress (http://www.plantstress.com/Methods/CMS_method.htm).

Membrane-associated processes, such as photosynthesis and membrane transport, are typically the first to be inhibited during exposure to high temperature (Berry and Bjorkman 1980; Allakhverdiev et al. 2008). The high temperature sensitivity of PSII is thought to be due, at least in part, to its close association with the thylakoid membrane. In addition to these direct effects on metabolic function the changes in membrane fluidity during heat stress act as a signal to initiate other stress responses in the cell (Mittler et al. 2012).

(c) Protein function and turnover

For most metabolic reactions, the optimum and maximum temperatures are determined by the thermal response of key enzymes. Enzymes act to lower the activation energy and increase the rate of reactions at any given temperature. However, as temperature increases the catalytic properties of most enzymes are lost and they begin to denature (i.e. enzymes are thermolabile). The synthesis of replacement enzymes and other cell proteins is also impaired, resulting in an overall limitation due to reduced protein turnover. Under prolonged severe heat stress many enzymes will become denatured. This, combined with the loss of membrane function will result in cell death.

For some reactions, the thermal response of a particular enzyme can be rate limiting. The inhibition of photosynthesis during moderate heat stress has been associated with a reduction in the catalytic activity of Rubisco (Ribulose 1:5 bisphosphate carboxylase/oxygenase), due in part to the thermal sensitivity of Rubisco activase. In some species, production of heat stable forms of Rubisco activase has been shown to play role in acclimation to high temperature (Yamori et al. 2013). There have been attempts to engineer less temperature sensitive forms of Rubisco activase in order to increase the thermal range of crop species, but it remains to be seen if altering a single component of the photosynthetic system will improve overall heat tolerance (Sharkey 2005; Allakhverdiev et al. 2008).

(d) Metabolic imbalances

When a plant is grown outside of its optimum thermal range, metabolic imbalances occur. Imbalances may result in a short-fall of essential metabolites or intermediaries, or in a build-up of substances that becomes toxic (e.g. aggregated proteins). Such imbalances cause further inhibition of processes such as photosynthesis and respiration. The imbalances can be due to differences in the thermal response of particular reactions. For instance, the enzymes used in photosynthesis are deactivated at a lower temperature than those used in respiration. This has the result that as temperatures increase, the rate of carbon fixation falls while the rate of carbon use may rise. The point at which the plant is using more carbon than it is assimilating is termed the ‘temperature compensation point’. Beyond the temperature compensation point, the plant begins to use up carbohydrate reserves, e.g. in many legumes the net uptake of CO2 by the green pod is low due to the high rate of pod and seed respiration, at high temperatures net uptake can become negative. As plants acclimate to high temperatures the rate of respiration falls lessening the impact on net photosynthesis.

Imbalances can also occur due to the effect of temperature on physical processes, e.g. as temperature rises, the solubility of oxygen increases more than that of carbon dioxide, so oxygen becomes more concentrated in the cell solution compared to carbon dioxide. This imbalance contributes to the increase in the oxygenation of RuBP at high temperatures (i.e. an increased rate of photorespiration).

The high temperature sensitivity of reproductive development can be viewed as an imbalance. Detailed studies have found that the yield of certain cowpea varieties was limited at high temperatures due to reduced seed set. This limitation was mitigated by increasing sink demand through breeding with more heat tolerant varieties. The fact that seed set can be limited by the demand for assimilates at high temperature shows that the thermal sensitivity of the reproductive sink can be out of balance with than that of the photosynthetic source (http://www.plantstress.com/Articles/heat_m/heat_m.htm). A similar sink restriction is found in cereals grown at high temperatures, where grain development is restricted by its ability to convert the available assimilates into starch (Stone and Nicolas 1994).

14.7.4 - Heat tolerance

Where overheating cannot be avoided, plants have developed a range of mechanisms to tolerate high temperatures and to resist the stresses outlined above. Many of these mechanisms have been harnessed by plant breeders to develop more heat resistant crops (for review see: http://www.plantstress.com/Articles/heat_m/heat_m.htm). Each species has a different capacity to respond to heat stress. The degree of heat tolerance tends to follow the species’ native thermal range, with plants irreversibly damaged by temperatures between 30-40 oC termed ‘heat sensitive’ and those only damaged above 40 oC designated as ‘heat resistant’. A key aspect of tolerance to heat stress is the ability to acclimate and the mechanisms described below are typically up-regulated when plants are exposed to moderate heat stress (Figure 14.28).

Fig14.28.png

Figure 14.28. In heat tolerant plants, growth at warm temperatures results in acclimation of photosynthesis. Adjustments in membrane composition, protein synthesis, and metabolic regulation alleviate some of the effects of high temperature. Acclimation is mediated, in part, by an increase in expression of heat shock proteins. Based on Sage and Kubien (2007) and Yamori et al. (2014).

(a) Membrane state, structure and composition

In order to tolerate high temperatures, plants must maintain membrane fluidity within a biologically functional range (membrane thermostability). The degree to which membrane fluidity increases with temperature is dependent on membrane composition. Lipids that have unsaturated fatty acid chains, short fatty acid chains or a low sterol content generally form membranes that are more fluid and less stable at high temperatures. The sensitivity of membranes to heat stress can be reduced by increasing the proportion of saturated lipids or by altering the composition of specific lipids. Early work by Jim Lyons and John Raison at the CSIRO Division of Food Research highlighted the fact that tropical species tend to have a higher proportion of saturated lipids than temperate species, but found that the full role of lipid composition in regulating membrane fluidity was complex. Changes in lipid composition during acclimation to high temperature, including increases in the proportion of saturated lipids, have been described in cyanobacteria (Los and Murata 2004) and a number of plants from both warm and cool regions (Raison et al. 1982; Larkindale and Huang 2004). Some of the changes in the physical properties of membranes are regulated by the activity of heat shock proteins (see below), but others are not (Sharkey 2005).

Alteration of lipid composition through gene manipulation has been shown to increase heat tolerance in Arabidopsis, soybean and tobacco (Alfonso et al. 2001; Murakami et al. 2000). Murakami et al. (2000) produced transgenic tobacco plants with a reduced proportion of trienoic fatty acids (unsaturated lipids with three cis double bonds) in the chloroplast membranes. Exposure of the plants to 45oC for 5 minutes reduced photosynthesis by 50 % in the wildtype while the transgenic plants were unaffected (all plants showed complete inhibition of photosynthesis after exposure to 50oC for 5 minutes).

(b) Heat shock proteins

Within minutes of temperature rising above the optimum, the expression of most genes used for general metabolism is inhibited, however, a sub-set of specialised stress response genes are actively up-regulated. The best characterised of these genes are a multi-family group known as heat shock proteins (HSP). HSP occur in all organisms. In plants, they show differential expression in many tissues and many cell compartments. HSP utilise a novel transcription factor to respond directly to heat, and their levels have been shown to rise along with temperature until the lethal threshold temperature is reached. On exposure to high temperature HSP expression typically peaks after 1-2 hours and diminishes after 6-8 hours, after which the cell environment is modified enough for the transcription and translation of other genes to resume (Larkindale et al. 2005; Allakhverdiev et al. 2008).

Many HSP are thought to act as chaperone proteins, protecting other proteins from denaturation by reducing misfolding, unfolding, and aggregation. Chaperone activity also helps maintain the translocation of proteins across cell membranes. The up-regulation of HSP has been shown to improve tolerance to and recover from heat stress in several systems, e.g. addition of purified HSP of isolated tomato chloroplasts significantly improved their heat tolerance by protecting PSII electron transport (Allakhverdiev et al. 2008). This chaperone role can offer protection from stresses aside from heat, and HSP have been shown to be up-regulated by a variety of stresses that escalate protein denaturation. Larkindale et al. (2005), describe five classes of HSP the names indicating the molecular weight:

  • HSP60 and HSP70 have been shown to act as chaperone proteins in plants and other organisms, and some also function to stabilise membranes preventing the loss of permeability.
  • HSP90 are less well characterised in plants, they are thought to interact with signal transduction proteins that form part to the overall heat stress response.
  • HSP100 act as chaperone proteins in conjunction with HSP60 and HSP70 and may perform other roles. Plants lacking HSP 100 can grow normal at optimum temperatures but are unable to acclimate during heat stress.
  • Small HSP are particularly important in plants but are less well characterised than HSP60 and HSP70. Small HSP are a diverse group including several gene families that are targeted to different cellular compartments, including the cytosol, chloroplast and mitochondria. The function of many of the Small HSP is still unknown. Some may be involved in chaperone protein activity and some are involved in maintaining membrane stability including the protection of membranes essential for the functioning of PSII.

Certain HSP also act to clean up the cell, removing denatured proteins by increasing the proteolysis activity of ubiquitin.  The removal of potentially toxic protein aggregations is thought to be a key part of acclimation to heat stress. Indeed, heat stress also stimulates the up-regulation of ubiquitin itself (Larkindale et al. 2005).

(c) Reactive Oxygen Species (ROS)

The impairment of metabolic function during heat stress results in increased production of ROS, which in turn causes secondary damage to proteins and membranes. Accumulation of ROS during heat stress has been associated with both the light reactions and the Calvin cycle reactions. The reaction centre of PSII is particularly vulnerable, producing superoxide radicals, hydroxyl radicals and hydrogen peroxide under heat stress. Antioxidant enzymes and non-enzyme systems serve to limit the formation of the most damaging ROS, such as singlet oxygen, and to detoxify the cells through ROS-scavenging. Although some antioxidant systems are impaired at high temperatures, others are up-regulated and can be considered part of the heat stress response (Sharkey 2005; Larkindale et al. 2005; Allakhverdiev et al. 2008).

(d) Heat stress response: other mechanisms

Although HSP form a critical part of the heat stress response, they still account for a small minority of the transcripts that are up-regulated during heat acclimation. Several groups are currently working to elucidate the role of other changes in the transcriptome, proteome, metabolome and lipidome in regulating signal transduction and response to heat stress (for review see Mittler et al. 2012). Among the metabolites associated with heat acclimation perhaps the best characterised are the compatible solutes (which also play a crucial role during water stress and salinity stress (see Chapter 17). In the case of heat stress, their primary role is thought to be similar to that of the chaperone proteins, i.e. the protection of protein and membrane function (Larkindale et al. 2005; Allakhverdiev et al. 2008). There is also increasing interest in the role of isoprene in heat tolerance. Isoprene is a small hydrocarbon sometimes released from plants in large quantities. It is particularly associated with certain tree species, such as eucalyptus. Indeed, it is isoprene that is responsible for the distinctive blue haze that characterises Australia’s ‘blue mountains’. Although the full purpose of isoprene has not been established, there is good evidence that it is involved in the development of heat tolerance. In particular, the production of isoprene has been shown to reduce the inhibition of photosynthesis during moderate heat stress, perhaps by associating with the thylakoid membrane to increase hydrophobic interactions and protect membrane function (Sharkey 2005).

14.7.5 References

References:

Alfonso M, Yruela I, Almarcegui S et al. (2001) Unusual tolerance to high temperatures in a new herbicide-resistant D1 mutant from Glycine max (L.) Merr. cell cultures deficient in fatty acid desaturation. Planta 212: 573-582

Allakhverdiev SI, Kreslavski VD, Klimov VV et al. (2008) Heat stress: An overview of molecular responses in photosynthesis. Photosyn Res 98: 541-550

Berry J, Bjorkman O (1980) Photosynthetic response and adaptation to temperature in higher plants. Annu Rev Plant Physiol 31: 491-543

Bewley JD, Black M, Halmer P (2006) The encyclopedia of seeds: Science, technology and uses: CABI Publishing.

Farrell AD, Gilliland TJ (2011) Yield and quality of forage maize grown under marginal climatic conditions in Northern Ireland. Grass Forage Sci 66: 214-223

John-Bejai C, Farrell AD, Cooper FM, Oatham M (2013) Contrasting physiological responses to excess heat and irradiance in two tropical savanna sedges. AoB PLANTS 5: doi:10.1093/aobpla/plt051

Larcher W (2003) Physiological Plant Ecology: Ecophysiology and stress physiology of functional groups. Springer Verlag

Larkindale J, Mishkind M, Vierling E (2005) Plant responses to high temperature. In: Plant Abiotic Stress. Ed MA Jenks, PM Hasegawa, pp. 100-144. DOI:10.1002/9780470988503.ch5

Long SP, Ort DR (2010) More than taking the heat: Crops and global change. Curr Opin Plant Biol 13: 240-247

Mittler R, Finka A, Goloubinoff P (2012) How do plants feel the heat? Trends Biochem Sci 37: 118-125

Murakami Y, Tsuyama M, Kobayashi Y et al. (2000) Trienoic fatty acids and plant tolerance of high temperature. Science 287: 476-479

Nobel PS (1988).Principles underlying the prediction of temperature in plants, with special reference to desert succulents. In: Plants and Temperature, 42, 1-23. Ed, SP Long, FI Woodward. Symposia Soc Exp Biol

Porter JR, Gawith M (1999) Temperatures and the growth and development of wheat: A review. Eur J Agron 10: 23-36

Raison JK, Roberts JKM, Berry JA (1982) Correlations between the thermal stability of chloroplast (thylakoid) membranes and the composition and fluidity of their polar lipids upon acclimation of Nerium oleander to growth temperature. Biochim Biophys Acta (Biomem) 688: 218-228

Sage, RF, Kubien SD (2007) The temperature response of C3 and C4 photosynthesis. Plant Cell Env 30: 1086-1106

Sharkey TD (2005) Effects of moderate heat stress on photosynthesis: importance of thylakoid  eactions, rubisco deactivation, reactive oxygen species, and thermotolerance provided by isoprene. Plant Cell Environ 28: 269-277

Stone PJ, Nicolas ME  (1994) Wheat cultivars vary widely in their responses of grain yield and quality to short periods of post-anthesis heat stress. Aust J Plant Physiol 21:887-900

Yamori W, Hikosaka K, Way DA (2014) Temperature response of photosynthesis in C3, C4, and CAM plants: temperature acclimation and temperature adaptation. Photosyn Res 119: 101-117 doi: 10.1007/s11120-013-9874-6

Further reading

Hall AE. Heat stress and its impact. In: Plant Stress. Ed A Blum. http://www.plantstress.com/Articles/heat_i/heat_i.htm

Hall AE. The mitigation of heat stress. In: Plant Stress. Ed A Blum. http://www.plantstress.com/Articles/heat_m/heat_m.htm

 

 

 

14.8 - Concluding remarks

Integration of responses to temperature and other environmental factors

Considerable effort has gone into modelling relations between thermal environment and plant responses with a number of specific aims, namely to predict the likelihood of success of extending a particular crop into new regions, to predict phenology in a particular season and ensure the most effective application of fertiliser and agricultural chemicals, or to gain a better understanding of the basic processes that limit yield.

These models will often include data on maximum and minimum temperatures, solar radiation, photoperiod, rainfall, evaporative demand, soil water-holding capacity and nutrition. Temperature is thus one of several environmental factors that may influence plant growth and development and it is important to recognise the potential interaction between temperature and these other factors.

Light has an important role in regulating the effect of low temperature on the chlorophyll status of leaves of chilling-sensitive species and therefore on photosynthesis and growth. Interactions between temperature and light are complex and influence early stages of seedling establishment through to shoot number (branching), leaf shape and canopy development. In any crop, not all plant organs are at the same temperature, while direction, level and duration of incident radiation are also varying constantly. The combination of light and temperature vary from one location to another and although in a Mediterranean climate rising temperatures are often associated with increasing light, in the monsoonal regions of the tropics the high summer temperatures can be associated with high cloud cover and low light.

Temperature is also an important factor in plant water use. Low temperature can restrict the uptake of water by roots in some species, while high temperature, by lowering the relative humidity of the air (which increases the vapour pressure deficit), will increase the evaporative demand of the air and increase the rate of transpiration through the leaves. The latter will result in more rapid use of soil water and increase the possibility of drought. One of the main difficulties in assessing the interaction between temperature and water stress is because temperature influences both water use and the rate of plant development in parallel.

Uptake of mineral nutrients and their redistribution from one organ to another within plants are influenced by both nutrient availability and temperature. The optimum temperature for nutrient uptake varies between species and also from one mineral element to another. The importance of nutrition in relation to temperature then depends on whether the uptake and redistribution of nutrients can keep pace with the increased growth rates that are observed, for example, with increasing temperature. This would appear to be the case for phosphorus in wheat (even when the supply of phosphorus is low) where increasing temperature results in an increased concentration of leaf phosphorus, an increase that is also expressed in the grains at maturity. Thus in this example any deleterious effect of high temperature on yield would not appear to be mediated through plant phosphorus.

Summary

Vascular plants have come to occupy virtually every stable niche on earth during the course of their evolutionary history, regardless of thermal regime, and with remarkable adaptive capacity to acclimate to heat and cold. Plants may not necessarily thrive under extreme conditions, but they can survive, and are able to achieve a positive carbon balance and complete their life cycles due to physiological mechanisms and morphological features that lend thermal resilience.

Temperature extremes, especially in combination with other environmental stresses, impose an intense selection pressure. Cycles of vegetative growth and reproductive development have become closely attuned to such conditions, especially where growing seasons are brief and dormancy protracted. Such genotypes thus become highly specialised in their thermal responses.

Under more moderate conditions, survival mechanisms are of less importance and temperature assumes a different role in shaping genotypes by setting the biological tempo of ecosystems. Growth rate and reproductive effectiveness then become paramount, and again a genotype × environment interaction is apparent in the direction of biological responses due to temperature effects on carbon gain and reproductive development. An appreciation of processes underlying such responses lends a new dimension to our appreciation of natural ecosystems and our management options for communities of cultivated plants.

Chapter 18 - Waterlogging and submergence

Fig_18.1.jpg

Figure 18.1 Flooding events in various regions of the world. Graphs show the number of floods classified as a disaster in the International Disaster Database of the University of Louvain, Belgium, for decades from 1950 through 2000. Floods resulted from rivers after heavy rainfall or snow melts, and coastal flooding. Data from the Millennium Ecosystem Assessment map (http://maps.grida.no/go/graphic/number-of-flood-events-by-continent-and-...).

Chapter editor: Tim Colmer, School of Plant Biology, The University of Western Australia

Contributing authors: TD Colmer1, BJ Atwell2, AM Ismail3, O Pedersen1,4, S Shabala5, B Sorrell6, LACJ Voesenek7.

1School of Plant Biology, The University of Western Australia; 2Department of Biological Sciences, Macquarie University; 3International Rice Research Institute, Philippines; 4Department of Biology, University of Copenhagen; 5School of Land and Food, University of Tasmania; 6Department of Bioscience, Aarhus University; 7Institute of Environmental Biology, Utrecht University

Flooding, resulting in soil waterlogging and in many situations even complete submergence of plants, is an important abiotic stress in many regions worldwide. The number of floods has increased in recent decades (Figure 18.1), and the severity of floods is expected to increase further in many regions of the world.

Flooding reduces agricultural production, and floods shape many natural plant communities (e.g. floodplains, wetlands, salt marshes). A spectacular example of an important natural ecosystem shaped by flooding is the Amazon Floodplain forests, in which seasonal floods are deep and prolonged (Figure 18.2).

Fig_18.2.jpg

Figure 18.2 Amazon Floodplain forests. Várzea forest during flooding season at Solimões River near Manaus-AM, Brasil. (Photographs courtesy B. C. Arenque Musa).

Tolerance of plants to soil waterlogging, and to shoot submergence, varies greatly; ranging from many very sensitive ‘dryland’ species (including most of our crops) to highly tolerant species such as rice and other wetland species. In addition, aquatic and marine plant species have adopted submerged lifestyles under water. Knowledge of tolerance mechanisms will underpin future breeding of more robust crops, and understanding plant responses to flooding will aid management of plant communities in flood-prone environments. Recent breakthroughs in submergence tolerance research on rice resulting in new varieties will help sustain a growing world population (see Case Study 1), and has improved knowledge of plant adaptive mechanisms to flooding stress.

This chapter summarises the adverse conditions faced by plants when water is in excess, and acclimations and adaptations to flooding stress. We consider the situations for roots in waterlogged soils, and for shoots submerged by overland floods. Four case studies highlight important developments in plant flooding research. The chapter demonstrates that interdisciplinary research in plant sciences has improved knowledge of plant flooding tolerance, with applications in crop breeding.

18.1 - Soil aeration, redox chemistry, soil toxins and changes in nutrients

Table_18.1.jpg

Table 18.1. List of chemical changes in two soils and a linked graph of when they occurred during 100 days of waterlogging. One soil is a sandy loam containing little organic matter at 18 °C from Muresk, Western Australia, the other a clay soil high in organic matter at 35 °C from the International Rice Research Institute (IRRI) in the Philippines. Based on Setter and Belford (1990).

In drained soils, diffusion in the gas phase of the bulk soil sustains the O2 supply needed for roots to respire at optimal rates. Soil flooding impedes O2 movement into soils, and so roots experience hypoxia (sub-optimal O2) and anoxia (absence of O2). O2 is the terminal electron acceptor of mitochondrial electron transport, so anoxia inhibits respiration and the resulting energy deficit has major implications for roots. In addition, decreases in soil redox potential result in significant changes to the soil elemental profile. The sequence of events following soil flooding are listed in Table 18.1, which also shows the rates of change measured in two soil types differing in temperature and organic matter contents. The impeded gas exchange during soil waterlogging leads to root hypoxia or anoxia, high CO2 in the root zone, and phytotoxins in reduced soils, all with consequences for root metabolism, nutrient acquisition, and growth of roots and shoots.

As soon as O2 is depleted, NO3- is used by some soil microorganisms as an alternative electron acceptor in their respiration; NO3- is reduced to NH4+, so it becomes the main form of mineral nitrogen in waterlogged soils. In the rhizosphere of roots with radial O2 loss (ROL), however, NH4+ can be converted back to NO3-, with both these forms of mineral nitrogen absorbed by roots. Manganese oxides are the next electron acceptors used by anaerobic microorganisms, followed by iron oxides resulting, respectively, in elevated concentrations of Mn2+ and Fe2+ in the soil solution; these soluble forms often increase to levels that are toxic to plants. Further decrease in the redox potential results in the reduction of SO42- to H2S, which is also potentially toxic. In addition to these inorganic phytotoxins (Fe2+, Mn2+, or H2S), various short-chain fatty acids can also accumulate in waterlogged soils. In addition to phytotoxins, some nutrients change in availability in flooded soils; e.g., P becomes more available, whereas Zn becomes less available (reviewed in Ismail et al., 2007).

High concentrations of both Mn2+ and Fe2+ are considered to be major constraints for growing sensitive cultivars of wheat in waterlogging-prone areas of Australia (Khabaz-Saberi et al. 2010); these elemental toxicities also limit rice yields in many flooded areas around the globe. Also detrimental to plants is the accumulation of metabolites (e.g. acetic acid, butyric acid, propionic acid) produced as a result of anaerobic metabolism by microorganisms in waterlogged soils. The types and amounts of these organic compounds depends upon the fermentative character of the microorganisms, the organic matter in the soil, and on soil conditions such as pH and temperature. These compounds can have adverse effects on root growth (e.g. cell division and viability) and nutrient acquisition (e.g. activity of various membrane transporters, membrane permeability) and, ultimately, shoot growth (Shabala 2011).

Of particular interest is the finding that the function of root plasma membrane transporters may be affected by these phytotoxins or secondary metabolites in waterlogged soils. Transporters located at the root-rhizosphere interface would be exposed to these toxins in waterlogged soils. Ion flux kinetics for plant roots changed rapidly upon exposure to secondary metabolites (Pang et al. 2007), and uptake of phytotoxins per se may be mediated by membrane transporters. Whether wetland plant roots, as compared with waterlogging-sensitive crops, posses membrane transporters more resistant to these toxins is an important question for future research, with possible implications for improving waterlogging tolerance in crops.

Case Study 18.1: Rice ecotypes and systems

Abdelbagi M. Ismail, International Rice Research Institute, The Philippines

The genus Oryza constitutes about 24 species, 20 of which are wild and only O. sativa and O. glaberrima are cultivated. O. sativa is grown worldwide, whereas O. glaberrima is restricted mostly to West Africa. Ecological and geographic distribution of these species is largely determined by temperature and water availability. O. sativa is cultivated on about 144 million ha worldwide, from 50° N in North China to 35° S in Australia (New South Wales) and in Argentina. It is also grown from 3 m below sea level in Kerala, India, to as high as 3000 m in Nepal and Bhutan. Two broad categories are generally identified within O. sativa, with some overlaps; japonica varieties are mostly grown in temperate regions, while indica varieties are grown in tropical and subtropical areas. A third category― tropical-japonica ― is mostly grown in the uplands of the tropics and subtropics. Japonica types are known for their better tolerance of low temperatures compared with indica types, and japonica types also have shorter, thicker grains that are softer and stickier when cooked.

Rice is grown on a variety of soils, but the physical ability of the soil to hold water is an important property, so medium- and heavier-textured soils are typically favoured over light-textured sandy soils. It is also grown under variable water regimes and hydrological conditions, from aerobic soils as in uplands, to flooded soils in irrigated and rainfed lowlands, to long-duration flooded conditions in flood-prone areas (Figure 1).

CS_18.1-1.jpg

Figure 1. Rice ecologies and ecosystems based on local hydrology. (Diagram courtesy M. A. Ismail)

CS_18.1-2.jpg

Figure 2. Rice terraces of Madagascar. A typical example where rice is grown under different ecologies, from uplands at the top of the slope, to more favourable rainfed and irrigated areas midway, to flood prone areas at the bottom of the slope. Farmers normally grow different varieties based on adaptation to each condition. (Photograph courtesy A. M. Ismail)

The enormous plasticity in rice to adapt to these diverse ecologies led to the development of substantial numbers of rice cultivars with diverse morphology, phenology and other adaptive and grain characteristics. The Genetic Resource Center of the International Rice Research Institute hosts over 117,000 accessions collected worldwide (http://irri.org/our-work/research/genetic-diversity/international-rice-genebank).

This peculiar diversity within Oryza species made rice one of the most widely grown crops over an extreme range of habitats, and a spectacular model for plant ecophysiological and genetic studies. Various types of models were used to classify rice types based on field ecologies. The most widely used classification distinguishes four broad categories; upland, irrigated lowland, rainfed lowland and flood-prone ecosystems (Maclean et al., 2002). Characters of varieties suitable for each ecology are mostly determined by local hydrology, and in some cases multiple systems co-exist based on the toposequence (Figure 2).

Upland rice is grown in aerobic unbunded soils with topographies ranging from undulating and steep sloping lands with high runoff, to low-laying valleys and well-drained flat lands. Soils vary considerably in texture, fertility and water holding capacity; from poor highly leached soils of West Africa, to fertile soils in Southeast Asia. About 13% of the world rice is grown in uplands, but with low yields of about 1 t ha-1, and farmers are among the poorest. Upland varieties are mostly short maturing, with deeper roots (drought avoidance) and with higher tolerance of acid soils.

Irrigated ecosystem is the largest rice production system, covering 55% of the world rice area and producing over 75% of world rice grains. Fields have assured water supply and rice is grown in puddled soil in bunded fields with water depths of 2.5-10 cm through most of the season, and with 1-3 crops per year depending on location and farming systems. Dwarf high yielding varieties that are responsive to high use of fertilizers are predominant, and yields are usually high, averaging over 5 t ha-1.

Rainfed lowlands constitute about one quarter of rice world lands and contribute about 18% of rice production. These areas are generally densely populated with poor communities, and are prone to both drought and submergence because of lack of water control, besides adverse soils, inhibiting adoption of high-yielding varieties and use of high-cost fertilizer inputs. Local landraces with yields of less than 2 t ha-1 still dominate in most areas; however, new high-yielding varieties tolerant of prevailing abiotic factors are becoming available over recent years and are gradually replacing existing local landraces.

Flood-prone rice ecosystems are subjected to uncontrolled floods, ranging from transient flash-floods causing complete submergence, to longer term floods of 0.5 m to over 4.0 m for most of the season, and sometimes associated with excess salinity, acid sulfates and drought. Over 15 million ha in South and Southeast Asia are annually affected by uncontrolled floods. Yields are low, averaging 1.5 t ha-1, and yet these areas support over 100 million people. Traditional varieties still dominate because they are better adapted to water fluctuations than modern varieties. Recently, varieties that tolerate complete submergence are becoming available through the incorporation of the SUB1A gene (see also main text). These varieties tolerate 1-2 weeks of complete submergence and considerable yield benefits have been achieved in farmers’ fields, with yield advantages of 1 to over 3 t ha-1 (Mackill et al., 2012).

The extreme diversity in adaptation to various ecological and hydraulic conditions made rice one of the most widely grown cereal crops worldwide; and an interesting model for crop improvement research. Currently, rice is the most important food crop in developing word and the stable food for over half of the world population.

Further reading on this topic:

Maclean JL, Dawe DC, Hardy B, Hettel GP (2002) Rice Almanac. Los Banos (Philippines): International Rice Research Institute, pp 16-24 http://books.irri.org/0851996361_content.pdf

Mackill DJ, Ismail AM, Singh US, Labios RV, Paris TR (2012) Development and rapid adoption of submergence-tolerant (Sub1) rice varieties. Adv Agron 115: 303-356.

18.2 - Water chemistry of floods causing complete submergence

The much slower diffusion of gases in water, compared with in air (Table 18.2), presents a challenge to plants that become submerged.

Gas exchange of submerged plants is greatly impeded by their environment. Although the distances across diffusive boundary layers (DBL) around leaves are the same order of magnitude in water and air, the 10,000-times slower diffusion in water results in the high resistance to gas exchange across the DBL in water. Consequently, submerged aquatic plants have developed adaptive features of their leaves that reduce the DBL, to facilitate exchange of O2 and CO2 with the surrounding water (Table 18.3).

Fig_18.3.png

Figure 18.3. Solubility of pure CO2 and O2 in water (A) and the ratio of CO2:O2 solubility versus temperature (B). The solubility of CO2 at 20 °C is ~ 29-fold higher than the solubility of O2, and when temperature rises the solubility of CO2 decreases faster than for O2. Data for O2 from Himmelblau and Arends (1959); for CO2 from Wilhelm, Battino and Wilcock (1977).

Other leaf features/properties can also differ between terrestrial wetland plants and submerged aquatic plants, such as: venation, lignification, stiffness, surface topography, differences between adaxial and abaxial surfaces, and in the case of some halophytic wetland species presence of salt bladders and glands (Table 18.3).

In addition to the slow diffusion, the solubility of O2 in water is poor. One litre of air contains approximately 33-fold more O2 than one litre of water at 20 °C at sea level (101 kPa). Temperature affects the solubility of O2; the solubility decreases with increasing temperature (Figure 18.3).  Imagine a kettle that heats up; the water starts bubbling long before it reaches the boiling point because the solubility of gaseous N2 and O2 steeply decreases as the temperature rises.

Salinity also affects the solubility of O2 in water. Sea water contains 35 ppt (parts per thousand) salt, which is approximately 550 mM NaCl, and at 20 °C contains only ~231 µmol O2 L-1 as compared to freshwater that holds ~290 µmol O2 L-1.

Like for O2, the solubility of CO2 also decreases with increasing temperature and salinity. However, the chemistry of CO2 in water is more complicated than for O2, as CO2 reacts with water in the following pH-dependent equilibria (Figure 18.3 and its caption). CO2 reacts with water (H2O) and forms carbonic acid (H2CO3). However, H2CO3 dissociates immediately into a proton (H+) and bicarbonate (HCO3-) so the dissolution of CO2 into water causes pH to drop. At high pH, HCO3- can further dissociate into a second H+ and carbonate (CO32-). The sum of CO2, (H2CO3), HCO3- and CO32- is referred to as dissolved inorganic carbon (DIC) and the relative distribution of the three main forms of inorganic carbon is determined by pH (Figure 18.4).

Fig_18.4.png

Figure 18.4. Relative distributions of CO2, HCO3- and CO32- as a function of pH in water. When CO2 dissolves in water, it reacts with water: CO2 + H2O ↔ H2CO3 ↔ HCO3- + H+ ↔ CO32- + H+. The apparent pKa1 is 6.532; only a little CO2 is converted into carbonic acid while the majority remains as CO2(aq). pKa2 is 10.329. So, water pH influences the availability of CO2 to submerged plants. Below pH 6 most of the dissolved inorganic carbon is available as CO2. Between pH 7 and 10, the alkaline ion HCO3- dominates, which can be used only by the most specialised aquatic plants as an inorganic carbon source. Only at pH higher than 10, a significant proportion of the dissolved inorganic carbon is in the form of CO32-, which plants cannot use in photosynthesis. Stumm and Morgan (1996).

The concentrations of O2 and CO2 can differ markedly between water bodies. In net heterotrophic systems the waters contain dissolved CO2 concentrations above that when in equilibrium with air; respiration by organisms consuming labile carbon compounds results in depletion of O2 but enrichment of CO2. By contrast, in net autotrophic systems, photosynthesis exceeds respiration and so depletes CO2 and elevates O2 in these waters. So, O2 concentrations in floodwaters can range from severely hypoxic (net heterotrophic) to above air equilibrium (net autotrophic); and both these conditions can occur in diel patterns (respiration only during night; photosynthesis dominates during day), for example as measured in fields of submerged rice.

Besides the slow diffusion of CO2 in water, photosynthesis by submerged plants can also be limited by light. In water, light attenuation follows an exponential function,

\[I=I_0 \text{e}^{-z\epsilon}\]

where I is the available light at a given depth (z), I0 is the light level at the surface, ε is the extinction coefficient, and e is the exponent. The extinction coefficient of water itself is 0.03 m-1 so in ultra clear water, rooted plants could grow down to a depth of 75 m where 10% of the surface light would still be present, which happens to be the approximate depth limit of seagrasses). However, dissolved coloured organic carbon (e.g. humic acids), chlorophyll in planktonic algae, and particles suspended in the water (e.g. silt), all reduce light penetration in floodwaters. In turbid floodwaters, light attenuation can be as much as 90% in the upper 10 cm, whereas more typical depths for a 90% reduction of light in floodwaters might be 0.5 - 2 m.

18.3 - Biochemical and metabolic adaptations

Plant adaptation to O2-deficient waterlogged soils and flood-prone environments involves a suit of morphological, anatomical, and metabolic traits, as outlined in following sections. Plants need to cope with tissue anoxia, or avoid this adverse condition via a well-developed system of inter-connected gas-filled channels (aerenchyma) for internal O2 transport to supply submerged parts. Even species with large volumes of aerenchyma can experience anoxia in parts of their body, if only transiently. For these anoxic cells and tissues to survive, acclimative metabolic responses are essential. Furthermore, in addition to O2 deficits, plants must also cope with increased free radicals and reduced uptake of nutrients as additional components of flooding stress.

Case Study 18.2: Rice coleoptiles - an excellent model for studies on oxygen deprivation

Brian Atwell, Macquarie University, Australia

Flooding is an environmental hazard writ large across the agricultural regions of the planet. Major inundations constrain food production because few of the world’s crop species are hydrophytes (wetland plants). It is essential to discover mechanisms of tolerance that can be used as a basis for breeding and engineering flood tolerance in rice and also other crops.

Rice (Oryza spp.) is notable among the staple crops of the world for its extreme flood tolerance. Thus it has been a natural choice for discovery of flood-tolerance mechanisms. More specifically, the coleoptile of rice is subject in nature to extreme hypoxia or even anoxia and over thousands of years these organs have concentrated gene expression patterns that confer tolerance to O2 deficits.

The coleoptile, a small sheath that emerges from the seed (caryopsis) as a ‘proto-shoot’, is especially critical in this scenario because it grows preferentially while roots and leaves remain suppressed without O2 present. Coleoptiles also have special characteristics to make their growth energetically ‘cheap’. They consist of pre-formed cells and can increase in length by 30% each hour (Figure 1 of this Case Study) while the organ as a whole can elongate by 3 cm in a day under water. This illustrates that coleoptiles have evolved to be a perfect emergent organ, providing a conduit from anoxic soil/hypoxic floodwater to the water surface above. Reaching O2 is essential before energy deficits overwhelm the embryonic meristems. Indeed, this specific role of coleoptiles was called a ‘snorkel’ almost 50 years ago (Kordan, 1974) because it was realised that on reaching a source of O2, other organs like leaves and roots could grow.

CS_18.2-1.jpg

Figure 1. A time series of rice seedlings growing in hypoxic stagnant solution for 6 days. Note the lack of roots or true leaf. The seedling on the far right has commenced a new phase of development, with the production of a mesocotyl at the base of the coleoptile. This coleoptilar node is the first true shoot meristem. (Photograph courtesy of R. Oldfield and B.J. Atwell).

Fast coleoptile growth under water is stimulated by ethylene. The build up of this phytohormone causes coleoptiles of submergence-tolerant genotypes to ‘stretch’ towards to the water surface. Hence, rice coleoptiles constitute an example of the ‘escape’ strategy. As described in Case Study 1, a failure to perceive ethylene in shoots ensures survival in mature plants under long-term floods; the presence of the Sub1A gene induces dormancy and conserves carbohydrates. By contrast with that quiescent strategy, in areas such as river deltas with prolonged deep floods, internode elongation is beneficial for escape and with the discovery of two snorkel genes, has also been shown to be an ethylene-mediated phenomenon.

Mechanisms of anoxia tolerance in plants have been elucidated through studies of coleoptiles. Ethanolic fermentation can accelerate in anoxia because the Pasteur Effect speeds up glycolysis, using carbohydrates from the seed reserves. This provides a modestly better ATP supply than a non-hydrophyte could generate. Indeed, while ethanol was long been thought to be the dominant player in fermentation, other pathways involving haemoglobin and nitric oxide are now being invoked in energy production under anoxia. The realisation that maintenance and even growth in anoxia could be achieved by preserving critical energetically demanding reactions at the cost of non-essential reactions has opened new avenues of research. For example, we now know that protein synthesis becomes a very dominant use of ATP in anoxia while many other energised reactions succumb to energy shortages. Modification of the hierarchy of energy use occurs in animals and could be an evolutionary step unique to hydrophytic plants.

Ultimately, membrane potentials are vital for all living cells. The cost of maintaining potentials has been studied in depth, including under anoxia in coleoptiles. Proton pumping between compartments is vital and in anoxia, ATP-driven proton pumps become disabled. This induces a fall in the vital cytosolic pH but this fall is modest in rice whereas acidification can be lethal in intolerant species. Most remarkably, pyrophosphate is an alternative energy source to ATP for pumping protons in plants. This relatively ‘cheap’ energy source appears to energise proton pumping into the cell vacuole by a unique protein that is expressed most strongly in anoxia-tolerant cultivars of rice and is inducible within < 2 h of imposition of anoxia. Genetically knocking out the gene for this tonoplastic proton pump increases sensitivity to anoxia. Thus, genes encoding a pyrophosphate-driven pump at the tonoplast have been identified as targets for improving survival during flooding and have also recently been implicated in regulation of Na+ compartmentation crucial also to salinity tolerance.

This short account of some of the applications of rice coleoptiles to improve our understanding of stress tolerance illustrates the power of an ideal model. That one simple, undifferentiated organ could instruct us about hormone physiology, energy metabolism and membrane integrity is truly remarkable. This does not preclude the need for studies in more organisms, including wild plants or animals, but does reinforce the importance of model systems

Further reading:

Kordan HA (1974) The rice shoot in relation to oxygen supply and root growth in seedlings germinating under water. New Phytol 73: 695–697

Edwards JMRoberts THAtwell BJ (2012) Quantifying ATP turnover in anoxic coleoptiles of rice (Oryza sativa) demonstrates preferential allocation of energy to protein synthesis. J Exp Bot 63: 4389-4402

18.3.1 - Root respiration and anaerobic metabolism

When plants are completely submerged and in darkness, so that no photosynthesis occurs, O2 can become exhausted by respiration resulting in tissue anoxia, especially in tissues/organs buried in anoxic soil. Prolonged anoxia is tolerated by rhizomes, tubers and some shoot organs of wetland species, and by germinating seeds of rice and some paddy weeds (e.g. barnyard grass). More commonly, anoxia can occur in portions of the plant body (e.g. roots), or parts of tissues within roots. ‘Anoxic cores’, coexistence of an anoxic stele and aerobic cortex, were demonstrated for maize roots in hypoxic conditions, using O2-microelectrodes (Figure 18.5) and biochemical indicators of fermentative metabolism (Thomson and Greenway 1991).

Fig_18.5.png

Figure 18.5. O2 concentration (mM) measured across a maize seedling root by using an O2-microelectrode. The profile was taken radially through differentiated tissues 75 mm behind the apex of a 135 mm long root. O2 concentration in the bathing medium was about 0.05 mM (hypoxia), so that the cortex received O2 whereas the stele had an ‘anoxic core’. The abrupt gradient in O2 status results from the lower porosity and higher metabolic demand in steal tissue as compared with the cortex. (Profile reproduced from Gibbs et al., 1988 with courtesy of W. Armstrong).

Roots in drained soil respire by catabolising carbohydrates in the tricarboxylic acid (TCA) cycle, with the ‘reducing power’ produced used in the electron transport chain (ETC) with O2 as the terminal electron acceptor. Energy in the form of ATP is generated, predominantly through oxidative phosphorylation in mitochondria (Chapter 2.4). However, in waterlogged soils O2 is scarce or even absent and therefore respiration is inhibited. Carbohydrates are then broken down via fermentative pathways to yield at least some ATP, produced during substrate-level phosphorylation in glycolysis (Figure 18.6). Conversion of the pyruvate to an end-product, such as ethanol, is essential to remove this metabolite as well as to recycle the NADH to NAD+, so that the pathway can continue to flow. Breakdown of carbohydrates to ethanol and CO2 is the principal fermentative pathway in plants. Some lactate and alanine are also produced, but in contrast to fermentation leading to lactate and alanine, ethanolic fermentation can be sustained over days in anoxic tissues, end-product feedback or even toxicity being minimised by leakage of ethanol and CO2 to the environment.

Fig_18.6.png

Figure 18.6. Scheme denoting the important metabolic reactions during anaerobic carbohydrate catabolism. Anoxia prevents pyruvate from entering the TCA cycle because O2 is unavailable as a terminal electron acceptor. Carbon is diverted to fermentative end-products, allowing oxidation of NADH and sustained catabolism of carbohydrates. Key enzymes are: 1. ATP-dependent phosphofructokinase; 2, PPi-dependent phosphofructokinase (PFK); 3, lactate dehydrogenase; 4, pyruvate decarboxylase (PDC); 5, alcohol dehydrogenase (ADH); 6, glutamate-pyruvate transaminase; 7, pyruvate dehydrogenase. The enzyme that catalyses oxidation of NADH as pyruvate is converted to alanine has not been identified. Note that some reactions are reversible (two-way arrows).

Fig_18.7.png

Figure 18.7. Curves showing pH optima of enzymes at the branch point for carbon flow to aerobic and anaerobic pathways. These in vitro determinations from extracts of rice coleoptiles indicate how cytoplasmic pH controls carbon flow. In aerobic conditions, pyruvate dehydrogenase (PDH) catalyses entry of pyruvate to the TCA cycle when pH is above 7. Anoxia results in a decline in cytoplasmic pH to below 7, causing PDH activity to give way to pyruvate decarboxylase (PDC) and fermentation to commence (i.e. PDC becomes engaged at pH below 7, whereas PDH ceases to function). In addition, PDC extracted from coleoptiles of rice seedlings previously exposed to anoxia is in a more active state, enhancing pyruvate consumption for ethanol production. Based on Morrell et al. (1989).

Carbon flow from pyruvate to ethanol (with CO2 also produced) occurs via the fermentative enzymes pyruvate decarboxylase (PDC) and alcohol dehydrogenase (ADH) (Figure 18.6). This flow is probably regulated by the activity of PDC which catalyses the first step of ethanolic fermentation. In wheat roots, for example, the PDC in vitro activity approximates the measured in vivo rate of ethanol production. Increases in the amounts of PDC and ADH proteins have been observed in a range of plant genotypes and tissues in response to O2 deprivation. Indeed, these enzymes form part of a suite of ‘anaerobic proteins’, enzymes synthesised during anoxia. In addition to increased protein abundance, post-translational regulation of PDC activity is also exerted by changes in cytoplasmic pH, which decreases from around 7.5 in aerobic cells to around 6.8–7.2 in anoxic cells. Below pH 7.2, the activity of PDC reaches its optimum. For example, PDC extracted from anoxic rice coleoptiles becomes very active as pH drops below 7 according to the broad pH response curve in Figure 18.7. Following a return to aerobic conditions, cytoplasmic pH increases back to its normal level, the activity of PDC decreases, and carbon then flows again via pyruvate dehydrogenase (PDH) to the TCA cycle, rather than via PDC for fermentation to ethanol.

During anoxia, normal protein synthesis is replaced by the selective transcription and translation of a set of proteins called ‘anaerobic proteins’. In maize roots, there are 20–22 of these proteins which include fermentative enzymes (e.g. PDC and ADH), enzymes involved in anaerobic carbohydrate catabolism (e.g. sucrose synthase and enzymes responsible for the reversible breakdown of sucrose) and several glycolytic enzymes (e.g. aldolase). Other ‘anaerobic proteins’ of maize include superoxide dismutase (SOD), responsible for scavenging O2-free radicals. ‘Anaerobic proteins’ are also formed in rice embryos, with a suit of proteins similar to those described for maize but also others - one very interesting additional ‘anaerobic protein’ in rice is the tonoplast H+-pyrophosphatase (Carystinos et al. 1995). By maintaining an ‘energised’ tonoplast capable of ion and solute transport, this enzyme might help stabilise cytoplasmic pH. Use of pyrophosphate (PPi) as an energy source reduces the dependence of tonoplast ion transport on ATP regeneration to drive the H+-ATPase. Studies using knockout mutants in rice have further demonstrated the importance of the H+-pyrophosphatase for anoxia tolerance (see Case Study 2).

Root tissues can acclimate to low O2 with improved anoxia tolerance, if exposed to hypoxia (low, but not zero O2) prior to the onset of anoxia. As examples, roots of maize and wheat survive anoxia more than three times longer if exposed first to hypoxia rather than abrupt transfer from aerated solution into anoxia (Table 18.4). The elimination of ADH activity reduced the survival of maize Adh-

Mutants to almost zero following anoxic shock but allowed recovery following hypoxic pre-treatment (Table 18.4)

Metabolic acclimation set in train by hypoxia included changes in gene expression and therefore the protein complement (‘proteome’) in cells. Hypoxic pretreatment raised activities of the fermentative enzymes PDC and ADH, and resulted in a faster rate of ethanolic fermentation during the subsequent anoxia. How plants sense and initiate signal cascades to invoke these metabolic acclimations is a current topic of debate and could involve sensing of changes in cellular energy charge, cytosolic pH, and/or possibly oxygen (see Case Study 18.3) or other possibilities.

The changes in fermentative enzymes, together with observations that exogenous sugars prolong tissue survival during anoxia, point to carbohydrate catabolism as an important factor in tolerance to anoxia. Even with fermentation operational, however, the anoxic root cells still face an ‘energy crisis’, as the ATP generated via fermentation is often insufficient even for cell maintenance in some species. Compared with respiration, fermentation produces 85–95% less ATP per hexose unit consumed. So, although such anaerobic energy generation is vital, a rapid rate of fermentation alone does not endow anoxia tolerance. Pea root tips, for example, ferment 45% faster than maize root tips, but survive less than half as long in anoxia. Greenway and Gibbs (2003) have highlighted that in addition to fermentation, other more subtle aspects of energy consumption must also be involved in anoxia tolerance, such as a reduction of energy requirements for cell maintenance and the redirection of energy flow to essential cellular processes, including maintenance of membrane integrity, regulation of cytoplasmic pH, and synthesis of appropriate ‘anaerobic proteins’.

The key to anoxia tolerance therefore lies in integration of energy production via anaerobic carbohydrate catabolism and energy consumption in reactions essential for survival. Accumulating evidence suggests two modes of tolerance based on slow and rapid rates of fermentation (Greenway and Gibbs, 2003). As one example of the ‘slow fermentation mode’, lettuce seeds appear to survive anoxia by slowing carbohydrate catabolism in anoxia to less than 35% of the rate in air. After 14 d without O2, lettuce seeds germinate normally (Raymond and Pradet, 1980). Other plant tissues which survive but do not grow in anoxia, produce an initial burst of fermentative activity over 6–24 h before settling to slower fermentation rates. This two-phase pattern presumably provides the higher ATP required as cells acclimate to anoxia, but then the lower rates of fermentation would conserve carbohydrates for long-term survival. To be of adaptive value, this conservation of substrates through slower catabolism must be compatible with the smaller ATP yield available for cell maintenance. Calculations show that, for example, non-growing beetroot tissue in anoxia used 10- to 25-fold less ATP for cell maintenance than aerobic tissues (Zhang and Greenway, 1994).

The coleoptile of rice provides an example of the ‘fast fermentation mode’, this organ grows in anoxia (a second example is the stem of Potamogeton spp.). Fast fermentation is sustained by accelerated glycolysis, a phenomenon known as the ‘Pasteur Effect’. However, even in rice, glycolytic rate is only about twice as fast in anoxia as in air (Table 18.5).

The glycolytic enzyme ATP-dependent phosphofructokinase (PFK), might in addition to PDC, contribute to control of glycolysis (Figure 18.6) and thus fermentation in the coleoptile of rice. Starch breakdown and sugar transport from the endosperm to coleoptile of rice seedlings in anoxia fuels the ethanolic fermentation. For plants without such starch reserves, however, low carbohydrate levels would limit the rate of anaerobic carbohydrate catabolism in tissues that experience anoxia.

Case Study 18.3 - Can plants sense oxygen?

LACJ (Rens) Voesenek, Utrecht University, The Netherlands

Plant life relies on light-energy driven fixation of CO2 into carbohydrates through photosynthesis. These carbohydrates are subsequently used to construct various plant structures and fuel energy production through respiration in non-photosynthetic tissues and even in photosynthetic cells during dark periods. Respiration requires a sufficient supply of O2. Cells in various organs of submerged terrestrial plants typically suffer from severe shortage of O2 and thus energy deficits. The extremely slow diffusion rate of O2 through water to plant organs and cells means that O2 supply becomes limiting for respiration. Low O2 conditions during flooding most frequently occur in root tissues as these are surrounded by a soil environment characterized by very low O2 levels and because of the absence of photosynthetic capacity to generate O2. Upon low O2 conditions metabolism shifts from efficient mitochondrial ATP production (O2 dependent) to inefficient anaerobic substrate-level production of ATP (glycolysis linked to fermentation), as long as sugar substrates are available. Further adjustments involve restrictions in ATP consumption and translational activities so that general protein turnover slows to save energy.

Reliable sensing of O2 levels would allow rapid acclimation to declining O2 in flooded plants. It was shown recently that O2 sensing is achieved by a mechanism in which the N-end rule pathway of protein degradation serves to regulate the low O2 response in plants (Gibbs et al. 2011; Licausi et al. 2011). Up to now the unraveling of the O2 sensing machinery was one of the biggest challenges in flooding research. The identification of such a mechanism sheds light on the earliest step in the signaling pathway leading to low O2 acclimation (Figure 1).

Many genes that are typically associated with low O2 conditions in plants are regulated by transcription factors belonging to the so-called group VII Ethylene Response Factors (ERFs). Typical for these ERFs in Arabidopsis (5 members) is that they possess a specific N-terminal motif (N-degron). Due to this motif these proteins are post-translationally modified in an O2-dependent manner via the N-end rule pathway of protein degradation. The N-terminal of Arabidopsis group VII ERFs is composed of a methionine followed by a cysteine as the second residue. The constitutive activity of methionine amino peptidase cleaves these ERF proteins between the methionine and the cysteine, yielding an N-terminal exposed cysteine. In this conformation the cysteine can be oxidized in an O2-dependent manner. Under normoxic conditions, cysteine is oxidized and an arginine residue is added to the cysteine, catalyzed by an arginyl tRNA transferase (ATE). In this form the ERF protein can be recognized by the E3 ligase PROTEOLYSIS 6 (PRT6), leading to ubiquitination and 26S proteosome-mediated degradation. However, when O2 is limited (hypoxia or anoxia) as in many organs of flooded plants, degradation of ERFs is inhibited as a consequence of a lack of cysteine oxidation. Under these conditions stable ERFs can function as transcription factors and drive transcription of genes needed in plants to survive in low-O2 environments. As soon as the plant is re-oxygenated (e.g. upon withdrawal of flood water) the ERFs are again destabilized and the transcription of hypoxia-induced genes is halted.

At least one Arabidopsis ERF, RAP2.12, is sequestered at the plasma membrane, mediated by an interaction with the membrane-bound Acyl CoA binding proteins 1 and 2 (ACBP1/2). This sequestration of RAP2.12 is functional to prevent degradation by the N-end rule pathway under normoxic conditions. Via docking to ACBP1/2, high levels of RAP2.12 can be maintained even under normoxic conditions, without the risk of being degraded. Upon hypoxia RAP2.12 translocates rapidly to the nucleus to switch on acclimative pathways for low O2 conditions (Figure 1).

CS_18.3-1.jpg

Figure 1. A model describing O2-sensing in plants. Under normoxic conditions the ERF protein RAP2.12 has a protected plasma membrane localization due to its interaction with Acyl CoA binding proteins (ACBPs). Upon hypoxia RAP2.12 and ACBP dissociate and RAP2.12 moves to the nucleus where it induces transcription of adaptive hypoxia-response genes. Upon re-oxygenation RAP2.12 is rapidly degraded via the N-end rule pathway to down regulate the hypoxia response (Licausi et al. 2011).

Further reading:

Bailey-Serres J, Fukao T, Gibbs DJ et al. (2012) Making sense of low oxygen sensing. Trends Plant Sci 17: 129-138

Gibbs DJ, Lee SC, Isa NM et al. (2011) Homeostatic response to hypoxia is regulated by the N-end rule pathway in plants. Nature 479: 415-418

Licausi F, Kosmacz M, Weits DA et al. (2011) Oxygen sensing in plants is mediated by an N-end rule pathway for protein destabilization. Nature 479: 419-422

 

 

 

18.3.2 - Reactive oxygen species

Hypoxic conditions can favour generation of reactive oxygen species (ROS). The major sources of ROS generation are ETC in mitochondria and oxidase activities (Blokhina et al., 2003). Various ROS species may be produced; among the major ones are superoxide radical (O2•-), hydroxyl radical (OH), and hydrogen peroxide (H2O2). Although H2O2 is less reactive than the two other ROS, in the presence of reduced transition metals such as Fe2+ (abundant in waterlogged soils), the formation of OH can occur in the Fenton reaction. These ROS can damage plant cells by causing lipid peroxidation in membranes, DNA damage, protein denaturation, carbohydrate oxidation, pigment breakdown and an impairment of enzymatic activity (Noctor and Foyer, 1998).

The extent of the ROS-induced damage to cells depends on duration and severity of stress. Short-term O2 deprivation results in a limited accumulation of ROS and lipid peroxidation. In the short-term, the rate of ROS formation and the degree of lipid peroxidation can be regulated by constitutive endogenous antioxidants (Blokhina et al. 2003). In addition, hypoxia induces increased activities of antioxidant systems. Prolonged deprivation of O2, however, can diminish or even abolish synthesis, transport and turnover of antioxidants. As a consequence of the depleted antioxidants and associated enzymes, cells are unable to cope with the ROS and lipid peroxidation can become severe, particularly during re-oxygenation (see also section 18.6). In addition to causing non-specific increases in membrane permeability resulting from lipid peroxidation, both H2O2 and OH have also been shown to directly control activity of Ca2+- and K+-permeable plasma membrane ion channels (Demidchik et al. 2007, 2010). Perturbations in intracellular ionic homeostasis may initiate programmed cell death (Demidchik et al. 2010).

18.3.3 - Nutrient acquisition by roots in waterlogged soil

Plant nutrient acquisition is dramatically reduced in sensitive species when in waterlogged soil. Upon waterlogging, root growth can be immediately arrested whereas shoots can continue to grow. The resulting increased shoot:root ratio causes an imbalance between shoot nutrient demands and supply by roots. Nutrient ion uptake be roots is also greatly reduced on a per root weight basis (Elzenga and van Veen 2010; Colmer and Greenway, 2011), primarily as a result of reduced O2 availability inhibiting respiration. Ion uptake by roots consumes energy. The plasma membrane proton pump (H+-ATPase) requires ATP and the proton motive force generated is used to drive symporter-mediated ion uptake. Indeed, all anions (e.g. NO3-) enter root cells via H+-anion symporters. Furthermore, the H+-ATPase maintains the negative membrane potential, essential to creating electrochemical gradients allowing channel-mediated uptake of cations (e.g. K+ uptake). Absence of O2 inhibited respiration and lowered H+-ATPase pumping, causing a substantial membrane depolarization, making such cation uptake via channels thermodynamically impossible (Pang and Shabala 2010). Not only is K+ uptake significantly reduced, but roots can also loose substantial amounts of K+ through depolarization-activated channels. It is not surprising, therefore, that waterlogged plants often exhibit acute K+ deficiency. The organic acids present in waterlogged soils, from anaerobic microbial metabolism, can also lead to membrane depolarisation of root cells and reduced ion uptake.

The diminished capacity for ion transport, together with initial ‘dilution’ of shoot nutrient concentrations by continued shoot growth relative to roots, explains a range of nutrient deficiencies observed in leaves of intolerant plants under waterlogged conditions. Waterlogging tolerant species with adequate O2 supply to roots via large volumes of aerenchyma, can sustain root respiration and therefore plasmamembrane H+-ATPase functioning for nutrient uptake, as well as having adequate O2 and energy for deeper root penetration. Efficient internal aeration of roots, together with a barrier to ROL in basal zones, also enables an aerobic rhizosphere at the root tips and regions of dense laterals, altering the rhizosphere (e.g. diminished soil toxins), presumably also with benefits for nutrient uptake by the roots.

18.4 - Internal aeration - aerenchyma and morphological adaptations

Fig_18.8.jpg

Figure 18.8.  Scanning electron micrograph of a root of Melaleuca halmaturorum after roots and the lower half of shoots had been flooded for 14 weeks. Extensive aerenchyma have formed through breakdown of cortical cell layers.  Scale bar = 100 µm (Micrograph courtesy M. Denton).

Internal O2 transport from shoots to roots is essential to survival and functioning of roots in anoxic, waterlogged soils. Long-distance O2 transport through the body of plants occurs via large intercellular gas-filled spaces, termed lacunae or aerenchyma (Figure 18.8).

Movement of gases within root aerenchyma occurs via diffusion, but as will be explained below gas movements can also occur via pressure-driven mass flows in the shoots and rhizomes of some wetland species under certain conditions. When shoots are in air, atmospheric O2 enters and then diffuses into and along roots. When shoots are completely submerged, tissue O2 status will change markedly between light (i.e. O2 produced in photosynthesis during the day) and dark (i.e. night) periods. In summary, aerenchyma provides a rapid gas exchange pathway between the atmosphere and below-ground tissues, essential for survival in flooded environments.

18.4.1 - Aerenchyma in roots

Fig_18.9.jpg

Figure 18.9. Transverse sections of (a) adventitious root of rice showing lysigenous aerenchyma, and (b) lateral root of Rumex hydrolapathum showing schizogenous aerenchyma. (a) taken 50 mm behind the root apex, (b) taken 5 mm behind the root apex. (Micrographs courtesy of W. Armstrong).

The amount of aerenchyma within roots determines the capacity for internal O2 transport. Aerenchyma formation is constitutive in roots of many wetland species, although the amount is often further enhanced when soils are waterlogged (Justin and Armstrong, 1987). Many non-wetland species can also form root aerenchyma, but its development can take a couple of days following the onset of waterlogging. Roots of non-wetland species typically, however, form less aerenchyma than wetland species, and some dryland species cannot form aerenchyma. Nevertheless, even in relatively intolerant species such as wheat, newly-formed adventitious roots develop aerenchyma, and these new roots are important since the bulk of the seminal roots die.

Aerenchyma can form in the cortex of roots by two main, distinct, developmental processes: (i) lysigeny - the collapse of files of cortical cells to leave behind gas-filled voids (Figure 18.9a), or (ii) schizogeny - cell separation in a radial direction, so that large gas-filled channels form between cells (Figure 18.9b). Lysigenous aerenchyma results from selective programmed cell death in the cortex and this type occurs in many monocots, including important crops (e.g., barley, wheat, maize, rice). Schizogenous aerenchyma is formed by separation of cells (without death) and is found in some wetland species and particularly dicots (e.g., Rumex spp.). The ‘honeycomb-type’ schizogenous aerenchyma shown in Figure 18.9b for Rumex hydrolapathum forms due to cells being forced apart owing to oblique divisions by some of the cortical cells in radial rows.

The involvement of ethylene in formation of lysigenous aerenchyma has been studied in maize roots, and although major gaps exist in understanding of lysigenous aerenchyma, even less is known of the regulation of schizogenous aerenchyma. Evidence for the involvement of ethylene signalling in lysigenous aerenchyma formation is that inhibitors of ethylene action (e.g., silver ions) or of ethylene synthesis (e.g., aminoethoxyvinylglycine, AVG) block aerenchyma formation in hypoxic roots. Hypoxia enhances the activity of an enzyme involved in ethylene biosynthesis (1-aminocyclopropan-1-carboxylic acid (ACC synthase), ACC concentration increased in hypoxic roots, and ethylene synthesis was stimulated. The involvement of ethylene signalling in aerenchyma formation was also supported by experiments in which exogenously supplied ethylene induced aerenchyma formation in aerated roots.

Aerenchyma formation can be quantified by taking root cross-sections and measuring areas of gas-filled spaces relative to the total cross-sectional area. Many studies have quantified root porosity, the gas-filled volume per unit of root volume, and porosity includes the total gas volume in the roots (i.e. large aerenchyma channels plus the smaller intercellular spaces). Porosity in roots of plants grown in waterlogged soil varied from below 1% in some non-wetland species to as much as 53% in one wetland species, demonstrating the wide variation amongst species in their capacities for internal aeration of their roots when in waterlogged soil (Justin and Armstrong, 1987).

The importance of high porosity for root growth in waterlogged soil was demonstrated in a study of 91 species differing in aerenchyma volumes; species with roots of < 5% porosity penetrated only 30-95 mm, whereas those with > 35% porosity grew 150-345 mm into a waterlogged potting mix (Justin and Armstrong, 1987). Mathematical modelling has also highlighted the importance of root porosity for internal O2 diffusion and therefore root growth in anaerobic substrates (Armstrong, 1979). O2 supply via aerenchyma determines the respiratory activity and therefore energy status in roots, as demonstrated by measurements of adenylate energy charge (AEC) in root tips of maize seedling roots in an O2-free medium (Drew et al., 1985). For roots reliant on an internal O2 supply, the AEC was ~ 0.7 for tips of roots with aerenchyma (porosity ~13%), compared with ~ 0.4 in those without aerenchyma (porosity ~4%). Thus, O2 supplied via the aerenchyma enables respiration and the ATP produced is essential for the survival, functioning and growth of roots in waterlogged soil.

Figure_18.10.jpg

Figure 18.10. Profiles of O2 with distance behind the apex of the main axis of an intact adventitious root of Phragmites australis, when in an O2-free medium with shoots in air. O2 within the root cortex increases at positions closer towards the root-rhizome junction, consistent with higher concentrations towards the source of O2 diffusing down the root. By contrast, O2 on the exterior of the root surface is highest near the tip, and very low in the basal part of the root. A barrier to radial O2 loss largely prevents O2 movement to the rhizosphere in these basal positions (see also description in the text). Jackson and Armstrong (1999).

In addition to large volumes of aerenchyma (i.e. high porosity), roots of many wetland plants also possess a barrier to radial O2 loss (ROL) in the root exterior (Armstrong, 1979; Colmer, 2003). The ROL barrier diminishes losses of O2 to the rhizosphere and thus enhances longitudinal diffusion towards the root apex. Loss of O2 from roots to waterlogged soil can be substantial, owing to the steep concentration gradient from root-to-soil. Many, but not all, wetland species can restrict O2 losses from the basal parts of their roots. An example of a functional barrier to ROL is shown in Figure 18.10 for a root of common reed (Phragmites australis). When in a low O2 medium, the concentration of O2 at the root surface was relatively high near the tip, but it was extremely low at 30 mm and further behind the apex. This pattern of low surface O2 in basal regions, despite the internal O2 being higher towards the root base (closer to the O2 source), indicates a high resistance to ROL across the outer cell layers in sub-apical positions. This resistance to radial O2 diffusion results from suberin depositions in the hypodermis/exodermis. A ‘tight’ barrier to ROL develops constitutively in the basal zones of adventitious roots of many wetland species, but was induced by growth in stagnant deoxygenated medium in several others, including rice (Colmer, 2003). 

Even for roots with a ‘tight’ barrier to ROL, losses of O2 are substantial near the root tip, and also from laterals. ROL around the root tip protects this sensitive growing point from reduced toxins, as these would be re-oxidised as the tip advances into the otherwise anaerobic soil (e.g. Fe2+ oxidised to insoluble Fe2O3). Thus, ROL may ‘protect’ the apex against reduced toxins, with the barrier to ROL loss in mature zones not only restricting exit of O2 but also excluding reduced phytotoxins in the soil.

18.4.2 - Through-flows of O2 along rhizomes of some wetland plants

Pressurised through-flows of gas greatly increase the rate of O2 transport along rhizomes of several emergent and floating-leaved wetland species, compared to that achieved by diffusion alone. These through-flows increase the concentration of O2 in rhizomes above those if only diffusion occurred, and the higher rhizome O2 increases diffusion into roots arising from the rhizomes. Through-flows occur when pressure gradients are established along the aerenchymatous pathway with a low-resistance exit from the plant to the atmosphere (Beckett et al. 1988). Flows can be substantial, for example in the yellow waterlily (Nuphar luteum) gas flow rates within aerenchymatous petioles were described by Dacey (1980) as ‘internal winds’. Through-flows can result in an increase of two orders of magnitude in the effective length of aeration in culms and rhizomes above that possible via diffusion (Armstrong et al. 1991), enabling some wetland plants to inhabit areas with permanent deep waters and for rhizome growth deep into waterlogged soils. It is important to note that even in species with through-flows along rhizomes, O2 movement into and along roots occurs via diffusion (the roots are a dead-end side-path so through flows cannot occur without an ‘exit’).

The importance of through-flows for growing in deep water is especially visible in lakeshore vegetation. On lakeshores, wetland plants such as Typha spp. and common reed (Phragmites australis) that have flows along rhizomes and grow more deeply than morphologically similar plants that rely solely on diffusive movement of O2 (Vretare Strand 2002). The deeper the water, the more advantageous it is for a plant to transport gases by pressurised flow rather than diffusion. Emergent plants with efficient through-flows can readily grow in water up to 3 m depth (Sorrell and Hawes 2010), and some floating-leaved plants such as sacred lotus (Nelumbo nucifera) are found in up to 5 m water depth.

Rates of through-flow are determined by the pressure gradient and the resistance to flow along the aeration system. The pressure gradient can result from: (i) pressurisation of gas in live shoots due to gradients in water vapour concentration between the interior and exterior of an enclosed space with the surface of the enclosure containing micro-pores (e.g., several wetland species, Brix et al. 1992; Armstrong et al. 1996), or (ii) venturi-induced suction caused by wind blowing over the open-ends of tall, broken culms so that gas is sucked out, and air enters via shorter culms exposed to lower wind speeds (only documented so far in common reed, Phragmites australis, Armstrong et al. 1996). The processes for pressurisation in leaves, and for venturi-induced suction, have been evaluated using physical and mathematical models.

18.4.3 - Specialised roots for flooded environments

Fig_18.11.jpg

Figure 18.11. Mangroves are trees or large shrubs which grow within the intertidal zone. Mangroves have specialised structures for root aeration, such as (A) pneumatophores (vertical ‘air roots’) or (B) ‘knee roots’ (also called ‘prop roots’). The surfaces of these roots have lenticels (C; surface of knee roots) which are pores that allow gas exchange between the atmosphere and the internal tissues. At high tide these root structures are submerged whereas at low tide these parts of the roots have direct contact with air and oxygen can then enter via the lenticels. Photographs taken in north-western Australia by Ole Pedersen.

Waterlogging tolerant species tend to develop larger adventitious root systems than intolerant species, and these roots contain aerenchyma. The initiation and outgrowth of adventitious roots has been studied in wetland species such as rice and Rumex palustris; accumulation of ethylene appears to be the primary signal for this response, and auxin and H2O2 are also involved in the downstream signalling cascade (Visser et al. 1996; Steffens and Sauter 2009).

Newly-formed adventitious roots with aerenchyma can grow into anoxic waterlogged soil, but in many cases adventitious roots also grow close to the soil surface, or when floods submerge a significant portion of the stem they emerge into the water column. Surface roots are common for species with low amounts of aerenchyma – the superficial root system is therefore restricted to the surface oxidised layer of the soil. Such plants often develop a ‘sprawling’ growth form in shallow water with many adventitious roots in the water column, barely entering the soil surface, and taking up nutrients from the surface water. These plants are most common in eutrophic, relatively still water, as they rely on high nutrient concentrations in water given that they cannot exploit soil nutrients. The shallow root system means such plants are vulnerable to uprooting. Aquatic roots that grow into the floodwater are exposed to light and can form chloroplasts, with photosynthesis resulting in high endogenous O2 levels during the daytime (e.g. Rich et al. 2012).

Pneumatophores and ‘knee roots’ are specific features of mangroves (Figure 18.11), and are the point of entry for the atmospheric O2 that is transported to roots. The surfaces contain lenticels, pores which allow gas exchange between the atmosphere and these woody organs. Lenticels are also common on stems and the number and size increase in response to flooding on the trunks of flood-tolerant trees. Their openings become ‘hypertrophied’, i.e. impregnated with hydrophobic compounds, to prevent water infiltrating the aerenchyma when submerged by high tides or rising floodwaters.

Grey mangroves (Avicennia spp.) have long, horizontal roots (‘cable roots’) close to the soil surface, from which arise hundreds of ca. 1 cm thick, 30 cm long vertical aerial roots termed pneumatophores. O2 enters the pneumatophores and diffuses via aerenchyma to the underground roots. Even the pneumatophores, however, become temporarily submerged and thus cut off from the atmosphere at high tide. Early researchers suggested that aeration via the pneumatophores might involve pressurised gas flows, but this effect is negligible, and most O2 transport in mangroves is by diffusion (Beckett et al. 1988). The red mangrove (Rhizophora spp.) lacks pneumatophores, instead having aerial ‘knee’ or ‘prop’ roots that elevate the trunk above the water surface, and with hypertrophied lenticels serving as entry ports for O2 which then diffuses to underground roots.

Even with O2 transport in aerenchyma, trees in wetlands are unable to grow roots as deeply into soil as terrestrial trees, often leaving them vulnerable to toppling. Many flood-tolerant trees in freshwater swamps therefore feature extensions to their lower trunks (buttresses and knees) that provide mechanical stabilisation, and with lenticels present these enable entry of O2 into the root aerenchyma.

18.5 - Complete submergence - escape or quiescence responses

Fig_18.12.png

Figure 18.12. Shoot elongation of rice cultivars during submergence relative to survival. Plants were submerged 14 d at a mean daily irradiance of 22.3 ML m-2. Open symbols, lowland rice; closed symbols, deepwater rice cultivars. Setter and Laureles (1996).

Leaves, petioles and stems of completely submerged herbaceous plants are generally not anoxic, although can become hypoxic. The internal O2 concentration in these submerged shoot organs is determined by the rate of photosynthesis under water, the rate of respiration of the tissue and the rate of gas exchange with the external water medium. This results, for example, in endogenous petiole O2 concentrations in fully submerged Arabidopsis thaliana of 17 kPa during the light period and 6 kPa during darkness (Lee et al. 2011; Vashisht et al. 2011). Due to the strong variation over time, O2 is seen as an unreliable indicator of submergence of shoot organs. Therefore, shoots make use of the entrapment of another gaseous component, the plant hormone ethylene, to sense the change of the outside environment from air to water. Similar to other gases, ethylene only very slowly diffuses in water. Since ethylene is produced by every plant cell, slow diffusion in water leads to a substantial increase of ethylene levels inside shoot tissues within less than one hour of submergence. This enhanced endogenous ethylene concentration is guaranteed in submerged shoots as long as some O2 is present to maintain the O2-dependent ethylene biosynthesis.

Flood tolerant plants exposed to complete submergence exploit two contrasting suites of traits, escape or quiescence, to survive this stress. In brief, plants with the escape strategy: (i) increase the growth rate of shoot organs, such as petioles and stems, so as to emerge above floodwaters, and (ii) initiate the development of aerenchyma to facilitate internal gas diffusion. Quiescent plants, on the other hand, “wait out the submergence event” and are characterized by: (i) conservation of energy and carbohydrates via, for example, a reduction of the underwater growth rate, and (ii) an increase of molecular components that prepare shoot and root organs for future conditions with low O2 and production of protective molecules that counteract harmful cellular changes associated with flooding, such as production of ROS.

A classical study with a range of rice cultivars revealed that shoot elongation under water without reaching the surface goes at the expense of survival and thereby demonstrating elongation is associated with costs (Figure 18.12). From an evolutionary point of view the escape strategy will only persist if these costs are outweighed by benefits such as improved aeration, energy generation and carbon production, and ultimately improved survival, growth and reproduction. Therefore, the escape strategy is restricted to plants in environments with shallow floods or with deeper floods that persist over longer durations as the case with deepwater and floating rice. Transient very deep or ephemeral floods, however, favour plants with the quiescence strategy.

Fig_18.13.png

Figure 18.13. Petiole elongation response in Rumex palustris upon submergence. Plant on the left-hand-side was in air, plant on the right-hand-side was submerged for the final 10 days. (Photograph courtesy of Liesje Mommer).

Fast extension of shoot organs in response to submergence is described for species from a wide range of families. As an example, Figure 18.13 illustrates submergence-induced petiole elongation in the semi-aquatic plant Rumex palustris.

Depending on the tissue type and the developmental stage of the shoot organ, fast underwater growth involves cell elongation only (e.g. petiole of Rumex palustris) or a combination of increased cell division and elongation (e.g. stem of deepwater rice). Fast cell elongation is regulated by specific transcription factors and by an interacting set of plant hormones. In deep water rice, characterized by an enormous stem elongation capacity upon submergence, ethylene regulates two important genes, SNORKEL1 and SNORKEL2, which encode nuclear-localized DNA binding proteins that belong to the Ethylene Response Factor (ERF) family of transcription factors. Non-deepwater rice varieties lack these ERF genes and their importance for elongation was demonstrated by introgression of these loci from deepwater rice into non-elongating varieties which then showed substantial elongation when submerged. Next to ethylene, three other downstream-operating plant hormones are involved in submergence-induced shoot elongation. Upon submergence, levels of abscisic acid are quickly reduced, whereas auxin and gibberellic acid increase. Ultimately these signal transduction components affect the rate limiting step for cell elongation: the cell wall. In order to allow turgor-driven cell expansion, cell walls must loosen by means of specific cell wall loosening proteins such as Expansins. The expression of Expansin genes is strongly upregulated and the abundance of Expansin proteins increases, soon after submergence of species with shoots that elongate.

An important trait for plants that survive flooding by means of the quiescence strategy is reduction of underwater growth to conserve carbohydrates and retention of chlorophyll to enable continued, albeit reduced, photosynthesis. Increased submergence tolerance in rice caused by reduced plant growth rates under water is regulated by the ethylene-induced expression of the SUB1A-1 gene. Interestingly, this gene belongs to the same ERF transcription factor family as the two SNORKEL genes. SUB1A-1 limits elongation growth by two mechanisms: (i) minimizing the decline in the gibberellin signaling repressor SLENDER RICE-1 and the related SLENDER RICE LIKE-1, and (ii) enhancing GA catabolism by differentially regulating genes associated with brassinosteroid synthesis in submerged shoots (Schmitz et al. 2013). On top of that, SUB1A-1 also inhibits synthesis of ethylene, expression of Expansins and reduces starch and sucrose reserve depletion. Recently, SUB1A-1 was crossed into high yielding rice varieties leading to more flood tolerant varieties that have recently been released to farmers in Asia. These varieties have yield advantages of 1 to over 3 tons/hectare over the varieties lacking SUB1A-1 following submergence for various durations (Mackill et al. 2012). Figure 18.14 demonstrates increased survival and yield after 15 d of complete submergence during the vegetative stage followed by recovery after de-submergence of a rice variety containing SUB1A-1 compared with the original variety that lacks it.

Fig_18.14.png

Figure 18.14. IR64 (left) and IR64-Sub1 (right) after 15 days of submergence during vegetative stage in the field. Two-week-old seedlings were transplanted into a field, grown for another two weeks then completely submerged for 15 days. The field was then drained and plants were allowed to recover under non-stress conditions. The photograph was taken about 90 days after de-submergence. (Photograph courtesy of AM Ismail).

In summary, most plants cannot withstand complete submergence lasting over a few days; however, semi-aquatic plants such as certain rice genotypes can survive complete submergence even for over two weeks. Tolerance of rice to transient submergence is mainly achieved by restricting growth and respiration, thus conserving carbohydrate reserves to enhance recovery when the floodwater recedes.

18.5.1 - Photosynthesis under water

Fig_18.15.jpg

Figure 18.15. Leaf gas films on common reed (Phragmites australis) during complete submergence. Gas films form on hydrophobic leaf surfaces. Leaf gas films enhance gas-exchange with the surrounding floodwater: CO2 entry for photosynthesis (in light) and O2 entry for internal aeration for respiration (in dark), of submerged plants. (Photograph courtesy of Ole Pedersen).

Photosynthesis in completely submerged wetland plants is severely impeded by low light, and the slow diffusion of CO2 across the aqueous diffusive boundary layer (DBL) adjacent to leaves. Aquatic and amphibious plants have evolved a number of leaf traits to reduce the total resistance to CO2 uptake, including: (i) dissected leaves, (ii) undulating leaf edges to increase turbulence across the leaf, (iii) thin leaves, (iv) reduced cuticle, and (v) chloroplasts in epidermal cells. The first three traits (i, ii & iii) all serve to erode/reduce the DBL and thus decrease the distance of molecular diffusion (i.e. decreased total external resistance to CO2 uptake), and (iv & v) reduce the resistance within the tissue for the diffusion pathway to chloroplasts. Likewise, many submerged terrestrial wetland plants also display some acclimation to inundation such as thinner leaves, reduced cuticle and chloroplast orientation towards the source of CO2. Amphibious plants are positioned between the truly aquatic plants and the terrestrial wetland plants and display a suite of leaf acclimation traits that allows efficient gas exchange by leaves in air, as well as those formed under water.

Rates of net photosynthesis by submerged leaves are typically much lower than rates achieved in air, even for acclimated leaves. Underwater net photosynthesis by submerged terrestrial plants is generally lower than the rates achieved by aquatic plants. However, this is only true when photosynthetic rates are expressed on a per unit area basis, the units commonly used in terrestrial plant physiology. When net photosynthesis is expressed on a per unit dry mass basis, rates in aquatic plants > amphibious plants > terrestrial plants and this order reflects the higher carbon-return per unit of dry mass investment by the aquatic leaf types, as compared with terrestrial leaf types, when submerged.

Gas films on leaves of submerged terrestrial wetland plants have also been shown to facilitate underwater photosynthesis. Gas films form on hydrophobic leaf surfaces of many wetland plants when submerged (Figure 18.15); e.g., species of Phragmites, Typha, Spartina, Carex, Phalaris and Oryza (including cultivated rice), and the gas film forms a large gas-water interface that facilitates gas exchange with the surrounding water.

It is likely that the stomata remain open underneath the gas film. The gas films enable leaves of such terrestrial wetland plants to photosynthesize under water, albeit at rates much reduced when compared with in air, but without further acclimation and this strategy may therefore be particularly advantageous under short floods; as examples, frequent tidal submergence or short duration flash floods such as in some rice-growing areas and natural wetlands where water recedes after a week or two. The improved O2 and sugar status of submerged rice owing to the beneficial effects of leaf gas films would enhance survival during complete submergence.

Case Study 18.4 - Photosynthesis and internal aeration in submerged aquatic plants

Ole Pedersen, University of Copenhagen, Denmark

Development of microelectrodes robust enough for use in field conditions has enabled in situ measurements of O2 dynamics in submerged plants (Figure 1). Eco-physiological research on submerged plants has been a challenge; infrared gas analyzers do not work under water! Field studies (in situ) have revealed how fluctuating light, diurnal changes in temperature and water column O2 concentrations all influence internal aeration of submerged aquatic plants. In the case of seagrasses, application of sulphide microelectrodes has also added to the growing evidence of sulphide poisoning as a likely cause of extensive die-backs.

CS_18.4-1.jpg

Figure 1. Diver operating O2 and H2S microelectrodes (left) in a Thallasia seagrass meadow in the Caribbean. Development of in situ equipment has enabled measurements of internal aeration under challenging field conditions in aquatic systems (right). (Photographs courtesy of Malene Hedegård Petersen (left) and Ole Pedersen (right).

CS_18.4-2.png

Figure 2. Oxygen dynamics in the rhizome of the seagrass Zostera marina during a diurnal cycle. O2 in the rhizome closely follows incoming light during daytime, whereas during the night internal aeration relies on supply of O2 from the water column. The dependence on water column pO2 during the night for internal aeration becomes particularly clear when the tide carries water across the seagrass meadow with lower pO2 as the internal pO2 of the rhizomes immediately declines (see arrows). During the day, it is the other way around as fluctuations in incoming light is immediately reflected in rhizome pO2 as daytime rhizome pO2 follows underwater photosynthesis. Data from Greve et al. (2003).

Seagrasses are flowering plants with roots, rhizomes, sometimes stems, and almost always strap shaped leaves to reduce pressure drag and thus the uprooting forces created by wave action. Seagrasses are key marine ecosystem engineers and habitat for various marine animals, but seagrasses are under world-wide threat from human activities (eutrophication, dredging and other physical disturbances). Eutrophication impacts directly on seagrasses by decreasing the available light (stimulates growth of epiphytes and planktonic algae) but also indirectly by stimulating the decomposition of organic matter in the sediment (mineralization of algae and seagrass litter is often limited by N and P) and thus increases the O2 demand of the sediment. In marine sediments, sulphate reduction by microorganisms can be substantial under anoxic conditions, producing sulphide, a potent phytotoxin with toxicity and mode of action similar to that of cyanide. Sulphide exists in three different chemical forms in water (H2S, HS- and S2-) with the gaseous H2S dominating at low pH and S2- at high pH. Gaseous H2S can enter the root and rhizome aerenchyma and move via diffusion to other parts of the seagrass, such as to leaf meristems that are relatively sensitive to sulphide. The resulting sulphide poisoning is a major cause of the worldwide die back of seagrasses observed in temperate as well as in tropical seagrass meadows.

Mechanistic field studies employing in situ microelectrodes have improved our understanding of internal aeration and sulphide intrusion in natural seagrass meadows. During the day, internal aeration of roots and rhizomes relies on O2 production in underwater photosynthesis, as does radial O2 loss (ROL) from roots to the sediments. There is a strong relationship between incoming light and O2 partial pressure in roots (Figure 2). Clouds immediately lead to a decline in root O2, whereas during periods of high sunlight root O2 was highest. During the night time, however, internal aeration relies on a steady flux of O2 from the water and into the leaves, and via the aerenchyma, further down into the roots and rhizomes.

CS_18.4-3.png

Figure 3. Oxygen dynamics in the rhizome of the seagrass Zostera marina during the day (A) and during the night (B). During the day, underwater photosynthesis produces O2 in the leaves and rhizome pO2 is thus a function of incoming light as O2 easily diffuses from the chloroplast and into the root via the porous tissues. In contrast, during the night, the water column is the only source of O2 for the plant and O2 diffuses from the water and into the leaves and further down into the belowground tissues. Consequently, rhizome pO2 is strongly correlated to water column pO2 during darkness. Re-analyzed data from Greve et al. (2003).

CS_18.4-4.jpg

Figure 4. Lobelia dortmanna and other isoetids in a Norwegian oligotrophic lobelia lake. The water of such lakes contains only little dissolved CO2 but L. dortmanna can take up CO2 from the sediment where the concentration is typically 100‑fold higher. As a consequence, L. dortmanna has no barrier to radial O2 loss (ROL) in its roots and almost all O2 produced in underwater photosynthesis is lost to the sediment via the roots. (Photograph courtesy of Ole Pedersen).

Critically low water column O2 can occur during nights in areas with still, warm waters, resulting from net system respiration faster than inwards movement of O2 into the stagnant waters. Under such night time conditions, roots can experience anoxia. Cessation of ROL to the sediments means there is no longer chemical oxidation of H2S to SO42- in the rhizosphere, so that gaseous H2S enters the aerenchyma and spreads via gas phase diffusion to all parts of the seagrass. The very metabolically active leaf meristems are thought to be particularly sensitive to sulphide poisoning. It is thought provoking that during most sudden die backs of seagrasses, the shoots are found drifting in the water with apparently healthy leaves but detached from the vertical stem exactly where the basal leaf meristems is located.

In contrast to coastal marine habitats of seagrasses, lobelia lakes are highly transparent oligotrophic, low alkaline lakes of the northern hemisphere. The vegetation consist of several evergreen species that are morphologically strikingly similar: short stiff leaves arranged in a rosette and with unbranched roots that can make up more than 50% of the biomass. As a whole, the type of vegetation is referred to as isoetids from the genus Isoetes that occurs in most lobelia lakes. Although not present in all lobelia lakes, Lobelia dortmanna is key species (Figure 4). Isoetids take up CO2 from the sediment via the roots and some are even CAM plants, although conservation of water is probably the least of all concerns for these plants. CO2 concentrations are highest at night, so CAM enables storage of malate for subsequent decarboxylation providing CO2 for photosynthesis the next day.

Many sandy sediments in shallow lobelia lakes are permanently oxic. Oxic sediments are a consequence of inherently low mineralization rates as the oligotrophic conditions lead to very low production of organic matter that is subsequently decomposed in the sediment. Nevertheless, the CO2 concentration in these sediments can be 100-fold higher than in the water above and L. dortmanna, along with the other isoetids, tap into this rich source of CO2 with their large root systems. The large gradient in partial pressure of CO2 between sendiment and photosynthetic leaves drives a flux of CO2 from the sediment, into the root aerenchyma (radial CO2 uptake) and then upwards into the porous leaves. Interestingly, the leaves are covered with a relatively thick cuticle to prevent loss of CO2 to the surrounding water, and as a result up to 100% of the O2 produced in underwater photosynthesis is lost via ROL from the roots (Figure 5).

CS_18.4-5.png

Figure 5. Oxygen dynamics in leaves and roots of Lobelia dortmanna and the surrounding water column and sediment in Lake Värsjö, Sweden. In light, underwater photosynthesis drives leaf pO2 up above 30 kPa and the steep gradient to roots results in a substantial O2 flux into roots. The roots have no barrier to ROL and thus the majority of O2 produced in photosynthesis is lost to the sediment resulting in large diurnal fluctuation in sediment pO2; in fact, the sediment remains permanently oxic. Data modified from Sand-Jensen et al. 2005.

In conclusion, the isoetids tested so far do not form a barrier to ROL in their roots and isoetids are thus restricted to sediments with very low O2 demand; any root barrier would also restrict CO2 uptake. In contrast, the few species of seagrasses studied all show a strong barrier to ROL and in the marine H2S rich environment the barrier would also reduce the inward flux of gaseous H2S.

References

Greve TM, Borum J, Pedersen O (2003) Meristematic oxygen variability in eelgrass (Zostera marina). Limnol Oceanogr 48: 210-216

Sand-Jensen K, Pedersen O, Binzer T, Borum J (2005) Contrasting oxygen dynamics in the freshwater isoetid Lobelia dortmanna and the marine seagrass Zostera marina. Ann Bot 96: 613-623

Pedersen O, Colmer TD, Sand-Jensen  K (2013) Underwater photosynthesis of submerged plants – recent advances and methods. Front Plant Sci 4 DOI: 10.3389/fpls.2013.0014

18.5.2 - Internal aeration when completely submerged

During daytime, underwater photosynthesis not only provides sugars but it also produces O2 which results in significant aeration of belowground tissues. In light, the partial pressure gradient of O2 from shoot to root is huge (high O2 in the surrounding water, zero O2 in the anoxic soil) and can thus drive a substantial flux of O2 from shoot to root in well-developed aerenchyma as this pathway poses relatively little resistance to diffusion. In fact, O2 in the roots of rice displays a normal saturation curve relationship when plotted against light available to the shoots, a pattern also found in truly aquatic plants (see Case Study 4).

At night, the floodwater surrounding the shoot is the main source of O2 for internal aeration also of belowground tissues. The O2 “stored” in aerenchymous tissues cannot support night time respiration of belowground tissues as the O2 in the aerenchyma relatively quickly equilibrates with the environment (soil in the case of roots and water column in the case of shoot). However, with ample O2 in the floodwater a large partial pressure gradient exists for O2 movement from the floodwater into the leaves and further into the roots (both respiring and thus consuming O2). As a result, the relationship between floodwater O2 and root pO2 in darkness is often linear (see Case Study 4). The floodwater O2 threshold concentration required for O2 to enter and reach the root extremities is determined by the total resistance to molecular diffusion into (DBL, surface gas films, stomatal resistance, cuticular resistance) and through the plant body (tissue porosity, diffusion distance) plus loss of O2 along the route (respiration and any ROL). As with underwater photosynthesis, leaf gas films reduce the resistance to gas exchange between floodwater and leaves, so enhancing O2 entry at night-time. Plants with gas films have been shown to maintain better internal aeration as compared to plants with the gas films experimentally removed.

18.6 - Recovery when waters recede

Most terrestrial plants cannot withstand complete submergence lasting over a few days; however, semi-aquatic plants such as certain rice genotypes can survive complete submergence for over two weeks, as described in the preceding section. The period of submergence endured depends on various environmental conditions and the plant’s growth stage.

Tolerance in rice of transient submergence caused by flash floods is mainly achieved by assuming a “quiescent” strategy when submerged until floodwater recedes. Recovery after submergence when floodwaters recede is dependent on metabolic changes that occur during and immediately following submergence.

18.6.1- Shoot desubmergence

As detailed in Section 18.5, complete submergence restricts light intensity and gas exchange, slows O2 and CO2 exchange between shoot tissue and floodwater. Reduced photosynthetic activity, together with excessive growth during submergence, result in severe carbohydrate starvation and consequently, death and disintegration of most tissues when flooding persists for longer duration.

Visual symptoms of stress generally start developing soon after desubmergence, with sensitive genotypes showing leaf senescence and decay, followed by mortality within a few days after desubmergence.

Excessive growth during submergence is common, and due to accumulation of the phytohormone ethylene. Submerged plants tend to elongate excessively, an “elongation escape” adaption that allows their leaves to maintain contact with air until the floodwaters are too deep. This elongation capacity is mediated through ethylene which suppresses ABA synthesis but enhances synthesis and sensitivity to GA, resulting in leaf and internode elongation (Das et al. 2005). Ethylene accumulation also triggers chlorophyll degradation and leaf senescence (Ella et al. 2003b), rendering leaves less fit for photosynthesis both underwater and upon resumption of contact with air after desubmergence.

The sudden aeration and exposure to high illumination upon desubmergence causes oxidative stress resulting from ROS generated in leaves that have limited capacity for photosynthesis following submergence (Ella et al. 2003a).

Recovery after submergence therefore, depends on maintenance of carbohydrate reserves, during and shortly after flooding (Das et al., 2005), and the maintenance of a functional photosynthetic system. In rice, as explained in Section 18.5, tolerance of submergence is conferred by an ethylene response-like transcription factor SUB1A. Induced by ethylene that accumulates within plants during submergence, SUB1A disrupts the elongation escape strategy typical of most lowland rice varieties through suppressing GA-promoted elongation, and also slows ethylene-induced leaf senescence (Bailey-Serres et al. 2008). Survival and recovery are enhanced in two ways: (i) less energy is consumed on elongation growth and carbohydrates are conserved, and (ii) leaf senescence is prevented. Thus, plants continue photosynthesis while underwater, and can resume optimal rates of carbon fixation upon re-exposure to air and high illumination and so minimise ROS damage after desubmergence. The sudden exposure to high O2 and high light increases the generation of ROS. The ability to recover quickly and produce new tillers following desubmergence is important because only these new tillers will become effective in contributing to grain yield.

18.6.2 - Soil drainage following waterlogging

Re-oxygenation injury is well-documented for both animal and plant tissues. A highly reduced intracellular environment (including transition metal ions) and low energy supply, such as occurs during soil waterlogging, are the factors which favour ROS generation. Free radicals are formed soon after O2 re-enters, in a so-called oxidative burst. At the same time, activity of most plant antioxidant systems is compromised due to metabolic perturbations caused by the previous period of anoxia or severe hypoxia (Blokhina et al. 2003). Production of ROS upon reaeration might impede ion uptake by roots; H2O2 causes membrane depolarization and K+ efflux (Chen et al. 2007). Recovery of nutrient uptake upon re-aeration following anoxia in roots of wheat showed a short time lag (~ 4 h) before net K+ uptake accelerated. The time lags could have been associated with repair of general metabolism (e.g. lag in recovery of mitochondria), repair of membranes and membrane transporters, or the prevention of damage from ROS.

Recovery of root growth upon drainage is important for crops in rain-fed agriculture, as deep roots will be required to obtain sufficient water from the soil later in the season (e.g. wheat in Mediterranean climates). Seminal roots of wheat cease growing soon after waterlogging, and if waterlogging exceeds several days these roots show little capacity for re-growth upon drainage and soil aeration. Apices of the main axes of the seminal roots typically die, with any regrowth from laterals. Adventitious roots, by contrast, are able to grow in waterlogged soils and retain the potential of the main axes to elongate upon soil aeration. Resumption of growth of adventitious roots following drainage can be fast, so that these roots continue in their importance for future shoot growth. Nevertheless, the adventitious root system could not compensate for the severe inhibition of the seminal roots of wheat. For waterlogging-sensitive crops, even short periods of transient waterlogging can have longer-term adverse effects. In wheat, for example, 3 d waterlogging severely retarded development even in the longer term after drainage (Malik et al. 2002), highlighting the need for improved waterlogging tolerance in our crops.

18.7 - References

Armstrong W (1979) Aeration in higher plants. Adv Bot Res 7: 225-332

Armstrong W, Armstrong J, Beckett PM, Justin SHFW (1991) Convective gas-flows in wetland plant aeration. In: Jackson MB, Davies DD, Lambers H (eds). Plant life under oxygen deprivation. The Hague: SPB Academic Publishing. pp. 283-302.

Bailey-Serres J, Voesenek LACJ (2008) Flooding stress: acclimations and genetic diversity. Annu Rev Plant Biol 59: 313–339

Beckett PM, Armstrong W, Justin SHFW, Armstrong J (1998) On the relative importance of convective and diffusive gas-flows in plant aeration. New Phytol 110: 463-468

Blokhina O, Virolainen E, Fagerstedt KV (2003) Antioxidants, oxidative damage and oxygen deprivation stress: a review. Ann Bot 91: 179-194

Brix H, Sorrell BK, Orr PT (1992) Internal pressurization and convective gas flow in some emergent freshwater macrophytes. Limnol Oceanogr 37: 1420-1433

Carystinos GD, Macdonald HR, Monroy AF et al. (1995) Vacuolar H+-translocating pyrophosphatase is induced by anoxia or chilling in seedlings of rice. Plant Physiol 108: 641-649

Chen Z, Cuin TA, Zhou M et al. (2007) Compatible solute accumulation and stress-mitigating effects in barley genotypes contrasting in their salt tolerance. J Exp Bot 58: 4245-4255

Colmer TD (2003) Long-distance transport of gases in plants: a perspective on internal aeration and radial oxygen loss from roots. Plant Cell Environ 26: 17-36

Colmer TD, Greenway H (2011) Ion transport in seminal and adventitious roots of cereals during O2 deficiency. J Exp Bot 62: 39-57

Dacey JWH (1980) Internal winds in water lilies: an adaptation for life in anaerobic sediments. Science 210: 1017-1019

Das KK, Sarkar RK, Ismail AM (2005) Elongation ability and non-structural carbohydrate levels in relation to submergence tolerance in rice. Plant Sci 168: 131-136

Demidchik V, Cuin TA, Svistunenko D et al. (2010) Arabidopsis root K+-efflux conductance activated by hydroxyl radicals: single-channel properties, genetic basis and involvement in stress-induced cell death. J Cell Sci 123: 1468-1479

Demidchik V, Shabala SN, Davies JM (2007) Spatial variation in H2O2 response of Arabidopsis thaliana root epidermal Ca2+ flux and plasma membrane Ca2+ channels. Plant J 49: 377-386

Drew MC, Saglio PH, Pradet A (1985) Larger adenylate energy charge and ATP/ADP ratios in aerenchymatous roots of Zea mays in anaerobic media as a consequence of improved internal oxygen transport. Plant Physiol 165: 51-58

Ella ES, Kawano N, Ito O (2003a) Importance of active-scavenging system in the recovery of rice seedlings after submergence. Plant Sci 165: 85-93

Ella E, Kawano N, Yamauchi Y et al. (2003b) Blocking ethylene perception enhances flooding tolerance in rice. Funct Plant Biol 30: 813-819

Elzenga JTM, van Veen H (2010) Waterlogging and plant nutrient uptake. In: Mancuso S, Shabala S (eds) Waterlogging signalling and tolerance in plants Springer-Verlag, Heidelberg, pp 23-36

Felle HH (2010) pH signaling during anoxia. In: Mancuso S, Shabala S (eds) Waterlogging signalling and tolerance in plants. Springer-Verlag, Heidelberg, pp 79-98

Gibbs J, Greenway H (2003) Mechanism of anoxia tolerance in plants. I. Growth, survival and anaerobic catabolism. Funct Plant Biol 30: 1-47

Greenway H, Gibbs J (2003) Mechanisms of anoxia tolerance in plants. II. Energy requirements for maintenance and for energy consuming processes. Funct Plant Biol 30: 999-1036

Himmelblau DM, Arends E (1959) Die Löslichkeit inerter Gase in Wasser bei hohen Temperaturen und Drucken. Chemie Ingenieur Technik 31: 791-795

Ismail AM, Heuer S, Thomson M, Wissuwa M (2007) Genetic and genomic approaches to develop rice germplasm for problem soils. Plant Mol Biol 65:547–570

Jackson MB, Armstrong W (1999) Formation of aerenchyma and the processes of plant ventilation in relation to soil flooding and submergence. Plant Biol 1: 274-287

Jackson MB (2003) The Impact of Flooding Stress on Plants and Crops. PlantStress.Com. Ed. A Blum http://www.plantstress.com/articles/waterlogging_i/waterlog_i.htm

Johnson JR, Cobb BG, Drew MC (1989) Hypoxic induction of anoxia tolerance in roots of Zea mays. Plant Physiol 91: 837-841

Johnson JR, Cobb BG, Drew MC (1994) Hypoxic induction of anoxia tolerance in roots of Adh1 null Zea mays L. Plant Physiol 105: 61-67

Justin SHFW, Armstrong W (1987) The anatomical characteristics of roots and plant response to soil flooding. New Phytol 106: 465-495

Khabaz-Saberi H, Rengel Z, Wilson R, Setter TL (2010) Variation of tolerance to manganese toxicity in Australian hexaploid wheat. J Plant Nutr Soil Sci 173: 103-112

Lee SC, Mustroph A, Sasidharan R et al. (2011) Molecular characterization of the submergence response of the Arabidopsis thaliana ecotype Columbia. New Phytol 190: 457-471.

Mackill DJ, Ismail AM, Singh US et al. (2012) Development and rapid adoption of submergence-tolerant (Sub1) rice varieties. Adv Agron 115: 303-356

Malik AI, Colmer TD, Lambers H et al. (2002) Short-term waterlogging has long-term effects on the growth and physiology of wheat. New Phytol 153: 225-236

Morrell S, Greenway H, Davies DD (1989) Regulation of pyruvate decarboxylase in vitro and in vivo. J Exp Bot 41: 131-139

Noctor G, Foyer CH (1998) Ascorbate and glutathione: Keeping active oxygen under control. Annu Rev Plant Physiol Plant Mol Biol 49: 249-279

Pang J, Shabala S (2010) Membrane transporters and waterlogging tolerance. In: Waterlogging signalling and tolerance in plants. Mancuso S, Shabala S (eds). Springer-Verlag, Heidelberg, pp 197-219

Pang JY, Cuin T, Shabala L et al. (2007) Effect of secondary metabolites associated with anaerobic soil conditions on ion fluxes and electrophysiology in barley roots. Plant Physiol 145: 266-276

Pedersen O, Colmer TD, Sand-Jensen K (2013) Underwater photosynthesis of submerged plants – recent advances and methods. Front Plant Sci 4 DOI: 10.3389/fpls.2013.0014

Raymond P, Pradet A (1980) Stabilization of adenine nucleotide ratios at various levels by an oxygen limitation of respiration in germinating lettuce seeds. Biochem J 190: 39-44

Rich SM, Ludwig M, Colmer TD (2012) Aquatic adventitious root development in partially and completely submerged wetland plants Cotula coronopifolia and Meionectes brownii. Ann Bot 110: 405-414

Sand-Jensen K (2004) Økologi og biodiversitet. Gyldendal, Copenhagen

Schmitz AJ, Folsom JJ, Jikamaru Y et al. (2013) SUB1A-mediated submergence tolerance response in rice involves differential regulation of the brassinosteroid pathway. New Phytol 198:1060-1070

Setter TL, Laureles EV (1996) The beneficial effect of reduced elongation growth on submergence tolerance of rice. J Exp Bot 47: 1551-1559

Shabala S (2003) Regulation of potassium transport in leaves: from molecular to tissue level. Ann Bot 92: 627-634

Shabala S (2011) Physiological and cellular aspects of phytotoxicity tolerance in plants: the role of membrane transporters and implications for crop breeding for waterlogging tolerance. New Phytol 190: 289-298

Sorrell BK, Hawes I (2010) Convective gas flow and the maximum depths achieved by helophyte vegetation in lakes. Ann Bot 105: 165-174

Steffens B, Sauter M (2009) Epidermal cell death in rice is confined to cells with a distinct molecular identity and is mediated by ethylene and H2O2 through an autoamplified signal pathway. Plant Cell 21: 184-196

Stumm W, Morgan JJ (1996) Aquatic chemistry. 3rs ed. New York: John Wiley & Sons.

Thomson CJ, Greenway H (1991) Metabolic evidence for stellar anoxia in maize roots exposed to low O2 concentrations. Plant Physiol 96: 1294-1301

Vashist D, Hesselink A, Pierik R et al. (2011) Natural variation of submergence tolerance among Arabidopsis thaliana accessions. New Phytol 190: 299-310

Visser EJW, Bogemann GM, Blom CWPM, Voesenek LACJ (1996) Ethylene accumulation in waterlogged Rumex plants promotes formation of adventitious roots. J Exp Bot 47: 403-410

Vretare Strand V (2002) The influence of ventilation systems on water depth penetration of emergent macrophytes. Freshwater Biol 47: 1097-1105

Waters I, Morrell S, Greenway H, Colmer TD (1991) Effects of anoxia on wheat seedlings. II. Influence of O2 supply prior to anoxia on tolerance to anoxia, alcoholic fermentation, and sugar levels. J Exp Bot 42: 1437-1447

Wilhelm E, Battino R, Wilcock RJ (1977) Low-pressure solubility of gases in liquid water. Chem Rev 77: 219-262

Yan B, Dai Q, Liu X, Huang S, Wang Z (1996) Flooding-induced membrane damage, lipid oxidation and activated oxygen generation in corn leaves. Plant Soil 179: 261-268

Zhang Q, Greenway H (1994) Anoxia tolerance and anaerobic catabolism of aged beetroot storage tissues. J Exp Bot 45: 567-575